Дентална подготовка за CAD/CAM лечение

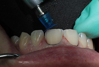
Употреба на електрически микромотор с бързооборотен обратен наконечник при подготовка за CAD/CAM лечение:
С всяка изминала година се увеличава броят на пациентите с дентални протези, произведени чрез CAD/CAM система. Употребата на тази високоефективна настолна технология означава, че лекарите по дентална медицина трябва да бъдат по-опитни от всякога в използването на 3D устройства за запис на данни, както и в разчитането на сложни цифрови данни и планиране на лечение, използвайки цялостни софтуерни решения.
В следващото интервю, Д-р Серджо Ариосто Хернандез Делгадо обсъжда невероятните предизвикателства, произлизащи от подготовката за успешно CAD/CAM лечение. Той е провел редица обсъждания и семинари в университети и конференции в Латинска Америка и Европа, на които той описва опита си в областта на превантивната, естетичната и възстановителната дентална медицина.
Според Вас, какви са предимствата от употребата на електрически микромотор с бързооборотен обратен наконечник при подготовка предимно за CAD/CAM лечение?
Д-р Хернандез Делгадо: Най-важните предимства, които мога да коментирам от моя личен опит са следните: Контрол на препарацията, точни, ясни и еднакви граници, които са лесни за сканиране. По-малко вибрации, в сравнение с турбините, следователно по-малко умора и натиск по време на процедурата по препарация. Увеличаването на тежестта при употребата на обратен наконечник и микромотор е незначителен недостатък, в сравнение с увеличената мощност. Това компенсира липсата на достатъчно мощност при турбината, особено, когато трябва да се извърши изпиляване или смяна на корона.
Как ще оцените ефективността на електрическата система по отношение на степента на изпиляване, в сравнение с тази на турбините?
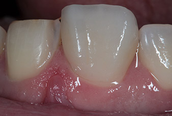
Д-р Хернандез Делгадо: По отношение на ефективността, мога да кажа, че степента на изпиляване при регулярни процедури като замяна при различните видове възстановявания е изключителна при ежедневна работа с метално и PFM възстановяване, както и особено ефективна при отстраняване на здрави керамики като циркониев диоксид, алуминиев оксид, литиев дисиликат и други керамични материали. Когато използвате по-ниска скорост с висок въртящ момент, Вие имате по-добър контрол върху препарацията, яснотата и видимостта на границите, плюс линиите на ъглите на кавитета. По този начин, Вие можете да контролирате инвазивността на препарацията на много важен етап, като контролирате отстраненото количество зъбна субстанция.
Проучвания като тези, цитирани по-долу могат да дадат научен поглед на клиничните наблюдатели, какъвто съм аз:
J Prosthet Dent. 2009 May;101(5):319-31
In vitro comparison of the cutting efficiency and temperature production of ten different rotary cutting
instruments. Part II: electric handpiece and comparison with turbine.
Ercoli C1, Rotella M, Funkenbusch PD, Russell S, Feng C.
В сравнение с базовата линия на температурата, всички ротиращи режещи инструменти показаха намаляване на температурата в симулираната камера на пулпата при тестване с електрическа система. Great White Ultra (карбиден борер) показа най-високо ниво на напредък (0.17 mm/s) и най-малко приложено натоварване (108.35 g). Съпоставяйки всички ротиращи режещи инструменти като една група, електрическата система показа по-ниска температура (26.68 градуса C), по-високо ниво на напредък (0.12 mm/s) и по-голямо натоварване (124.53 g), отколкото турбината (28.37 градуса C, 0.11 mm/s и 121.7 g, респективно). Имайки предвид всяка една група от ротиращи режещи инструменти, значителни разлики бяха открити при електрическия мотор с наконечник и турбината.
Заключения:
Тестваният карбиден борер показа по-голяма ефективност при рязане, в сравнение с тестваните диамантените режещи инструменти, използвани с повишаващ обратен наконечник. Повишаващият обратен наконечник показа по-висока ефективност при рязане, в сравнение с турбината, особено с карбиден борер, вероятно благодарение на по-високия си торг.
Как ще оцените използването на електрическа система (мотор и обратен наконечник) за контрол на мощността (например при финиране) – отново в сравнение с турбини?
Д-р Хернандез Делгадо: За посочения процес това е моята гледна точка:
- Отстраняване при възстановяване: бързо, ефективно, прецизно и с по-малък натиск.
- Препарация на кавитет: по-малко вибрация, добре определени линии на ъглите на препарация, контролирана дълбочина, добри, ясни и чисти граници.
- Отстраняване на дълбоки кариеси: по-малко вибрация, намаляване на загряването, благодарение на ниските обороти и постоянна мощност едновременно с карбидни и гласполимерни борери.
- Финиране и полиране: основните предимства от използването на бързооборотен обратен наконечник са прецизността, комфортът и ясната видимост в обработваната зона на финирането при консервативно възстановяване, директно възстановяване и отстраняване на излишно количество керамика или индиректно композитно възстановяване слепено със смола, особено когато субгингивалното и еквигингивалното възстановявания трябва да бъдат идеално финирани с карбиден борер с пасивен връх за финиране. При полиране, по-лесно е да се постигне много гладка, бляскава повърхност, особено когато контролираната ротация с редуциращ обратен наконечник може да достигне по-малко от 10,000 rpm с или без охлаждане. За тази цел, препоръчителни са диамантени накрайници със силиконов връх и различни форми, както и силиконово-карбидни четки или друг вид дискове с контрол на абразивността или нискооборотни ротиращи инструменти.
Как ще оцените прецизността, с която борерът може да бъде насочван, когато използвате обратен наконечник, в сравнение с турбина?
Д-р Хернандез Делгадо: Трудно е да се определи клинично позицията на ротационната ос на борера, когато се използва с турбина или бързооборотен обратен наконечник. Могат да бъдат използвани два лесни за наблюдение критерия, за да отговоря на този въпрос: наблюдението по време на ротация, извършена с диамантен борер с тънък връх извън устата може да покаже, че ротацията на самия връх е по-центрична при бързооборотния обратен наконечник, в сравнение с турбината.
Вторият критерий е свързан с резултата, яснотата и продължителността на финиращата линия, особено с CAD/CAM оптични апарати, които създават полезен параметър за сравнение. От моя личен опит, електрическият мотор, захранващ бързооборотния обратен наконечник отново е по-добър по този критерий.
Можете ли да видите някакви недостатъци при използването на системата? До каква степен те надминават клиничните ползи?
Д-р Хернандез Делгадо: Недостатъците могат да бъдат следните: Липса на обучение за тази технология в повечето академични институции, преподаващи дентална медицина, като например тези в Мексико. Има допълнителна тежест по време на препарация (нещо, с което ще свикнете по време на практиката). Вградените китове за управление са трудни за инсталиране в денталния стол. Настолните юнити са по-лесни за инсталиране, но изискват допълнително пространство.
За повечето потребители, допълнителното оборудване за правилна поддръжка на обратни наконечници, като апарати за автоматично почистване и смазване, е извън първоначалните възможности за инвестиция, особено за тези, които тепърва въвеждат в употреба електрическа система.
Последващи коментари/други впечатления:
Д-р Хернандез Делгадо: Например, Мексико е с нарастващ брой практикуващи, които търсят възможности да бъдат обучени относно употребата на електрическа система. Мога да кажа това след проведени 300 продължителни курсове за обучение и практика с протетично-фокусирана ориентация.
Отличното изпълнение и лесният за управление електрически микромотор благоприятстват за осъзнаване на ползите от използването на тази технология. Демонстрацията, която направих на няколко курса и търговски изложения, включваше препарация на мраморни блокчета и нещо подобно на теста със стотинката, показвайки отстраняване при възстановяване и извършване на препарация на естествени зъби. Един добър борер помага за ефективна препарация и отстраняване на материали.
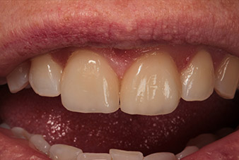
Последните проучвания оцениха и показаха, че има присъща взаимовръзка между линията на зоната на препарация, адаптирането на границите и степента на провал сред възстановяванията с CAD/CAM. По-голяма линия на зоната за финиране, по-големи граници и възможност за отвори и по този начин пери-възстановителни кариеси, показвайки 6% на заболеваемост в следващите пет години. Цитат в очакване за публикуване.
Дентална подготовка за CAD/CAM лечение







коментара