Case presentation: Complex Dental Prosthesis Management
Introduction
The direct relationship between intraoral and general health, as well as the bidirectional influence that they may have on one another, is well-known (1,2). It is essential to consider both factors when planning preventive intraoral measures and treatment in the dental practice. The primary objective is the maintenance of patient health and quality of life from both dental and medical perspectives. (3,4)
Creating individualised prevention concepts will support dentists in their efforts to consider intraoral and general medical health factors in combination, allowing them to create and assess individual patient profiles that appropriately consider the relevant risks (5,6). This is the only way to ensure customised, case-specific prevention and patient care that also offers dentists a sense of assurance during therapeutic planning.
The effects of intraoral and general medical health factors on treatment and other forms of therapy are demonstrated in the following case report.

General medical history and personal history
The patient in the present case report is a 75-year-old woman. She is a non-smoker and is generally healthy. She takes a single 100-mg tablet of ASA and a single 5-mg tablet of bisoprolol daily. Her blood pressure is followed up regularly and is currently 125/80. The patient is slim, pays attention to her general medical health, and carefully maintains her intraoral health and hygiene. The patient states that she eats a healthy diet and limits her meals to 3 to 4 times a day. She enjoys drinking tea.
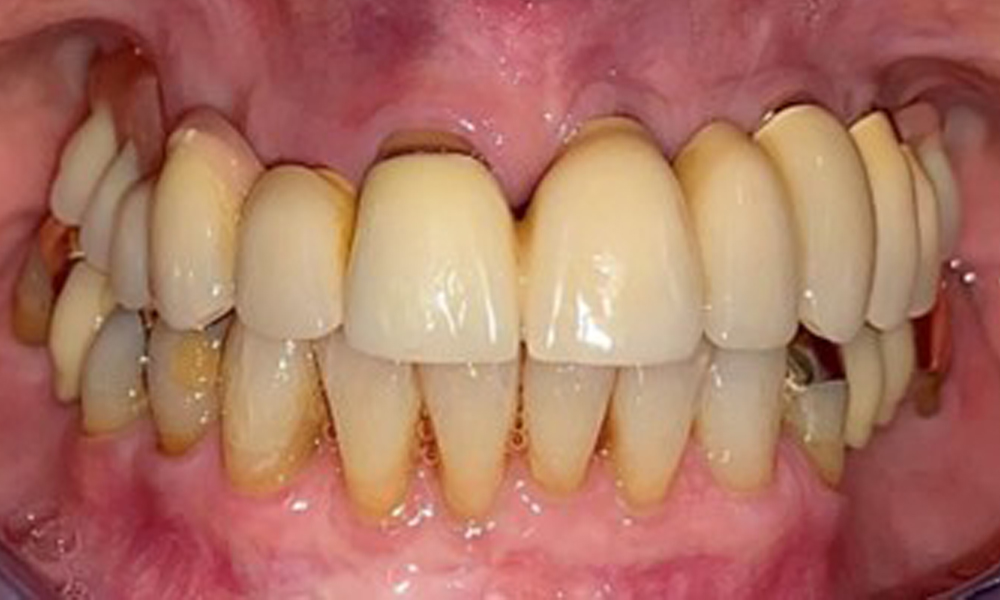
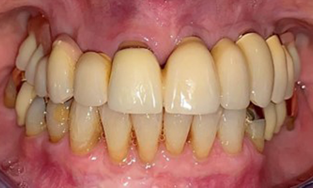
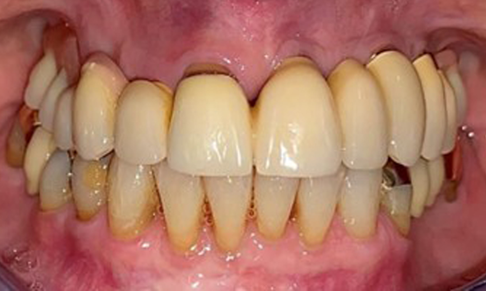
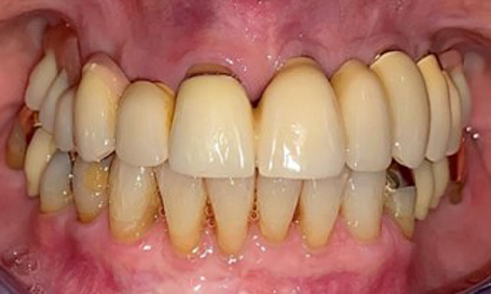
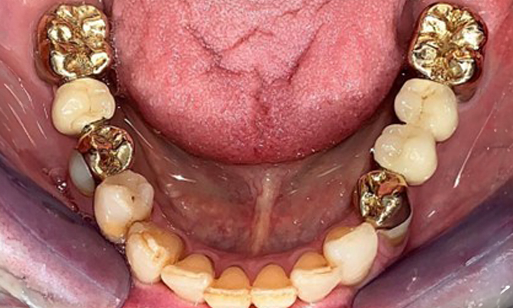
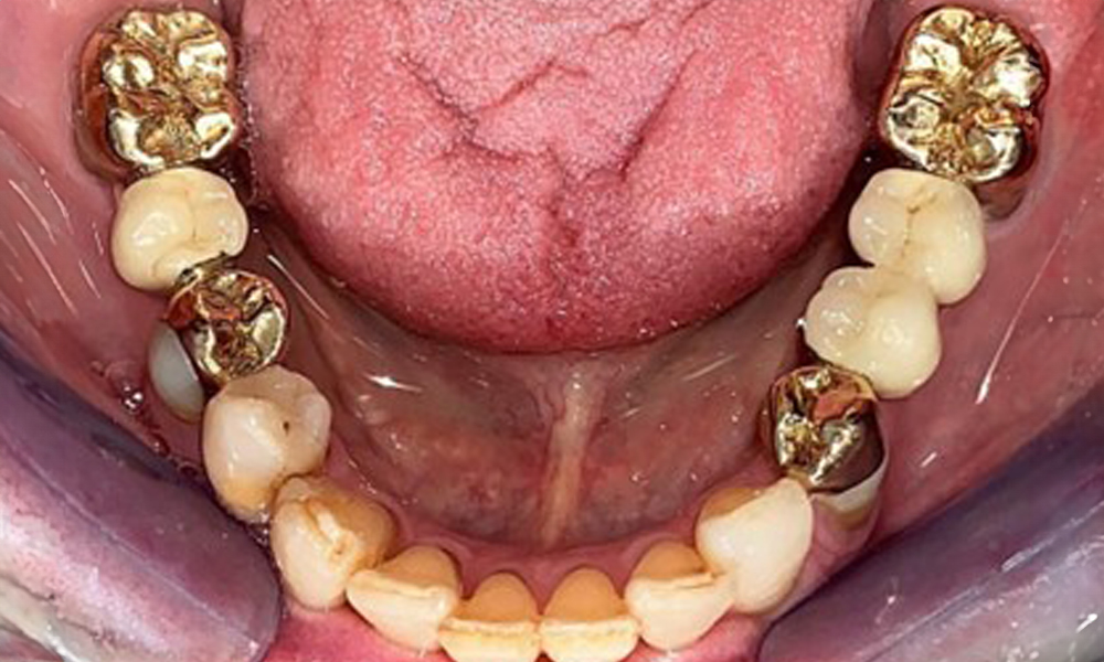
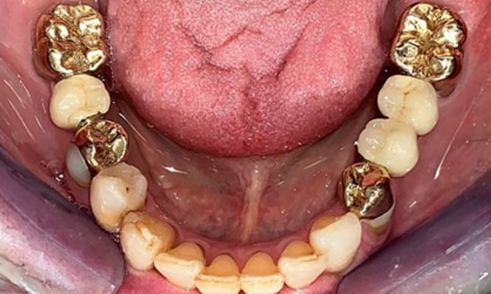
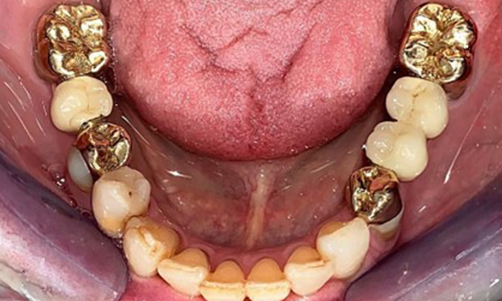
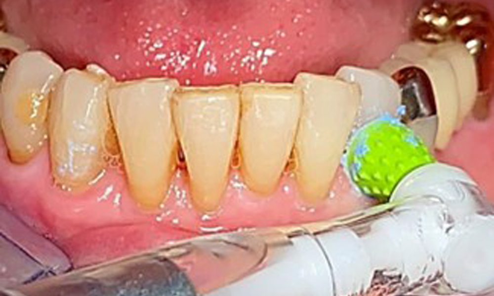
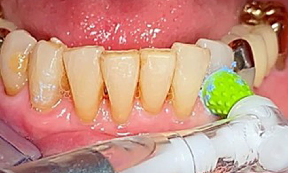
The patient was fitted with a combined removable maxillary telescopic prosthesis more than 25 years ago (Fig. 1, Fig. 2, Fig. 3) and is very happy with her dentures. The patient has an adequate fixed denture for the mandible (Fig. 4).
The patient brushes her teeth and implants three times a day with a manual toothbrush and single-tuft brush. She also uses interdental brushes once a day in the evening. She also cleans her prosthesis after every meal.

Extraoral and intraoral findings
There are no pathological extraoral or intraoral findings or abnormalities.
Dental findings
The dental findings are as follows: Combined removable implant and tooth-supported telescopic prostheses on implants 15, 13, 21, 23, 24, 25 and tooth 11 (Fig. 1, Fig. 2, Fig. 3). The patient was fitted with a fixed mandibular denture. Adequate bridges were present over 37 to 34 and 45 to 47 (Fig. 4), the crown margins were intact and there were no active caries. A composite filling with a marginal gap was present on tooth 43. There was mandibular gingival recession, exposing 1 to 3 mm of root surface. This also applies to 11.



Periodontal findings
The periodontal condition remains stable. There was no gingival or peri-implant soft tissue inflammation. At 1 to 3 mm, the probing depths were within the physiological range. There are generalised recessions measuring 1 to 3 mm. Implant 23 has an increased probing depth of 4 mm, although there are no signs of secretion or bleeding (Fig. 6). The total BOP is 12%.
Radiological findings
The radiological findings show partially edentulous dentition with maxillary implants for teeth 15, 13, 21, 23, 24, 25 and a telescopic crown on tooth 11. Adequate mandibular bridges spanning 37 to 34 and 45 to 47 are present. 48 is impacted. There are suspected secondary caries distally on 43 and mesially on 44. 44 is restored with a non-radiopaque cavity lining. There is generalised horizontal bone loss of approx. 10% to 30% and localised vertical bone loss affecting teeth 22 and 42 (Fig. 5).

Treatment recommendation based on the individual prevention concept
It is critical to assess the individual patient risk profile prior to treatment. The individual patient and risk profile is derived from the general medical history and state of intraoral health. (5, 6)
The patient takes ASA 100 daily as an anticoagulant. The patient is not presumed to be at increased risk of complications at present due to the stable periodontal findings and lack of inflammation. Antihypertensive medication may cause gingival hyperplasia and intraoral dryness, among others. Neither of these findings are present in the patient.
The intraoral findings have remained stable in this patient for more than 20 years, so the risk of progression and deterioration of the intraoral state are classified as low to moderate. Decreased salivation due to advanced patient age may affect the risk of disease progression. This may lead to increased root caries and even fungal infections. Currently, the patient does not complain of intraoral dryness and the intraoral mucous membranes do not appear dry.

Based on the medical history, the risk of complications is classified as mild to moderate due to the intake of ASA 100 and bisoprolol. It should be noted that increased bleeding may occur during treatment, particularly if gingivitis is present. The risk is classified as low in the present case, as the patient maintains excellent intraoral hygiene. Due to the otherwise stable intraoral status over many years, the needs determined during the intraoral examination will be decisive for her treatment. The findings observed during any dental appointment will determine the subsequent course of treatment. Determination of bleeding status is mandatory to detect gingival changes in peri-implant tissues (Fig. 6).

The periodontal status should be thoroughly examined once a year. This examination provides comprehensive documentation of the periodontal and implant findings, including pocket depths, periodontal recession and furcation involvement. This will ensure a rapid response to any potential progression of the mucositis, gingivitis, periodontitis or peri-implantitis. Implant probing using a plastic probe is recommended. In the present case, a mesial probing depth of 4 mm was detected mesial to implant 23. No suppuration or bleeding was detected, indicating the absence of peri-implantitis.
The intraoral mucosa must be examined for possible fungal infections and pressure spots. The dentures must be visually inspected for cleanliness. The present case presented with interdental discolouration, attributed to tea consumption (Fig. 7). The dentures should be professionally cleaned in the dental practice using disinfection and cleaning baths.


The patient maintains good intraoral hygiene at home. However, it is still important to provide repeated motivation and instruction due to the advanced age of the patient, as this will ensure maintenance of the complex denture, remaining dentition and implants.
A single-tufted brush is specifically recommended for the telescopic prostheses (Fig. 8) and the patient should be advised on the appropriate interdental brush size (Fig. 9). The patient has been implementing these recommendations for intraoral hygiene at home for many years and was encouraged to continue during the professional preventive dental appointment.



There are no limitations placed on the selective use of instrumentation during treatment due to the healthy general condition of the patient. Regular supragingival and subgingival instrumentation is essential to prevent disease progression (7). There are no restrictions on using instruments for mechanical biofilm removal from a general medical perspective, and removal should be performed as needed. (If the patient develops severe gingival inflammation, then there will be an increased tendency to bleed if an air polishing system is used due to the ASA 100 intake).


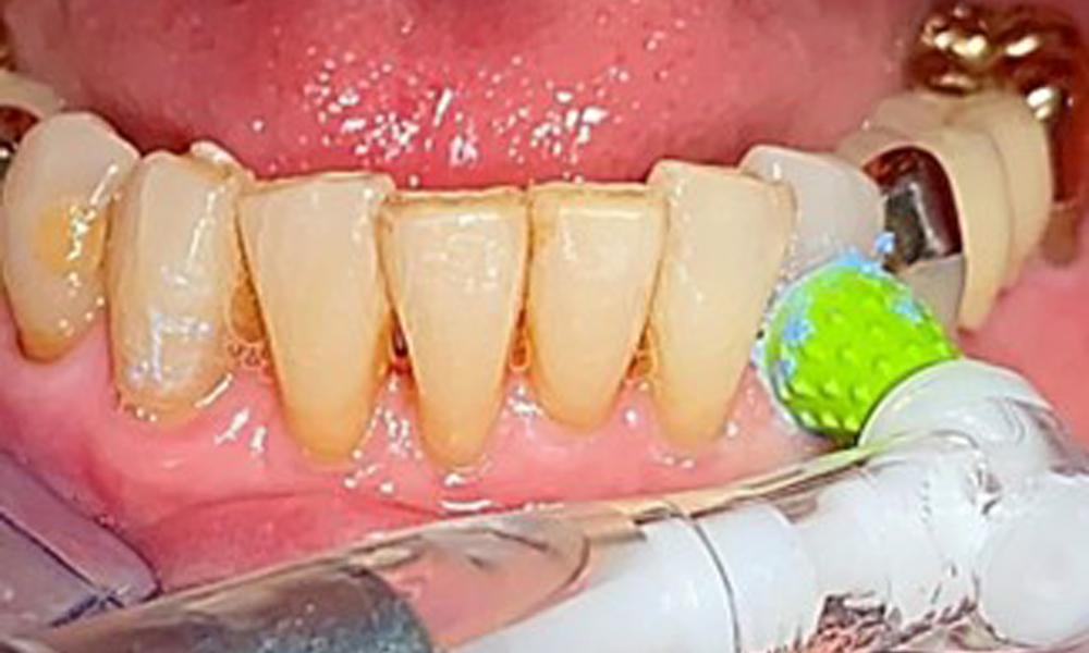
Sonic/ultrasonic, or conventional manual instruments may be used to remove calculus and concretions present on the natural teeth (8). Titanium or plastic curettes (Fig. 10), or a plastic or PEEK attachment (Fig. 11) during ultrasonic treatment, should be used to remove mineralized plaque from implants to avoid damaging the implant surfaces.

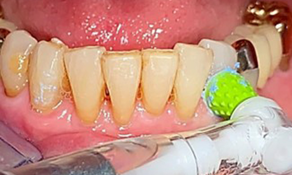
An air polishing system should be used with low-abrasive powder to remove biofilm from the restoration margins, interdental areas and implant surfaces (Fig. 12). Selective polishing (Fig. 13) should be used to smooth any less sensitive areas, as this decreases bacterial reattachment (9).

Interdental cleaning with brushes (Fig. 9) or dental floss is just as important as cleaning the tongue.
It is also important to clean the dentures professionally in an ultrasonic bath at the dental practice, and to use disinfectant solutions to combat fungal infections if required. This also allows discolourations to be removed and gives the patient the sensation of cleanliness.

Fluoridation of exposed root surfaces and erosions is recommended as an adjuvant measure to prevent caries (10). Antibacterial substances can also be applied if there are changes in the peri-implant tissue. These decisions will be based on the individual situation and dentist as needed. Additional measures include continued use of a fluoridated toothpaste for intraoral hygiene at home (11).
There is currently no need to artificially stimulate saliva production.

The complex denture and advanced age of the patient are decisive factors for planning the follow-up intervals. Prophylactic dental appointments are therefore recommended 3 to 4 times a year. As patient needs change, this interval will be adjusted to prevent excessive or inadequate treatment (12). It is strongly and urgently recommended scheduling the next appointment immediately at the dental practice. Providing good guidance to patients will determine the sustained success of dental and intraoral health maintenance in this patient, and will contribute to quality of life.
Summary
- The medical history reveals that the patient is currently at low risk of complications, so there is nothing of note in terms of maintenance therapy. The risk of disease can also be classified as low due to the long-term stability of the current intraoral state.
- The patient is at low to moderate risk of disease progression or developing periodontitis or active caries. The advanced age of the patient, which may be associated with reduced salivation, and the complex dental prosthesis, which requires extensive care, must be considered in this regard.
- The aim of maintenance therapy is to preserve the complex combination of implants and telescopic prostheses - even at an advanced age - and to avoid fungal infections by ensuring good denture care.
- It is important to document findings during the prophylactic dental appointment. Bleeding-on-probing status must be determined during each appointment. The periodontal pockets should be thoroughly examined once a year.
- The patient already maintains good intraoral hygiene, and should be encouraged to continue to do so. The extensive dental prostheses should be maintained for as long as possible.
- Based on the age of the patient and the complex dental prosthesis with implants, professional preventive dental appointments every four months are recommended. The removal of hard and soft plaque is essential to maintain the current intraoral state.
- Patient management and good compliance are key success factors for maintaining good intraoral health.
Bibliography
- Bansal M, Rastogi S, Vineeth NS. Influence of periodontal disease on systemic disease: inversion of a paradigm: a review. Journal of medicine and life. 2013;6(2):126-30
- WHO. Oral Health [Fact sheet]. WHO International Newsroom2020 [cited 2020 25.03.2020]. Available from: https://www.who.int/news-room/fact- sheets/detail/oral-health.
- Papapanou PN, Sanz M, Buduneli N, Dietrich T, Feres M, Fine DH, et al. Periodontitis: Consensus report of workgroup 2 of the 2017 World Workshop on the Classification of Periodontal and Peri-Implant Diseases and Conditions. J Periodontol. 2018;89 Suppl 1:S173-S82.
- Chapple IL, Bouchard P, Cagetti MG, Campus G, Carra MC, Cocco F, et al. Interaction of lifestyle, behaviour or systemic diseases with dental caries and periodontal diseases: consensus report of group 2 of the joint EFP/ORCA workshop on the boundaries between caries and periodontal diseases. J Clin Periodontol. 2017;44 Suppl 18:S39-s51.
- Schmalz G., Ziebolz D., Individualisierte Prävention-ein patientenorientiertes Präventionskonzept für die zahnärztliche Praxis, ZWR- Das deutsche Zahnärzteblatt 2020;129;147-156
- Schmalz G., Ziebolz D., Individualisierte Prävention-fallorientierte Bedarfsprävention, ZWR- Das deutsche Zahnärzteblatt 2020;129;33-41
- Graetz C, Seidel M. Mechanische Biofilmentfernung: Was, womit und wie funktioniert´s? Plaque N Care [Internet]. 2020. Available from: https://www.pnc-aktuell.de/prophylaxe/story/mechanische-biofilmentfernung- was-womit-und-wie-funktionierts 8637.html
- Ziebolz D, Kampfmann B. Ultraschallaktiviertes mechanisches Biofilmmanagement. Implantologie Journal. 2019;3.
- Wang C, Zhao Y, Zheng S, Xue J, Zhou J, Tang Y, et al. Effect of enamel morphology on nanoscale adhesion forces of streptococcal bacteria: An AFM study. Scanning. 2015;37(5):313-21
- Macri D. Implementing a multifaceted approach to caries prevention. Dimensions of Dental Hygiene. 2018;16(5):21-2, 4-5.
- Prabhu A, Nalawade KP, Balasubamanian K, Sampat P, Rohra S, Sheth D. Dentine Hypersensitivity: A review. International Journal of Scientific Research. 2017;6(7).
- Sanz M, Baumer A, Buduneli N, Dommisch H, Farina R, Kononen E, et al. Effect of professional mechanical plaque removal on secondary prevention of periodontitis and the complications of gingival and periodontal preventive measures: consensus report of group 4 of the 11th European Workshop on Periodontology on effective prevention of periodontal and peri-implant diseases. J Clin Periodontol. 2015;42 Suppl 16:S214-20.
comments