Seethrough – Imaging solutions

Great views for dental practices

Whether you are looking for extraoral or intraoral solutions – with Seethrough, W&H offers a complete imaging portfolio, consisting of highy advanced products for all requirements and a a cutting-edge software that sets new standards. All X-ray solutions have in common five uncompromising W&H principles for more quality, user-friendliness, and modern connectivity.
*One software for all products

    • Seethrough Max

      Get the full picture

      The perfect solution for those who refuse to compromise: Seethrough Max stands for exceptional image quality with an exceptionally wide FOV spectrum and low radiation. The open design and its generous dimensions ensure maximum patient compatibility and comfort, while the face-to-face positioning simplifies the user-patient interaction. Specifically designed for optimised acquisition and positioning processes, this CBCT device guarantees highly precise imaging results for a wide range of applications, from the smallest detail in endodontics to exact sections for implantology and the entire cranial volume for maxillofacial surgery or ENT applications. Seethrough Max – experience the future of X-ray technology in your practice now.

      Optimal adaptation

      With the special vertical sensor shift, the X-ray beam is optimally adapted to the patient morphology and the selected examination type – for highly detailed and distortion-free images.

      Exceptional FOV coverage

      From 3 × 4 cm to 17 × 17 cm for a particularly wide range of applications, from endodontics and implantology to oral surgery and ENT.

      Full 360° rotation

      Covers the full range of angles and perspectives – for images of exceptional clarity and definition.

      Automatic adjustment

      Seethrough Max automatically adjusts to the patient position, ensuring precise focus on the anatomy – for optimal imaging results.

      Maximum patient comfort

      Highest level of patient compatibility and maximum comfort with the open design and a wide gantry aperture – for smooth acquisition and undistorted imaging.


        Seethrough Flex

        See new dimensions

        High performance, small footprint: this is what Seethrough Flex stands for. With its compact design, intuitive operation and face-to-face positioning, this flexible CBCT device can be easily integrated into existing practice workflows. Like no other device, Seethrough Flex is characterised by precise imaging with minimal radiation exposure for the most common dental requirements: from small dental arch images to large-scale TMJ scans, for diagnosis as well as for implant planning. Seethrough Flex – experience the perfect symbiosis of image quality, user-friendliness and maximum patient safety.

        Best footprint to FOV ratio

        Seethrough Flex offers the best field of view to device dimension ratio on the market. With a wide FOV coverage from 5 × 5 cm to 14 × 10 cm, it is a real all-around system.

        Touch screen optional

        The intuitive 10" touch screen of Seethrough Max is optionally available for Seethrough Flex, putting full system control at your fingertips.

        360° rotation in the smallest of spaces

        With its innovative elliptical trajectory, Seethrough Flex achieves a full 360° rotation in a remarkably small footprint, for comprehensive dataset acquisition with optimised space efficiency.

        Extra-low radiation dose

        Intelligent features to reduce the radiation dose, combined with the compact design, ensure minimum exposure and maximum protection.

        Download Area

        Instructions for use

        Find all languages of the Update Hygiene and Maintenance (EN ISO 17664:2017) in the Download Centre.

      • Seethrough Arm

        Focus on what matters

        Robust, easy to use and versatile in application: The intraoral X-ray generator Seethrough Arm optimises daily routine processes in the dental practice. It can be used with phosphor plates or digital sensors and fits perfectly into any practice environment. Seethrough Arm – the ideal solution for fast and smooth workflows.

        Maximum flexibility
        with three different arm lengths (300/600/900), three wall box configurations and a flat design without protruding parts.

        You have the choice
        Basic or Comfort version with additional Seethrough Studio and ioDent® integration.

        Wireless control
        Convenient remote control for full radiation protection and unrestricted user-friendliness.


        Seethrough Scan

        Simply scantastic

        Slim in design, ergonomic in operation: Seethrough Scan is the ideal tool for all practices with PSP systems. It fits in the work environment easily, enables quick and safe insertion of plates in all sizes (0, 1, 2, 3) and is easy to clean. In addition, numerous automatic functions ensure optimised application processes. Seethrough Scan – your advanced PSP solution for simple and efficient imaging.

        Fully automatic
        Operating room identification, error detection, plate deletion and image transmission are carried out automatically.

        Slim and ergonomic
        With its user-friendly design, Seethrough Scan is easy to clean, easy to operate, and fits easily anywhere.


        Seethrough Sensor

        Sensationally sensitive

        Precise imaging with maximum patient comfort: due to its ergonomic design, the extra-slim Seethrough Sensor makes patients feel more relaxed. The highresolution CMOS sensor captures every detail in outstanding quality. Available in sizes 1 and 2, it can be easily integrated into the practice routine, and is driving digital dentistry forward. Seethrough Sensor – enjoy more efficient workflows, day after day.

        High patient comfort
        The extra slim design with rounded corners and smooth edges improves patient comfort during imaging.

        Simple operation
        A Plug & Play system ensures simple operation and high user comfort.

        Download Area

        Downloads

        Instructions for use

        Find all languages of the Update Hygiene and Maintenance (EN ISO 17664:2017) in the Download Centre.

      • Seethrough Studio

        See tomorrow. See a new level.

        In addition to sophisticated hardware technologies, the revolutionary Seethrough Studio software is a decisive factor for the high standard of the entire W&H imaging portfolio. With its beneficial features and advanced algorithms, Seethrough Studio is an all-in-one solution that takes imaging quality and digital dentistry workflows to a new level.

        Seamless integration

        Seethrough Studio can be easily integrated into your patient management system. You can start the software directly from the PMS without having to re-enter the patient data.

        Free FOV selection on the scout image

        Get the right image at the first scan: select the required FOV in the scout preview and freely adjust the region of interest. This ensures accurate positioning of the FOV and avoids the need to re-expose the patient.

        Patient motion and position correction

        The advanced patient motion correction algorithm elevates image quality to new levels in both 3D and 2D imaging. 2D images are further enhanced by a 21-layer autofocus system, seamlessly integrated with a patient positioning correction.

        Metal artefact removal (MAR)

        Restores image integrity by eliminating interference from metallic artefacts, and allows you to review images with MAR on or off – for a highly flexible visualisation and improved diagnostic accuracy.

        Sharp, detailed and undistorted images

        powered by the advanced algorithms of Seethrough Studio.

        Implant planning tool integrated

        In addition to the outstanding image quality and intuitive operation, Seethrough Studio offers numerous useful features such as the standard integrated implant planning tool for easy visualisation and preparation of the treatment.

        AI-supported functions

        Seethrough Studio utilises various AI tools for imaging enhancement, including 3D volume alignment, tooth segmentation, arch line generation, automatic nerve tracing as well as useful support for pathology detection.

        Work smarter, not harder

        Seethrough Studio is connected with ioDent® as standard. This advanced online platform from W&H combines important patient data, seamless communication and numerous useful services and support that make everyday practice life more efficient. Access 3D, panoramic and intraoral images at any time and from anywhere – ioDent® provides you with all the relevant patient information, whenever you need it.
        iodent.com

        Thanks to secure, fast data transfer, even anonymised patient cases can be shared, discussed and commented on with colleagues. In addition, patients can download their DICOM data via a secure link. Furthermore, ioDent® offers fast and direct access to customer support with the integrated service dashboard – providing immediate technical support from experts, if necessary. ioDent® also helps you comply with all legal guidelines and provides complete exposure lists for all radiological devices.

        Your Benefits

        • Top quality imaging
          Images of outstanding clarity and definition: our image quality sets new standards with an innovative combination of advanced hardware and software technologies.

        • Perfect integration
          Our solutions integrate into any practice management system (PMS) effortlessly, optimise your workflows and feature a high level of user-friendliness.

        • Intelligent functionality
          Innovative tools such as motion correction, positioning assistance and guided acquisition processes enable optimal results and a simpler, more intuitive operation.

        • Connected with ioDent®
          Access everything you need anytime, anywhere. Whether it is online image retrieval, patient data, data storage or access to the service dashboard: stay connected.

        • Revolutionary AI for your practice
          Innovative AI tools support image analysis and diagnosis, provide valuable insights and take patient care to a new level.

          Download Area

          Downloads


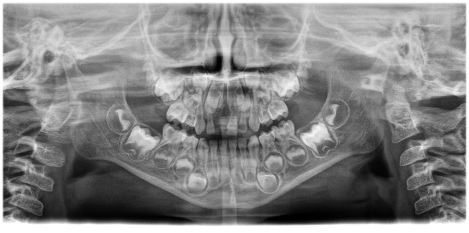
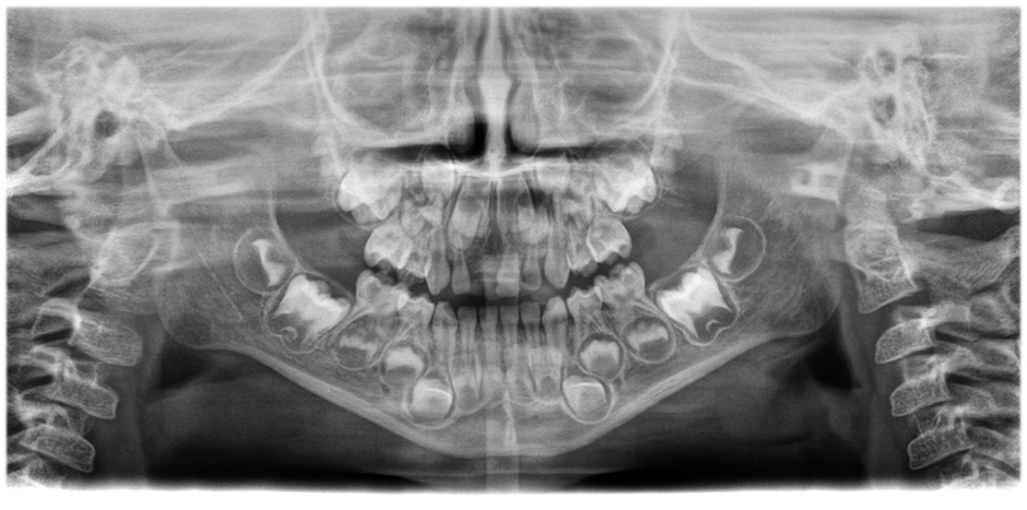
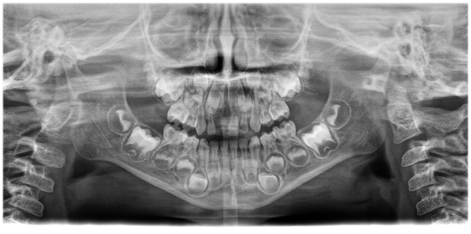
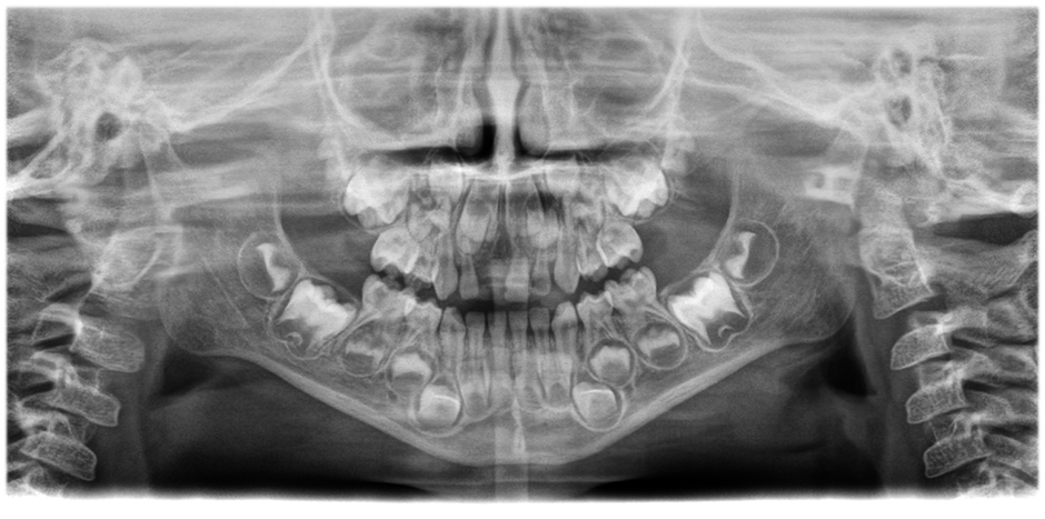
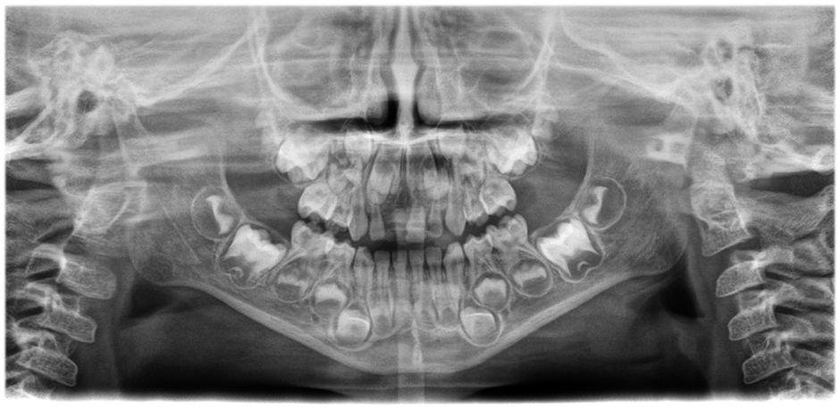
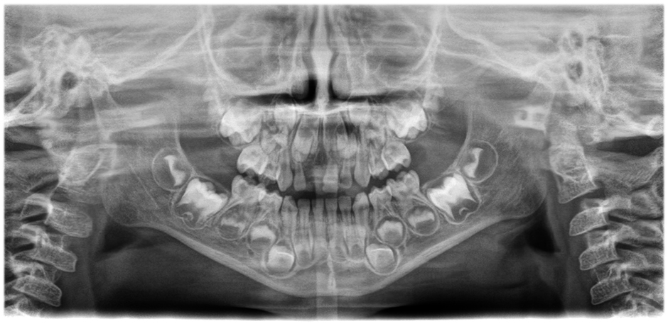
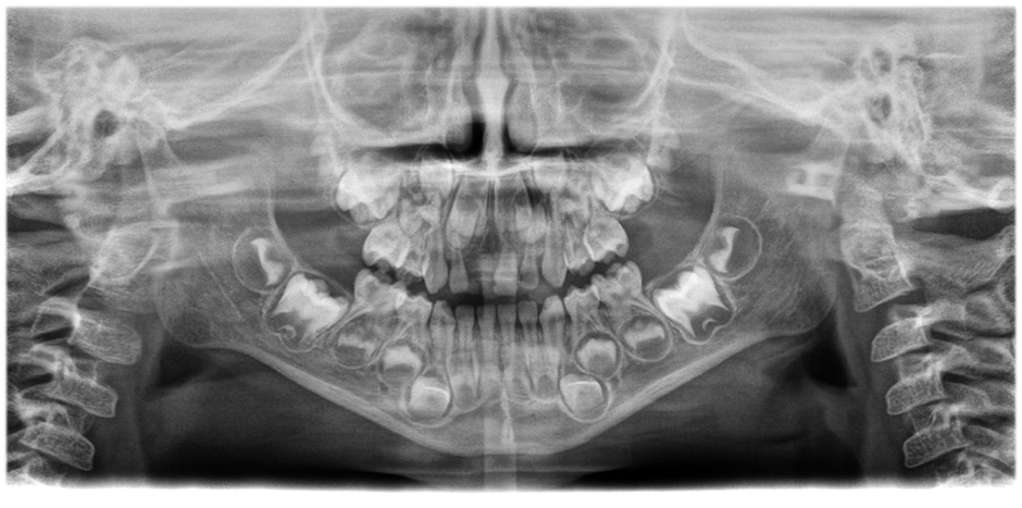
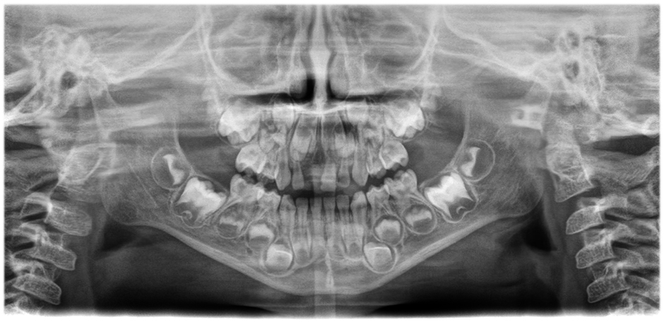
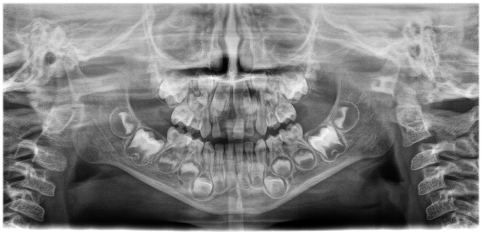
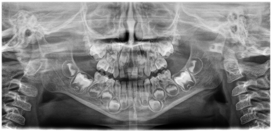
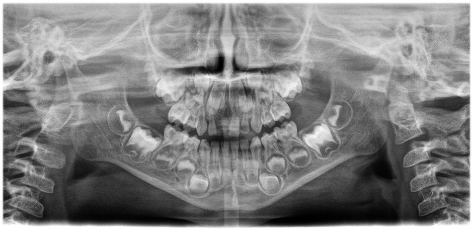
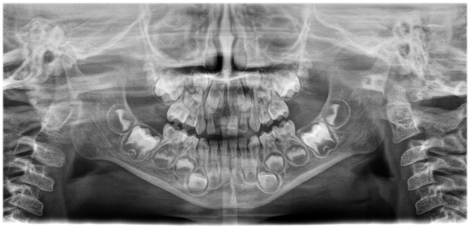
        • Panorama images of outstanding clarity and definition
          with the innovative 21-layer autofocus system seamlessly integrated with a patient positioning correction.
          Move the slider to see the difference (left image without, right image with autofocus and patient positioning correction)

          Download Area

          Downloads