Perfecta 900

Зубной техник высшей категории (ZTM) (Master dental technician) Юрген Ауффарт (Jurgen Auffarth)
Зальцбург, Австрия
Моторный наконечник для зубного техника - это как для врача – стоматолога угловой наконечник - важнейший инструмент, который он чаще всего использует в своей профессиональной жизни.
Если речь заходит о Perfecta 900 от компании W&H, то можно с уверенностью говорить о бесшумном, удобном с точки зрения формы и производительном инструменте.
Если в течение многих лет вы имели опыт работы с подобными аппаратами, то звук, идущий от привода с воздушной турбиной, не всегда напоминает приятную музыку. Скоростной режим в 200 000 оборотов в минуту часто необходим для выполнения определенных операций. Так, при обработке современных материалов, как, например, диоксид циркония, имеет смысл снижение скорости наполовину при одновременном использовании водного охлаждения.
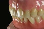
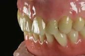
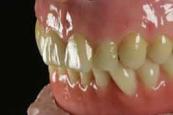
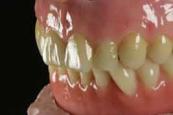
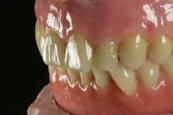
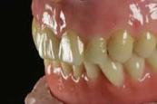
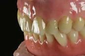
Аппарат Perfecta 900 состоит из пульта управления с емкостью для охладительной жидкости и разъема для подключения сжатого воздуха, высокоскоростного наконечника со скоростью 50 000 об/мин, а также высокопроизводительного двигателя (с числом оборотов 100.000) при одновременном охлаждении водой. Вы можете выбирать между ножным управлением или работать с помощью коленного блока управления. Индивидуальное использование обоих инструментов легко регулируются и юстируются с помощью компактного настольного пульта управления. Оба наконечника оснащены функцией продувки, которая благодаря удалению опилок или шлифовальной пыли непосредственно во время работы обеспечивает эффективную обработку заготовок. Данная функция продува, в особенности при использовании окклюзионного спрея в процессе пригонки металлических коронок на финагеле при одновременном использовании стереомикроскопа, облегчает работу тем, что не требуется часто очищать заготовку коронки после каждой шлифовки, тем самым поле обзора остается неизменным. Максимально высокое число оборотов.
Необычным является незначительный нагрев наконечника даже в условиях продолжительной обработки сплавов, не содержащих драгоценных металлов. Там, где другие устройства автоматически снижают скорость вращения, как, например, при сепарации зубов с помощью алмазных дисков большого диаметра, аппарат Perfecta 900 легко справляется с задачей. Благодаря высокой скорости наконечника (50 000 оборотов в минуту) следует всегда следить за тем, чтобы индивидуально регулируемое максимальное число оборотов соответствовало используемому шлифовальному, фрезерному или полировочному инструменту.
Дополнительная, регулируемая в индивидуальном режиме функция темпомат помогает сохранять концентрацию в процессе работы. Тем самым зубной техник может уделить все свое внимание обработке краев вкладок, виниров и коронок. Шлифование высокопрочной керамики, как, например, оксид циркония или дисиликат лития, должно выполняться максимально мягко, а именно с помощью мелкозернистых алмазов при водном охлаждении. Интенсивность подачи охлаждающего спрея настолько точно регулируется с помощью колесика, расположенного на обратной стороне пульта управления аппарата Perfecta 900, что используемый в качестве подложки кусочек материи достаточен для удаления влаги в процессе обработки.
Если работа завершена, то наконечник кладется на специальную нескользящую резиновую подставку, со специальным углублением для хранения наконечника, которая предотвращает повреждение установленного инструмента.



комментарии