Anwenderbericht von ZTM Jürgen Auffarth

Was für den Zahnarzt das Winkelstück bedeutet, ist für den Zahntechniker das Handstück. Das wahrscheinlich am häufigsten verwendete Instrument im Laufe eines Berufslebens. Spricht man von der Perfecta 900 von W&H, so kann man getrost von einem Instrument sprechen. Einem geräuscharmen, formschönen und leistungsstarken Instrument.
Nach jahrelanger Verwendung von durch Luftturbinen angetriebenen Geräten sind dem Anwender deren Geräusche nicht immer Musik im Ohr gewesen.
Ja, 200.000 Umdrehungen pro Minute sind für so manche Einsatzgebiete erforderlich und berechtigt. Für die Bearbeitung moderner Materialien wie beispielsweise Zirkoniumoxid, macht die Reduktion um die Hälfte bei gleichzeitiger Wasserkühlung durchaus Sinn.
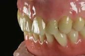
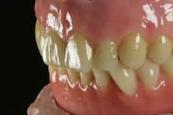
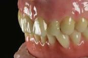
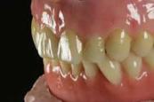
Die Perfecta 900 besteht aus einem Steuergerät mit Kühlmitteltank und Luftanschluss zur Verwendung eines durchzugstarken Handstückes mit bis zu 50.000 U/min., sowie einem Hochleistung Mikromotor mit bis zu 100.000 U/min. bei gleichzeitiger Wasserkühlung. Es kann zwischen der Bedienung durch Fuß oder Knie Anlasser gewählt werden. Die individuelle Verwendung beider Instrumente wird, leicht bedienbar, über ein Platz sparendes Tischsteuergerät eingestellt und fein justiert. Beide Handstücke verfügen über eine Ausblas Funktion, welche durch die Entfernung von Spänen oder Schleifstaub direkt während des Einsatzes, ein sehr effizientes Bearbeiten von Werkstücken ermöglicht. Insbesondere bei der Verwendung von Occlusprays beim Aufpassen von Metallkronen auf den Arbeitsstumpf bei gleichzeitigem Einsatz eines Stereomikroskopes, erleichtert die Ausblas Funktion die Arbeit dadurch, dass das Werkstück nicht nach jedem Schliff abgesetzt werden muss und somit das Blickfeld unverändert bleibt.
Auffällig ist die geringe Erwärmung des Handstückes selbst bei einer längeren Bearbeitung von Edelmetallfreien Legierungen. Wo sich andere schon längst automatisch abregeln, wie zum Beispiel beim Sägen von Zahnkränzen mit Diamantscheiben von großem Durchmesser, zieht die Perfecta 900 locker durch. Aufgrund der hohen maximalen Drehzahl des Handstückes von 50.000 U/min ist stets darauf zu achten, dass die individuell wählbare Drehzahl der maximalen Drehzahl des jeweils verwendeten Schleif-, Fräs-, oder Polierinstrumentes angepasst wird.
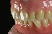
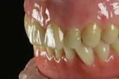
Ein konzentriertes Arbeiten wird durch die zusätzliche, individuell einstellbare Tempomatfunktion erleichtert. Die Aufmerksamkeit des Technikers kann dadurch beispielsweise bei der Bearbeitung von Inlay-, Veneer- oder Kronenrändern, ganz dem Werkstück gewidmet werden. Das Beschleifen von hochfesten Keramiken wie Zirkoniumoxid oder Lithium Disilikaten sollte möglichst sanft erfolgen, und zwar mit Feinkorndiamanten unter Wasserkühlung. Die Intensität des Kühlsprays ist durch ein Stellrad an der Rückseite des Steuergerätes der Perfecta 900 so fein einstellbar, dass ein Stofftuch als Unterlage genügt um die Feuchtigkeit während des Bearbeitens aufzunehmen.
Ist die Arbeit getan, so ruht die Perfecta 900 in einer rutschfesten Gummiablage mit einem steilen Ablagewinkel, ohne Gefahr, eingespannte Instrumente zu beschädigen.
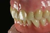
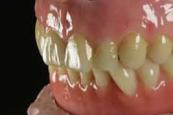
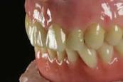
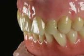
Der Prozess der Veredelung von Werkstoffen durch manuelles Bearbeiten mit rotierenden Instrumenten wird noch lange ein wesentlicher Bestandteil unseres Berufes sein. Mit der Perfecta 900 deckt man alle Einsatzgebiete der modernen Zahntechnik durch die Vereinigung von zwei Mikromotoren in einem Steuergerät ab, und erzielt einen enormen Mehrwert durch die integrierten Zusatzfunktionen. Ein Gerät, welches in einem zeitgemäßen und qualitätsorientiertem Labor nicht fehlen sollte.



Kommentare