Facelight Teil 2 - Die sichere Methode zur Kariesdetektion
Mit der neuen Facelight Lichtsonde von W&H werden sicheres Erkennen von Karies während der Behandlung sowie minimalinvasives Arbeiten in Zahnarztpraxen Realität. Neben der Unterstützung des Anwenders bei der optimalen Gestaltung seiner Behandlungsabläufe profitieren Patienten von einer schonenden und effizienten Behandlung. Dr.med. dent. Olaf Klewer und ZÄ Ann-Katrin Hinz haben das klinische Hilfsmittel bereits seit mehreren Monaten im Einsatz. In einem ersten Anwenderbericht haben sie über ihre einschlägigen Erfahrungen sowie die Vorteile von Facelight berichtet (siehe dazu die Veröffentlichung in ZWP Nr. 7/8 2012). Nachfolgend sollen weitere Erkenntnisse zum innovativen W&H Produkt dargestellt werden:
Herkömmliche Methoden der Kariesbeurteilung (wie Sichtkontrolle, Sondenkontrolle, Kariesmarker) sind hinlänglich bekannt. Gemäß einer In-vitro-Studie von Lennon et. al. werden diese nun um die Kontrolle mittels Facelight ergänzt (Oper Dent 2007 May-Juni;32(3):226-41). Bei diesem Verfahren wird durch die Beleuchtung eröffneter Kavitäten mittels Lichtsonde kariös infiziertes Dentin direkt sichtbar. Möglich wird dies durch die innovative FACE-Methode*.
Die von Bakterien im kariös infizierten Dentin hinterlassenen Stoffwechselprodukte (Porphyrine) sind zwar mit freiem Auge nicht sichtbar, unter der Facelight Lichtsonde weisen diese jedoch eine rot fluoreszierende Charakteristik auf, während sich gesunde Zahnsubstanz durch eine grüne Fluoreszenz unterscheidet. Mittels Facelight Filterbrille oder mittels speziellem Aufsatz, der über einer normalen optischen Korrekturbrille getragen werden kann, wird dieser Kontrast deutlich verstärkt.
Sicheres Aufspüren von Kariesrezidiven
Das Problem herkömmlicher Methoden zur Kariesdetektion mit Hilfe visueller und taktiler Überprüfung der Kavität liegt darin, dass schmale Streifen bakteriell infizierter Zahnhartsubstanz nicht erkannt und daher nicht diagnostiziert werden. Nach Lennon et al. (Caries Res 2006;40:2-5) bietet Facelight eine zuverlässige Methode zur Detektion von Karies. Ausnahme ist die Erkennung von Initialkaries (eine Kariesvorstufe), da die Aktivität der Streptokokken, die während dieses Anfangsstadiums involviert sind, auf diese Weiße nicht nachzuweisen ist. Dentin-Karies kann hingegen zu jedem Zeitpunkt einwandfrei erkannt werden.
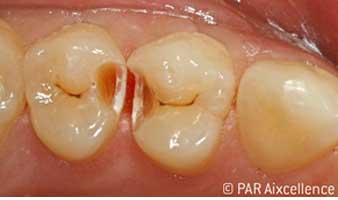
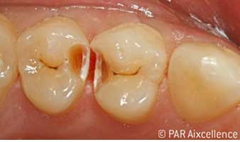
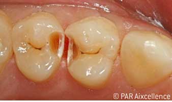
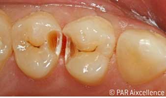
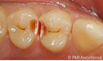
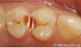
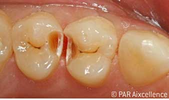
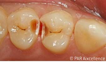
Während im Rahmen unserer ersten Untersuchung 67 Kavitäten (Veröffentlichung dazu siehe ZWP Nr. 7/8 2012) einer Kontrolle unterzogen wurden, prüften wir bei unserer zweiten Untersuchung insgesamt 190 Kavitäten. Dabei konnten wir folgende Besonderheit feststellen: Zwar wurden alle 190 Kavitäten mittels zahnärztlicher Sonde als kariesfrei beurteilt, bei einer anschließenden Kontrolle mit der Facelight Lichtsonde ließ sich jedoch noch an 12 Kavitäten (6,3%) Karies nachweisen.
Mit der zahnärztlichen Sonde nicht erreichbare Mikrobereiche werden bei der taktilen Überprüfung häufig übergangen. Auch bei der Überprüfung der Kavität mittels Färbemitteln treten oftmals Probleme auf. So kommt es in pulpanahen Bereichen zu falsch-positiven Bewertungen, zudem lassen sich Farbrückstände nur sehr schwer wieder entfernen.
Optimaler Zugang zur Behandlungsstelle
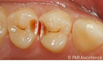
Auffällig ist, dass die Facelight-Technologie bei Füllungen wegen der eventuellen Unterschnitte ein sehr gutes Hilfsmittel ist. Bei Füllungen möchte der Behandelnde gerne vom Schmelz möglichst viel erhalten und baut unter sich gehende Stellen ein. Diese sind durch die Schmelzüberhänge oft nur schwer einsehbar, daher ist das deutliche Aufleuchten des kariösen Prozesses eine große Hilfe.
Ein wesentlicher Vorteil der Facelight Lichtsonde liegt in ihrem schlanken Design. So ermöglicht sie auch bei schwer zugänglichen Behandlungsstellen ein reibungsloses Arbeiten. Selbst dem Behandelnden abgewandte Stellen, wie z.B. 47 disto-lingual, lassen sich einfach und sicher durch die auffällige Fluoreszenz-Charakteristik kariös infizierter Zahnhartsubstanz beurteilen.
Während der Behandlung empfiehlt es sich, den Einsatz von Facelight für den Patienten, aber auch für das eigene Praxisteam möglichst bequem zu gestalten. Unnötige Unterbrechungen der Behandlung sind zu vermeiden. Gemäß unserer Erfahrung zeigte sich, dass eine reibungslose Anwendung in der Regel dann gewährleistet wird, wenn der Behandelnde einen Aufsatz auf seiner Brille trägt und ein(e) MitarbeiterIn die Lichtsonde zum Einsatz bringt. In vielen Fällen ist eine Abschlusskontrolle völlig ausreichend.
Ein gutes Gefühl …
Nach zahlreichen Anwendungen konnten wir feststellen, dass unsere Patienten durchwegs positiv auf den Einsatz von Facelight reagierten. Neben einem schonenden und minimalinvasiven Eingriff profitieren sie von der langfristigen Vital-Erhaltung ihrer Zähne und können zudem auf ein gutes Behandlungsergebnis vertrauen.
Generell sind leicht weißlich verfärbte, demineralisierte Schmelzbereiche an der Präparationsgrenze meist frei von Stoffwechselprodukten der Bakterien, werden jedoch aus ästhetischen Gründen noch mit entfernt. Amalgamverfärbungen oder ähnliche Verfärbungen, die nach der Behandlung von der Füllung überdeckt werden, können belassen werden, da man davon ausgehen kann, dass diese kariesfrei sind.
Bei lichtdurchlässigen Füllungen könnten diese natürlich noch mit einer opaken Deck- bzw. Aufbaufüllung versorgt werden. Eine akzidentielle Pulpaeröffnung kann in diesen Fällen vermieden werden - ein langfristiger Erhalt sichergestellt, da keine Wurzelbehandlung mit anschließendem Überkronen notwendig wird.
Karies lückenlos und dauerhaft entfernen
Auffällig war, dass besonders an sehr tiefen okklusalen Fissuren mittels Facelight noch immer baktierielle Stoffwechselprodukte nachgewiesen werden konnten. In der Regel hätte man diese nur als Verfärbung deklariert und daher meist so belassen. Selbst mit der zahnärztlichen Sonde waren diese Kariesrückstände bisher nicht tastbar, da sie nur streifen- oder punktförmig sind. Kariesrezidiven waren in diesen Fällen also vorprogrammiert. Mit der neuen Facelight-Technologie von W&H kann dies künftig ausgeschlossen werden. Basierend auf der modernen FACE-Methode ist eine klare Unterscheidung von gesunder und erkrankter Zahnhartsubstanz und folglich eine gezielte Behandlung des Patienten möglich.
Aufgrund schlechter Mundhygiene oder bestimmter Gewohnheiten, wie z.B. verstärkter Konsum von Süßigkeiten, besteht bei Patienten generell die Angst vor einer raschen Karies-Neubildung. Durch die Anwendung von Facelight können sie darauf vertrauen, dass kariös infizierte Stellen lückenlos entfernt werden und somit ein Wiederaufflammen von Karies vermieden wird. Darüber hinaus gehört eine Übertherapie durch selektives Arbeiten an der Behandlungsstelle der Vergangenheit an.
Fazit
Aufgrund unserer positiven Erfahrungen mit Facelight sowie den eindeutigen Untersuchungsergebnissen werden künftig alle unsere PraxismitarbeiterInnen das W&H Produkt einsetzen. Da unsere Untersuchungsergebnisse wichtige Erkenntnisse zur Facelight-Technologie liefern, werden wir unsere Untersuchungen fortführen, um die bisher gesammelten Ergebnisse weiter zu verifizieren. Fest steht jedoch, dass Zahnärzten mit Facelight eine neue und innovative Methode zur Beurteilung von Karies zur Verfügung steht, die im Vergleich zu herkömmlichen Verfahren ein höheres Maß an Sicherheit bietet.
* © Prof. Dr. Wolfgang Buchalla, Fluorescense Aided Caries Excavation (fluoreszenzunterstützte Kariesexkavation)
Literaturverzeichnis:
Oper Dent 2007 May-Juni;32(3):226-41
Caries Res 2006;40:2-5










ZÄ Ann-Katrin Hinz
Vorbereitungsassistentin

Kommentare