Der gesunde Patient mit parodontaler Vorerkrankung & Periimplantitis
Einleitung
Schon lange ist bekannt, dass ein bidirektionaler Zusammenhang zwischen Mund- und Allgemeingesundheit besteht. Eine alleinige Betrachtung der oralen Situation ist nicht ausreichend und nicht mehr zeitgemäß. Die genaue Anamnese und Befundung von Allgemeingesundheit und Mundgesundheit sowie deren gemeinschaftliche Betrachtung sind unabdingbar um ein individuelles, fallorientiertes Präventions- und Patientenprofil zu erstellen (1–3).
Durch Berücksichtigung und Betrachtung der individuellen Patientenparameter lässt sich ein Risikoprofil erstellen, welches dabei hilft, den Erhalt der Gesundheit und der Lebensqualität des Patienten optimal zu unterstützen und auch dem Behandler eine Planungssicherheit zu geben.
Anhand der vorliegenden Fallpräsentation kommt die Systematik des individuellen Präventionskonzepts zur Erstellung eines fallorientierten Patientenprofils und der sich daraus ergebenden Therapiemaßnahmen zur Anwendung.
Fallbeschreibung
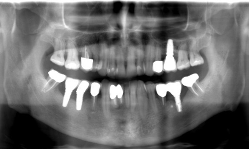
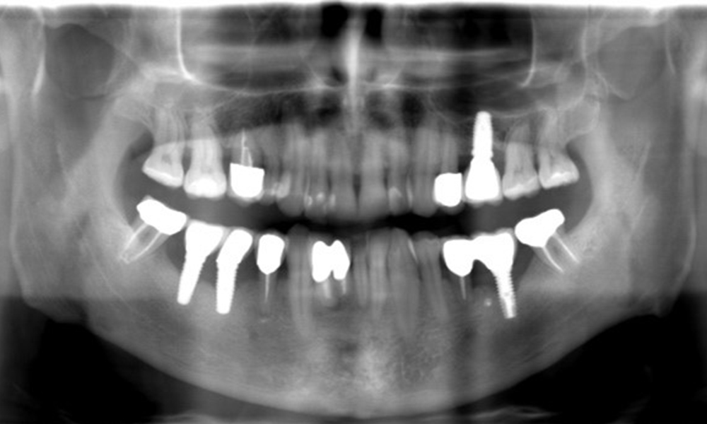
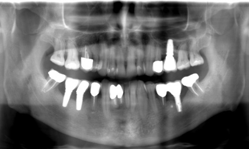
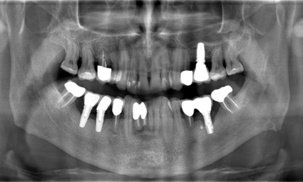
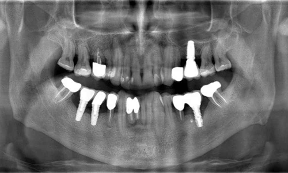
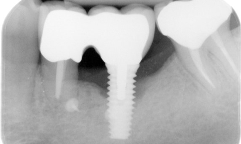
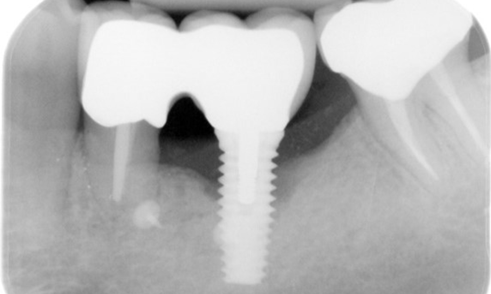
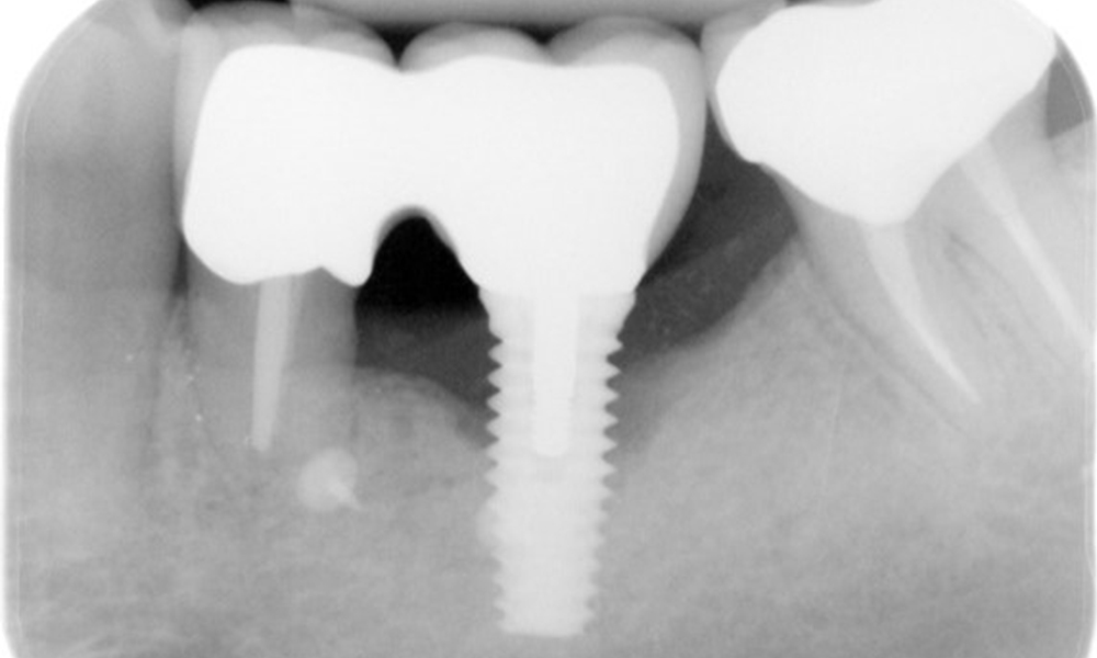
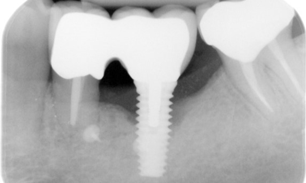
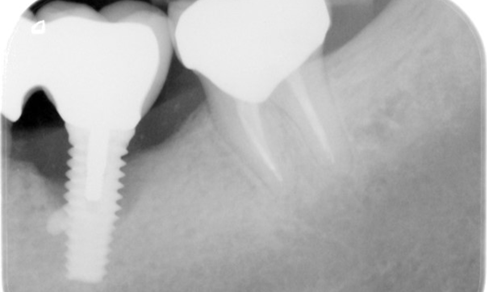
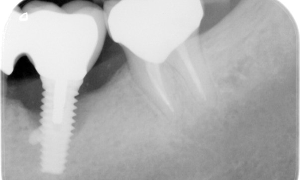
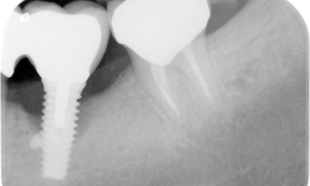
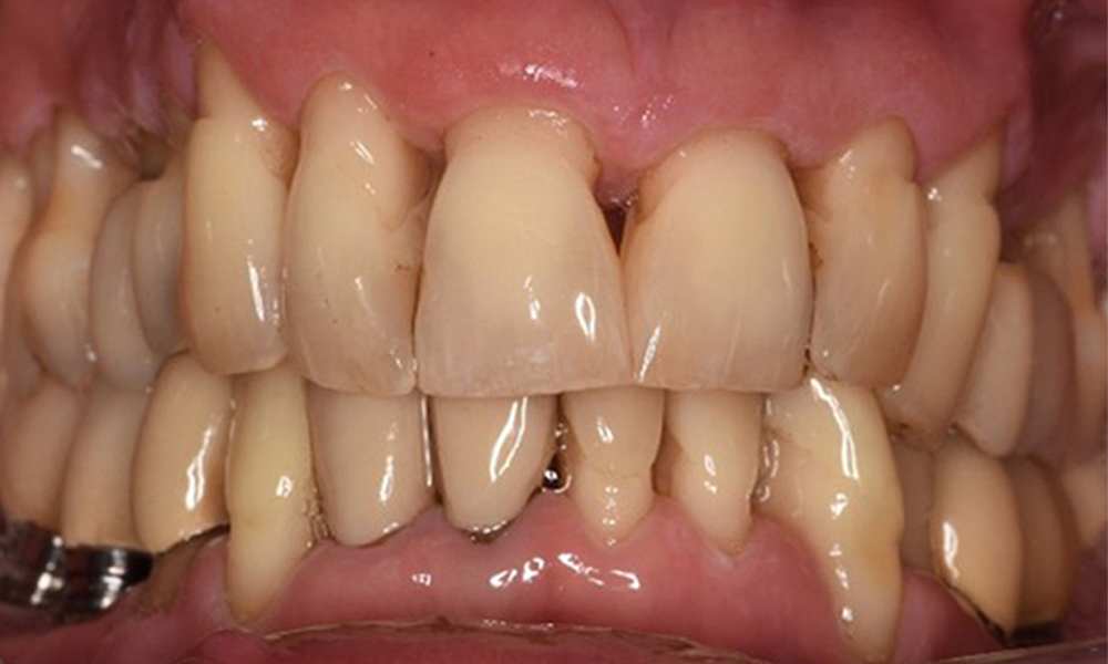
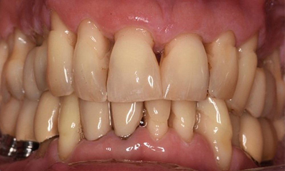
Ein 52-jähriger Patient stellt sich zur Präventionssitzung vor. Der Patient hat keine Allgemeinerkrankungen und nimmt keine Medikamente ein. Er hat verschiedene zahnärztliche Versorgungen und zudem zwei aktive kariöse Läsionen. Außerdem verfügt der Patient über vier Implantate (2., 3. und 4. Quadrant). Es zeigt sich eine parodontale Vorerkrankung (Stadium IV, Grad B). Derzeit herrschen stabile parodontale Verhältnisse, lediglich am Implantat regio 36 zeigen sich Sondierungstiefen (ST) von 5 mm. Zudem lässt sich eine Gingivitis feststellen.


Fallbetrachtung nach IPC
Anamnese: unauffällig
Risikofaktoren: keine
Erkrankungs- oder Komplikationsrisiko: keines
Medikamente: keine
Lebensgewohnheiten: unauffällig
Mundgesundheit: stabil
Versorgungen: multiple keramische Restaurationen, vier Implantate (2., 3., 4., Quadrant)
Kariesrisikoabschätzung: erhöht, aktive Initialläsionen vorhanden
Parodontitis: mittleres Risiko, vorangegangen (Stadium IV, Grad B), derzeit stabile Verhältnisse am reduzierten Parodont
Entstehungsrisiko: hoch für Periimplantitis, moderat für Karies
Progressionsrisiko: hoch für Periimplantitis, moderat für Parodontitis, moderat für Karies
Behandlungsempfehlung nach IPC

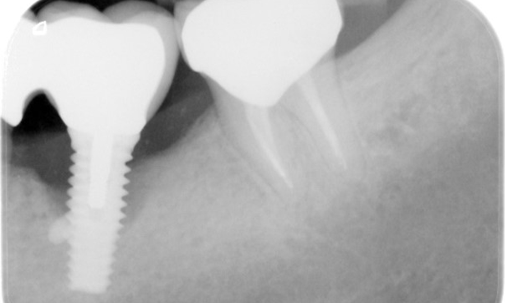
Der Patient zeigt keine besonderen anamnestischen Risikofaktoren mit spezifischen zahnmedizinischen Auswirkungen. Daher ist der aus der Mundgesundheit ermittelte Bedarf maßgebend. Hierbei zeigt sich am Implantat im 3. Quadranten ST von 5 mm und im Röntgenbild eine Zunahme des Knochenverlustes. Der Patient hat zudem eine aktuell stabile parodontale Vorerkrankung und zwei aktive initialkariöse Läsionen.

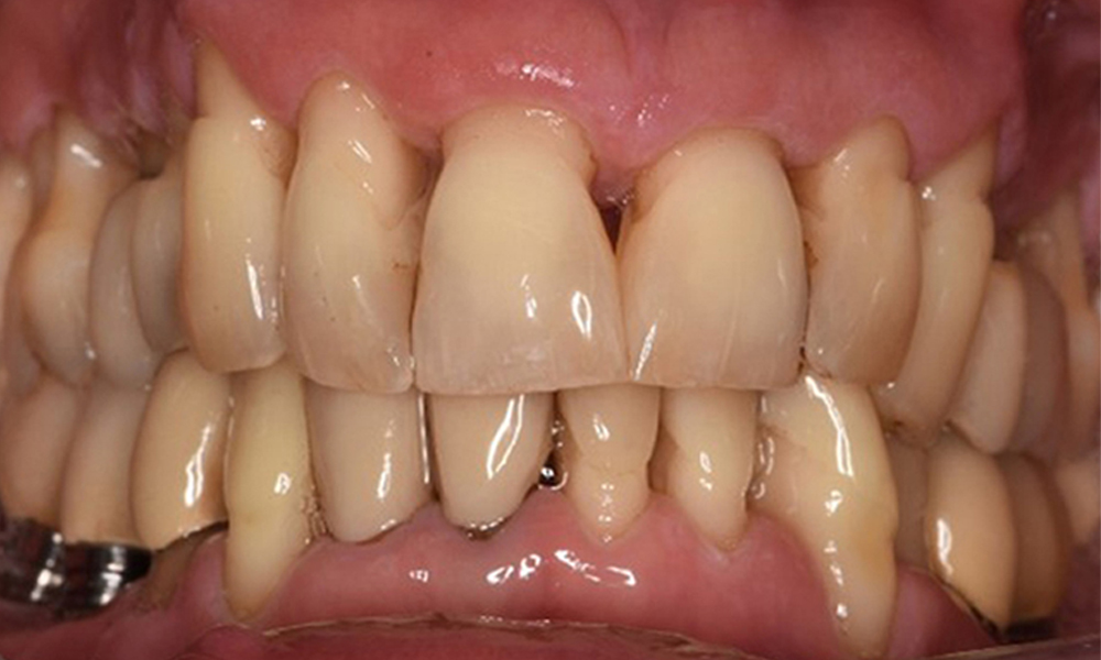
Die Mundhygiene und Mitarbeit des Patienten sind sehr gut (siehe Abbildung "Frontansicht"). Es bedarf lediglich der Reinstruktion und Motivation zum Aufrechterhalten des Mundhygieneverhaltens.

In der Instrumentierung gilt im Bereich der Implantate eine besondere Vorgehensweise. Zum Erhalt der Implantatoberfläche bei gleichzeitig effektiver Reinigung ist die Wahl passender Pulver und Instrumente ausschlaggebend, wie etwa der gezielte Einsatz von Pulverstrahlgeräten mit speziellen Paro-Spitzen. Die Wahl des geeigneten Pulvers kann bedarfs- und risikogerecht erfolgen, beispielsweise kann neben dem passenden Abrasionsgrad auch auf diätische Anforderungen (u. a. zuckerfrei, salzarm) eingegangen werden.

Für die exponierten Wurzeloberflächen und initialkariösen Läsionen empfiehlt sich die Verwendung von fluoridhaltigem Lack.

Aufgrund der parodontalen Vorerkrankung und der Periimplantitis wird eine Wiedervorstellung nach erfolgter Periimplantitistherapie zunächst alle drei bis vier Monate empfohlen.





Literaturverzeichnis
- Schmalz G., Ziebolz D., Individualisierte Prävention-ein patientenorientiertes Präventionskonzept für die zahnärztliche Praxis, ZWR- Das deutsche Zahnärzteblatt 2020;129;147-156
- Schmalz G., Ziebolz D., Individualisierte Prävention-fallorientierte Bedarfsprävention, ZWR- Das deutsche Zahnärzteblatt 2020;129;33-41
- Schmalz G., Ziebolz D., Individualisierte Prävention-Implikation allgemeingesundheitlicher Faktoren, ZWR- Das deutsche Zahnärzteblatt 2019;128;295-304
- Bansal M, Rastogi S, Vineeth NS. Influence of periodontal disease on systemic disease: inversion of a paradigm: a review. Journal of medicine and life. 2013;6(2):126-30.
- Si Y, Fan H, Song Y, Zhou X, Zhang J, Wang Z. Association Between Periodontitis and Chronic Obstructive Pulmonary Disease in a Chinese Population. Journal of Periodontology. 2012;83(10):1288-96.
- WHO. Oral Health [Fact sheet]. WHO International Newsroom2020 [cited 2020 25.03.2020]. Available from: https://www.who.int/news-room/fact-sheets/detail/oral-health.
- Seitz MW, Listl S, Bartols A, Schubert I, Blaschke K, Haux C, et al. Current Knowledge on Correlations Between Highly Prevalent Dental Conditions and Chronic Diseases: An Umbrella Review. Preventing chronic disease. 2019;16:E132.
- Papapanou PN, Sanz M, Buduneli N, Dietrich T, Feres M, Fine DH, et al. Periodontitis: Consensus report of workgroup 2 of the 2017 World Workshop on the Classification of Periodontal and Peri-Implant Diseases and Conditions. J Periodontol. 2018;89 Suppl 1:S173-S82.
- Chapple IL, Bouchard P, Cagetti MG, Campus G, Carra MC, Cocco F, et al. Interaction of lifestyle, behaviour or systemic diseases with dental caries and periodontal diseases: consensus report of group 2 of the joint EFP/ORCA workshop on the boundaries between caries and periodontal diseases. J Clin Periodontol. 2017;44 Suppl 18:S39-S51.
- Cao R, Li Q, Wu Q, Yao M, Chen Y, Zhou H. Effect of non-surgical periodontal therapy on glycemic control of type 2 diabetes mellitus: a systematic review and Bayesian network meta-analysis. BMC oral health. 2019;19(1):176.
Kommentare