The (orally) healthy patient with implants
Case description
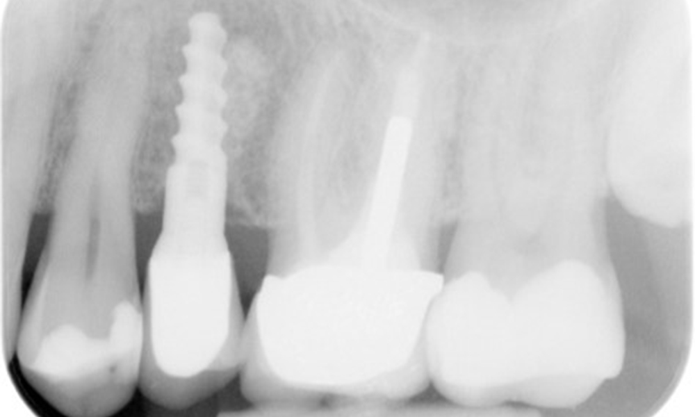
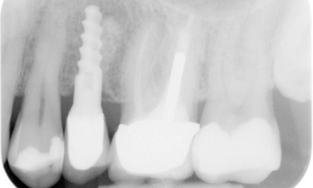
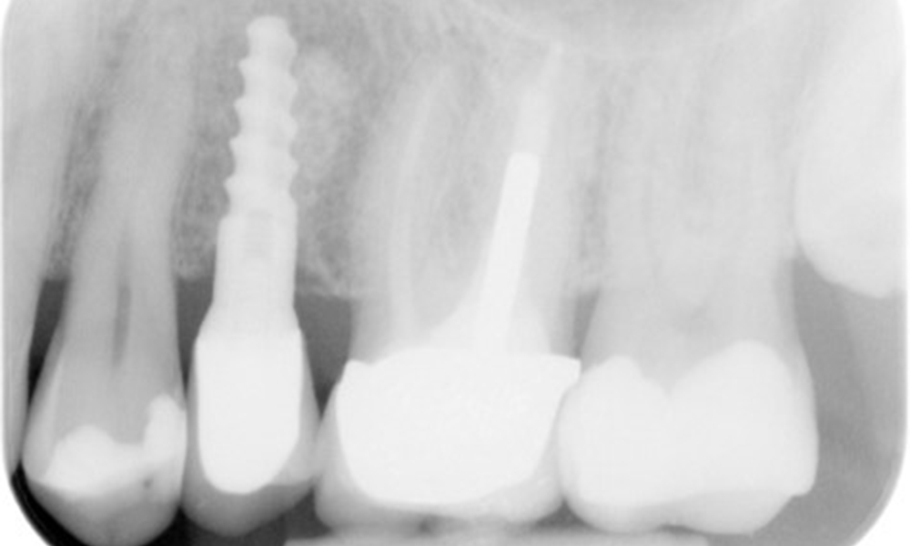
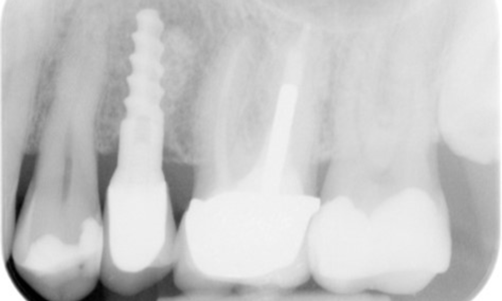
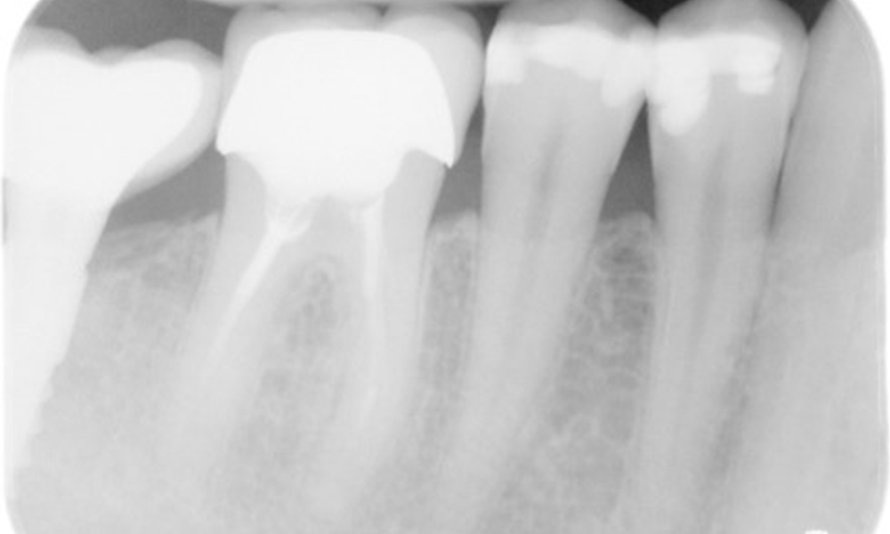
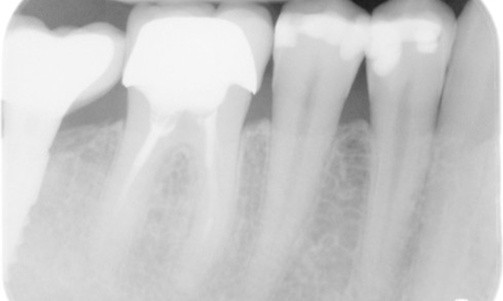
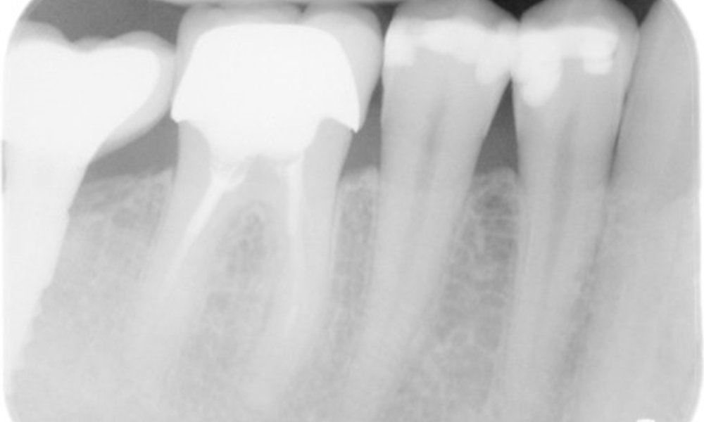
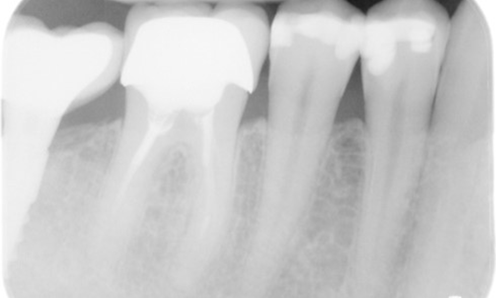
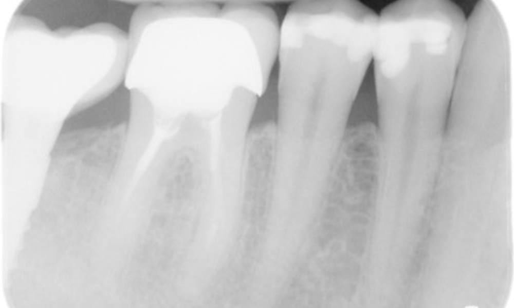
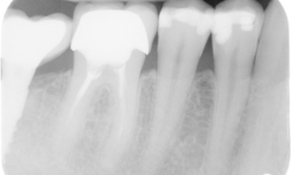
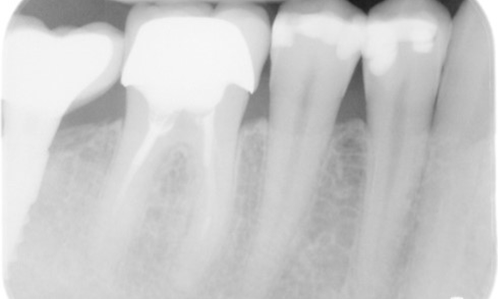
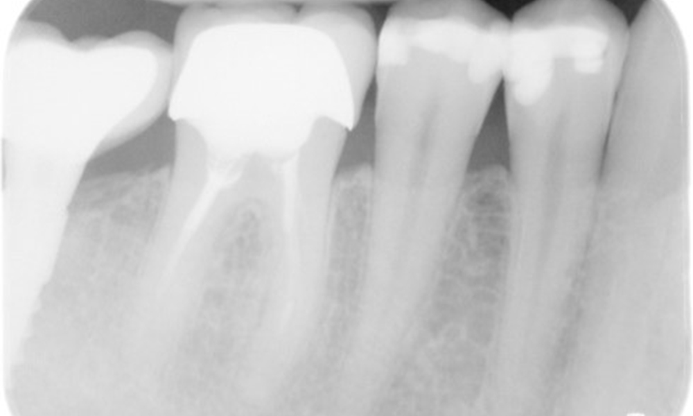
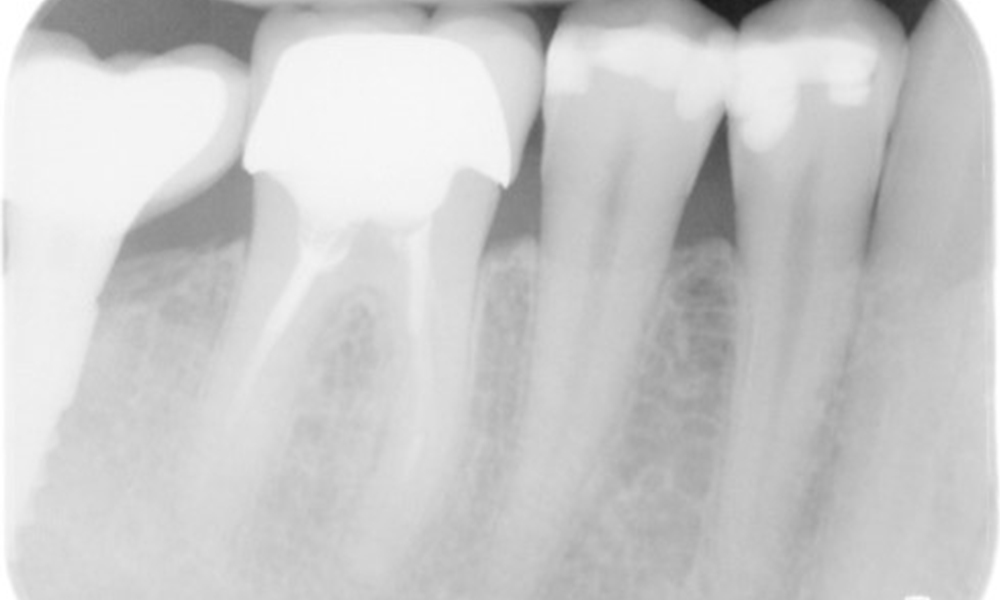
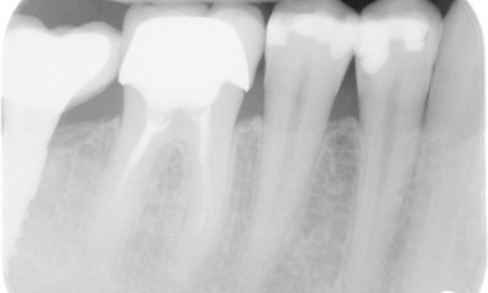
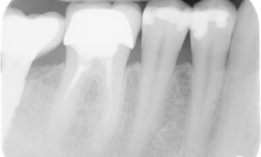
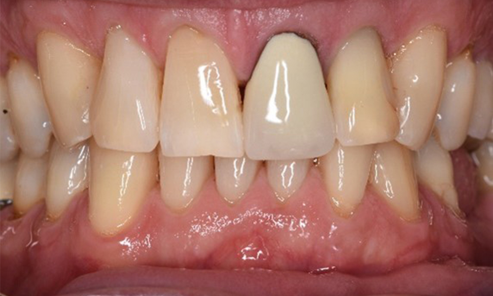
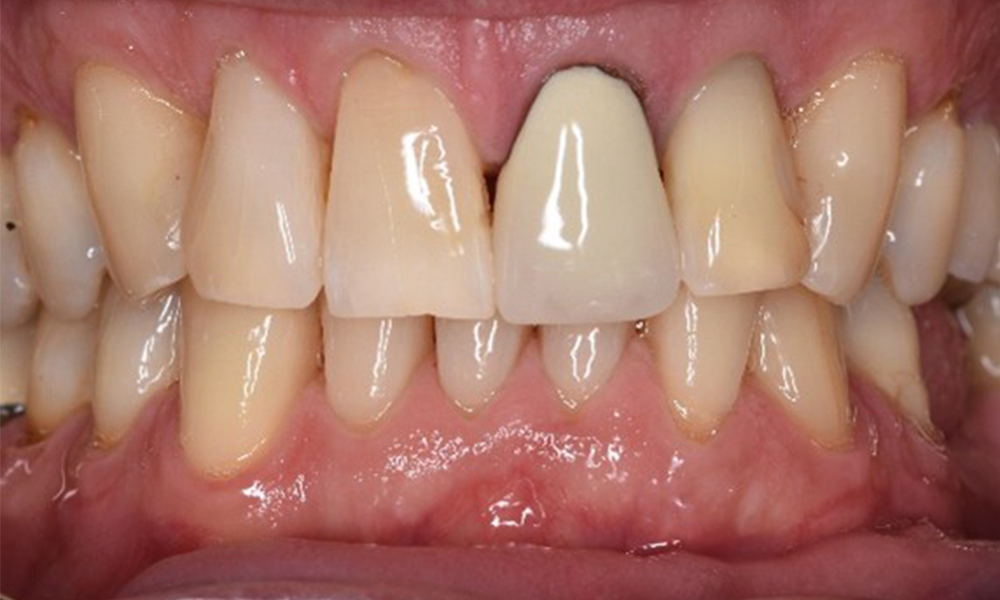
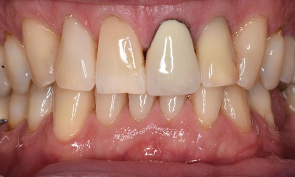
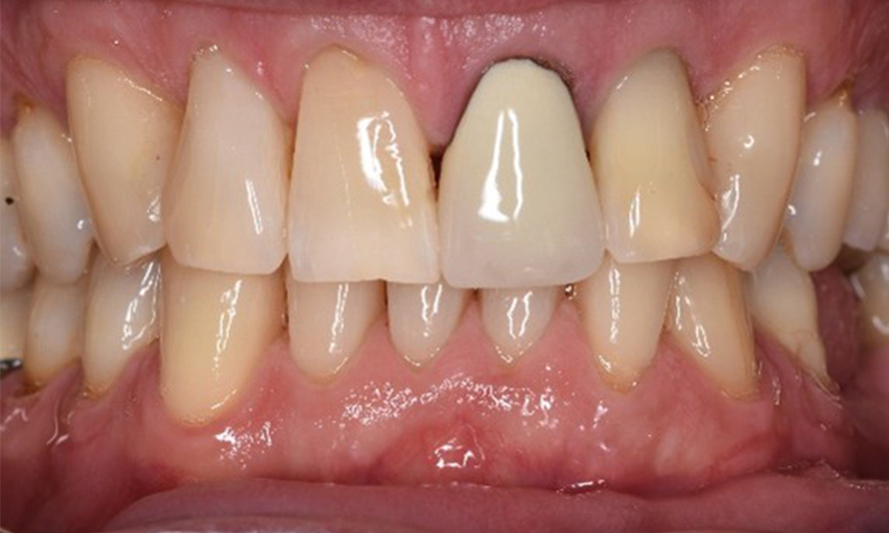
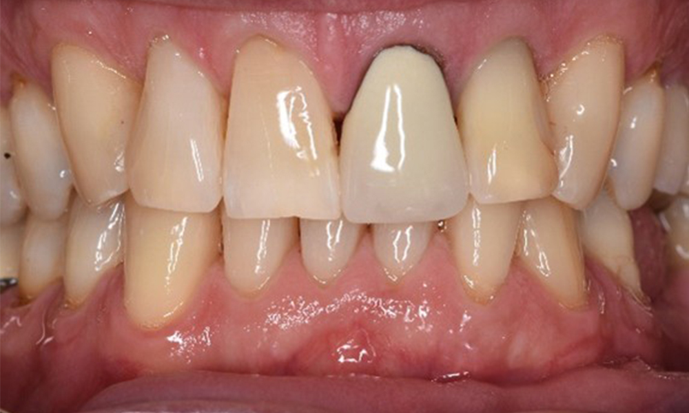
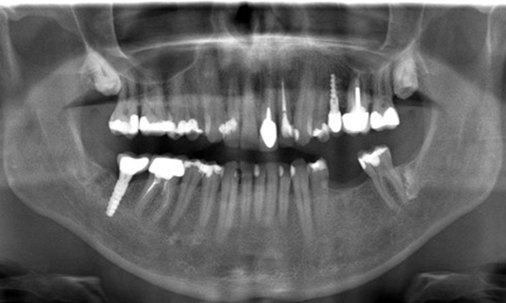
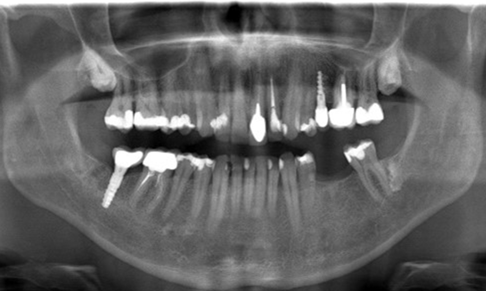
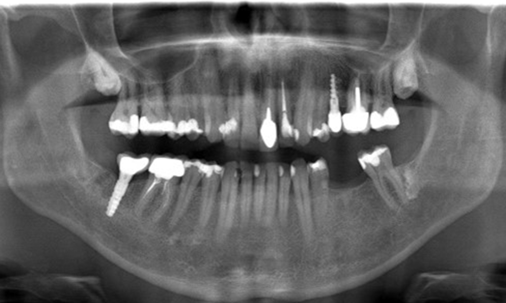
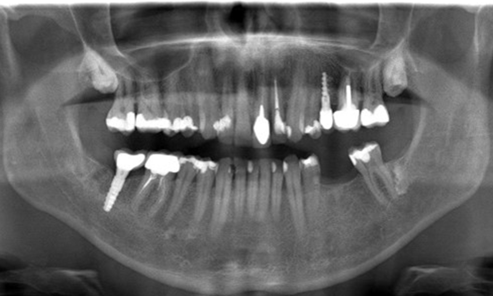
In the medical history, the 55-year-old patient states that he has no systemic disease and is not taking any medication. The patient’s lifestyle is similarly unremarkable. The patient has a few tooth restorations and two implants (2nd and 4th quadrants). On the basis of current findings, gingivitis is identified in an otherwise stable periodontal condition on the reduced periodontium (stage III, grade A).
Case analysis according to IPC
Medical history: unremarkable
Risk factors: none
Risk of contracting disease or of complications: none
Medication: none
Lifestyle: unremarkable
Oral health: stable
Previous treatments: dental restorations (non-precious metal/ceramic blend), two implants (2nd, 4th quadrants)
Caries risk assessment: low
Periodontitis: moderate risk
Risk of onset: moderate for peri-implantitis
Risk of progression: low for periodontitis
Recommended treatment according to IPC

The patient has no particular risk factors with specific dental implications. The key factor, therefore, is the requirement in terms of oral health. In this respect, good oral health is evident with stable, reduced periodontium. Should evidence of an increase in probe depth compared with the baseline, combined with diffuse bleeding, be found at a check-up appointment, diagnosis using X-ray imaging (dental X-ray) should be undertaken in order to identify peri-implant bone loss at an early stage and intervene accordingly.

Despite the stable condition, it is also important for this patient to be given motivation/instruction. Particular attention should be paid to correct care for implants. Here in particular, good at-home maintenance can have a significant impact on the long-term stability of oral and implant health.

In terms of instruments, specific procedures are required for use with implants. In order to preserve the surface of the implant while cleaning it effectively, it is essential to choose suitable powders and instruments, such as the targeted use of air polishing devices with special periodontal tips. Which powder is most suitable can be determined according to the needs and risk. For example, in addition to the appropriate degree of abrasion, dietary requirements (including sugar-free, low-salt) may also be taken into account.

No adjuvants are indicated for the patient in this case. The use of a fluoridated toothpaste is recommended for prevention of caries.

On the basis of the stable periodontal and peri-implant situation, it is recommended that the patient should have check-ups every six months.




Bibliography
- Bansal M, Rastogi S, Vineeth NS. Influence of periodontal disease on systemic disease: inversion of a paradigm: a review. Journal of medicine and life. 2013;6(2):126-30.
- Si Y, Fan H, Song Y, Zhou X, Zhang J, Wang Z. Association Between Periodontitis and Chronic Obstructive Pulmonary Disease in a Chinese Population. Journal of Periodontology. 2012;83(10):1288-96.
- WHO. Oral Health [Fact sheet]. WHO International Newsroom2020 [cited 2020 25.03.2020]. Available from: https://www.who.int/news-room/fact-sheets/detail/oral-health.
- Seitz MW, Listl S, Bartols A, Schubert I, Blaschke K, Haux C, et al. Current Knowledge on Correlations Between Highly Prevalent Dental Conditions and Chronic Diseases: An Umbrella Review. Preventing chronic disease. 2019;16:E132.
- Papapanou PN, Sanz M, Buduneli N, Dietrich T, Feres M, Fine DH, et al. Periodontitis: Consensus report of workgroup 2 of the 2017 World Workshop on the Classification of Periodontal and Peri-Implant Diseases and Conditions. J Periodontol. 2018;89 Suppl 1:S173-S82.
- Chapple IL, Bouchard P, Cagetti MG, Campus G, Carra MC, Cocco F, et al. Interaction of lifestyle, behaviour or systemic diseases with dental caries and periodontal diseases: consensus report of group 2 of the joint EFP/ORCA workshop on the boundaries between caries and periodontal diseases. J Clin Periodontol. 2017;44 Suppl 18:S39-s51.
- Cao R, Li Q, Wu Q, Yao M, Chen Y, Zhou H. Effect of non-surgical periodontal therapy on glycemic control of type 2 diabetes mellitus: a systematic review and Bayesian network meta-analysis. BMC oral health. 2019;19(1):176.
comments