Perfecta 900

Informe de usuario del ZTM (Maestro técnico dental) Jürgen Auffarth
Salzburg, Austria
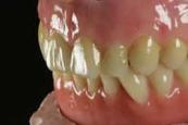
Lo que para el dentista significa el contra-ángulo, lo es la pieza de mano para el técnico dental. Probablemente el instrumento más utilizado en el transcurso de la vida profesional.
Si se habla de la Perfecta 900 de W&H, se puede hablar tranquilamente de un instrumento. Un instrumento silencioso, estilizado y potente.
Debido al uso prolongado de aparatos accionados con turbinas de aire, los ruidos no siempre han sido música para los oídos del usuario. Sí, 200.000 revoluciones por minuto son necesarias y están justificadas para ciertos campos de aplicación. Para el tratamiento de materiales modernos como por ejemplo el óxido de circonio, la reducción a la mitad con refrigeración de agua paralela desde luego tiene sentido.
La Perfecta 900 consta de un aparato de control con depósito para refrigerante y toma de aire para el uso de una pieza de mano potente de hasta 50.000 rpm y un micromotor de alto rendimiento con hasta 100.000 rpm con refrigeración de agua paralela. Puede elegirse entre el manejo con el pie o con la rodilla. El uso individual de ambos instrumentos se ajusta de forma sencilla a través de un aparato de control de sobremesa que no ocupa mucho espacio. Las dos piezas de mano disponen de una función de soplado que permite un tratamiento muy eficiente de la pieza gracias a la retirada de las virutas y el polvo abrasivo directamente durante la aplicación. Especialmente durante el uso de sprays de oclusión al trabajar con coronas de metal y el uso paralelo de un microscopio estéreo facilita la función de soplado el trabajo de tal manera que la pieza no tiene que retirarse tras cada tallado y el campo de visión permanece inalterado.
Llama la atención el escaso calentamiento de la pieza de mano incluso durante el tratamiento prolongado de aleaciones libres de metales preciosos. Donde otros se desajustan rápidamente, por ejemplo al serrar coronas dentales con discos de diamante de gran diámetro, la Perfecta 900 sale adelante sin problemas. Debido al elevado régimen de giro máximo de 50.000 rpm de la pieza de mano, siempre debe tenerse en cuenta que el régimen de giro ajustable individualmente se adapta al régimen de giro del respectivo instrumento de tallado, fresado o pulido.
Además, la función adicional de control de velocidad ajustable individualmente facilita el trabajo concentrado. El técnico puede dedicar así toda su atención a la pieza trabajada, por ejemplo durante el tratamiento de bordes inlay, veneer o de coronas. El tallado de cerámicas altamente resistentes como óxido de circonio o disilicatos de litio debería realizarse suavemente y con diamantes de grano fino bajo refrigeración por agua. La intensidad del spray refrigerante se puede ajustar en la Perfecta 900 con tal precisión mediante una ruedecilla en la parte posterior del aparato de control, que basta un paño de tejido como base para absorber la humedad durante el tratamiento.
Una vez finalizado el trabajo, la Perfecta 900 reposa en una bandeja de goma con un ángulo inclinado sin que se corra peligro de dañar los instrumentos colocados en el aparato.
El proceso de ennoblecimiento de materiales mediante el trabajo manual con instrumentos rotatorios seguirá siendo una parte importante de nuestra profesión. Con la Perfecta 900 se cubren todos los campos de aplicación de la técnica dental moderna mediante la unión de dos micromotores en un aparato de control y se obtiene una enorme plusvalía gracias a las funciones adicionales integradas. Un aparato que no debería faltar en un laboratorio vanguardista y cualitativo.



comentarios