Tratamiento protésico inmediato con el método Fast & Fixed
Para obtener resultados reproducibles en rehabilitaciones orales complejas, el equipo debe estar formado por especialistas individuales y por componentes que siempre actúen de forma fiable y con la máxima profesionalidad. Esto incluye un equipo quirúrgico de profesionales cualificados y experimentados, un sistema de implantes fiable y de calidad probada, un equipamiento técnico moderno y un laboratorio protésico dental con el mismo nivel de especialización.
Caso clínico
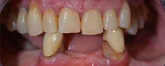
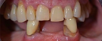
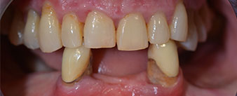
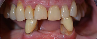
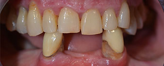
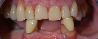
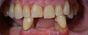
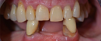
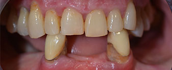
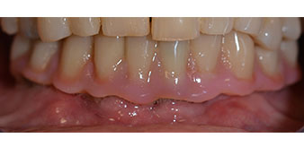
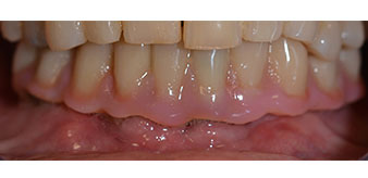
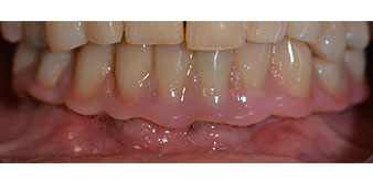
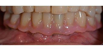
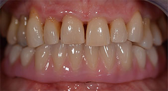
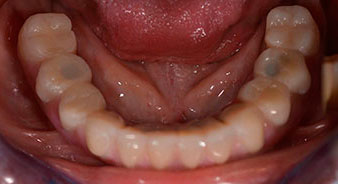
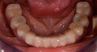
La paciente de 64 años se presentó con una dentición residual compuesta por las piezas dentales 38, 33 y 43 en el maxilar inferior y con una prótesis temporal fijada con ganchos en el maxilar inferior (figs. 1 y 2).


El tratamiento periodóntico necesario y la extracción de las piezas en el maxilar superior debía realizarse en un momento posterior, ya que la paciente es profesora y, en el momento de la consulta, estaba ocupada con los exámenes para las pruebas de acceso a la universidad. La paciente no podía comer ni hablar adecuadamente, ya que la prótesis temporal se rompía con mucha frecuencia y con una carga mínima.
Tras explicarle las distintas opciones de tratamiento, la paciente se decidió por la extracción de la dentición residual en el maxilar inferior, la implantación inmediata y el tratamiento con el método Fast & Fixed (bredent medical), con el que la prótesis dental fijada provisionalmente se atornilla sobre cuatro implantes en el mismo día de la intervención. El objetivo era operar a la paciente el viernes para que el lunes pudiera tomar parte en los exámenes orales para la prueba de acceso a la universidad.
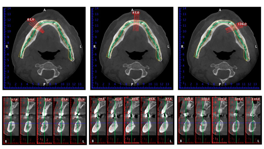
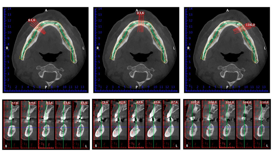
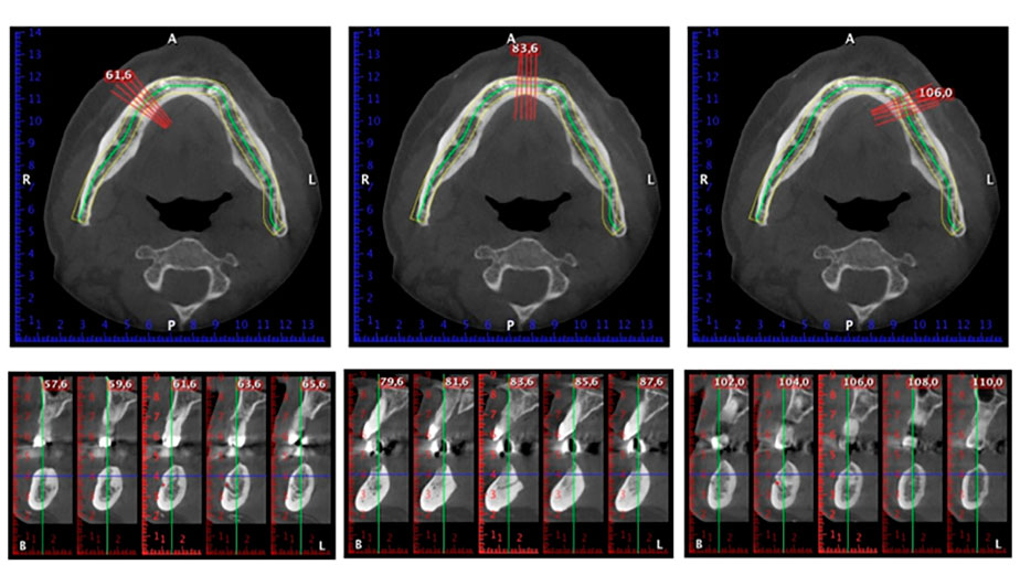
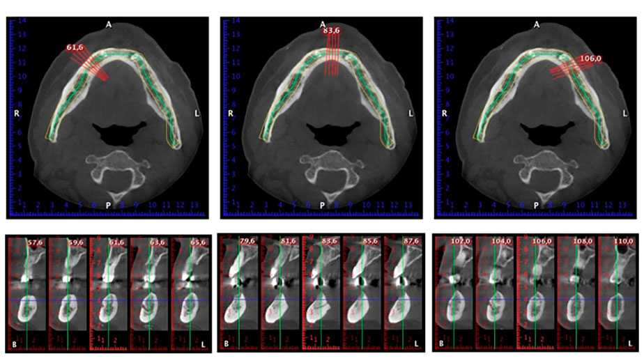
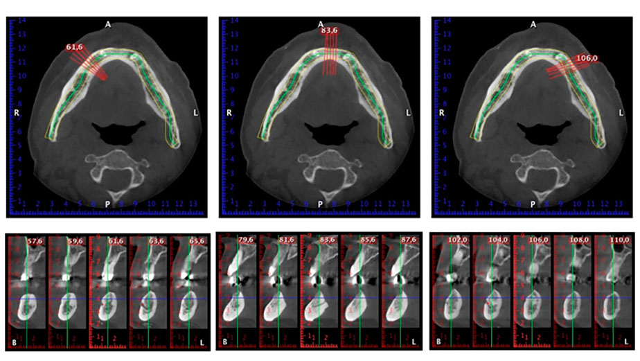
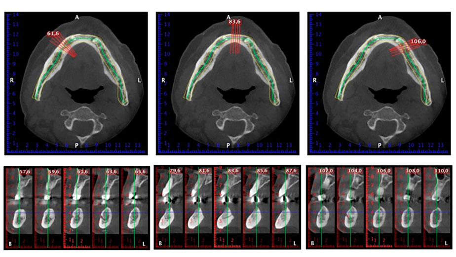
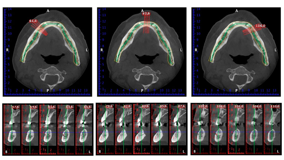
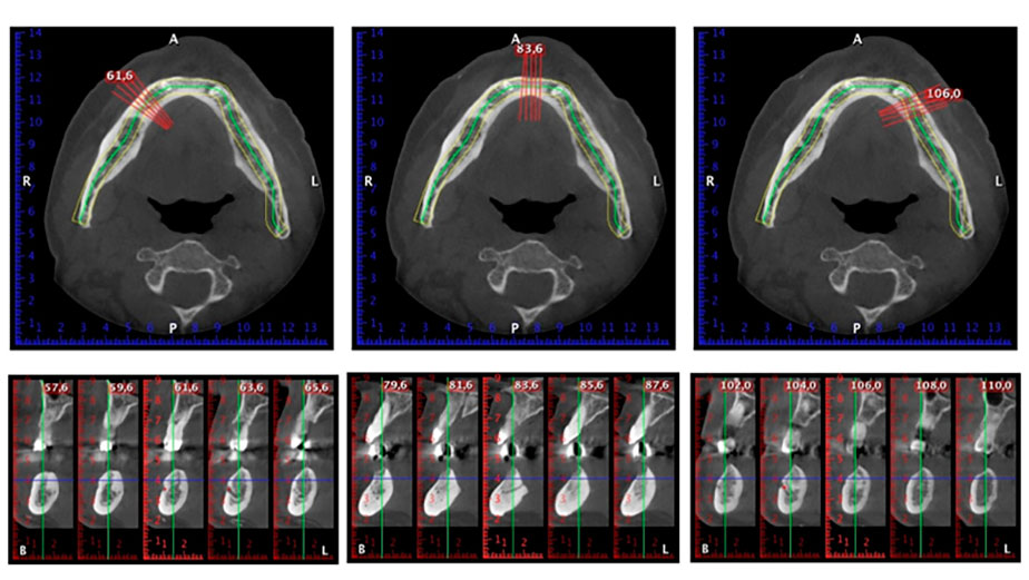
Para la planificación y la minimización del riesgo, se realizó una tomografía volumétrica tridimensional (TVD, Planmeca) que mostró que la calidad y la cantidad del tejido óseo era suficiente para la intervención quirúrgica y el tratamiento inmediato con el método Fast & Fixed. Siguiendo el protocolo de este método, se insertaron los implantes en la región de las piezas 35, 32, 42 y 45. Debido a la inclinación de hasta 45 grados de los implantes distales, el perfil de emergencia se desplazó hacia posterior y se generó un mayor polígono de soporte (fig. 3).

Procedimiento quirúrgico
Tras la extracción de la dentición residual en el maxilar inferior, se realizó la incisión crestal en la región comprendida entre la pieza dental 37 y la 47.
A continuación, se identificó el agujero mentoniano (foramen mentale) como la estructura anatómica límite y se alisó el cortical de la cresta ósea con la pieza de mano recta y una fresa redonda grande (fig. 4).

Es en este momento, donde se hacen patentes las primeras ventajas de Implantmed. El protocolo quirúrgico ya está predefinido y guardado en distintas posiciones fijas que pueden seleccionarse con solo pisar el pedal en la posición «P» o desde la propia pantalla. En este caso, la pantalla iluminada también muestra en grande la velocidad de 35 000/rpm preajustada en la posición 1 (figs. 5 y 6).


El protocolo quirúrgico de los implantes utilizados (SKY, bredent medical) prescribe una velocidad de 1 200/rpm para las perforaciones piloto (figs. 7-9).
Este valor se corresponde con la posición siguiente del ajuste predefinido en Implantmed. Aquí se aprecia la inclinación de aproximadamente 45 grados del contra-ángulo de W&H hacia medio caudal en la región de la pieza 45 para preservar el nervus mentalis. El foramen mentale sirve como orientación anatómica para todas las perforaciones en esta zona. Las perforaciones siguientes se realizaron con una velocidad reducida de 300/rpm (figs. 10 y 11).


El siguiente ajuste programado es la propia inserción de los implantes. En nuestra clínica, solemos insertar los implantes con una fuerza de 32 Ncm de manera estándar (figs. 12 y 13).


El requisito imprescindible para el tratamiento inmediato es una alta estabilidad primaria. Para satisfacer dicho requisito, en este caso, se prescindió del corte de rosca. La unidad de accionamiento Implantmed de W&H empleada aquí, posee un modo propio para ello que también puede seleccionarse directamente y resulta imprescindible para muchas indicaciones. Los últimos giros para la inserción del implante superaron el valor de 32 Ncm, por lo que se realizaron manualmente. En tales casos, se recomienda utilizar la función autocortante de los implantes y girar el implante varias veces hacia delante y hacia atrás de forma que el implante se aproxime gradualmente hasta su posición definitiva sin ejercer una presión excesiva sobre el hueso (fig. 14).

Para compensar la divergencia de los implantes distales, se atornillaron pilares acodados (35 grados) de forma que los perfiles de emergencia de todos los implantes quedaran en la posición más vertical posible en relación con la mordida. Este paso es necesario para poder atornillar de forma oclusal el tratamiento provisional y, posteriormente, el definitivo (figs. 15 y 16).


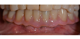
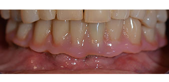
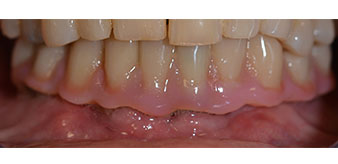
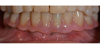
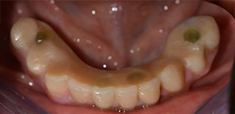
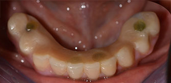
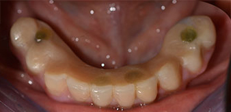
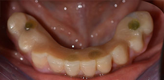
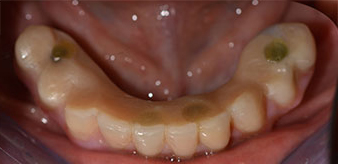
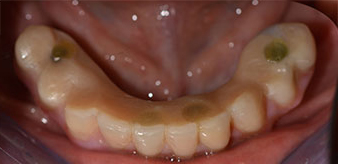
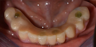
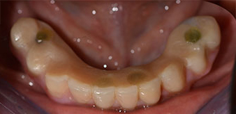
Tras esto, se realizan la impresión y el registro de la mordida para que el protésico dental pueda empezar inmediatamente con la elaboración de la prótesis provisional, cuya implantación se realiza el mismo día (figs. 17 y 18).


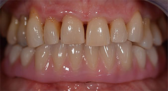
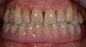
Una vez transcurrido el tiempo necesario para la integración ósea, puede llevarse a cabo la impresión definitiva del implante para realizar la prótesis definitiva de manera acorde (figs. 19 y 20). En este paso, el responsable del tratamiento y el paciente pueden decidir conjuntamente si es preferible un revestimiento cerámico o plástico y una estructura de zircón o de metal. En este caso, dado que el pronóstico de la dentición del maxilar superior era poco claro y la pieza dental 24 estaba elongada, el equipo del Dr. Pascu se decidió por un revestimiento de plástico, ya que, por lo general, es mucho más fácil de ajustar y puede adaptarse a la nueva situación del maxilar superior.



Dispositivos y accesorios quirúrgicos
La unidad de accionamiento Implantmed de W&H utilizada en este caso destaca, sobre todo, por su manejo sencillo.
Los botones se leen con facilidad y pueden utilizarse de forma intuitiva. La pantalla grande e iluminada muestra al usuario la velocidad y el modo de funcionamiento de un solo vistazo.
Los diferentes modos pueden predefinirse en función del protocolo quirúrgico y seleccionarse mediante un pedal. El manejo ahorra tiempo y facilita la intervención.
El contra-ángulo quirúrgico es el modelo WS-75LG, que está equipado con una luz LED que aumenta el contraste en la cavidad bucal y mejora la percepción óptica.
Tanto el contra-ángulo como la pieza de mano S-11 de W&H disponen de refrigeración externa, lo que supone una ventaja, ya que la solución de NaCl llega exactamente al lugar preciso y, en caso necesario, también puede reajustarse. Los contra-ángulos y las piezas de mano pueden desmontarse, lo que resulta muy recomendable desde el punto de vista higiénico y de la capacidad de esterilización. Se implantaron cuatro implantes SKY de 4,0 x 14 mm. Los contra-ángulos y las piezas de mano pueden desmontarse, lo que resulta muy recomendable desde el punto de vista de la higiene y de la capacidad de esterilización. Se implantaron cuatro implantes SKY de 4,0 x 14 mm.

El presente caso clínico es una colaboración entre el Dr. Christian Dan Pascu y su equipo de la clínica Discover White de Düsseldorf, bredent medical GmbH & Co. KG y W&H.

Contacto:
Dr. med. dent. Christian Dan Pascu
Expert in Oral Implantology (GBOI)
Discover White – clínica comunitaria
Dr. Mintcheva y Dr. Pascu
Zollhof 8, 40221 Düsseldorf
* Fotos: Dr. Christian Dan Pascu
comentarios