Implantes individuales para un puente de óxido de circonio con Implantmed
Informe de caso del Dr. Karl-Ludwig Ackermann, Filderstadt, Alemania
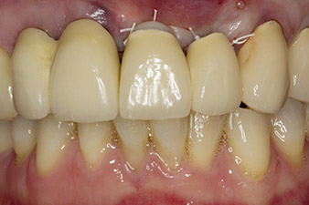
Una paciente de 67 años se presentó con coronas bloqueadas en el maxilar superior que era preciso sustituir. Tras la extracción de las piezas dentales 21 y 22, se programaron implantes como nuevos pilares de puentes. Los lechos se prepararán con el nuevo motor para implantología Implantmed y la estabilidad se medirá con el módulo Osstell ISQ integrado de W&H.

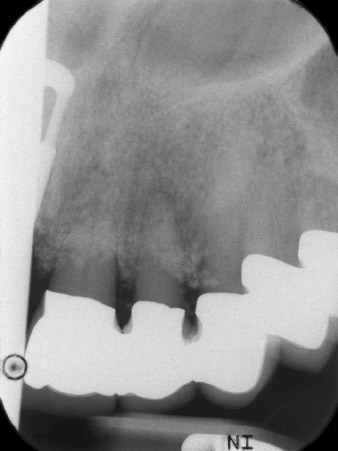
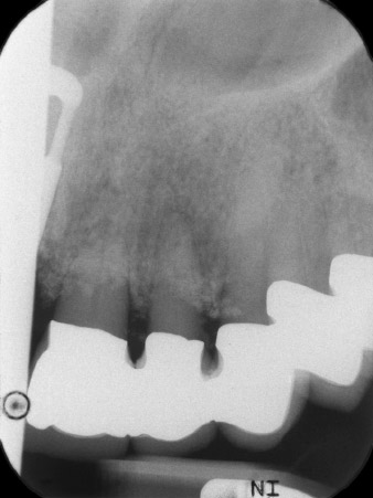
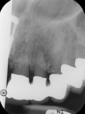
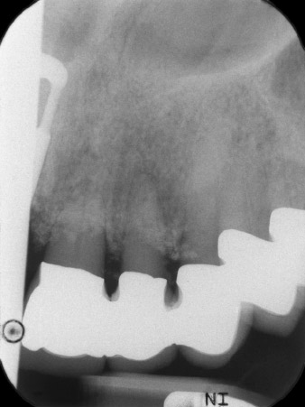
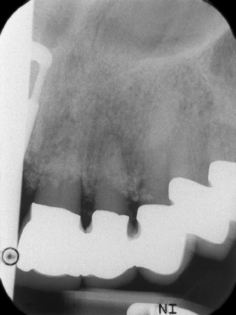
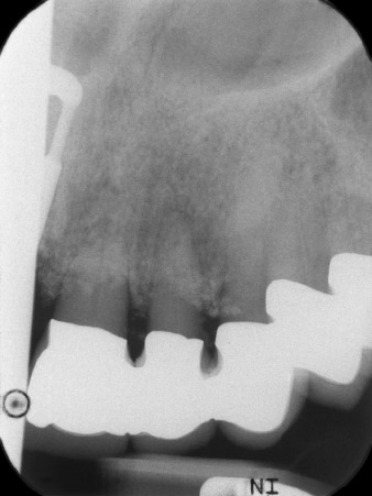
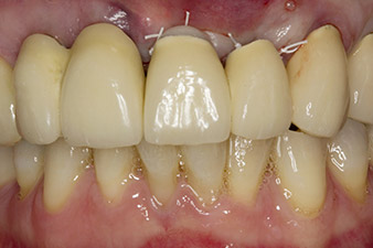
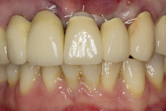
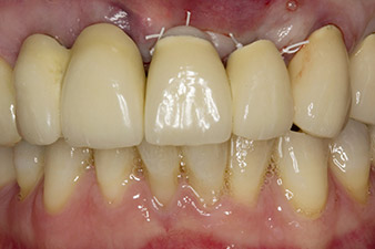
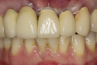
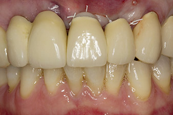
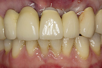
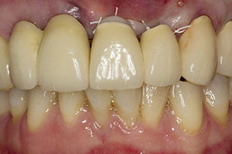
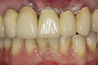
En la primera visita se trataron las piezas 21, 22 y 23, que presentaban bloqueo en las coronas colocadas hacía 19 años. Estas estaban unidas mediante una férula con los implantes de las posiciones 12/11 (figura 2). La imagen radiológica muestra una pérdida ósea horizontal alrededor de las piezas dentales 21 y 22 (figura 1).
Al extraer el bloque de las coronas estos dientes se habían extraído también de forma accidental. En la pieza dental 23 fracturada en sentido horizontal-coronal, se incorporó un muñón con pernos como tratamiento provisional. Se programó un puente de óxido de circonio en los implantes existentes en las posiciones 12 y 11 y dos nuevos implantes en las posiciones 22 y 23.
Después de la cicatrización primaria, los tejidos blandos se modelaron con ayuda del puente con base reconstruida. Dos meses después, se procedió a la exposición del área con una incisión de la cresta maxilar en sentido ligeramente palatino (figura 2).
El hueso alveolar de la posición 22 resultó tener unas dimensiones suficientes. Las figuras 2 y 4 muestran la preparación del lecho del implante, el corte de rosca y la colocación del implante con el equipo Implantmed.
Medición de la estabilidad del implante
El nuevo motor para implantología se utilizó siempre con los contra-ángulos quirúrgicos adecuados de W&H.



Para compensar la pérdida de hueso periodontal y conseguir un resultado estético, el implante se combinó con una regeneración ósea guiada con material sustituto xenógeno y con una membrana de colágeno
(figuras 5 y 6).


En el transcurso de la exposición para el implante en la posición 23, cuatro meses después se midió la estabilidad del implante (cuota de estabilidad del implante) con el módulo Osstell ISQ de W&H integrado en el equipo.
Para ello, se enroscó el SmartPeg adecuado para el sistema de implante y la sonda se colocó a una distancia de 3 a 5 mm respecto al lado frontal del SmartPeg (figura 7).

La figura 8 muestra el equipo Implantmed con toda la zona periférica, pero sin el soporte móvil que también se encuentra disponible.
Equipos sin peligros
En los tratamientos de implantes en la parte frontal del maxilar superior, que tan delicada es desde el punto de vista estético, deben tenerse en cuenta numerosos factores (1).
Entre ellos, cabe citar el diseño y el material de la prótesis (2), así como la cantidad y la calidad de los tejidos periimplantarios.
A esto hay que añadir la cicatrización, la fase temporal (3) y el tipo de fijación (4). Para que se no produzcan otras circunstancias imprevistas adicionales, los odontólogos y cirujanos no pueden correr riesgos cuando se trata de hardware.
Esto no solo afecta al sistema del implante y a la prótesis, sino también al motor de implantología y a los contra-ángulos quirúrgicos correspondientes.
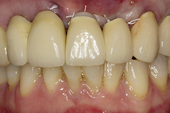
En el caso clínico presentado, la situación se resolvió en la primera intervención con un implante en la posición 22, así como con otro en la posición de la pieza dental 23 extraída en el transcurso posterior. El segundo implante se realizó después de la osteointegración del implante 22. El puente remodelado se volvió a colocar hasta la cicatrización del implante 23 y la conformación para la prótesis definitiva. Las ventajas de este procedimiento escalonado son una capacidad de carga segura de los implantes y una buena maduración de los tejidos duros y blandos (5).
"El motor de implantología ha sido diseñado con éxito"
La preparación del lecho del implante, el corte de rosca y la colocación del implante se realizaron con el nuevo motor para implantología Implantmed que, según la opinión del autor, está realmente muy logrado. En el equipo, el fabricante ha perfeccionado varias características técnicas, por ejemplo, resulta muy útil la estudiada guía de menús, que se maneja a través de la pantalla táctil. Todas las funciones pueden seleccionarse fácilmente y pueden adaptarse al sistema de implantes utilizado y a las preferencias individuales, incluso para hasta seis usuarios dentro de una consulta más o menos grande o una clínica.
El nuevo equipo puede integrarse de forma magnífica en las clínicas de implantología, gracias a sus dimensiones y diseño ergonómico, a sus cómodas bandejas para instrumentos, el pedal de control inalámbrico y a su alimentación de refrigerante limpia. Además, su diseño también es muy atractivo (figura 8).
En el caso clínico presentado también se utilizó el módulo Osstell ISQ de W&H, de venta como accesorio (figura 7). Como la cicatrización del implante se llevó a cabo de forma cubierta, se confirmó su correcta finalización (implante 22).
Si se programa una carga inmediata o temprana, el módulo, en combinación con el torque registrado, permite comprobar la estabilidad primaria necesaria. Todos los datos pueden guardarse en una memoria USB ordenados por sesión o implante, por lo que no solo se cumplen de manera excelente los requisitos clínicos, sino también los forenses.

Ver más
Ventajas de Implantmed:
Fotos: © Ackermann/Kirsch/Neuendorff
Referencias
- Dawson A, Chen ST. The SAC Classification in Implant Dentistry. Berlin: Quintessence Publishing Co., 2009.
- Martin WC, Pollini A, Morton D. The influence of restorative procedures on esthetic outcomes in implant dentistry: a systematic review. Int J Oral Maxillofac Implants 2014;29 Suppl:142-154.
- Zuhr O, Fickl S, Wachtel H, Bolz W, Hurzeler M. Die Versorgung der Extraktionsalveole aus prothetischer Sicht. Implantologie 2006;14:339-353.
- Krennmair G, Seemann R, Weinlander M, Wegscheider W, Piehslinger E. Implant-prosthodontic rehabilitation of anterior partial edentulism: a clinical review. Int J Oral Maxillofac Implants 2011;26:1043-1050.
- Buser D, Martin W, Belser UC. Optimizing esthetics for implant restorations in the anterior maxilla: anatomic and surgical considerations. Int J Oral Maxillofac Implants 2004;19 Suppl:43-61.
comentarios