Reports & Studies

Single implantations for a zirconium oxide bridge with Implantmed

Case report by Dr Karl-Ludwig Ackermann, Filderstadt, Germany

A 67-year-old patient presented with splinted crowns in the maxilla requiring replacement. Following the extraction of teeth 21 and 22, the plan is to insert implants as new bridge abutments. The sites will be prepared with the new W&H Implantmed implantology motor and the stability measured with the integrated W&H Osstell ISQ module.

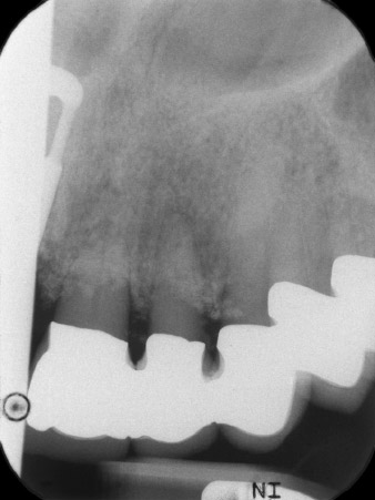
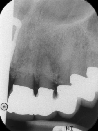
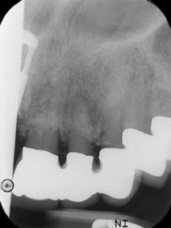
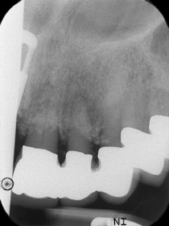
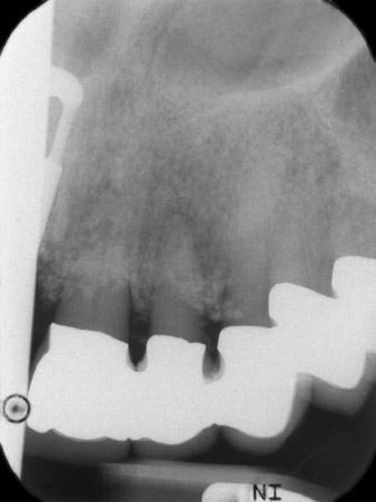
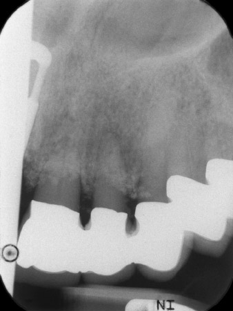
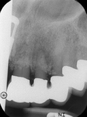
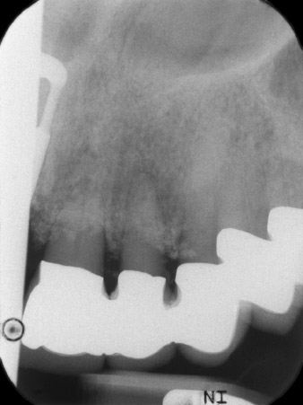
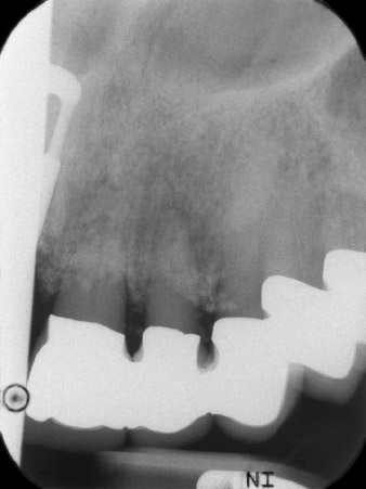
initial radiological findings
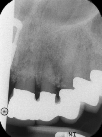
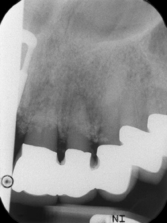
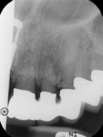
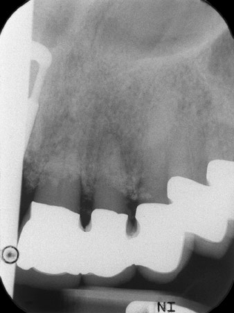
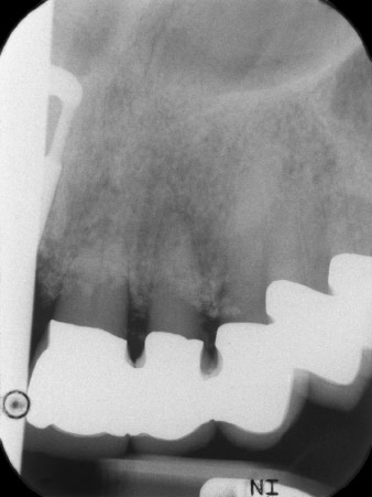
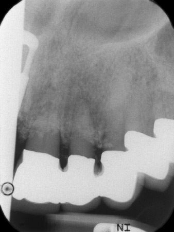
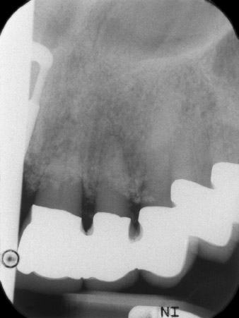
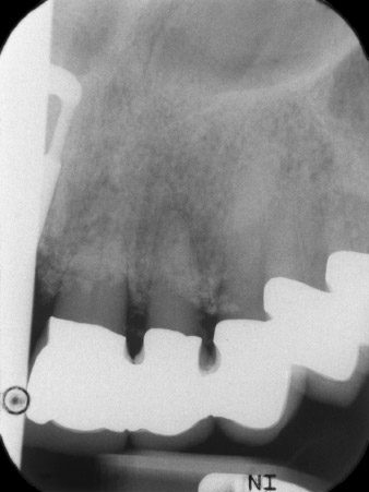
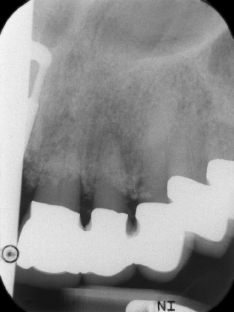
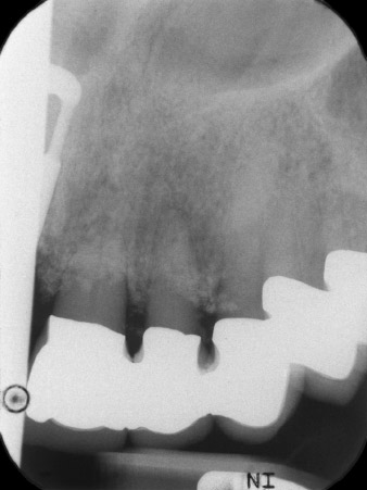
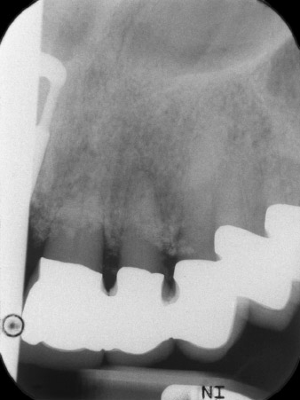
Fig. 1: The initial radiological findings revealed a splinted crown restoration requiring replacement. When the restoration was removed, teeth 21 and 22 were unintentionally extracted along with it.

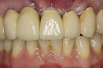
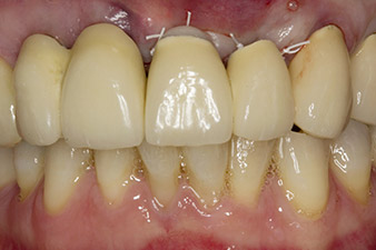
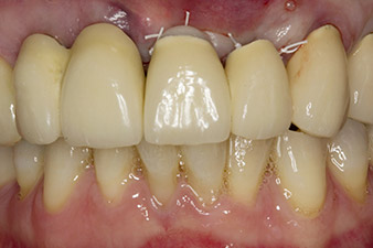
When the patient first presented, teeth 21, 22 and 23 had been restored with splinted crowns, now 19 years old, which were bonded to the implants at positions 12/11 by an attachment (cf. Fig. 2).

The x-ray revealed horizontal bone loss around teeth 21 and 22 (Fig. 1). When the crown block was removed, these teeth were unintentionally extracted with it.

Tooth 23 displayed a horizontal-coronal fracture and was restored with a post and core build-up for the temporary restoration. The plan was to place a zirconium oxide bridge on the existing implants at positions 12 and 11 and to place two new implants at positions 22 and 23.


Following primary healing, the soft tissues were shaped using the basally lined bridge. Two months later the site was exposed by a slightly palatal alveolar ridge incision (Fig 2). The dimensions of the alveolar bone proved to be sufficient at position 22. Figures 2 and 4 show the preparation of the implant bed, the tapping and the implantation using Implantmed.

Measurement of implant stability

The new implantology motor was used with the appropriate W&H surgical contra-angle handpieces.

pilot drilling is performed with the new Implantmed and the WS-56 L contra-angle handpiece
Fig. 2: Two months later the pilot drilling is performed with the new Implantmed and the WS-56 L contra-angle handpiece (programme P1, ratio 1:1). The cooling is performed via the spray tube positioned on the left (for right-handed users).
Tapping with the WS-75 L contra-angle handpiece
Fig. 3: Tapping with the WS-75 L contra-angle handpiece at a ratio of 20:1 (programme P4). Implantmed’s high torque, the hexagon chucking system for reliable power transmission and the automatic reversal of the direction of rotation when resistance gets too high prove particularly helpful here.
Motorized placement of the implant
Fig. 4: Motorized placement of the implant with the WS-75 L contra-angle handpiece at a ratio of 20:1 (programme P5).

In order to compensate for the periodontal bone loss and achieve an aesthetically pleasing result, the implantation was combined with guided bone regeneration (GBR) with xenogenic replacement material and a collagen membrane
(Fig. 5 and 6).

Xenogenic bone substitute material
Fig. 5: In order to achieve the best possible quality of peri-implant tissue, the site was additionally augmented with xenogenic bone replacement material and a collagen membrane in the scope of guided bone regeneration.
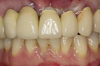
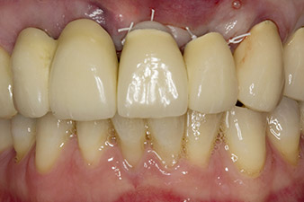
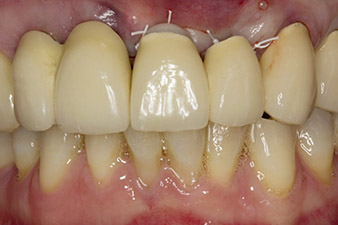
Situation following implantation
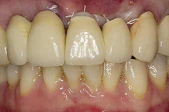
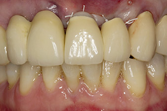
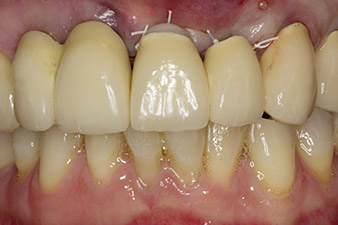
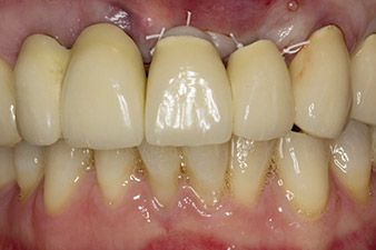
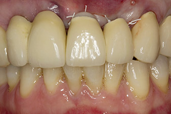
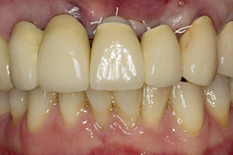
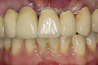
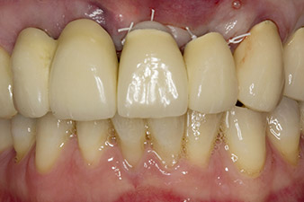
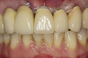
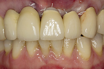
Fig. 6: Situation following implantation and augmentation: The old bridge was reinserted as a temporary restoration for the healing phase with a freely milled pontic at implant position 22. The planned permanent restoration will be a zirconium oxide bridge from 12 to the implant yet to be inserted at position 23.

In the scope of the exposure for the implantation at position 23, the implant stability was measured with the W&H Osstell ISQ (implant stability quotient) module integrated in the device four months later.

This was done by screwing in the corresponding measuring post (SmartPeg) for the implant system and positioning the probe at a distance of 3-5 mm from the front side of the measuring post (Fig. 7).

Osstell ISQ module
Fig. 7: Barely four months later the stability of implant 22 was measured with the W&H Osstell ISQ module during the exposure (measured values: mesial 68, vestibular 64 = medium stability).

Figure 8 shows the W&H Implantmed with all its peripherals but without the treatment trolley, which is also available.

Implantmed
Fig. 8: The new Implantmed is optionally available with the wireless foot control and dockable W&H Osstell ISQ module.

Hardware without compromises

There are a number of factors which need to be taken into consideration when performing treatments with implants in the anterior maxillary region, where aesthetically pleasing results are particularly important (1).

They include the design and material of the restoration (2) and the quantity and quality of the tissue around the implants. In addition, there are also factors influencing healing, the temporary phase (3) and the type of fixation (4).

To avoid any further uncertainties, dentists and surgeons should not accept any compromises when it comes to hardware.

Alongside the implant system and prosthetics, this also applies for the implantology motor and the corresponding surgical contra-angle handpieces.

In this case study, the situation was resolved with an implant at position 22 in the first procedure and an additional one at the position of the extracted tooth 23 later in the course of the treatment. The second implant was inserted following successful osseointegration of implant 22. The revised bridge was reinserted until implant 23 healed in place and the shaping for the permanent restoration was complete. The advantages of this gradual approach include the implants’ being able to accept loads more resiliently and mature hard and soft tissues (5).

“Thoroughly successfully designed implantology motor”

The preparation of the implant bed, tapping and implantation were performed with the new Implantmed implantology motor, which the author refers to as a thoroughly successful design. The manufacturer has really developed a whole range of technical features further in this device. For example, the sophisticated menu navigation system via the touch screen is particularly helpful. It is easy to select all the functions and they can be conveniently adjusted to the specific implant system and your personal preferences. This also applies for up to six users in a larger practice or a hospital.


The device’s dimensions and ergonomic design – for example with convenient instrument trays, wireless foot control and neat solution to the coolant supply – mean it can also be superbly integrated in implantology practices. The design is also very appealing (Fig. 8).


In this case study, we also employed the optionally integrable W&H Osstell ISQ module (Fig. 7). As the implant was covered when healed, it was possible to confirm when the process had successfully completed (implant 22). If immediate or early loading is planned, the module – in combination with the registered torque – can be used to check the requisite primary stability. All the data can be saved to the USB stick for each session and each implant. As such, not only the clinical but also the forensic requirements are fulfilled in an exemplary manner.

Dr. Ackermann
Dr. Karl Ludwig Ackermann

Further information

Benefits of the Implantmed

Interview with Dr Ackermann

Photos: © Ackermann/Kirsch/Neuendorff


References

  1. Dawson A, Chen ST. The SAC Classification in Implant Dentistry. Berlin: Quintessence Publishing Co., 2009.
  2. Martin WC, Pollini A, Morton D. The influence of restorative procedures on esthetic outcomes in implant dentistry: a systematic review. Int J Oral Maxillofac Implants 2014;29 Suppl:142-154.
  3. Zuhr O, Fickl S, Wachtel H, Bolz W, Hurzeler M. Die Versorgung der Extraktionsalveole aus prothetischer Sicht. Implantologie 2006;14:339-353.
  4. Krennmair G, Seemann R, Weinlander M, Wegscheider W, Piehslinger E. Implant-prosthodontic rehabilitation of anterior partial edentulism: a clinical review. Int J Oral Maxillofac Implants 2011;26:1043-1050.
  5. Buser D, Martin W, Belser UC. Optimizing esthetics for implant restorations in the anterior maxilla: anatomic and surgical considerations. Int J Oral Maxillofac Implants 2004;19 Suppl:43-61.

comments