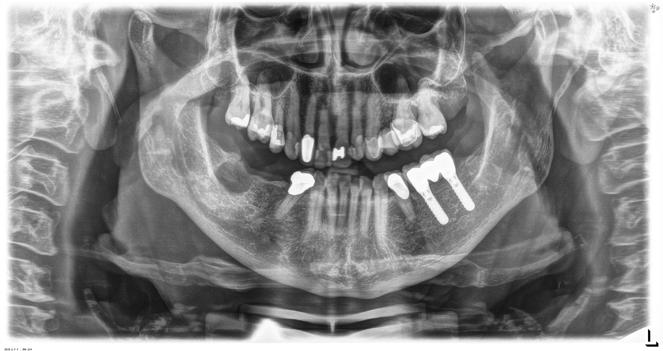
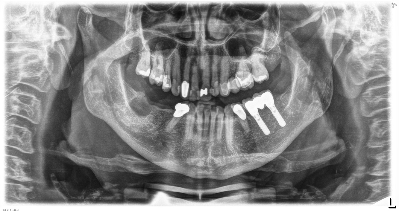
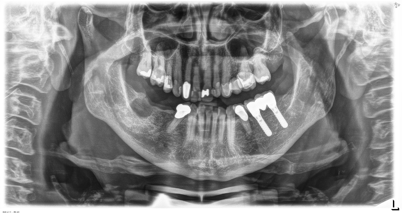
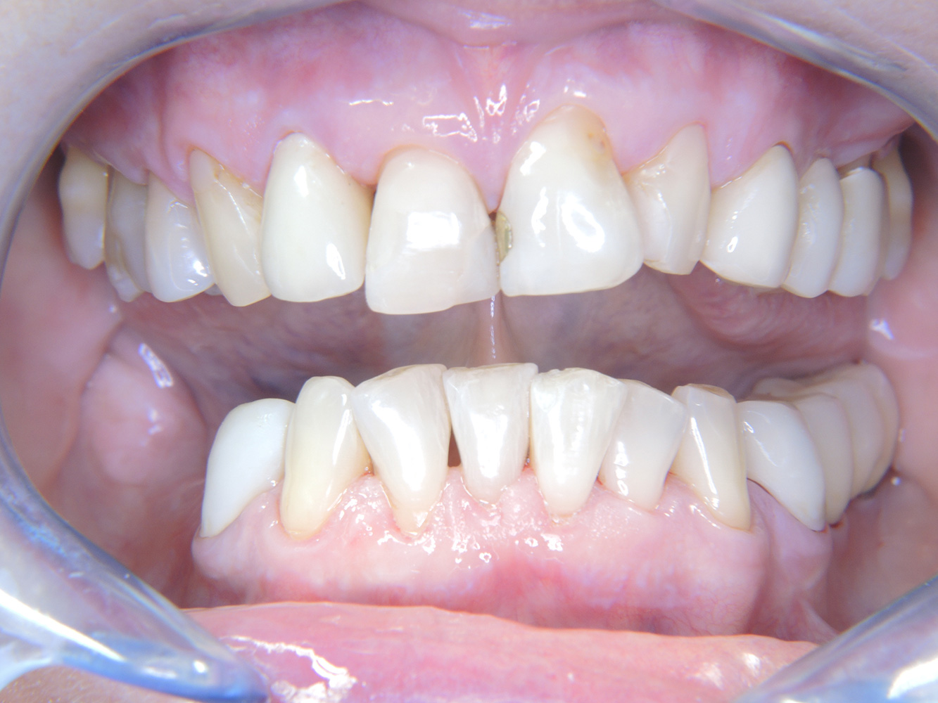
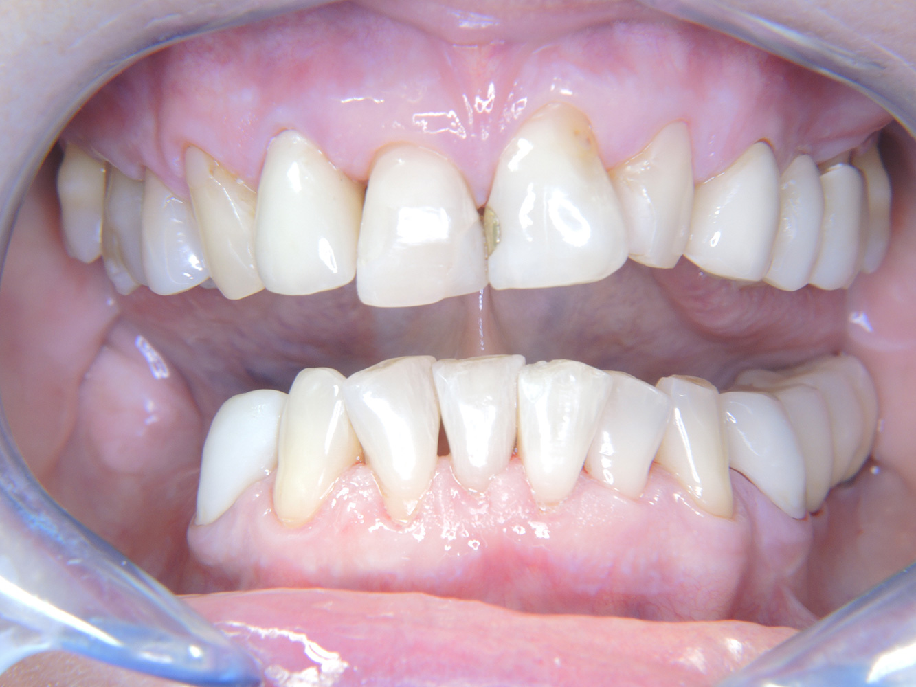
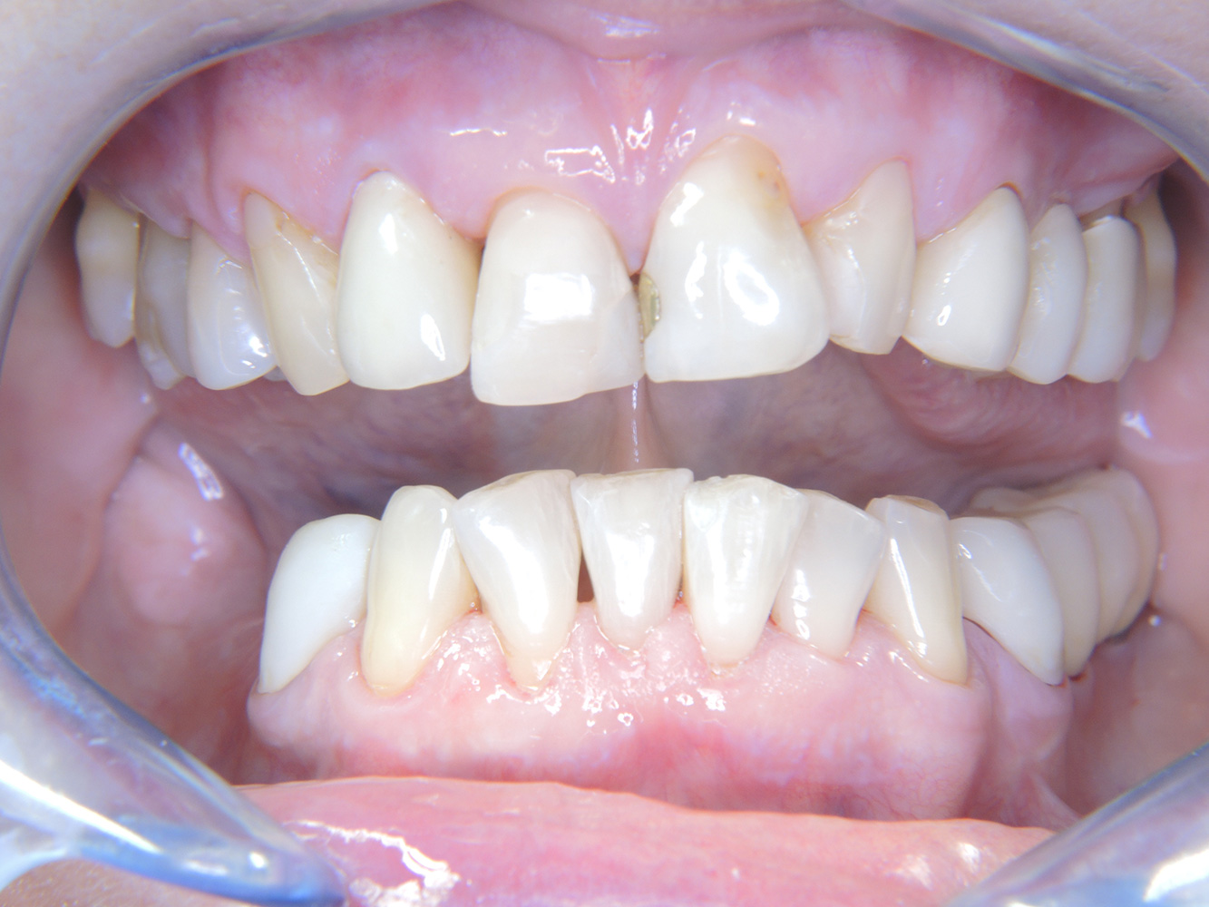
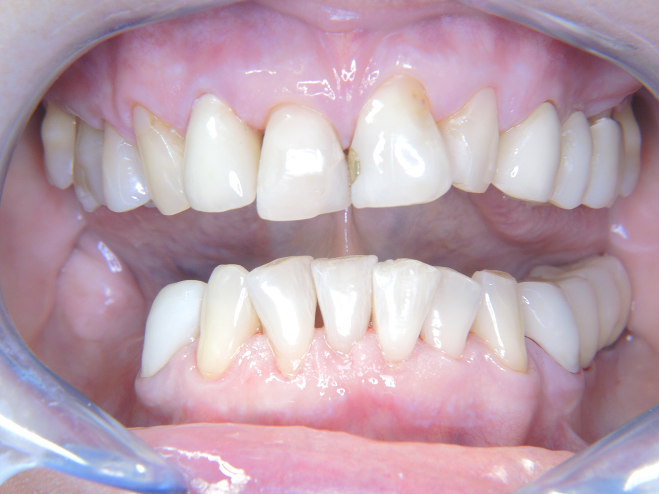
Paciente sana con enfermedad periodontal previa*


La paciente de 68 años no tiene enfermedades previas relevantes de la salud general ni toma medicación; sus hábitos alimentarios tampoco suponen un riesgo especial. La paciente tiene dos implantes (tercer cuadrante, desde hace cinco años) y una enfermedad previa periodontal (periodontitis en etapa IV, grado B) con pérdida dental. Actualmente las condiciones periodontales son estables, pero la periodontitis aumenta de manera determinante las complicaciones biológicas cuando se realizan implantes y puede ocasionar la pérdida de un implante (21). Para la sesión de profilaxis se hacen cuatro recomendaciones.



Dado que la paciente no tiene factores de riesgo especiales con efectos específicos para los dientes, las necesidades determinadas a partir de la salud oral son determinantes. Se recomienda un estado periodontal detallado una vez al año. De esta forma, es posible responder a la posible progresión de la enfermedad periodontal previa o al desarrollo de periimplantitis a tiempo.

Aunque las condiciones sean estables, no debe descuidarse la motivación y la formación de esta paciente. Hay que prestar especial atención a que aprenda a cómo cuidar los implantes correctamente. Aquí en particular, un buen mantenimiento en casa puede jugar un papel importante en la estabilización a largo plazo de la salud oral y del implante.

Al seleccionar el instrumental, se aplica un procedimiento especial en la zona de los implantes. Para conservar la superficie del implante y, al mismo tiempo, limpiarla con eficacia, es crucial seleccionar los instrumentos y los polvos adecuados, como el uso dirigido de aeropulidores con puntas Paro especiales. La elección de los polvos adecuados puede hacerse según las necesidades y los riesgos, por ejemplo, además del grado apropiado de abrasión, pueden tenerse en cuenta los requisitos alimenticios (como que sean sin azúcar o bajos en sal).

Debido a la situación del implante con la enfermedad periodontal previa, la paciente tiene riesgo de desarrollar periimplantitis; se recomienda un intervalo de recuperación de tres a cuatro meses.
* Publicado por W&H con la autorización del Dr. G. Schmalz y el Prof. Dr. D. Ziebolz MSc.
Individual Prophy Cycle – El concepto de prevención orientado al paciente

Priv-Doz Dr Gerhard Schmalz is a senior physician at the Oral Health Medicine, Polyclinic for Dental Preservation and Periodontology, University Hospital Leipzig, Leipzig (Director: Prof Dr Rainer Haak).

Prof Dr Dirk Ziebolz MSc is a senior physician at the Polyclinic for Dental Preservation and Periodontology, Leipzig University Medical Centre (Director: Prof Dr R. Haak); with focus on interdisciplinary dental preservation and health services research.
Lista de referencias
- Chapple IL, Bouchard P, Cagetti MG, Campus G, Carra MC, Cocco F, et al. Interaction of lifestyle, behaviour or systemic diseases with dental caries and periodontal diseases: consensus report of group 2 of the joint EFP/ORCA workshop on the boundaries between caries and periodontal diseases. J Clin Periodontol. 2017;44 Suppl 18:S39-s51
- Schmalz G, Ziebolz D, Individualisierte Prävention-ein patientenorientiertes Präventionskonzept für die zahnärztliche Praxis, ZWR- Das deutsche Zahnärzteblatt 2020;129;147-156
- Fresmann S., So sieht eine durchdachtes Prophylaxekonzept aus; Dental Magazin: Deutscher Ärzteverlag GmbH; 2015
- Schmalz G, Ziebolz D, Individualisierte Prävention-fallorientierte Bedarfsprävention, ZWR- Das deutsche Zahnärzteblatt 2020;129;33-41
- Schmalz G, Ziebolz D, Individualisierte Prävention-Implikation allgemeingesundheitlicher Faktoren, ZWR- Das deutsche Zahnärzteblatt 2019;128;295-304
- Wang C, Zhao Y, Zheng S, Xue J, Zhou J, Tang Y, et al. Effect of enamel morphology on nanoscale adhesion forces of streptococcal bacteria: An AFM study. Scanning. 2015;37(5):313-21
- Pence SD, Chambers DA, van Tets IG, Wolf RC, Pfeiffer DC. Repetitive coronal polishing yields minimal enamel loss. Journal of dental hygiene: JDH. 2011;85(4):348-57.
- Kumar PS. From focal sepsis to periodontal medicine: a century of exploring the role of the oral microbiome in systemic disease. The Journal of Physiology. 2017;595(2):465-76
- Lalla E, Papapanou PN. Diabetes mellitus and periodontitis: a tale of two common interrelated diseases. Nature Reviews Endocrinology. 2011;7:738
- Miller WR, Moyers TB. Eight Stages in Learning Motivational Interviewing. Journal of Teaching in the Addictions. 2006;5(1):3-17
- Paradigmenwechsel im Biofilmmanagement [Internet]. Spitta GmbH. 2014. https://www.pnc-aktuell.de/prophylaxe/story/paradigmenwechsel-im-biofilmmanagement__3512.html
- Christensen RP, Bangerter VW. Determination of rpm, time, and load used in oral prophylaxis polishing in vivo. J Dent Res. 1984; 63(12):1376-1382
- Graumann SJ, Sensat ML, Stoltenberg JL. Air polishing: a review of current literature. Journal of dental hygiene : JDH. 2013;87(4):173-80
- Bordoloi P, Ramesh A, Thomas B, Bhandary R. Epidemiological survey of dentinal hypersensitivity after oral prophylaxis. J Cont Med A Dent. 2018;6(1)
- James P, Worthington HV, Parnell C, Harding M, Lamont T, Cheung A, et al. Chlorhexidine mouthrinse as an adjunctive treatment for gingival health. The Cochrane database of systematic reviews. 2017;3:Cd008676
- Sawai MA, Bhardwaj A, Jafri Z, Sultan N, Daing A. Tooth polishing: The current status. Journal of Indian Society of Periodontology. 2015;19(4):375-80
- Slayton RL, Urquhart O, Araujo MWB, Fontana M, Guzman-Armstrong S, Nascimento MM, et al. Evidence-based clinical practice guideline on nonrestorative treatments for carious lesions: A report from the American Dental Association. J Am Dent Assoc. 2018;149(10):837-49 e19
- Gleissner E. Erfolgreiche Prävention auch in schwierigen Fällen. Allgemeine Zahnheilkunde: ZMK-aktuell; 2019
- Derks J, Schaller D, Hakansson J, Wennstrom JL, Tomasi C, Berglundh T. Effectiveness of Implant Therapy Analyzed in a Swedish Population: Prevalence of Peri-implantitis. Journal of dental research 2016;95:43-49
- Newton JT, Asimakopoulou K. Managing oral hygiene as a risk factor for periodontal disease: a systematic review of psychological approaches to behaviour change for improved plaque control in periodontal management. Journal of Clinical Periodontology 2015;42:S36-S46
- Veitz-Keenan A, James R, Implant outcomes poorer in patients with history of periodontal disease, Evicénce-Based-Dentistry 18, 5 (2017)
comentarios