Reports & Studies

The healthy patient with early periodontal disease*

© Dr G. Schmalz y Dr D. Ziebolz MSc
Photos: © Dr G. Schmalz y Dr D. Ziebolz MSc
© Dr G. Schmalz y Dr D. Ziebolz MSc

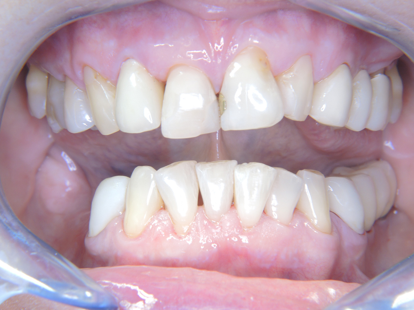
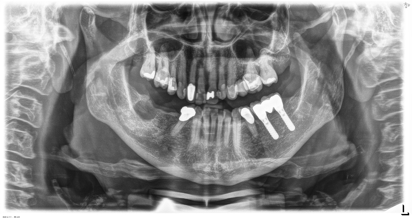
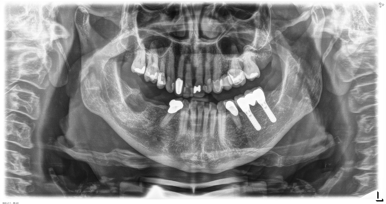
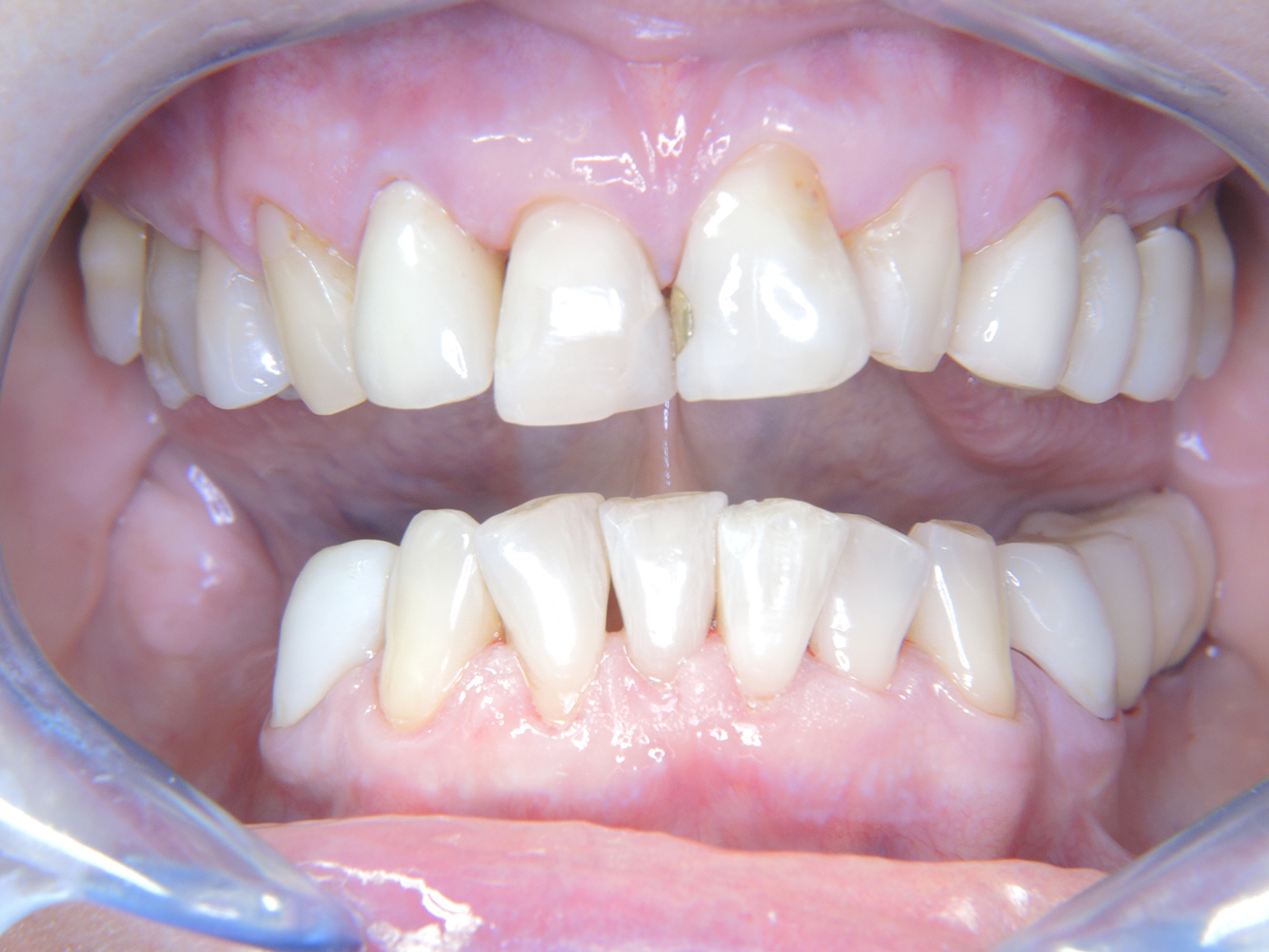
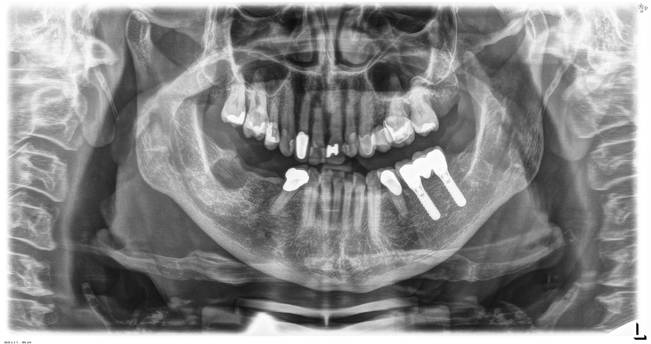
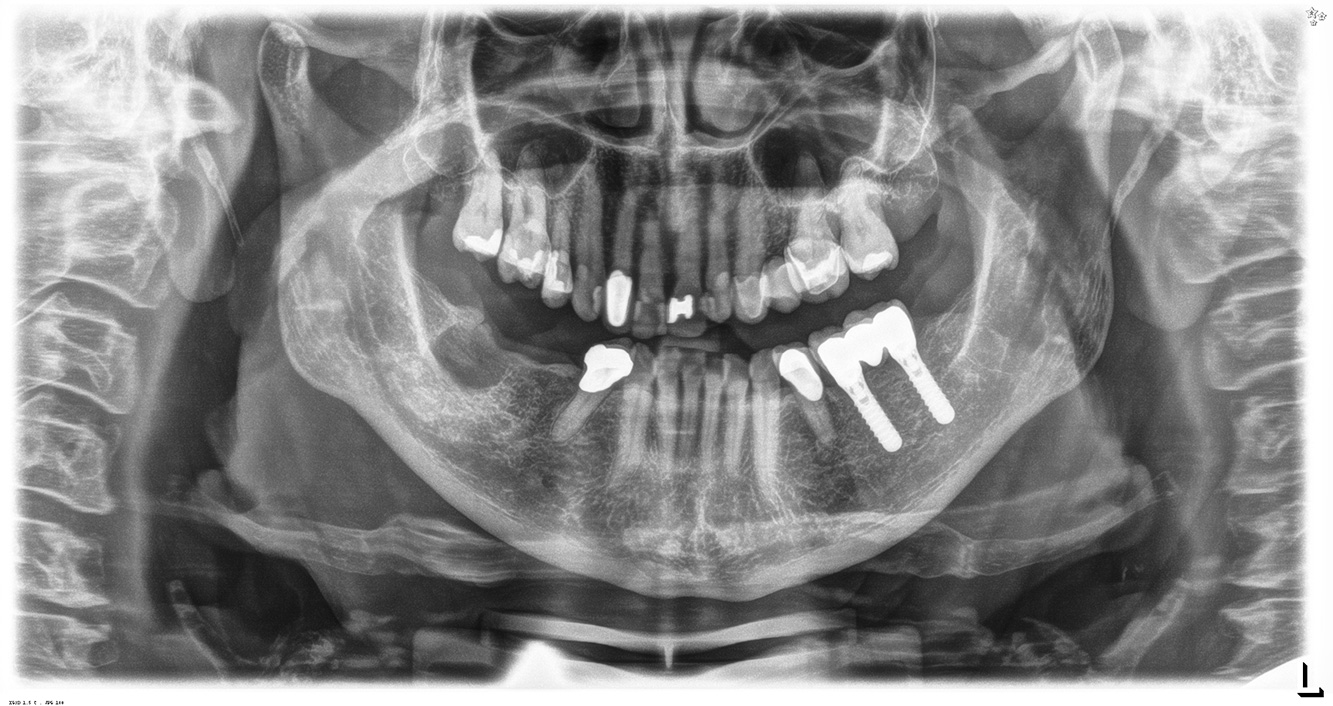
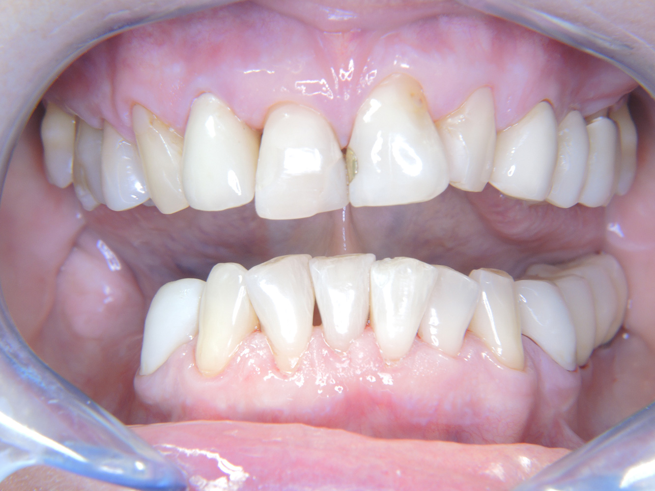
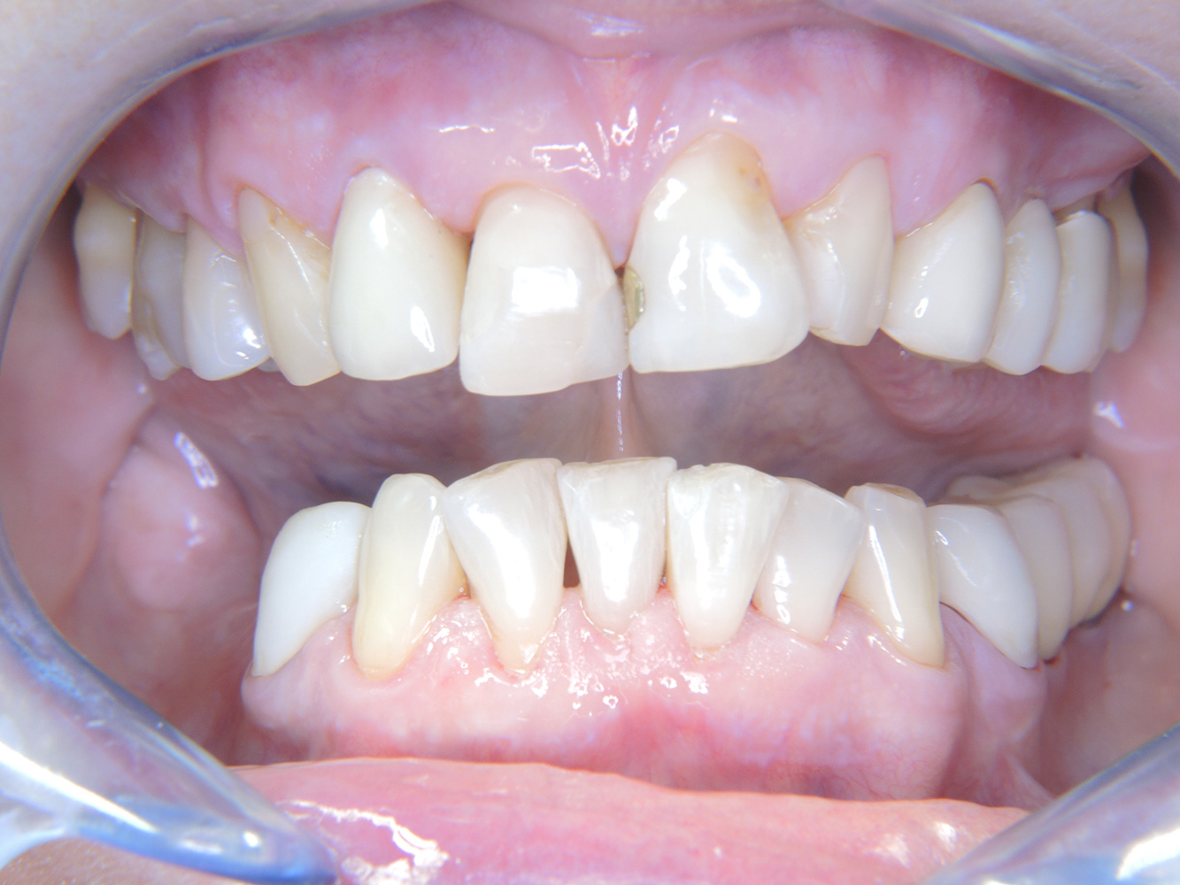
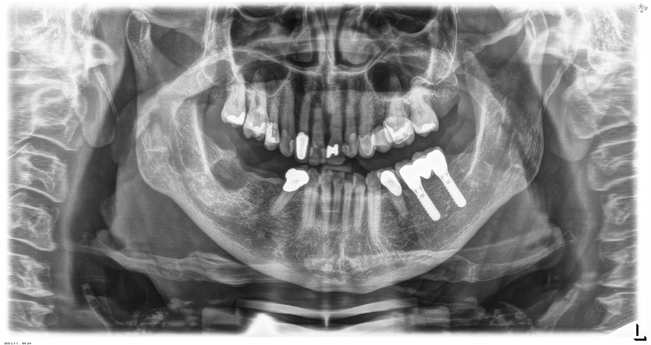
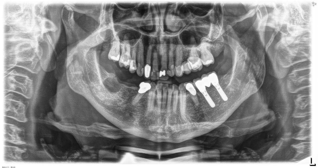
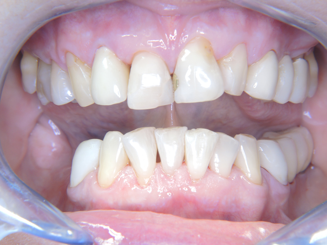
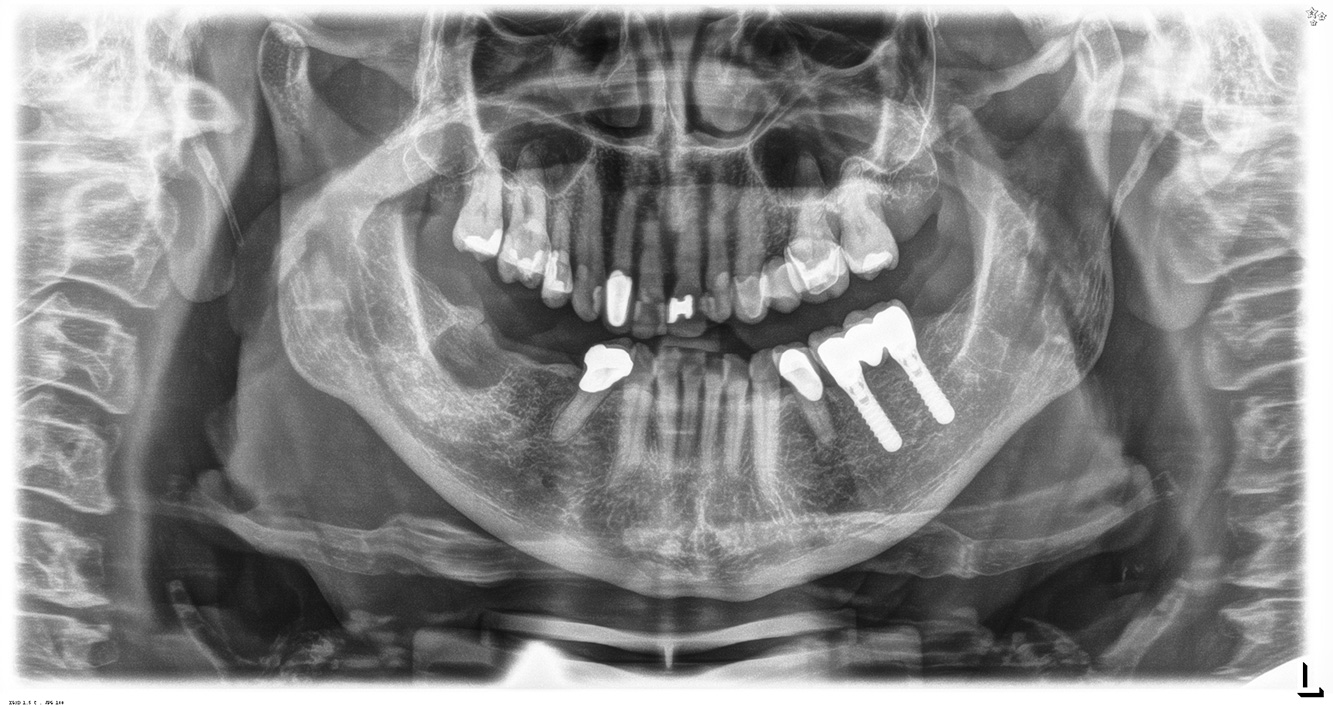
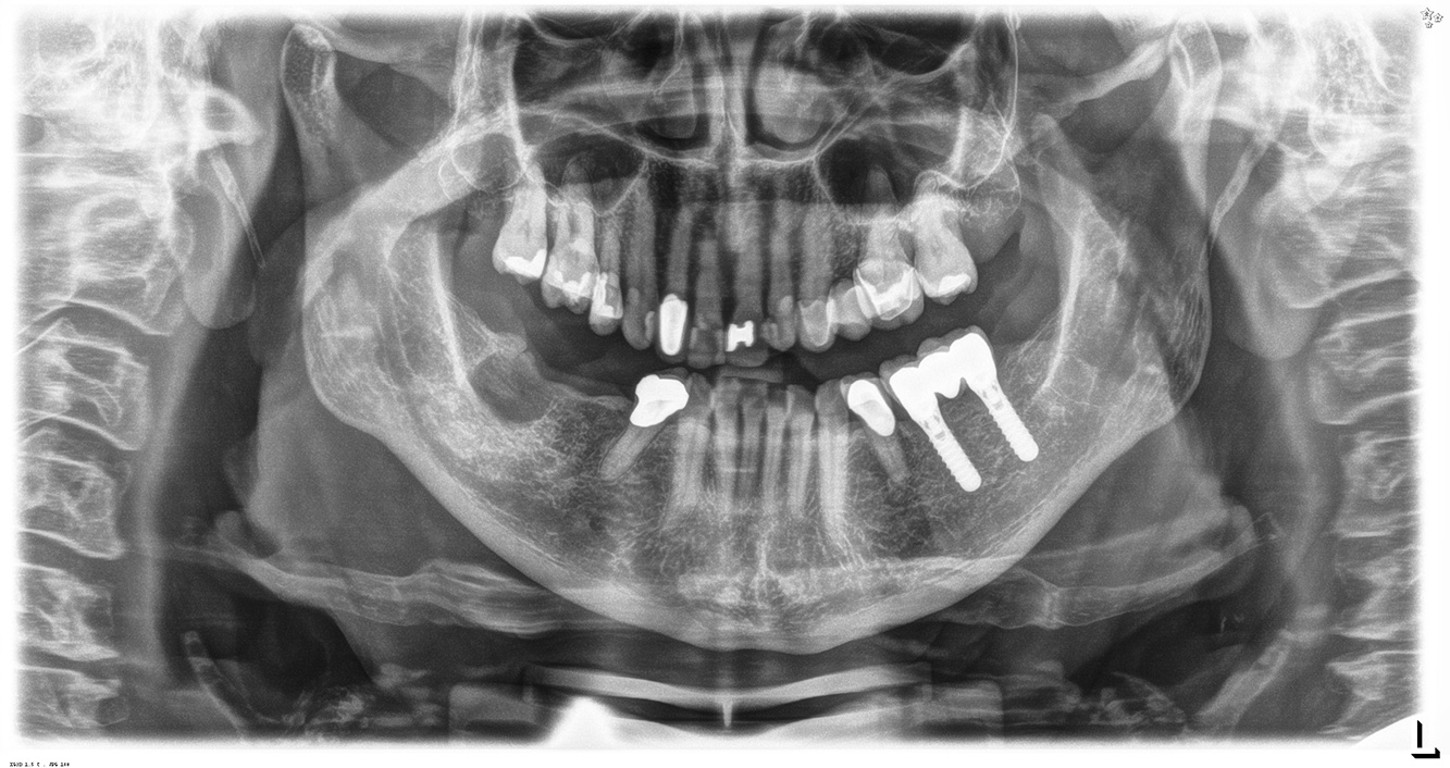
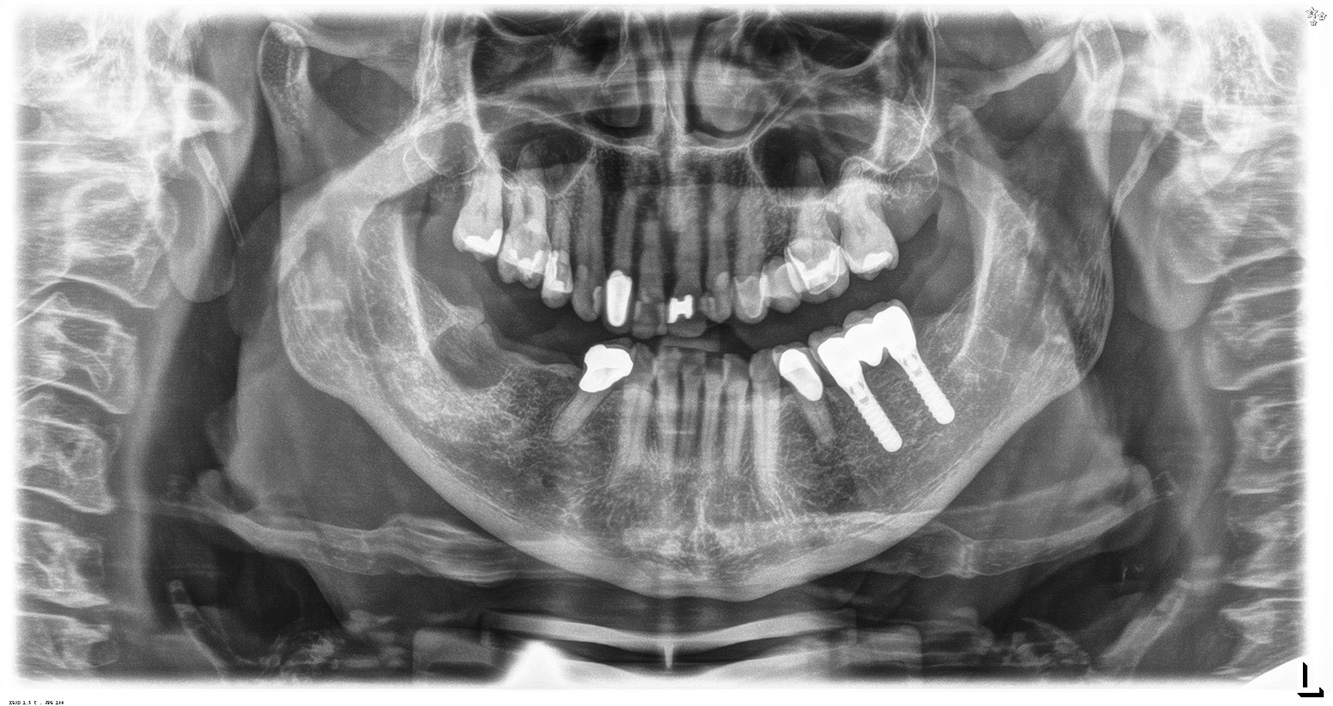
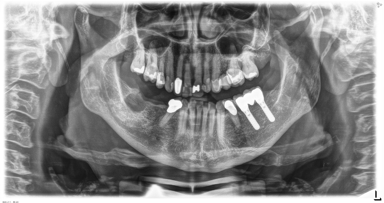
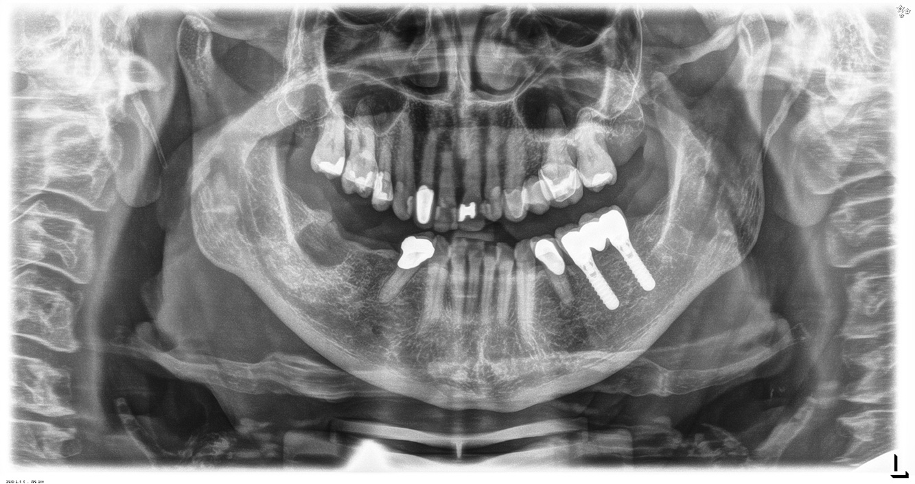
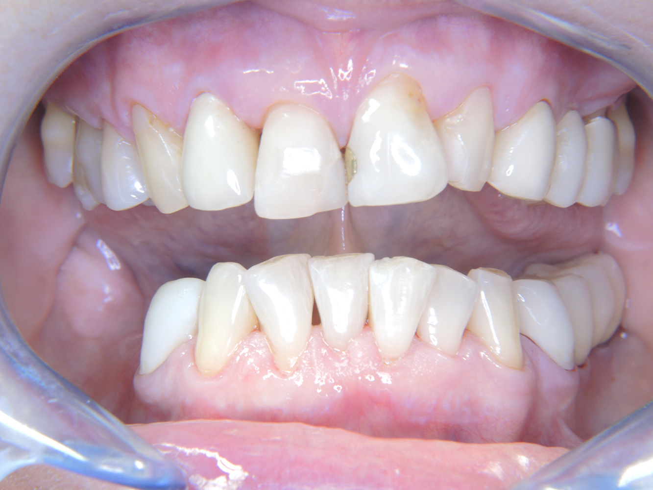
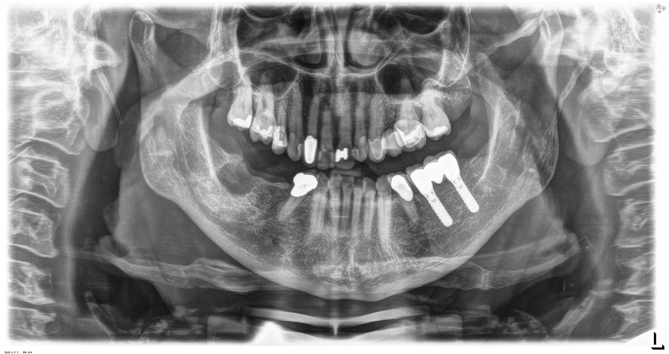
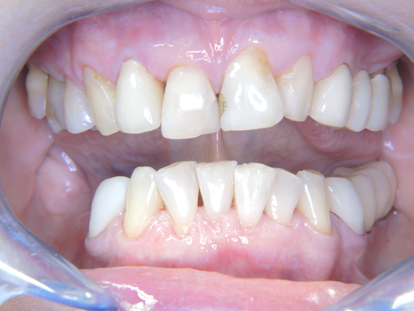
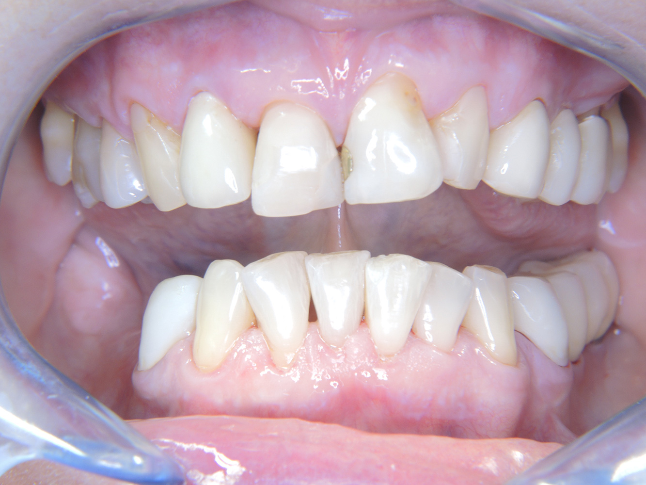
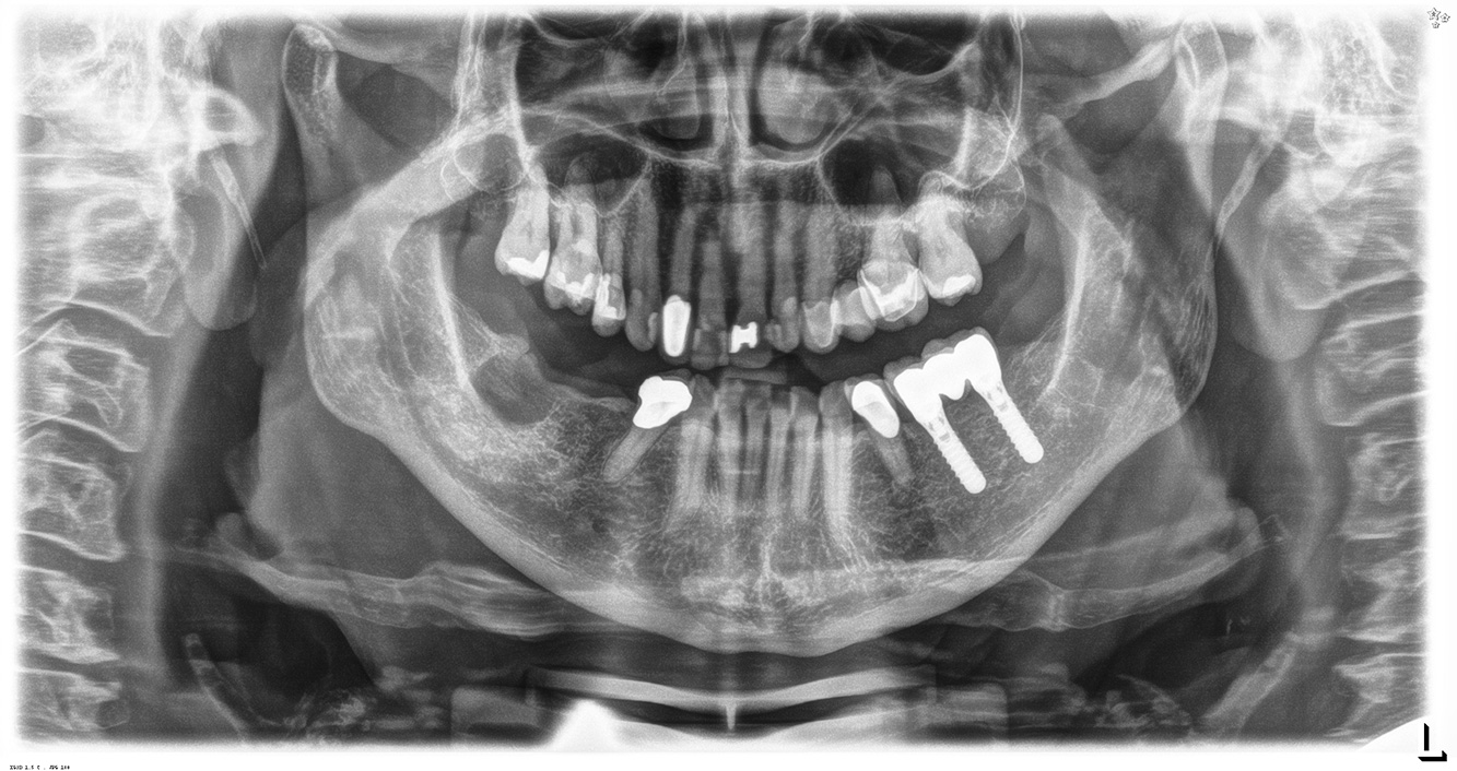
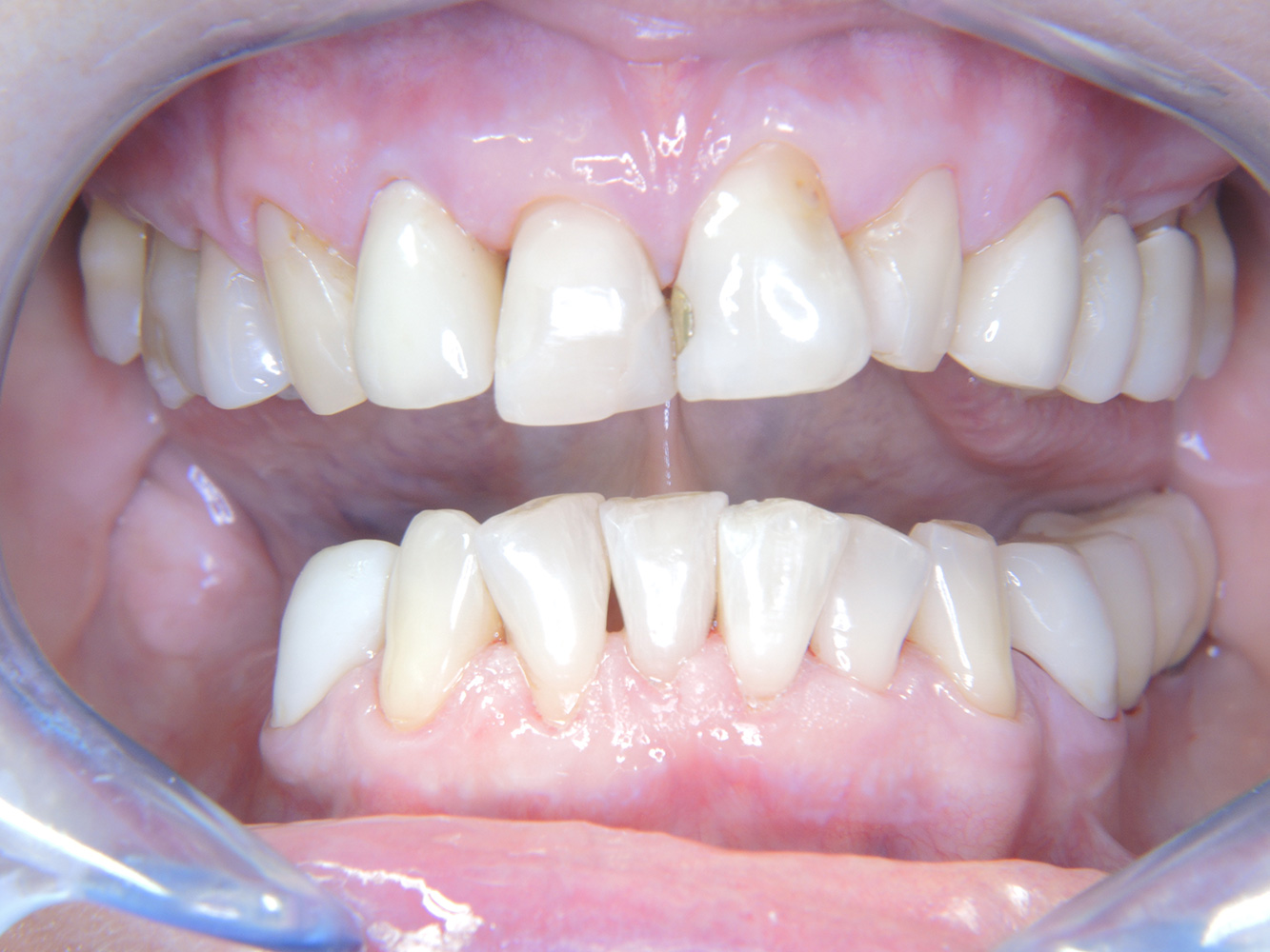
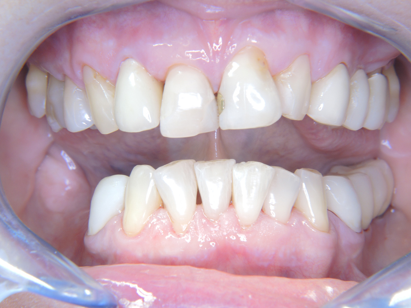
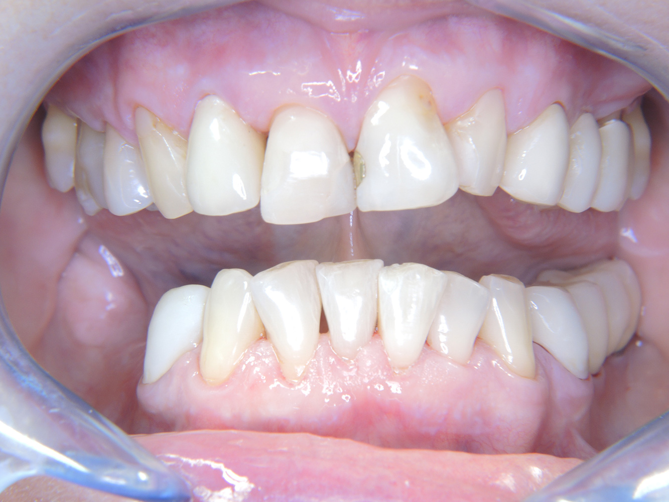
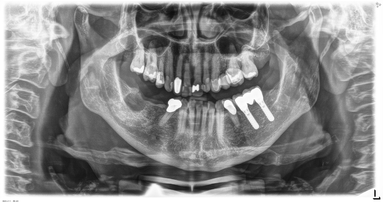
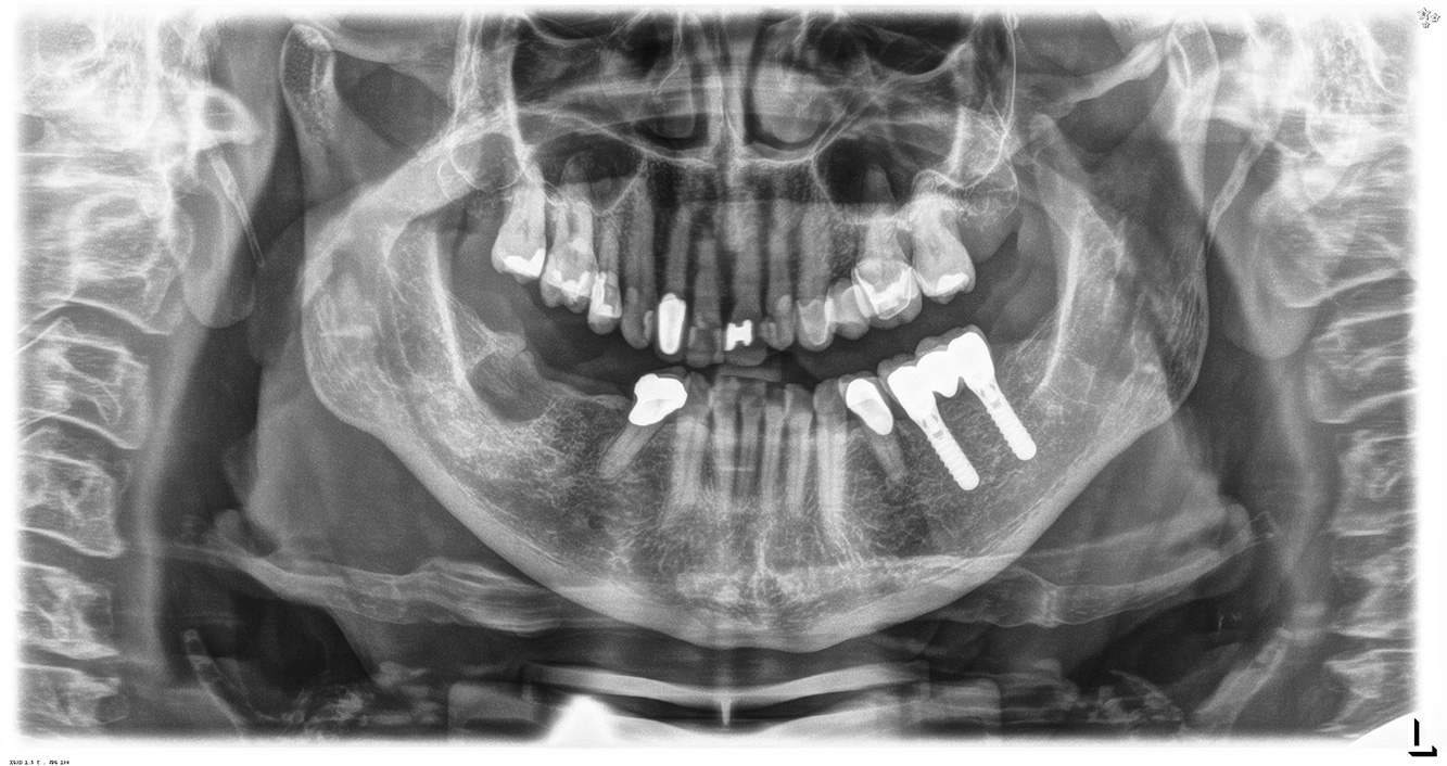
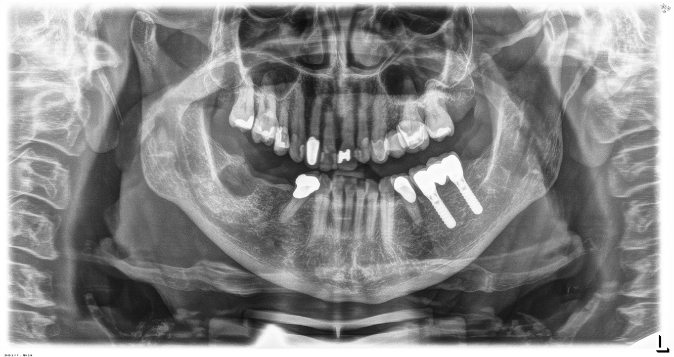
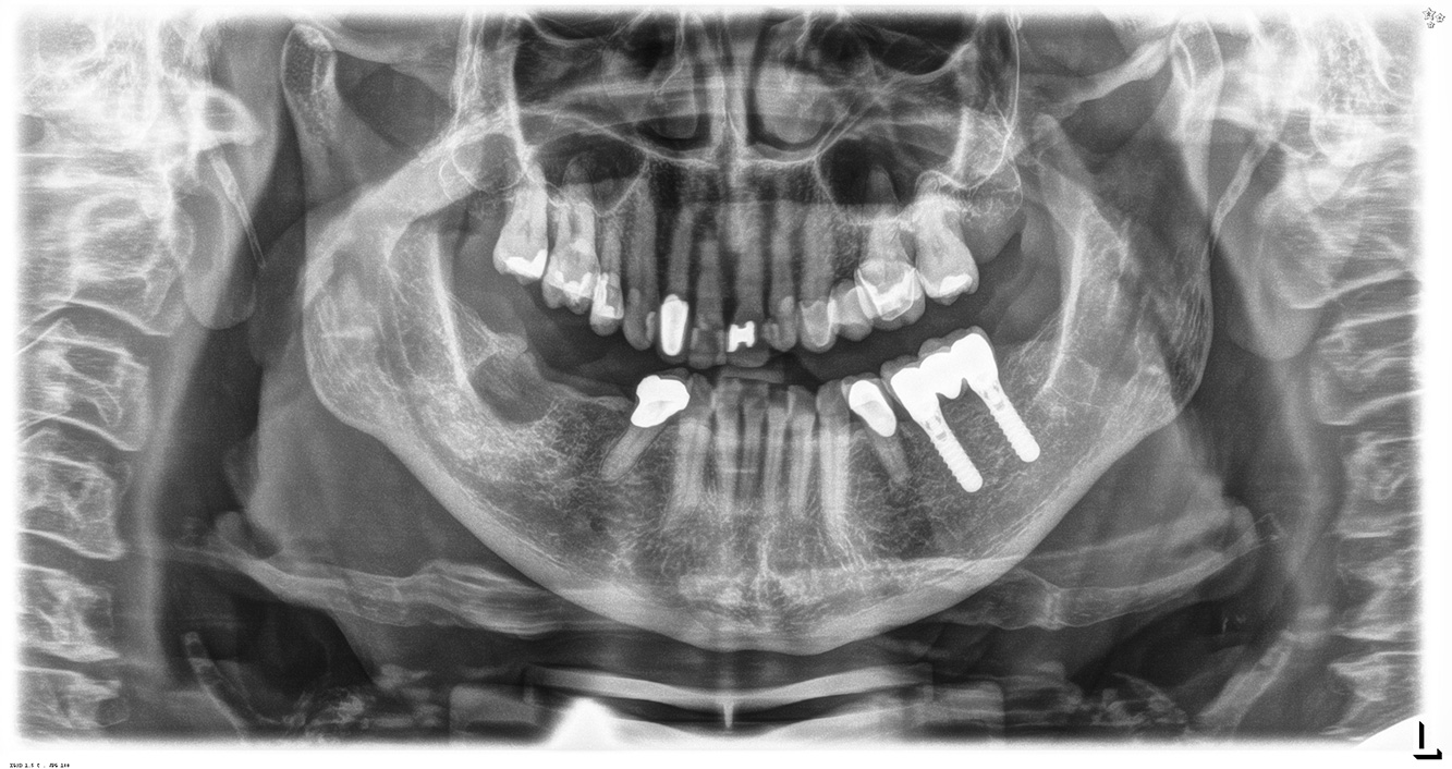
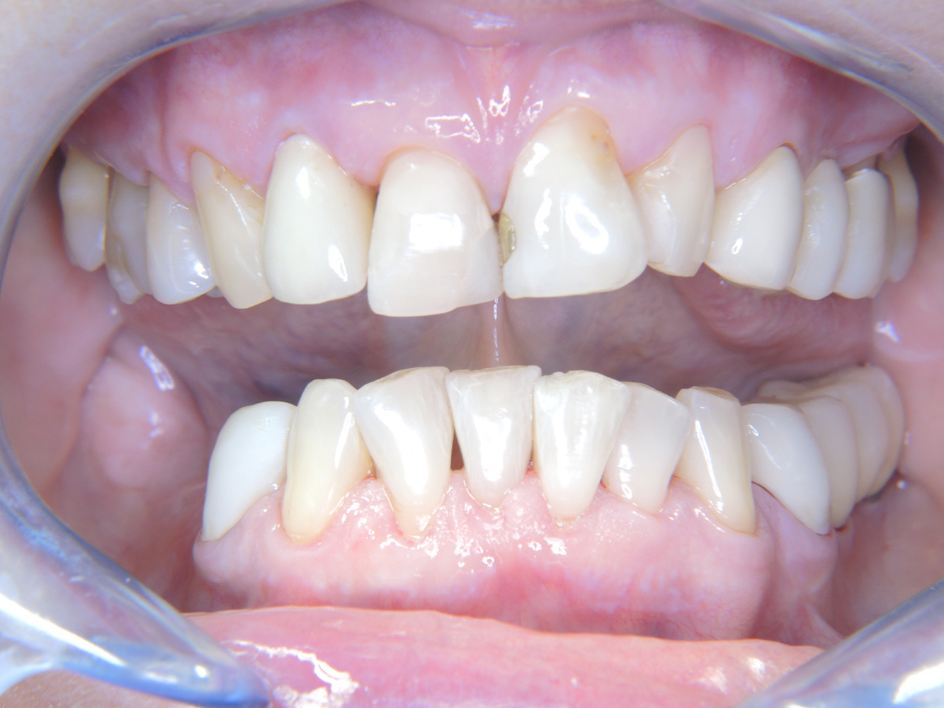
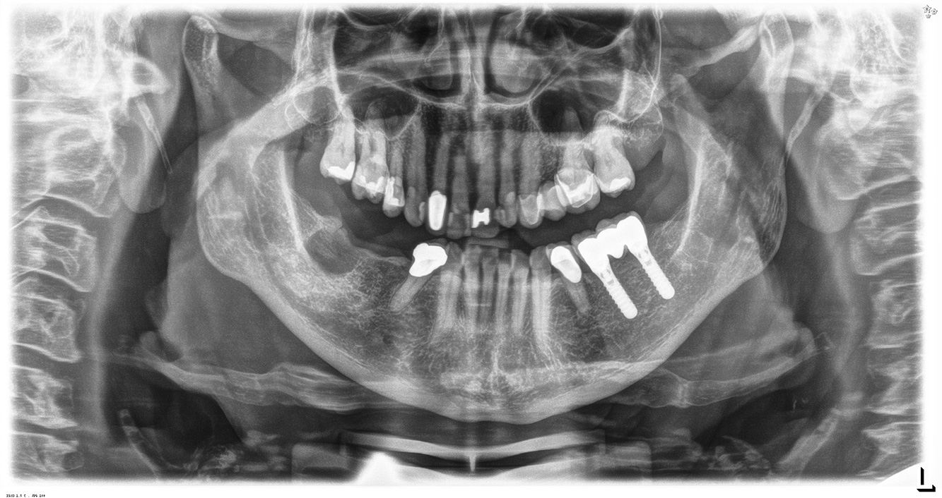
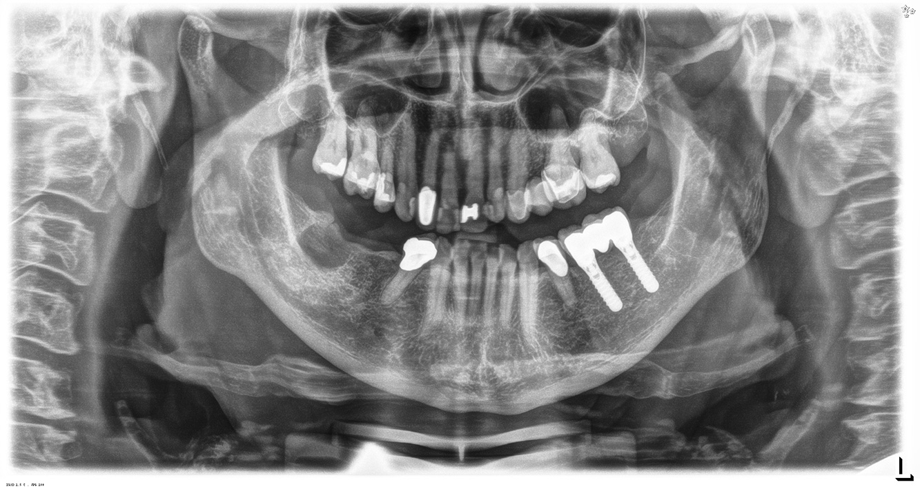
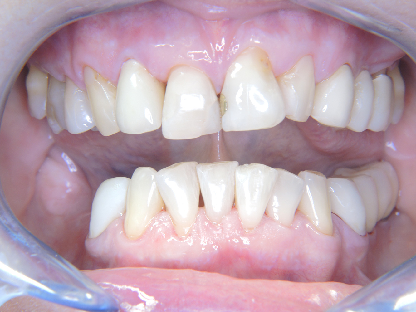
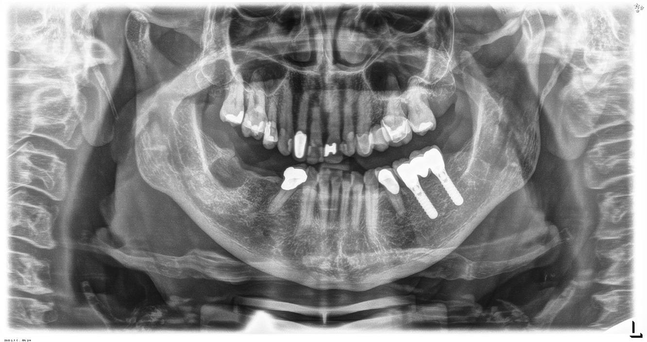
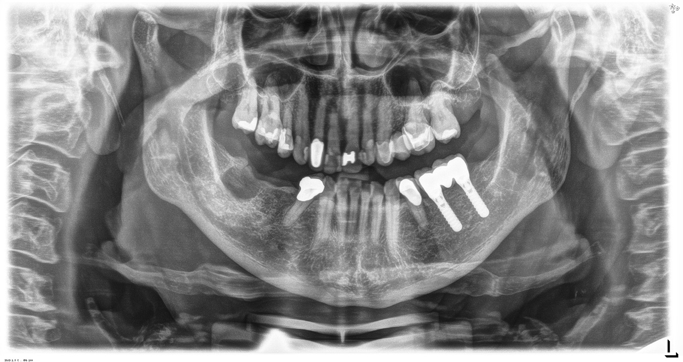
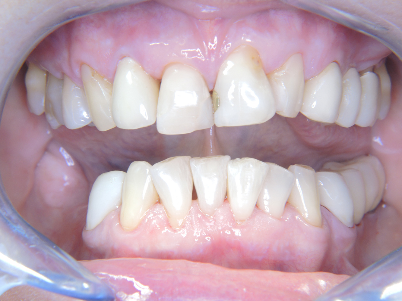
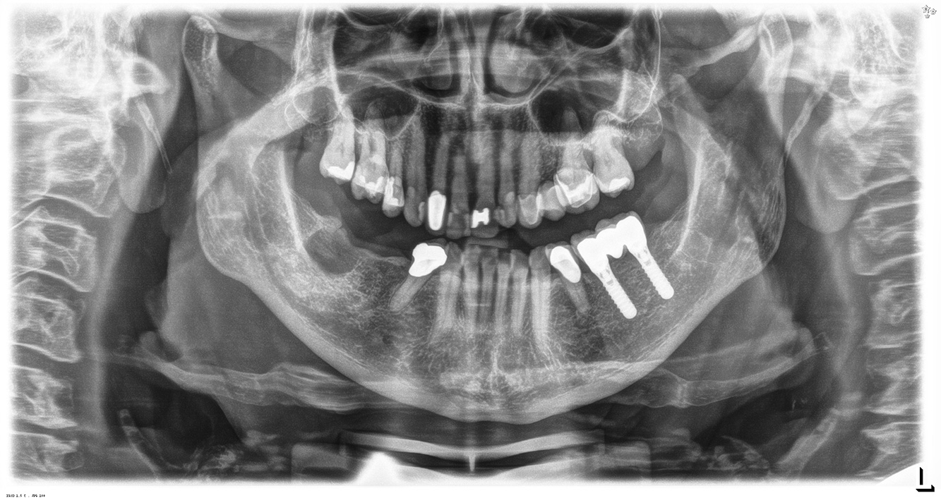
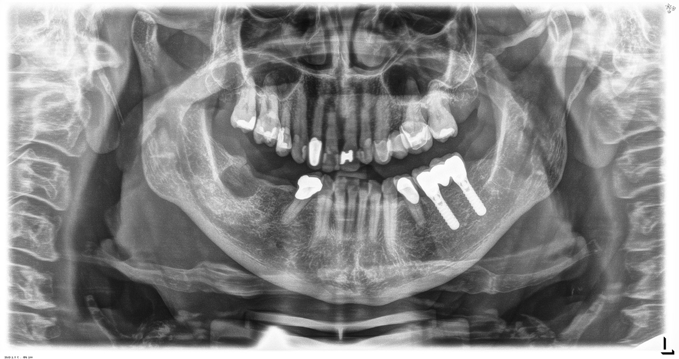
The 68-year-old patient has no general health conditions and is not taking any medication that may be relevant to her oral health, and her lifestyle does not pose any particular risk. The patient has two dental implants (3rd quadrant, for five years) and a previous case of periodontal disease (stage IV, grade B periodontitis) with tooth loss. Currently the periodontal conditions are stable. However, periodontitis significantly increases the biological complications of implantations and there is a risk of implant loss (21). Four recommendations can be determined for the prophylaxis session.

According to Lang & Toneti
ParoStatus®.de

As the patient does not have any particular risk factors with specific dental implications, the requirements determined from her current state of oral health are crucial. Here, it is recommended that a thorough assessment of periodontal condition be carried out once a year. This will ensure that any potential progression of the previous periodontal disease or development of peri-implantitis can be responded to in good time.

Despite the stable conditions, it is also crucial for the instructive/motivational discussion to be conducted with this patient. Particular attention should be paid to teaching the patient how to care for the implants correctly. Here in particular, good at-home maintenance can have a significant impact on the long-term stability of oral and implant health.

In terms of instruments, specific procedures are required for use with implants. In order to preserve the surface of the implant while cleaning it effectively, it is essential to choose suitable powders and instruments such as the targeted use of air polishing devices with special periodontal tips. Which powder is most suitable can be determined according to the needs and risk. For example, in addition to the appropriate degree of abrasion, dietary requirements (including sugar-free, low-salt) may also be taken into account.

Because the patient has implants and a history of periodontal disease, she is at risk of developing peri-implantitis. It is therefore recommended that she attend a recall session every three to four months.




* with the kind permission of Dr G. Schmalz and Dr D. Ziebolz MSc.


Individual Prophy Cycle – The patient-oriented prevention concept


Dr. G. Schmalz
Dr. G. Schmalz

Priv-Doz Dr Gerhard Schmalz is a senior physician at the Oral Health Medicine, Polyclinic for Dental Preservation and Periodontology, University Hospital Leipzig, Leipzig (Director: Prof Dr Rainer Haak).

Prof. Dr. D. Ziebolz MSc.
Prof. Dr. D. Ziebolz MSc.

Prof Dr Dirk Ziebolz MSc is a senior physician at the Polyclinic for Dental Preservation and Periodontology, Leipzig University Medical Centre (Director: Prof Dr R. Haak); with focus on interdisciplinary dental preservation and health services research.


List of references

  1. Chapple IL, Bouchard P, Cagetti MG, Campus G, Carra MC, Cocco F, et al. Interaction of lifestyle, behaviour or systemic diseases with dental caries and periodontal diseases: consensus report of group 2 of the joint EFP/ORCA workshop on the boundaries between caries and periodontal diseases. J Clin Periodontol. 2017;44 Suppl 18:S39-s51
  2. Schmalz G, Ziebolz D, Individualisierte Prävention-ein patientenorientiertes Präventionskonzept für die zahnärztliche Praxis, ZWR- Das deutsche Zahnärzteblatt 2020;129;147-156
  3. Fresmann S., So sieht eine durchdachtes Prophylaxekonzept aus; Dental Magazin: Deutscher Ärzteverlag GmbH; 2015
  4. Schmalz G, Ziebolz D, Individualisierte Prävention-fallorientierte Bedarfsprävention, ZWR- Das deutsche Zahnärzteblatt 2020;129;33-41
  5. Schmalz G, Ziebolz D, Individualisierte Prävention-Implikation allgemeingesundheitlicher Faktoren, ZWR- Das deutsche Zahnärzteblatt 2019;128;295-304
  6. Wang C, Zhao Y, Zheng S, Xue J, Zhou J, Tang Y, et al. Effect of enamel morphology on nanoscale adhesion forces of streptococcal bacteria: An AFM study. Scanning. 2015;37(5):313-21
  7. Pence SD, Chambers DA, van Tets IG, Wolf RC, Pfeiffer DC. Repetitive coronal polishing yields minimal enamel loss. Journal of dental hygiene: JDH. 2011;85(4):348-57.
  8. Kumar PS. From focal sepsis to periodontal medicine: a century of exploring the role of the oral microbiome in systemic disease. The Journal of Physiology. 2017;595(2):465-76
  9. Lalla E, Papapanou PN. Diabetes mellitus and periodontitis: a tale of two common interrelated diseases. Nature Reviews Endocrinology. 2011;7:738
  10. Miller WR, Moyers TB. Eight Stages in Learning Motivational Interviewing. Journal of Teaching in the Addictions. 2006;5(1):3-17
  11. Paradigmenwechsel im Biofilmmanagement [Internet]. Spitta GmbH. 2014. https://www.pnc-aktuell.de/prophylaxe/story/paradigmenwechsel-im-biofilmmanagement__3512.html
  12. Christensen RP, Bangerter VW. Determination of rpm, time, and load used in oral prophylaxis polishing in vivo. J Dent Res. 1984; 63(12):1376-1382
  13. Graumann SJ, Sensat ML, Stoltenberg JL. Air polishing: a review of current literature. Journal of dental hygiene : JDH. 2013;87(4):173-80
  14. Bordoloi P, Ramesh A, Thomas B, Bhandary R. Epidemiological survey of dentinal hypersensitivity after oral prophylaxis. J Cont Med A Dent. 2018;6(1)
  15. James P, Worthington HV, Parnell C, Harding M, Lamont T, Cheung A, et al. Chlorhexidine mouthrinse as an adjunctive treatment for gingival health. The Cochrane database of systematic reviews. 2017;3:Cd008676
  16. Sawai MA, Bhardwaj A, Jafri Z, Sultan N, Daing A. Tooth polishing: The current status. Journal of Indian Society of Periodontology. 2015;19(4):375-80
  17. Slayton RL, Urquhart O, Araujo MWB, Fontana M, Guzman-Armstrong S, Nascimento MM, et al. Evidence-based clinical practice guideline on nonrestorative treatments for carious lesions: A report from the American Dental Association. J Am Dent Assoc. 2018;149(10):837-49 e19
  18. Gleissner E. Erfolgreiche Prävention auch in schwierigen Fällen. Allgemeine Zahnheilkunde: ZMK-aktuell; 2019
  19. Derks J, Schaller D, Hakansson J, Wennstrom JL, Tomasi C, Berglundh T. Effectiveness of Implant Therapy Analyzed in a Swedish Population: Prevalence of Peri-implantitis. Journal of dental research 2016;95:43-49
  20. Newton JT, Asimakopoulou K. Managing oral hygiene as a risk factor for periodontal disease: a systematic review of psychological approaches to behaviour change for improved plaque control in periodontal management. Journal of Clinical Periodontology 2015;42:S36-S46
  21. Veitz-Keenan A, James R, Implant outcomes poorer in patients with history of periodontal disease, Evicénce-Based-Dentistry 18, 5 (2017)

comments