Casos clínicos de terapia ósea regenerativa con piezoeléctrico
*Publicado originalmente en Dental Tribune Latin America
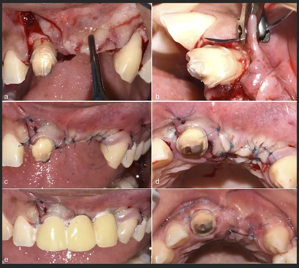
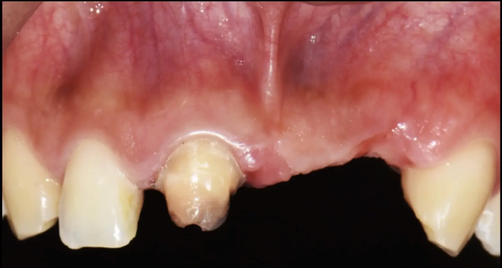
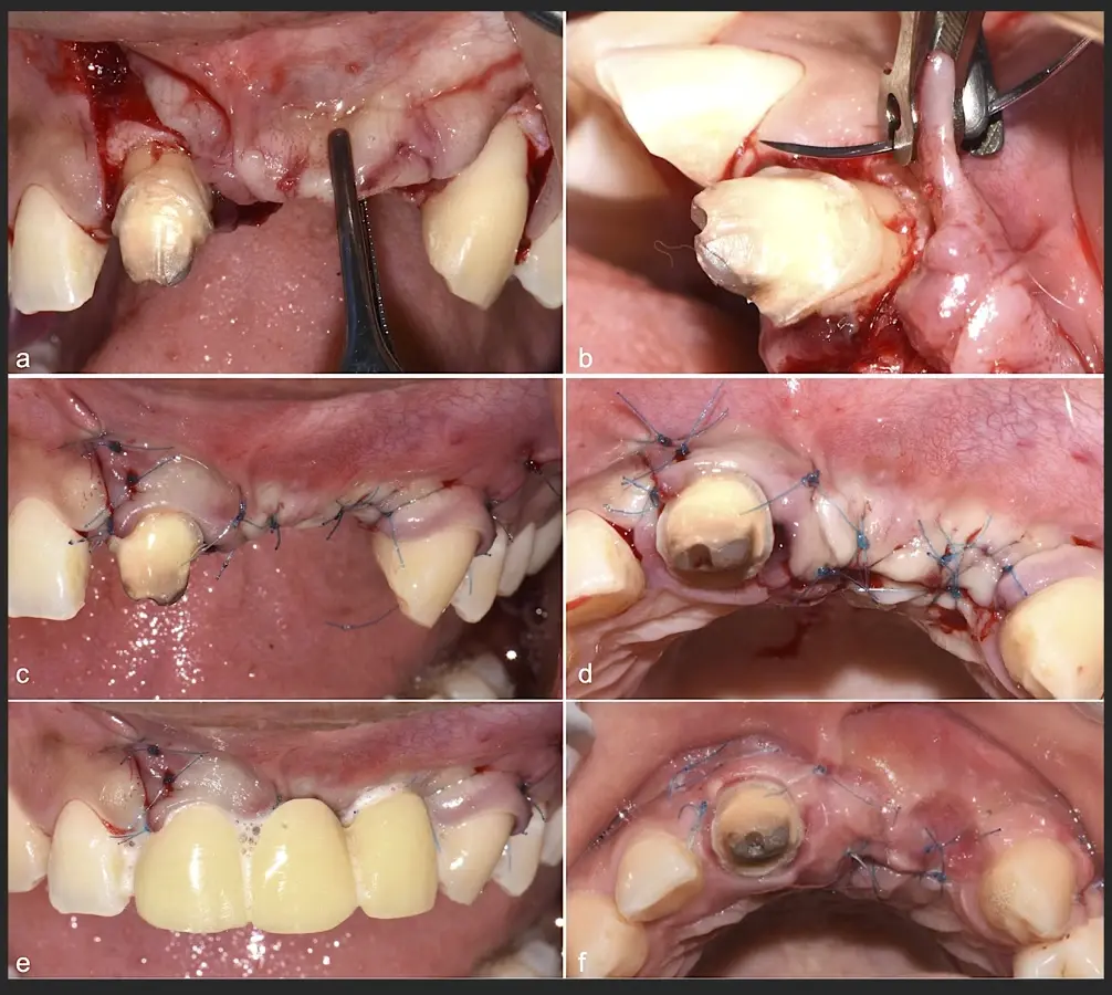
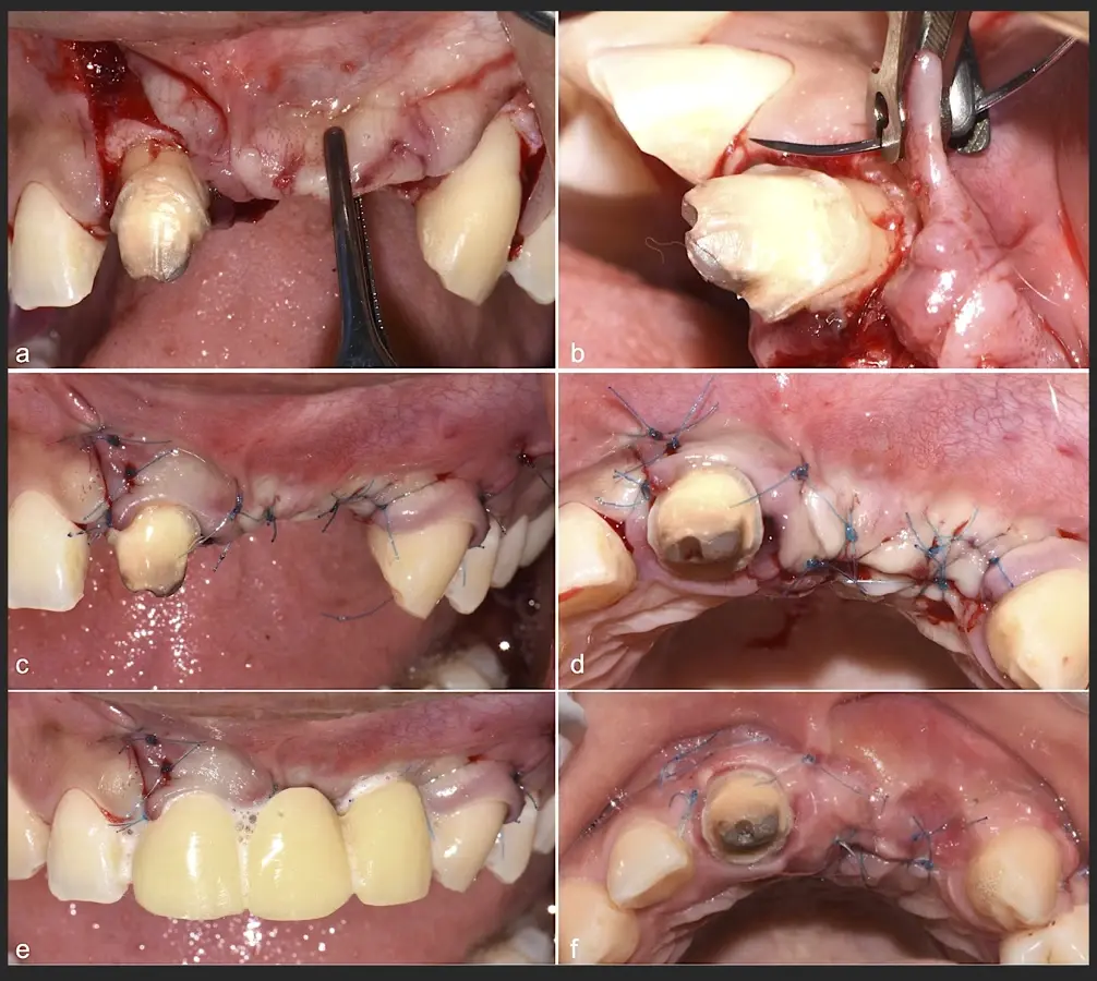
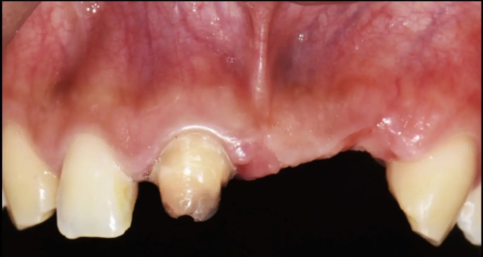
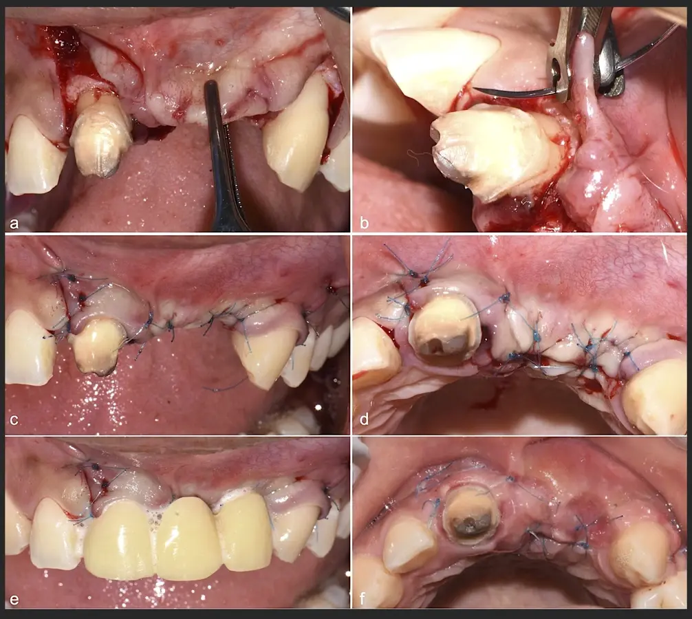
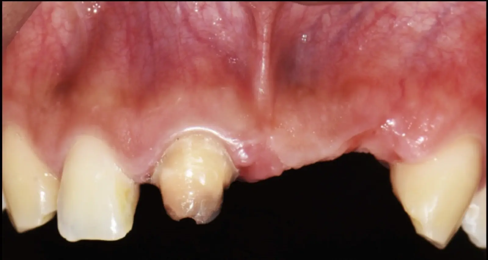
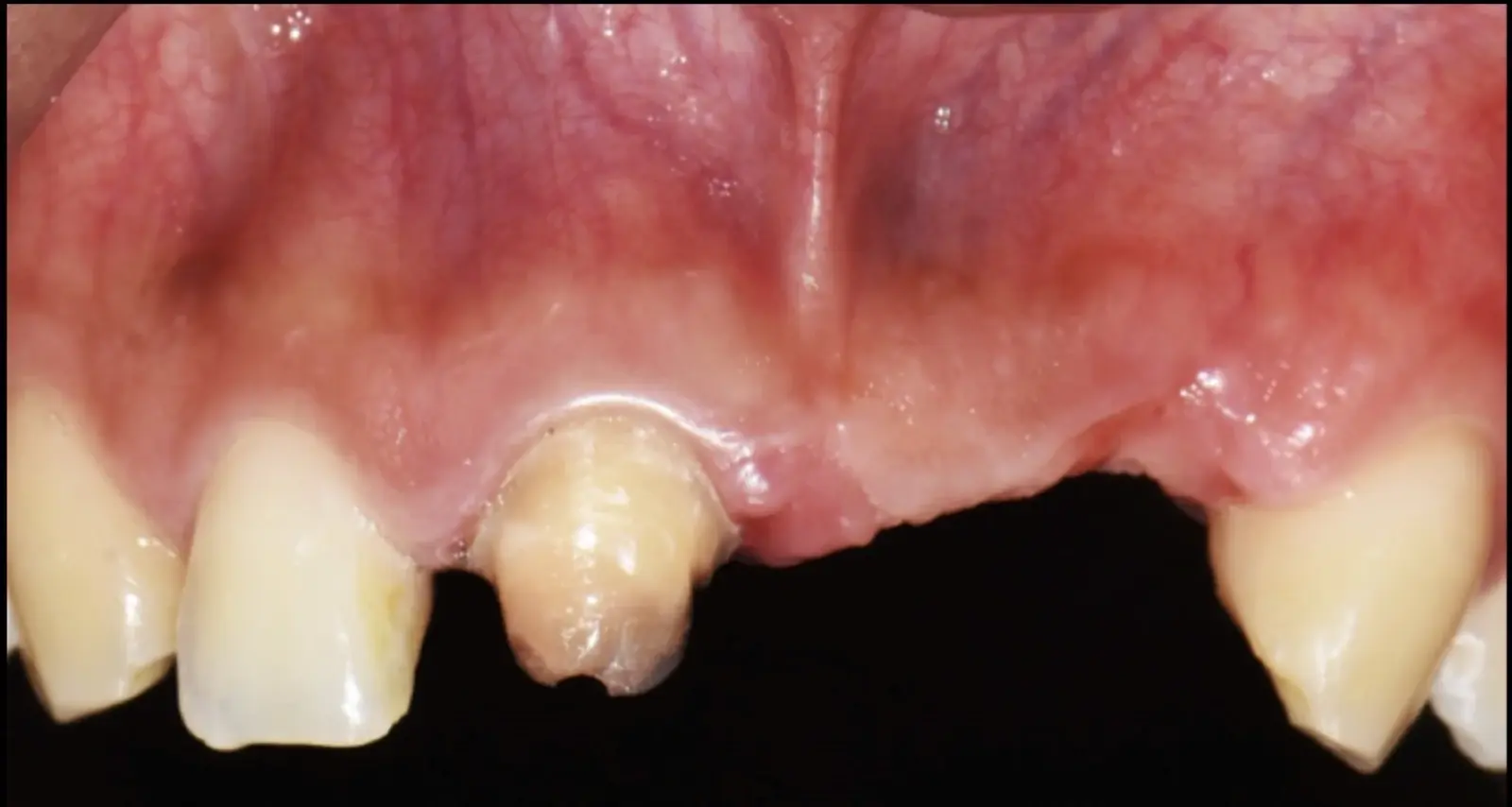
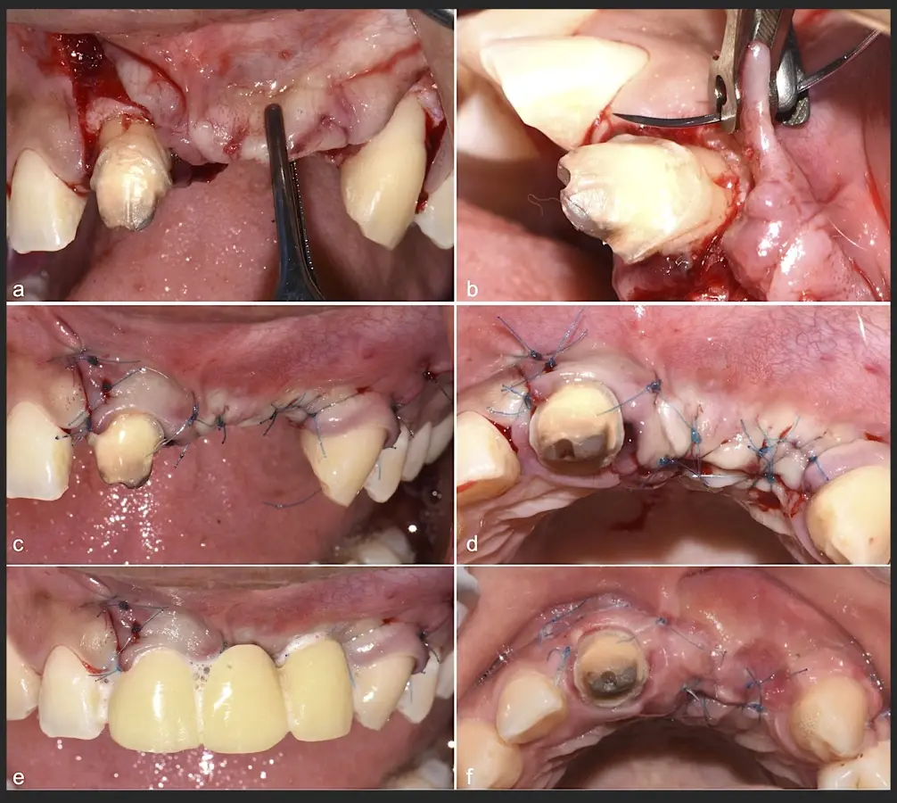
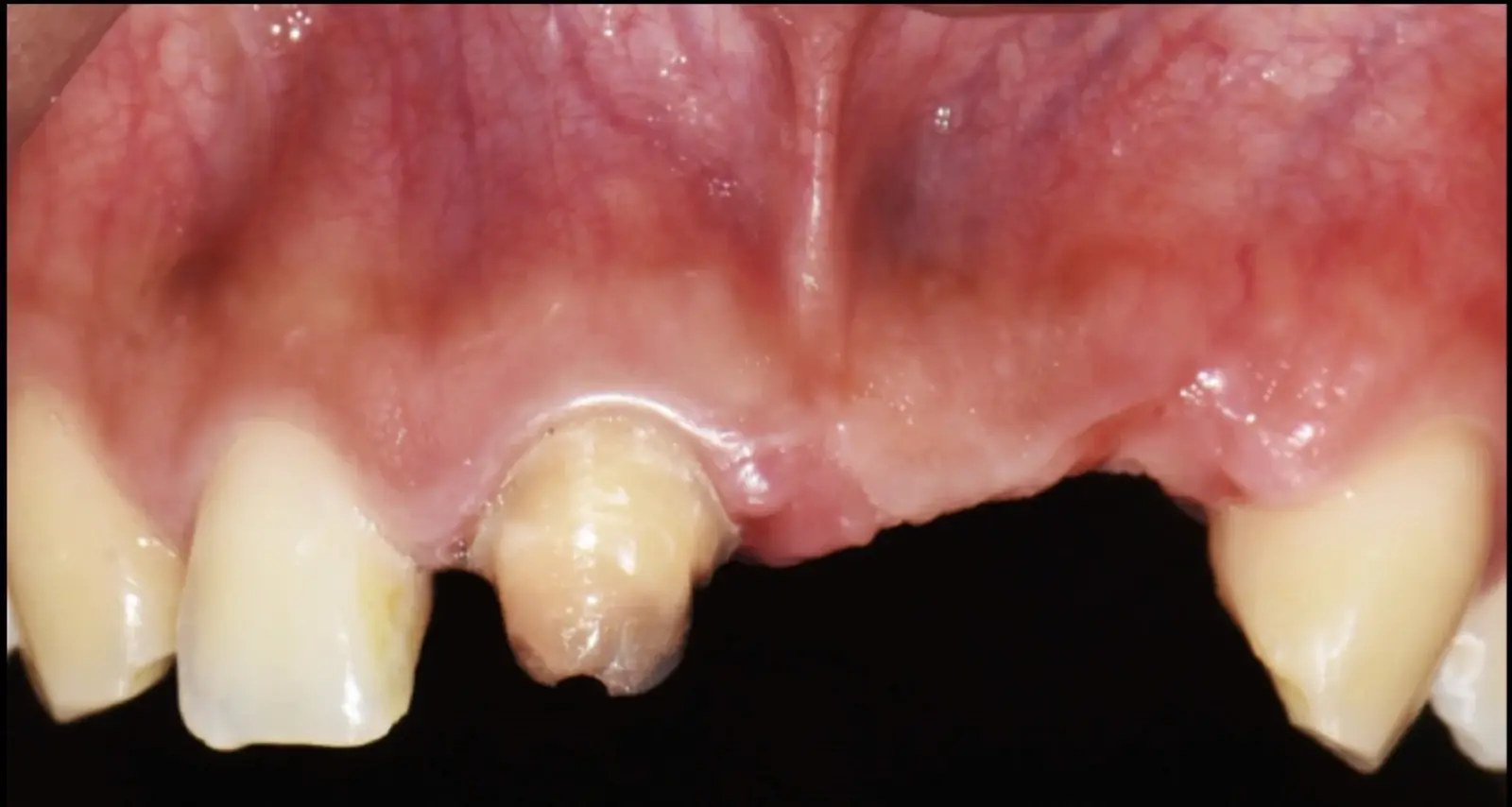
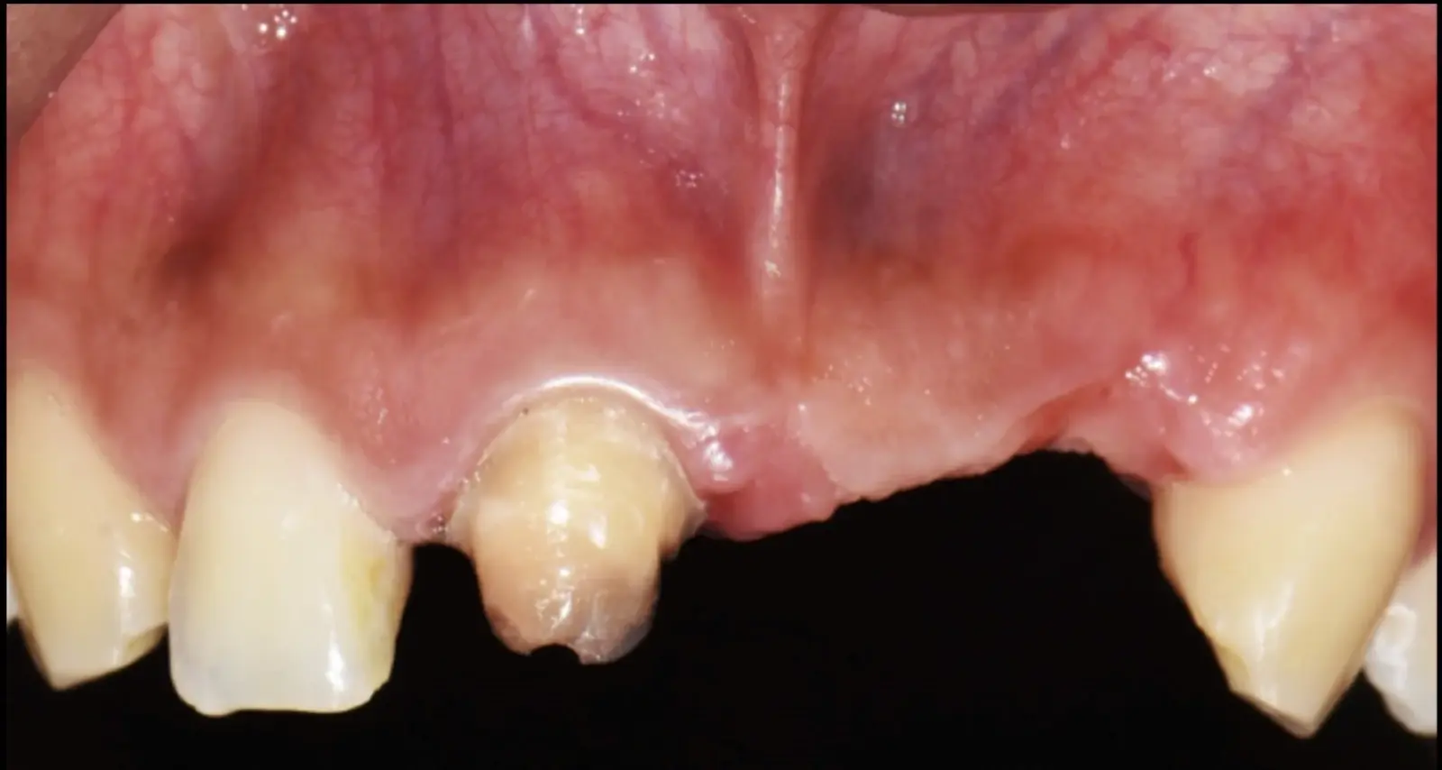
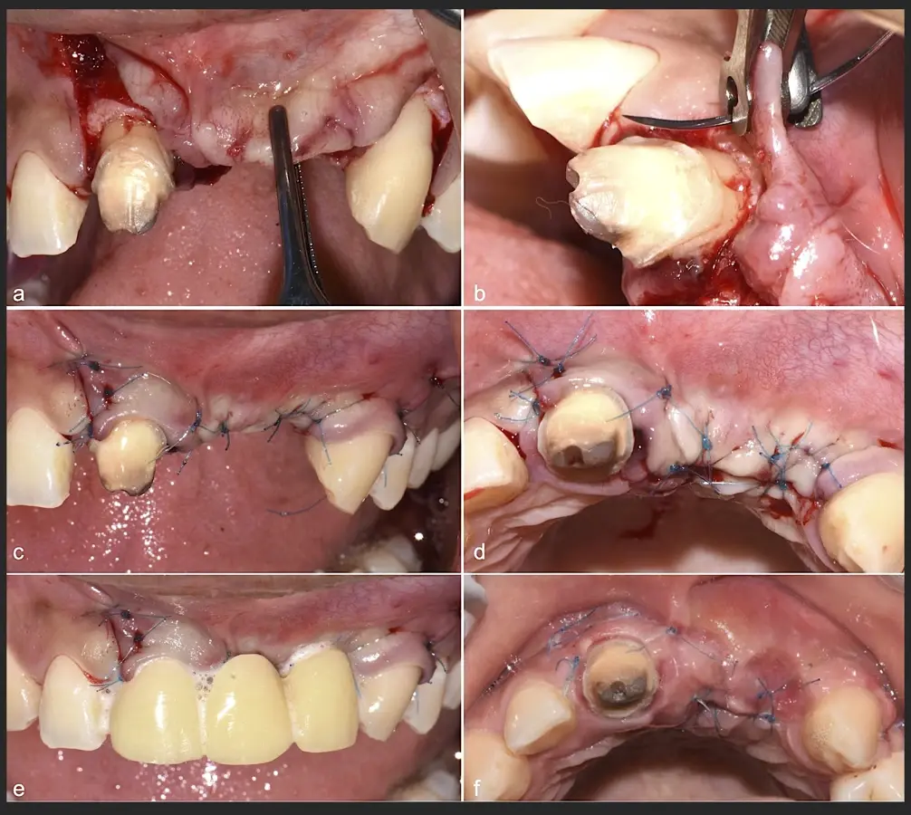
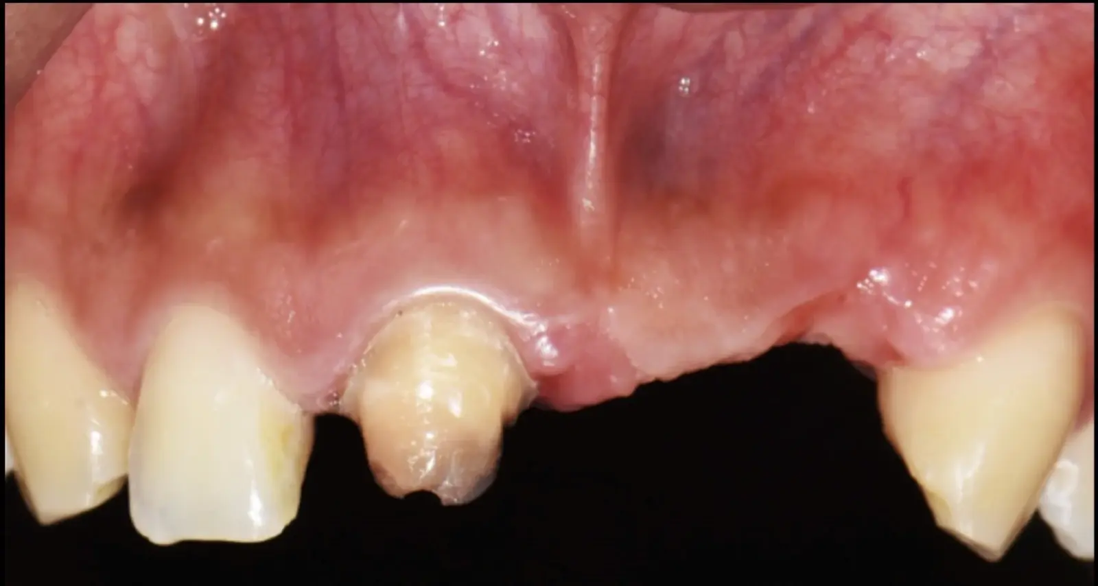
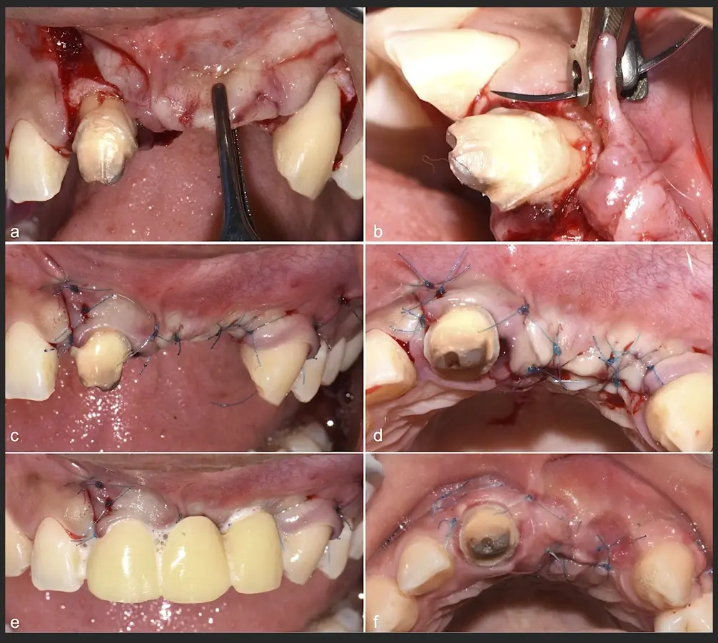
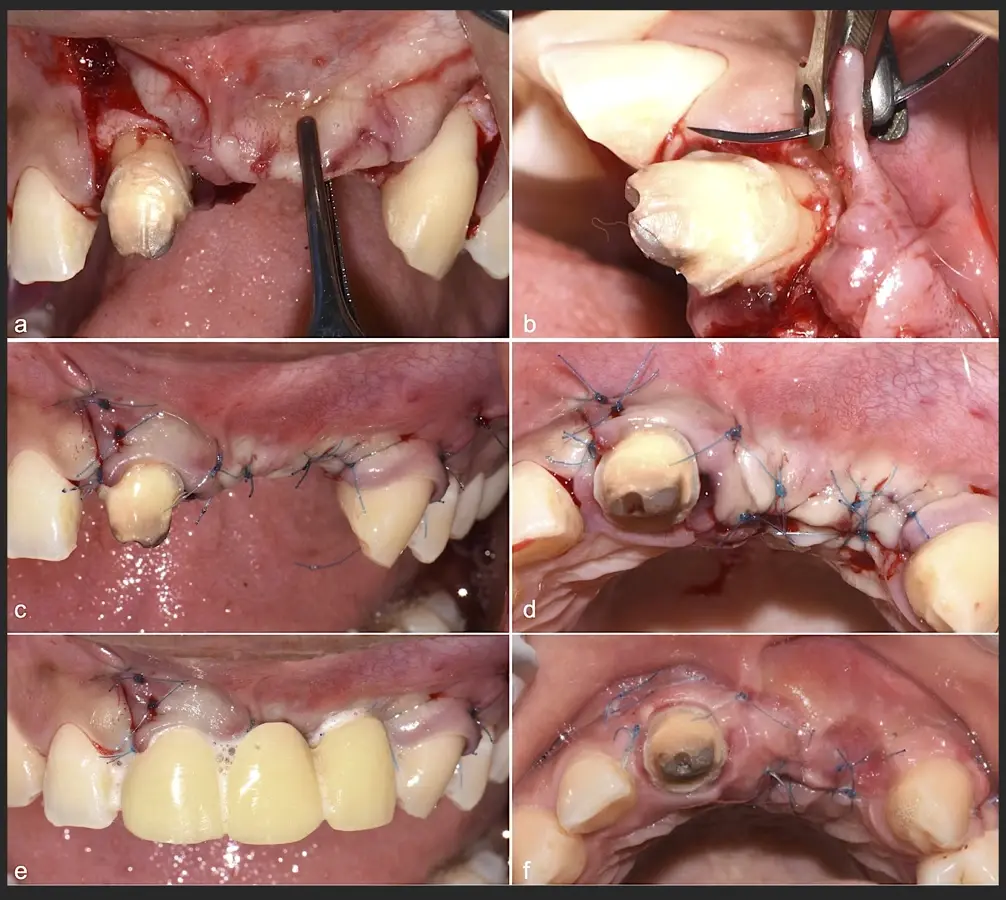
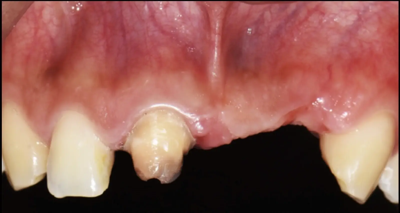
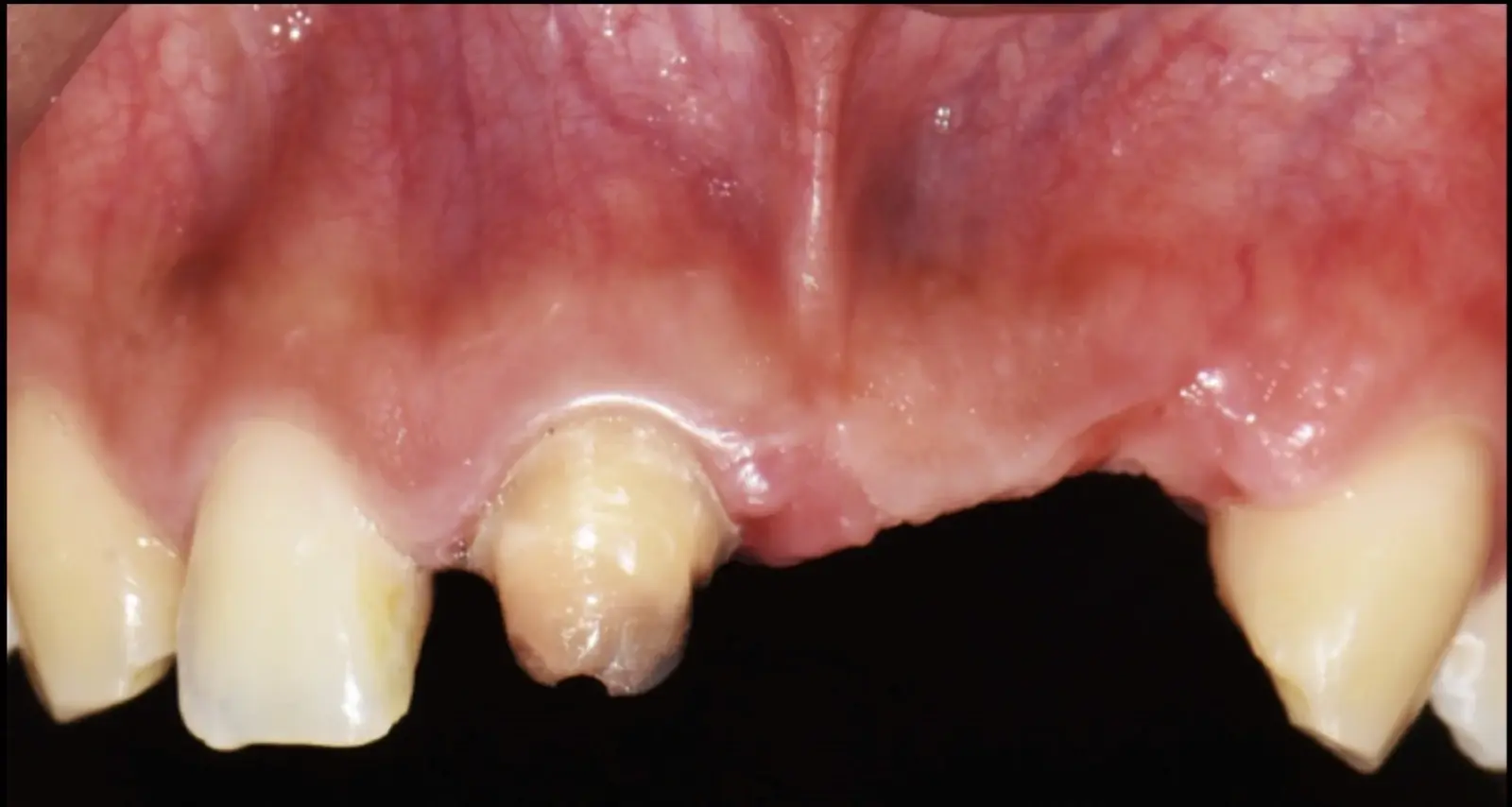
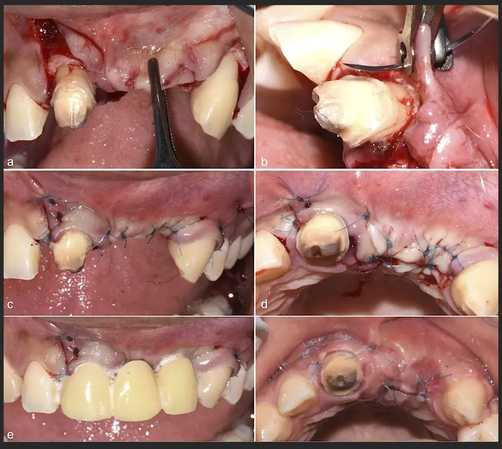
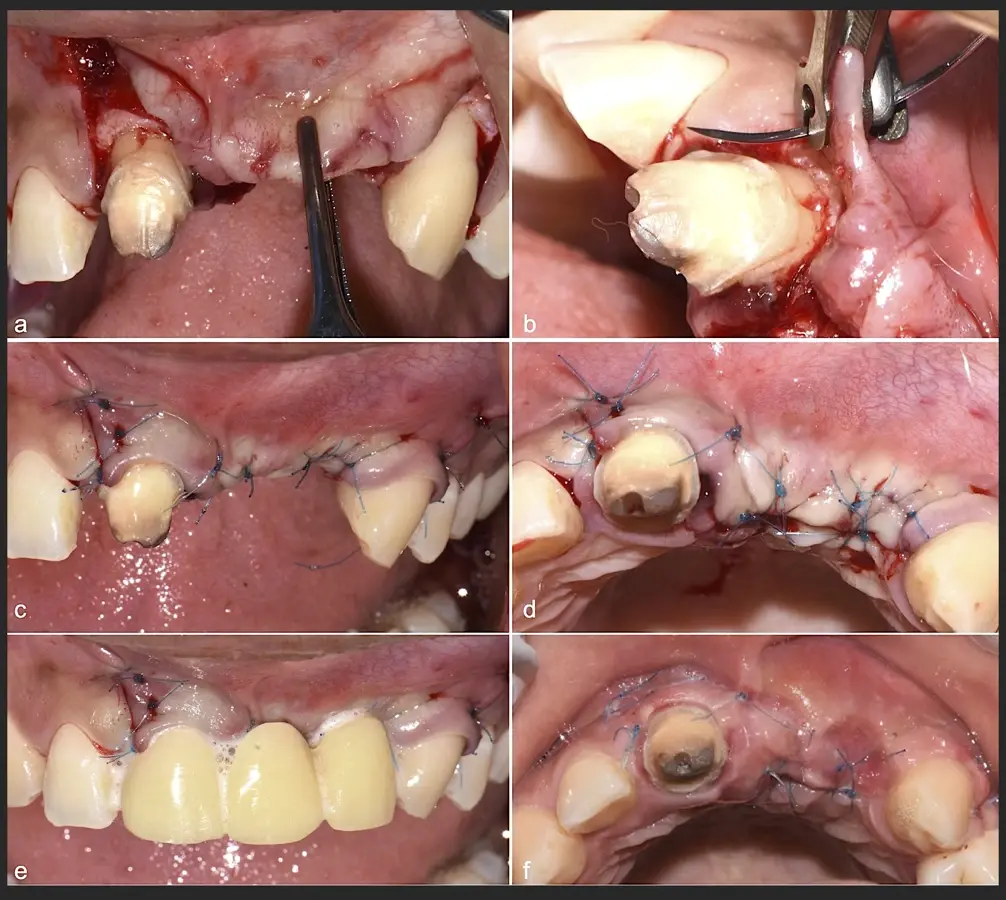
Los casos clínicos que presentamos a continuación muestran claramente las ventajas del piezoeléctrico en diversos procedimientos de terapia ósea regenerativa. En el primer ejemplo, una reconstrucción de reborde con injertos en bloque previo a la planificación de implantes dentales en un caso de edentulismo total superior con una severa reabsorción ósea. En el segundo ejemplo se utilizó esta tecnología para la reconstrucción de lechos para implantes de estructuras óseas con hueso en bloque de origen bovino y posteriormente la colocación de implantes dentales. Los dos casos son parte del capítulo 9 del libro “Cirugía piezoeléctrica: generalidades y aplicaciones clínicas”.

comentarios