Informes & Estudios

Casos clínicos de terapia ósea regenerativa con piezoeléctrico

*Publicado originalmente en Dental Tribune Latin America

Los casos clínicos que presentamos a continuación muestran claramente las ventajas del piezoeléctrico en diversos procedimientos de terapia ósea regenerativa. En el primer ejemplo, una reconstrucción de reborde con injertos en bloque previo a la planificación de implantes dentales en un caso de edentulismo total superior con una severa reabsorción ósea. En el segundo ejemplo se utilizó esta tecnología para la reconstrucción de lechos para implantes de estructuras óseas con hueso en bloque de origen bovino y posteriormente la colocación de implantes dentales. Los dos casos son parte del capítulo 9 del libro “Cirugía piezoeléctrica: generalidades y aplicaciones clínicas”.

En las imágenes superiores se aprecia una reconstrucción de reborde con injertos en bloque previo a la planificación de implantes; en las imágenes inferiores, se observa la deficiencia vertical del reborde óseo y el tratamiento realizado con el piezoeléctrico.

Undécimo de una serie de 11 artículos


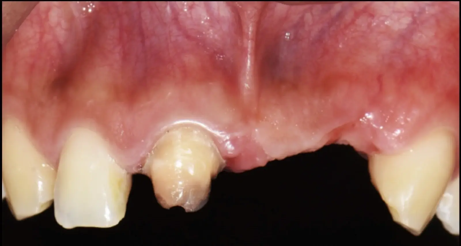
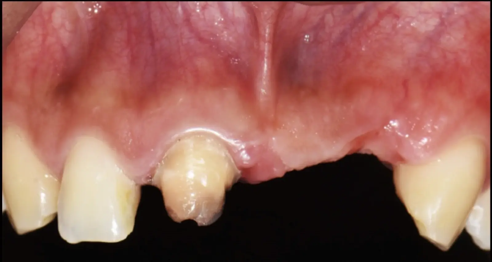
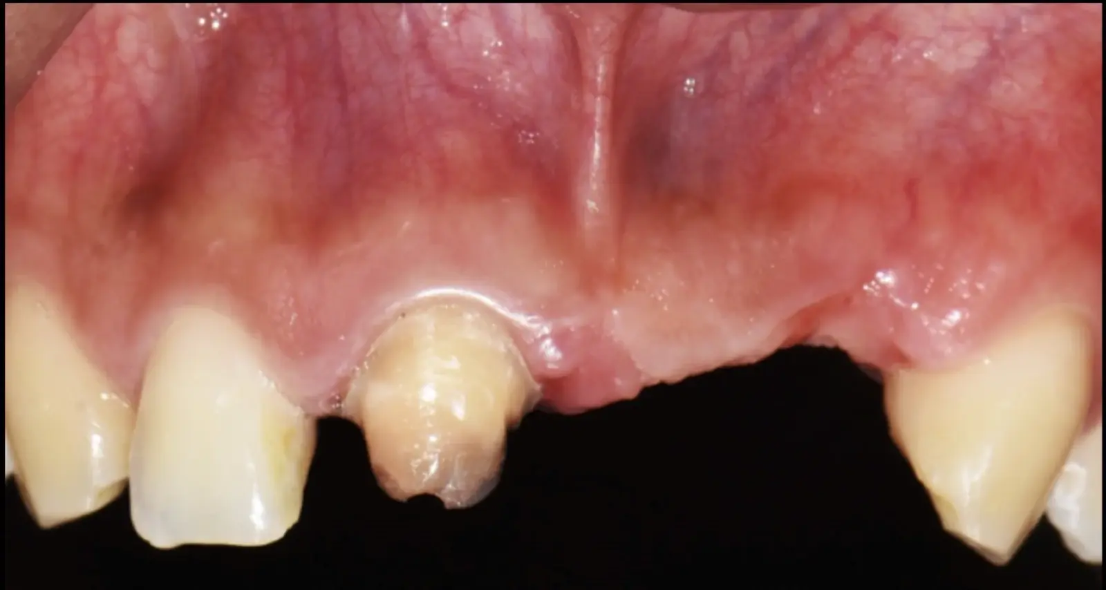
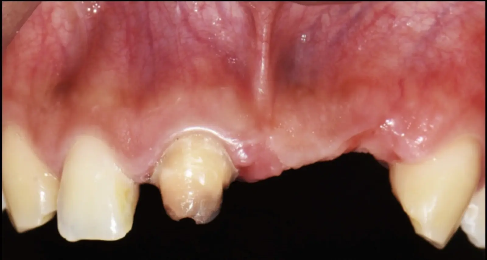
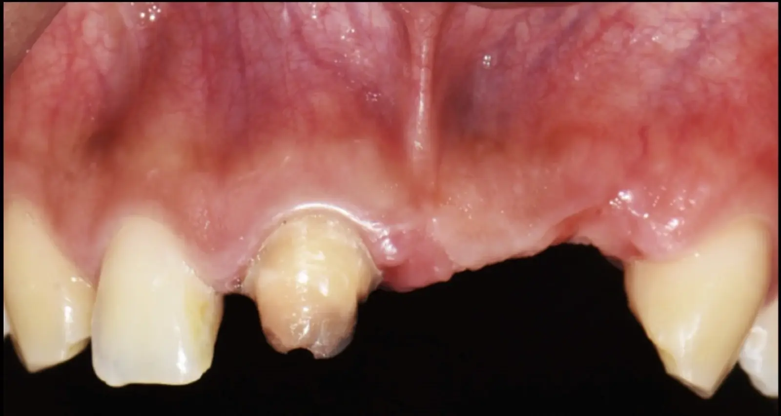
Caso clínico: Edentulismo total maxilar

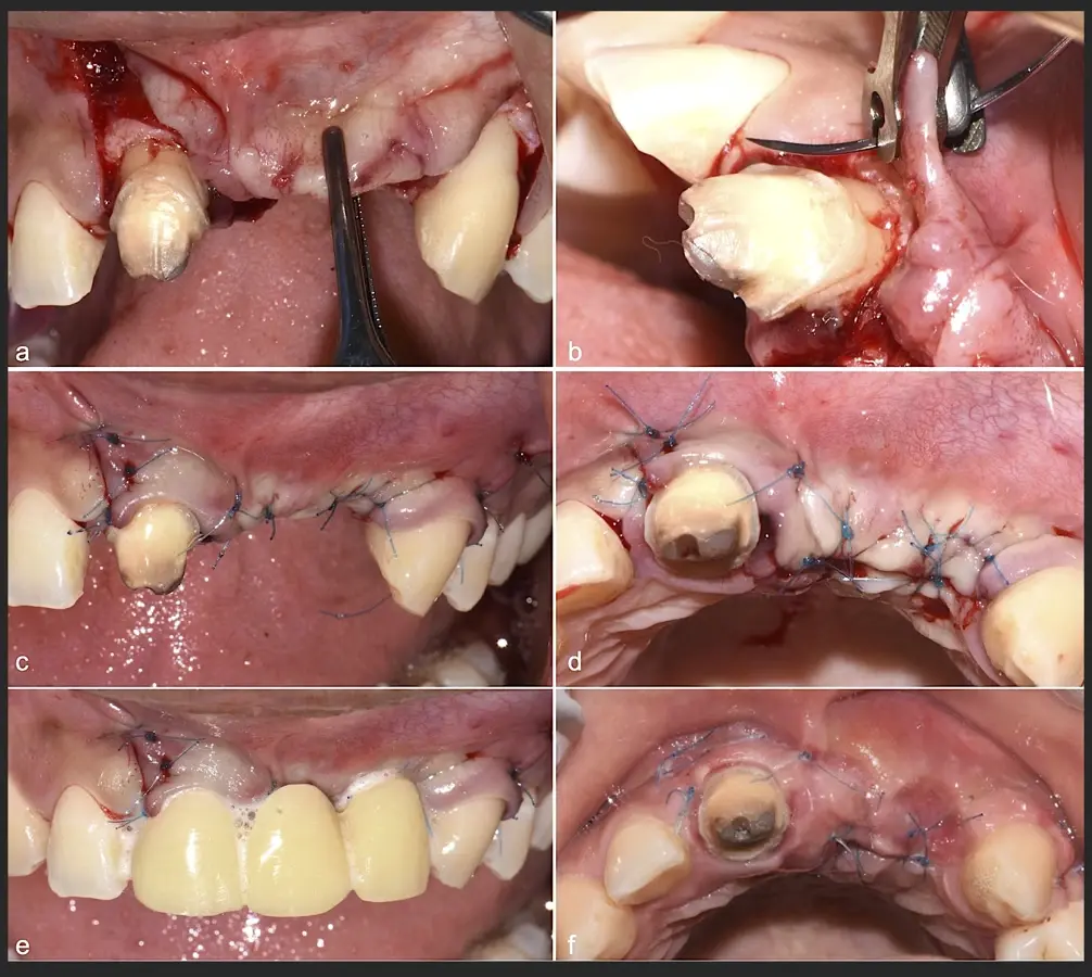
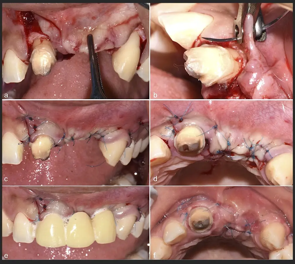
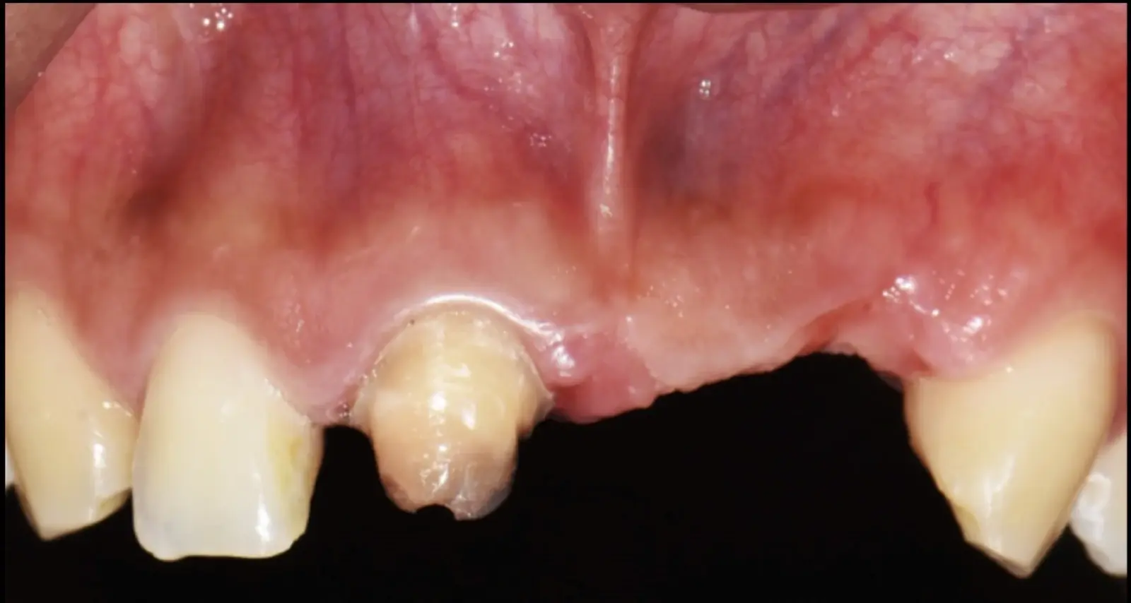
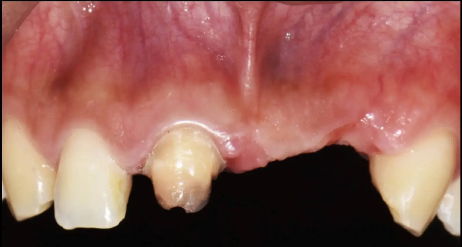
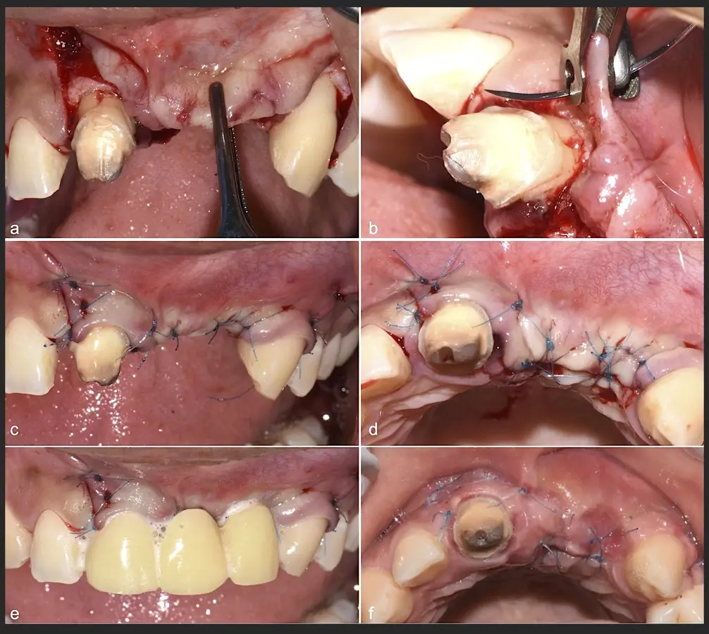
Paciente de sexo femenino de 53 años llega a la consulta solicitando una prótesis implantosoportada. En la evaluación clínica se observa un edentulismo total superior con una severa reabsorción ósea generalizada, a excepción de la pieza 2.3, que se encontraba en estado de remanente radicular. En la evaluación tomográfica se corrobora el hallazgo clínico y se indica una reconstrucción de reborde con injertos en bloque previo a la planificación de implantes dentales.

Figura 18. Vista clínica en la que se evidencia la deficiencia horizontal severa del reborde alveolar.
Figura 19. Tomografía computarizada de la zona receptora. Pieza 1.3 (a). Pieza 2.1 (b).
Figura 20. Tomografía computarizada de la zona donadora.
Figura 21. Vista frontal (a) y oclusal (b) de la zona receptora.
Figura 22. Liberación de colgajo y prueba de elasticidad del tejido blando (a) para un adecuado cierre sin tensiones y cicatrización por primera intención (b).
Figura 23. Imágenes de decorticalización de la zona receptora con brocas hasta llegar a la zona medular (a, b).
Figura 24. Imágenes de la verificación del sangrado proveniente de la zona medular (a, b).
Figura 25. Zona donadora: dos ángulos de osteotomía con inserto de corte de punta aserrada demarcando los límites del bloque (a, b).
Figura 26. Corte dejado por el inserto (a) de aproximadamente 0.3 mm (b).­
Figura 27. El inserto de corte de punta aserrada angulado (a), utilizado para realizar la osteotomía inferior con mejor acceso (b).
Figura 28. Vista final de la osteotomía (a) y segmentación del bloque (b).
Figura 29. Secuencia del retiro por fractura de los fragmentos del bloque (a - e).
Figura 30. Imágenes de la preparación y moldeado del bloque, que incluyen la selección del tornillo de osteosíntesis (a - g).
Figura 31. Dos vistas de la verificación de la extensión del colgajo para el cierre sin tensiones (a, b).
Figura 32. Secuencia de la colocación del biomaterial entre los bloques óseos (a - e).
Figura 33. Pasos de la colocación de membranas de barrera y cierre sin tensiones (a - d).

Caso clínico: Injerto no autólogo en bloque para reconstrucción de reborde

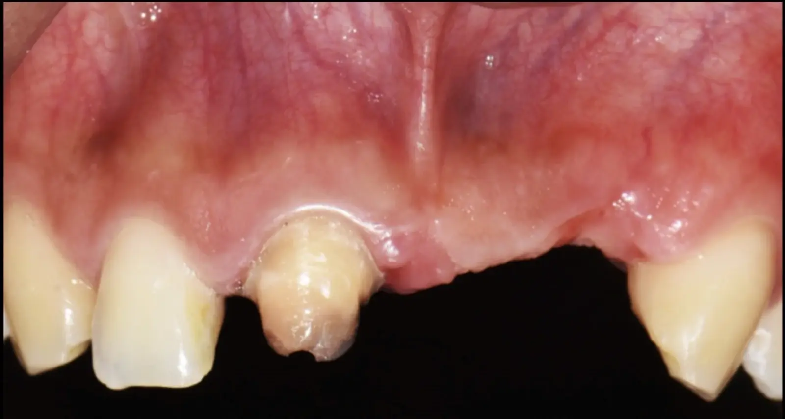
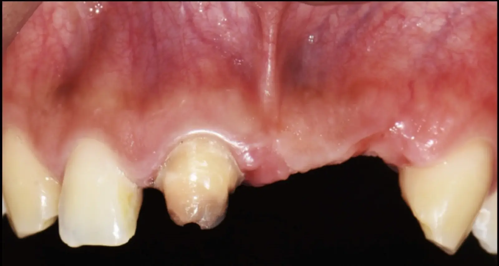
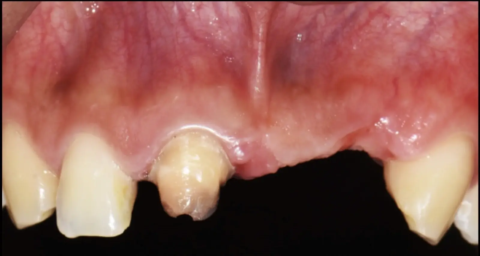
Paciente de sexo femenino de 36 años de edad, llega a la consulta por presentar una restauración protésica inadecuada. En el examen clínico se observa una restauración protésica provisional acrílica sobre las piezas 1.1 y 2.2. Adicionalmente, se aprecia recesión gingival a nivel de la pieza 2.2 y deficiencia horizontal severa de reborde a nivel de la zona edéntula correspondiente a la pieza 2.1. En la evaluación tomográfica se observa ausencia total de tabla ósea vestibular en la pieza 2.2, y se corrobora el déficit en la zona edéntula de la pieza 2.1, para lo cual se indica una reconstrucción de estructuras óseas con hueso en bloque de origen bovino y posteriormente la colocación de implantes dentales.

Figura 34. Vista frontal donde se observa deficiencia vertical del reborde óseo a nivel de las piezas 2.1, 2.2.
Figura 35. Decolado a espesor total sobrepasando la línea mucogingival (a, b).
Figura 36. Defecto óseo y severa reabsorción ósea horizontal: vista clínica (a) y corte tomográfico (b).
Figura 37. Liberación del colgajo para asegurar un cierre sin tensiones.
Figura 38. Decorticalización por medio de broca de 1.2 mm de diámetro (a, b).
Figura 39. Uso del inserto plano de punta aserrado para realizar una mayor decorticalización (a). Surcos de vascularización y nutrición (b).
Figura 40. Secuencia de fijación y modelado del bloque óseo con inserto de corte, eliminación de ángulos agudos (a-d).
Figura 41. Modelado del bloque óseo con inserto plano de punta diamantada (a) para redondear los ángulos agudos y así evitar una dehiscencia o fenestración de los tejidos blandos (b).
Figura 42. El proceso de triturado de biomaterial óseo sustituto en bloque (a - d).
Figura 43. Colocación del biomaterial triturado (a - d).
Figura 44. Pasos para la colocación de la membrana de barrera (a - d).
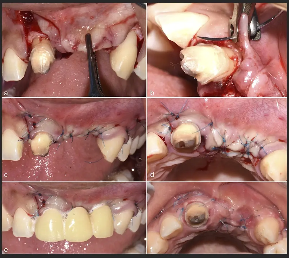
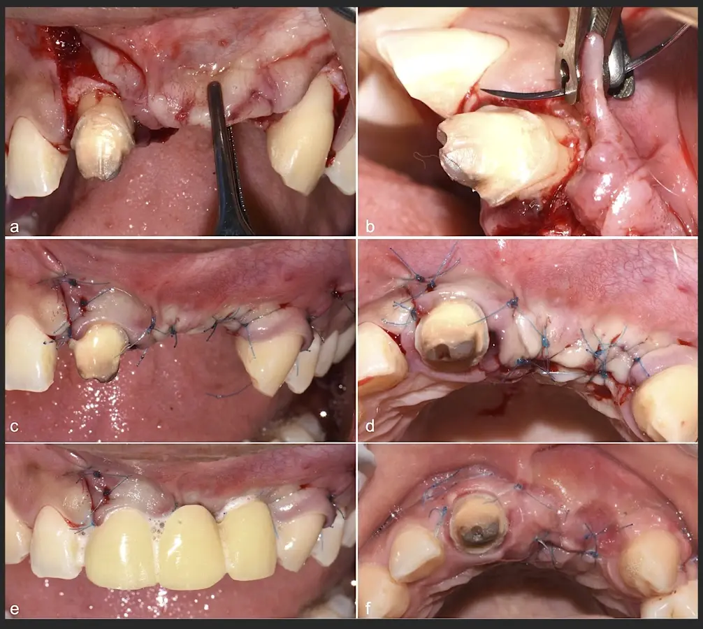
Figura 45. Afrontamiento de colgajo y sutura (a - e). Control a los 7 días postquirúrgico (f).
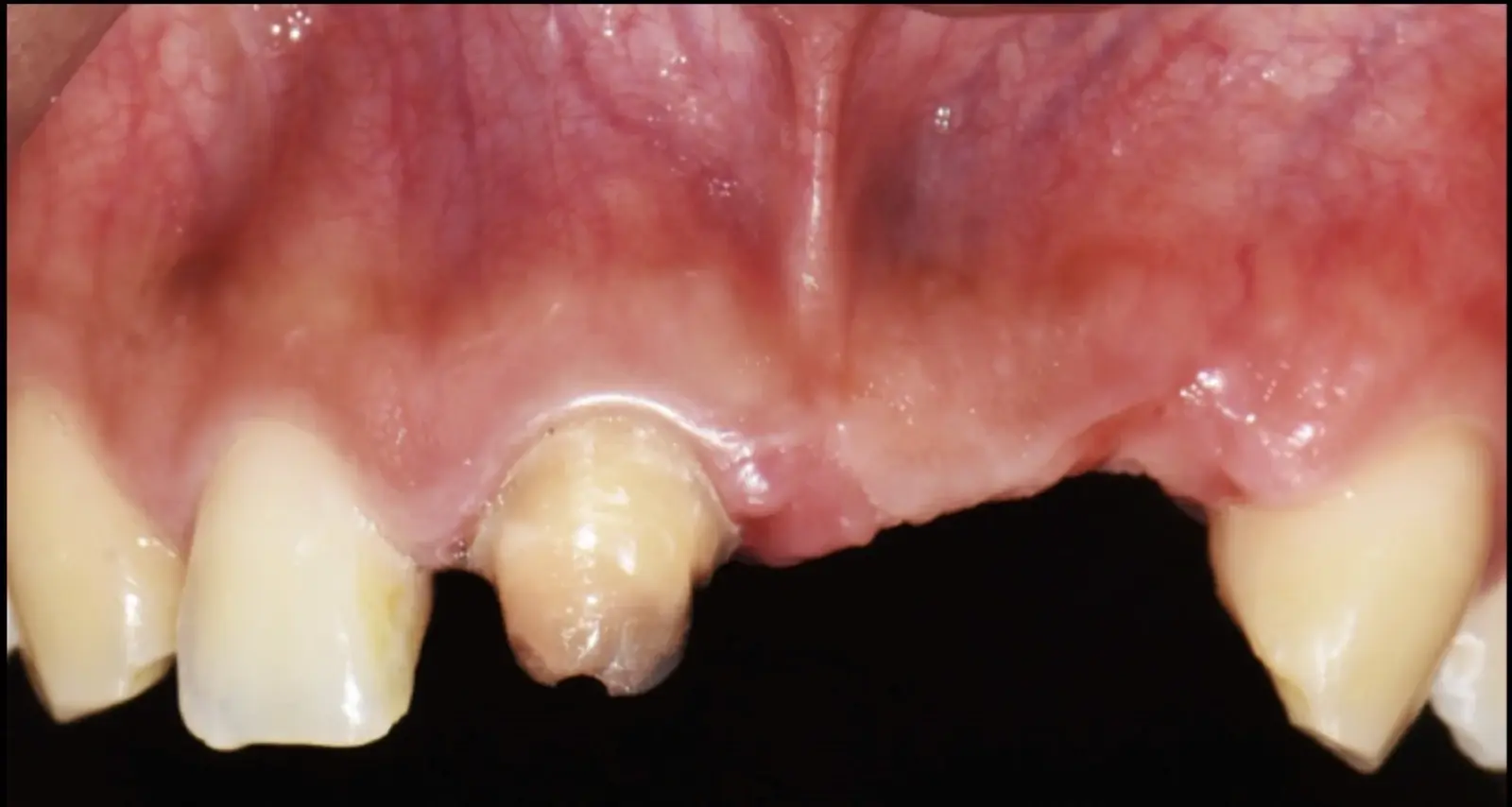
Figura 46. Control a los 10 días post cirugía.

Conclusión

Estos dos casos clínicos evidencian las ventajas de la cirugía piezoeléctrica en procedimientos de terapia ósea regenerativa como reconstrucción de reborde con injertos en bloque o reconstrucción de lechos para implantes dentales.

Serie Especial: Piezocirugía
Haga clic aquí para ver el resumen de los 11 artículos.

La serie de artículos sobre Piezocirugía está basada en el libro de José Carlos Rosas y colaboradores sobre esta tecnología.

El libro, escrito con Jerson Palomino Zorrilla, Karla Díaz Cavero y María Eugenia Guerrero Acevedo, de la Universidad Privada San Juan Bautista, en Lima (Perú), ofrece la evidencia científica más actual para respaldar el valor clínico de diversos procedimientos con piezoeléctrico, cuya utilidad práctica en el consultorio demuestra mediante la publicación de numerosos casos clínicos.

El libro "Cirugía piezoeléctrica. Generalidades y aplicaciones clínicas" explica los fundamentos de esta tecnología y muestra su utilidad práctica en el consultorio mediante casos clínicos.

Referencias

  1. Lui JN, Khin MM, Krishnaswamy G, et al. Prognostic factors relating to the outcome of endodontic microsurgery. J Endod. 2014;40(8):1071-1076.
  2. Kerekes K, Tronstad L. Long-term results of endodontic treatment performed with a standardized technique. J Endod. 1979;5(3):83-90.
  3. Lieblich SE. Endodontic surgery. Dent Clin North Am. 2012;56(1):121-ix.
  4. Walton RE, Ardjmand K. Histological evaluation of the presence of bacteria in induced periapical lesions in monkeys. J Endod.1992;18(5):216-27.
  5. Tronstad L, Barnett F, Cervone F. Periapical bacterial plaque in teeth with refractory to endodontic treatment. Endod Dent Traumatol. 1990;6(2):73-7.
  6. Jepsen K, Schneider E, Dommisch H, et al. Management of a Central Incisor with Horizontal Root Fracture for Esthetic and Functional Rehabilitation. Int J Periodontics Restorative Dent. 2016;36(1):65-73.
  7. Brito-Junior M, Faria-e-Silva AL, Quintino AC, et al. Orthograde retreatment failure with extruded MTA apical plug in a large periradicular lesion followed by surgical intervention: case report. Gen Dent. 2012;60(2):96-100.
  8. Szalma J, Soós B, Krajczár K, et al. Piezosurgical management of sealer extrusion-associated mental nerve anaesthesia: A case report. Aust Endod J. 2019;45(2):274-280.
  9. Kang M, In Jung H, Song M, et al. Outcome of nonsurgical retreatment and endodontic microsurgery: a meta-analysis. Clin Oral Investig. 2015;19(3):569-582.
  10. Abella F, de Ribot J, Doria G, et al. Applications of piezoelectric surgery in endodontic surgery: a literature review. J Endod. 2014;40(3):325-332.
  11. Kim S, Kratchman S. Modern endodontic surgery concepts and practice: a review. J Endod. 2006;32(7):601-23.
  12. Song M, Nam T, Shin SJ, Kim E. Comparison of clinical outcomes of endodontic microsurgery: 1 year versus long-term follow-up. J Endod. 2014;40(4):490-494.
  13. Lofthag-Hansen S, Huumonen S, Gröndahl K, et al. Limited cone-beam CT and intraoral radiography for the diagnosis of periapical pathology. Oral Surg Oral Med Oral Pathol Oral Radiol Endod. 2007;103(1): 114-9.
  14. Strbac GD, Schnappauf A, Giannis K, et al. Guided Modern Endodontic Surgery: A Novel Approach for Guided Osteotomy and Root Resection. J Endod. 2017;43(3):496-501.
  15. Moreno-Rabié C, Torres A, Lambrechts P, et al. Clinical applications, accuracy and limitations of guided endodontics: a systematic review. Int Endod J. 2020;53(2):214-231.
  16. Kocyigit ID, Atil F, Alp YE, et al. Piezosurgery versus conventional surgery in radicular cyst enucleation. J Craniofac Surg. 2012; 23(6):1805-8.
  17. Hirsch V, Kohli MR, Kim S. Apicoectomy of maxillary anterior teeth through a piezoelectric bony-window osteotomy: two case reports introducing a new technique to preserve cortical bone. Restor Dent Endod. 2016;41(4):310-315.
  18. Gagliani M, Taschieri S, Molinari R. Ultrasonic root-end preparation: influence of cutting angle on the apical seal. J Endod. 1998;24(11):726-30.
  19. Rubinstein RA, Kim S. Short-term observation of the results of endodontic surgery with the use of surgical operation microscope and Super-EBA as root end filling material. J Endod. 1999;25(1):43-8.
  20. Del Fabbro M, Tsesis I, Rosano G, et al. Scanning electron microscopic analysis of the integrity of the root-end surface after root-end management using piezoelectric device: a cadaveric study. J Endod. 2010;36(10):1693-7.
  21. Tsesis I, Rosen E, Taschieri S, et al. Outcomes of surgical endodontic treatment performed by a modern technique: an updated meta-analysis of the literature. J Endod. 2013;39(3):332-9.
  22. Bastien AV, Adnot J, Moizan H, et al. Secondary surgical decompression of the inferior alveolar nerve after overfilling of endodontic sealer into the mandibular canal: Case report and literature review. J Stomatol Oral Maxillofac Surg. 2017;118(6):389-392.

comentarios