Nuestro accionamiento, su avance.

¿Qué son las soluciones integradas de W&H?

    • Con el nombre conjunto de soluciones integradas, W&H ofrece diversas soluciones de accionamiento que pueden integrarse en las unidades dentales. De esta manera, las unidades de tratamiento pueden equiparse con nuevas funciones y accionamientos innovadores y, con ello, adaptarse de forma personalizada.
    • Las soluciones integradas de W&H se centran en proporcionar una máxima eficiencia del tratamiento, una óptima ergonomía y el nivel de confort más alto posible para usuarios y pacientes.
  • Consiga que su unidad dental esté preparada para el futuro

    Reducir la complejidad, evitar costes y aumentar la eficiencia y el confort: las soluciones integradas para sistemas dentales de la marca W&H lo hacen posible.

    Con las soluciones integradas de la calidad acreditada de W&H, disfrutará en su trabajo diario de soluciones de accionamiento con una ergonomía óptima, lo que garantiza la máxima eficiencia del tratamiento y el nivel de confort más alto posible.

    El concepto del sistema crea valor añadido

    Las soluciones integradas de W&H son la respuesta al deseo de nuestros clientes de disponer de soluciones de sistemas integrables, eficientes e globales.

    Con un rendimiento máximo, una altísima fiabilidad y una seguridad garantizada para el futuro, las soluciones integradas de la marca W&H cumplen los exigentes requisitos de innovación y calidad de los usuarios y crean un valor añadido considerable a lo largo de toda la cadena de creación de valor en el sector odontológico.
  • Competencia integrada

    “Allí donde W&H está en activo, existe calidad”; nuestros clientes saben esto desde hace más de 125 años.

    Ahora W&H vuelve a sentar nuevas bases en la técnica de accionamientos dentales. Todo el conocimiento técnico sobre aplicaciones que tiene W&H y que procede de su competencia principal, a saber, el desarrollo de instrumentos de transferencia, se refleja en las nuevas soluciones completas integradas.

    La innovadora técnica de accionamiento de W&H es el resultado de años de experiencia y representa una máxima eficiencia, la mejor de las calidades y un confort durante el tratamiento nunca visto hasta ahora.
    Competencia integrada
  • La unidad dental como central de control

    Gracias al accionamiento integrado, los carros de equipos serán a partir de ahora un elemento superfluo y el uso de varios pedales de control será cosa del pasado, lo que ahorrará tiempo y nervios durante el trabajo.
    En lugar de tener que utilizar un equipo propio con pedal de control independiente para cada accionamiento individual, en el futuro podrá controlar todos sus equipos de aplicación a través de un único pedal de control: el de su unidad dental.

    Para obtener una máxima eficiencia y un confort óptimo.
    La unidad dental como central de control
  • Turbina RK-97 L
  • Turbina RK-97 L
  • Iluminación sin sombras con el Piezo Scaler PB-3
  • Micromotor eléctrico EM-12 L con módulo de control
  • Grupo integrado de endodoncia EM-12 L con pantalla
  • Primea Advanced Air
  • Piezo Scaler PB-3 como pieza de mano con punta 1P
  • Piezo Scaler integrado PB-3 con placa

Descubra las ventajas de las soluciones integradas de W&H

Preparado para el futuro
Control
Confort de tratamiento
Calidad de W&H

Consiga que su unidad dental esté preparada para el futuro

  • Reducir la complejidad, evitar costes y aumentar la eficiencia y el confort: las soluciones integradas para sistemas dentales de la marca W&H lo hacen posible.
  • Con las soluciones integradas de la calidad acreditada de W&H, disfrutará en su trabajo diario de soluciones de accionamiento con una ergonomía óptima, lo que garantiza la máxima eficiencia del tratamiento y el nivel de confort más alto posible.
  • Para poder realizar aún más preparaciones dentales al más alto nivel y obtener óptimos resultados del tratamiento; hoy, mañana y también pasado mañana.

Control central

  • Los usuarios prefieren controlar todas sus aplicaciones desde una central de conmutación con un solo pedal de control, es decir, desde la unidad dental.
  • Gracias a las soluciones de accionamiento integradas de W&H, los carros de equipos adicionales, los laboriosos procesos de preparación y procesamiento posterior de los equipos individuales y los múltiples pedales de control son ya cosa del pasado.
  • ya que todas las aplicaciones pueden manejarse de forma centralizada mediante la unidad de control o el pedal de control de la unidad dental.
  • En consecuencia, las soluciones integradas de W&H ofrecen a los usuarios una máxima ergonomía, una óptima comodidad y una gestión eficiente del tiempo.

Óptima ergonomía en la sala de tratamiento para garantizar una mayor comodidad durante el tratamiento

Al no haber carro de equipos, tanto el odontólogo como sus asistentes disponen de más espacio para poder realizar el tratamiento con más comodidad sin ningún tipo de limitaciones. El molesto lío de cables y las laboriosas operaciones de tratamiento previo o tratamiento posterior son ya cosa del pasado.

Así, sus asistentes tendrán más tiempo para las cosas que realmente importan, como la fidelización de clientes y la higiene de los instrumentos.

Calidad de W&H Made in Austria

Próximamente también en su unidad dental

Artesanía de precisión desde el desarrollo hasta la fabricación y la entrega, para que los resultados del tratamiento sean aún mejores y la preparación dental resulte aún más eficiente.

Nuestros productos del área de soluciones integradas

    • Primea Advanced Air

      Control y precisión con ligereza

      Con el sistema Primea Advanced Air tendrá el aire bajo control. Se trata de la primera solución de accionamiento por aire de alta velocidad del mundo con una velocidad ajustable de la fresa y una capacidad constante de la potencia erosiva, incluso cuando aumenta la presión. Así, podrá trabajar en todo momento con una velocidad de aplicación óptima y una eficiencia de tratamiento máxima: una simbiosis única de fuerza y ligereza para tener más control y mantener un máximo nivel de comodidad.

      Primea Advanced Air
    • Micromotor eléctrico (EM-12-L)

      Combinación perfecta de funcionalidad y confort

      El micromotor eléctrico sin escobillas EM-12 L destaca por su funcionalidad y su confort. Es especialmente pequeño y sorprendentemente ligero, se sostiene fácilmente con la mano y no solo destaca por su gran potencia que se mantiene en un nivel alto y constante, sino también por numerosos extras, como la tecnología LED, su larga vida útil y su funcionamiento silencioso.

      Micromotor eléctrico (EM-12 L)
    • Piezo Scaler PB-5 L

      Ultra brillante. Ultra eficiente. Ultra seguridad.

      Los nuevos Piezo Scalers Proxeo Ultra de W&H han sido desarrollados en colaboración con profesionales de la profilaxis y hacen honor a su nombre.
      Las ventajas exclusivas para el usuario,
      como el «Q-Link», el sistema de sujeción rápida único en el mundo, o la compatibilidad acreditada con los marcapasos, permiten un tratamiento ultra eficiente.

      Piezo Scaler PB-5 L
    • Piezo Scaler (sin luz)

      Eficiente, flexible y suave.

      El eliminador de sarro ultrasónico de W&H destaca por su alta capacidad de retirada de material y por su aplicación suave y mínimamente invasiva. Ofrece un máximo nivel de confort y, gracias a la eficaz gama de puntas de W&H, presenta un uso flexible. La piezotecnología más moderna mejora la eficiencia y la sensación táctil en todas las indicaciones clínicas.

      Piezo Scaler (sin luz)
    • Micromotor eléctrico (EM-12 L)

      Combinación perfecta de funcionalidad y confort

      El micromotor eléctrico sin escobillas EM-12 L destaca por su funcionalidad y su confort. Es especialmente pequeño y sorprendentemente ligero, se sostiene fácilmente con la mano y no solo destaca por su gran potencia que se mantiene en un nivel alto y constante, sino también por numerosos extras, como la tecnología LED, su larga vida útil y su funcionamiento silencioso.

      Elektromotor EM-12 L
    • Piezo Scaler (anillo LED quíntuple)

      Eficiente, flexible y suave.

      El eliminador de sarro ultrasónico de W&H destaca por su alta capacidad de retirada de material y por su aplicación suave y mínimamente invasiva. Ofrece un máximo nivel de confort y, gracias a la eficaz gama de puntas de W&H, presenta un uso flexible. La piezotecnología más moderna mejora la eficiencia y la sensación táctil en todas las indicaciones clínicas.

      Piezo Scaler (anillo LED quíntuple)
    • Piezo Scaler (sin luz)

      Eficiente, flexible y suave.

      El eliminador de sarro ultrasónico de W&H destaca por su alta capacidad de retirada de material y por su aplicación suave y mínimamente invasiva. Ofrece un máximo nivel de confort y, gracias a la eficaz gama de puntas de W&H, presenta un uso flexible. La piezotecnología más moderna mejora la eficiencia y la sensación táctil en todas las indicaciones clínicas.

      Piezo Scaler (sin luz)

Noticias

¿Problemas al cortar el óxido de circonio?

El concepto de utilizar instrumentos rotatorios para cortar materiales duros data de hace al menos 6000 años. En la antigüedad los humanos ya utilizaban fresas líticas manuales para cortar conchas, huesos y dientes. Para ello, empleaban un método de rotación a baja velocidad con un torque alto. Las piezas de mano dentales modernas han avanzado significativamente a partir de este principio y permiten hacer cortes precisos en materiales mucho más duros, como la cerámica dental.

«Cuando fundamos la empresa, empezamos directamente con tres torres quirúrgicas»

En agosto de 2023 se inauguró la consulta de referencia de cirugía craneomaxilofacial FINE MKG en Heiligenhaus. Dos oficinas vacías constituyeron la base del espacio. En un total de 700 metros cuadrados se han creado salas de tratamiento amplias y luminosas con un área quirúrgica, y en todas las salas se pueden encontrar productos de W&H. Y por un buen motivo.

Overcoming challenges in processing zirconia and advanced ceramic materials

Ceramic materials such as zirconia are being used more and more frequently in modern restorative dentistry. However, removing zirconia restorations with conventional contra-angle handpieces is a challenging and lengthy procedure. Added to this is the high wear on the burs, especially with monolithic material. In some cases, the bur has to be changed at one-minute intervals. To address this problem, W&H has developed a new product line specifically tailored for these applications.

The (orally) healthy patient with implants

In the medical history, the 55 year-old patient states that he has no systemic disease and is not taking any medication. The patient’s lifestyle is similarly unremarkable. The patient has a few tooth restorations and two implants (2nd and 4th quadrants). On the basis of current findings, gingivitis is identified in an otherwise stable periodontal condition on the reduced periodontium (stage III, grade A).

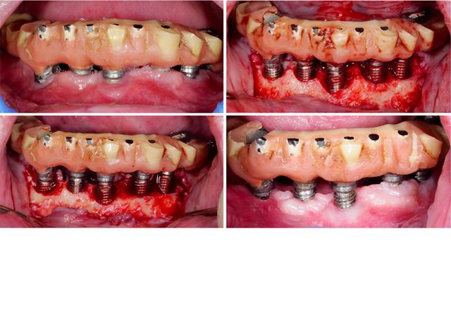
The healthy patient with pre-existing periodontal disease & peri-implantitis

A 52-year-old patient presents at a prevention session. The patient has no systemic disease and is not taking any medication. He has had various dental treatments and also has two active carious lesions. In addition, the patient has four implants (2nd, 3rd and 4th quadrants). He is revealed to have early periodontal disease (stage IV, grade B). His periodontal condition is stable; a probe depth of 5 mm is only evident at the implant in region 36. Gingivitis is also identified.

ISQ as a guide for implant rehabilitations

Long-term success in implant therapy is an aim that all clinicians strive for. Fundamental to this is proper implant placement, surgical site preparation, and good osseointegration after insertion. Although a torque value is a basic prerequisite for primary stability, it alone does not provide complete information for the clinician. Therefore, knowledge of ISQ values is fundamental to assess both primary implant stability (mechanical stability) and secondary implant stability (biological stability or osseointegration).

Snus causes mucosal lesions & gingival recession

Snus is usually brought into contact with the oral mucosa via its placement beneath the upper lip, and in some cases under the lower lip, whereby the nicotine it contains can enter the bloodstream via the oral mucosa

Stress + poor sleep = even more periodontitis …?

Stress, defined as a state in which the affected individual perceives a sense of threat or lack of control, as well as sleep disorders and poor sleep quality, are both undeniably issues that cause a significant degree of difficulty in today’s society.

Innovation and problem-solving with W&H's Synea Power Edition

The concept of using rotary tools to cut hard materials, such as granite, is at least 6,000 years old. As early as 25,000 BCE, our ancestors were using hand-held lithic borers to cut through shells without breaking them. These tools were generally made of flint, and pressed against the object to be perforated and then rotated back and forth at low speed and relatively high torque. Powerful modern handpieces have elevated the principle of variable speed and high torque to enable precise cuts into much harder materials like zirconia.

Is one visit to the dentist per year enough if you have implants?

This study once more underlines that patients who do not regularly attend check-ups after receiving their implant-supported restoration have a very high risk of peri-implant diseases in general and specifically peri-implantitis; based on this data, at least two check-up visits per year are recommended.

Tooth or implant?

The fight for periodontally compromised teeth and therefore retaining these teeth usually also pays off for patients from a financial perspective and is usually cheaper than extraction and subsequent implantation.

More arthritis, more periodontitis?

Patients with rheumatoid arthritis are at significantly higher risk of periodontitis and this risk increases further for patients with particularly active rheumatoid arthritis.

What does interdental cleaning achieve in the long term?

Interdental cleaning with dental floss or interdental brushes significantly reduces interdental plaque build-up and even tends to lead to a reduced rate of tooth loss in the long term.

A pragmatic approach to manage
peri-implant biological complications

Explore the complexities of dental implant care: This scientifically backed article summarises the critical aspects of diagnosis, oral hygiene, and expert strategies for the effective management of both, mucositis and peri-implantitis.

Periodontal treatment improves more than just the periodontium in diabetics

A non-surgical periodontal treatment can reduce the long-term blood glucose level (HbA1c) in type 2 diabetics by 0.3% and this effect persisted even after six months following treatment.

Caution parents – risk of infection!

Untreated periodontal disease in parents can negatively influence the development of their children’s oral microbiome and promote the development of a dysbiotic oral microbiome.

Implant crowns must be kept clean… but how?

The shape of an implant crown has a significant influence on how well it can be kept clean using home oral hygiene, and concave crown shapes appear to be easier to clean; it also seems that the underside of an implant crown in the molar area is easiest to access with dental floss.

Unhealthy lifestyle = worse treatment outcomes?

Factors that can be categorised as a poor lifestyle, and primarily also a combination thereof, significantly increased the number of residual pocket probing depths with ≥ 6 mm and significantly reduced the likelihood of attaining the desired treatment outcome in periodontitis patients following non-surgical periodontal treatment (treatment step 1 and 2).

Successful treatment – does it make a difference? Part 2

Commonly used definitions for successful periodontal treatment are extremely difficult to achieve, but are nevertheless associated with a lower rate of tooth loss; however, the tooth loss rate in patients who regularly attend supportive periodontal treatment sessions is generally very low.

Prevention is the best treatment – Part 2

Biofilm accumulation is the main aetiological factor in the development of peri-implant diseases; plaque control and supportive implant therapy are therefore crucial in preventing peri-implant diseases.

Social participation in society even without teeth?

In old age, tooth loss leads to significantly reduced social participation in society, while maintaining a minimum of 20 teeth has the opposite effect and leads to a significant improvement and therefore more frequent social participation.

Patient- and implant-related factors – what affects the outcome of treatment?

In this study, non-surgical treatment of peri-implantitis was only successful in 25% of cases and was adversely affected by a medical history involving periodontitis and smoking, inadequate oral hygiene and a wide implant diameter.

Keratinised soft tissue crucial for implants

The prevention of peri-implant diseases is the best treatment and the peri-implant soft tissue can play a decisive role here; for this reason, the team should discuss if there is a need for treatment in patients with a lack of keratinised mucosa (i.e. < 2 mm width of keratinised mucosa).

Implants – Also a success story from a patient perspective?

A very high percentage of patients had a positive experience of implant treatment and most patients were very happy with the result; however, frequent points of criticism were the treatment costs and the cleansing ability.

Exercise is great for our health … and our teeth too?

Women who exercise regularly showed a significantly reduced risk of periodontitis and a significantly reduced severity of periodontitis.

No teeth, no quality of life?

Rehabilitation and replacement of missing teeth lead to a significant improvement in quality of life relating to oral health and also tend to improve general health.

Periodontitis also impairs our sense of
taste and smell!

A questionnaire-based survey showed that periodontitis significantly increases the risk of an impaired sense of taste and smell.

Smoking and increased probing depths are early warning signs

Smoking and increased probing depths at a young age (i.e. at an age of < 20 years) are significant risk factors for the early onset of periodontitis (i.e. at an age of < 30 years).

Tooth brushing in just 10 seconds?

Automatic toothbrushing could have future potential, but still requires further technical developments to improve existing shortcomings with regard to customizsation for different jaw sizes and tooth positions, interdental spaces and choice of optimal brushing time.

When as well as possible is not good enough

Even when told to brush their teeth as well as possible, the quality of tooth brushing among young adults is poor; the main weaknesses are cleaning palatal/lingual surfaces and overall brushing technique.

Peri-implant mucositis – are chemical adjunctive therapies effective? Part 2!

Additional measures locally applied or taken systemically by the patient (e.g. antiseptics in the form of mouth-rinse solutions or probiotics) could have an additional positive effect in the treatment of peri-implant mucositis.

Prevention is the best treatment!

Optimal diabetes control, regular supportive implant therapy and augmentation of peri-implant soft tissue deficits have proven to be crucial features in primary prevention of peri-implant diseases.

Non-surgical peri-implantitis treatment – chemical cleaning ...?

Chemical additives for cleaning the implant surface as part of non-surgical peri-implantitis therapy may make sense, but there is a shortage of well-conducted studies with a sufficient number of patients and a long-enough follow-up period to really be able to recommend a specific method and/or a specific product.

Non-surgical peri-implantitis treatment – gold standard ...?

Due to a continuing lack of well-conducted clinical studies, it is still not possible, based on the evidence, to give a clear treatment guideline for mechanical cleaning as part of non-surgical peri-implantitis treatment.

El acierto de combinar innovación clínica y cultura

El reciente desarrollo de un concepto verdaderamente original, que incluye cursos educativos, talleres "hands-on" y que integra también un importante aspecto cultural de América Latina, está cambiando la manera de aprender y de relacionarse entre los profesionales de la odontología.

¿Le interesan las soluciones integradas de W&H?

Gracias por su mensaje, vamos a atender su solicitud de inmediato.

Lo sentimos, ha ocurrido un error y su solicitud no ha sido enviada. Por favor, póngase en contacto con info@wh.com.

Consultar precio ()

{{product.name}}
REF {{product.ref}}{{product.orderNumber}}
Solicitar precio ahora

Para obtener una experiencia en línea interactiva y sin interrupciones de nuestro contenido multimedia (como vídeos o mapas), acepte el almacenaje de las cookies necesarias (YouTube, MovingImage; la información detallada sobre estas cookies se encuentra en la protección de datos/huella) con fines de marketing.

Aceptar

Seleccione su idioma: