Seethrough – Soluciones radiológicas

Great views for dental practices

Ya sea extraoral o intraoral, con Seethrough W&H proporciona un completo catálogo de soluciones radiológicas compuesto por diversos productos para todos los requisitos, así como un software de desarrollo propio que sienta nuevos estándares. Todas las soluciones de rayos X comparten cinco principios fundamentales de W&H para alcanzar mayor calidad, facilidad de uso y una conectividad avanzada.
*Un software para todos los productos

    • Seethrough Max

      Get the full picture

      La solución perfecta para quienes no desean hacer ninguna concesión: Seethrough Max representa una calidad de imagen extraordinaria con un espectro de FOV excepcionalmente amplio con baja radiación. El diseño abierto y las generosas dimensiones permiten una compatibilidad óptima con los pacientes, así como la máxima comodidad, mientras que la colocación cara a cara facilita la interacción entre el usuario y el paciente. Desarrollado especialmente para los procesos de registro y posicionamiento, este CBCT garantiza una obtención de imágenes precisa para diversas aplicaciones, desde el más mínimo detalle en endodoncia, pasando por secciones precisas para implantología, hasta volúmenes craneales completos para cirugía maxilofacial. Seethrough Max: disfrute del futuro de la tecnología radiológica en su clínica.

      Adaptación óptima

      Gracias al desplazamiento vertical especial del sensor, el haz de rayos X se adapta de forma óptima a la morfología del paciente y al tipo de examen seleccionado, con lo que se obtienen imágenes detalladas y sin distorsiones.

      Rango de FOV extraordinario

      De 3 × 4 cm a 17 × 17 cm para cubrir una amplia gama de aplicaciones, desde endodoncia hasta implantología, pasando por cirugía maxilofacial y
      otorrinolaringología.

      Rotación completa de 360°

      Cubre todo el espectro de ángulos y perspectivas para obtener imágenes con una nitidez y definición
      extraordinarias.

      Adaptación automática

      Seethrough Max se adapta automáticamente a la posición del paciente y garantiza un enfoque preciso de la anatomía para obtener imágenes óptimas.

      Máxima comodidad del paciente

      Máxima compatibilidad con el paciente y máxima comodidad gracias al diseño abierto y a la amplia apertura del gantry, para una obtención sencilla de imágenes sin distorsiones.


        Seethrough Flex

        See new dimensions

        Máximo rendimiento en el mínimo espacio: eso es lo que representa Seethrough Flex. Gracias a su diseño compacto, su uso intuitivo y la colocación cara a cara, este CBCT flexible puede integrarse fácilmente en los flujos de trabajo existentes en la clínica. Como ningún otro dispositivo, Seethrough Flex ofrece imágenes precisas con una dosis mínima de radiación para los requisitos odontológicos más comunes, desde pequeñas imágenes de arcos dentales hasta exploraciones a gran escala de la articulación temporomandibular, tanto para el diagnóstico como para la planificación de implantes. Seethrough Flex: experimente la simbiosis perfecta de calidad de imagen, facilidad de uso y máxima seguridad para el paciente.

        La mejor relación entre espacio y FOV

        Seethrough Flex ofrece la mejor relación del mercado entre campo de visión y dimensiones del dispositivo. Con una amplia cobertura de FOV, desde 5 × 5 cm hasta 14 × 10 cm, este CBCT es un auténtico todoterreno.

        Pantalla táctil opcional

        La intuitiva pantalla táctil de 10” de Seethrough Max está disponible como opción para Seethrough Flex, con lo que tendrá el control total del sistema al alcance de la mano.

        Rotación de 360° en el mínimo espacio

        Con su innovadora trayectoria elíptica, Seethrough Flex consigue una rotación de 360° completa en los espacios más reducidos, lo que permite una captura de datos exhaustiva con una eficiencia de espacio optimizada.

        Dosis de radiación especialmente baja

        Las funciones inteligentes para reducir la dosis de radiación, en combinación con el diseño compacto, garantizan una exposición mínima y una protección máxima.

        Área de descargas

        Instrucciones de uso

        Find all languages of the Update Hygiene and Maintenance (EN ISO 17664:2017) in the Download Centre.

      • Seethrough Arm

        Focus on what matters

        Robusto, fácil de usar y versátil: Seethrough Arm optimiza los procesos diarios de la clínica dental. Esta unidad de rayos X intraoral puede utilizarse con placas de fósforo o sensores digitales, en función del procedimiento preferido. Con diversas longitudes de brazo, diferentes configuraciones de Wallbox, una interfaz de usuario sencilla con un alto grado de ergonomía y funcionamiento inalámbrico, se adapta perfectamente a cualquier entorno clínico. Seethrough Arm: la solución ideal para flujos de trabajo rápidos y fluidos.

        Máxima flexibilidad
        Tres longitudes de brazo distintas (300/600/900), tres configuraciones Wallbox, diseño plano sin partes que sobresalgan.

        La elección está en sus manos
        Versión Basic o Comfort con integración adicional de Seethrough Studio e ioDent®.

        Uso inalámbrico
        Cómodo mando a distancia para una protección antirradiación total y para una mayor facilidad de uso.


        Seethrough Scan

        Simply scantastic

        Diseño elegante, uso ergonómico: Seethrough Scan es la herramienta ideal para todas las clínicas con sistemas PSP. Se adapta fácilmente al entorno de trabajo, permite la inserción rápida y segura de placas de fósforo de todos los tamaños (0, 1, 2 y 3) y es fácil de limpiar. Además, las numerosas funciones automáticas garantizan la optimización de procesos en la aplicación. Seethrough Scan: la solución PSP avanzada para obtener imágenes de forma sencilla y eficaz.

        Automatización completa
        La identificación del quirófano, la detección de errores, el borrado de placas de fósforo y la transmission de imágenes son automáticos.

        Elegante y ergonómico
        Con su diseño fácil de usar, Seethrough Scan es fácil de limpiar, sencillo de manejar y se integra perfectamente en cualquier lugar.


        Seethrough Sensor

        Sensationally sensitive

        Obtención de imágenes precisa con la máxima comodidad del paciente: con su diseño ergonómico, el Seethrough Sensor extraplano hace que los pacientes se sientan más relajados. El sensor CMOS de alta resolución capta todos los detalles con una calidad extraordinaria. Disponible en los tamaños 1 y 2, puede integrarse fácilmente en la práctica diaria e impulsa la odontología digital. Seethrough Sensor: disfrute de flujos de trabajo más eficientes, día tras día.

        Mayor comodidad del paciente
        El diseño extraplano con esquinas redondeadas y bordes lisos aumenta la comodidad del paciente durante la obtención de imágenes.

        Integración sencilla
        El sistema plug and play garantiza que sea fácil de usar y muy cómodo para el usuario.

        Área de descargas

        Descargas

        Instrucciones de uso

        Find all languages of the Update Hygiene and Maintenance (EN ISO 17664:2017) in the Download Centre.

      • Seethrough Studio

        See tomorrow. See a new level.

        Además de las sofisticadas tecnologías de hardware, el revolucionario software Seethrough Studio es el factor decisivo para el alto nivel de toda la gama de productos radiológicos de W&H. Con funciones útiles y algoritmos avanzados, Seethrough Studio es una solución completa que lleva los flujos de trabajo digitales y de radiología en odontología a un nuevo nivel.

        Integración inalámbrica

        Seethrough Studio puede integrarse fácilmente en su sistema de gestión de pacientes. Puede iniciar el software directamente desde el PMS sin tener que volver a introducir los datos del paciente.

        Selección de FOV libre en la imagen radiográfica

        Para obtener las imágenes adecuadas con la primera toma, seleccione el campo de visión deseado en la vista previa de la radiografía y ajuste libremente el área correspondiente. De esta forma se garantiza un posicionamiento preciso del FOV y se evita la reexposición.

        Corrección de posición y movimiento

        El avanzado algoritmo de corrección del movimiento lleva la calidad de imagen a un nuevo nivel tanto en imágenes 3D como 2D. Las imágenes 2D mejoran notablemente gracias a un sistema de enfoque automático de 21 capas integrado a la perfección con la corrección de posición.

        Metal artefact removal (MAR)

        Restaura la integridad de la imagen eliminando los artefactos metálicos y permite examinar imágenes con o sin MAR, para una visualización flexible y una mayor precisión diagnóstica.

        Imágenes nítidas, detalladas y sin distorsiones

        gracias a los avanzados algoritmos de Seethrough Studio.

        Herramienta de planificación de implantes integrada

        Además de la excelente calidad de imagen y el uso intuitivo, Seethrough Studio ofrece numerosas funciones útiles, como la herramienta de planificación de implantes integrada de serie para facilitar la visualización y la preparación del tratamiento.

        Funciones asistidas por IA

        Seethrough Studio utiliza varias herramientas de IA para obtener imágenes aún mejores, como la alineación de volúmenes 3D, la segmentación de dientes, la generación de líneas de arcos, el reconocimiento automático de nervios y una ayuda útil en la detección de patologías.

        Work smarter, not harder

        El catálogo de Seethrough está conectado con ioDent® de forma predeterminada. Esta avanzada plataforma online de W&H combina datos importantes de los pacientes, una comunicación fluida y numerosos servicios útiles y de apoyo que hacen más eficiente el día a día de la clínica. Acceda a imágenes 3D, panorámicas e intraorales en cualquier momento y desde cualquier lugar: ioDent® le proporciona toda la información del paciente que necesita, cuando la necesita.
        iodent.com

        Gracias a una transmisión de datos rápida y segura, los casos anónimos de pacientes también pueden compartirse, debatirse y comentarse con otros profesionales. Los pacientes también pueden descargar sus datos DICOM a través de un enlace seguro. Además, ioDent® ofrece un acceso rápido y directo al soporte al cliente con el panel de control del servicio integrado, para que reciba ayuda técnica inmediata de expertos cuando la necesite. ioDent® también le ayuda a cumplir todas las directrices legales y proporciona un libro de control automático de rayos X para todos los dispositivos radiológicos.

        Sus ventajas

        • Obtención de imágenes
          con la máxima calidad

          Imágenes con una nitidez y definición excepcionales: nuestra calidad de imagen establece nuevos estándares hasta el más mínimo detalle mediante la innovadora combinación de hardware y software de alta calidad.

        • Integración perfecta
          Nuestras soluciones se integran a la perfección en cualquier sistema de gestión de clínicas (PMS), optimizan sus flujos de trabajo y destacan por su alto nivel de facilidad de uso.

        • Funcionalidad inteligente
          Herramientas innovadoras como la corrección del movimiento, la ayuda al posicionamiento y los
          procesos de registro guiados permiten conseguir unos resultados óptimos y un uso más sencillo e intuitivo.

        • Conexión
          con ioDent®

          Acceda a todo lo que necesita en cualquier momento. Recuperación de imágenes online, datos de pacientes, almacenamiento de información o acceso al panel de control del servicio: stay connected.
        • IA revolucionaria
          para su clínica

          Las innovadoras herramientas de IA ayudan al análisis de las imágenes y al diagnóstico, ofreciendo valiosas perspectivas que llevan el cuidado del paciente al siguiente nivel.

          Área de descargas

          Descargas


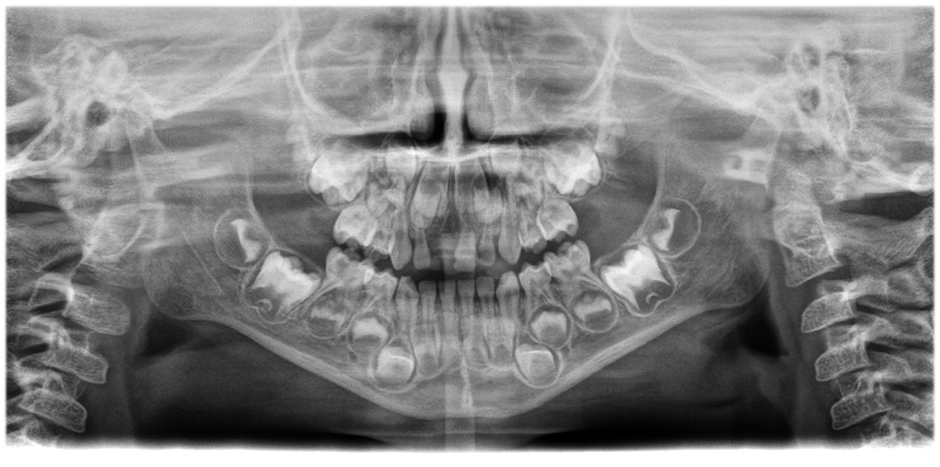
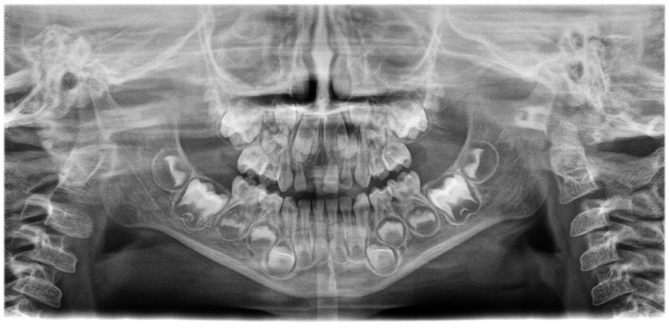
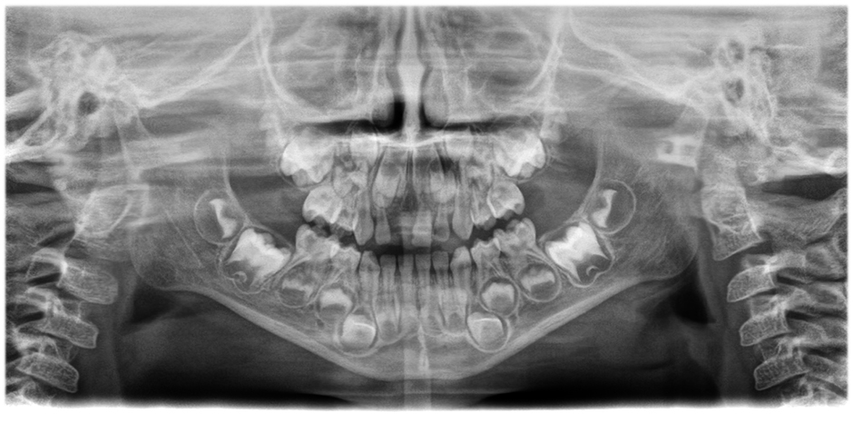
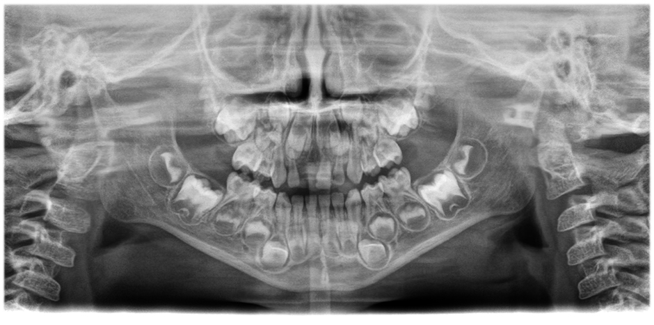
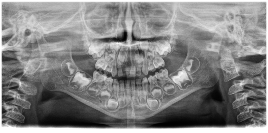
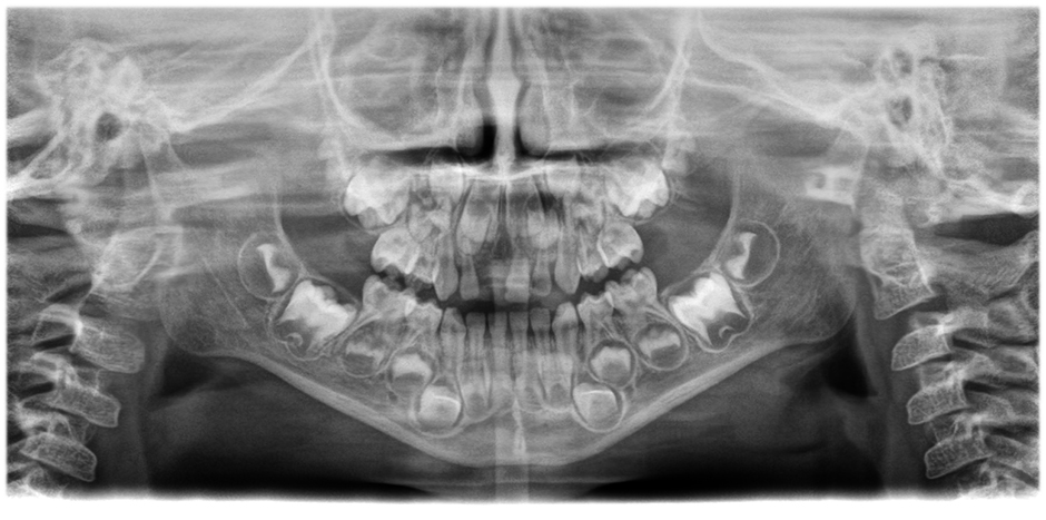
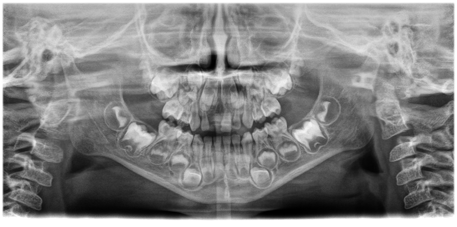
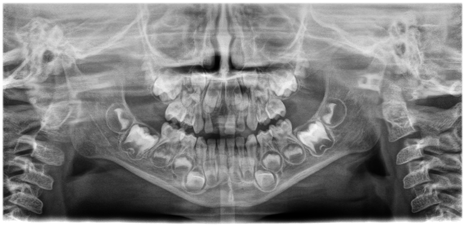
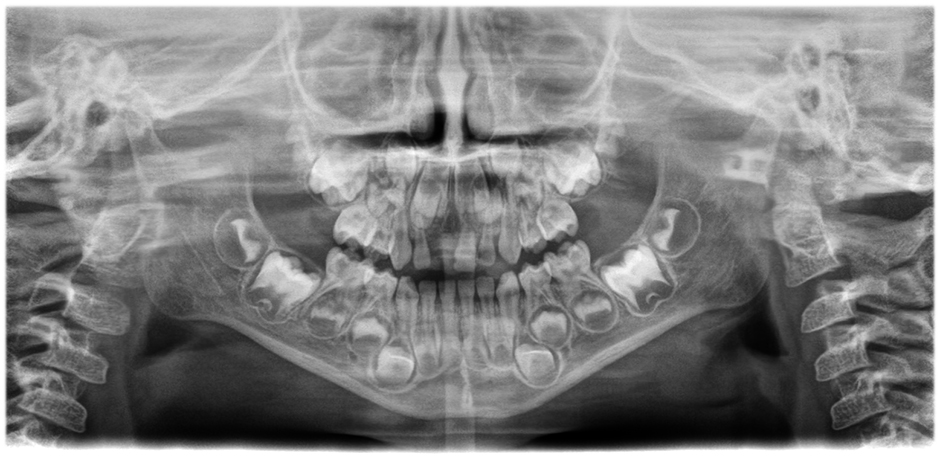
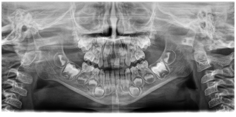
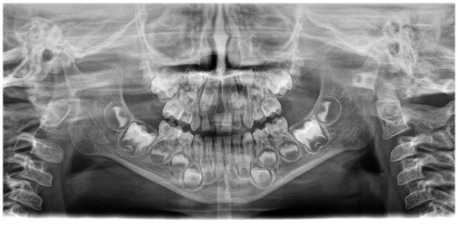
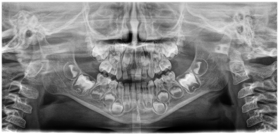
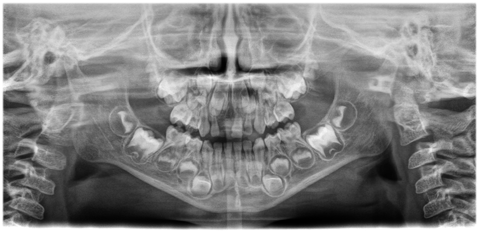
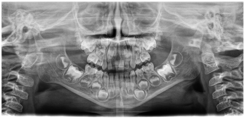
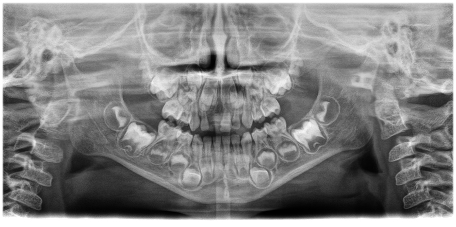
        • Imágenes panorámicas de nitidez y definición extraordinarias
          gracias al innovador sistema de enfoque automático de 21 capas integrado a la perfección con la corrección de posición del paciente.
          Mueva el botón deslizante para ver la diferencia (a la izquierda, imagen sin enfoque automático; a la derecha, con enfoque automático y posición corregida del paciente).

          Área de descargas

          Descargas