Informes & Estudios

Seethrough Max: Un amplio espectro FOV para satisfacer todas las necesidades de los dentistas

Entrevista con el Dr. en Odontología Oliver A. Centrella, Oberrieden, Suiza

Cuando el dentista suizo Dr. Centrella decidió invertir en nuevas tecnologías, su objetivo era ofrecer a sus pacientes el mayor nivel de atención. Por ello, eligió el sistema Seethrough Max de W&H para su clínica en Oberrieden, Suiza. ¿El resultado? Una situación en la que todos ganan, tanto los pacientes como los profesionales. En esta entrevista, el Dr. Centrella explica cómo esta solución avanzada ha transformado su flujo de trabajo diario.


Dr. Oliver A. Centrella
  • Oberrieden, Suiza
Dr. Oliver A. Centrella

Dr. Centrella, usted se especializa en implantología, láser y odontología estética. ¿Cuáles son los factores clave que influyeron en su decisión para invertir en un nuevo sistema de radiología? ¿Qué hizo que Seethrough Max fuese su opción preferida?

Dr. Centrella: Nuestra unidad de radiología anterior se había quedado obsoleto, así que estuve buscando nuevas opciones en las última Ferias de Odontología. Desde mi punto de vista la gama de productos Seethrough de W&H representa la mayor calidad, en comparación con otras soluciones prémium del mercado. Con su amplio espectro de FOV y su calidad de imagen excepcional, Seethrough Max se adapta perfectamente a mis necesidades, ya que para la planificación de implantes siempre quiero visualizar toda la mandíbula. Otro factor clave ha sido la facilidad de uso: nunca hemos tenido ni un solo caso de colocación incorrecta del paciente y el software es increíblemente intuitivo. Gracias a este dispositivo hemos agilizado nuestro flujo de trabajo, hemos reducido el tiempo de tratamiento y ha mejorado considerablemente la eficiencia.

Ha mencionado la facilidad de colocación de los pacientes. ¿Cuál ha sido su experiencia hasta el momento?

Dr. Centrella: Estoy verdaderamente impresionado. Este aspecto es especialmente importante para la parte de mi personal que se ocupa de la colocación de los pacientes. Al principio, yo me encargaba de supervisar el proceso, pero después de unas pocas sesiones, todos se sentían con confianza y conocimientos para realizar esta tarea. Como ya he mencionado, el sistema Seethrough Max es excepcionalmente intuitivo. Nunca hemos tenido ni un solo caso de colocación incorrecta del paciente, lo que supone un gran contraste con nuestro dispositivo anterior, con el que por desgracia la colocación incorrecta era bastante frecuente. Por ello, la facilidad de uso del dispositivo CBCT de W&H es verdaderamente extraordinaria. El método de colocación cara a cara ofrece una manera sencilla y fiable de garantizar que el paciente esté correctamente colocado, lo que da lugar a imágenes que siempre son perfectas.

Otra ventaja importante es su amplio espectro FOV. Este hace que la comunicación con los pacientes sea mucho más sencilla. Me permite señalar la localización de las muelas del juicio, los nervios o los senos, incluso a los pacientes sin conocimientos anatómicos. En lugar de utilizar términos como «transversal» o «distal», puedo explicarles de forma visual qué estamos haciendo y por qué. De este modo, se genera confianza y los pacientes se sienten más informados e implicados en su tratamiento.

¿Cómo valoraría la facilidad de uso del software Seethrough Max?

Dr. Centrella: Es prácticamente infalible. Tengo varios miembros nuevos en el equipo que trabajan a media jornada y no siempre pueden hacer preguntas a sus compañeros. Por eso es tan importante que el sistema sea fácil de usar. No hemos tenido ningún error operativo, ni con el hardware ni con el software. Tampoco hemos tenido nunca ningún problema con la colocación incorrecta del paciente ni con la selección del FOV incorrecto. Tanto si el objetivo era una imagen panorámica como si se trataba de un escaneo 3D con enfoque, mi equipo ha podido ejecutarlos sin errores en todos los casos. Eso es lo que de verdad importa.

Con el software Seethrough Studio de W&H, es prácticamente imposible cometer errores. Tengo varios miembros nuevos en el equipo que trabajan a media jornada y no siempre pueden hacer preguntas a sus compañeros. Por ello, es muy importante que el sistema sea intuitivo en el uso. No hemos tenido ningún error operativo, ni con el hardware ni con el software.

Doctor en Odontología Oliver A. Centrella

¿Cómo valoraría el espectro del FOV del Seethrough Max? ¿Utiliza también la función de vista previa de la radiografía?

Dr. Centrella: Realmente agradezco contar con el amplio rango del FOV y la capacidad para capturar imágenes grandes y de alta calidad con una exposición mínima a la radiación. Para la planificación de los implantes, siempre quiero ver toda la mandíbula, por lo que no suelo usar la vista previa de la radiografía. No obstante, en algunos casos endodónticos, ha demostrado ser extremadamente útil. El proceso es sencillo: se captura la imagen radiográfica, se ajusta el campo exactamente donde se necesite y ya está listo para empezar.

¿Qué importancia tiene la tecnología avanzada en la comunicación con el paciente? ¿Suelen preguntar por la exposición a la radiación?

Dr. Centrella: Sí, a veces. La dosis de radiación es algo de lo que cada vez más los pacientes son conscientes, e incluso puede ser un argumento de marketing para las clínicas dentales. Algunos pacientes expresan su preocupación por el uso frecuente de radiografías. Es una gran ventaja poder asegurarles que utilizamos un sistema vanguardista que ofrece una calidad de imagen excelente con una dosis muy baja. Tradicionalmente, una mayor calidad de imagen requería más radicación, pero con Seethrough Max tenemos lo mejor de ambos mundos.

¿Cuál ha sido su experiencia trabajando con W&H?

Dr. Centrella: Conozco a W&H desde hace mucho tiempo y la relación siempre ha sido excelente. Si tengo alguna pregunta, les llamo o les mando un mensaje breve a través de WhatsApp. Siempre me responden rápido y la colaboración es fluida y agradable.

Según su experiencia, ¿qué tres palabras utilizaría para describir el uso de Seethrough Max a sus compañeros de profesión?

Dr. Centrella: Máxima calidad, fácil de usar y rentable. La relación calidad-precio es excelente.

Gracias por la entrevista.


A continuación encontrarás un caso del Dr. med. dent. Oliver A. Centrella, en el cual las imágenes CBCT obtenidas con Seethrough Max proporcionaron información crucial sobre la anatomía compleja y la relación crítica entre las muelas del juicio y el nervio alveolar inferior. En este caso, existe una indicación para la extracción quirúrgica de las muelas del juicio.

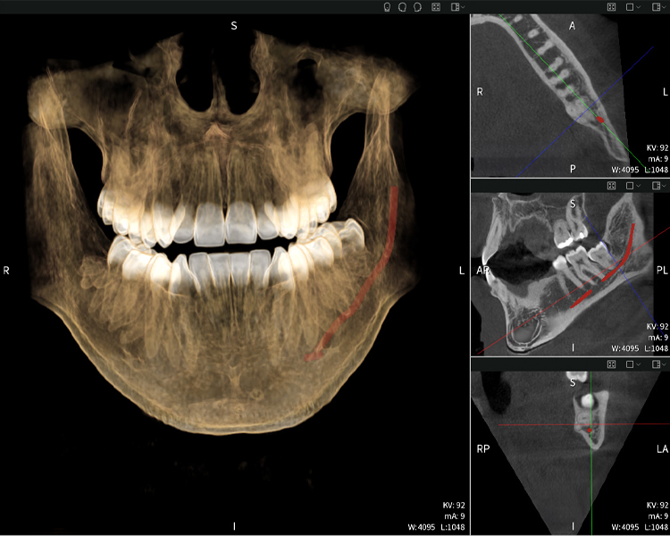
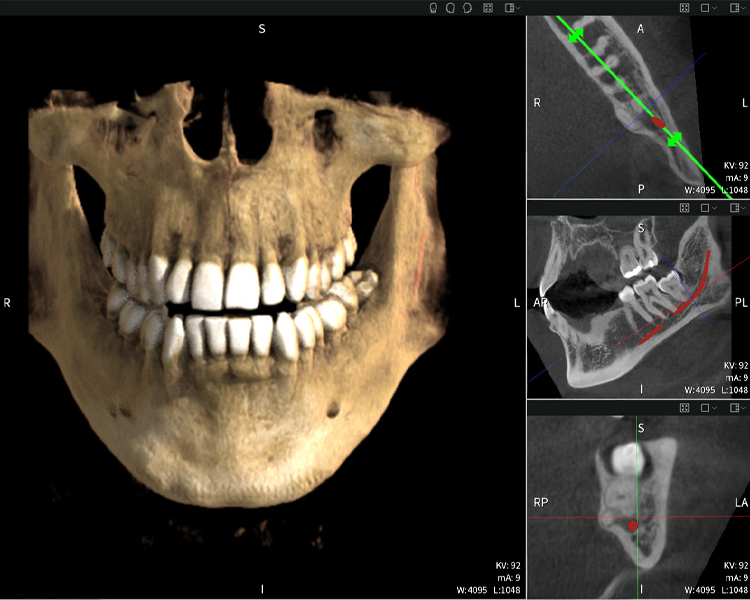
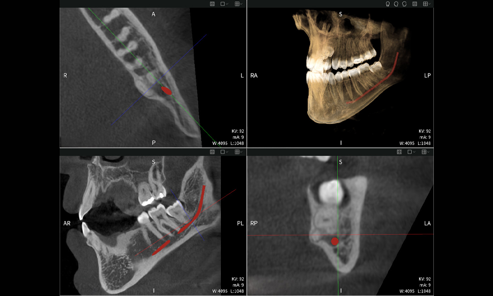
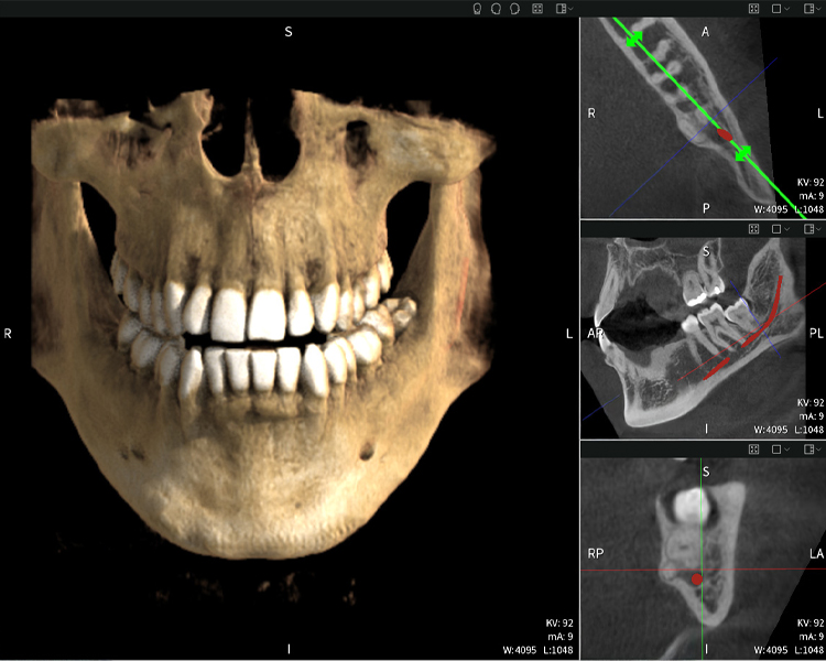
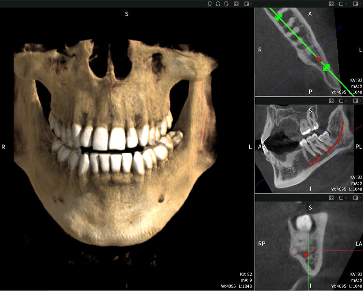
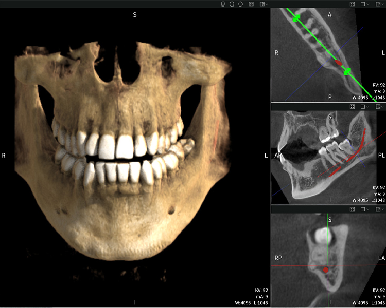
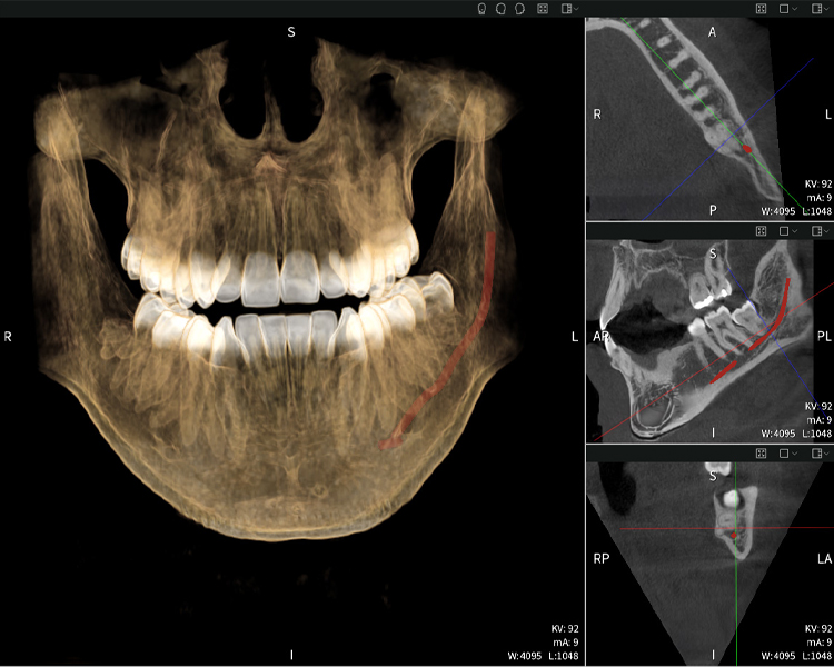
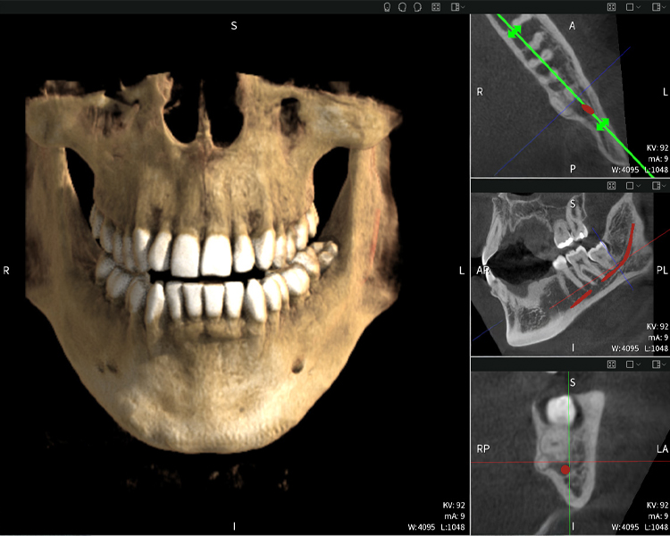
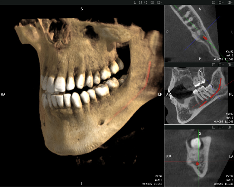
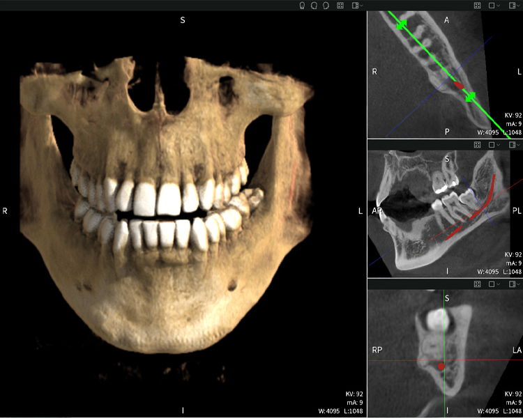
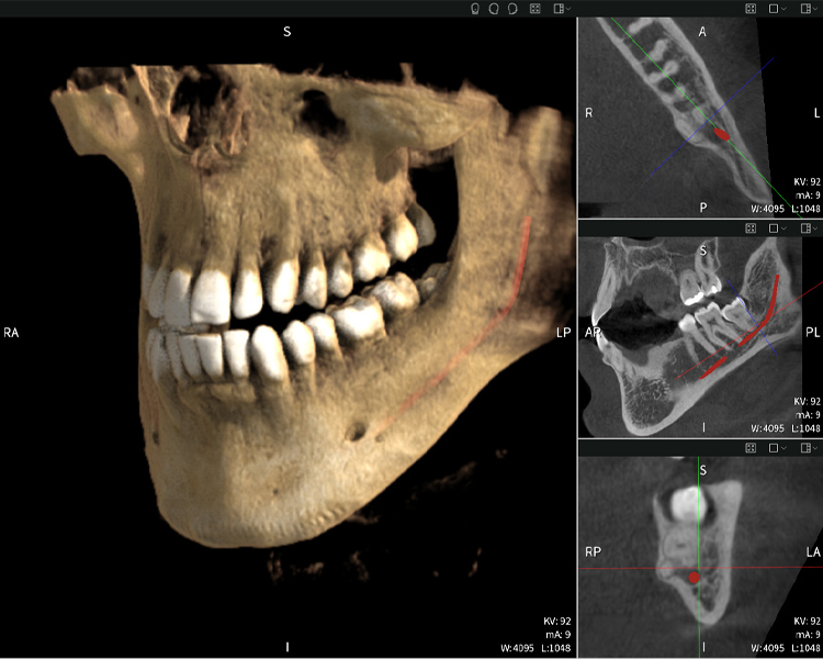
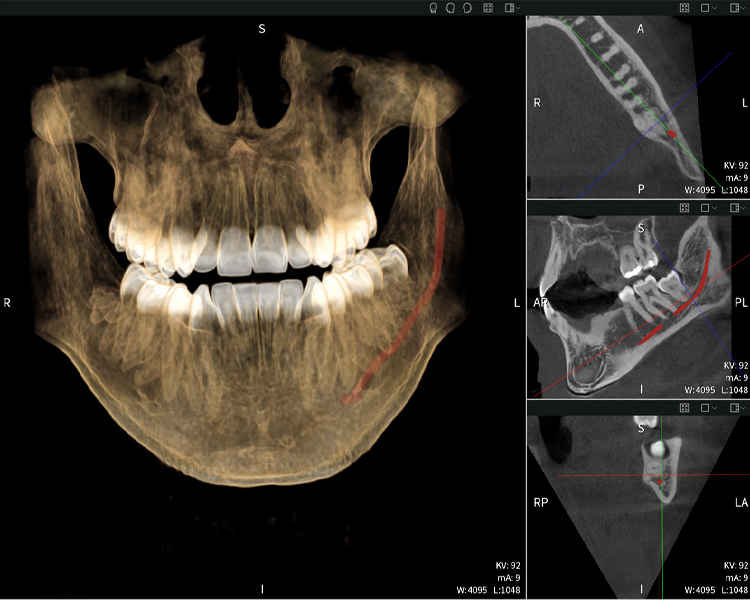
Figura a: Resultados de imagen de Seethrough Max, sobre un fondo negro.
Figura a

Figura a

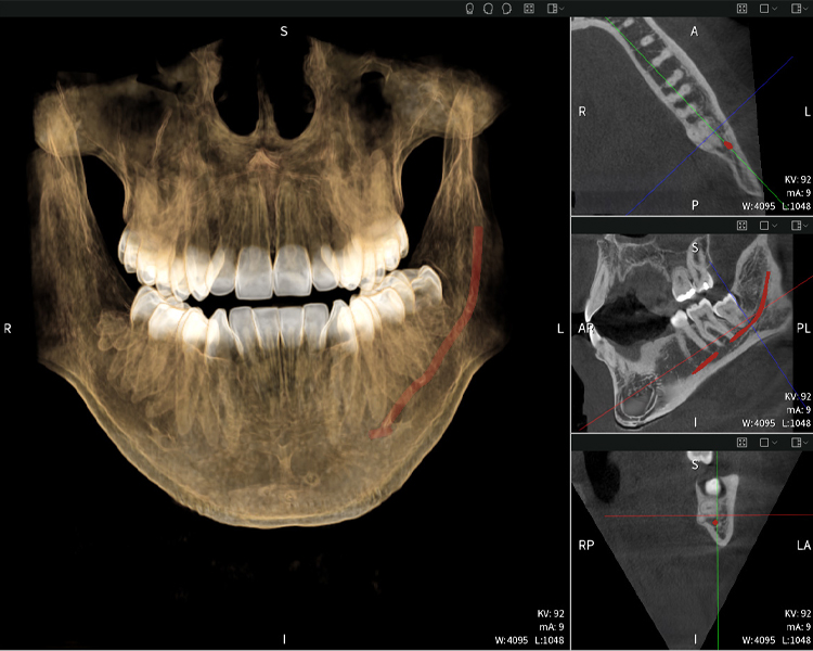
  • Arriba a la izquierda: Corte axial de la mandíbula izquierda (región 38) que muestra el nervio alveolar inferior (en rojo) en proximidad a las raíces del diente 38.
  • Arriba a la derecha: Reconstrucción 3D de toda la mandíbula para orientación. El nervio alveolar inferior marcado en rojo ilustra su ubicación dentro del hueso mandibular.
  • Abajo a la izquierda: Vista sagital de la mandíbula (región 38), destacando la estrecha relación espacial entre las raíces y el conducto del nervio.
  • Abajo a la derecha: Vista coronal de la mandíbula (región 38), crucial para evaluar la posición espacial de las raíces en relación con el nervio.
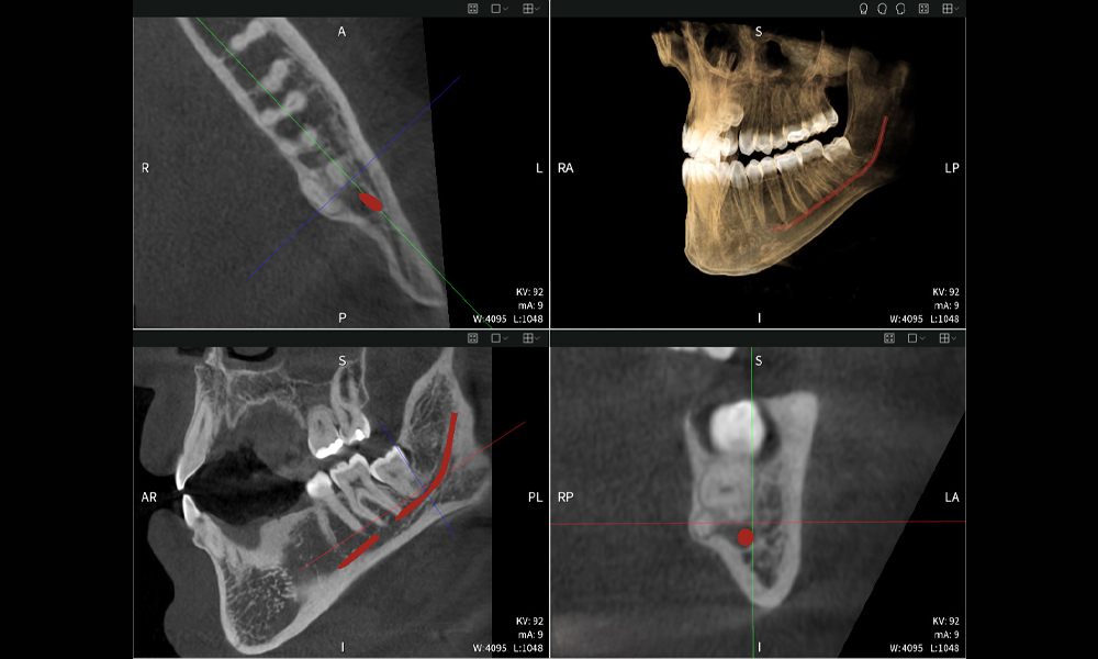
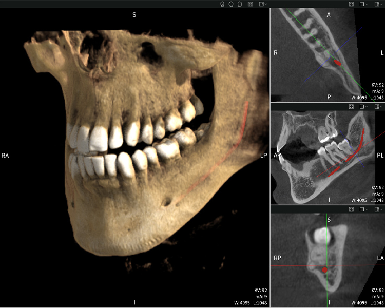
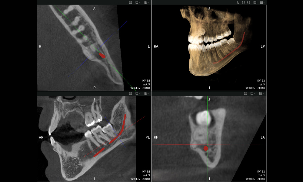
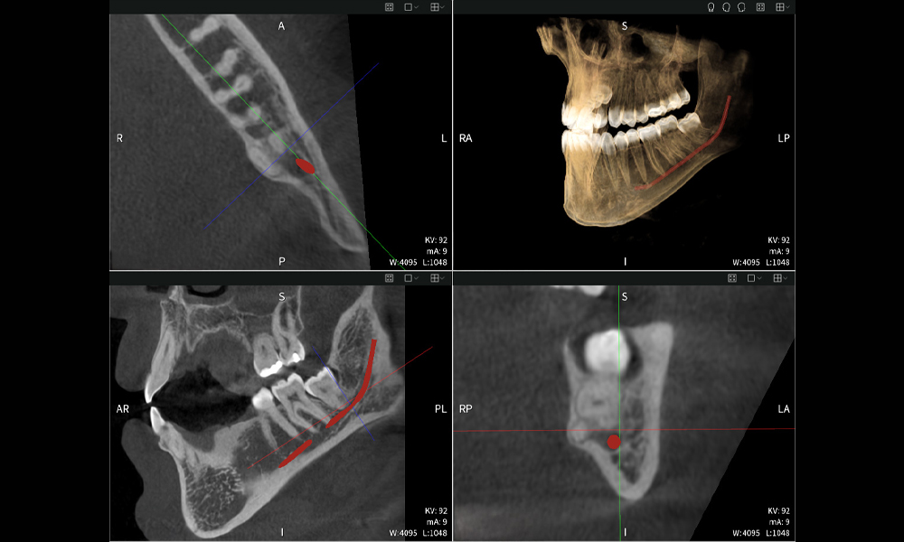
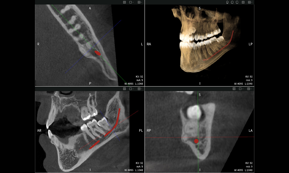
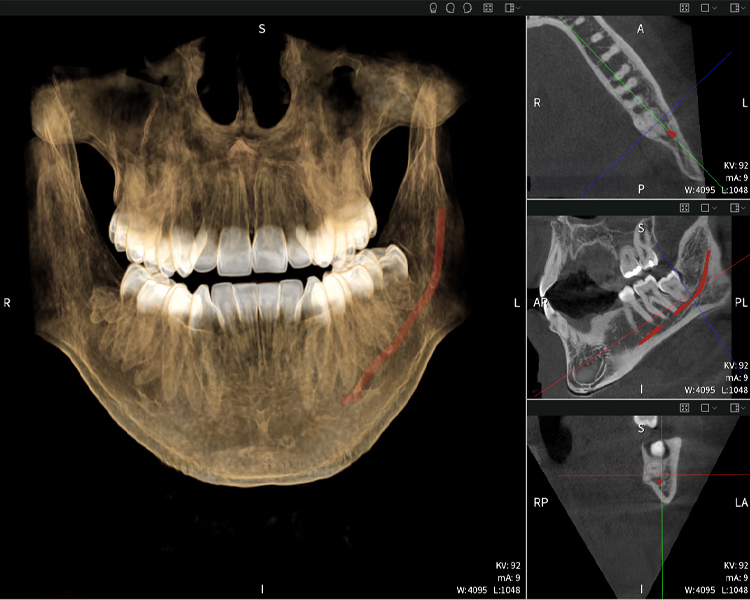
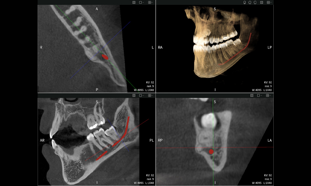
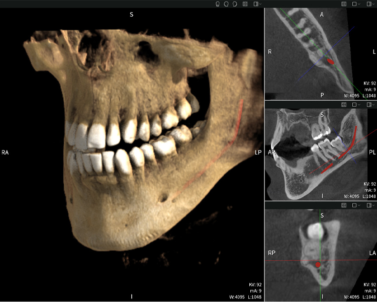
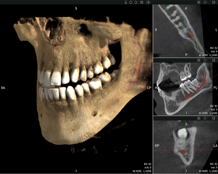
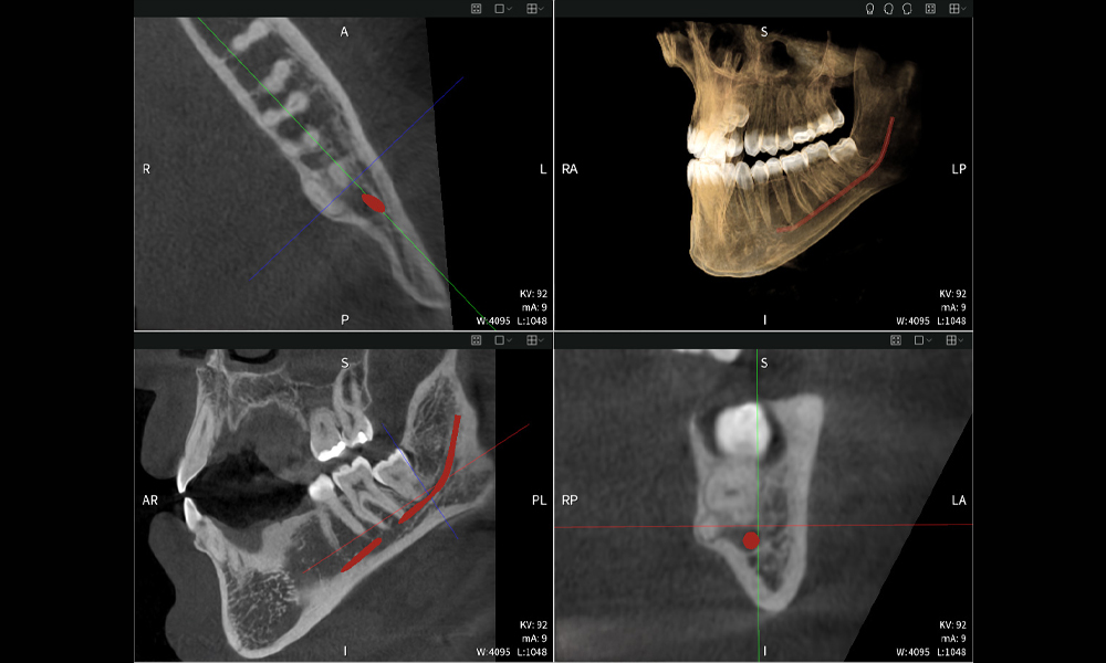
Figura b: Resultados de imagen de Seethrough Max, sobre un fondo negro.
Figura b
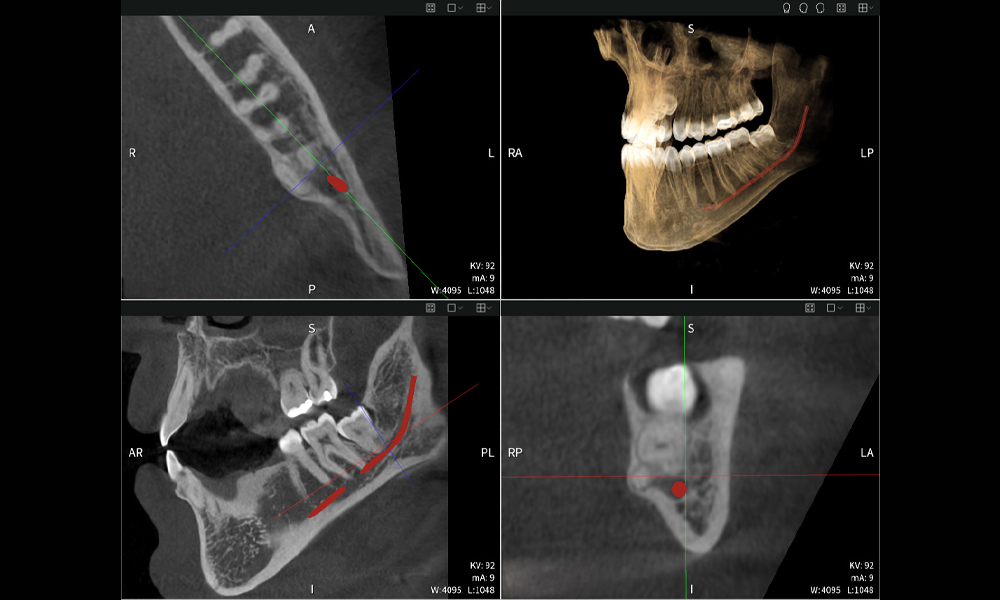
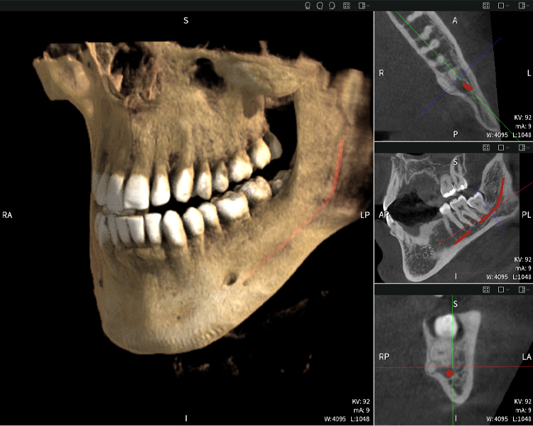
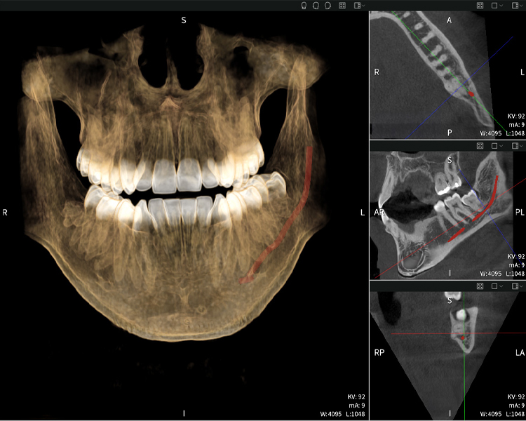
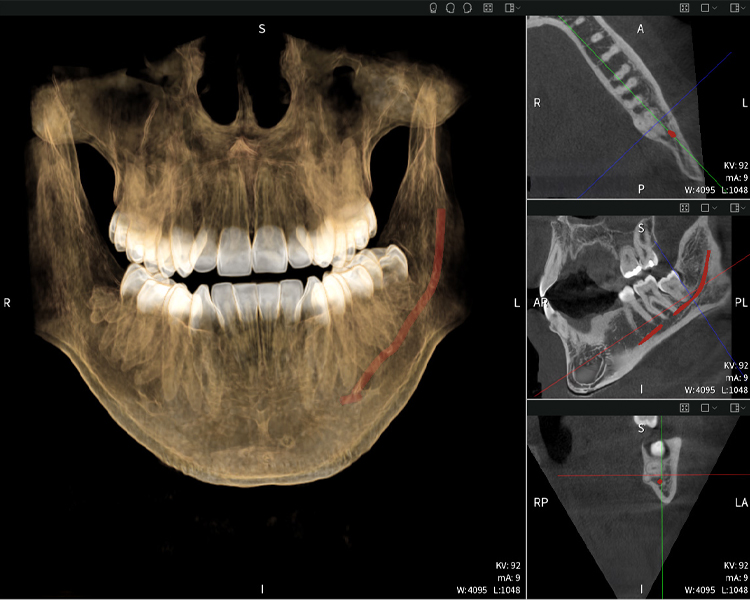
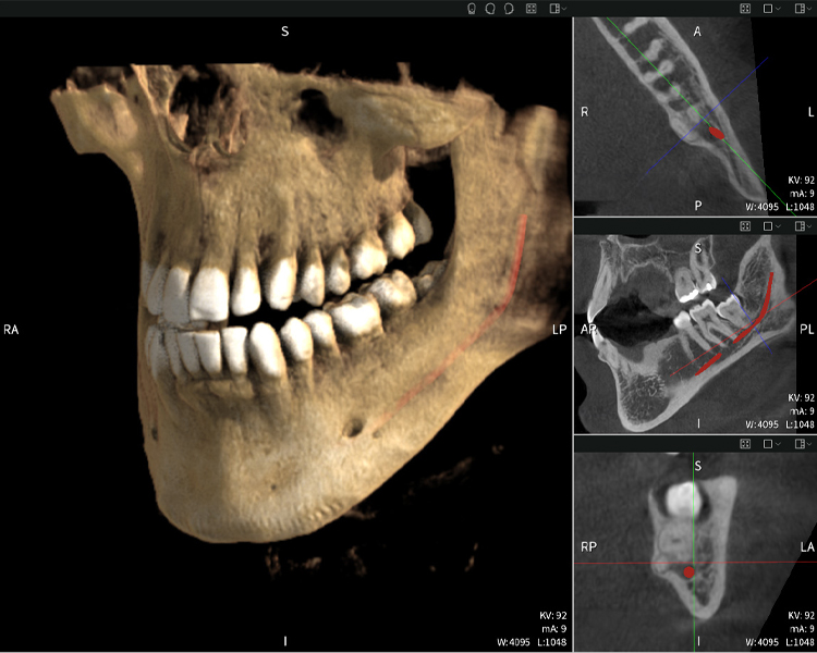
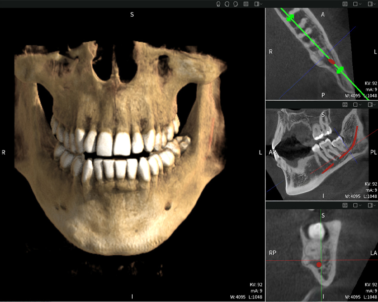
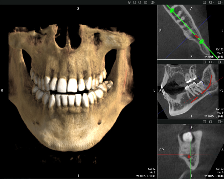
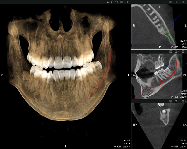
Figura d: Resultados de imagen de Seethrough Max, sobre un fondo negro.
Figura d

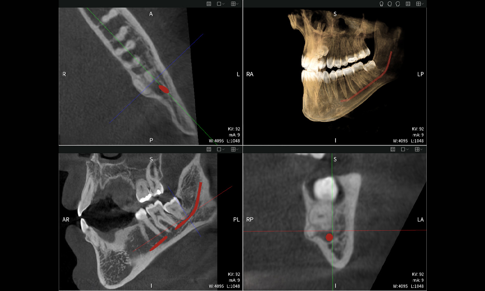
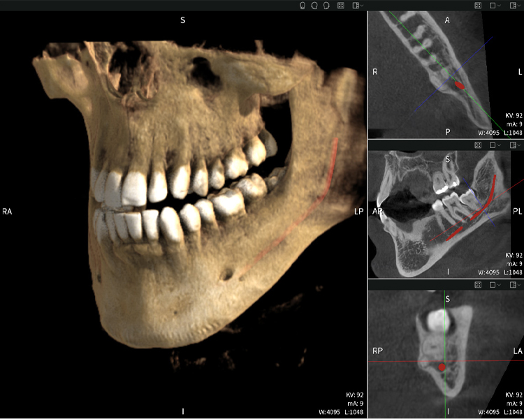
Las figuras b–d muestran varias vistas de una reconstrucción 3D de la mandíbula, proporcionando una visión general completa de la anatomía mandibular, la posición de los nervios en relación con los dientes y permitiendo evaluar la simetría y alineación dentaria.

Figura c: Resultados de imagen de Seethrough Max, sobre un fondo negro.
Figura c:

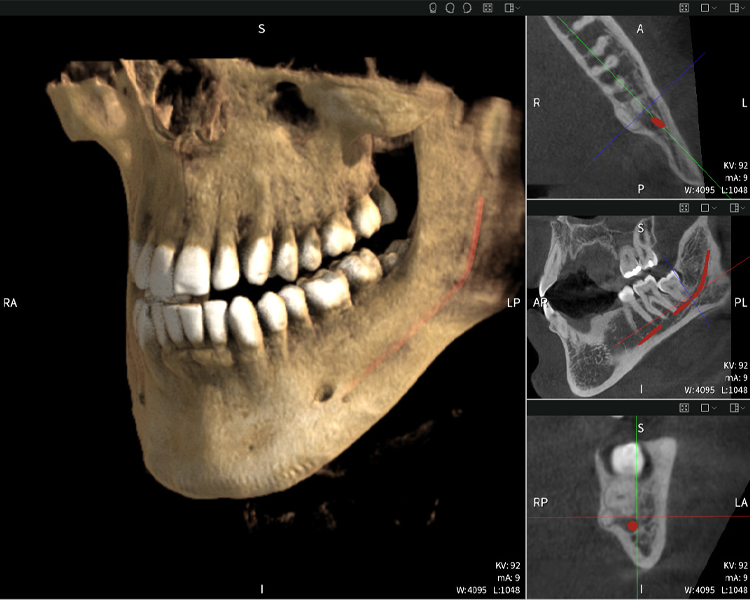
La figura d muestra el diente 48 previamente tratado, con la corona retirada y las raíces dejadas en proximidad al nervio, lo que ilustra el alto riesgo de daño nervioso.

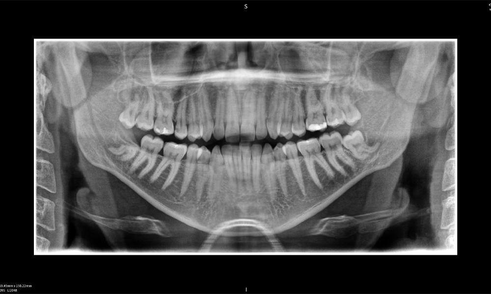
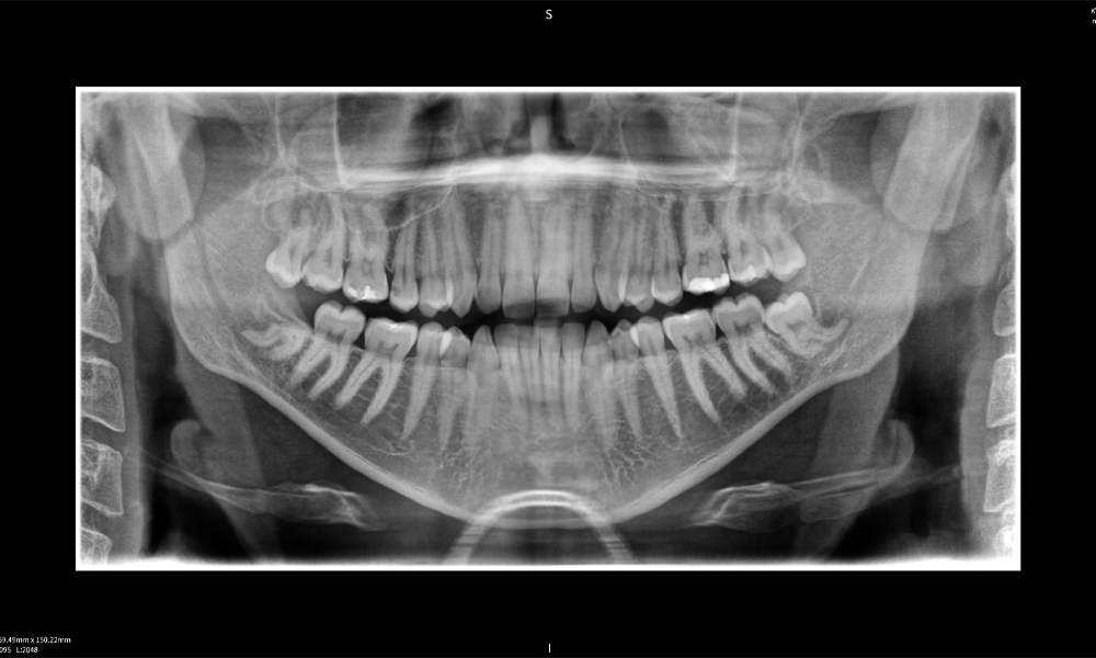
Figura e: Resultados de imagen de Seethrough Max, sobre un fondo negro.
Figura e

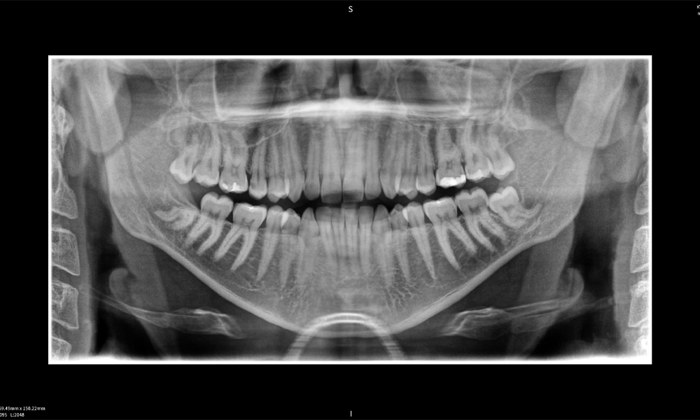
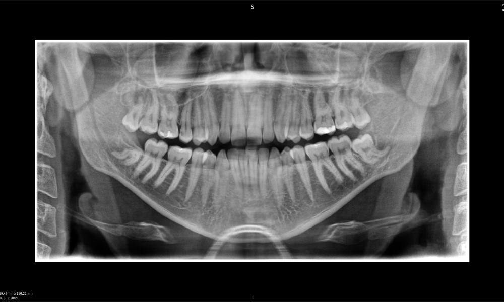
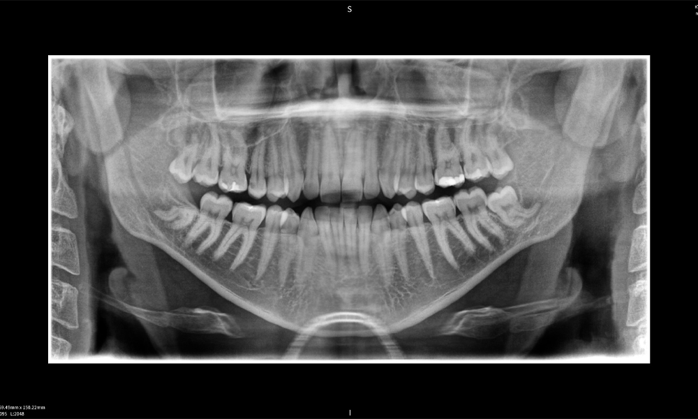
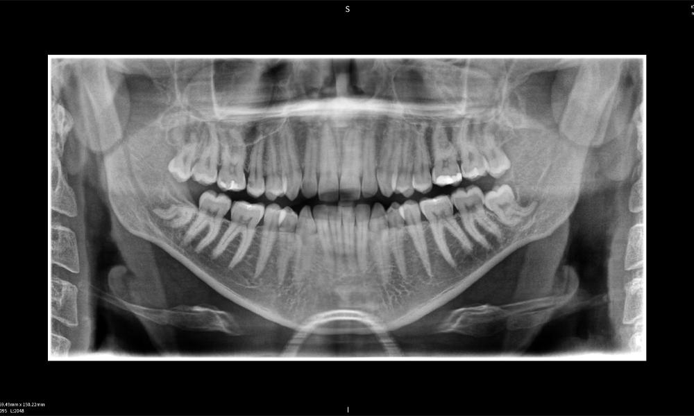
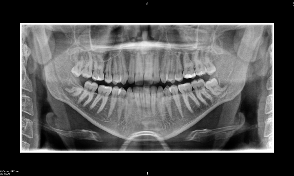
Figura e: La radiografía panorámica sirve como herramienta de evaluación inicial, mostrando la posición general de los dientes, así como posibles cambios patológicos. Es notable que en el lado derecho (diente 48) se observa la situación posterior a una amputación de corona realizada por un profesional externo. Las dos raíces fuertemente curvadas permanecen en estrecha proximidad topográfica al nervio alveolar inferior dentro del hueso. Esto sugiere una decisión deliberada de evitar el mayor riesgo de lesión nerviosa durante una extracción completa y representa un hallazgo clínicamente relevante. En resumen, las tomografías CBCT con Seethrough Max proporcionan información crucial sobre la anatomía compleja y la relación crítica entre las muelas del juicio y el nervio alveolar inferior. Esta imagenología diagnóstica detallada preoperatoria es esencial para realizar procedimientos quirúrgicos seguros y exitosos en la región mandibular.


También lea

comentarios