Seethrough Max: Ein breites FOV-Spektrum für alle zahnärztlichen Anforderungen
Interview mit Dr. med. dent. Oliver A. Centrella, Oberrieden, Schweiz
Der Schweizer Zahnarzt Dr. Centrella hat sich das Ziel gesetzt, seinen Patient:innen die bestmögliche Behandlungsqualität zu bieten. Deshalb hat er sich für seine Praxis in Oberrieden, Schweiz, für eine neue Technologie entschieden: das Seethrough Max CBCT-System von W&H. Das Ergebnis ist eine Win-win-Situation sowohl für ihn als Behandler als auch für seine Patient:innen. Im Interview schildert Dr. Centrella, wie sehr sich sein Arbeitsablauf durch diese fortschrittliche Lösung zum Positiven verändert hat.
- Oberrieden, Schweiz

Dr. Centrella, Sie sind spezialisiert auf Implantologie, Laserbehandlungen und ästhetische Zahnmedizin.
Welche Faktoren haben Ihre Entscheidung beeinflusst, in ein neues Röntgensystem zu investieren, und was hat Seethrough Max zur bevorzugten Wahl für Ihre Praxis gemacht?
Dr. Centrella: Unser vorheriges Röntgengerät war nicht mehr zeitgemäß, weshalb ich gezielt auf Dentalmessen nach neuen Optionen gesucht habe. Für mich repräsentiert die Seethrough-Produktlinie von W&H den höchsten Standard – vergleichbar mit anderen Premiumlösungen auf dem Markt. Mit dem breiten FOV-Spektrum und der herausragenden Bildqualität erfüllt Seethrough Max meine Anforderungen perfekt – insbesondere, weil ich bei der Implantatplanung immer den gesamten Kiefer im Blick haben möchte. Ein weiterer entscheidender Faktor ist die Benutzerfreundlichkeit des Systems: Eine Fehlpositionierung der Patient:innen ist bislang nicht vorgekommen, und die Software ist unglaublich intuitiv. Das hat unsere Arbeitsabläufe deutlich vereinfacht, die Behandlungszeit verkürzt und die Effizienz erheblich gesteigert.
Sie haben die einfache Patientenpositionierung erwähnt. Wie sind Ihre bisherigen Erfahrungen damit?
Dr. Centrella: Ich bin wirklich beeindruckt. Dieser Aspekt ist besonders wichtig für mein Team, das die Patientenpositionierung übernimmt. Anfangs habe ich den Prozess noch beaufsichtigt, doch schon nach wenigen Durchläufen war das Team in der Lage, die Aufgabe eigenständig und sicher zu bewältigen. Wie bereits erwähnt, zeichnet sich das Seethrough Max System durch eine besonders intuitive Bedienung aus. Seit der Einführung des neuen Systems ist keine fehlerhafte Patientenpositionierung mehr aufgetreten – im Gegensatz zu unserem früheren Gerät, bei dem dies leider häufig der Fall war. Die Benutzerfreundlichkeit des W&H CBCT-Geräts von W&H ist also wirklich herausragend. Die direkte Face-to-Face-Positionierung bietet eine einfache und zuverlässige Möglichkeit, Patient:innen korrekt zu positionieren, was stets perfekte Bilder garantiert.
Ein weiterer entscheidender Vorteil ist das breite FOV-Spektrum. Die Kommunikation mit den Patient:innen wird dadurch einfacher. Die Lage von Weisheitszähnen, Nerven oder Nebenhöhlen kann ich so zeigen, dass auch Patient:innen ohne anatomische Vorkenntnisse sie erkennen können. Statt Fachbegriffe wie ‚transversal‘ oder ‚distal‘ zu verwenden, erkläre ich visuell und verständlich, was wir tun und warum. So schaffen wir Vertrauen, und die Patient:innen fühlen sich besser aufgeklärt und aktiv miteinbezogen.
Wie schätzen Sie die Benutzerfreundlichkeit der Seethrough Studio Software ein?
Dr. Centrella: Sie ist praktisch selbsterklärend. In meinem Team arbeiten mehrere neue Kolleg:innen in Teilzeit, ein direkter Austausch untereinander ist nicht immer möglich. Deshalb ist es so wichtig, dass das System einfach zu bedienen ist. Bislang traten keinerlei Bedienfehler auf – weder bei der Hardware noch bei der Software. Auch bei der Patientenpositionierung oder der Auswahl des korrekten Sichtfelds (FOV) gab es nie Probleme. Unabhängig davon, ob ein Panoramabild oder ein gezielter 3D-Scan erforderlich war – mein Team hat alle Aufnahmen einwandfrei umgesetzt. Das ist der springende Punkt.
Mit der Seethrough Studio Software von W&H sind Fehler nahezu ausgeschlossen. In meinem Team arbeiten mehrere neue Kolleg:innen in Teilzeit, ein direkter Austausch untereinander ist nicht immer möglich. Deshalb ist es so wichtig, dass das System intuitiv zu bedienen ist. Bislang traten keine Bedienfehler auf – weder bei der Hardware noch bei der Software.
Dr. med. dent. Oliver A. Centrella
Wie beurteilen Sie das FOV-Spektrum des Seethrough Max? Nutzen Sie auch die Funktion der Scout-Vorschau?
Dr. Centrella: Das breite FOV-Spektrum und die Möglichkeit, großformatige, hochauflösende Bilder mit minimaler Strahlenbelastung aufzunehmen, sind für mich besonders wertvoll. Da ich bei der Implantatplanung stets den gesamten Kiefer im Blick haben möchte, kommt die Scout-Vorschau bei mir eher selten zum Einsatz. Bei einigen endodontischen Behandlungen hat sie sich aber als äußerst nützlich erwiesen. Der Ablauf ist einfach: Scout-Bild aufnehmen, Sichtfeld exakt an die gewünschte Stelle anpassen – und schon kann es losgehen.
Welche Rolle spielt moderne Technologie in der Patientenkommunikation? Wird die Strahlenbelastung von Patient:innen häufig angesprochen?
Dr. Centrella: Ja, gelegentlich. Patient:innen achten zunehmend auf die Strahlendosis – das kann sogar ein Marketingargument für Zahnarztpraxen sein. Manche äußern Bedenken wegen wiederholter Röntgenaufnahmen. Hier ist es beruhigend für die Patient:innen zu wissen, dass wir ein fortschrittliches System einsetzen, das ausgezeichnete Bildqualität bei sehr geringer Strahlendosis liefert. Üblicherweise bedeutet bessere Bildqualität auch mehr Strahlung, aber mit Seethrough Max bekommen wir das Beste aus beiden Welten.
Wie haben Sie die Zusammenarbeit mit W&H erlebt?
Dr. Centrella: Ich kenne W&H schon lange und die Zusammenarbeit war immer ausgezeichnet. Bei Rückfragen nehme ich telefonisch oder per WhatsApp Kontakt auf. Die Rückmeldung kommt immer schnell, das Miteinander funktioniert reibungslos und macht Spaß.
Welche drei Begriffe würden Sie – basierend auf Ihrer Erfahrung – wählen, um Seethrough Max Ihren Kolleg:innen zu beschreiben?
Dr. Centrella: Höchste Qualität, benutzerfreundlich und kosteneffizient. Das Preis-Leistungs-Verhältnis ist ausgezeichnet.
Danke für das Interview.
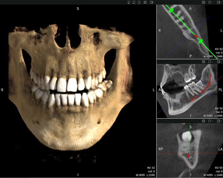
Nachstehend finden Sie einen Fall von Dr. med. dent. Oliver A. Centrella, in dem die CBCT-Aufnahmen mit Seethrough Max entscheidende Informationen zur komplexen Anatomie sowie zur kritischen Beziehung zwischen den Weisheitszähnen und dem Nervus alveolaris inferior lieferten. Bei diesem Fall besteht eine Indikation zur chirurgischen Entfernung der Weisheitszähne.
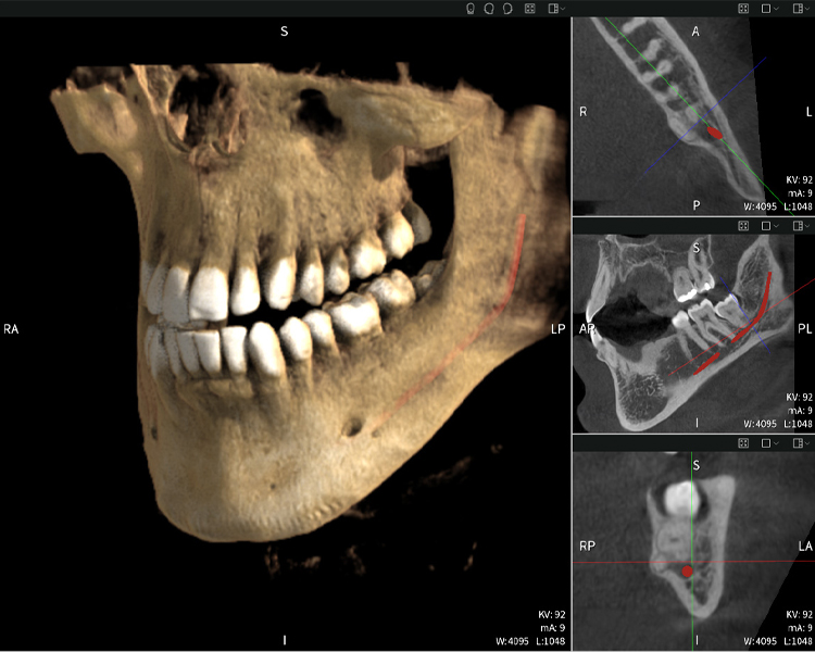
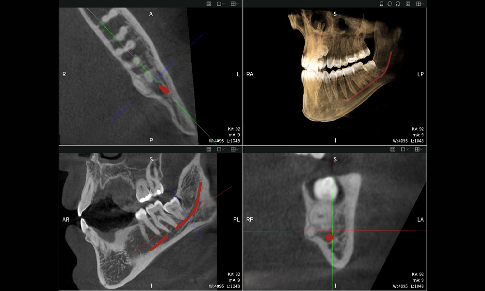
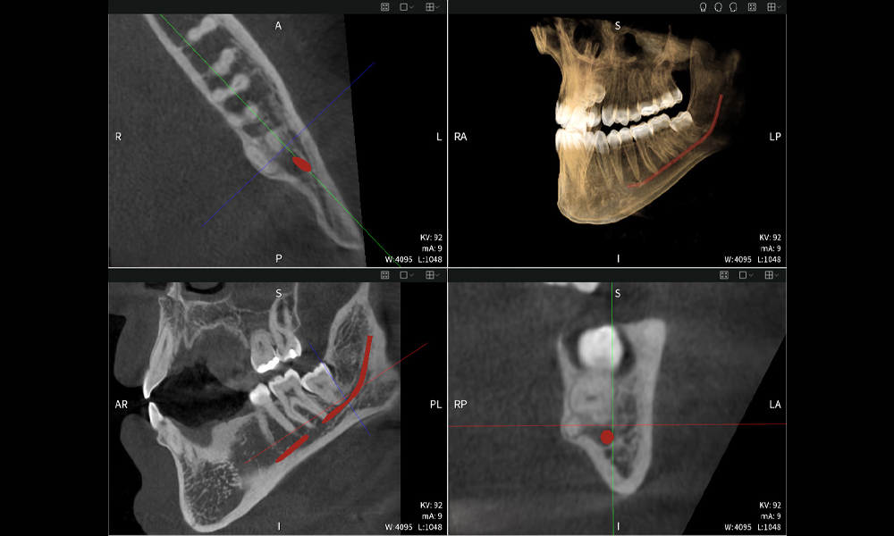
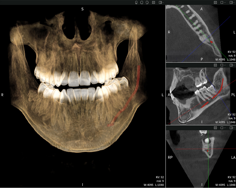
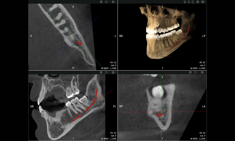
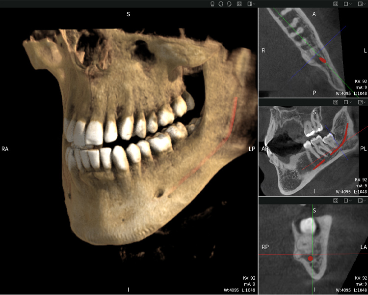
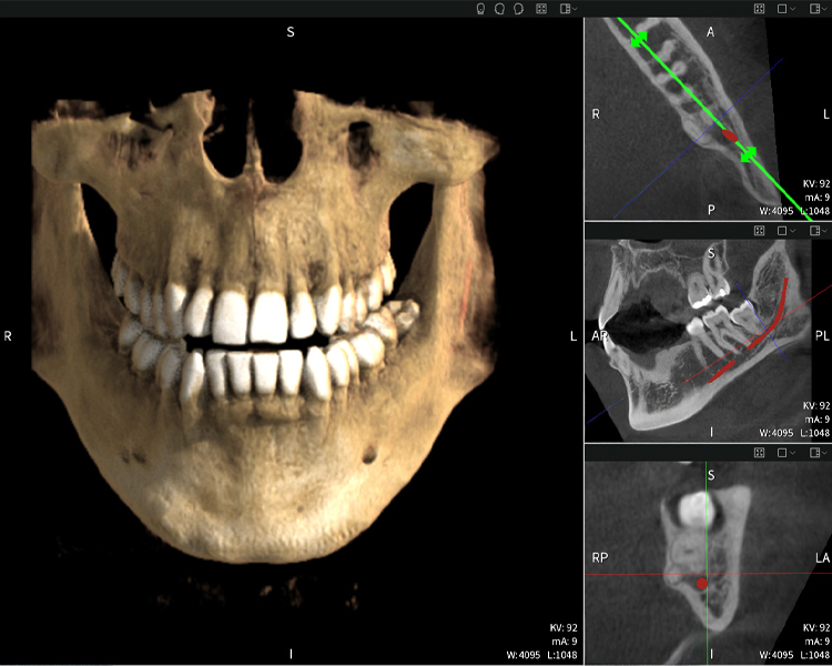
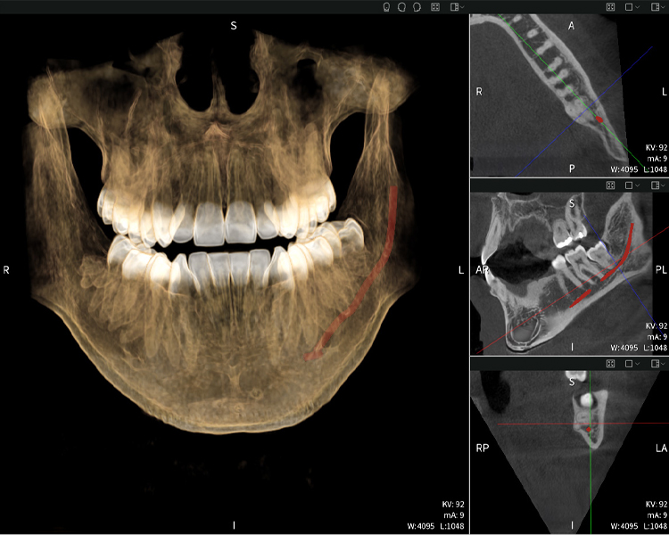
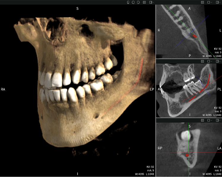
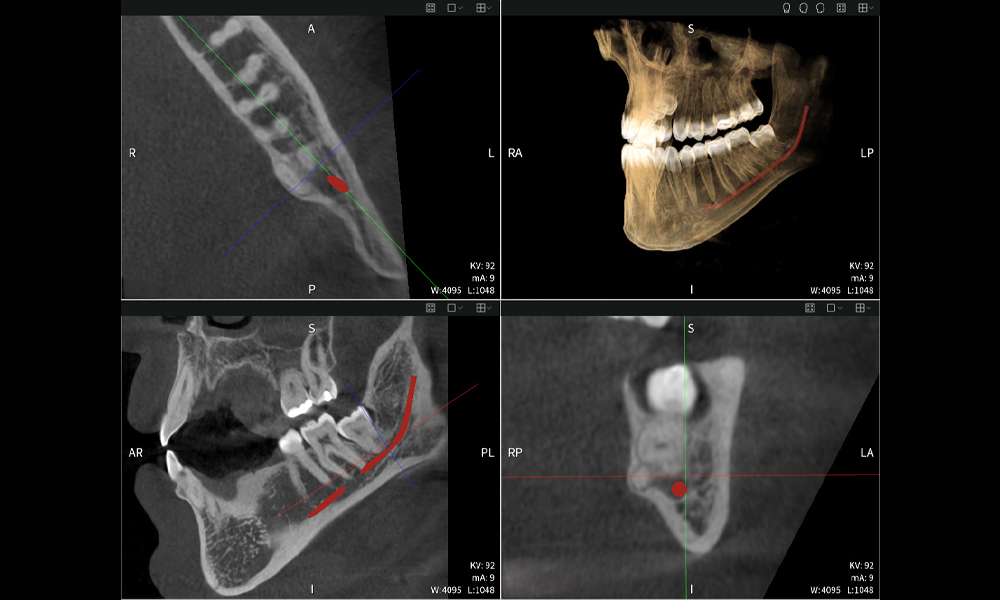
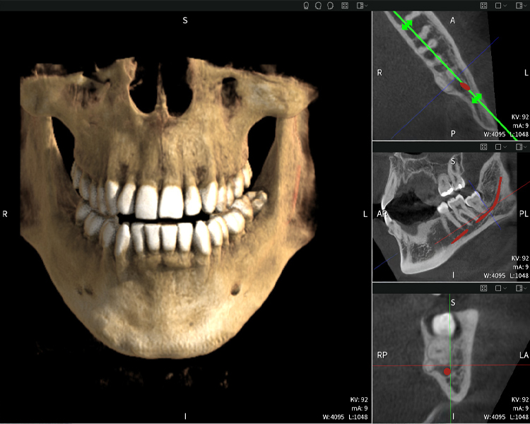
Abbildung a
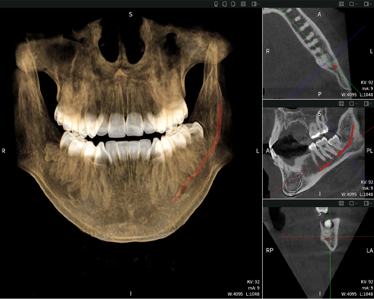
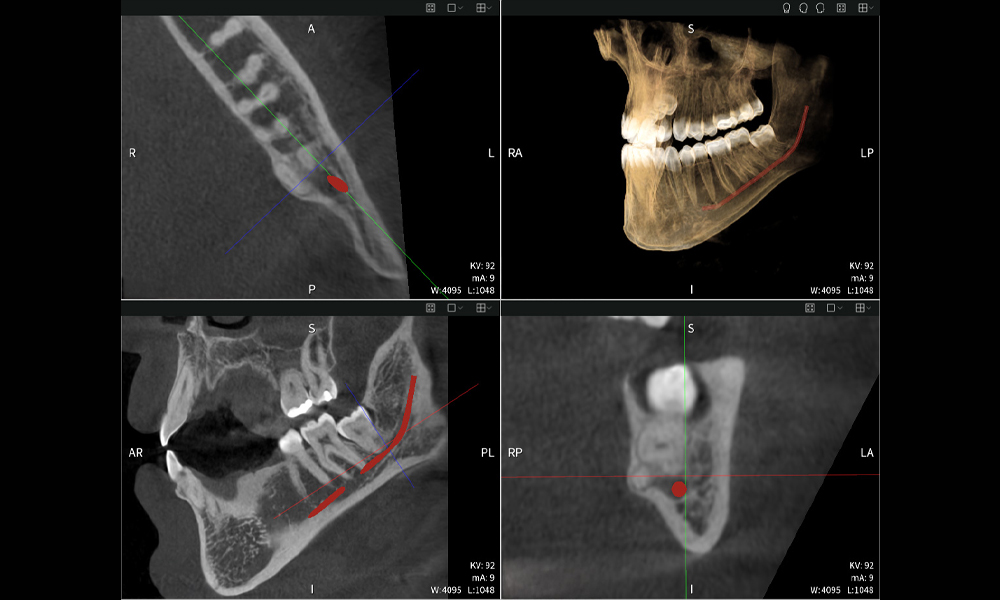
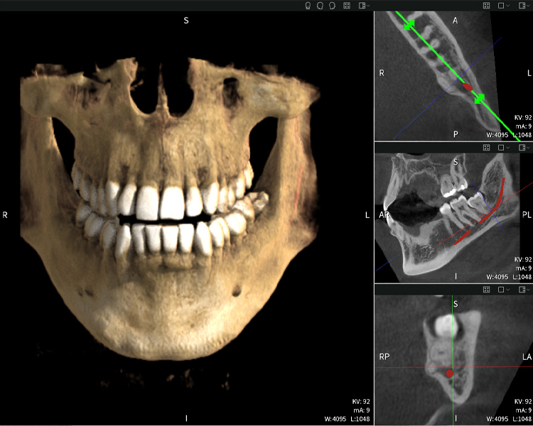
- Oben links: Axiale Schnittansicht des linken Unterkiefers (Region 38) mit Darstellung des Nervus alveolaris inferior (rot) in unmittelbarer Nähe zu den Wurzeln des Zahns 38.
- Oben rechts: 3D-Rekonstruktion des gesamten Unterkiefers zur Orientierung. Der rot markierte Nervus alveolaris inferior verdeutlicht seine Lage im Kieferknochen.
- Unten links: Sagittale Ansicht des Unterkiefers (Region 38), die die enge räumliche Beziehung zwischen den Wurzeln und dem Nervenkanal verdeutlicht.
- Unten rechts: Koronale Ansicht des Unterkiefers (Region 38) entscheidend für die Beurteilung der räumlichen Lage der Wurzeln zum Nerven.
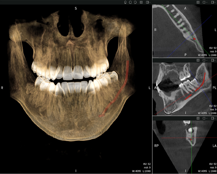
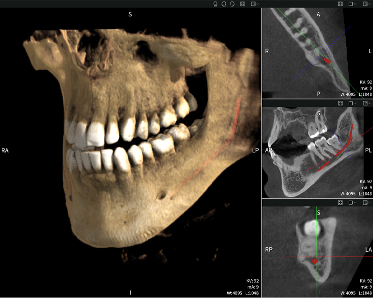
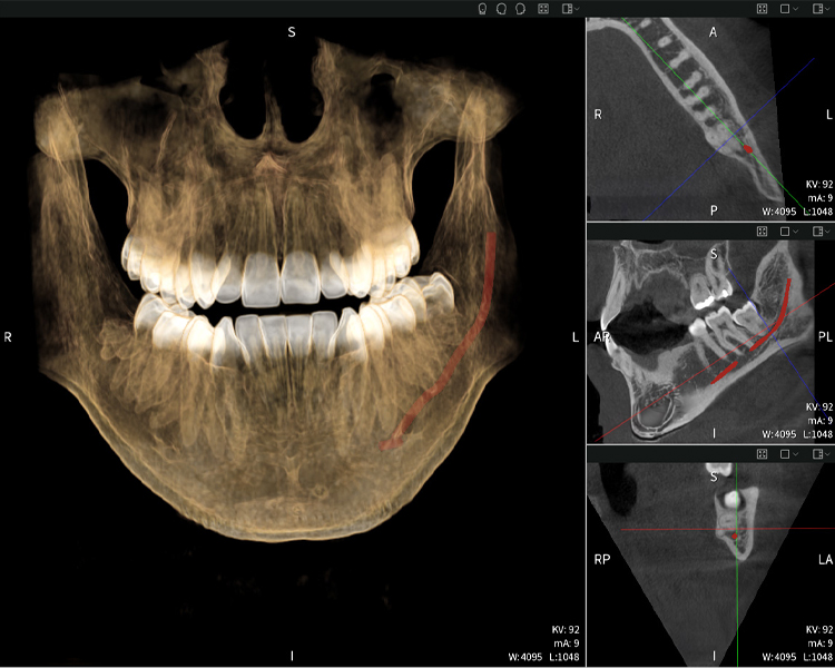
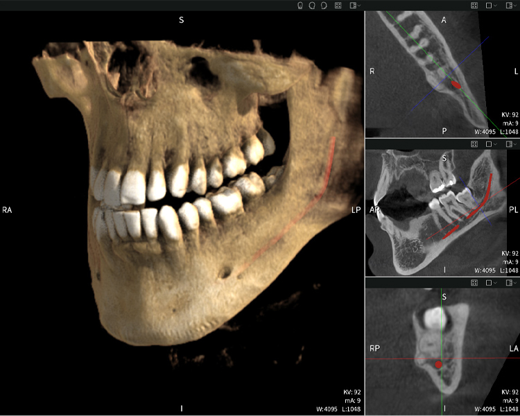
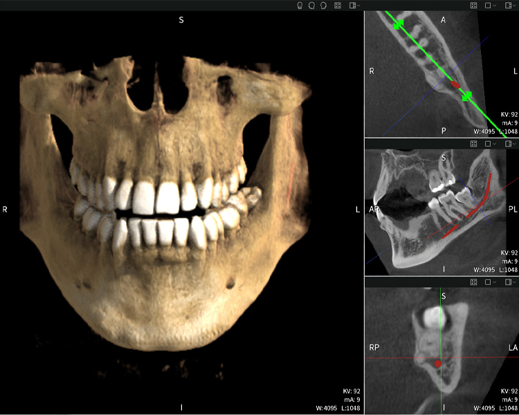
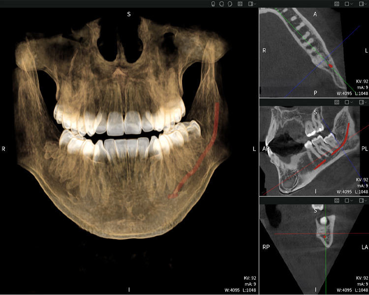
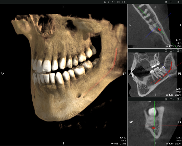
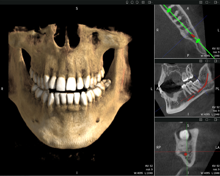
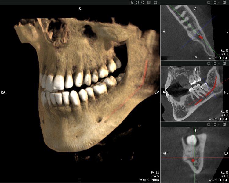
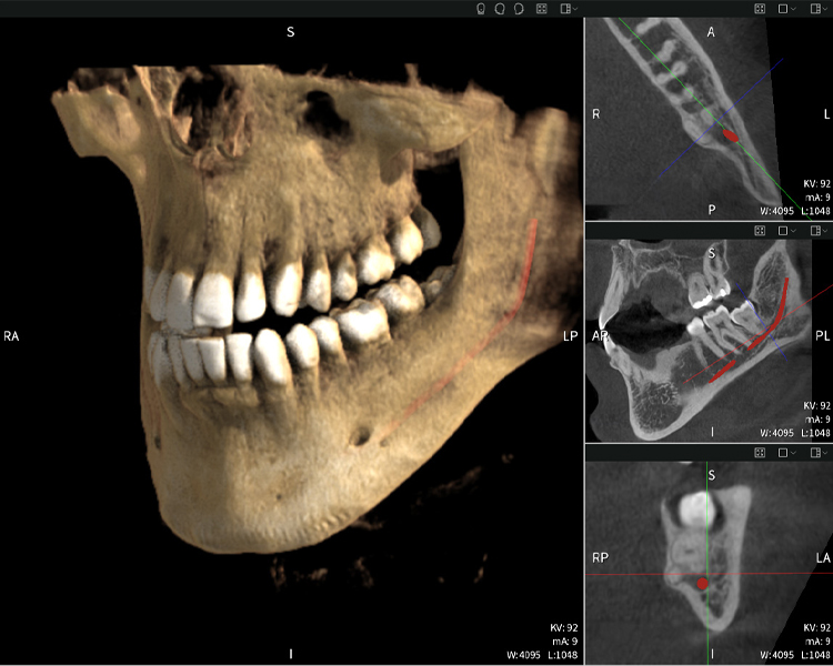
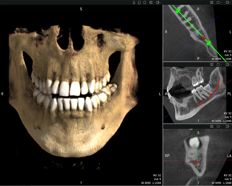
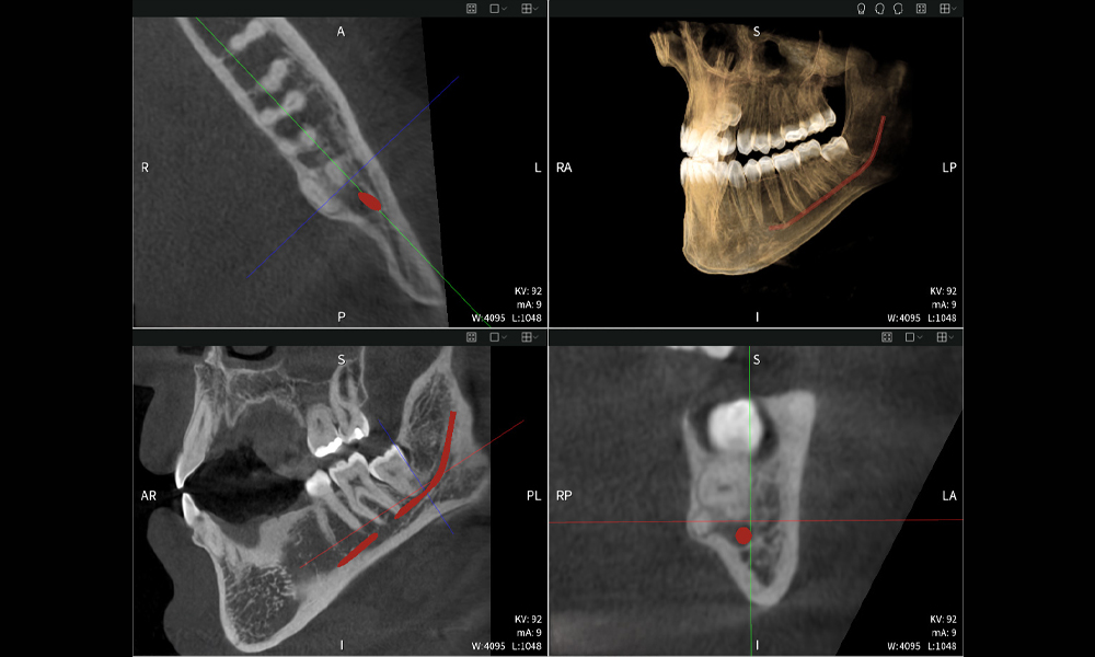
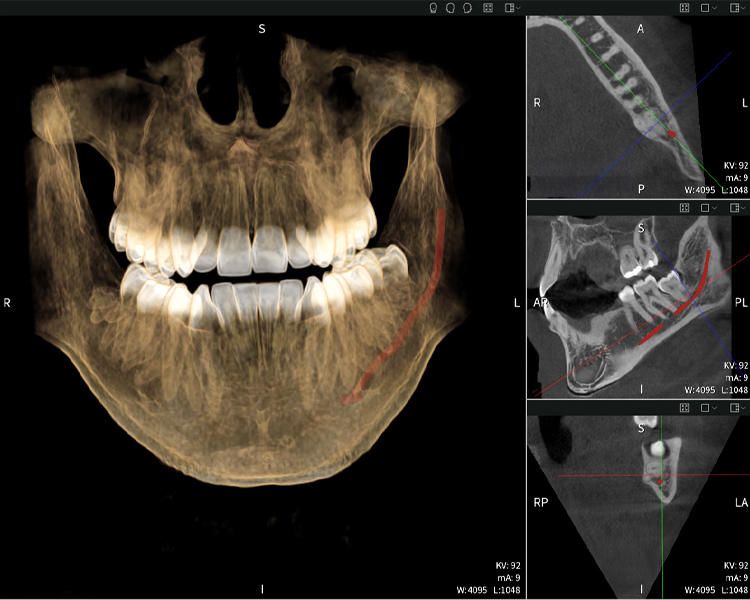
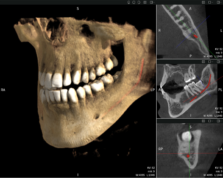
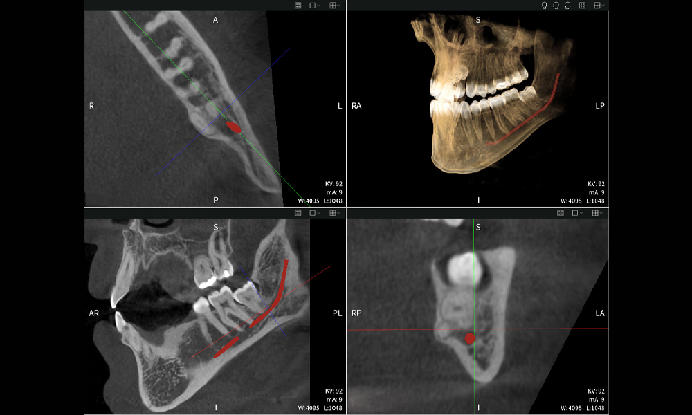
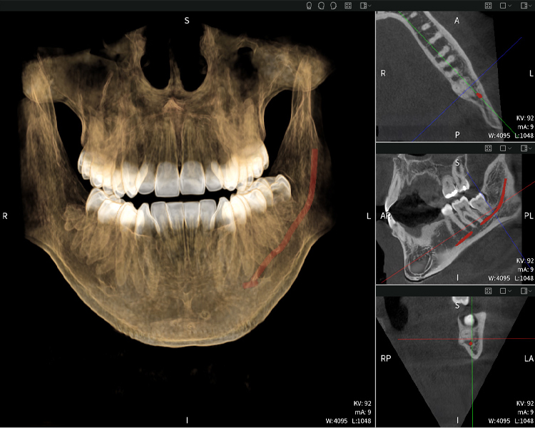
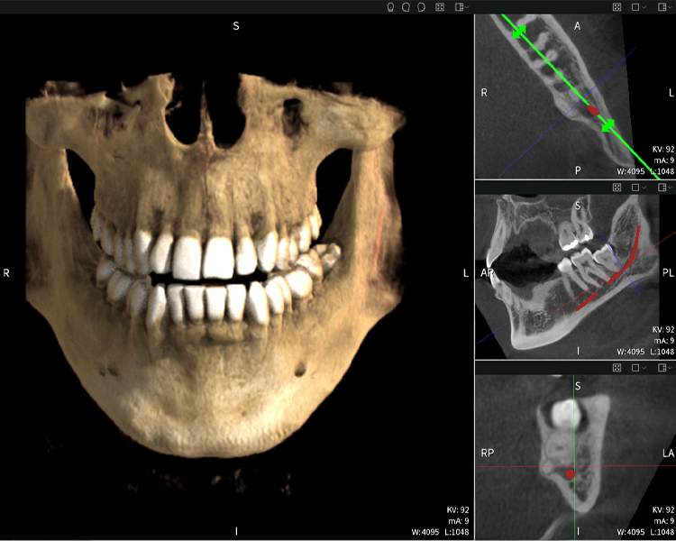
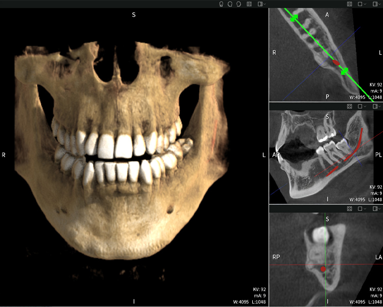
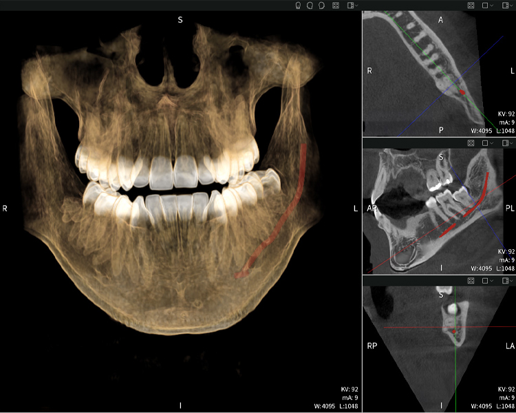
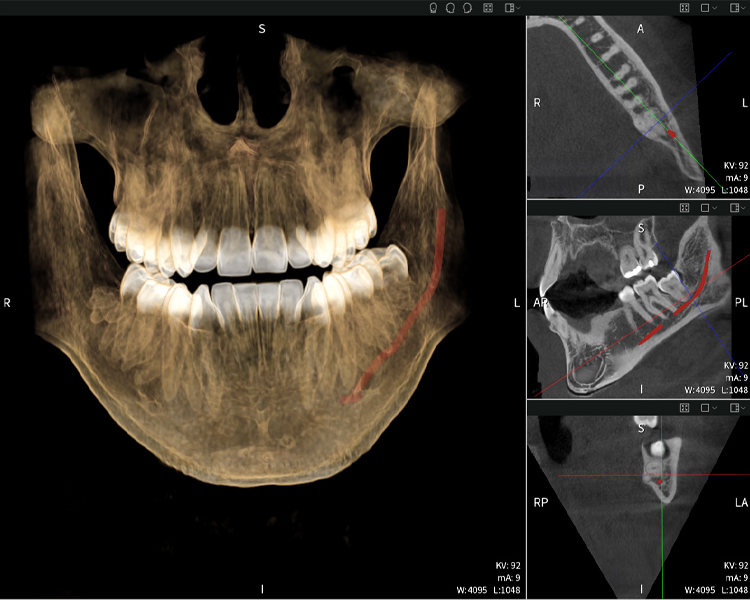
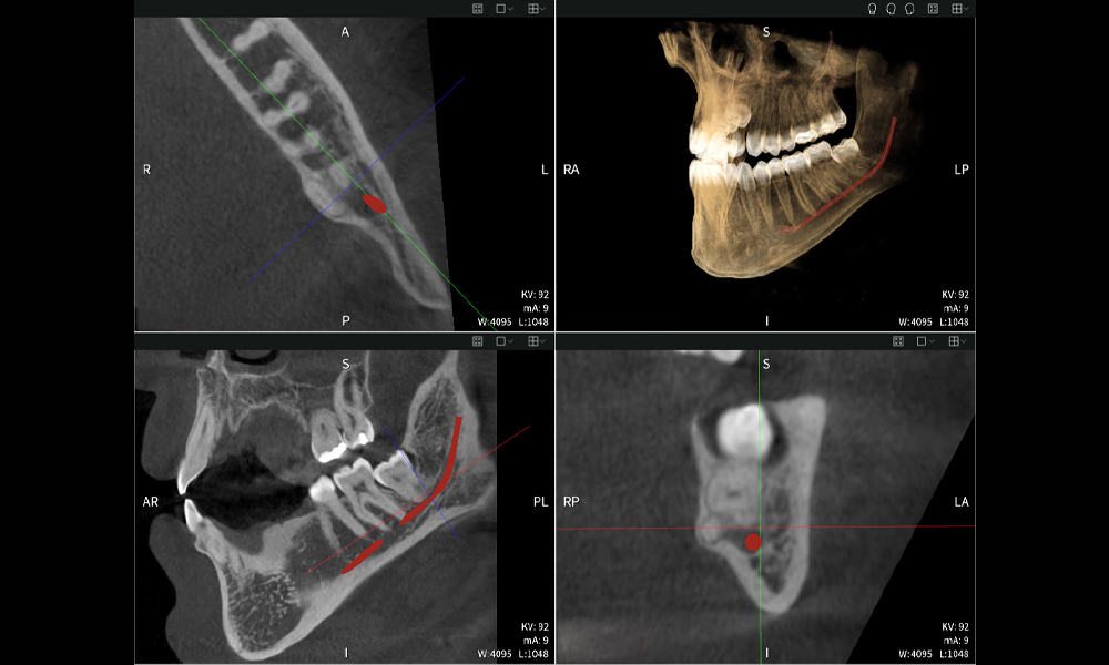
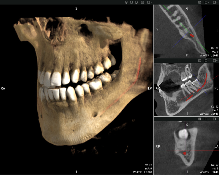
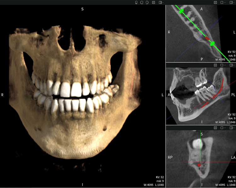
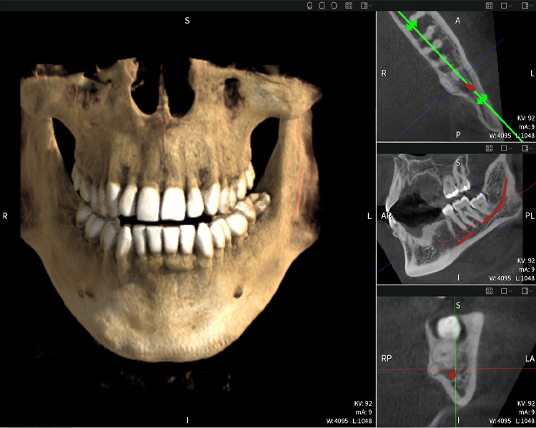
Abbildungen b–d zeigen verschiedene Ansichten einer 3D-Rekonstruktion des Unterkiefers und bieten eine umfassende Übersicht über die Anatomie des Unterkiefers, die Lage der Nerven im Verhältnis zu den Zähnen und ermöglichen die Beurteilung der Zahnsymmetrie und Ausrichtung.
Abbildung d zeigt den bereits vorbehandelte Zahn 48, dessen Krone entfernt wurde und dessen Wurzeln nahe am Nerv belassen wurden, was das hohe Risiko einer Nervenschädigung verdeutlicht.
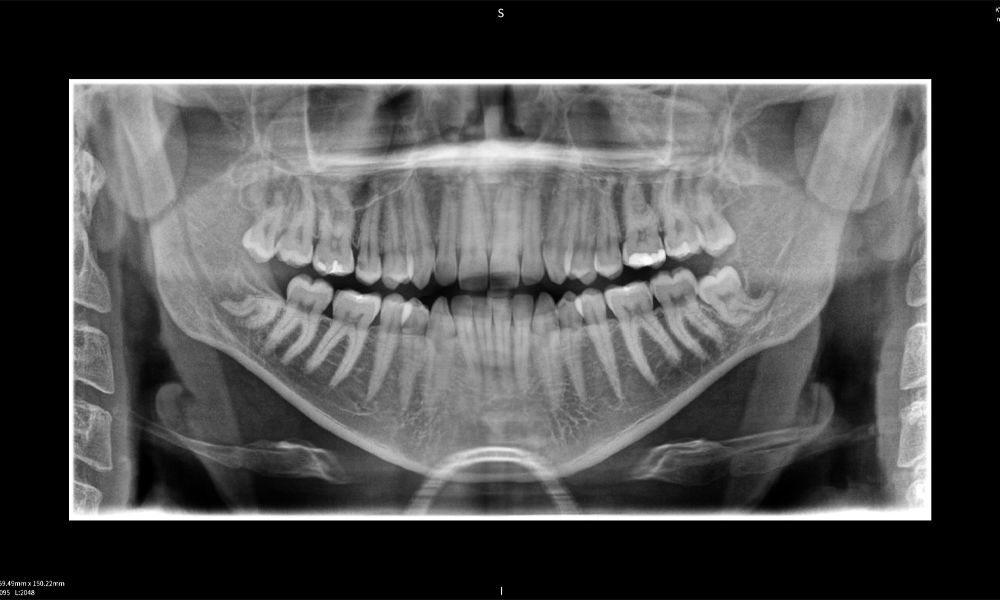
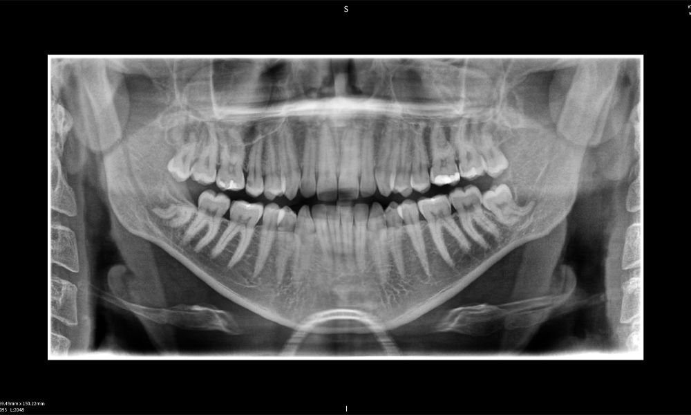
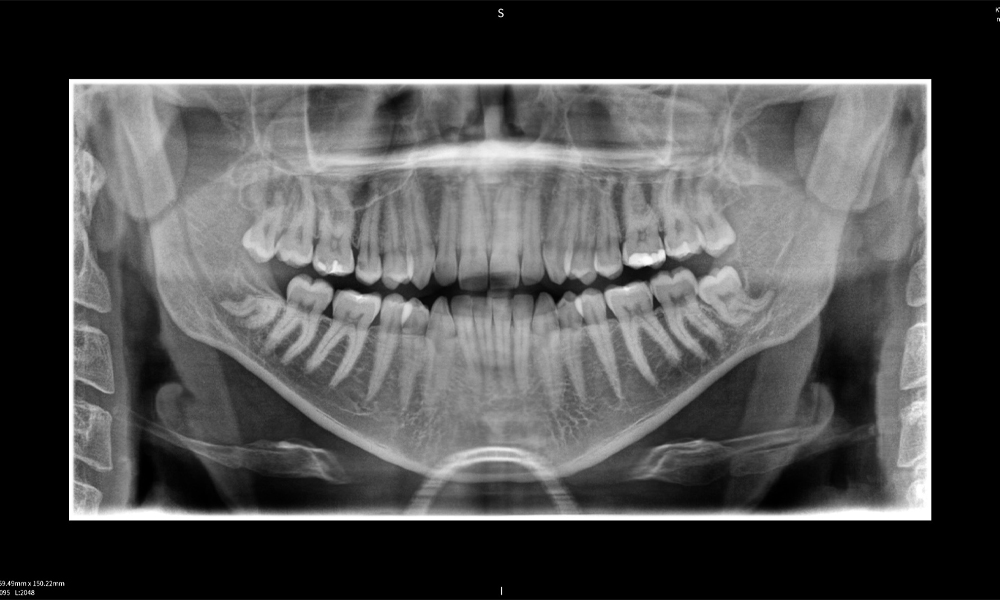
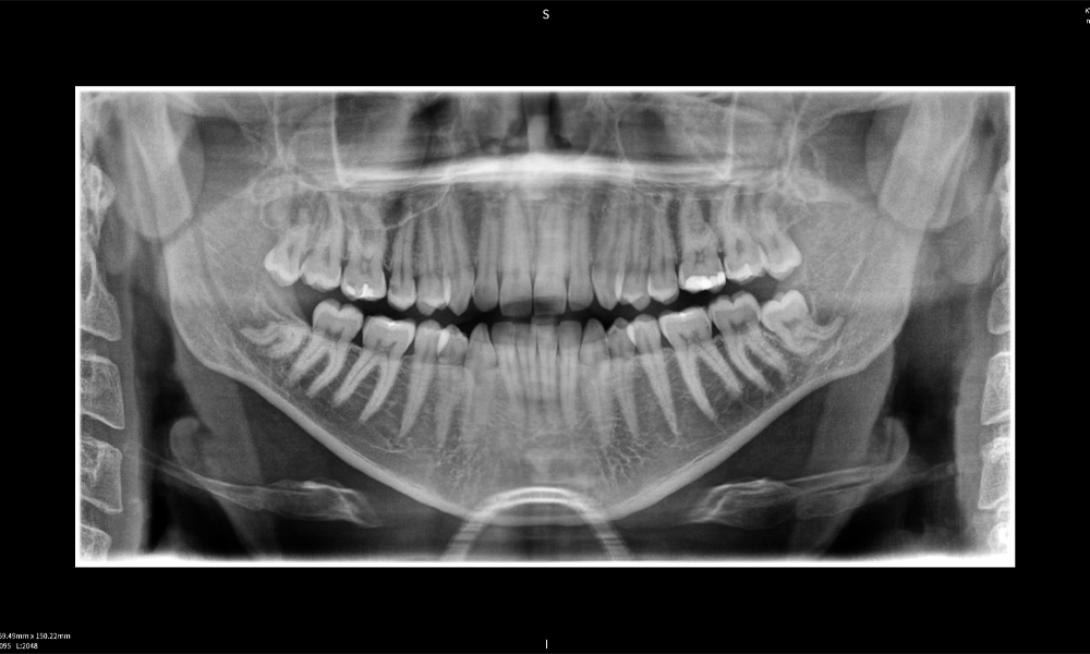
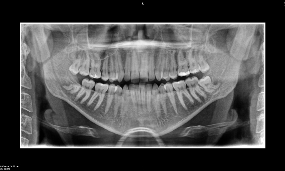
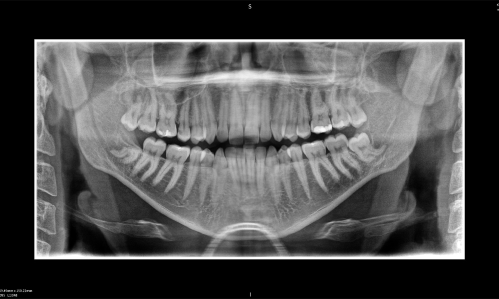
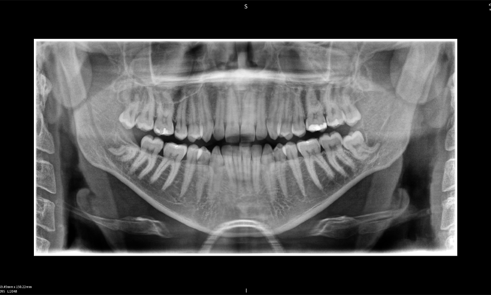
Abbildung e: Panoramaröntgenaufnahme dient der initialen Beurteilung und zeigt die allgemeine Zahnstellung sowie mögliche pathologische Veränderungen auf. Insbesondere ist auf der rechten Seite (Zahn 48) die Situation nach einer Kronenamputation durch einen externen Behandler ersichtlich. Die beiden stark gekrümmten Wurzeln verbleiben in enger topographischer Beziehung zum Nervus alveolaris inferior im Knochen. Dies deutet auf eine bewusste Entscheidung zur Vermeidung eines erhöhten Risikos einer Nervenläsion während einer vollständigen Extraktion hin und stellt einen klinisch relevanten Befund dar. Zusammenfassend liefern die CBCT-Aufnahmen mit Seethrough Max entscheidende Informationen über die komplexe Anatomie und die kritische Beziehung zwischen den Weisheitszähnen und dem Nervus alveolaris inferior. Diese detaillierte präoperative Diagnostik ist unerlässlich für die sichere und erfolgreiche Durchführung chirurgischer Eingriffe im Unterkieferbereich.
Lesen Sie auch

Dr. med. dent. Mauro Amato
Basel, Schweiz
Kommentare