Seethrough Max – Ein entscheidender Fortschritt in der Diagnose und Behandlungsplanung
"Alle notwendigen Informationen auf einen Blick" – das war einer der Gründe, warum Dr. med. dent. Mauro Amato, Endodontie-Spezialist aus Basel, auf der Suche nach einem neuen CBCT-Gerät für seine Praxis war. Mit Seethrough Max von W&H ist er mit einem innovativen und wegweisenden System fündig geworden. Die hochauflösende 3D-Bildgebung des Geräts hat seine diagnostische Präzision und Behandlungsplanung, insbesondere bei komplexen Fällen, deutlich verbessert. Im Interview berichtet Dr. Amato wie diese fortschrittliche Technologie seine tägliche Arbeit in der Zahnarztpraxis effizienter gestaltet.
- Basel, Schweiz

Dr. Amato, warum haben Sie sich als Experte für Endodontie für das CBCT-System Seethrough Max von W&H entschieden?
Dr. Amato: Besonders bei komplexeren endodontischen Fällen liefert die 2D-Bildgebung nicht die erforderliche Informationstiefe. Das 3D-Imaging ermöglicht eine wesentlich umfassendere Betrachtung, weshalb ich gezielt nach einem CBCT-System mit hochpräziser Bildgebungsmöglichkeit gesucht habe. Ich hatte die Gelegenheit mit W&H zusammenzuarbeiten und gemeinsam streben wir danach, das gesamte Potenzial von Seethrough Max zu nutzen.


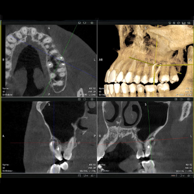
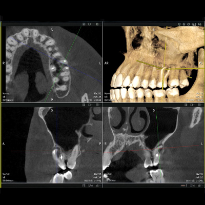
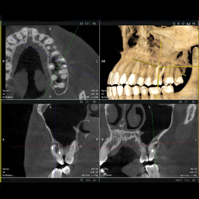
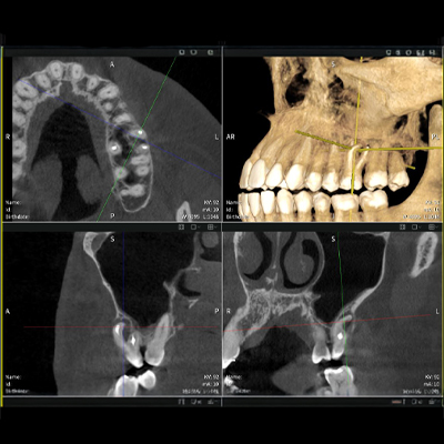
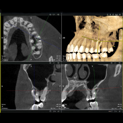
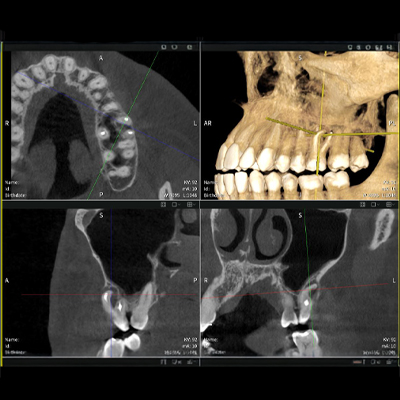
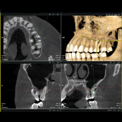
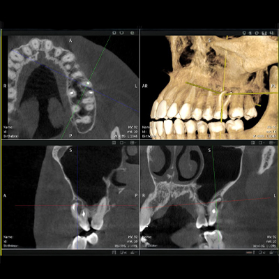
Verbessert die 3D-Bildgebung mit Seethrough Max Ihrer Meinung nach die diagnostische Genauigkeit?
Dr. Amato: Ja, absolut. Vor allem bei anspruchsvollen Fällen ist es entscheidend, das Problem dreidimensional visualisieren zu können. Die Röntgenbilder sind außerordentlich scharf und detailreich und ermöglichen präzise Diagnosen sowie eine sorgfältige Behandlungsplanung. Auch die Kommunikation mit den Patient:innen wird dadurch verbessert, da ich das Problem klar darstellen und die vorgeschlagene Behandlung erklären kann.
Das W&H CBCT-System wurde entwickelt, um höchsten Komfort für Patient:innen und Behandler:innen zu gewährleisten. Wie waren Ihre bisherigen Erfahrungen mit der Patientenpositionierung?
Dr. Amato: Die Positionierung funktioniert ausgezeichnet. Ich schätze es, dass ich Patient:innen direkt gegenüberstehen und Blickkontakt halten kann. Das hilft mir, die optimale Patientenposition für einen präzisen Scan zu ermitteln. Bei größeren Patient:innen senke ich das Gerät einfach ab und die Behandlung kann in sitzender Position erfolgen. Ob im Stehen oder im Sitzen, ich hatte noch nie Schwierigkeiten, Patient:innen mit diesem System zu positionieren.
Zusätzlich zur Hardware stellt Seethrough Max auch eine fortschrittliche Softwaretechnologie bereit. Wie bewerten Sie die Benutzerfreundlichkeit der Seethrough Studio-Software?
Dr. Amato: Die Software überzeugt durch ihre intuitive Bedienung. Die Benutzeroberfläche ist anwenderfreundlich gestaltet, sodass ich schnell auf die benötigten Werkzeuge und Ansichten zugreifen kann. Meine diagnostischen Fragestellungen sind klar definiert: Ist ein Wurzelkanal vorhanden? Liegt eine Fraktur in der Mitte der Wurzel vor? Zeigt sich eine Entzündung am Apex? Die Software ermöglicht es mir, die Bilder aus verschiedenen Perspektiven zu betrachten und rasch und effizient die Antworten zu finden, die ich benötige.
Seethrough Studio bietet Funktionen wie die freie FOV-Auswahl in der Scout-Vorschau. Wie oft nutzen Sie diese Funktion?
Dr. Amato: Ich verwende diese Funktion bei jedem endodontischen Scan. Sie ist besonders wertvoll bei einem kleinen Sichtfeld. Meiner Meinung nach ist ein Scout-Bild in diesen Fällen unerlässlich, um optimale Ergebnisse in der Bildgebung zu erzielen.
Bei der Aufnahme endodontischer Bilder nutze ich stets die freie FOV-Auswahl in der Scout-Vorschau. Gerade bei sehr kleinen Aufnahmebereichen ist diese Funktion hilfreich. Aus meiner Sicht ist ein Scout-Bild in solchen Fällen unverzichtbar, um eine präzise und qualitativ hochwertige Bildgebung zu gewährleisten.


Wie würden Sie Ihre Gesamterfahrung mit W&H beschreiben – von der Beratung über die Installation bis hin zur Schulung?
Dr. Amato: Der Support war wirklich hervorragend. Von der Installation und Einrichtung bis hin zur laufenden Unterstützung bei Updates und Fragen war das W&H-Team stets professionell und reaktionsschnell. Es war eine echte Partnerschaft, und ich schätze es sehr, wie wir uns gemeinsam weiterentwickelt haben.
Wie hat die Integration neuer Technologien, insbesondere die von Seethrough Max, Ihren Praxisalltag verändert?
Dr. Amato: Für herausragende zahnmedizinische Leistungen braucht es sowohl fundiertes Fachwissen als auch Spitzentechnologie. Das rasante Tempo, in dem innovative Lösungen entwickelt werden, ist beeindruckend, und Geräte wie Seethrough Max überschreiten die Grenzen dessen, was in der Zahnmedizin bisher möglich war – nicht nur in der Endodontie, sondern in sämtlichen Fachbereichen der modernen Zahnheilkunde. Präzise Bildgebung spielt eine entscheidende Rolle bei der Erkennung von Problemen und der Erstellung individueller Behandlungspläne.
Doch nicht nur die technische Leistungsfähigkeit überzeugt – auch das elegante Design des Geräts hinterlässt bei Patient:innen einen bleibenden Eindruck. Sie zeigen sich häufig von der Technologie beeindruckt, und wenn ich erkläre, was wir tun und warum, schafft das Vertrauen und stärkt unsere Beziehung.
Seethrough Max verbessert meine diagnostische Präzision – besonders bei anspruchsvollen endodontischen Behandlungen, bei denen eine dreidimensionale Darstellung entscheidend ist. Die Röntgenbilder überzeugen durch außergewöhnliche Schärfe und Detailtiefe, was eine exakte Diagnose und eine präzise Planung der Behandlung ermöglicht. Dadurch wird auch die Kommunikation mit Patient:innen verbessert, da ich die Befunde klar erläutern und die geplanten Maßnahmen verständlich machen kann.
Mit welchen Schlagworten würden Sie Seethrough Max basierend auf Ihren bisherigen Erfahrungen Ihren Kolleg:Innen beschreiben?
Dr. Amato: Ich würde wie folgt zusammenfassen: intuitiv und einfach zu bedienen.
Zum Schluss noch eine persönliche Frage – was lieben Sie an Ihrem Beruf am meisten?
Dr. Amato: Ich arbeite mit Menschen, die oft Schmerzen oder Beschwerden haben. Es ist erfüllend, diese Schmerzen zu lindern und das Wohlbefinden verbessern zu können. Das ist der Grund, warum ich Zahnarzt geworden bin. Schon früh hat mich die Endodontie fasziniert und ich habe viele Notfälle behandelt, bei denen die Patient:innen starke Beschwerden hatten. Mit meinem Know-how und den neuesten technischen Möglichkeiten strebe ich stets die bestmögliche Patientenversorgung an. Es motiviert mich jeden Tag, wenn ich sehe, wie meine Patient:innen zufrieden und schmerzfrei nach Hause gehen können.
Danke für das Interview.
Kommentare