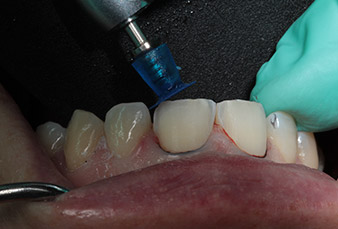
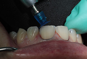
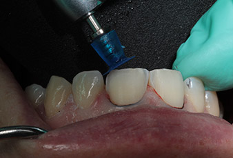
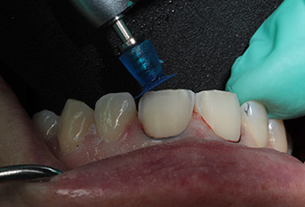
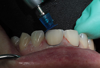
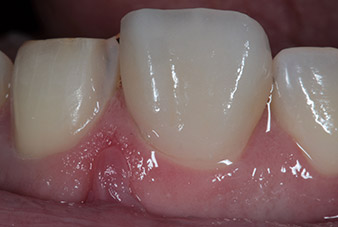
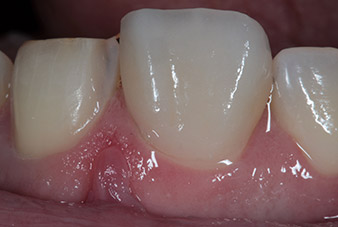
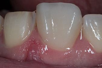
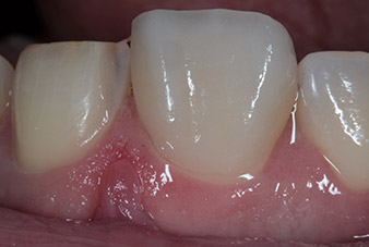
Dental preparation for a CAD/CAM treatment

Use of electric motors with speed increasing contra-angle handpieces for preparation of CAD/CAM treatment:
With each passing year the number of patients around the world treated with dental prostheses produced using CAD/CAM, increases. The use of this highly efficient chairside technique means that dentists now need to be more proficient than ever in the use of 3D data recording tools, as well as processing complex digital data and planning treatment using comprehensive software solutions.
In the following interview, DDS Sergio Ariosto Hernández Delgado discusses the unique challenges presented by preparing for a successful CAD/CAM treatment. He has given talks and seminars at both universities and conferences in Latin America and Europe for many years, in which he describes his experiences in the field of preventative, aesthetic and restorative dentistry.
In your opinion, what are the advantages of using electric motors with speed increasing contra-angle handpieces for preparation, particularly when CAD/CAM treatment is used?
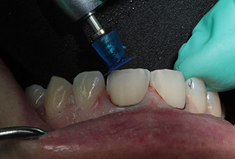
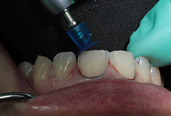
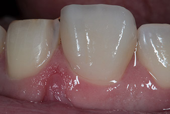
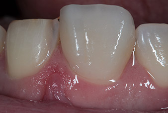
DDS Hernández Delgado: The most important benefits that I can comment on from my own experience are the following: Control of the preparation, precise, neat and uniform margins that are easy to scan. Less vibration compared with turbines, thus less fatigue and force during the preparation procedure. The increase of weight represented by the contra-angle and motor is a minor disadvantage when compared with the increased force that is necessary to compensate for the lack of sufficient power of the turbine, especially when subtractive procedures or crown replacement have to be performed.
How do you rate the efficiency of an electric system with regards to removal rate, compared to that of turbines?
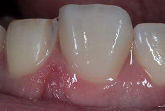
DDS Hernández Delgado: Regarding the efficiency I can tell that the removal rate observed in regular procedures like replacement of different type of restorations is outstanding, from the daily work with metallic and PFM restorations and also especially effective in the removal of high strength ceramics like zirconium dioxide, alumina, lithium disilicate and other ceramic materials. When a lower speed with a higher torque is in use, you have a better control of the preparation design, neatness and visibility of margins, plus cavity line angles. Therefore you can control the invasiveness of the preparation from a very important stage, thus reducing the amount of healthy tooth structure that is removed.
Studies like the ones quoted below may bring some scientific scope to the clinical observers as myself:
J Prosthet Dent. 2009 May;101(5):319-31
In vitro comparison of the cutting efficiency and temperature production of ten different rotary cutting
instruments. Part II: electric handpiece and comparison with turbine.
Ercoli C1, Rotella M, Funkenbusch PD, Russell S, Feng C.Compared to the baseline temperature, all rotary cutting instruments showed a reduction of the temperature in the simulated pulp chamber when tested with the electric handpiece. The Great White Ultra (carbide bur) showed the highest rate of advancement (0.17 mm/s) and lowest applied load (108.35 g). Considering all rotary cutting instruments as a single group, the electric handpiece showed mean lower temperature (26.68 degrees C), higher rate of advancement (0.12 mm/s), and higher load (124.53 g) than the air-turbine handpiece (28.37 degrees C, 0.11 mm/s, and 121.7 g, respectively). Considering each single group of rotary cutting instruments, significant differences were found for the electric or air-turbine handpiece.
CONCLUSIONS:
The tested carbide bur showed greater cutting efficiency than the tested diamond rotary cutting instruments when used with the electric handpiece. The electric handpiece showed a higher cutting efficiency than the turbine, especially when used with the carbide bur, probably due to its greater torque.
How do you rate the option of using the electric system (motor and contra-angle handpiece) to control the speed exactly (e.g. when finishing) – again in comparison to turbines?
DDS Hernández Delgado: For the following process this is my personal outlook:
- Restoration removal: fast, effective, precise and less force is required.
- Cavity preparation: less vibration, well defined preparation line angles, controlled depth, nice, neat and clear margins.
- Deep caries removal: less vibration, heat reduction due to the low speed and constant power delivery either with carbide and glass polymer burs.
- Finishing and polishing: the main advantages of using speed increasing contra-angle handpieces are the preciseness, comfort and clear field view for the finishing of conservative preparations, direct restorations and cement excess removal of ceramic or either indirect composite restorations bonded with resin cement, especially when subgingival and equigingival preparations have to be finished, ideally with passive tip carbide finishing burs. For polishing it is easier to achieve a very smooth, glossy appearance, especially when controlled rotation of low speed contra-angles is able to deliver less than 10,000 rpm with or without irrigation. For this purpose, silicon diamond embedded tips with different shapes, as well as silicon carbide brushes or other type of controlled abrasion discs or low speed rotary tools are recommended.
How do you rate the precision with which the bur can be guided when using the contra-angle handpiece in comparison to turbines?
DDS Hernández Delgado: It is difficult to appreciate clinically the position of the rotary axis of the burs when used in turbines or speed increasing contra-angles. Two easy to observe criteria can be used to answer this question: the observation during a rotation exercise outside the mouth with a thin diamond pencil tip bur can show that the rotation position of the tip itself is more centric in speed increasing contra-angles than in turbines.
The second criteria is related to the result, the neatness and continuity of the finish line specially with CAD/CAM optical impression devices, establishes a useful comparative parameter, again in my own experience, electric motor powering a speed increasing contra-angle is superior in this criteria too.
Can you see any disadvantages of using the system? To what extent do these outweigh the clinical benefits?
DDS Hernández Delgado: Disadvantages can be the following: Lack of training with this technology in most of the academic institutions teaching dentistry e.g. like in Mexico. Extra weight to be managed during the preparation (something you have to get used to with practice). Built in control units which are difficult to install into the dental chair. Table top units are much easier to be installed but require additional space for mains and control unit.
For most of the users, getting any additional equipment for proper maintenance of the contra-angles such as automated lubrication and cleaning devices is out of the initial possibilities of investment, especially for those recently entering to the use of an electric system.
Further comments/other insights:
DDS Hernández Delgado: E.g. Mexico has a growing number of practitioners who are looking for opportunities to be trained in the use of an electric system. I can say so after having performed over 300 continued education courses and training with prosthetic-focused orientation.
The outstanding performance and user friendly capacity of the electric motor make it easier to achieve awareness of the benefits of using this technology. The demonstration that I have performed in several courses and trade shows includes the preparation of marble blocks and also something similar to the penny test, (showing the removal of restorations and making preparations in natural teeth), but a good bur supports the effectiveness of the preparation and removal of materials.
Recent studies have assessed and demonstrated that there is an intrinsic co-relation of the linear area of the preparation, the marginal adaptation and failure rate among CAD/CAM restorations. The larger the linear area of the finishing line, the larger the marginal and the probability of having gaps and thus peri-restorative caries, showing a 6% of incidence in five years follow up. Quote pending of publication.
Dental preparation for a CAD/CAM treatment







comentários