Individual Prophy Cycle

Personalizado e específico

Reinventado para maior eficiência
No passado, muitos dos vários conceitos de tratamento bem conhecidos eram focados no tratamento de uma única doença bucal, a fim de restaurar ou manter a saúde bucal. Uma mudança de paradigma é necessária fora dessa abordagem unidimensional da saúde bucal, pois esses conceitos até agora não conseguiram reconhecer que muitos aspectos da saúde geral têm uma grande influência na saúde bucal e podem até causar ou agravar doenças bucais (1).
É aqui que entra o perfil personalizado e específico do paciente. O perfil personalizado e específico do paciente é centrado em torno de uma análise detalhada do histórico médico do paciente, combinada com uma avaliação de diagnóstico preciso da sua saúde geral e bucal.

  • Individual Prophy Cycle (Ciclo de Profilaxia Individual)

    Efeito do perfil do paciente no tratamento

    O perfil personalizado e específico conforme o caso do paciente afeta as etapas individuais obtidas durante a profilaxia ou sessão de tratamento(5).

    Como provedora de soluções, a W&H trabalha em conjunto com profissionais da área odontológica, oferecendo um portfólio diversificado de produtos para atender aos requisitos e recomendações de tratamento baseados no perfil e caso específico de cada paciente.

    Vantagens do IPC

    • Indicado para todos os pacientes e consultórios odontológicos
    • Tratamento personalizado, orientado ao paciente
    • Baseia-se nas necessidades de acordo com a saúde bucal, e considerando fatores gerais de saúde, relevantes para o tratamento odontológico
    • Sem tratamentos padronizados


    O ‘Ciclo de Profilaxia Individual’, que a W&H desenvolveu em colaboração com dentistas, fornece uma recomendação personalizada para o tratamento.

    Schmalz e Ziebolz 2019
    Prevenção individualizada ZWR


    Perfil específico do caso do paciente =
    recomendação de tratamento personalizado

    O objetivo do perfil do paciente é produzir uma recomendação de tratamento personalizado para melhorar a segurança dos procedimentos e aumentar a eficiência do tratamento (2). O histórico médico do paciente e uma avaliação diagnóstica de sua saúde bucal, por exemplo, com relação a cáries, saúde periodontal e outros aspectos, formam a base para o tratamento de saúde bucal e procedimentos de profilaxia (1, 3). A diferença com essa abordagem é que aspectos da saúde geral que influenciam a saúde bucal também são considerados para desenvolver um perfil personalizado e específico do caso do paciente. Cada fator é avaliado em termos de seu grau de influência na saúde bucal (4), que ajuda a informar a recomendação de tratamento personalizada subsequente. Este processo é facilitado por um formulário de histórico médico validado, que foi desenvolvido especificamente para este propósito.

    O IPC contribui para:
    › Estabilização da saúde bucal por meio de tratamento que considera a saúde geral e a saúde bucal.

    › Tratamentos bem-sucedidos devido à transparência para os pacientes.

    › Uso de instrumentos específicos para cada indicação com base em uma avaliação de fatores relevantes à saúde geral e bucal.


    Proxeo – Profilaxia para profissionais
    Para uma profilaxia orientada ao paciente

    Ultrassom Piezoelétrico

    Ultrassom Piezoelétrico

    Exclusivo sistema de conexão rápida para troca de pontas e comando de pedal sem fio para máxima flexibilidade (modelo PB-530).


    Pontas para Ultrassom Piezoelétrico

    Proxeo Ultra
    *não disponível no Brasil

    Ultrassom a ar

    Ultrassom a ar

    “Um ultrassom prático e poderoso com extenso alcance para aplicações periodontais.”
    Dr Christian Graetz

    Ultrassom a ar
    *não disponível no Brasil

    Polimento a ar

    Polimento a ar

    Com um prático anel de ajuste e troca fácil entre tratamentos de profilaxia e periodontais.

    Proxeo Aura
    *não disponível no Brasil

    Polimento

    Polimento

    Os sistemas de polimento W&H: Proxeo Twist Cordless (sem fio) e Proxeo Twist LatchShort (eixo mais curto) definem novos padrões na área de polimento rotativo.

    Proxeo Twist Cordless

    Proxeo Twist LatchShort
    Taças de borracha e escovas de Robinson

    Estudos de caso baseados no IPC

    Os seguintes casos* servem para ilustrar a interação entre a necessidade e os fatores de risco definidos para o IPC, bem como os efeitos de fatores individuais.

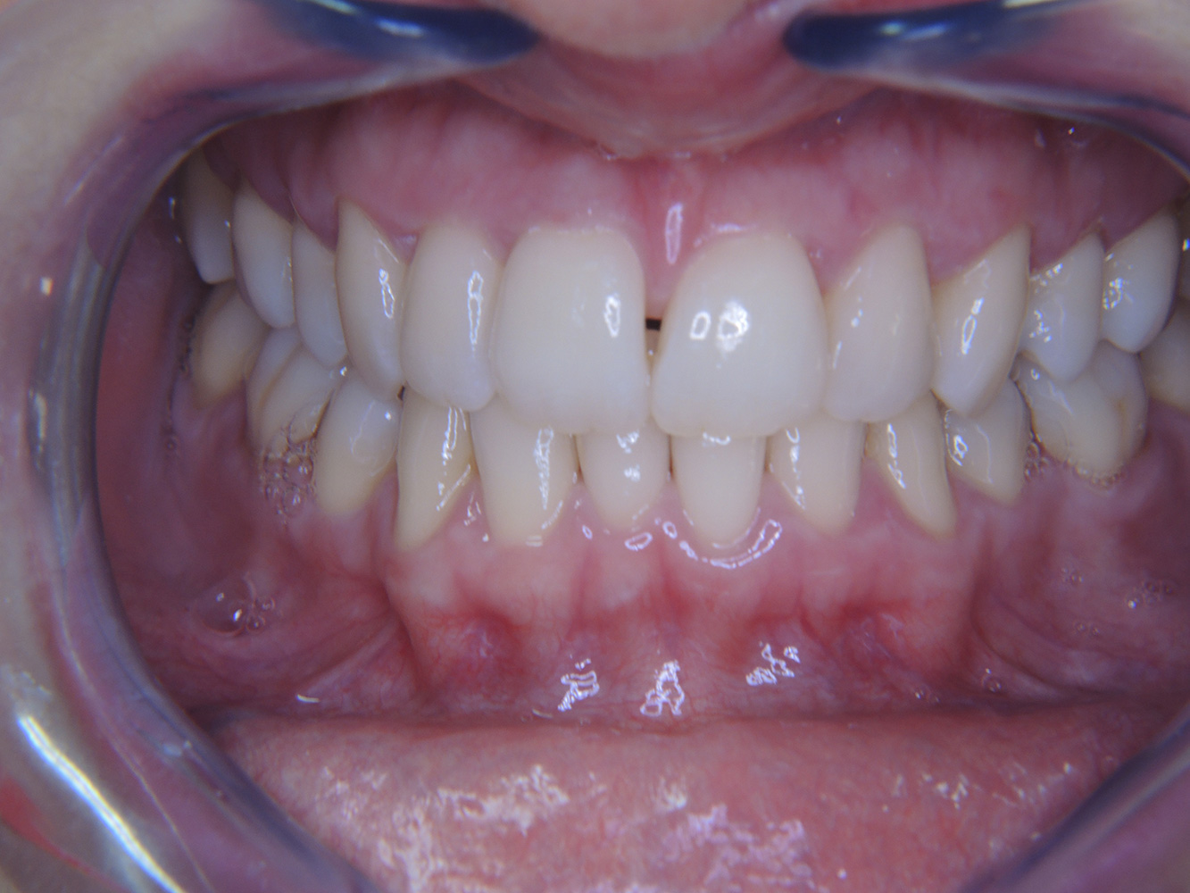
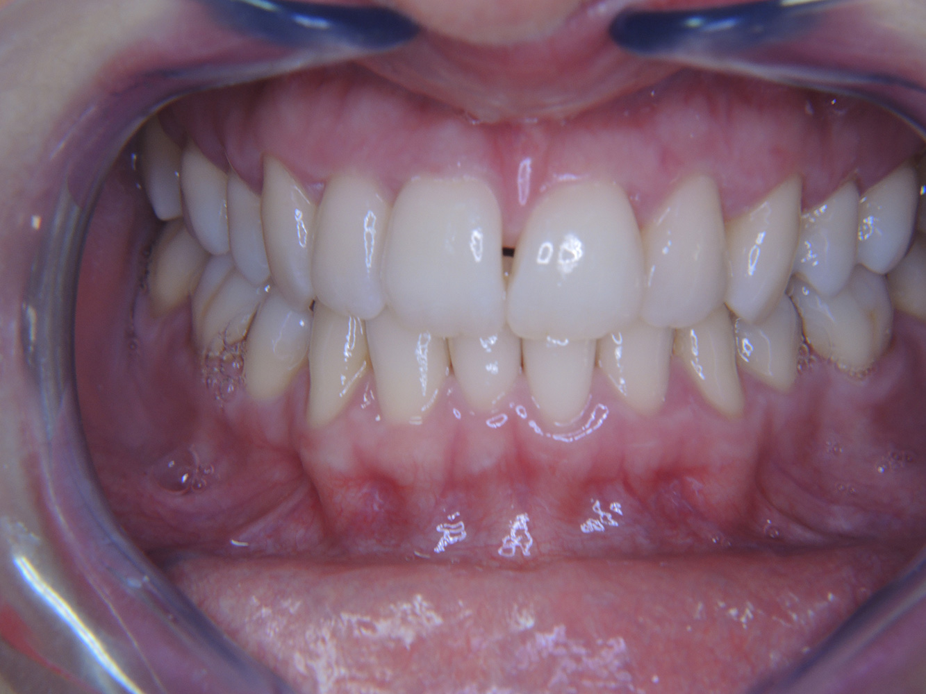
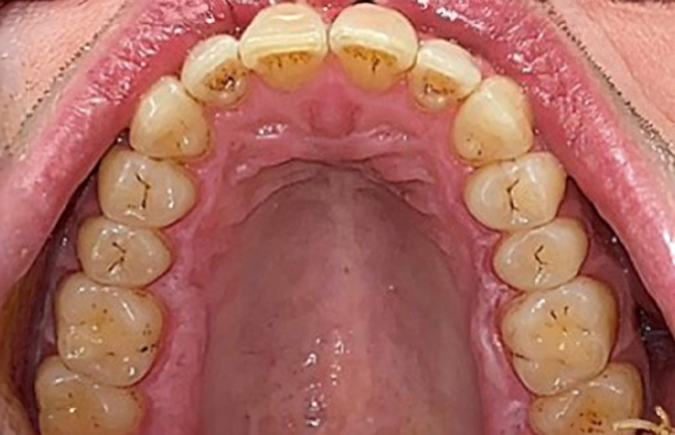
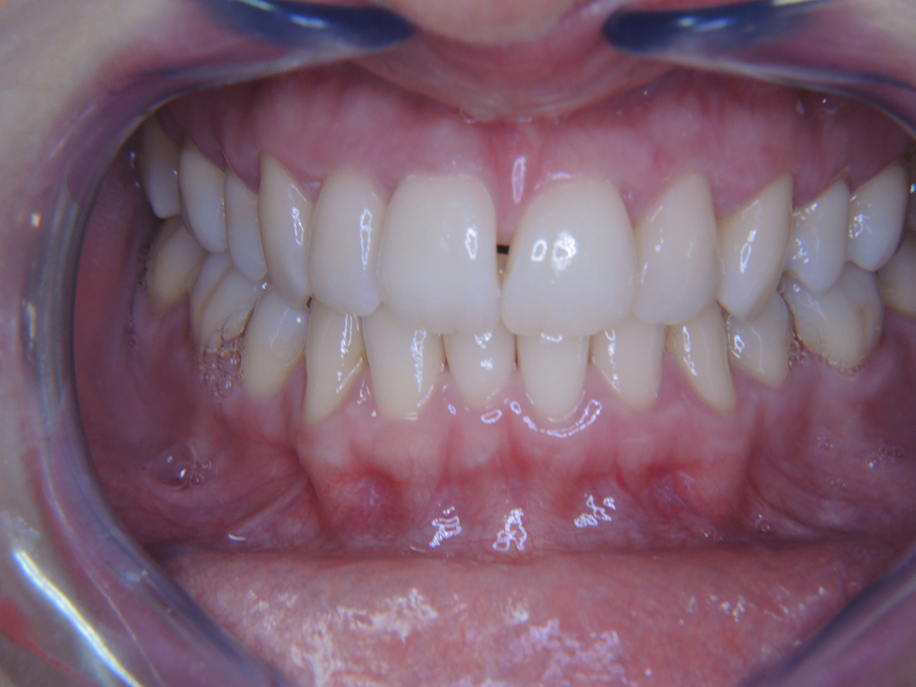
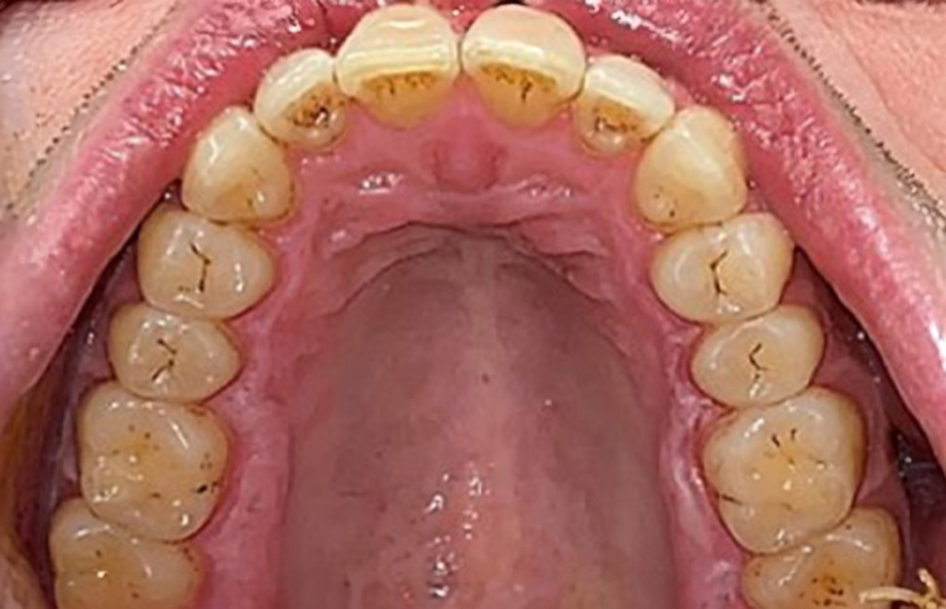
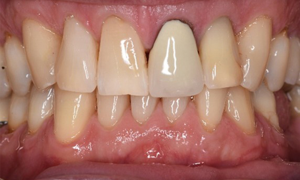
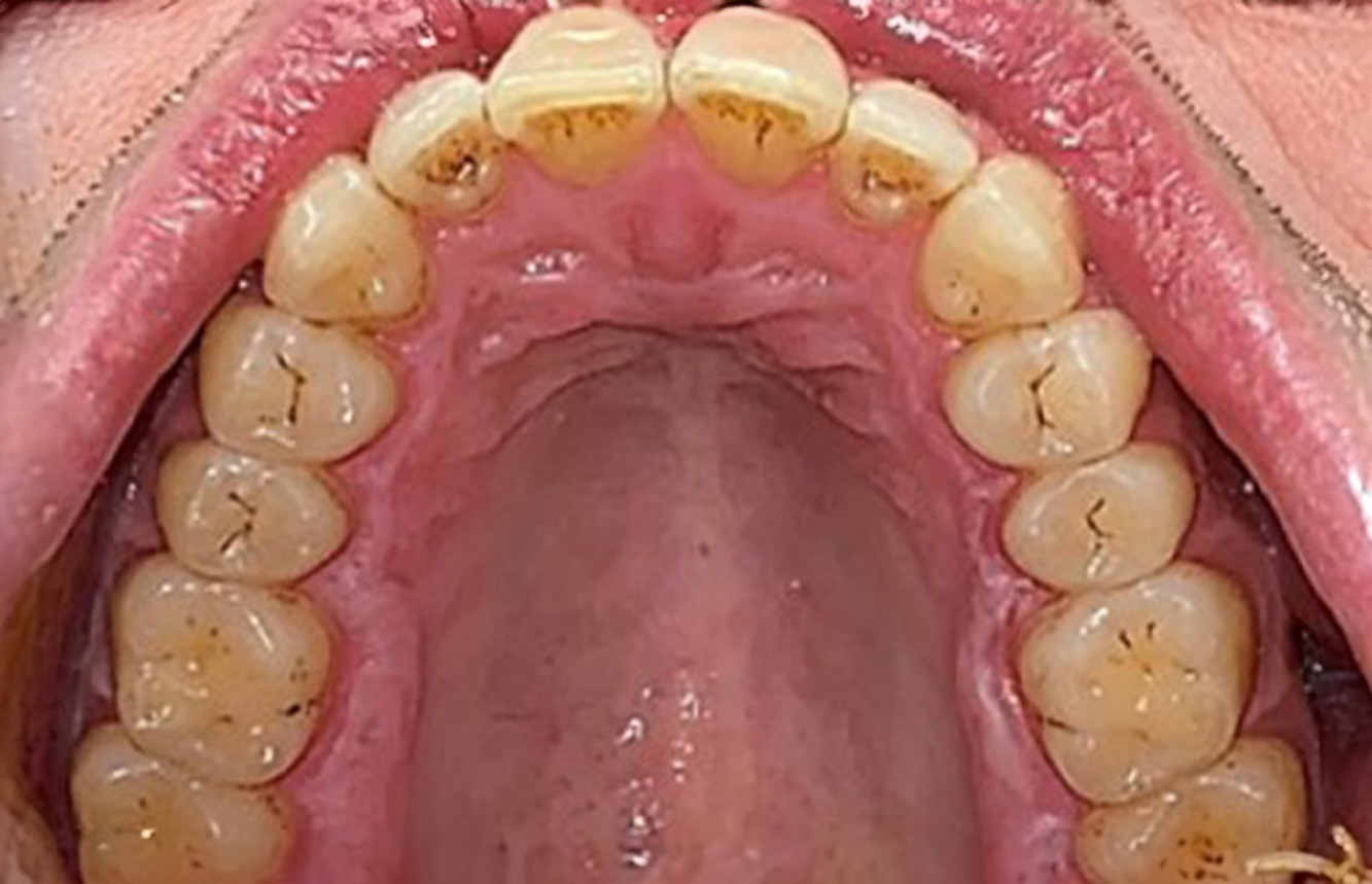
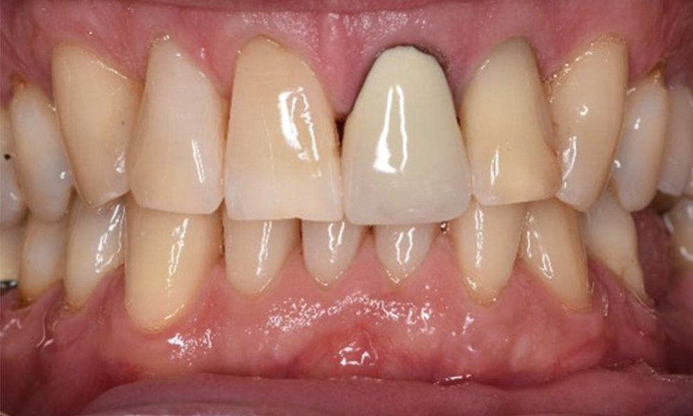
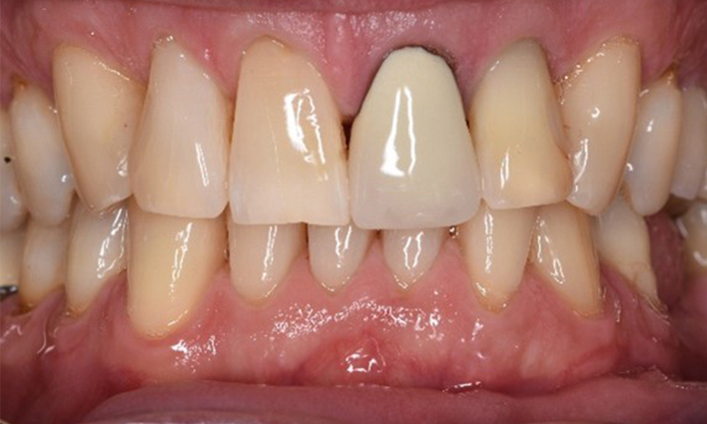
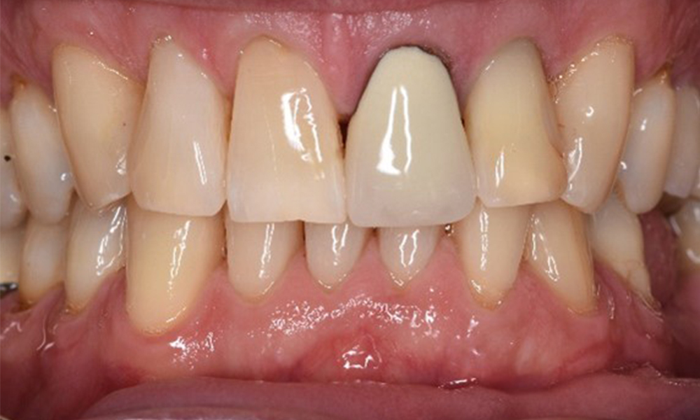
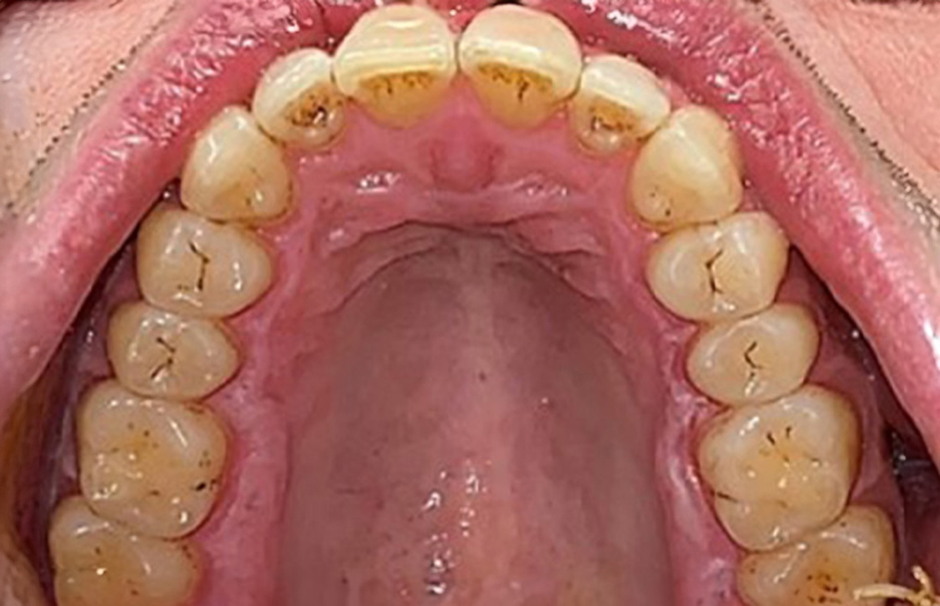
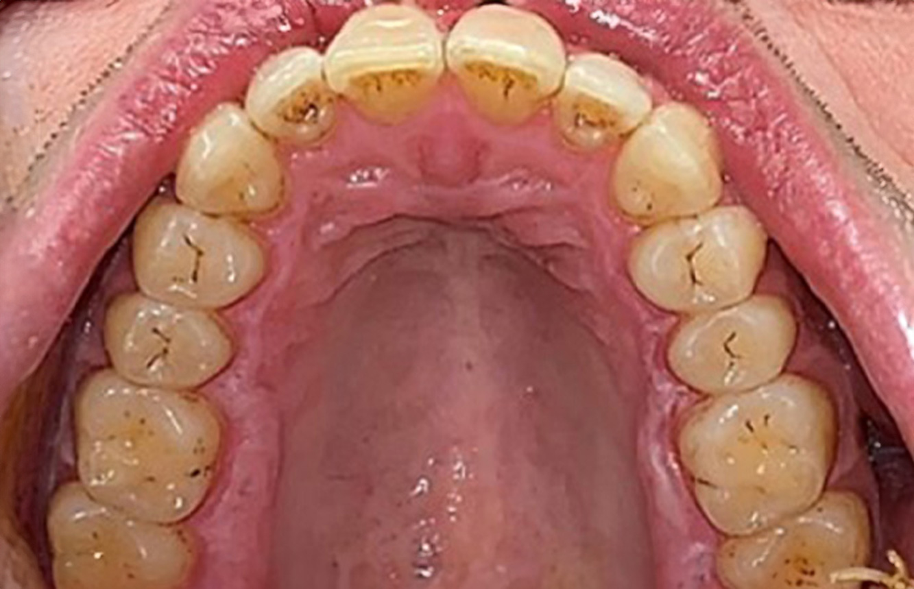
    Paciente diabético com boa saúde bucal

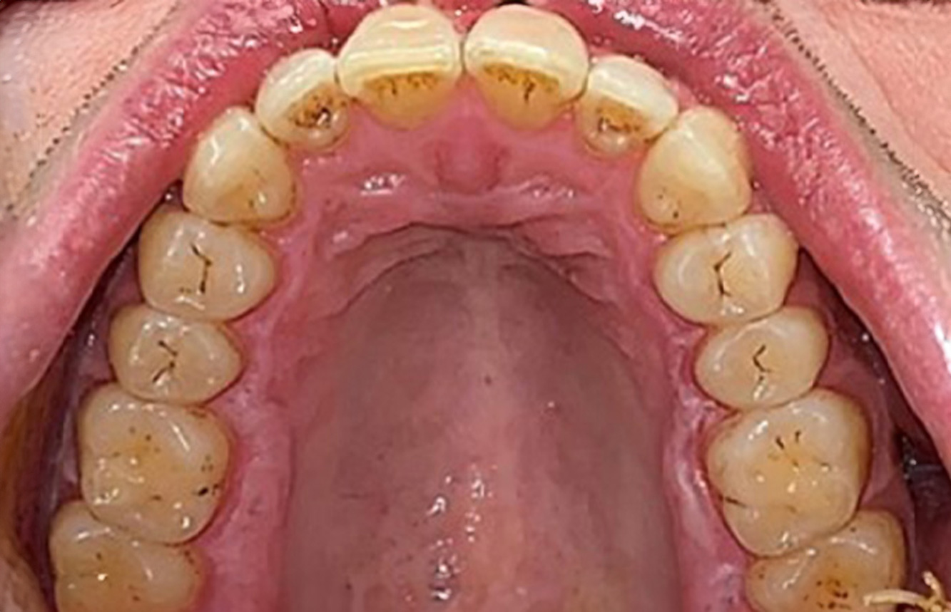
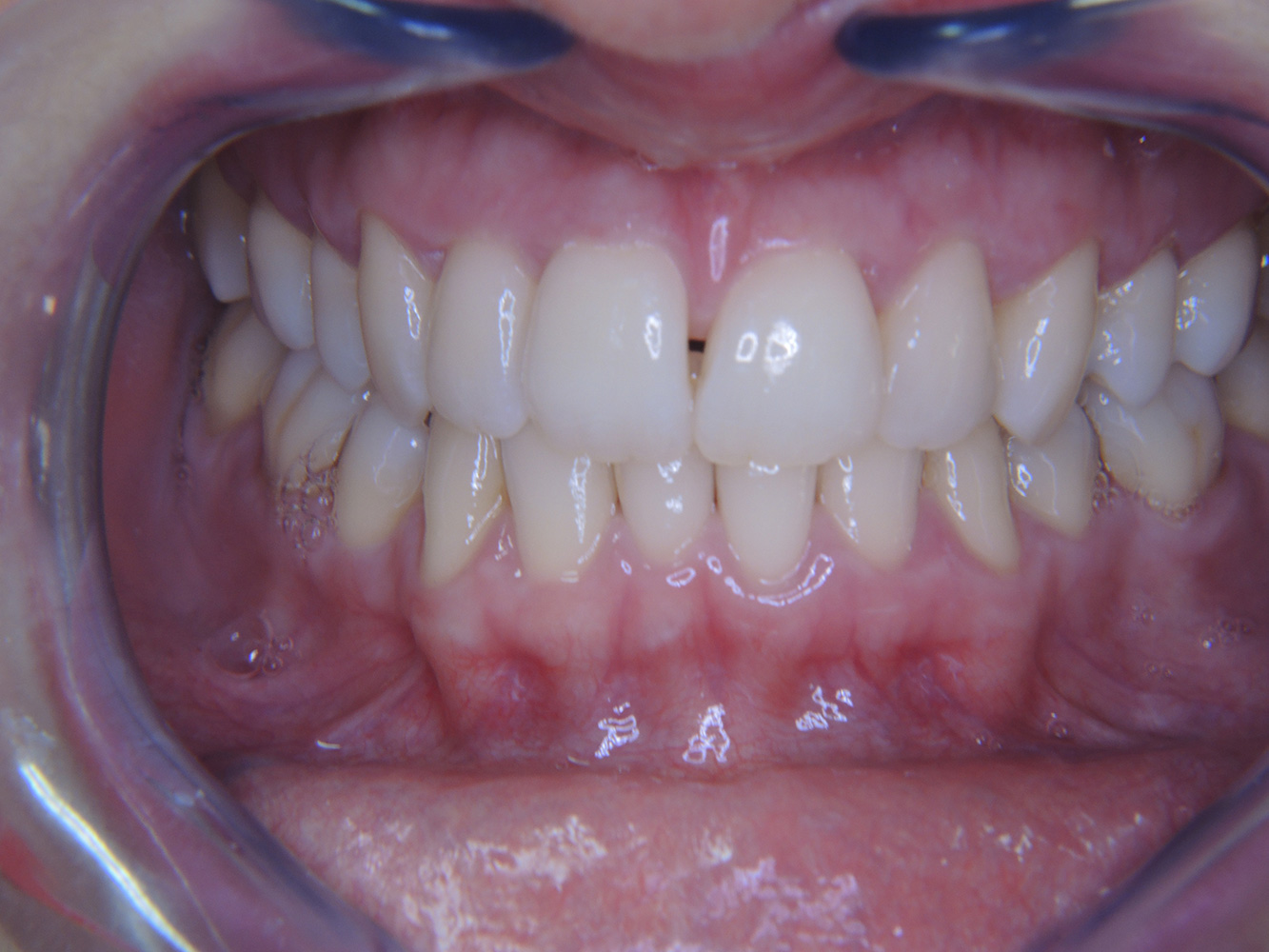
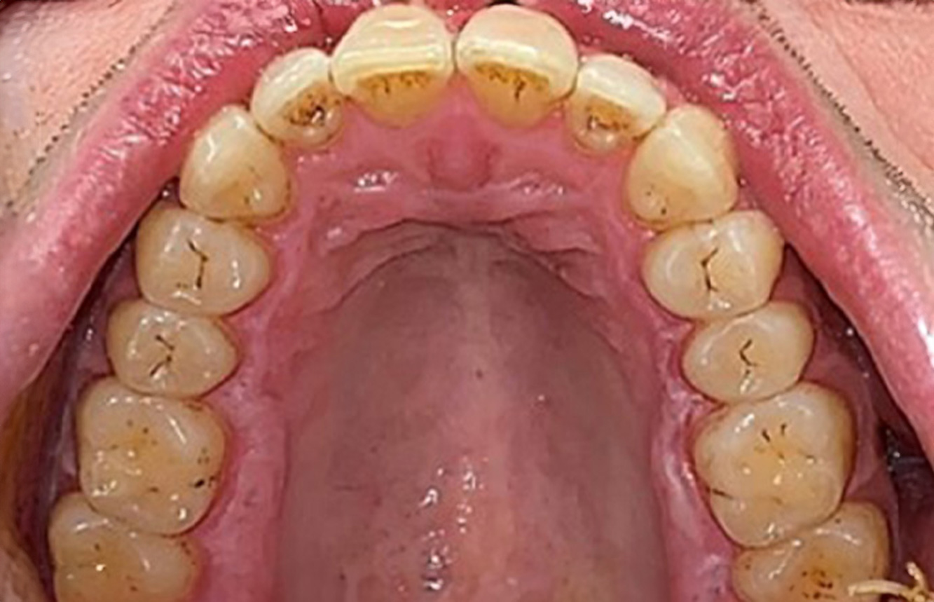
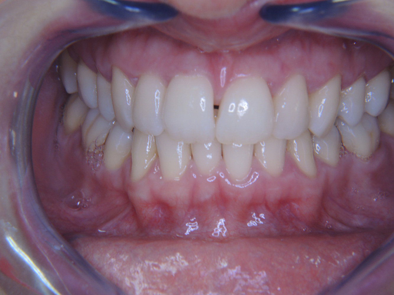
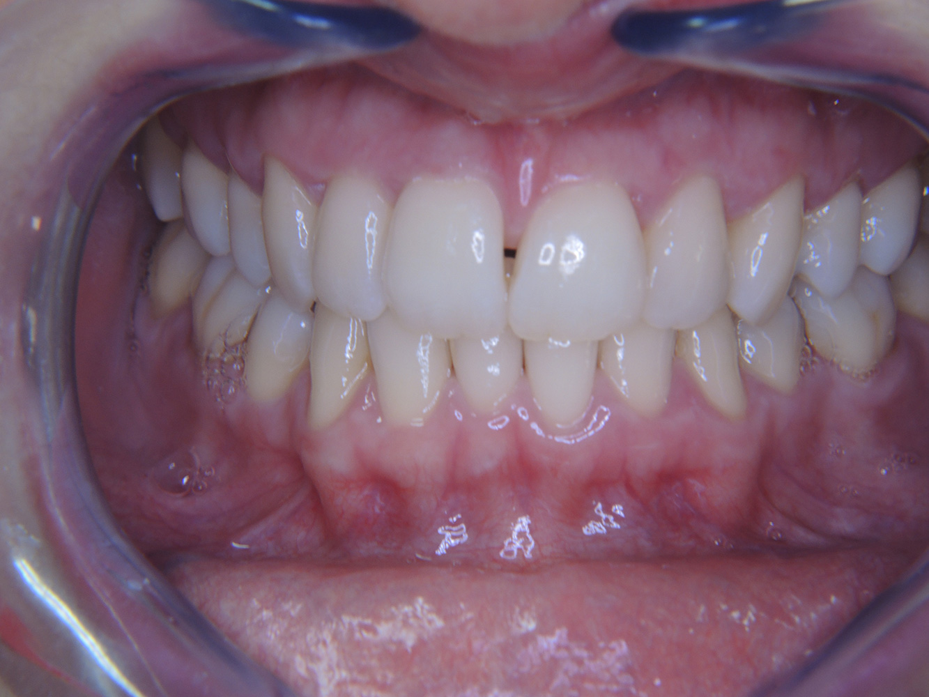
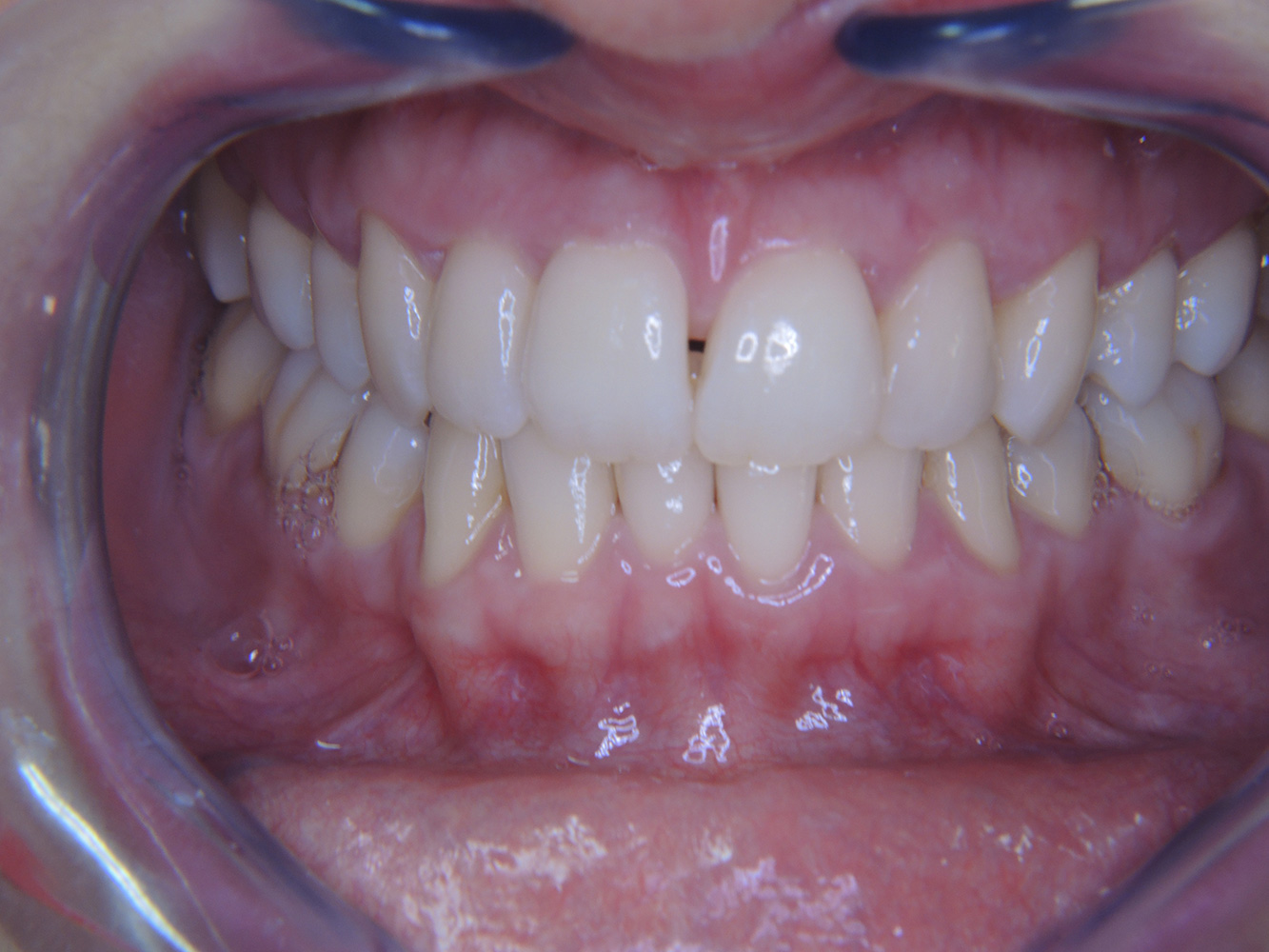
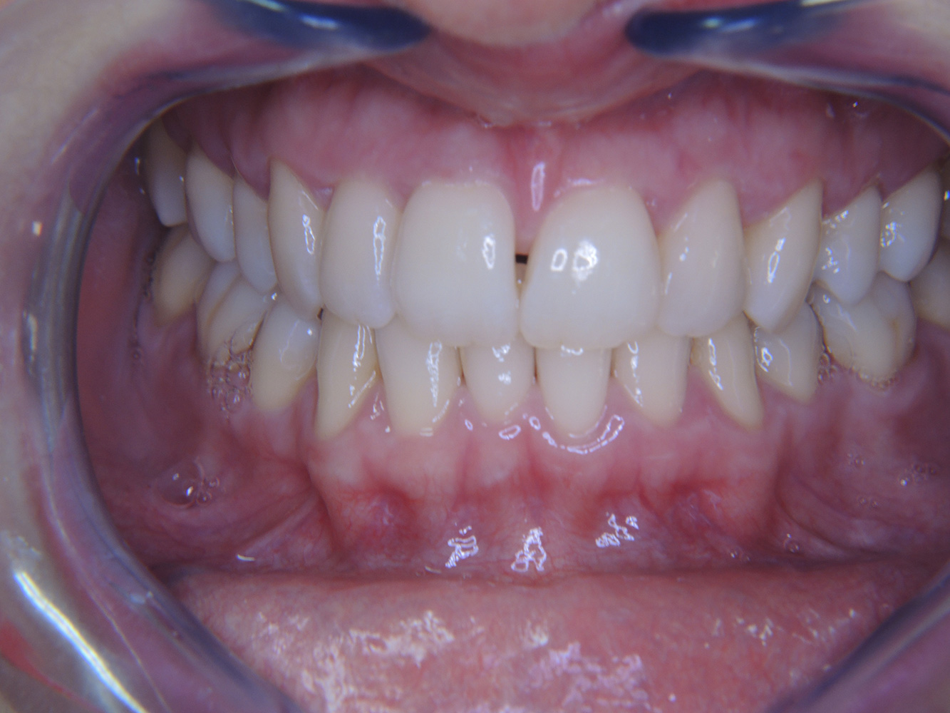
    Uma paciente diabética de 51 anos de idade apresenta boa saúde bucal em uma sessão de prevenção. Seus níveis de açúcar no sangue estão estáveis em HbA1c = 6,2% e assim sua condição é considerada devidamente controlada com o medicamento antidiabético metformina. A paciente não tem restaurações existentes ou doença bucal precoce. Através dos resultados odontológicos, é possível determinar a gengivite, apesar de uma condição estável.
    mais detalhes

    Case presentation: Complex Dental Prosthesis Management

    The direct relationship between intraoral and general health, as well as the bidirectional influence that they may have on one another, is well-known (1,2). It is absolutely essential to consider both factors when planning preventive intraoral measures and treatment in the dental practice. The primary objective is the maintenance of patient health and quality of life from both dental and medical perspectives. more

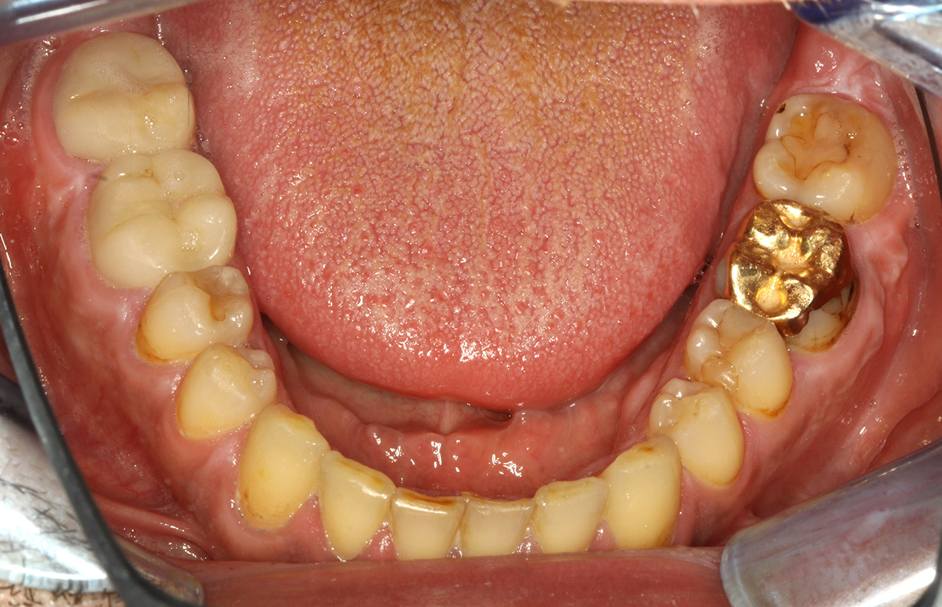
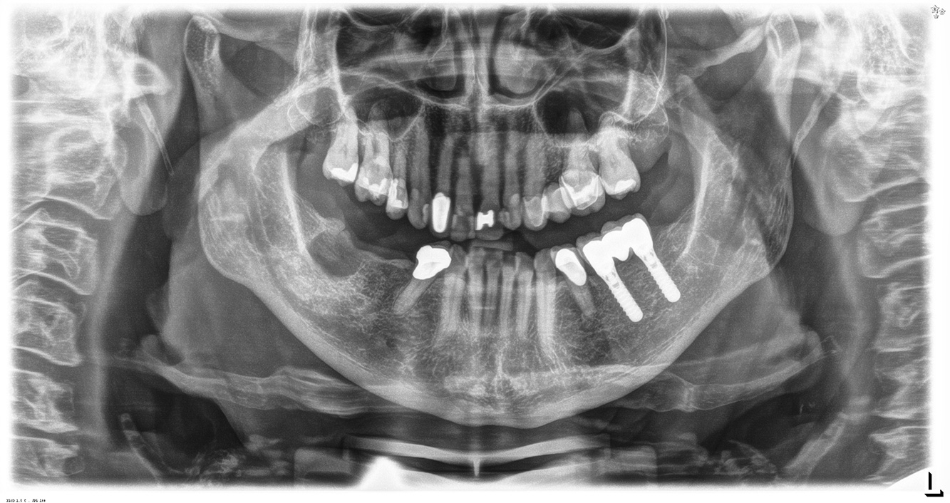
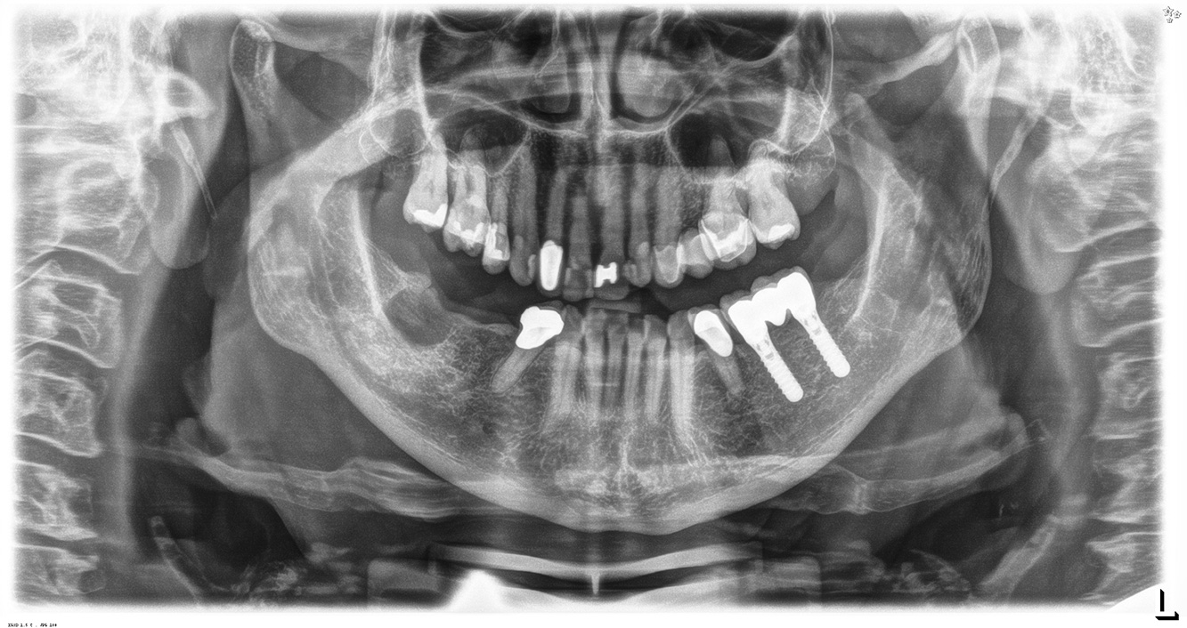
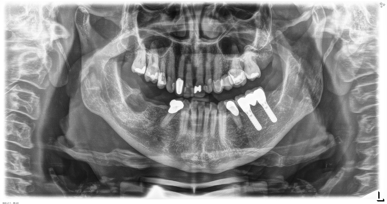
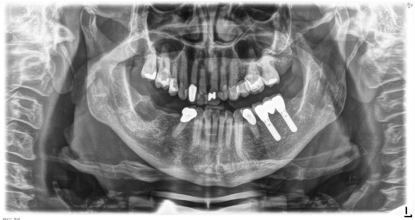
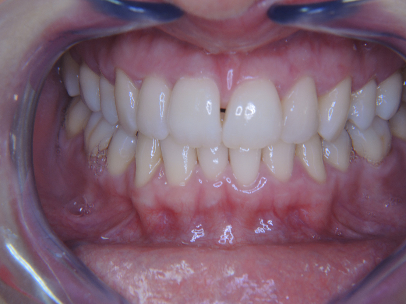
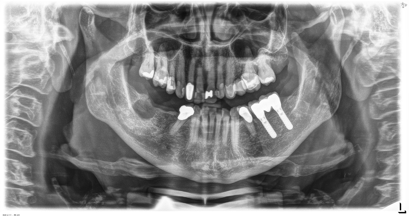
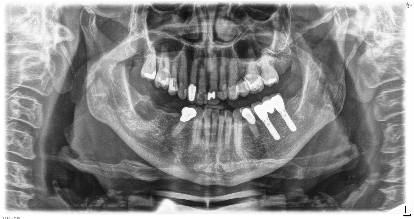
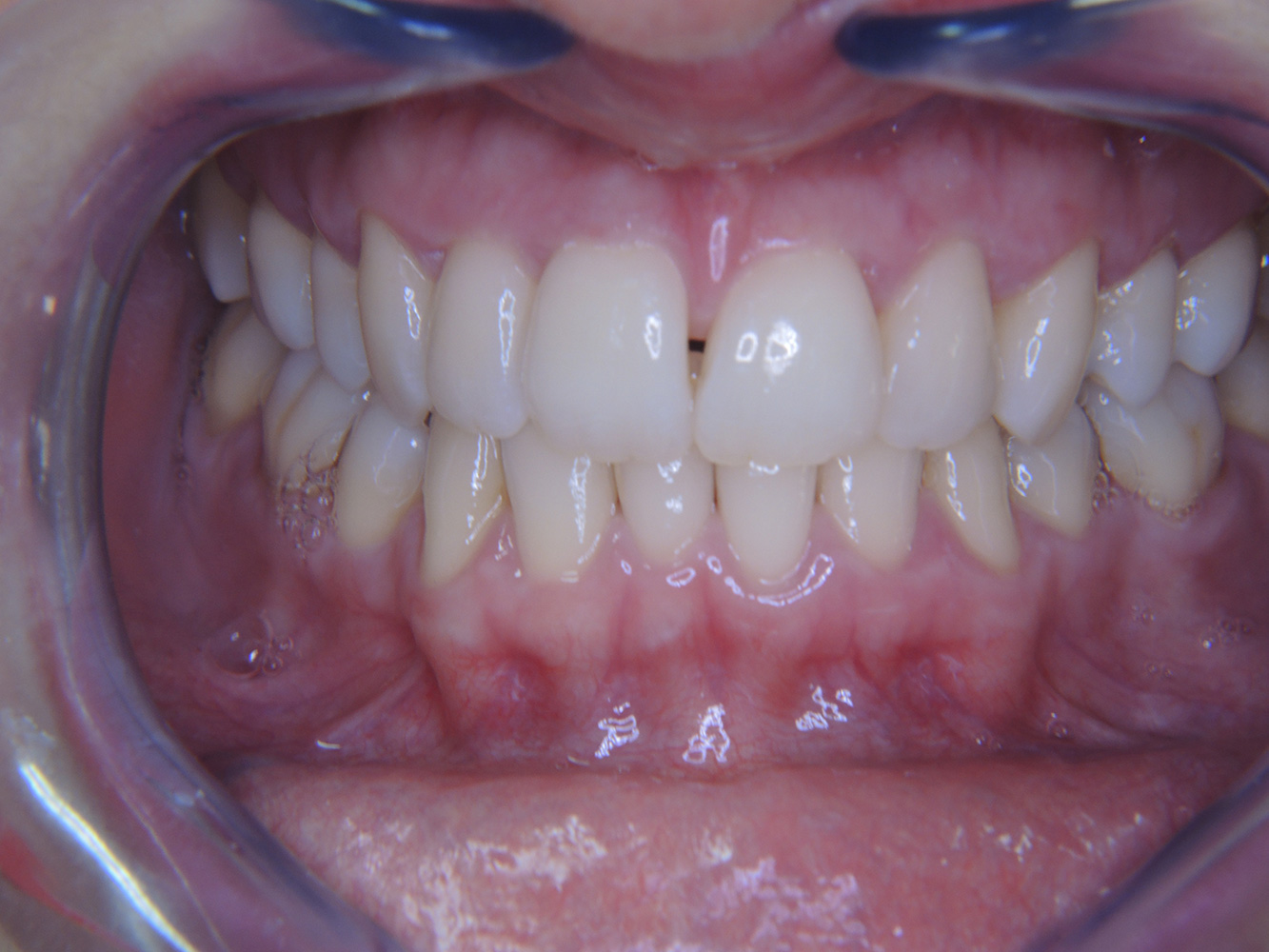
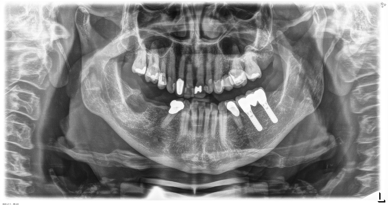
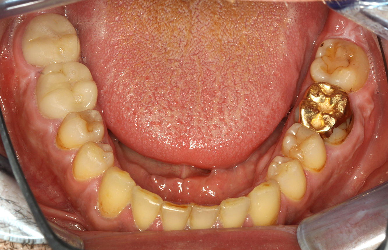
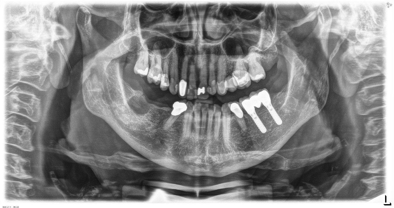
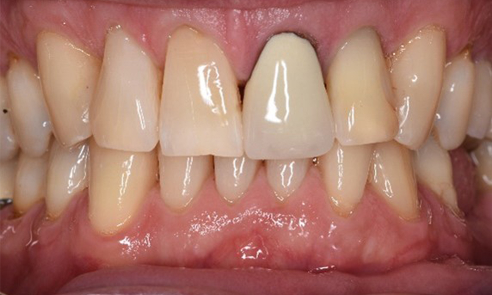
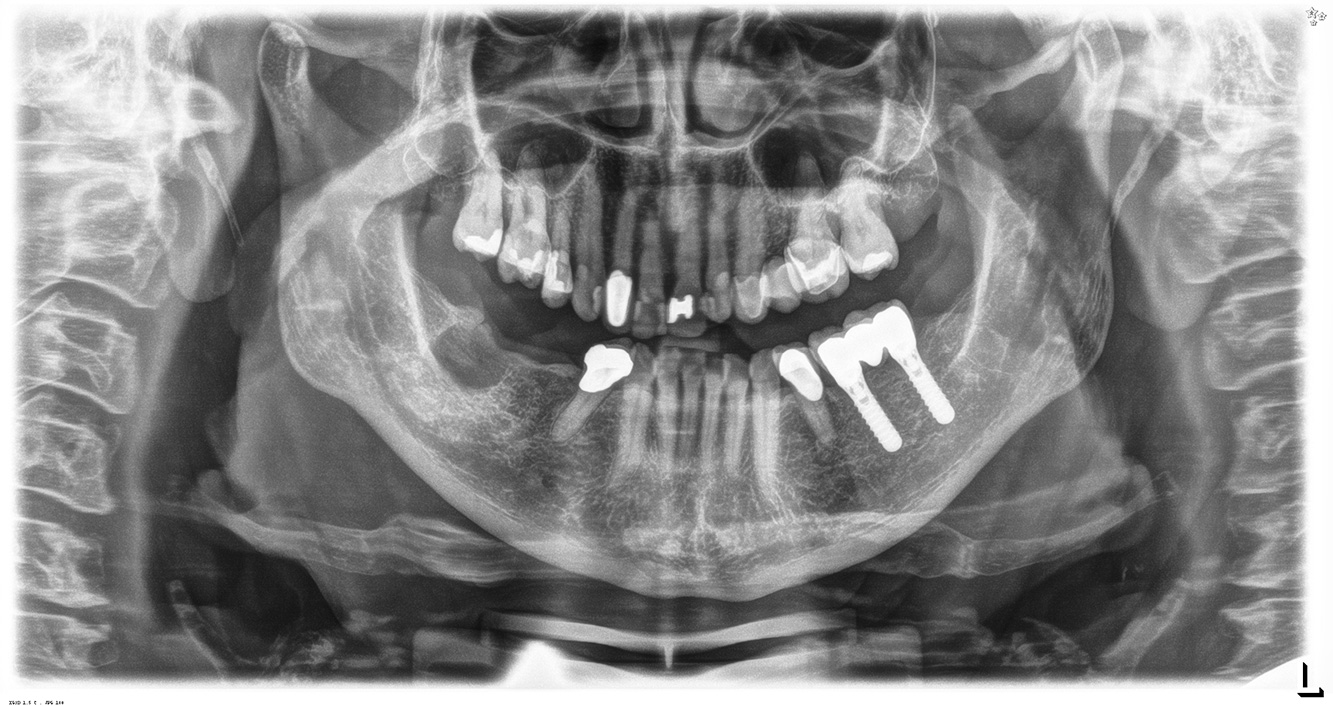
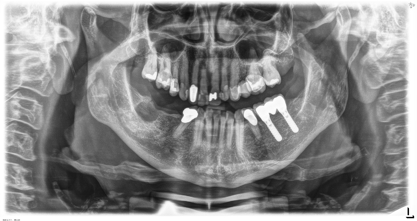
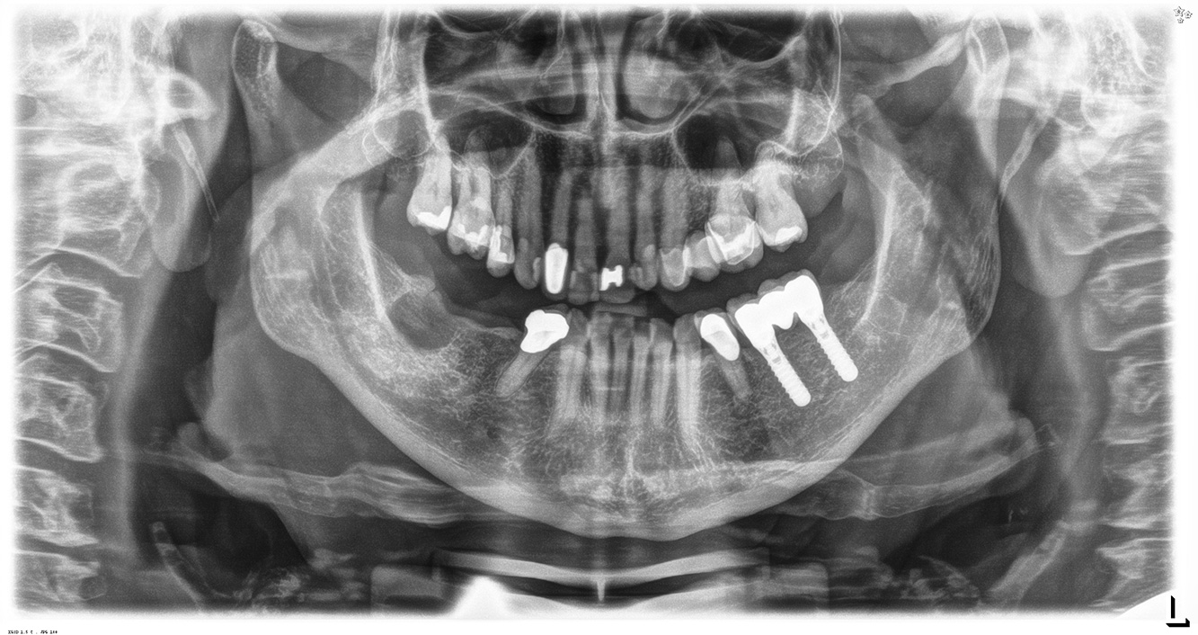
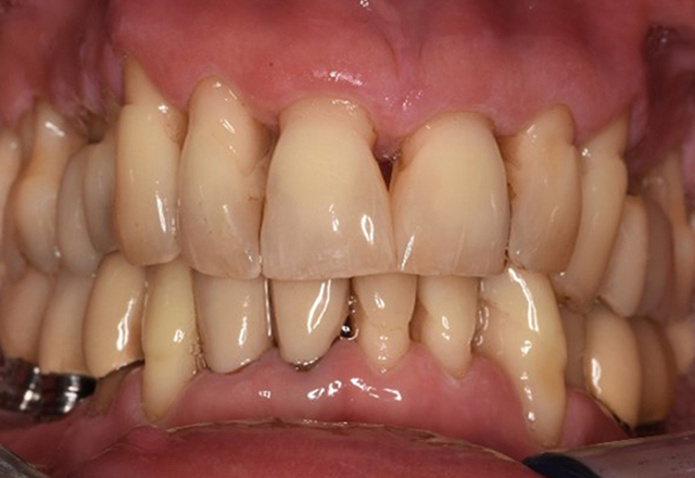
    The (orally) healthy patient with implants

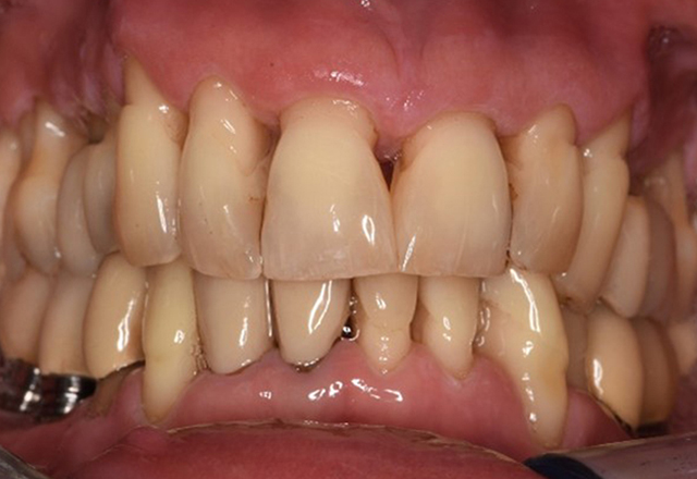
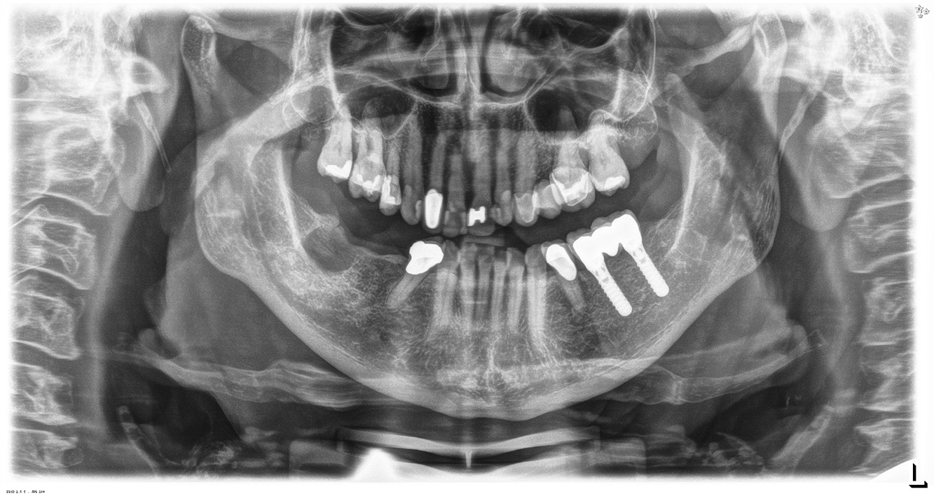
    In the medical history, the 55-year-old patient states that he has no systemic disease and is not taking any medication. The patient’s lifestyle is similarly unremarkable. The patient has a few tooth restorations and two implants (2nd and 4th quadrants). On the basis of current findings, gingivitis is identified in an otherwise stable periodontal condition on the reduced periodontium (stage III, grade A). more

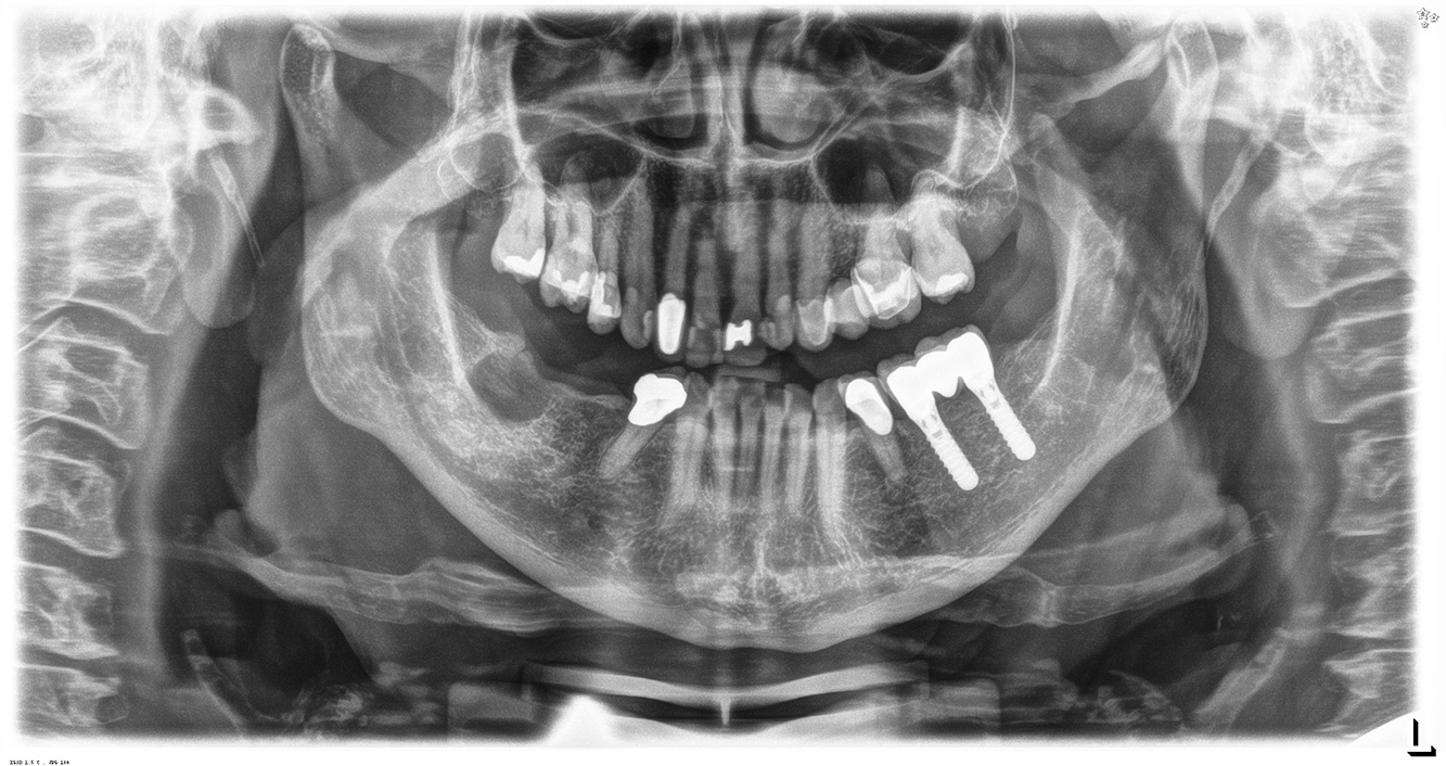
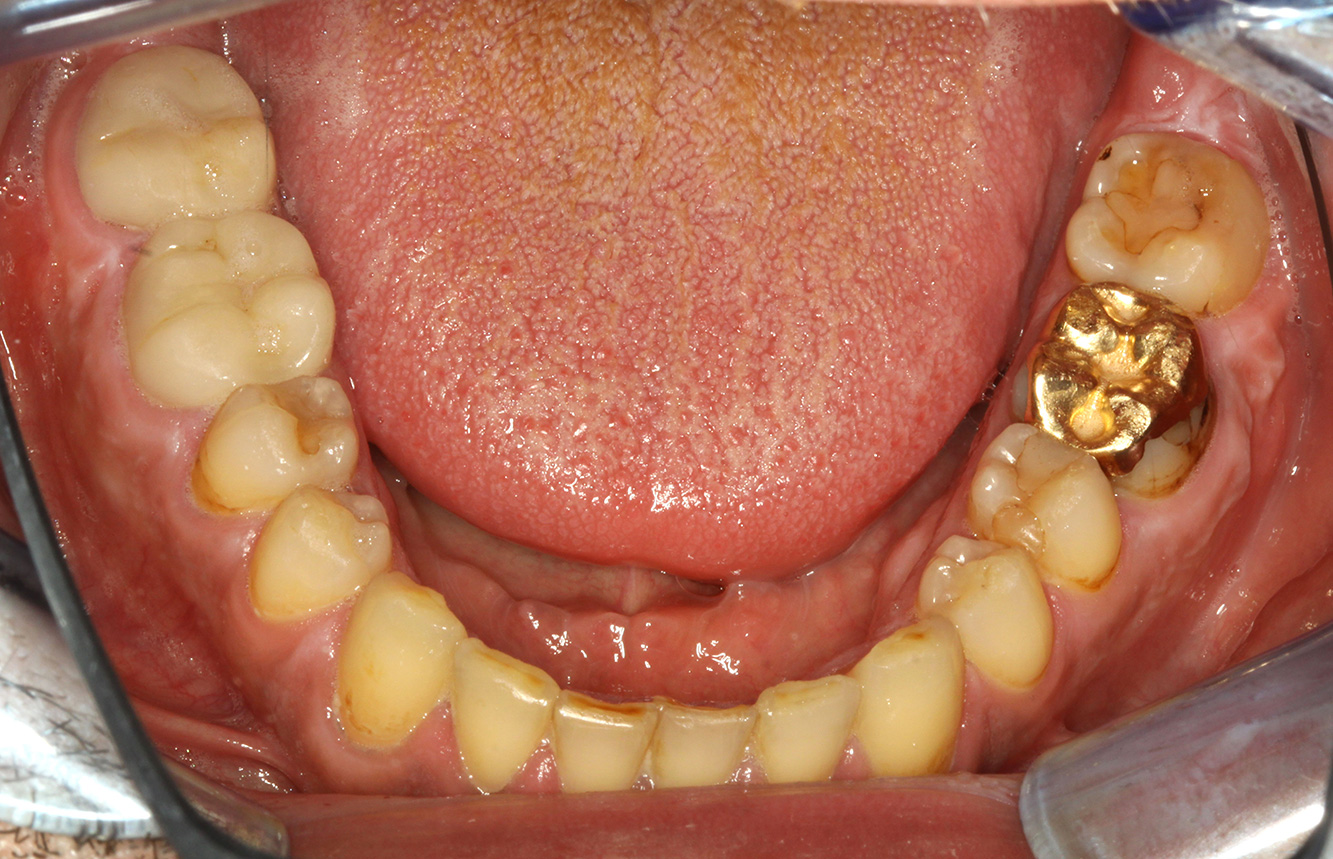
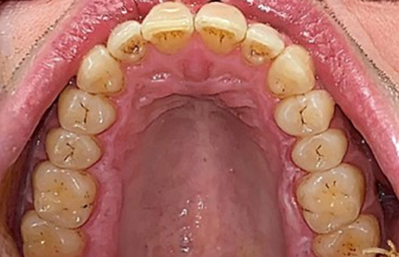
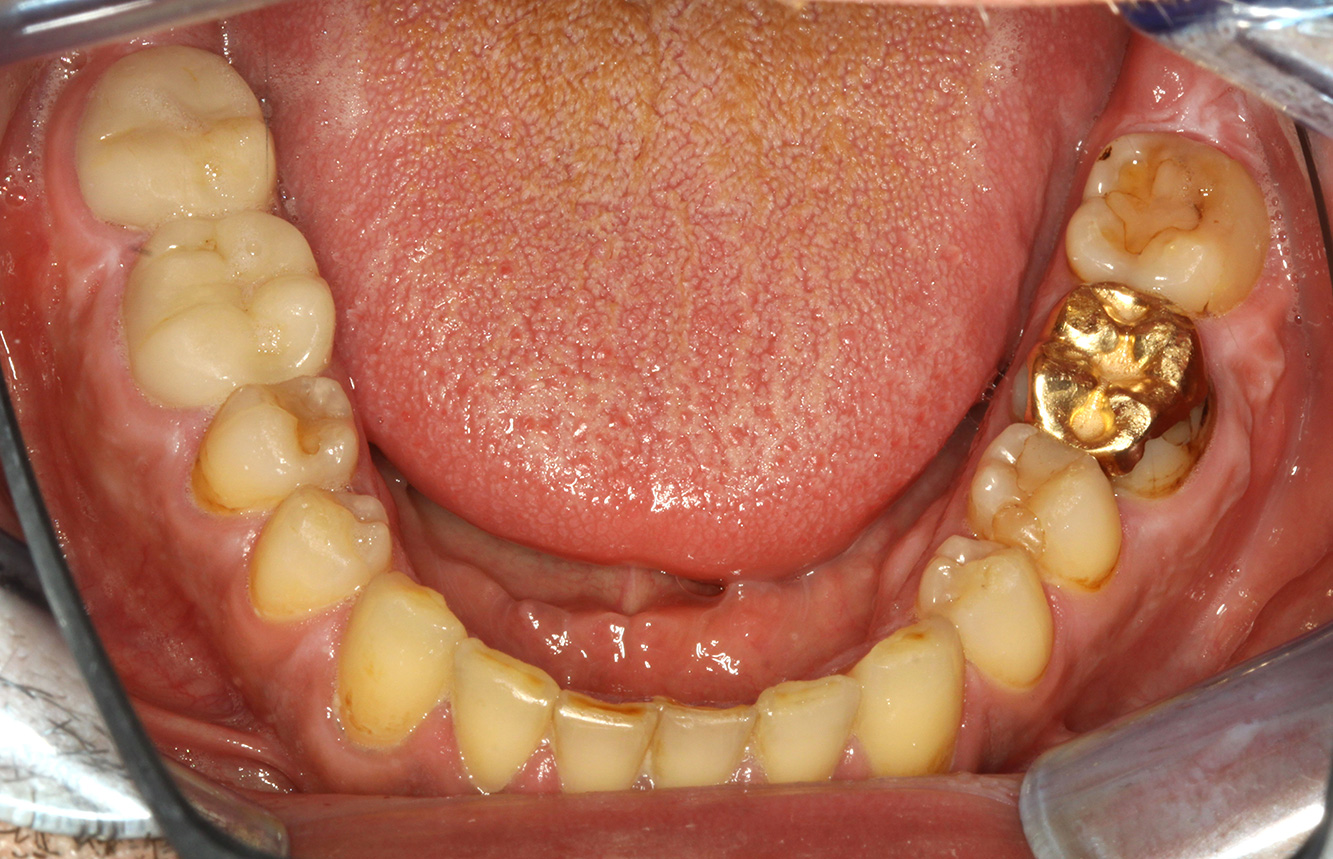
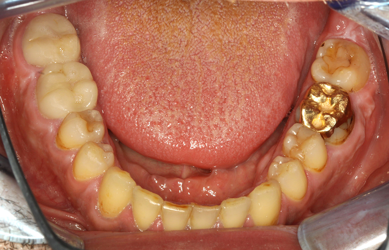
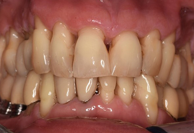
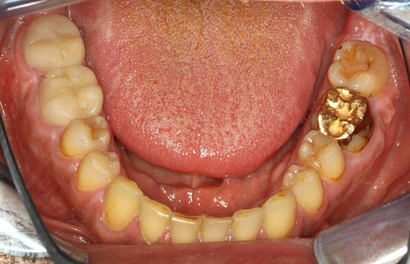
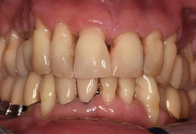
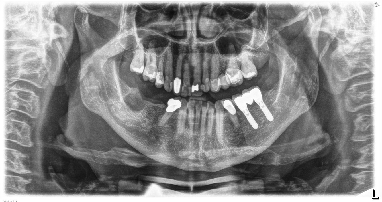
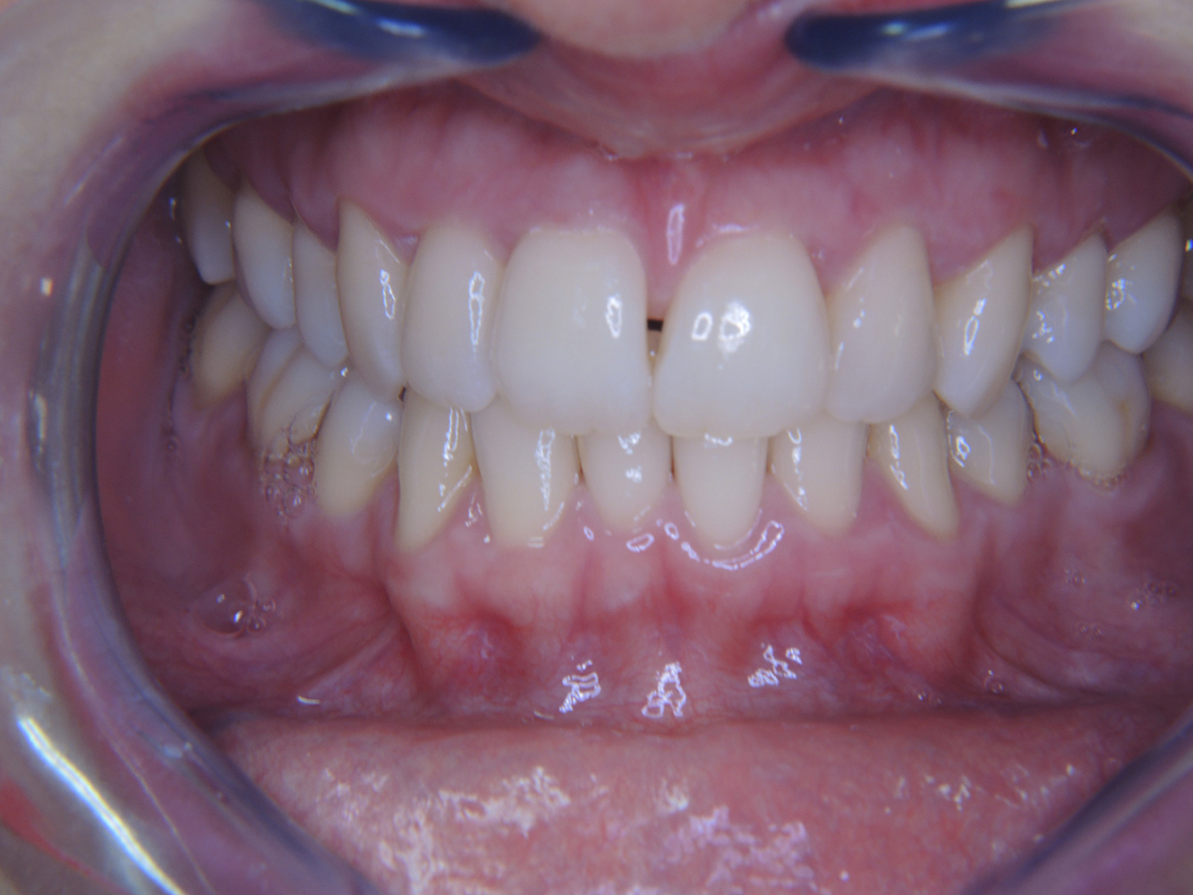
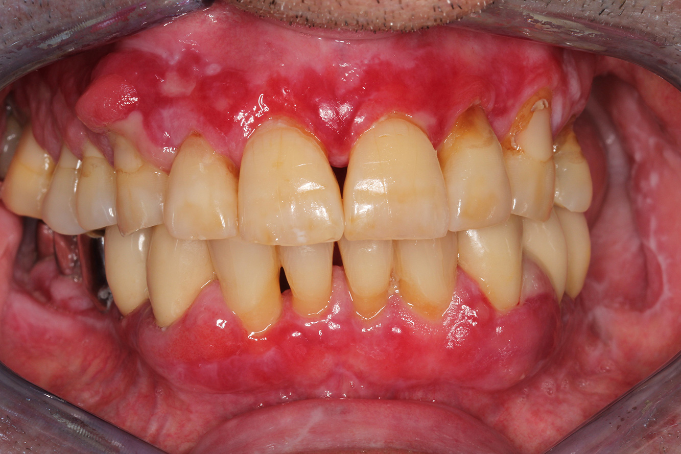
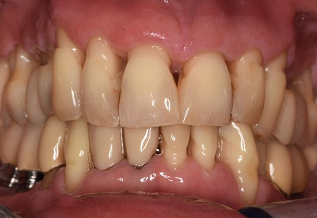
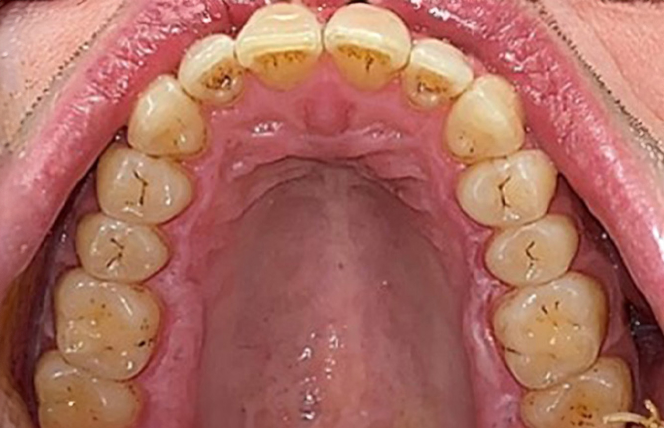
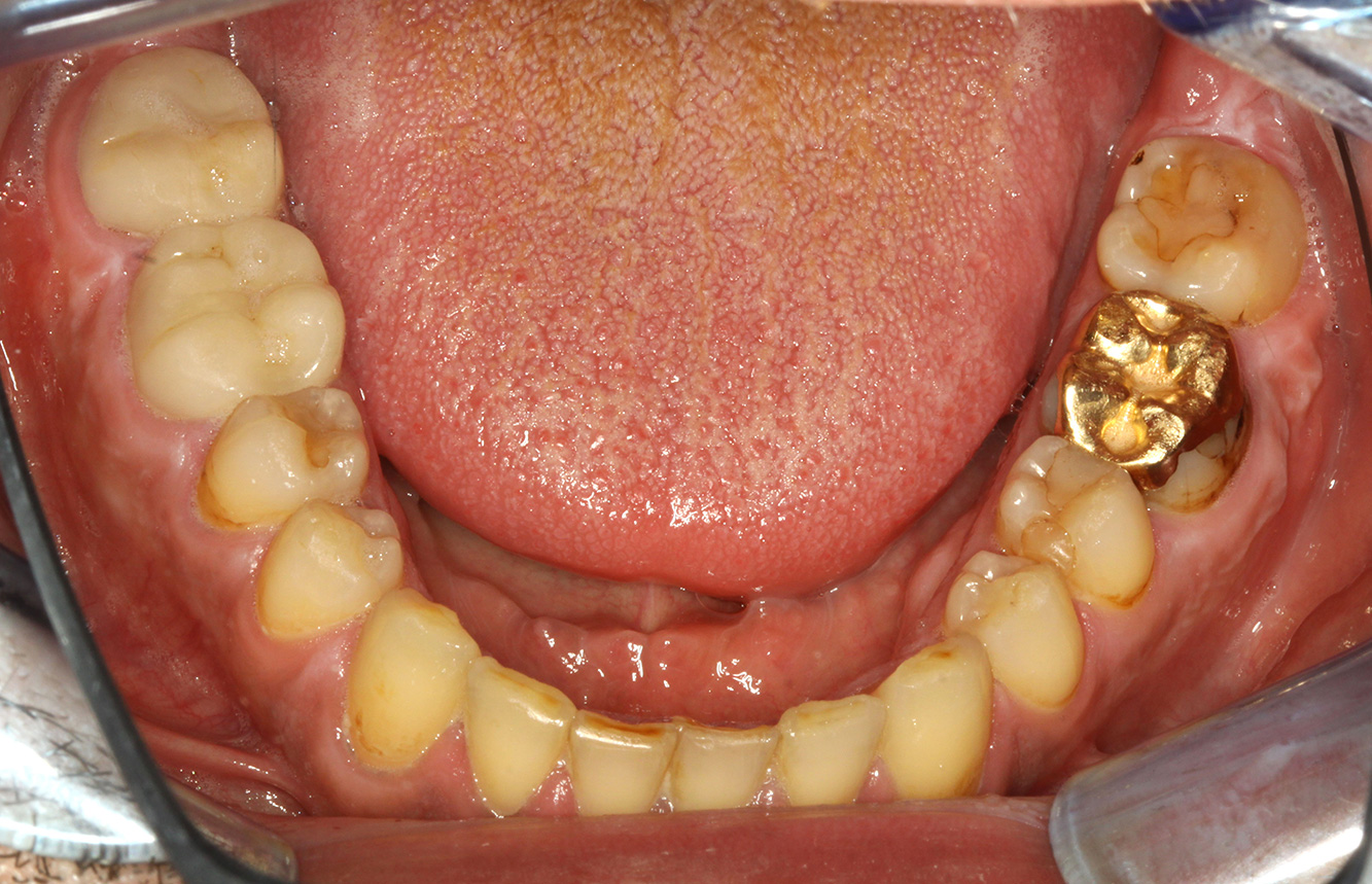
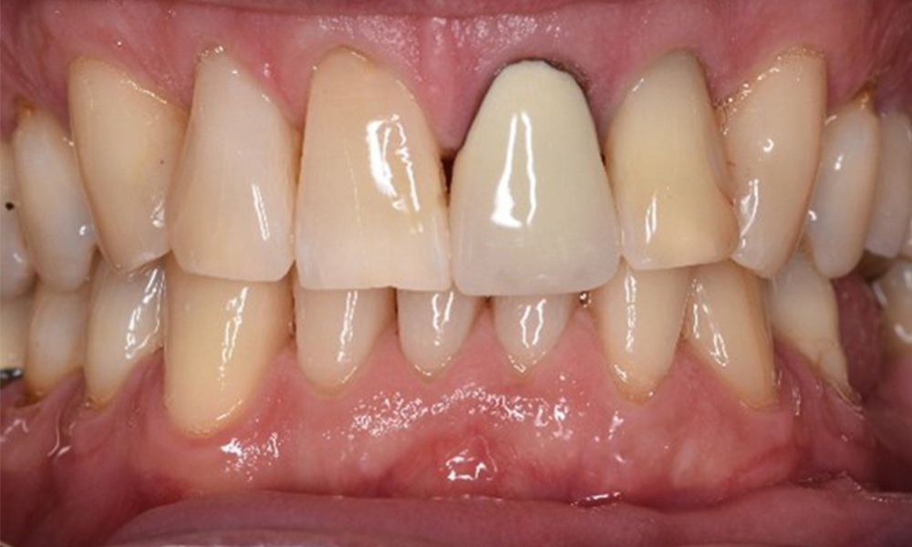
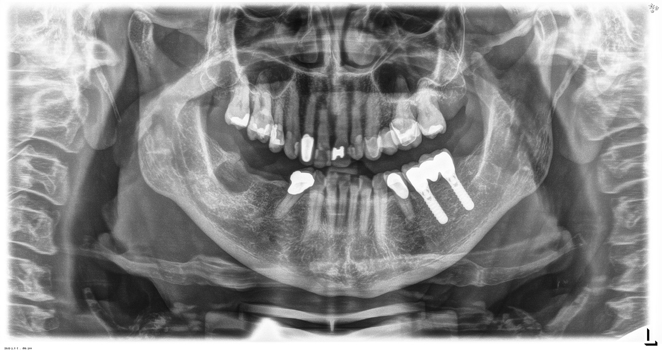
    The healthy patient with pre-existing periodontal disease & peri-implantitis

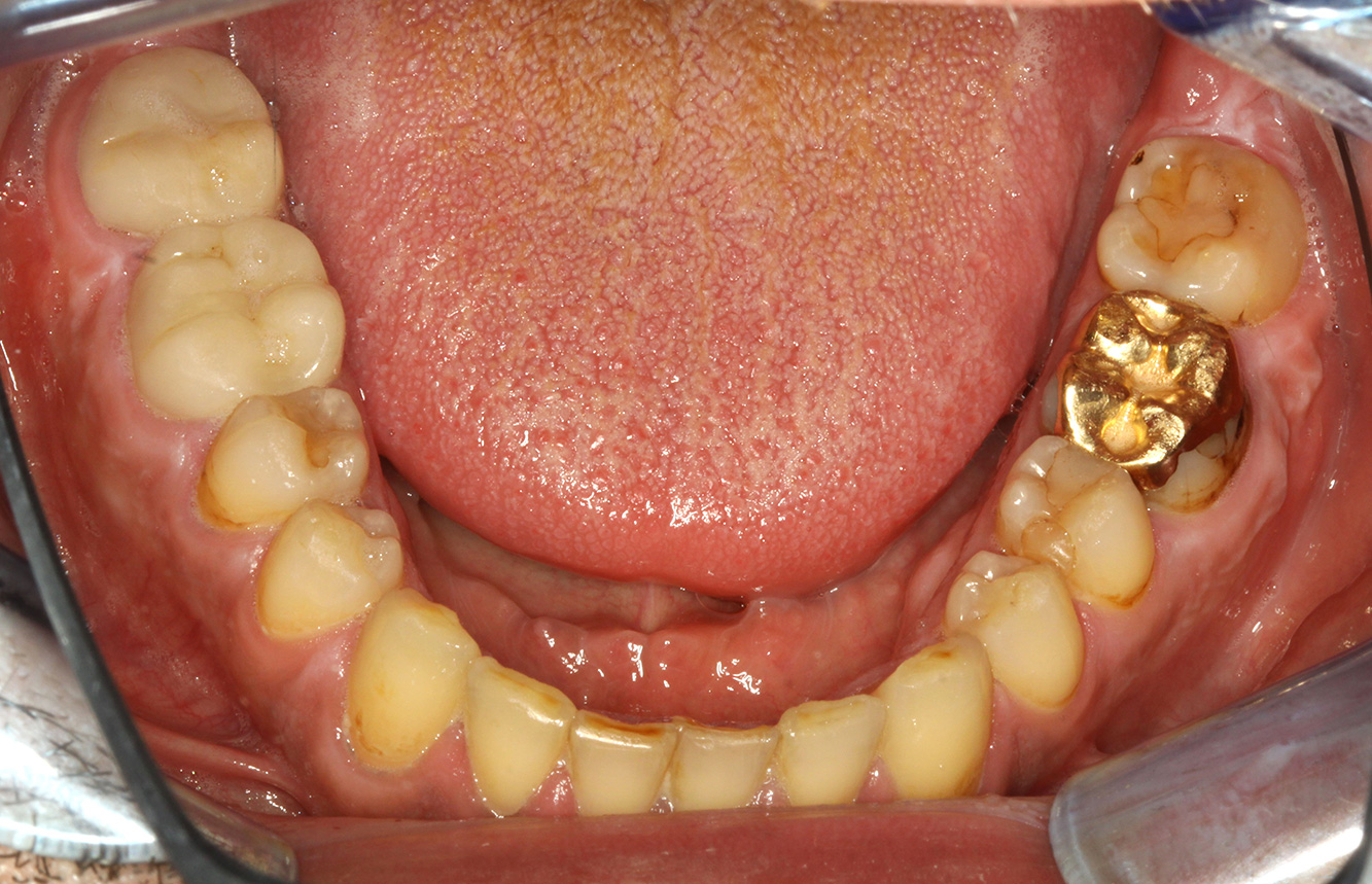
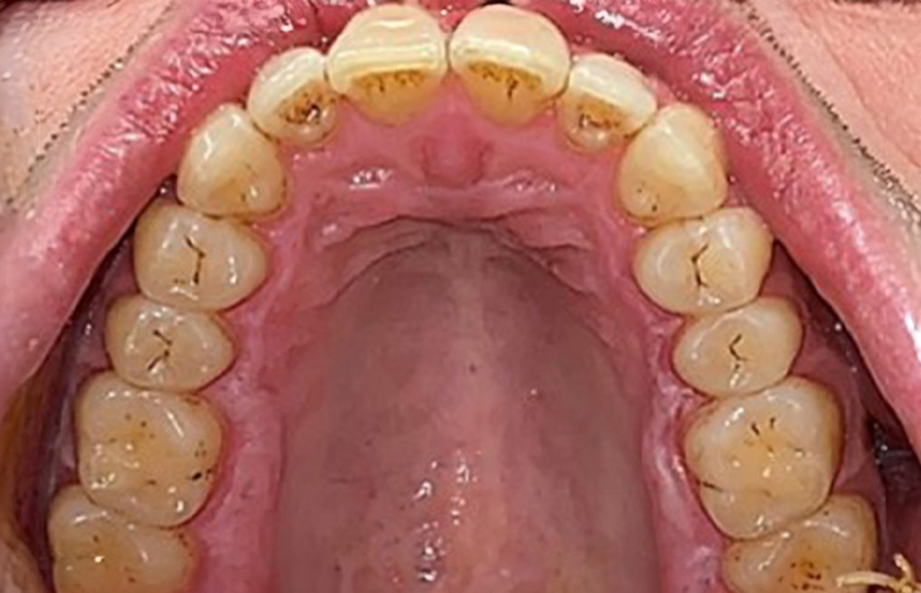
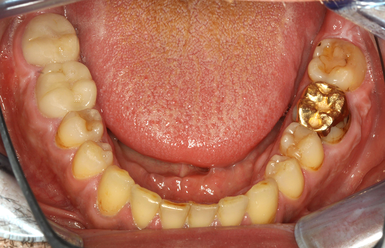
    A 52-year-old patient presents at a preventive care session. The patient has no systemic disease and is not taking any medication. He has had various dental treatments and also has two active carious lesions. In addition, the patient has four implants (2nd, 3rd and 4th quadrants). He is revealed to have early periodontal disease (stage IV, grade B). His periodontal condition is stable; a probing depth of Probing depths (ST) of 5 mm is only evident at the implant in region 36. Gingivitis is also identified. more

    The Diabetic Patient with Pre-Existing Periodontitis

    This case report of a 52-year-old male with type 2 diabetes and periodontitis emphasizes personalized preventive measures and periodontal health maintenance to manage the moderate disease progression risk. more

    The 28-Year-Old Cigarette Smoker with Dental Erosions

    28-year-old patient, smoker, with erosions. The bidirectional relationship between oral and general medical health is very well known. It is no longer sufficient – and arguably even old-fashioned – to consider intraoral conditions in isolation. In order to create a personalized, case-specific preventive and patient profile, it is essential to take a detailed medical history and perform diligent examination of the general medical and intraoral health, as well as considering the two in combination. more

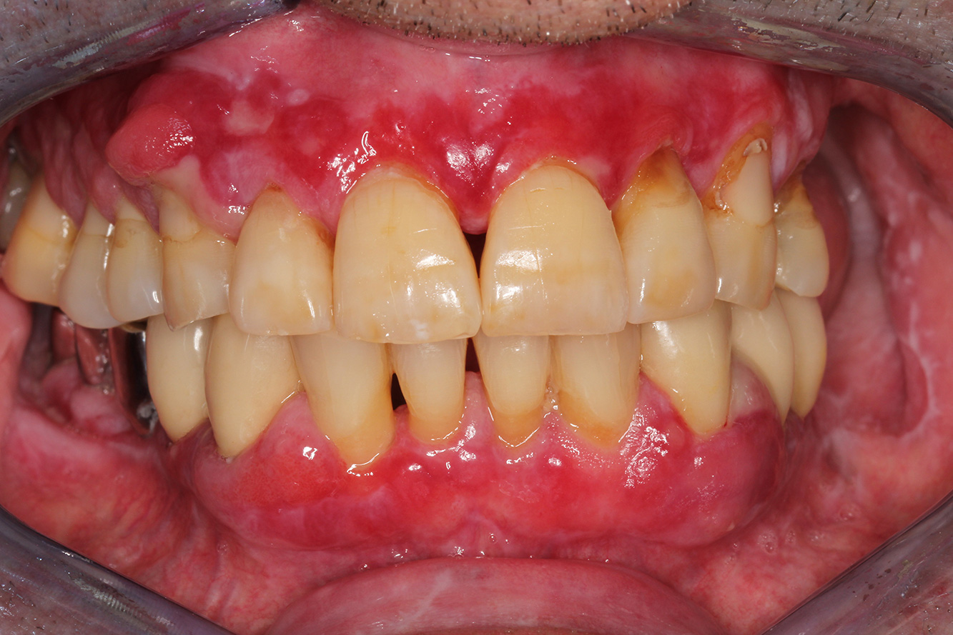
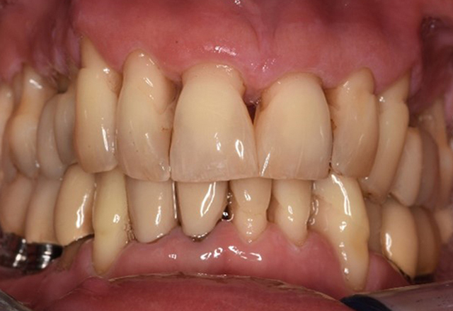
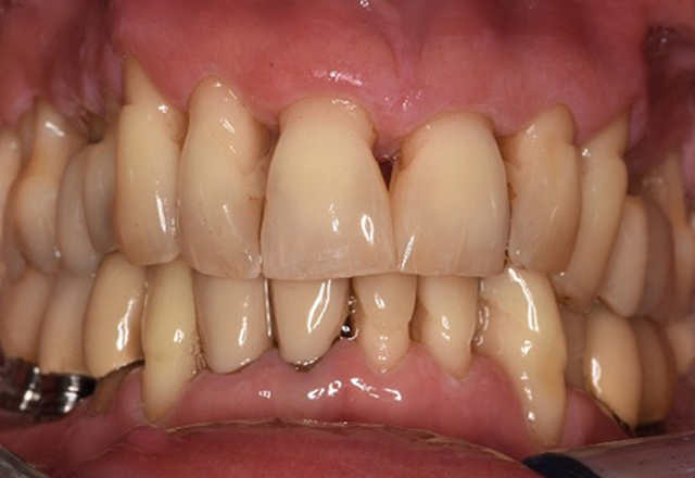
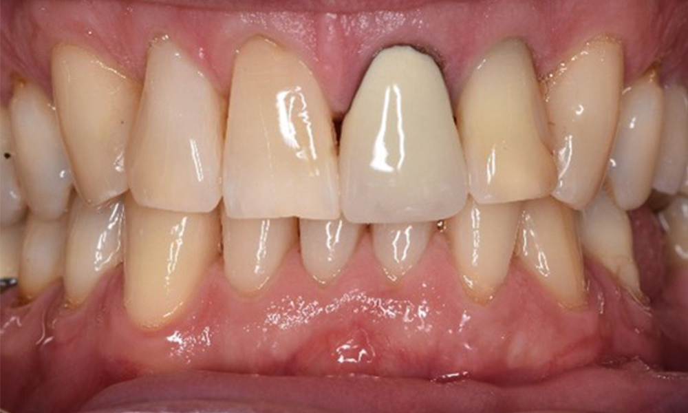
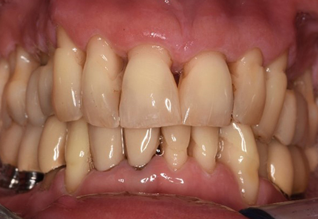
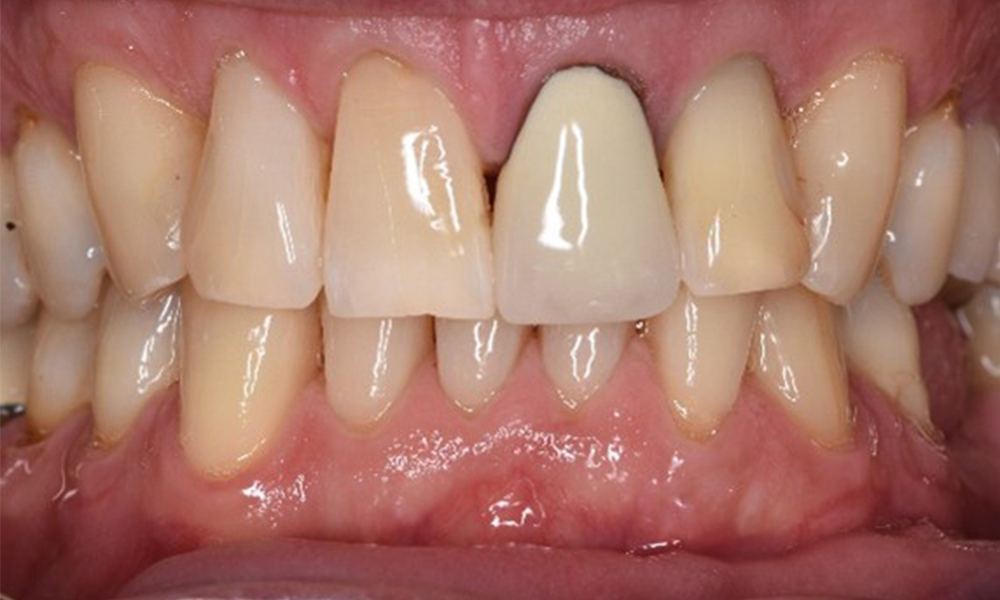
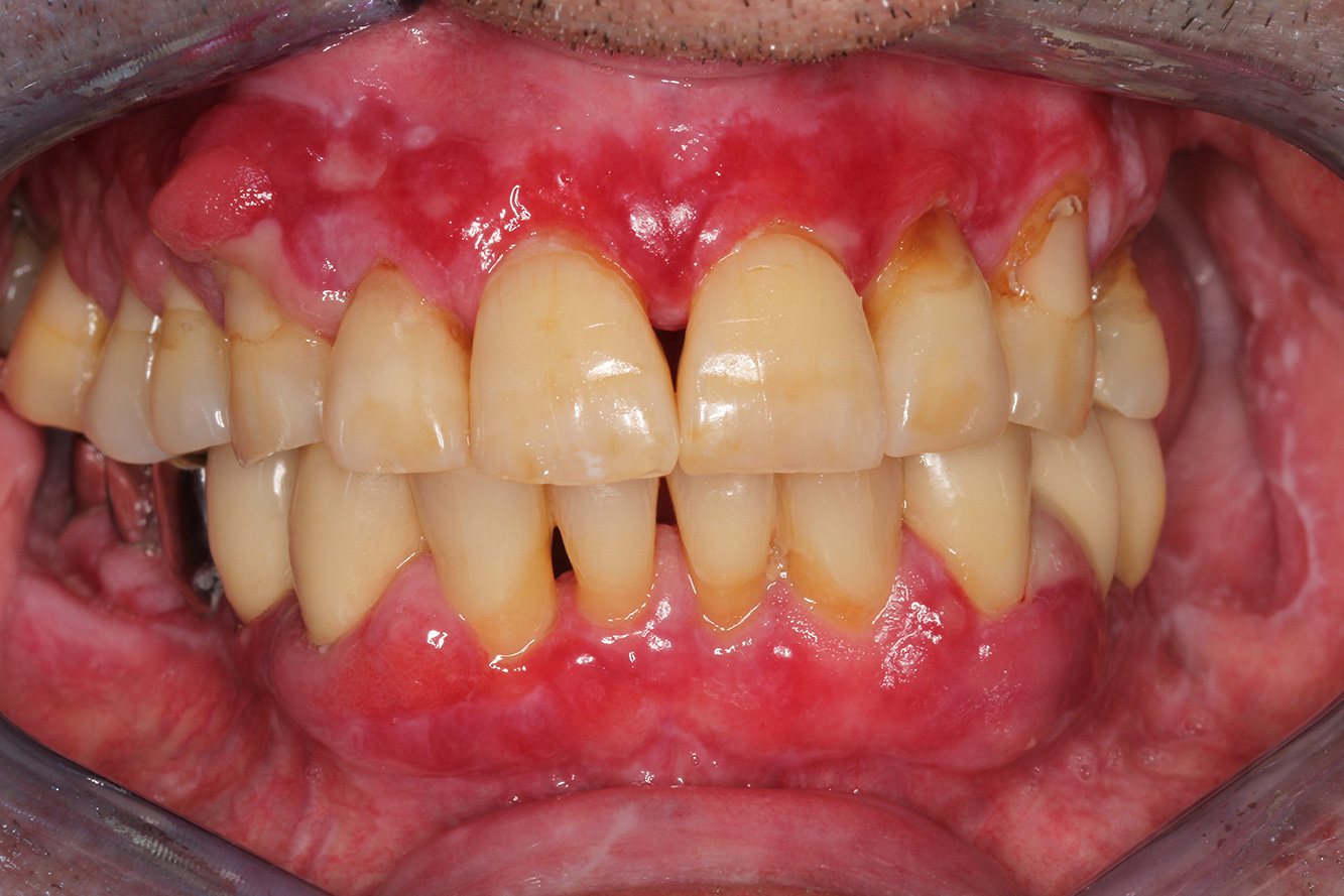
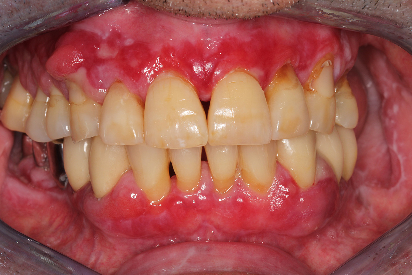
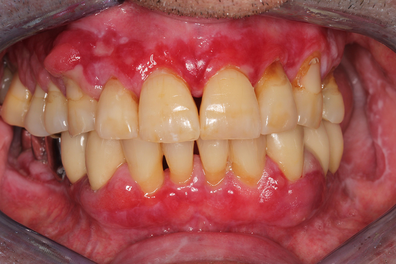
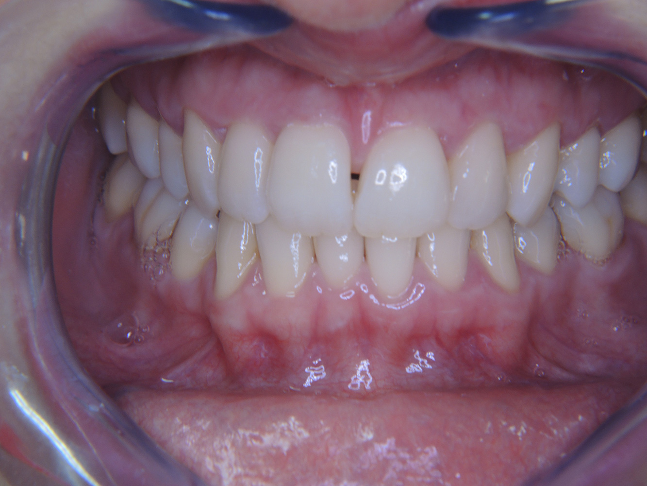
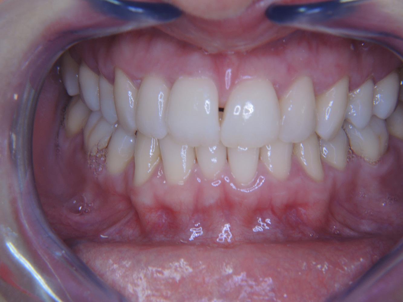
    Paciente com endocardite com lesões de cárie ativas

    O paciente tem 39 anos de idade e foi previamente submetido à substituição da válvula aórtica por falha na válvula e endocardite. O AAS 100 é ministrado regularmente como anticoagulante. Em termos de estilo de vida, a dieta do paciente é classificada como suscetível à cárie devido ao consumo regular de alimentos açucarados e ao fato de serem consumidas seis a sete refeições diariamente. A saúde bucal do paciente indica um risco moderado de cáries, com lesões ativas. O risco de periodontite é baixo, mas a gengivite está presente. São feitas as seguintes recomendações para o tratamento profilático.
    mais detalhes

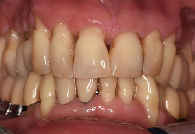
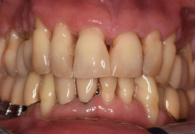
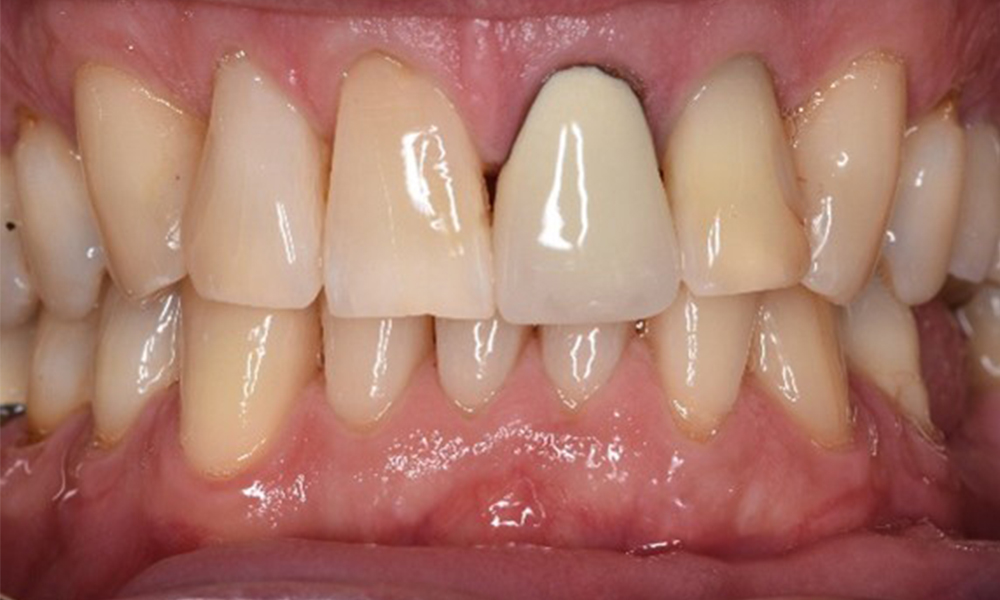
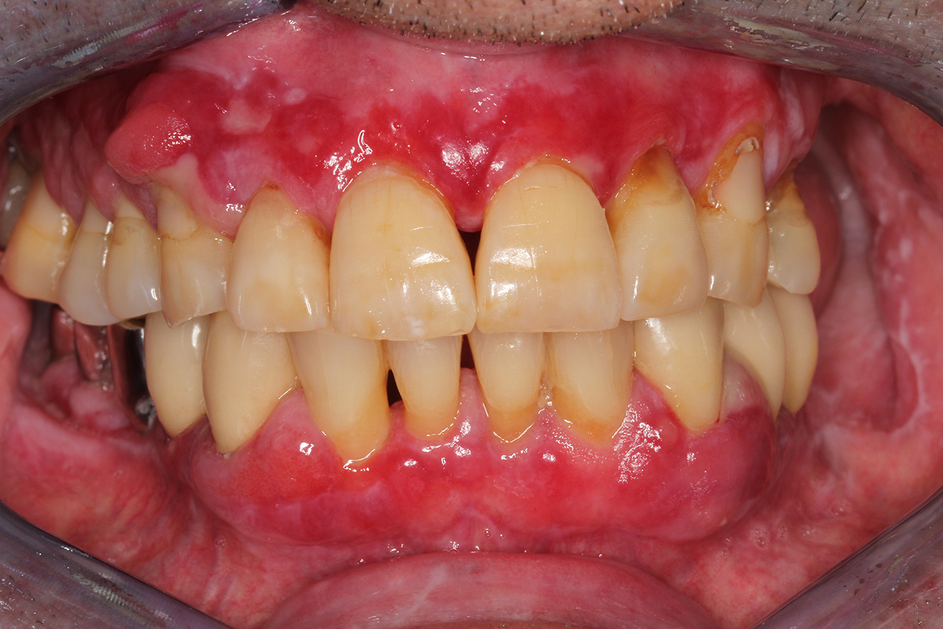
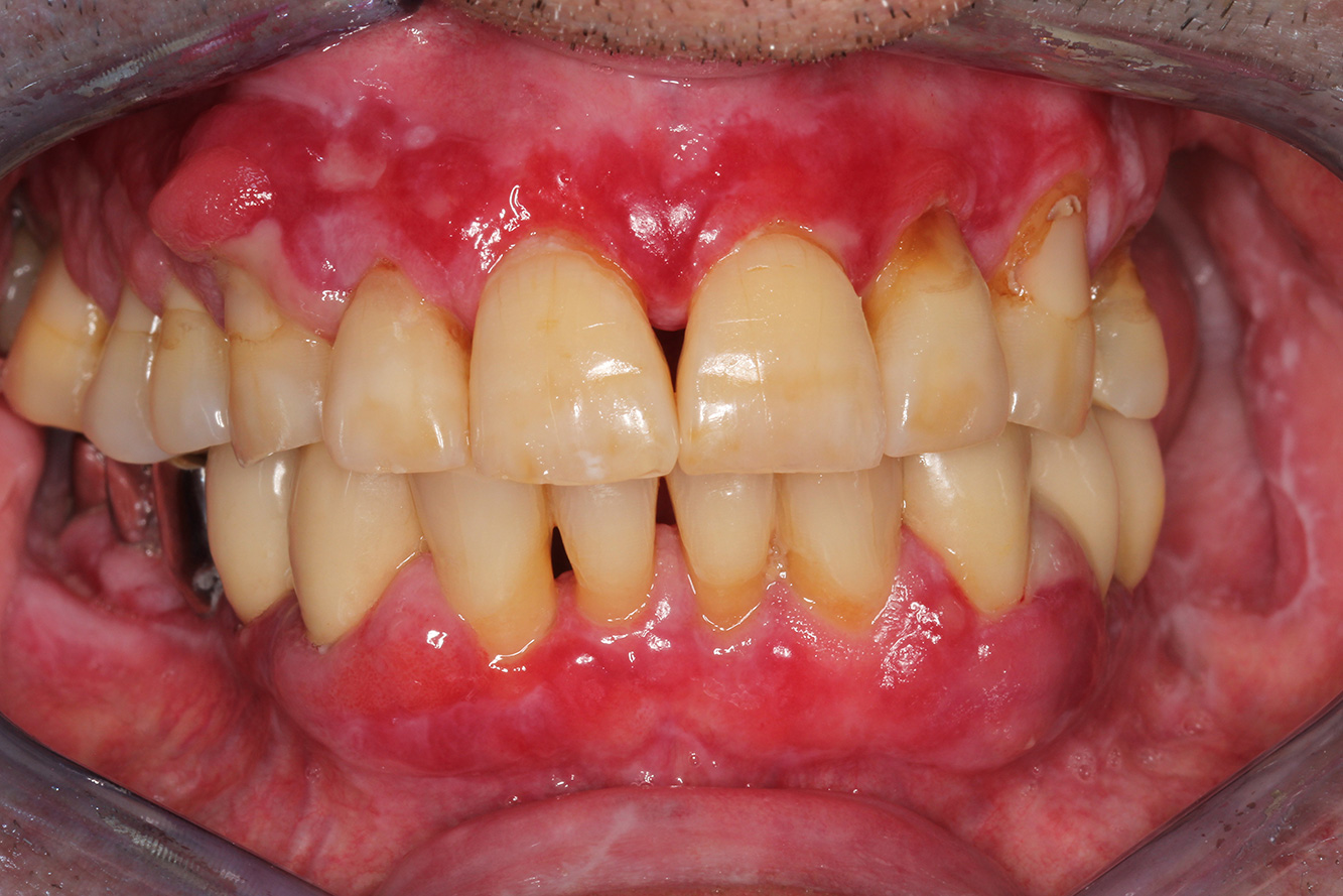
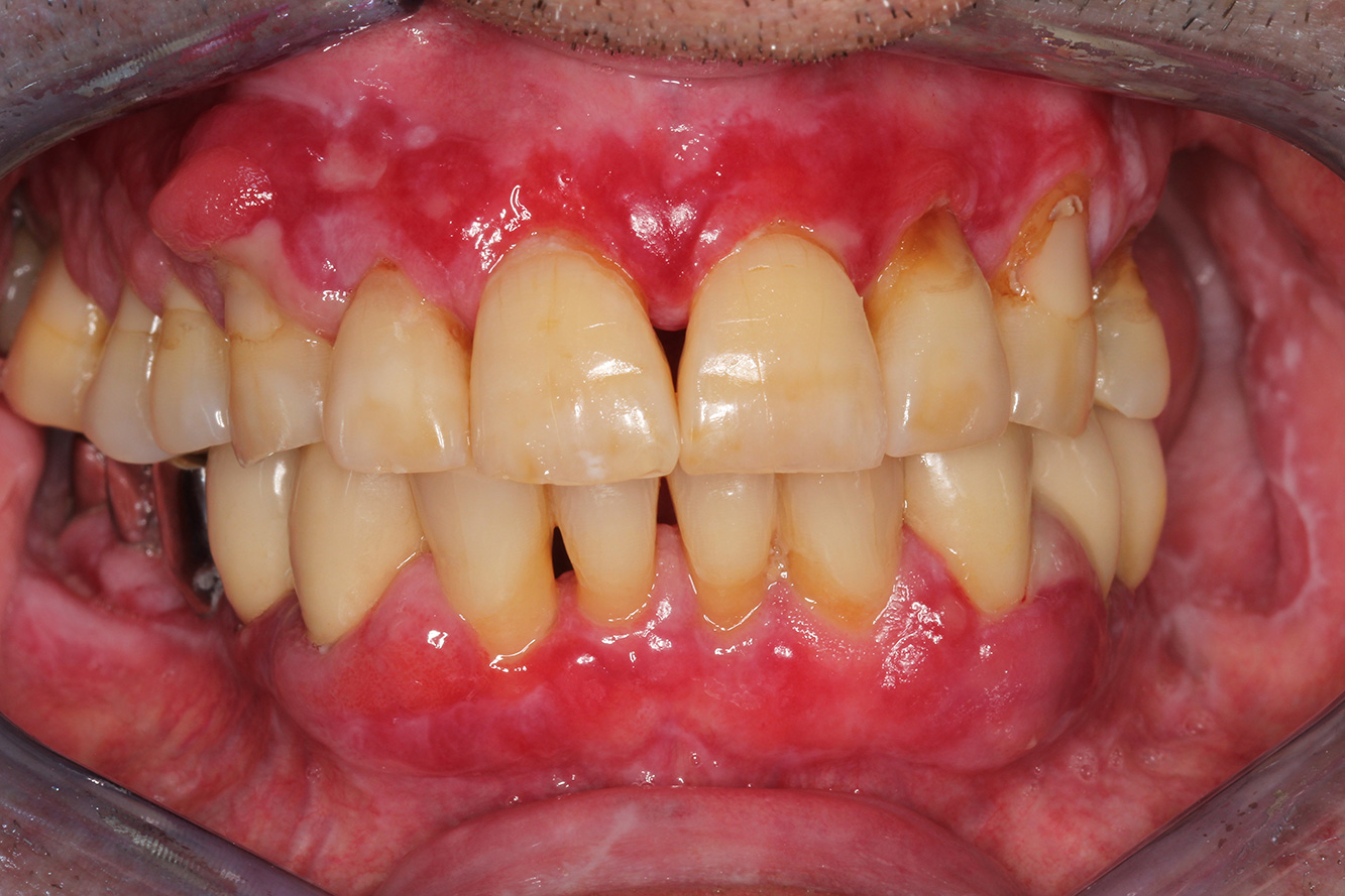
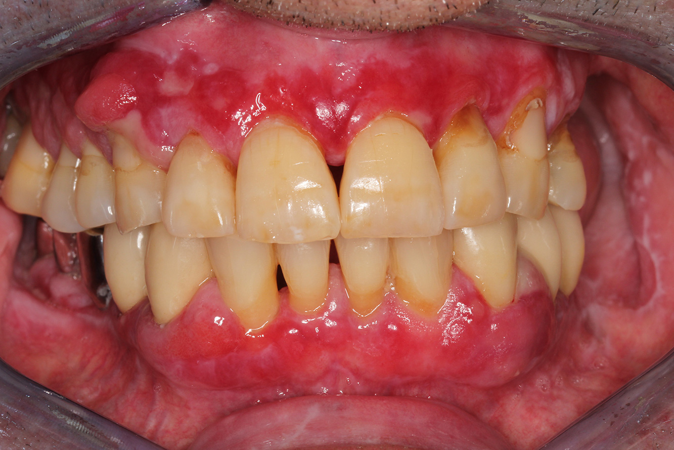
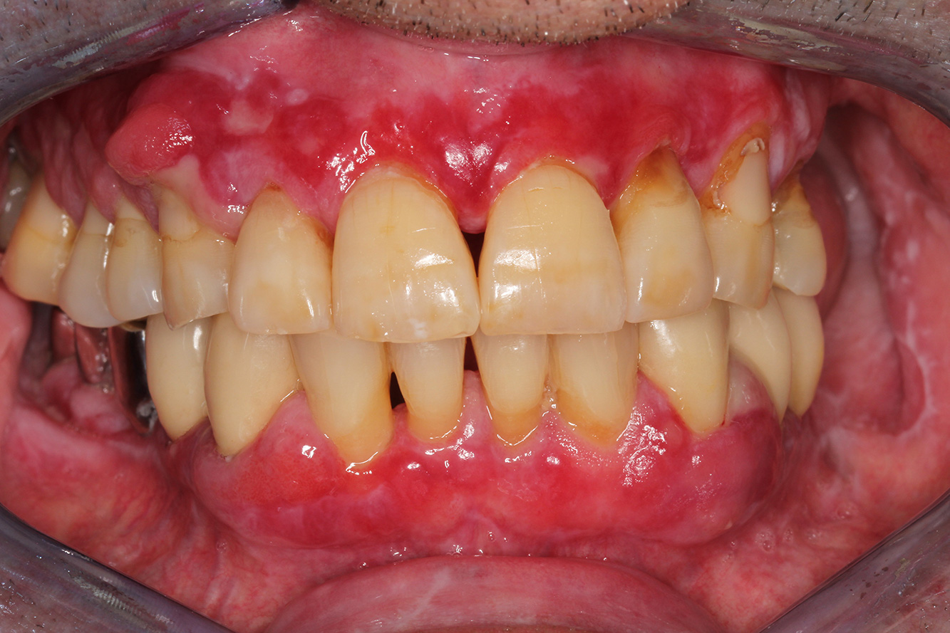
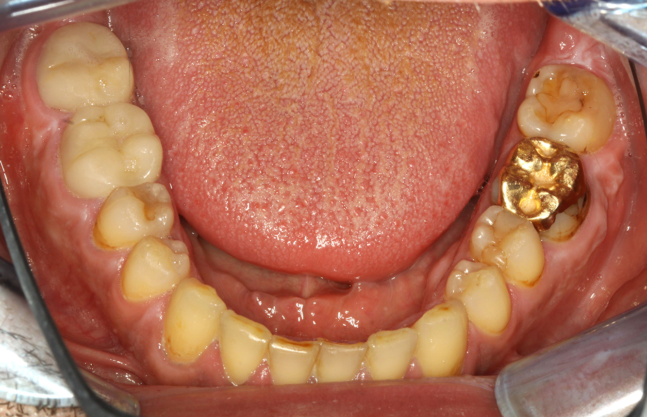
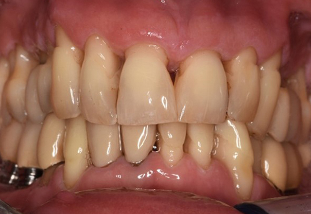
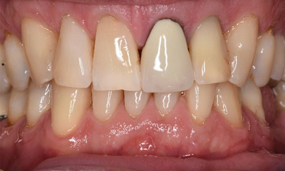
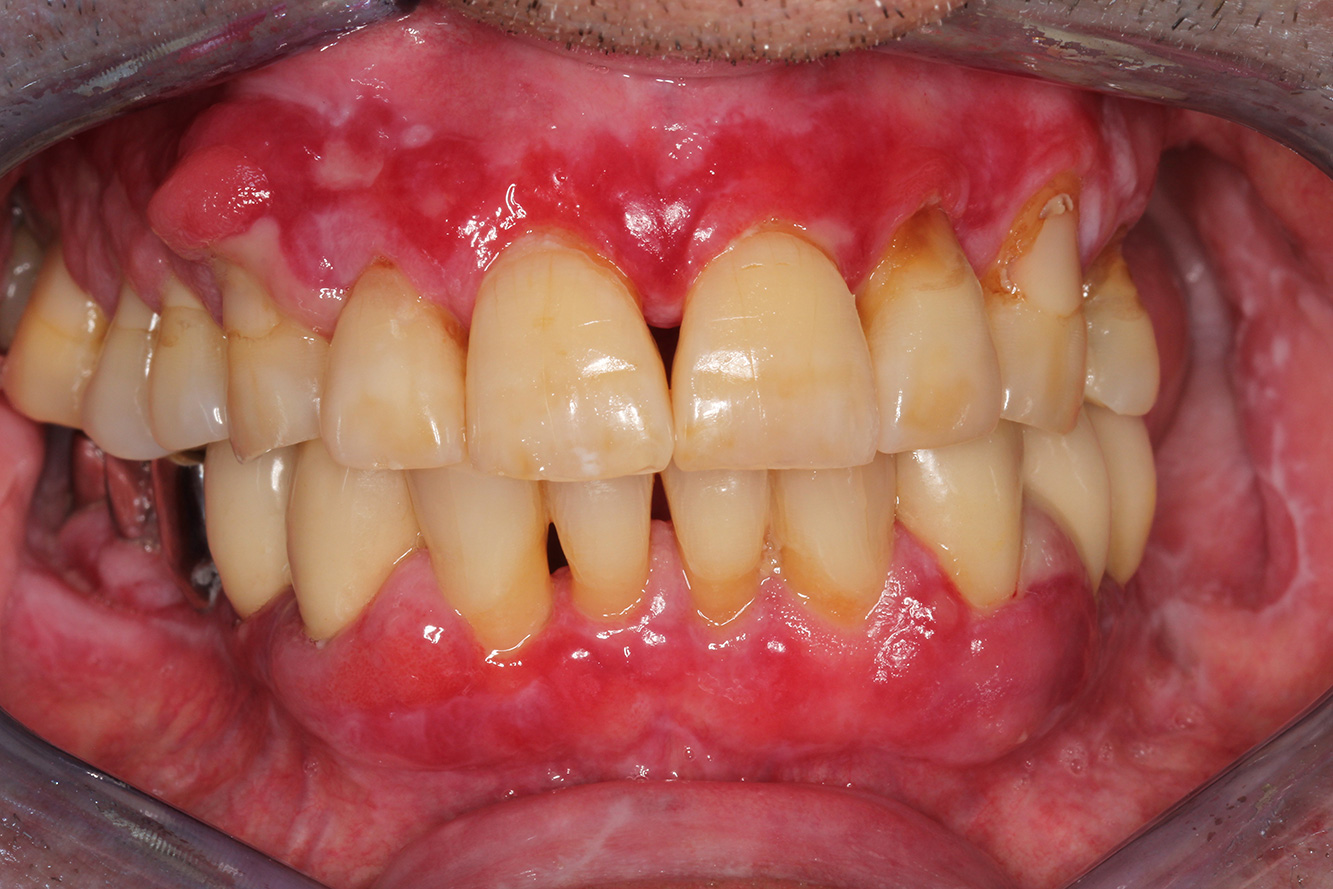
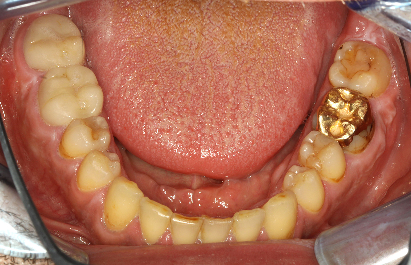
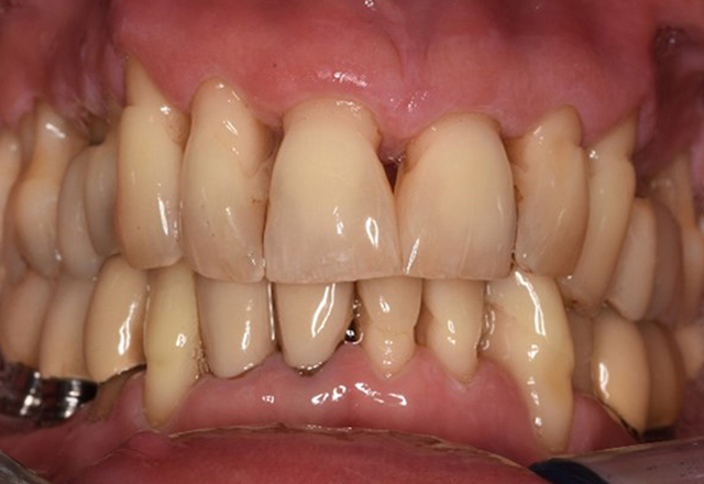
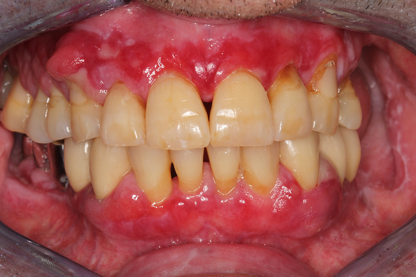
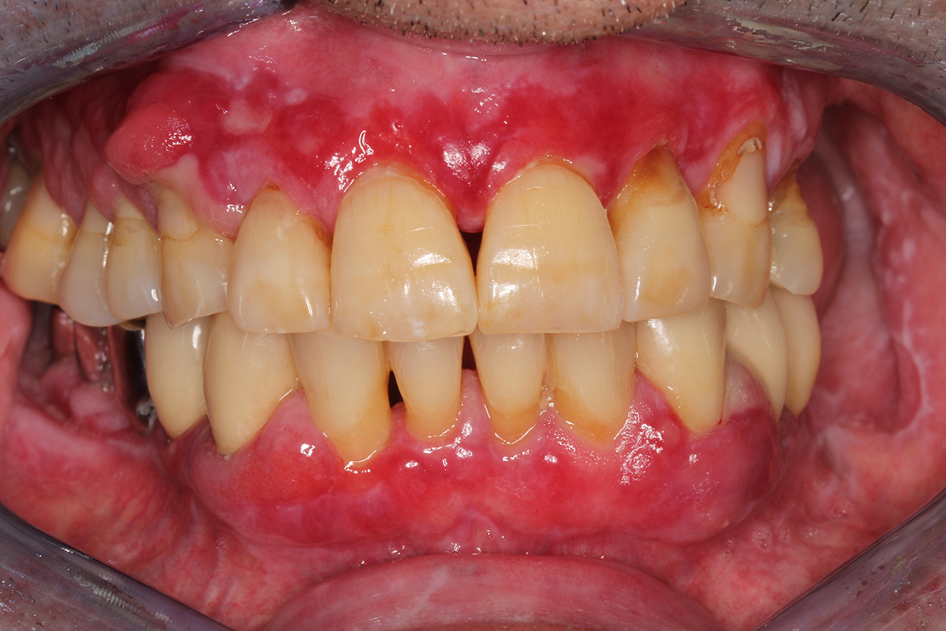
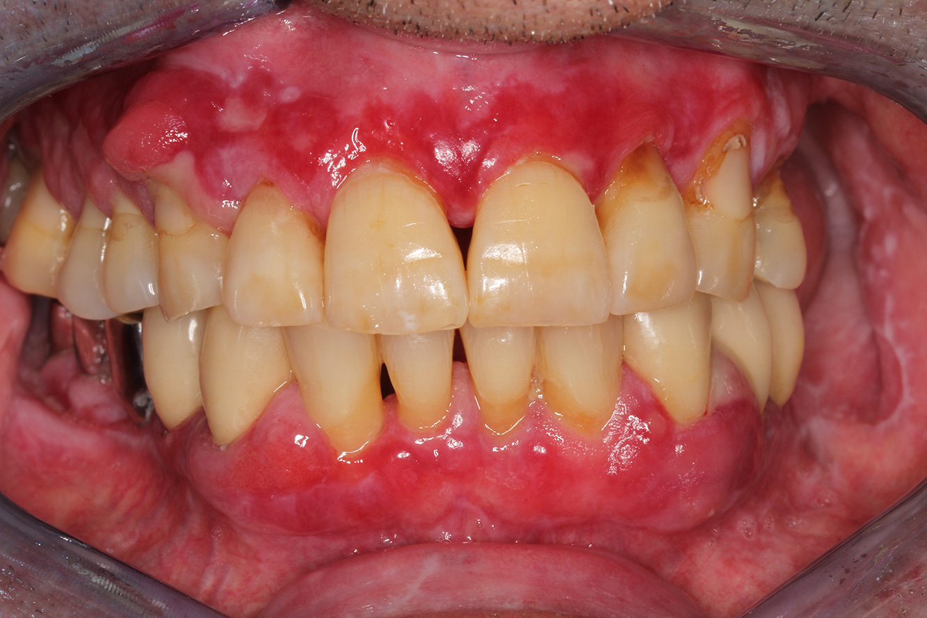
    Paciente transplantado com crescimento gengival excessivo

    Paciente de 71 anos apresenta antecedente de transplante renal e história de hipertonia (hipertensão arterial). Devido ao seu histórico médico, é necessária medicação de longo prazo com ciclosporina para suprimir o sistema imunológico, bem como amlodipina para reduzir a pressão arterial. O paciente também relata gengivas sensíveis e com sangramento. Da perspectiva da saúde bucal, o paciente foi submetido à restauração dentária e faltam oito dentes, crescimento gengival pronunciado e grau B, periodontite estágio II com bolsas ativas e cárie radicular inicial no dente 22. A avaliação de risco das cáries determina um risco moderado de cárie (API 60). As seguintes recomendações de tratamento podem ser determinadas para a sessão de profilaxia.
    mais detalhes

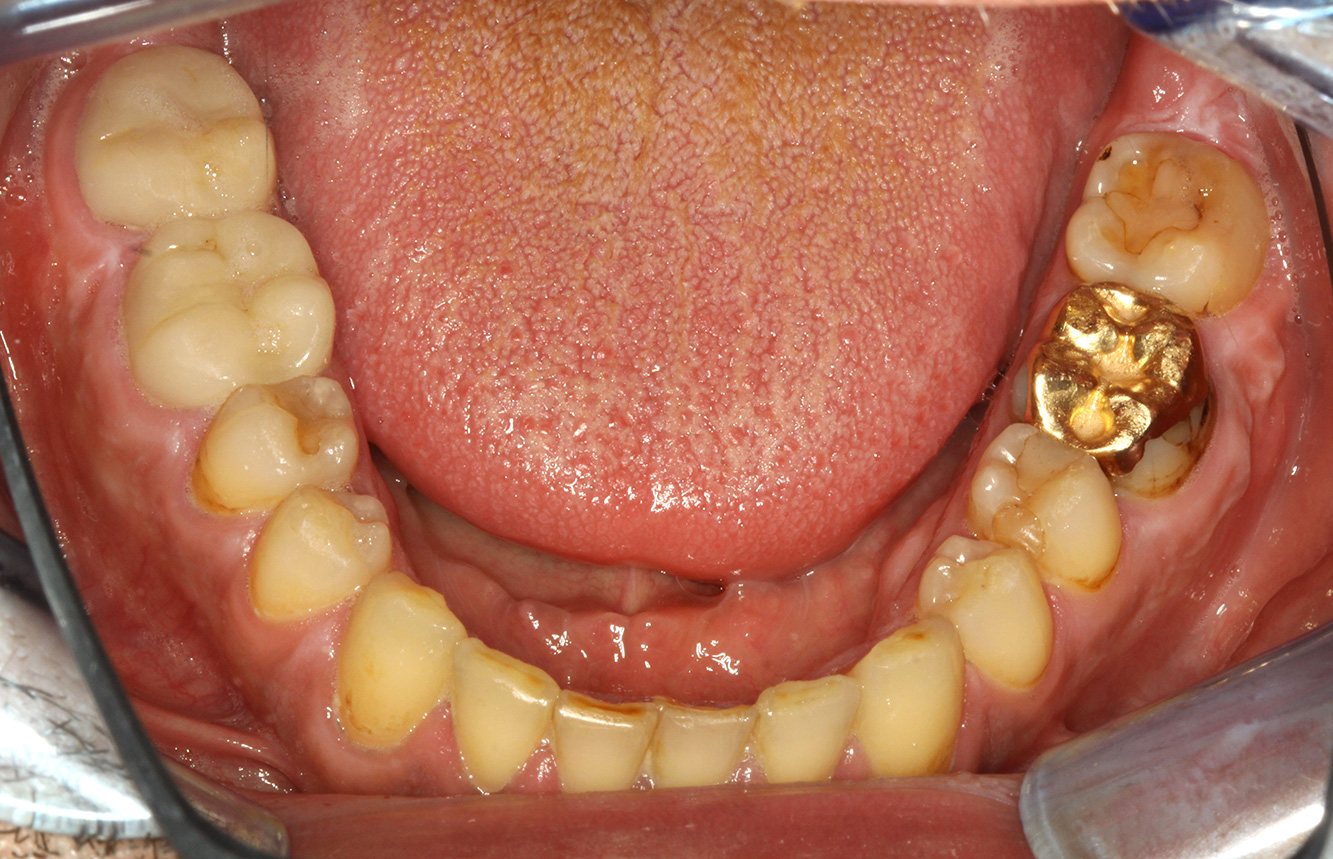
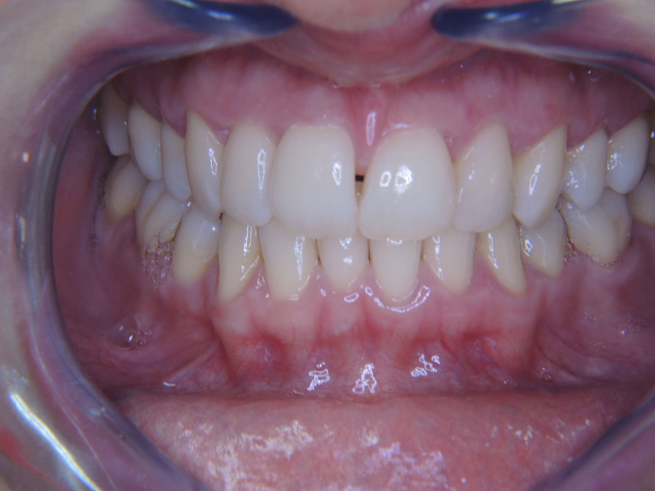
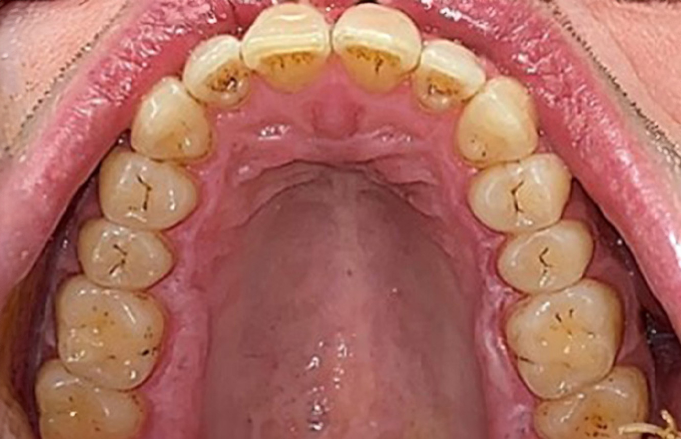
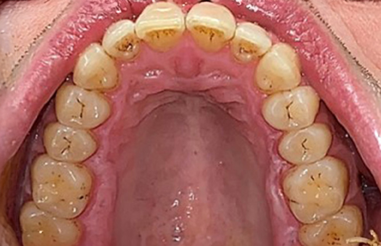
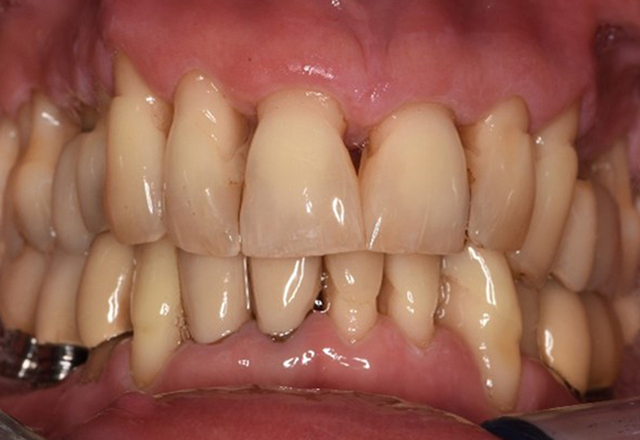
    Paciente saudável com doença periodontal precoce

    O paciente de 68 anos de idade apresenta boas condições gerais de saúde. Não está tomando nenhum medicamento que possa ser relevante para sua saúde bucal e seu estilo de vida não representa qualquer risco particular. O paciente possui dois implantes dentários (3º quadrante, por cinco anos) e um caso anterior de doença periodontal (periodontite estágio IV, grau B) com perda de dente. Atualmente as condições periodontais são estáveis. No entanto, a periodontite aumenta significativamente as complicações biológicas dos implantes e existe um risco de perda do implante (21). Quatro recomendações podem ser determinadas para a sessão de profilaxia.
    mais detalhes

    * gentilmente cedidos pelo Dr. G. Schmalz e Dr. D. Ziebolz, MSc.