NIWOP - Часть 1: Предварительная терапия
Нет имплантологии без пародонтологии
NIWOP - это запланированный алгоритм работы, который начинается задолго до установки имплантата и продолжается после протезирования. Целью является минимизация вероятности осложнений, таких как периимплантологический мукозит и периимплантит, помимо непосредственной установки имплантанта (Derks et al. 2015). Стабилизируя состояние тканей пародонта перед установкой имплантата, этап предварительного лечения создает наилучшие условия для протезирования и в то же время закладывает основу для успешной имплантации в долгосрочной перспективе. При последующей имплантации оптимальное время нагрузки может быть определено с помощью техники измерения стабильности. Это обеспечивает заживление и предотвращает повреждение имплантата. Индивидуально рассчитанный интервал отзыва предназначен для раннего выявления возможных осложнений и обеспечения надлежащей гигиены ротовой полости в домашних условиях. На всех трех этапах рабочий процесс NIWOP сопровождается необходимым ассортиментом соответствующей продукции компании W&H - Proxeo, Implantmed, Piezomed.
Часть 1: Предварительная терапия
Итоги доклада Кристины Бертль, доктора философии MBA, MSc
Желание восстановить полноценную улыбку является не только эстетическим, но и тесно связано с качеством жизни людей. Независимо от причины необходимости протезирования, необходимо тщательно проанализировать, является ли имплантация подходящим решением.
NIWOP решает этот вопрос. С помощью предимплантологической диагностики проводится системная регистрация таких факторов, как системные хронические заболевания и генетические факторы, связанные с заболеваниями пародонта, состояние костной ткани, состояние пародонта (например, PSI - Periodontal Screening Index, BOP - Bleeding on Probing), а также влияние курения.
В случае положительного заключения пародонтологической диагностики, рабочий процесс NIWOP предусматривает первоначальное пародонтологическое лечение (Ackermann 2019), так как у пациентов с хроническими заболеваниями пародонта наблюдается повышенный риск возникновения осложнений при имплантации (например, Renvert et al. 2009, Sousa et al. 2016).
Курение - один из факторов риска
9 факторов, относящихся к здоровью ротовой полости, с одной стороны, и общему состоянию здоровья - с другой, влияют на риск развития пародонтита у пациента. Данные параметры: показатели зондирования, степень потери зубов, резорбция костной ткани, возраст, статус курения, наличие соматических и генетических факторов, состояние гигиены полости рта, соблюдение режима - также используются для определения оптимального интервала между посещениями в рамках предварительной и поддерживающей терапии пародонтита/имплантации. (Hierse et al. 2004).
Несмотря на то, что причины пародонтита в основном бактериальные или обусловлены срабатыванием иммунной защиты, курение остается фактором риска, который можно предотвратить и который оказывает серьезное воздействие. Вещества, содержащиеся в табачном дыме (например, нитрозамины, никотин, углекислый газ, угарный газ и т.д.), помимо прочего, снижают кровоснабжение тканей, подавляют иммунную систему и активность остеобластов, формирующих костную ткань. Следовательно, во время терапии снижается и способность пародонта к заживлению (Faddy et al. 2000). В то же время риск рецидива и прогрессирования пародонтита значительно выше у курильщиков по сравнению с некурящими. Аналогичные результаты наблюдаются и в случае периимплантита: заболеваемость периимплантитом у курильщиков выше на 25% (Casado et al. 2019).
Вспомогательная пародонтологическая терапия - первый шаг к имплантатации
Если анамнез указывает на неопределенное состояние пародонта или если в анамнезе уже имеется пародонтит, перед установкой имплантата следует провести лечение. Если пренебречь этой стабилизирующей терапией, повышается риск воспаления периимплантата и потери имплантатов (Sousa et al. 2016, Monje et al. 2016).
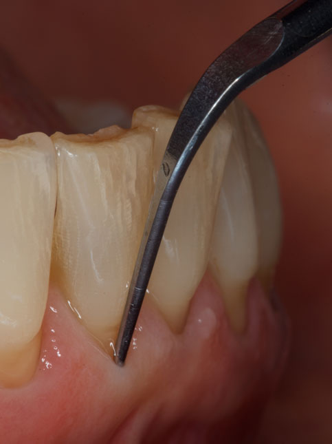
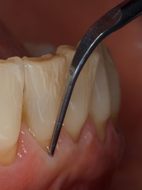
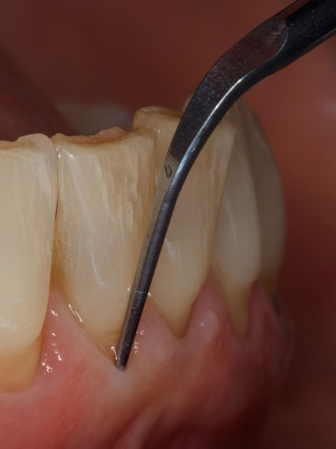
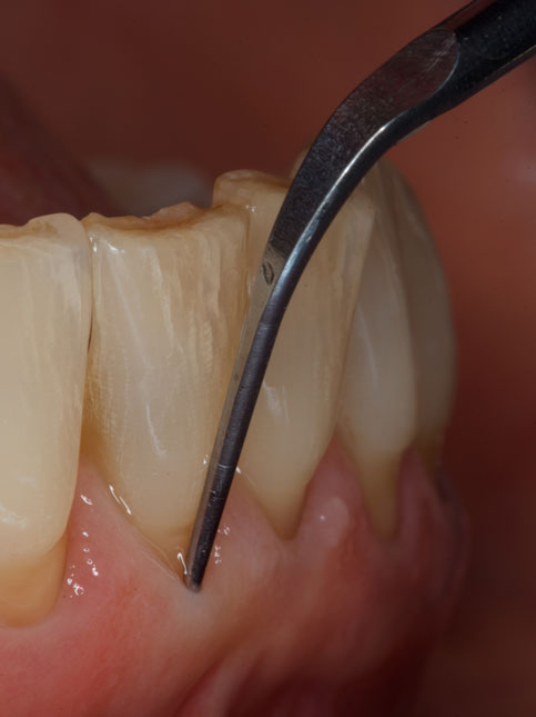
Дополнительно к регулярной оценке пародонтального состояния важно также оценивать другие показатели, связанные со здоровьем полости рта ( наличие системных заболеваний, курение и т.д.). Следующим важным элементом предварительной имплантационной терапии, является механическое удаление биопленки. Благодаря постоянному прогрессу в области медицинских технологий в распоряжении врачей имеется множество высококачественных инструментов, что обеспечивает эффективную и комфортную работу, а также учитывает индивидуальные потребности пациентов. Единственным ограничением является удаление твердых зубных отложений в над- и поддесневых областях, поскольку здесь нет безопасной альтернативы скалерам или кюреткам (Ziebolz et al. 2019). С точки зрения комфорта и эффективности для пациента, звуковые и ультразвуковые системы показывают отличные результаты по сравнению с аналогичными системами (рис. 1). В частности, в сегменте ультразвуковых инструментов процедура лечения может быть дополнительно оптимизирована и для этой растущей группы пациентов (11-й Всемирный обзор кардиостимуляторов) благодаря доказательству совместимости с кардиостимуляторами (единственный обладатель сертификата W&H, Европейский исследовательский центр 0636).
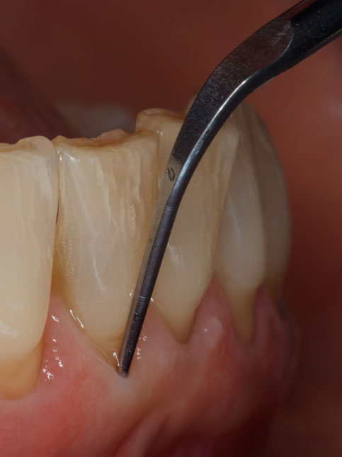
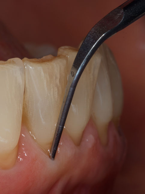
К инструментам, используемым в предварительной имплантационной терапии, относятся также порошковые струйные системы, которые вносят инновационный вклад в над- и поддесневое удаление мягких биопленок с правильно подобранными комбинациями порошка и инструмента (рис. 2). Специальные околозубные наконечники, используемые в соответствии с инструкциями производителя, позволяют безопасно работать даже в глубоких карманах. После удаления биопленки рекомендуется заключительная полировка (рис. 3), с одной стороны, для закрытия ниш для реколонизации бактерий путем сглаживания, а с другой - для получения блестящей поверхности зубов (Wang et al. 2015, Covey et al. 2011).
Еще одним важным аспектом предварительной имплантационной, а также поддерживающей имплантологической терапии, является участие самого пациента. Благодаря домашней гигиене полости рта и 2С - заинтересованности и соблюдению рекомендаций - пациент вносит решающий вклад в поддержание стабильного состояния пародонта и успех имплантации (Тиле Шайперс 2018). Сопутствующая антибиотикотерапия должна применяться в зависимости от степени тяжести и распространенности пародонтита. Оценка степени стабильности проводится повторно через 4-12 недель, поскольку этот период включает в себя как фазу регенерации, так и окончание формирования клинического прикрепления. Степень снижения глубины зондирования и решение о дальнейшем курсе терапии принимается на основании сравнительных показателей от первоначального до повторного зондирования в зависимости от типа/формы зуба и кровоточивости при зондировании (Hierse et al. 2014).


Влияние остаточной глубины зондирования после терапии
Является ли индивидуальная остаточная глубина зондирования в 6-7 мм после активной терапии проблемой? Matuliene et al. (2008) в своем исследовании установили следующие долгосрочные результаты остаточной глубины зондирования:
- Индивидуальная остаточная глубина зондирования 6 мм и более являлась фактором риска ухудшения общей пародонтологической ситуации и потери зубов.
- Несколько остаточных зондов глубиной 5 мм и более являлись фактором риска ухудшения общей пародонтологической ситуации.
- Кровотечение после зондирования удваивает риск последующей потери зубов
- Риск потери зубов при остаточной глубине зондирования 5 мм был увеличен почти в 8 раз, при 6 мм - примерно в 10 раз, а при 7 мм - более чем в 60 раз.
Следовательно, одиночные карманы более 4 мм уже оказывают влияние на пораженный зуб и остальной зубной ряд, что также означает отсутствие подходящих пародонтальных условий для установки имплантата.
Кроме того, в исследовании из Австралии (Cho-Yan Lee et al. 2012) сообщалось о 4-5-кратном увеличении риска периимплантита у пациентов с пародонтитом с остаточной глубиной зондирования (≥6 мм) по сравнению с пациентами с пародонтитом без остаточной глубины зондирования и пародонтологически здоровыми пациентами
Поэтому, если глубина зондирования остается, врачам следует рассмотреть дальнейшие терапевтические шаги, такие как корректирующая пародонтологическая хирургия (Hierse et al. 2004).
Сочетание успешной, начальной терапии пародонтита, скоординированного UPT/UIT и сотрудничества всех заинтересованных лиц позволяет добиться высокой степени интеграции имплантатов - около 92% через 10 лет у пациентов с пародонтитом (Zangrando et al. 2015).
Пародонтологически восстановленный зубной ряд, состояние которого поддерживается надлежащими профилактическими средствами, обеспечивает благоприятные условия для установки имплантатов (Ackermann 2019).
Дополнительная информация
Рекомендации
- Ackermann, KL. (2019) Früh ansetzen mit NIWOP. No Implantology without Periodontology: Ein personalisiertes Vorsorge-, Behandlungs- und Nachsorgekonzept für Implantatpatienten. Z Zahnärztl Implantol, 35.
- Casado, PL., Aguiar, T., Fernandes Pinheiro, MP., Machado, A., da Rosa Pinheiro, A. (2019) Smoking as a Risk Factor for the Development of Periimplant Diseases. Implant Dent Apr, 28(2):120-124.
- Lee, C-Y., Mattheos, JN., Nixon, KC., Ivanovski, S. (2012) Residual periodontal pockets are a risk indicator for peri-implantitis in patients treated for periodontitis. Clin Oral Impl Res, 23: 325–333.
- Covey, DA., Barnes, C., Watanabe, H., Johnson, WW. (2011) Effects of a paste-free prophylaxis polishing cup and various prophylaxis polishing pastes on tooth enamel and restorative materials. General dentistry, 59(6): 466-73; quiz 74-5.
- Derks, J., Tomasi, C. (2015) Peri-implant health and disease. A systematic review of current epidemiology. J Clin Periodontol, 42 Suppl 16: 158-71.
- Faddy, MJ., Cullinan, MP., Palmer, JE., Westerman, B., Seymour, GJ. (2000) Ante-dependence modeling in a longitudinal study of periodontal disease: the effect of age, gender, and smoking status. J Periodontol, 71(3):454-9.
- Hierse, L., Kenschull, M. (2014) Aktuelle Behandlungsmethoden in der Parodontologie. ZWP, 4:66-73.
- Matuliene, G., Pjetursson, BE., Salvi, GE., Schmidlin, K., Brägger, U., Zwahlen, M., Lang, NP. (2008) Influence of residual pockets on progression of periodontitis and tooth loss: Results after 11 years of maintenance. J Clin Periodontol, 35: 685–695.
- Mond, HG., Proclemer, A. (2011) The 11th world survey of cardiac pacing and implantable cardioverter-defibrillators: calendar year 2009-a World Society of Arrhythmia's project. Pacing Clin Electrophysiol, 34(8):1013-27.
- Monje, A., Aranda, L., Diaz, KT., Alarcón, MA., Bagramian, RA., Wang, HL., Catena, A. (2016) Impact of Maintenance Therapy for the Prevention of Peri-implant Diseases: A Systematic Review and Meta-analysis. J Dent Res, 95:372-379.
- Renvert, S., Persson, GR. (2009) Periodontitis as a potential risk factor for peri-implantitis. J Clin Periodontol 36 Suppl 10: 9-14.
- Sousa, V., Mardas, N., Farias, B., Petrie, A., Needleman, I., Spratt, D., Donos, N. (2016) A systematic review of implant outcomes in treated periodontitis patients. Clin Oral Implants Res, 27:787-844.
- Thiele-Scheipers, B. (2018) Patientencompliance als Grundlage erfolgreichen Biofilmmanagements. PNC, available from: https://www.pnc-aktuell.de/prophylaxe/story/patientencompliance-als-grundlage-eines-erfolgreichen-biofilmmanagements__7040.html
- Wang, C., Zhao, Y., Zheng, S., Xue, J., Zhou, J., Tang, Y., et al. (2015) Effect of enamel morphology on nanoscale adhesion forces of streptococcal bacteria: An AFM study. Scanning, 37(5):313-21.
- Zangrando, M.S., Damante, CA., Sant’Ana, AC., Rubo de Rezende, ML., Greghi, SL., Chambrone, L. (2015) Long-term evaluation of periodontal parameters and implant outcomes in periodontally compromised patients: a systematic review. J Periodontol, 86:201-221.
- Ziebolz, D., Kampfmann, B. (2019) Ultraschallaktiviertes Biofilmmanagement. Implantologie Journal, 3:18-24.
комментарии