NIWOP – Part 1: The pre-treatment
No Implantology without Periodontology
NIWOP is a plannable workflow that starts long before implantation and continues beyond the prosthetic restoration. Its goal, aside from actual implant placement, is minimising the incidence of biological complications such as peri-implant mucositis or peri-implantitis (Derks et al. 2015). Through stabilisation of periodontal conditions before implantation, the pre-treatment phase achieves the best-possible conditions for prosthetic treatment and, at the same time, lays the groundwork for the long-term viability of the implant. During the ensuing implantation, stability measurement technology is used to determine the optimal time for loading. In this manner, healing can be ensured and damage to the implant can be prevented. The individually-defined recall interval is used for early detection of possible complications as well as assurance of proper oral hygiene at home. The NIWOP workflow is optimally accompanied in all three phases by the appropriate product palette from W&H – Proxeo, Implantmed, Piezomed.
Part 1: The pre-treatment
as per articles from PD Dr Kristina Bertl, PhD, MBA, MSc
The desire to regain a full smile is not only an aesthetic matter; it is also closely tied to the quality of life of the affected person. Regardless of the reason for the need for dental prostheses, it is also necessary to consider whether implants are a suitable solution.
NIWOP poses this question to itself. Influencing factors such as systemic underlying diseases, genetic factors associated with periodontal disease, bone quality, periodontal conditions (including PSI - Periodontal Screening Index, BOP - Bleeding on Probing) and smoking are recorded systematically during pre-implantation diagnostics.
If periodontal diagnostics are positive, the NIWOP workflow provides for initial periodontal treatment (Ackermann 2019) since patients with underlying periodontal disease have demonstrated a higher risk for implant failures (e.g. Renvert et al. 2009, Sousa et al. 2016).
Smoking as a risk factor
Nine factors that show a correlation to oral health on the one hand, and to general health on the other, affect the risk of periodontitis in patients. These parameters – BOP, probing depths, tooth loss, bone deterioration, age, smoking status, systemic and genetic factors, oral hygiene status, compliance – are also used to determine the optimal recall interval during SPT/SIT (Supportive periodontal/implant therapy) (Hierse et al. 2004).
Even when the causes of periodontitis are primarily bacterial, i.e. they relate to an activated immune system, smoking remains an avoidable risk factor with significant consequences. The substances contained in tobacco smoke (e.g. nitrosamine, nicotine, carbon dioxide, carbon monoxide, etc.) reduce blood flow to the tissues, among other things, and weaken the immune system and the activity of bone-building osteoblasts. As a result, the healing capacity of the periodontium is also reduced during treatment (Faddy et al. 2000). At the same time, the risk for the incidence and progression of periodontitis is significantly elevated in smokers when compared to non-smokers. Comparable results are also obtained for peri-implantitis, with an incidence of peri-implant disease that is up to 25% higher for smokers (Casado et al. 2019).
Supportive periodontal therapy as the first step to an implant
If the medical history shows unsafe periodontal conditions, i.e. if prior periodontal history already exists, SPT must be conducted before implantation. If this stabilisation therapy is disregarded, the risk of peri-implant inflammation and implant loss increases for the affected patient (Sousa et al. 2016, Monje et al. 2016).
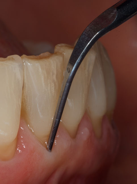
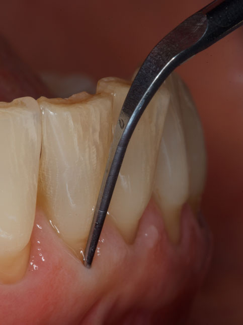
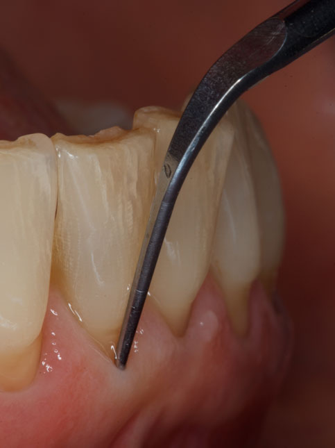
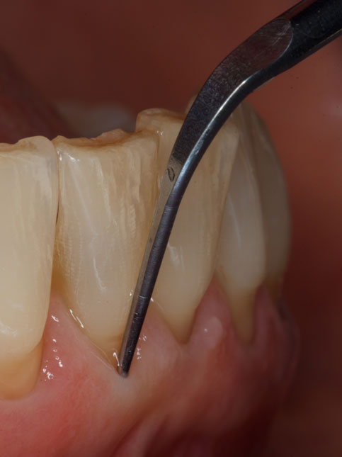
Aside from the routine evaluation of periodontal status, it is also necessary to evaluate additional parameters associated with oral health (systemic diseases, smoking, etc.) Another integral component of SPT is the mechanical removal of biofilm. Thanks to the continuous advances in the field of medical technology, the clinician has at her disposal a variety of high-grade instruments that enable both efficient and comfortable labour, and with which individual patient requirements can also be taken into account. The only limitation lies in the removal of hard plaque in the supra- and subgingival area, as there is no safe alternative to scalers or curettes (Ziebolz et al. 2019). In terms of patient comfort and efficiency, sonic and ultrasonic systems have provided outstanding results when used with the appropriate tip systems (Figure 1). In the ultrasonic device segment, in particular, evidence of pacemaker compatibility (W&H as the only certificate holder, European testing agency 0636) has made it possible for the treatment process for this growing patient group (11th World Survey of Cardiac Pacing) to also be further optimised.
Further instruments in SPT are air polishing systems, which make an innovative contribution to the supra- and subgingival removal of soft biofilms thanks to the suitably balanced combination of powder and device (Figure 2). Special Perio tips, used in accordance with manufacturer specifications and approval, allow for safe work, even in deep pockets. Once biofilms have been removed, a final polishing (Figure 3) is recommended in order to eliminate bacterial recolonisation niches through burnishing, but also to obtain highly polished tooth surfaces (Wang et al. 2015, Covey et al. 2011).
Another important aspect of SPT, but also of SIT (supportive implant therapy) is the patient himself. The patient offers a critical contribution to the maintenance of stable periodontal conditions and to the success of the implant through home oral hygiene and 2C – Commitment and Compliance (Thiele-Scheipers 2018). Adjuvant antibiotic treatment should be conducted in accordance with the severity and extent of the periodontitis. A re-evaluation of the attachment loss is conducted after 4 to 12 weeks, as this time period includes both the healing phase as well as the end of clinical attachment formation. The extent of pocket depth reduction and a decision on the further course of therapy are based on the comparable values obtained from initial probing to re-evaluation probing for each tooth type/shape, and bleeding during probing (Hierse et al. 2014).


The effect of residual pocket depths after therapy
Are isolated residual pocket depths of 6 to 7 mm after active therapy truly a problem? Matuliene et al. (2008) ascertained the following long-term effects of residual pocket depths in their study:
- Isolated residual pocket depths of 6 mm or more were a risk factor for a worsening of the overall periodontal situation and for tooth loss.
- Multiple residual pocket depths of 5 mm or more were a risk factor for a worsening of the overall periodontal situation.
- Bleeding after probing doubled the risk of later tooth loss.
- The risk for tooth loss with a residual pocket depth of 5 mm was increased by almost 8-fold, for 6 mm by about 10-fold, for 7 mm by more than 60-fold.
Consequently, isolated pockets of more than 4 mm already have an impact on the affected tooth and the remaining teeth, whereby suitable periodontal conditions for implantation are also not present.
Furthermore, a study from Australia (Cho-Yan Lee et al. 2012) reports on a 4- to 5-fold increased risk of peri-implantitis among periodontitis patients with residual pocket depths (≥ 6 mm), as compared to periodontitis patients without residual pocket depths and periodontally healthy patients.
Thus, clinicians should give consideration to further therapy steps, such as corrective periodontal surgery, in cases of residual pocket depths (Hierse et al. 2004).
The combination of these measures – successful initial periodontitis therapy, a well-defined SPT/SIT, and the collaboration of the patient – can result in a high implant survival rate of about 92% after 10 years, even among periodontitis patients (Zangrando et al. 2015).
A dentition that is periodontally restored in this manner and is maintained through suitable preventive measures, offers good conditions for implant placement (Ackermann 2019).
more info
References
- Ackermann, KL. (2019) Früh ansetzen mit NIWOP. No Implantology without Periodontology: Ein personalisiertes Vorsorge-, Behandlungs- und Nachsorgekonzept für Implantatpatienten. Z Zahnärztl Implantol, 35.
- Casado, PL., Aguiar, T., Fernandes Pinheiro, MP., Machado, A., da Rosa Pinheiro, A. (2019) Smoking as a Risk Factor for the Development of Periimplant Diseases. Implant Dent Apr, 28(2):120-124.
- Lee, C-Y., Mattheos, JN., Nixon, KC., Ivanovski, S. (2012) Residual periodontal pockets are a risk indicator for peri-implantitis in patients treated for periodontitis. Clin Oral Impl Res, 23: 325–333.
- Covey, DA., Barnes, C., Watanabe, H., Johnson, WW. (2011) Effects of a paste-free prophylaxis polishing cup and various prophylaxis polishing pastes on tooth enamel and restorative materials. General dentistry, 59(6): 466-73; quiz 74-5.
- Derks, J., Tomasi, C. (2015) Peri-implant health and disease. A systematic review of current epidemiology. J Clin Periodontol, 42 Suppl 16: 158-71.
- Faddy, MJ., Cullinan, MP., Palmer, JE., Westerman, B., Seymour, GJ. (2000) Ante-dependence modeling in a longitudinal study of periodontal disease: the effect of age, gender, and smoking status. J Periodontol, 71(3):454-9.
- Hierse, L., Kenschull, M. (2014) Aktuelle Behandlungsmethoden in der Parodontologie. ZWP, 4:66-73.
- Matuliene, G., Pjetursson, BE., Salvi, GE., Schmidlin, K., Brägger, U., Zwahlen, M., Lang, NP. (2008) Influence of residual pockets on progression of periodontitis and tooth loss: Results after 11 years of maintenance. J Clin Periodontol, 35: 685–695.
- Mond, HG., Proclemer, A. (2011) The 11th world survey of cardiac pacing and implantable cardioverter-defibrillators: calendar year 2009-a World Society of Arrhythmia's project. Pacing Clin Electrophysiol, 34(8):1013-27.
- Monje, A., Aranda, L., Diaz, KT., Alarcón, MA., Bagramian, RA., Wang, HL., Catena, A. (2016) Impact of Maintenance Therapy for the Prevention of Peri-implant Diseases: A Systematic Review and Meta-analysis. J Dent Res, 95:372-379.
- Renvert, S., Persson, GR. (2009) Periodontitis as a potential risk factor for peri-implantitis. J Clin Periodontol 36 Suppl 10: 9-14.
- Sousa, V., Mardas, N., Farias, B., Petrie, A., Needleman, I., Spratt, D., Donos, N. (2016) A systematic review of implant outcomes in treated periodontitis patients. Clin Oral Implants Res, 27:787-844.
- Thiele-Scheipers, B. (2018) Patientencompliance als Grundlage erfolgreichen Biofilmmanagements. PNC, available from: https://www.pnc-aktuell.de/prophylaxe/story/patientencompliance-als-grundlage-eines-erfolgreichen-biofilmmanagements__7040.html
- Wang, C., Zhao, Y., Zheng, S., Xue, J., Zhou, J., Tang, Y., et al. (2015) Effect of enamel morphology on nanoscale adhesion forces of streptococcal bacteria: An AFM study. Scanning, 37(5):313-21.
- Zangrando, M.S., Damante, CA., Sant’Ana, AC., Rubo de Rezende, ML., Greghi, SL., Chambrone, L. (2015) Long-term evaluation of periodontal parameters and implant outcomes in periodontally compromised patients: a systematic review. J Periodontol, 86:201-221.
- Ziebolz, D., Kampfmann, B. (2019) Ultraschallaktiviertes Biofilmmanagement. Implantologie Journal, 3:18-24.
comentarios