Professional dental prophylaxis with Young and Proxeo
Author: Babette McLaren-Thomson, Germany
Babette McLaren-Thomson has been working as a specialized dental assistant in the field of dental prophylaxis for over 15 years. Her job is to treat patients prophylaxically. From toddlers up to adults, she treats patients of all ages and also performs complex treatment on patients with periodontitis.
Using an actual case for illustration, McLaren-Thomson discusses the optimal employment of W&H prophylaxis products.

Professional cleaning removes calculus, plaque and discolourations from the tooth surfaces. The aim is to leave behind smooth tooth surfaces and, in doing so, to make it more difficult for bacteria to take hold, i.e. for plaque deposits to develop. A conventional contra-angle handpiece and a polishing cap or brush are generally used to polish the smooth surfaces.
Ergonomic design increases patient comfort
The frequently restricted anatomical situation in the oral vestibule makes it particularly difficult to polish the region of the maxillary molars, particularly if the wisdom tooth is positioned flush. Polishing in the lingual region of the mandibular molars is also made more difficult by high tongue pressure and heavy salivation. Holding the tongue taut can cause the patient to gag or injure the mucous membrane on the underside of the tongue. Due to spatial restrictions, it is advantageous if the contra-angle handpiece and polishing attachment are as slender as possible. This improves patient comfort and makes it possible to perform the polishing under the best ergonomic conditions.
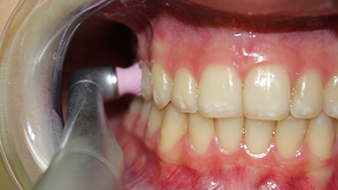
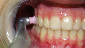
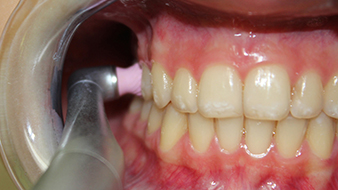
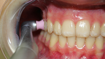
The patient in this case is 18 years old, smokes approx. 10 cigarettes a day and drinks on average 2 cups of coffee a day. Her last check-up and professional cleaning were performed in our dental surgery one year ago. For her oral hygiene the patient uses a sonic toothbrush and she cleans the interdental spaces several times a week with dental floss. Following orthodontic treatment with braces, the patient now wears a lingual retainer in the lower jaw. As this makes it very difficult to clean the interdental spaces in this region, calculus has formed on the lingual and interdental surfaces under the retainer. Calculus has also formed in the region of the salivary ducts in the maxilla. Nicotine and caffeine deposits are visible across the dentition, but especially in the lingual region of the mandible.
Treatment process
- Coarse cleaning: First, the large deposits, e.g. mineralized plaque (calculus) which tends to accumulate opposite the saliva ducts, are removed using sonic or ultrasound, for example with the W&H Piezo Scaler Tigon+.
- Fine cleaning: Then hand instruments, in other words scalers and universal curettes, are used to remove the remaining deposits. The fine working ends of the hand instruments are a practical complement to the coarse cleaning already performed with sonic or ultrasound instruments. In the case of extensive discolourations in particular, for example nicotine deposits or tea/coffee discolourations, the tooth surfaces are still not completely smooth even after this procedure.
- Polishing: Initial cleaning with a powder-water-blasting device is practical for extensive, stubborn discolourations. The mixture of water and powder, which is sprayed against the teeth at high pressure, is particularly efficient at cleaning the interdental spaces. Non-abrasive glycerine products are exclusively used as the powder. This is followed by the final fine polishing with polishing caps, polishing brushes are predominantly employed on the occlusal surfaces and fissure region.
Young polishing caps – the right choice
There is a wide selection of polishing caps available on the market. Unfortunately, however, only a few are suitable for the treatments described above and as such for professional applications. The polishing caps are often too hard, which means that they do not necessarily make contact with all parts of the tooth. The ability of the polishing caps to adapt to the tooth surface is the prerequisite for optimal polishing, as this is the only way to keep sufficient polishing paste on the surface. In addition, many polishing caps only have internal lamellae. Without external lamellae the polishing paste is often sprayed off during the polishing procedure.

The new generation of polishing caps in the Young system should be mentioned as being particularly suitable for this purpose. In combination with the perfectly ergonomically designed Proxeo prophylaxis contra-angle handpiece from W&H there is nothing to prevent you from achieving professional polishing results. The polishing caps can be attached in seconds without difficulty using the screw-in or snap-on technique.
When it comes to selecting the polishing caps, I prefer the medium length, Junior 8.4 mm and Elite Extend Flex LF Cup, and the short polishing caps, Petite 7.0 mm and Elite Flex LF cup, in both soft and extra soft. I particularly like using the extra soft version. This has the advantage of being particularly gentle when polishing the sensitive area around the sulcus. The polishing cap spreads out wide and nestles in closely even on very concave tooth surfaces and in the region of the tooth necks.
Gentle working
During polishing, exposed tooth necks must be dealt with as gently as possible, as dentine has a higher organic content than enamel and substance is quickly lost if polishing is not performed correctly. Only fine polishing pastes, which often have a soft consistency, are used in these regions.
The high capacity of the Young polishing caps to adapt makes it possible to ensure gentle polishing without heating of the dental hard substance. The external lamellae of the Young polishing caps prevent the mixture of saliva and paste from spraying. Even in areas which are difficult to reach, the new, short caps allow simple working, for example in the region where the patient wears her retainer.

Long service life of prophylaxis contra-angle handpieces
I see considerable merits in the combination of the Proxeo contra-angle handpiece from W&H specially designed for prophylaxis applications and the Young polishing attachments. As the polishing attachment lies flush with the head of the contra-angle handpiece it is not possible for polishing paste to collect underneath. Conventional contra-angle handpieces used in prophylaxis are often sent for repair because the fine grinding particles of the polishing pastes find their way into the instrument. The Proxeo design prevents this.
The head of the Proxeo contra-angle handpiece is particularly slender as well as considerably shorter in comparison with conventional contra-angle handpieces. The screw-in or snap-on technique make it possible to attach the polishing caps and brushes in a flash. The Young polishing caps have a smaller diameter than conventional polishing caps, which offers a decisive advantage in cases with restricted space and improves patient comfort.
Simple cleaning promotes high hygiene standards
In addition, Proxeo guarantees hygienic working. This point is gaining ever more importance in light of the dental hygiene directives which have come into focus. The W&H contra-angle handpiece is a leader in the field when it comes to hygiene thanks to its compact and smooth surface. Following usual wipe-down infection it can be easily precleaned with the special attachment nozzles in the thermo washer disinfector. The sterilization procedure can be performed in a standard autoclave. The Proxeo straight handpiece with the Young disposable contra-angle handpiece is also available for training purposes and the treatment of high-risk patients with contagious diseases such as hepatitis and HIV.
The goal of every polishing (to leave the tooth surfaces smooth as gently as possible) is easy to achieve with Proxeo and the new generation of Young polishing attachments, as shown by the example of the patient described above. The system saves time, is hygienic and offers improved patient comfort.




Komentáře