Una profilaxis dental profesional con Proxeo y Young
Autor: Babette McLaren-Thomson / Alemania
Desde hace más de 15 años Babette McLaren-Thomson ejerce su actividad en el sector de la profilaxis dental como asistente técnico odontológico. Su labor principal se centra en el tratamiento de pacientes sometidos a profilaxis, donde además trata a todos los grupos de edad, desde niños pequeños hasta adultos, y realiza tratamientos complicados en pacientes con periodontitis.
Tomando como ejemplo un caso de aplicación concreto, McLaren-Thomson nos habla de la aplicación óptima de los productos para profilaxis de W&H.

La limpieza dental profesional consiste en eliminar sarro, placa y decoloraciones de la superficie del diente. El objetivo es conseguir superficies dentales lisas y, en consecuencia, evitar la reconolización por parte de bacterias, es decir, la acumulación de placa. Para el proceso de pulido de las superficies lisas se utilizan por lo general un contra-ángulo convencional, así como una copa o un cepillo de pulido.
El diseño ergonómico aumenta la comodidad del paciente
Debido a la estrecha estructura de la cavidad bucal, sobre todo en el caso de la existencia de muelas del juicio resulta muy difícil pulir la zona de los molares superiores. Del mismo modo, en la zona lingual de los molares inferiores, el pulido se ve dificultado por la alta presión de la lengua y el alto flujo de saliva, y por otro lado, cuando la lengua está en tensión, existe el riesgo de que se produzcan arcadas o de que la mucosa de la zona situada debajo de la lengua sufra algún daño. Como el espacio existente es muy estrecho, resulta conveniente que el contra-ángulo para profilaxis y la pieza de pulido sean lo más ligeros posible. De este modo, se garantiza un alto nivel de comodidad para el paciente y el pulido puede realizarse en las mejores condiciones ergonómicas.
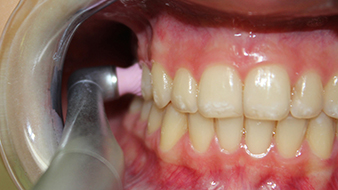
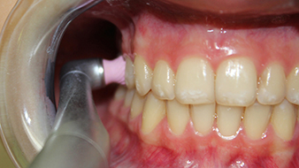
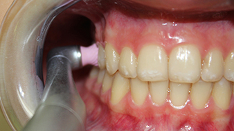
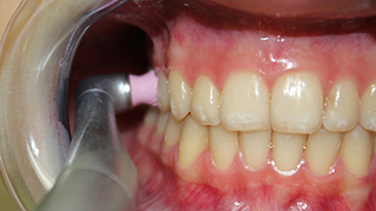
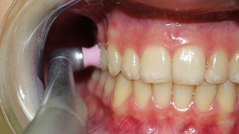
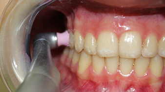
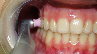
La paciente que se presenta aquí tiene 18 años y al día fuma unos 10 cigarrillos y bebe unas dos tazas de café. La última visita de control, así como la última limpieza dental profesional, se realizaron hace un año en nuestra consulta odontológica. Para su higiene bucal en casa la paciente utiliza un cepillo de dientes sónico y limpia los espacios interdentales varias veces a la semana utilizando seda dental. Tras someterse a un tratamiento de ortodoncia con brackets, la paciente lleva un retenedor lingual en el maxilar inferior. Como el cuidado de los espacios interdentales resulta muy difícil en este punto, se ha formado sarro debajo del retenedor lingual y en las áreas interdentales. Asimismo, también se ha formado sarro en la zona de los conductos salivales. Hay nicotina y depósitos de café en toda la dentadura, en particular en la zona lingual del maxilar inferior.
Desarrollo del tratamiento
- Primera depuración: En primer lugar se utiliza ultrasonidos, por ejemplo, con el Piezo Scaler Tigon+ de W&H, para eliminar los depósitos más visibles, es decir, la placa mineralizada (el sarro) que se acumula preferentemente en los conductos salivales.
- Depuración refinada: A continuación, se utilizan instrumentos de mano, como son los eliminadores de sarro y las curetas universales, para eliminar los depósitos que quedan aún. Los finos extremos de trabajo de los instrumentos de mano permiten complementar adecuadamente la primera depuración sónica o ultrasónica. En particular en el caso de decoloraciones intensas, como sucede en los depósitos de nicotina o en las decoloraciones debidas al té o al café, las superficies del diente no quedan totalmente lisas incluso después de este proceso de trabajo.
- Pulido: En el caso de decoloraciones muy extendidas y fijadas es recomendable realizar una primera limpieza con un aparato de chorro de agua y polvo, ya que esta mezcla llega a los dientes con alta presión limpiando las zonas interdentales de una forma especialmente eficaz. Como polvo se utilizan exclusivamente productos de glicina no abrasivos. Acto seguido, se procede al pulido fino final con copas de pulido, mientras que los cepillos de pulido se utilizan sobre todo en las superficies oclusales y en el área de fisura.
Copas de pulido Young: la opción adecuada
El mercado ofrece una gran cantidad de copas de pulido. No obstante, lamentablemente muy pocas resultan apropiadas para tratamientos como los descritos antes, por lo que no pueden utilizarse sin problemas en el ámbito profesional. Con frecuencia las copas de pulido son muy duras, lo que significa que no necesariamente hacen contacto con todas las partes del diente. La capacidad de adaptación de las copas de pulido a la superficie del diente es una condición indispensable para obtener un pulido óptimo, ya que solo así puede mantenerse una cantidad suficiente de pasta de pulido en la superficie. Además, muchas copas de pulido disponen únicamente de discos internos.

Así, como no hay discos externos, durante el proceso de pulido se produce con frecuencia una salpicadura de la pasta de pulido. La nueva generación de copas de pulido del sistema Young resulta especialmente adecuada a este respecto. En combinación con el contra-ángulo para profilaxis Proxeo de W&H, que presenta una ergonomía perfecta, el pulido profesional podrá realizarse sin obstáculos ni dificultades. La colocación de las copas de pulido resulta sencilla gracias a la tecnología Screw-In o Snap-On y puede realizarse en tan solo unos segundos.
A la hora de seleccionar las copas de pulido prefiero la longitud mediana, Junior 8,4 mm y Elite Extend Flex LF Cup, así como las copas de pulido cortas, Petite 7,0 mm y Elite Flex LF Cup, cada una en la versión blanda y extra blanda. Me gusta especialmente utilizar el modelo extra blando, pues este presenta la ventaja de que pule sin dañar la zona del surco que es muy sensible. La copa de pulido se abre ampliamente y se adhiere especialmente bien incluso en superficies dentales muy cóncavas o en el área de los cuellos dentales.
Un trabajo suave
Durante el pulido de cuellos dentales expuestos, es preciso proceder de la forma más cuidadosa posible, pues la dentina tiene un alto contenido en materia orgánica en el esmalte y, si el pulido no se realiza de la forma correcta, es muy fácil que se produzcan pérdidas de la sustancia dental. En estas zonas se trabaja únicamente con pastas de pulido finas que, con frecuencia, tienen una consistencia blanda.
Gracias a la capacidad de adaptación de las copas de pulido Young, se garantiza un pulido cuidadoso, sin que se produzca un calentamiento del tejido duro dental. La salpicadura de la mezcla de pasta y saliva se evita gracias a los discos externos de las copas de pulido Young. Incluso en las áreas de difícil acceso las nuevas copas cortas permiten un manejo sencillo, como sucede, por ejemplo, en el área donde la paciente lleva el retenedor.

Vida útil excepcional de los contra-ángulos para profilaxis
Creo que la combinación del contra-ángulo Proxeo de W&H, especialmente concebido para la profilaxis, y de las piezas de pulido Young presenta unas ventajas esenciales. Como la pieza de pulido limita justo con el cabezal del contra-ángulo, no se depositan restos de la pasta de pulido en la parte inferior. Con frecuencia es preciso reparar los contra-ángulos convencionales que se utilizan en profilaxis, pues las finas partículas de amolado de las pastas de pulido penetran en el instrumento. Con Proxeo esto puede evitarse. El cabezal del contra-ángulo Proxeo es especialmente ligero y mucho más corto que los de los contra-ángulos convencionales.
Además, gracias a la técnica Screw-In o Snap-On las copas y los cepillos de pulido se incorporan en tan solo unos segundos. Las copas de pulido Young tienen un diámetro inferior al de las copas de pulido convencionales, lo que supone una ventaja decisiva en espacios estrechos y aumenta la comodidad del paciente.
Su fácil limpieza satisface los más altos estándares de higiene
Por otro lado, Proxeo garantiza un método de trabajo higiénico. Un punto que cobra cada vez más importancia a efectos de las directivas sobre higiene dental que forman el centro de atención actual. En lo que respecta a la higiene, el contra-ángulo de W&H convence por su superficie compacta y lisa. Después de la desinfección habitual mediante un paño desinfectante, existe la posibilidad de realizar una sencilla limpieza previa en el termodesinfectador en las boquillas de inserción previstas a tal fin. El proceso de esterilización puede realizarse con cualquier autoclave convencional. Para sesiones de formación o el tratamiento de pacientes de riesgo con enfermedades contagiosas, como la hepatitis o el VIH, puede utilizarse además la pieza de mano Proxeo con contra-ángulo desechable Young.
El objetivo de cualquier pulido, que consiste en dejar una superficie dental lisa de la forma más cuidadosa posible, ha podido conseguirse con Proxeo y la nueva generación de piezas de pulido Young, incluso en el caso de la paciente citada arriba. El sistema ahorra tiempo, es higiénico y proporciona una alta comodidad al paciente.




comentarios