Professionelle Zahnprophylaxe mit Young und Proxeo
Autorin: Babette McLaren-Thomson / Deutschland
Babette McLaren-Thomson ist seit über 15 Jahren als Zahnmedizinische Fachhelferin (ZMF) im Bereich der zahnärztlichen Prophylaxe tätig. Ihre Aufgabe liegt in der Behandlung von Prophylaxe-Patienten. Vom Kleinkind bis zum Erwachsenen behandelt sie alle Altersklassen, zusätzlich führt sie diffizile Behandlungen am Parodontitis-Patienten durch.
Anhand eines konkreten Anwendungsfalls spricht McLaren-Thomson über den optimalen Einsatz von W&H Prophylaxe-Produkten.

Bei der professionellen Zahnreinigung werden Zahnstein, Plaque und Verfärbungen von den Zahnoberflächen entfernt. Ziel ist es, glatte Zahnoberflächen zu hinterlassen und somit die Neuansiedlung von Bakterien, d.h. das Anlagern von Plaque, zu erschweren. Für den Poliervorgang der Glattflächen verwendet man in der Regel ein konventionelles Winkelstück sowie eine Polierkappe oder -bürste.
Ergonomisches Design erhöht Patientenkomfort
Durch die oft beengten anatomischen Verhältnisse im Vestibulum ist es insbesondere bei Anlage des Weisheitszahnes schwierig, den Bereich der Oberkiefermolaren zu polieren. Auch im lingualen Bereich der Unterkiefermolaren wird das Polieren bei hohem Zungendruck und starkem Speichelfluss erschwert. Es besteht die Gefahr, bei angespannter Zunge den Würgereiz auszulösen oder die Schleimhaut im Unterzungenbereich zu verletzen. Aufgrund beengter Platzverhältnisse ist es von Vorteil, wenn das Prophylaxe-Winkelstück und der Polieraufsatz so zierlich wie möglich gestaltet sind. So wird ein hoher Patientenkomfort sicher gestellt und die Politur kann unter ergonomisch besten Voraussetzungen durchgeführt werden.
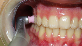
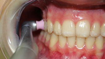
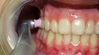
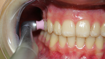
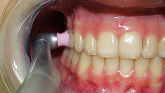
Die hier vorgestellte Patientin ist 18 Jahre alt, raucht etwa 10 Zigaretten und trinkt in etwa 2 Tassen Kaffee pro Tag. Die letzte Kontrolluntersuchung sowie die letzte professionelle Zahnreinigung wurden vor einem Jahr in unserer Zahnarztpraxis durchgeführt. Für die häusliche Mundhygiene benutzt die Patienten eine Schallzahnbürste, die Interdentalräume reinigt sie mehrmals pro Woche mit Zahnseide. Nach einer kieferorthopädischen Behandlung mit Brackets trägt die Patientin im Unterkiefer lingual einen Retainer. Da die Interdentalraumpflege dort sehr erschwert ist, hat sich unter dem Retainer lingual und interdental Zahnstein gebildet. Auch im Oberkiefer hat sich im Bereich der Speichelausführungsgänge Zahnstein gebildet. Nikotin sowie Kaffeebeläge sind am gesamten Gebiss, insbesondere jedoch im Unterkiefer lingual zu sehen.
Behandlungsablauf
- Grobdepuration: Zuerst entfernt man mittels Schall- oder Ultraschall, zum Beispiel mit dem Piezo Scaler Tigon+ von W&H, die groben Beläge, d.h. die mineralisierte Plaque (Zahnstein), die sich bevorzugt gegenüber den Speichelausgängen bildet.
- Feindepuration: Danach entfernt man mit Handinstrumenten, sprich Scalern und Universalküretten, die noch zurückgebliebenen Ablagerungen. Die feinen Arbeitsenden der Handinstrumente erlauben eine sinnvolle Ergänzung zu der mittels Schall- oder Ultraschall durchgeführten Grobdepuration. Insbesondere bei starken Verfärbungen, wie etwa Nikotinablagerungen oder Tee-, Kaffeeverfärbungen, sind auch nach diesem Arbeitsgang die Zahnoberflächen noch nicht ganz glatt.
- Politur: Bei sehr umfangreichen, festsitzenden Verfärbungen ist eine Erstreinigung, mit einem Pulver-Wasser-Strahlgerät sinnvoll. Das Gemisch aus Wasser und Pulver, welches mit Hochdruck auf die Zähne trifft, reinigt besonders gut im interdentalen Bereich. Als Pulver werden ausschließlich nicht abrasive Glycinprodukte verwendet. Danach folgt die End-Feinpolitur mit Polierkappen, Polierbürsten finden ihre Anwendung vorwiegend im Kauflächen- und Fissurenbereich.
Young Polierkappen – die richtige Wahl
Am Markt gibt es eine große Auswahl an Polierkappen. Leider sind jedoch nur wenige für Behandlungen wie oben beschrieben geeignet und damit für den professionellen Bereich sinnvoll. Häufig sind die Polierkappen zu hart, wodurch keine ausreichende Adaption gegeben ist. Die Anpassungsfähigkeit der Polierkappen an die Zahnoberfläche ist Grundvoraussetzung für eine optimale Politur, denn nur so kann ausreichend Polierpaste an den Oberfläche gehalten werden. Darüber hinaus verfügen viele Polierkappen nur über Innenlamellen. Durch fehlende Außenlamellen kommt es beim Poliervorgang oft zum Wegspritzen der Polierpaste.

Die neue Polierkappengeneration aus dem System Young ist hierbei als besonders geeignet hervorzuheben. In Kombination mit dem ergonomisch perfekt geformten Prophylaxe-Winkelstück Proxeo von W&H steht der professionellen Politur nichts mehr im Wege. Das Aufsetzen der Polierkappen ist durch die Screw-In oder Snap-On Technik unkompliziert und sekundenschnell durchführbar.
Bei der Auswahl der Polierkappen bevorzuge ich die mittlere Länge, Junior 8,4mm und Elite Extend Flex LF Cup, sowie die kurzen Polierkappen, Petite 7,0 mm und Elite Flex LF Cup, jeweils in weich und extra weich. Besonders gerne verwende ich die extra weiche Ausführung. Diese hat den Vorteil, besonders schonend im empfindlichen Bereich des Sulcus zu polieren. Die Polierkappe spreizt sich weit auf und schmiegt sich auch bei sehr konkaven Zahnoberflächen sowie im Bereich der Zahnhälse besonders gut an.
Substanzschonend arbeiten
Bei der Politur freiliegender Zahnhälse muss so schonend wie möglich gearbeitet werden, da Dentin aus einem höheren organischen Anteil besteht als Schmelz und es bei unsachgemäßer Politur schnell zu Substanzverlusten kommen kann. In diesen Bereichen wird nur mit feinen Polierpasten gearbeitet, die häufig eine weiche Konsistenz haben.
Durch die hohe Adaptionsfähigkeit der Young Polierkappen kann eine schonende Politur - ohne Erwärmung des Zahnhartgewebes - gewährleistet werden. Ein Wegspritzen des Speichel-Pasten-Gemischs wird durch die Außenlamellen der Young Polierkappen verhindert. Selbst bei schwer zugänglichen Arealen ermöglichen die neuen kurzen Kappen ein einfaches Handling, wie z.B. im Retainer-Bereich der Patientin.

Hohe Lebensdauer von Prophylaxe-Winkelstücken
In der Kombination des speziell für die Prophylaxe bestimmten W&H Winkelstücks Proxeo und den Young Polieraufsätzen sehe ich wesentliche Vorteile. Da der Polieraufsatz unmittelbar an den Kopf des Winkelstücks angrenzt, können sich keine Reste der Polierpaste darunter absetzen. Häufig befinden sich konventionelle Winkelstücke, die in der Prophylaxe angewendet werden, in der Reparatur, weil die feinen Schleifpartikel der Polierpasten in das Instrument dringen. Mit Proxeo kann dies vermieden werden.
Der Kopf des Proxeo Winkelstücks ist besonders zierlich und im Vergleich zu konventionellen Winkelstücken wesentlich kürzer. Durch die Screw-In- oder Snap-On-Technik sind die Polierkappen und -bürsten in Sekundenschnelle angebracht. Die Young Polierkappen haben einen geringeren Durchmesser als herkömmliche Polierkappen, was bei beengten Platzverhältnissen einen entscheidenden Vorteil bedeutet und den Patientenkomfort erhöht.
Einfache Reinigung unterstützt hohe Hygienestandards
Darüber hinaus kann mit Proxeo eine hygienische Arbeitsweise garantiert werden. Ein Punkt, der angesichts der in den Fokus gerückten zahnmedizinischen Hygiene-Richtlinien immer mehr an Bedeutung gewinnt. Das Winkelstück von W&H überzeugt beim Thema Hygiene durch seine kompakte und glatte Oberfläche. Nach der üblichen Wischdesinfektion besteht die Möglichkeit der unkomplizierten Vorreinigung im Thermodesinfektor auf den dafür vorgesehenen Aufsteckdüsen. Der Sterilisationsvorgang kann mit jedem handelsüblichen Autoklaven erfolgen. Für den Schulungsbereich oder die Behandlung von Risikopatienten mit ansteckenden Krankheiten, wie Hepatitis oder HIV, steht zusätzlich das Proxeo-Handstück mit Young-Einwegwinkelstück zur Verfügung.
Das Ziel einer jeden Politur, so schonend wie möglich, eine glatte Oberfläche auf den Zahnoberflächen zu hinterlassen, konnte mit Proxeo und der neuen Generation der Young Polieraufsätze, auch im Falle der oben genannten Patientin, erreicht werden. Das System spart Zeit, ist hygienisch und bietet einen erhöhten Patientenkomfort.




Kommentare