Prothetische Sofortversorgung mit der Fast & Fixed-Methode
Für reproduzierbare Erfolge im Rahmen von komplexen oralen Rehabilitationen sollte das zusammenarbeitende Team aus Einzelspielern und Komponenten bestehen, die immer zuverlässig und mit höchster Expertise agieren. Dazu gehören ein gut ausgebildetes und erfahrenes chirurgisches Ensemble, ein zuverlässiges und erforschtes Implantatsystem, eine moderne technische Ausstattung und ein ebenfalls fachkundiges zahntechnisches Labor.
Klinischer Fall
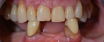
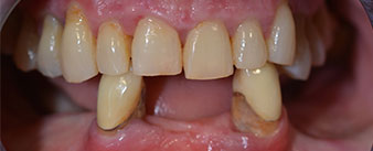
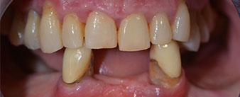
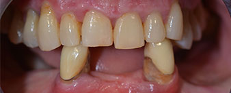
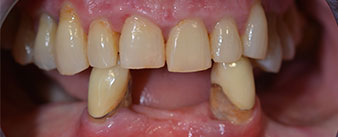
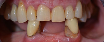
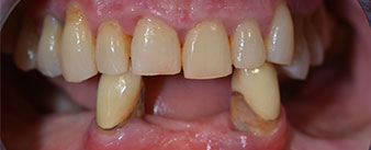
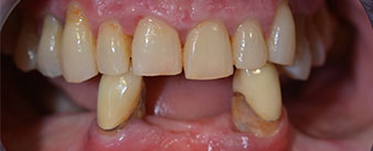
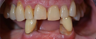
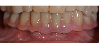
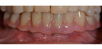
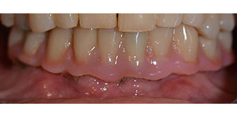
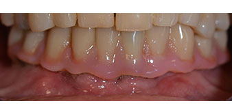
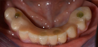
Die 64-jährige Patientin wurde mit einer Unterkiefer-Restbezahnung 38, 33 und 43 und einer klammerbefestigten Interimsprothese im Unterkiefer vorstellig (Abb. 1 und 2).


Die notwendige parodontologische Behandlung und Extraktion im Oberkiefer sollte zu einem späteren Zeitpunkt erfolgen, da die Patientin Lehrerin ist und zu dem Zeitpunkt mit Abiturprüfungen beschäftigt war. Sie konnte weder essen noch adäquat sprechen, da die Interimsprothese sehr häufig und bei der kleinsten Belastung brach.
Nach der Aufklärung über die verschiedenen Möglichkeiten der Versorgung entschied sich die Patientin für eine Extraktion der Restbezahnung im Unterkiefer, eine Sofortimplantation und Versorgung mit der sogenannten Fast & Fixed-Methode (bredent medical). Hierbei wird der provisorische festsitzende Zahnersatz bereits am OP-Tag auf vier Implantaten verschraubt. Das Ziel war, die Patientin am Freitag zu operieren, sodass sie am Montag darauf an den mündlichen Abiturprüfungen teilnehmen konnte.
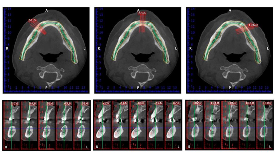
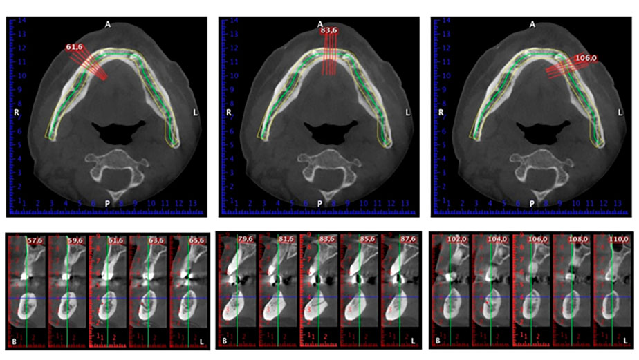
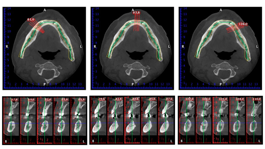
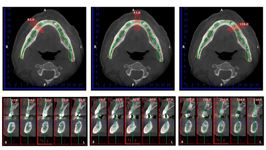
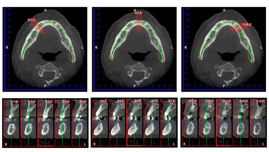
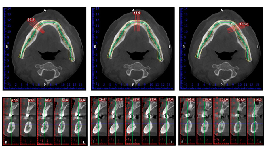
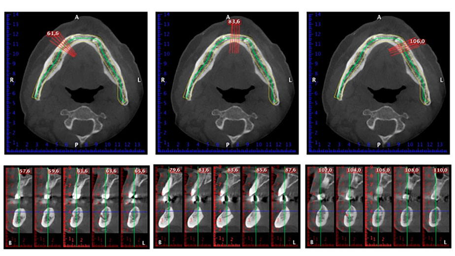
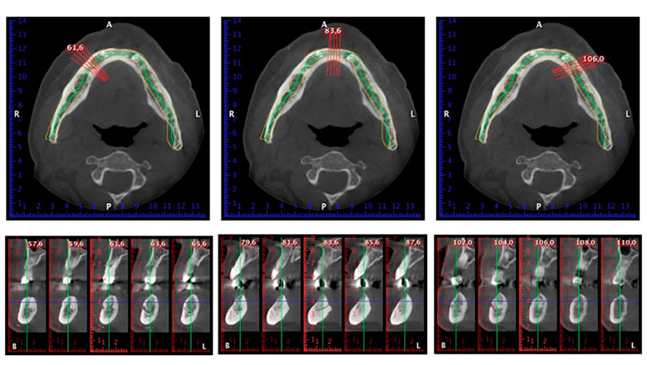
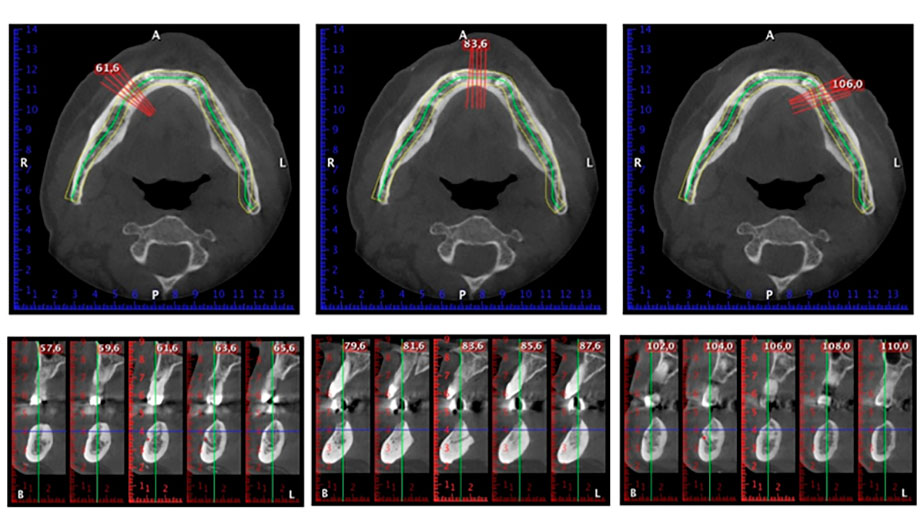
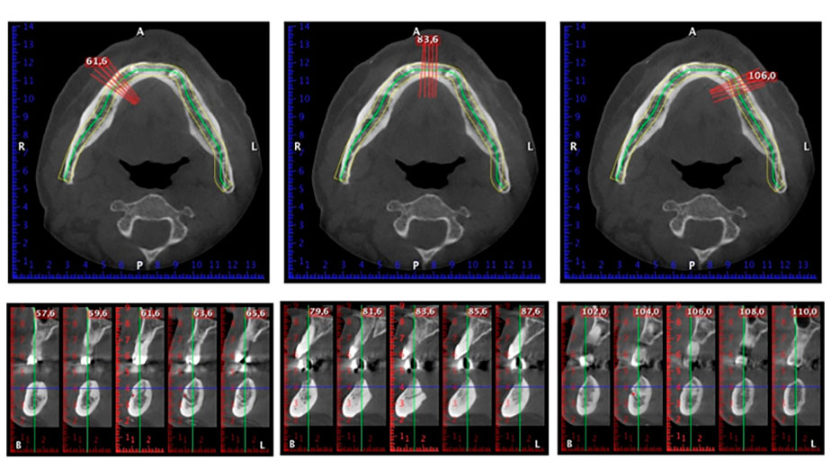
Zur Planung und Risikominimierung wurde eine dreidimensionale Volumentomografie (DVT, Planmeca) erstellt. Dieses zeigte, dass die Qualität und Quantität des Knochens für eine Operation und Sofortversorgung nach der Fast & Fixed-Methode ausreichend war. Nach Protokoll dieses Konzeptes wird in Regio 35, 32, 42 und 45 implantiert. Durch die bis zu 45-Grad-Schiefstellung der distalen Implantate wird das Durchtrittsprofil nach posterior verlegt und ein größeres Stützpolygon erreicht (Abb. 3).

Operatives Vorgehen
Nach der Entfernung der Unterkiefer-Restbezahnung erfolgte die krestale Schnittführung von Regio 37 bis Regio 47.
Zunächst wurde das Foramen mentale als limitierende anatomische Struktur dargestellt und die krestale Kortikalis mit dem geraden Handstück und einem großen Rosenbohrer geglättet (Abb. 4).

Hierbei zeigen sich die ersten Vorteile von Implantmed. Das chirurgische Protokoll ist bereits voreingestellt und an festen Positionen gespeichert. Die einzelnen Positionen sind sowohl über einen einfachen Druck auf die Position „P“ der Fußsteuerung anwählbar, als auch auf dem Display selbst. Die in diesem Fall an Position 1 voreingestellte Umdrehungszahl von 35.000/min wird auf dem beleuchteten Display ebenfalls groß angezeigt (Abb. 5 und 6).


Das chirurgische Protokoll der verwendeten Implantate (SKY, bredent medical) schreibt eine Umdrehungszahl von 1.200/min für die Pilotbohrungen vor (Abb. 7–9).
Dies entspricht der nächsten Position der Voreinstellung am Implantmed. Zu erkennen ist die etwa 45-Grad-Schräghaltung des W&H Winkelstückes nach mesiokaudal in Regio 45, um den Nervus mentalis zu schonen. Das Foramen mentale gilt als anatomische Orientierung für alle Bohrungen in diesem Bereich. Die anschließenden Bohrungen werden mit einer reduzierten Umdrehungszahl von 300/min durchgeführt (Abb. 10 und 11).


Die nächste programmierte Einstellung ist bereits die Implantateinbringung. Die Implantate werden in unserem Hause standardmäßig mit einer Kraft von 32Ncm inseriert (Abb. 12 und 13).


Die absolute Voraussetzung für die Sofortversorgung ist die hohe Primärstabilität. Um diese zu erfüllen, wurde in diesem Fall auf ein Gewindeschneiden verzichtet. Die hier verwendete Antriebseinheit Implantmed von W&H besitzt hierfür einen eigenen Modus, der ebenfalls direkt anwählbar und für viele Indikationen unverzichtbar ist. Die letzten Umdrehungen bei der Implantateinbringung überschritten den Wert von 32Ncm und wurden manuell durchgeführt. Hierfür empfiehlt es sich, die Selbstschneidefunktion der Implantate auszunutzen und das Implantat mehrmals vorwärts und rückwärts zu drehen. So gelangt das Implantat schrittweise näher bis zur endgültigen Position, ohne zu starken Druck auf den Knochen auszuüben (Abb. 14).

Um die Divergenz der distalen Implantate auszugleichen, werden abgewinkelte Abutments (35 Grad) eingeschraubt, sodass die Austrittsprofile sämtlicher Implantate möglichst senkrecht zur Kauebene stehen. Dies ist Voraussetzung, um die provisorische und später auch die endgültige Versorgung okklusal verschrauben zu können (Abb. 15 und 16).


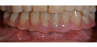
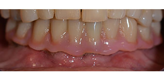
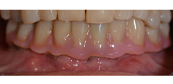
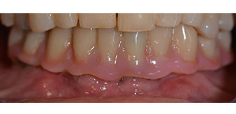
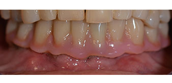
Im Anschluss erfolgt die Abformung und Bissnahme, sodass die Zahntechniker umgehend mit der Anfertigung der provisorischen Arbeit beginnen können. Diese wird im Anschluss am gleichen Tag eingeschraubt (Abb. 17 und 18).


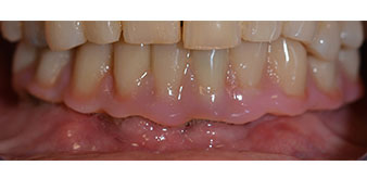
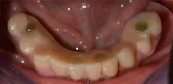
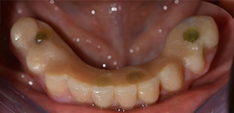
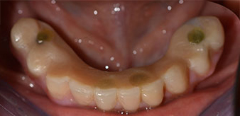
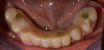
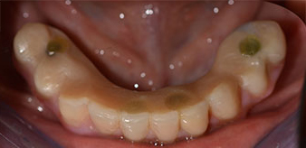
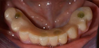
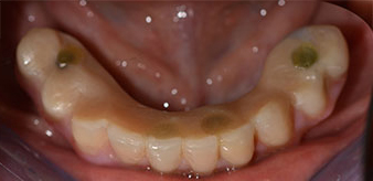
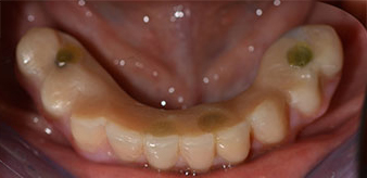
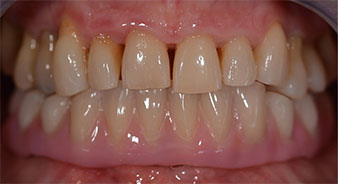
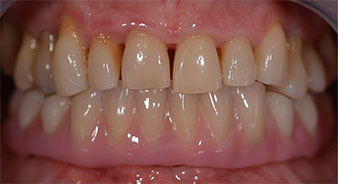
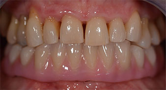
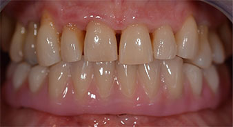
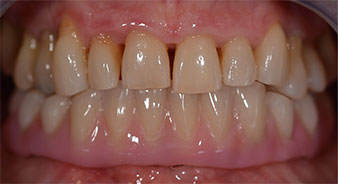
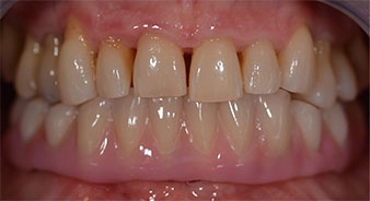
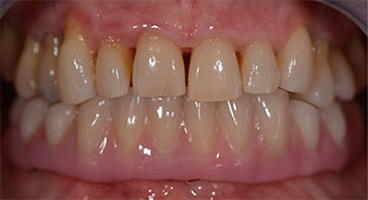
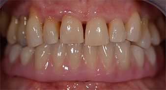
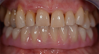
Nach der Zeit, die für die Osseointegration benötigt wird, kann die endgültige Abformung der Implantate erfolgen und entsprechend die endgültige Arbeit angefertigt werden (Abb. 19 und 20). Hier können Behandler und Patient gemeinsam entscheiden, ob diese eine Keramik- oder Kunststoffverblendung, ein Zirkon- oder Metallgerüst bekommen soll. Im vorliegenden Fall hat sich das Team um Dr. Pascu, aufgrund der unklaren Prognose der Oberkieferbezahnung und des elongierten Zahnes 24, für eine Kunststoffverblendung entschieden. Diese ist im Allgemeinen wesentlich einfacher umzustellen und der neuen Situation im Oberkiefer anzupassen.



Chirurgische Geräte und Zubehör
Die hier zum Einsatz gekommene Antriebseinheit Implantmed von W&H zeichnet sich in erster Linie durch die einfache Bedienung aus.
Die Tasten sind gut lesbar und intuitiv zu bedienen. Das große und beleuchtete Display zeigt dem Behandler, selbst bei einem kurzen Blick, Drehzahl und Modus an.
Die verschiedenen Modi können entsprechend des chirurgischen Protokolls voreingestellt und per Fußsteuerung ausgewählt werden. Die Bedienung ist zeitsparend und erleichtert den Operationsablauf.
Bei dem chirurgischen Winkelstück handelt es sich um das WS-75LG, das mit einem LED+ Licht ausgestattet ist.
Sowohl Winkel- als auch das Handstück S-11 von W&H sind außengekühlt, was als Vorteil gelten kann, da die NaCl-Lösung somit genau dort ankommt, wo sie gebraucht wird und falls notwendig auch nachjustiert werden kann. Die Winkel- und Handstücke sind zerlegbar, was aus dem Blickwinkel der Hygiene und Sterilisierbarkeit sehr zu empfehlen ist. Implantiert wurden vier SKY-Implantate: 4,0 x 14mm. werden kann. Die Winkel- und Handstücke sind zerlegbar, was aus dem Blickwinkel der Hygiene und Sterilisierbarkeit sehr zu empfehlen ist. Implantiert wurden vier SKY-Implantate: 4,0 x 14mm.

Der vorliegende klinische Fall ist eine Zusammenarbeit von Dr. Christian Dan Pascu und seinem Team der Gemeinschaftspraxis Discover White in Düsseldorf, bredent medical GmbH und Co. KG sowie W&H.

Kontakt:
Dr. med. dent. Christian Dan Pascu
Expert in Oral Implantology (GBOI)
Discover White – Gemeinschaftspraxis
Dr. Mintcheva und Dr. Pascu
Zollhof 8, 40221 Düsseldorf
www.discover-white.de
* Fotos: Dr. Christian Dan Pascu
Kommentare