Einzelimplantationen für eine Zirkonoxidbrücke mit Implantmed
Fallbericht von Dr. Karl-Ludwig Ackermann, Filderstadt, Deutschland
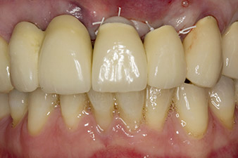
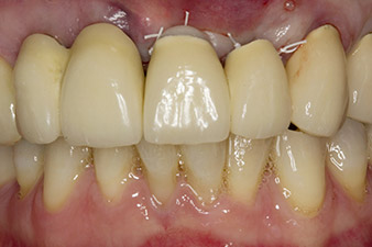
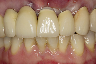
Eine 67-jährige Patientin stellt sich mit erneuerungsbedürftigen verblockten Kronen im Oberkiefer vor. Nach Extraktion der Zähne 21 und 22 sind als neue Brückenpfeiler Implantate geplant. Die Lager sollen mit dem neuen Implantologiemotor Implantmed aufbereitet und die Stabilität mit dem integrierten W&H Osstell ISQ-Modul gemessen werden.

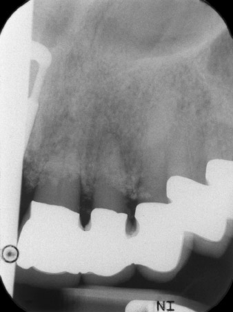
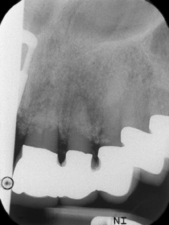
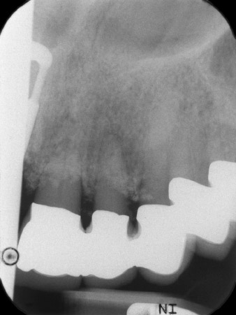
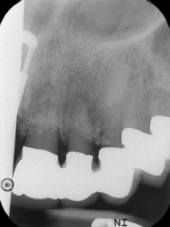
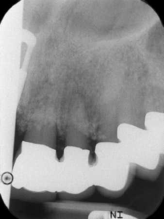
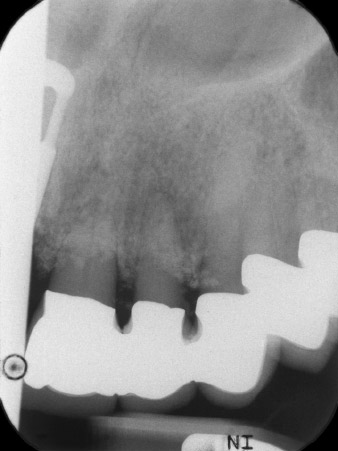
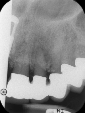
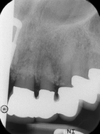
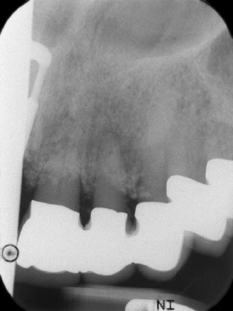
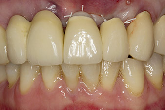
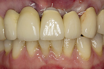
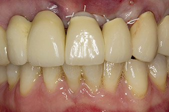
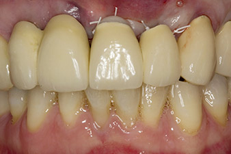
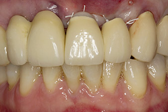
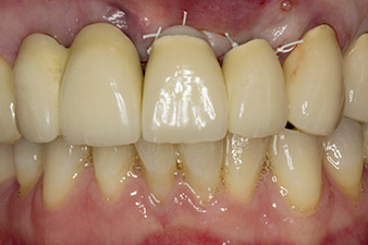
Bei der Erstvorstellung sind die Zähne 21, 22 und 23 mit 19 Jahre alten verblockten Kronen versorgt. Sie sind über ein Geschiebe mit Implantaten an den Positionen 12/11 verbunden (vgl. Abb. 2). Das Röntgenbild zeigt einen horizontalen Knochenverlust um die Zähne 21 und 22 (Abb. 1).
Beim Abnehmen des Kronenblocks werden diese Zähne unbeabsichtigt mit entfernt. Der horizontal-koronal frakturierte Zahn 23 wird für die temporäre Versorgung mit einem Stift-Stumpfaufbau versorgt. Geplant ist eine Zirkonoxidbrücke auf den vorhandenen Implantaten an den Positionen 12 und 11 und zwei neuen Implantaten an 22 und 23.
Nach primärer Abheilung werden die Weichgewebe mithilfe der basal unterfütterten Brücke ausgeformt. Zwei Monate später erfolgt die Freilegung mit einem leicht palatinal gelegten Kieferkammschnitt (Abb. 2).
Der Alveolarknochen erweist sich an Position 22 als ausreichend dimensioniert. Die Abbildungen 2 und 4 zeigen die Implantatbett-Aufbereitung, den Gewindeschnitt und die Implantation mit dem Implantmed.
Messung der Implantatstabilität
Der neue Implantologiemotor wird jeweils mit den geeigneten chirurgischen Winkelstücken von W&H verwendet.



Um den parodontalen Knochenverlust auszugleichen und ein ästhetisches Ergebnis zu erreichen, wird die Implantation mit gesteuerter Knochenregeneration mit xenogenem Ersatzmaterial und einer Kollagenmembran kombiniert (Abb. 5 und 6).


Im Rahmen der Freilegung für die Implantation an Position 23 wird vier Monate später die Implantatstabilität mit dem im Gerät integrierten W&H Osstell ISQ-Modul gemessen (Implantat-Stabilitäts-Quotient).
Dafür wird der zum Implantatsystem passende Messpfosten (SmartPeg) aufgeschraubt und die Sonde in einem Abstand von 3-5 mm von der Stirnseite des Messpfostens positioniert (Abb. 7).

Die Abbildung 8 zeigt das Implantmed mit kompletter Peripherie, aber ohne das ebenfalls erhältliche Geräte-Cart.
Kompromisslose Hardware
Bei Implantatversorgungen in der ästhetisch sensiblen Oberkieferfront sind zahlreiche Faktoren zu berücksichtigen (1). Dazu gehören Design und Material der Prothetik (2) sowie Quantität und Qualität der periimplantären Gewebe. Hinzu kommen Fragen der Einheilung, der temporären Phase (3) und der Art der Fixierung (4).
Damit keine weiteren Unwägbarkeiten hinzukommen, sollten Zahnärzte und Chirurgen bei der Hardware auf Kompromisse verzichten.
Neben dem Implantatsystem und der Prothetik betrifft das auch den Implantologiemotor und die zugehörigen chirurgischen Winkelstücke.
Im Fallbeispiel wurde die Situation im ersten Eingriff mit einem Implantat an Position 22 gelöst, und einem weiteren an der Position des im weiteren Verlauf extrahierten Zahnes 23. Das zweite Implantat folgt nach Osseointegration von Implantat 22. Die umgearbeitete Brücke wurde bis zur Einheilung von Implantat 23 und der Abformung für den definitiven Zahnersatz wieder eingegliedert. Vorteile dieses abgestuften Vorgehens sind eine sichere Belastbarkeit der Implantate und gut ausgereifte Hart- und Weichgewebe (5).
„Sehr gelungener Implantologiemotor“
Aufbereitung des Implantatbetts, Gewindeschnitt und Implantation erfolgten mit dem neuen, nach Überzeugung des Autors sehr gelungenen neuen Implantologiemotor Implantmed. Bei dem Gerät hat der Hersteller eine Reihe von technischen Merkmalen weiter entwickelt. Als sehr hilfreich erweist sich zum Beispiel die durchdachte Menüführung über den Touchscreen. Alle Funktionen sind leicht anwählbar und können bequem auf das verwendete Implantatsystem und persönliche Präferenzen angepasst werden. Das gilt auch für bis zu sechs Anwender in einer größeren Praxis oder einer Klinik.
Das neue Gerät ist durch seine Abmessungen und die ergonomische Gestaltung – zum Beispiel mit komfortablen Instrumentenablagen, kabellosem Fußanlasser und sauber gelöster Kühlmittelzufuhr – gut in die implantologische Praxis integrierbar. Das Design ist ebenfalls sehr ansprechend (Abb. 8).
Im Fallbeispiel wurde auch das optional integrierbare W&H Osstell ISQ-Modul genutzt (Abb. 7). Da die Einheilung des Implantats gedeckt erfolgte, konnte deren erfolgreicher Abschluss bestätigt werden (Implantat 22). Wenn eine Sofort- oder Frühbelastung geplant ist, lässt sich mit dem Modul – in Verbindung mit dem registrierten Drehmoment – die nötige Primärstabilität überprüfen. Alle Daten können sitzungs- und implantatbezogen auf USB gespeichert werden. Damit sind neben den klinischen auch die forensischen Anforderungen in vorbildlicher Weise erfüllt.

Weitere Infos
Vorteile des Implantmed:
Fotos: © Ackermann/Kirsch/Neuendorff
Literatur
- Dawson A, Chen ST. The SAC Classification in Implant Dentistry. Berlin: Quintessence Publishing Co., 2009.
- Martin WC, Pollini A, Morton D. The influence of restorative procedures on esthetic outcomes in implant dentistry: a systematic review. Int J Oral Maxillofac Implants 2014;29 Suppl:142-154.
- Zuhr O, Fickl S, Wachtel H, Bolz W, Hurzeler M. Die Versorgung der Extraktionsalveole aus prothetischer Sicht. Implantologie 2006;14:339-353.
- Krennmair G, Seemann R, Weinlander M, Wegscheider W, Piehslinger E. Implant-prosthodontic rehabilitation of anterior partial edentulism: a clinical review. Int J Oral Maxillofac Implants 2011;26:1043-1050.
- Buser D, Martin W, Belser UC. Optimizing esthetics for implant restorations in the anterior maxilla: anatomic and surgical considerations. Int J Oral Maxillofac Implants 2004;19 Suppl:43-61.
Kommentare