Berichte & Studien

NIWOP – Teil 1: Die Vorbehandlung

No Implantology without Periodontology

Der NIWOP-Workflow.

NIWOP ist ein planbarer Workflow, der bereits weit vor der Implantation beginnt und sich über die prothetische Versorgung hinaus fortsetzt. Ziel ist, neben der eigentlichen Implantatsetzung, auch die Häufigkeit biologischer Komplikationen, wie periimplantäre Mukositis und Periimplantitis, zu minimieren (Derks et al. 2015). Durch die Stabilisierung der parodontalen Verhältnisse vor der Implantation schafft die Vorbehandlungsphase die bestmöglichen Voraussetzungen zur prothetischen Versorgung und legt gleichzeitig den Grundstein für das langfristige Überleben der Implantate. In der darauffolgenden Implantation kann durch die Technik der Stabilitätsmessung der optimale Belastungszeitpunkt bestimmt werden. Wodurch die Einheilung abgesichert wird und einer Schädigung des Implantats vorgebeugt werden kann. Das individuell abgestimmte Recallintervall gilt der Früherkennung möglicher Komplikationen sowie der Sicherstellung der geeigneten häuslichen Mundhygiene. Der NIWOP Workflow wird in allen drei Phasen durch die entsprechende Produktpalette von W&H – Proxeo, Implantmed, Piezomed – optimal begleitet.

Teil 1: Die Vorbehandlung

nach Beiträgen von PD Dr Kristina Bertl, PhD, MBA, MSc

Der Wunsch wieder ein vollständiges Lächeln zu haben ist nicht nur ein ästhetischer, sondern auch eng mit der Lebensqualität der Betroffenen verbunden. Unabhängig vom Grund für die Notwendigkeit des Zahnersatzes, muss zusätzlich bedacht werden, ob ein Implantat eine geeignete Lösung darstellt.

NIWOP stellt sich dieser Frage. Systematisch werden mittels prä-implantologischer Diagnostik, beeinflussende Faktoren wie systemische Grunderkrankungen und genetische Faktoren mit Assoziation zu parodontalen Erkrankungen, Knochenbeschaffenheit, der parodontale Zustand (u.a. PSI - Periodontal Screening Index, BOP - Bleeding on Probing) sowie das Rauchverhalten erfasst.

Fällt die parodontale Diagnostik positiv aus sieht der NIWOP-Workflow eine initiale Parodontalbehandlung vor (Ackermann 2019), da bei Patienten mit parodontaler Grunderkrankung ein höheres Risiko für Implantatmisserfolge nachgewiesen ist (z.B.: Renvert et al. 2009, Sousa et al. 2016).

Rauchen ein Risikofaktor

9 Faktoren, die einerseits Bezug zur Mundgesundheit und zur Allgemeingesundheit andererseits aufweisen, beeinflussen das Parodontitisrisiko eines Patienten. Diese Parameter – BOP-Wert, Sondierungswerte, Zahnverlust, Knochenabbau, Alter, Raucherstatus, systemische und genetische Faktoren, Mundhygienestatus, Compliance – dienen auch zur Ermittlung des optimalen Recall-Intervalls in der UPT/UIT (unterstützenden Parodontitis-/ Implantattherapie) (Hierse et al. 2004).

Auch wenn die Ursachen für Parodontitis primär bakteriell beziehungsweise durch die ausgelöste Immunabwehr bedingt sind, bleibt Rauchen ein vermeidbarerer Risikofaktor mit großen Auswirkungen. Die in Tabakrauch enthaltenen Substanzen (z.B. Nitrosamine, Nikotin, Kohlendioxid, Kohlenmonoxid, etc.) verringern unter anderem die Durchblutung der Gewebe, schwächen das Immunsystem sowie die Aktivität der knochenaufbauenden Osteoblasten. Folglich reduziert sich auch die Heilungskapazität des Parodonts bei einer Therapie (Faddy et al. 2000). Gleichzeitig ist das Risiko für ein Neuauftreten und die Progression einer Parodontitis bei Rauchern gegenüber Nichtrauchern deutlich erhöht. Vergleichbare Ergebnisse zeigen sich auch für Periimplantitis, mit einer bis zu 25% höheren Inzidenz für periimplantäre Erkrankungen bei Rauchern (Casado et al.2019).

Die unterstützende Parodontitistherapie als erster Schritt zum Implantat

Zeigt die Anamnese unsichere parodontale Verhältnisse an, beziehungsweise existiert bereits eine Parodontitisvorgeschichte, ist vor der Implantatsetzung eine UPT durchzuführen. Wird diese Stabilisierungstherapie vernachlässigt, erhöht sich für die Betroffen das Risiko für perimplantäre Entzündungen sowie Implantatverlust (Sousa et al. 2016, Monje et al. 2016).

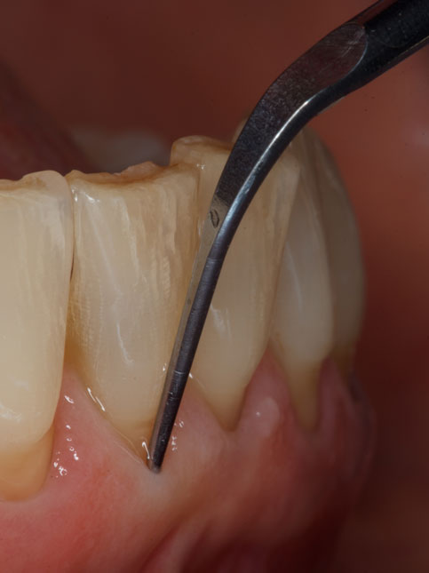
Neben der regelmäßigen Erhebung des parodontalen Status gilt es auch, weitere mit der Mundgesundheit assoziierte Parameter zu erheben (systemische Erkrankungen, Rauchen etc.). Ein weiterer zentraler Bestandteil der UPT ist die mechanische Entfernung des Biofilms. Durch den stetigen Fortschritt im Bereich der Medizintechnik steht den Behandlern eine Vielfalt an hochwertigen Instrumenten zur Verfügung, wodurch sowohl ein effizientes und komfortables Arbeiten ermöglicht wird, als auch der individuelle Patientenbedarf berücksichtigt werden kann. Einzige Einschränkung ist die Entfernung von harten Belägen, im supra- und subgingivalen Bereich, da hier keine sichere Alternative zu Scalern oder Küretten besteht (Ziebolz et al. 2019). In Bezug auf den Patientenkomfort und Effizienz weisen Schall- und Ultraschallsysteme mit den entsprechenden Spitzensystemen hervorragende Resultate auf (Abbildung 1). Gerade im Segment der Ultraschallgeräte konnte durch den Nachweis der Herzschrittmacherverträglichkeit (einziger Zertifikatinhaber W&H, Europaprüfstelle 0636) der Behandlungsablauf auch für diese wachsende Patientengruppe (11. World Survey of Cardiac Pacing) weiter optimiert werden.

Abb. 1: Bei der Beseitigung harter Beläge gestalten Ultraschallgeräte die Arbeit effizienter. Wichtig für die Patientensicherheit ist in diesem Segment die geprüfte Herzschrittmachertauglichkeit. © W&H Tigon+

Weitere Instrumente in der UPT sind Pulverstrahlsysteme, die mit den entsprechend abgestimmten Kombinationen von Pulver und Gerät, einen innovativen Beitrag zur supra- und subgingivalen Entfernung weicher Biofilme leisten (Abbildung 2). Spezielle Paro-Spitzen, entsprechend den Herstellerangaben und Zulassung angewandt, ermöglichen das sichere Arbeiten auch in tiefen Taschen. Nach erfolgter Biofilmentfernung empfiehlt sich eine abschließende Politur (Abbildung 3), einerseits um durch das Glätten bakterielle Wiederbesiedelungsnischen zu schließen, aber auch um glänzende Zahnoberflächen zu erhalten (Wang et al. 2015, Covey et al. 2011).

Ein weiterer wichtiger Aspekt der UPT, aber auch der UIT (unterstützende Implantattherapie) ist der Patient selbst. Dieser leistet durch die häusliche Mundhygiene und die 2C – Commitment und Compliance – einen entscheidenden Beitrag zum Erhalt stabiler parodontaler Verhälnisse und dem Implantaterfolg (Thiele-Scheipers 2018). Der Einsatz einer adjuvanten Antibiose sollte gemäß der Schwere und des Ausprägungsgrades der Parodontitis erfolgen. Nach 4 bis 12 Wochen erfolgt eine Reevaluierung des Attachmentverlustes, da dieser Zeitraum sowohl die Ausheilugsphase, als auch das Ende der klinischen Attachmentbildung beinhaltet. Das Ausmaß der Sondierungstiefenreduktion und die Entscheidung über den weiteren Therapieverlauf ergeben sich aus den Vergleichswerten von der Ausgangssondierung zur Reevaluierungssondierung je Zahntyp/Zahnform und der Blutung auf Sondierung (Hierse et al. 2014).

Die Pulverstrahltechnik ist gut geeignet für die Entfernung weicher Beläge, auch an schwer zugänglichen Stellen.
Abb. 2: Die Pulverstrahltechnik ist gut geeignet für die Entfernung weicher Beläge, auch an schwer zugänglichen Stellen. © W&H Proxeo Aura
Das selektive Polieren unterstützt remineralisierende Prozesse und schließt die letzten Wiederbesiedelungsnischen.
Abb. 3: Das selektive Polieren unterstützt remineralisierende Prozesse und schließt die letzten Wiederbesiedelungsnischen. © W&H Proxeo LatchShort

Der Einfluss von Restsondierungstiefen nach Therapie

Sind einzelne Restsondierungstiefen von 6 bis 7 mm nach der aktiven Therapie wirklich ein Problem? Matuliene et al. (2008) ermittelten folgende Langzeitfolgen von Restsondierungstiefen in ihrer Studie:

  • Einzelne Restsondierungstiefen von 6 mm oder mehr waren ein Risikofaktor für eine Verschlechterung der allgemeinen parodontalen Situation und für Zahnverlust.
  • Mehrere Restsondierungstiefen von 5 mm oder mehr waren ein Risikofaktor für eine Verschlechterung der allgemeinen parodontalen Situation.
  • Blutungen nach Sondieren verdoppelten das Risiko für späteren Zahnverlust.
  • Das Risiko für einen Zahnverlust bei einer Restsondierungstiefe von 5 mm war fast 8-fach, bei 6 mm rund 10-fach und bei 7 mm um mehr als 60-fach erhöht.

Folglich haben bereits einzelne Taschen von mehr als 4 mm Einfluss auf den betroffenen Zahn und die Restbezahnung, wodurch auch für die Implantatsetzung keine geeigneten parodontalen Verhältnisse bestehen.

Des Weiteren berichtet eine Studie aus Australien (Cho-Yan Lee et al. 2012) über ein 4- bis 5-fach erhöhtes Periimplantitisrisiko bei Parodontitispatienten mit Restsondierungstiefen (≥6mm) im Vergleich zu Parodontitispatienten ohne Restsondierungstiefen und parodontal gesunden Patienten.

Daher sollten Behandler bei verbliebenen Sondierungstiefen weitere Therapieschritte in Betracht ziehen, wie zum Beispiel ein korrektiv-parodontalchirurgisches Vorgehen (Hierse et al. 2004).

Die Kombination dieser Maßnahmen – erfolgreiche, initiale Parodontitistherapie, eine abgestimmte UPT/UIT und die Mitarbeit der Betroffenen – kann auch bei Parodontitispatienten eine hohe Implantatüberlebensrate von rund 92% nach 10 Jahren erzielt werden (Zangrando et al. 2015).

Ein derart parodontal saniertes Gebiss, dessen Zustand durch die geeigneten Vorsorgemaßnahmen gehalten wird, bietet gute Voraussetzung für die Implantatsetzung (Ackermann 2019).


Referenzen

  1. Ackermann, KL. (2019) Früh ansetzen mit NIWOP. No Implantology without Periodontology: Ein personalisiertes Vorsorge-, Behandlungs- und Nachsorgekonzept für Implantatpatienten. Z Zahnärztl Implantol, 35.
  2. Casado, PL., Aguiar, T., Fernandes Pinheiro, MP., Machado, A., da Rosa Pinheiro, A. (2019) Smoking as a Risk Factor for the Development of Periimplant Diseases. Implant Dent Apr, 28(2):120-124.
  3. Lee, C-Y., Mattheos, JN., Nixon, KC., Ivanovski, S. (2012) Residual periodontal pockets are a risk indicator for peri-implantitis in patients treated for periodontitis. Clin Oral Impl Res, 23: 325–333.
  4. Covey, DA., Barnes, C., Watanabe, H., Johnson, WW. (2011) Effects of a paste-free prophylaxis polishing cup and various prophylaxis polishing pastes on tooth enamel and restorative materials. General dentistry, 59(6): 466-73; quiz 74-5.
  5. Derks, J., Tomasi, C. (2015) Peri-implant health and disease. A systematic review of current epidemiology. J Clin Periodontol, 42 Suppl 16: 158-71.
  6. Faddy, MJ., Cullinan, MP., Palmer, JE., Westerman, B., Seymour, GJ. (2000) Ante-dependence modeling in a longitudinal study of periodontal disease: the effect of age, gender, and smoking status. J Periodontol, 71(3):454-9.
  7. Hierse, L., Kenschull, M. (2014) Aktuelle Behandlungsmethoden in der Parodontologie. ZWP, 4:66-73.
  8. Matuliene, G., Pjetursson, BE., Salvi, GE., Schmidlin, K., Brägger, U., Zwahlen, M., Lang, NP. (2008) Influence of residual pockets on progression of periodontitis and tooth loss: Results after 11 years of maintenance. J Clin Periodontol, 35: 685–695.
  9. Mond, HG., Proclemer, A. (2011) The 11th world survey of cardiac pacing and implantable cardioverter-defibrillators: calendar year 2009-a World Society of Arrhythmia's project. Pacing Clin Electrophysiol, 34(8):1013-27.
  10. Monje, A., Aranda, L., Diaz, KT., Alarcón, MA., Bagramian, RA., Wang, HL., Catena, A. (2016) Impact of Maintenance Therapy for the Prevention of Peri-implant Diseases: A Systematic Review and Meta-analysis. J Dent Res, 95:372-379.
  11. Renvert, S., Persson, GR. (2009) Periodontitis as a potential risk factor for peri-implantitis. J Clin Periodontol 36 Suppl 10: 9-14.
  12. Sousa, V., Mardas, N., Farias, B., Petrie, A., Needleman, I., Spratt, D., Donos, N. (2016) A systematic review of implant outcomes in treated periodontitis patients. Clin Oral Implants Res, 27:787-844.
  13. Thiele-Scheipers, B. (2018) Patientencompliance als Grundlage erfolgreichen Biofilmmanagements. PNC, available from: https://www.pnc-aktuell.de/prophylaxe/story/patientencompliance-als-grundlage-eines-erfolgreichen-biofilmmanagements__7040.html
  14. Wang, C., Zhao, Y., Zheng, S., Xue, J., Zhou, J., Tang, Y., et al. (2015) Effect of enamel morphology on nanoscale adhesion forces of streptococcal bacteria: An AFM study. Scanning, 37(5):313-21.
  15. Zangrando, M.S., Damante, CA., Sant’Ana, AC., Rubo de Rezende, ML., Greghi, SL., Chambrone, L. (2015) Long-term evaluation of periodontal parameters and implant outcomes in periodontally compromised patients: a systematic review. J Periodontol, 86:201-221.
  16. Ziebolz, D., Kampfmann, B. (2019) Ultraschallaktiviertes Biofilmmanagement. Implantologie Journal, 3:18-24.

Kommentare