Der Diabetiker mit Parodontitis
Einleitung
Schon längst ist bekannt, dass Allgemeingesundheit und Mundgesundheit in engem Zusammenhang stehen (1,2). Eine alleinige Beurteilung der oralen Situation ist nicht ausreichend. Die genaue Anamnese und Befundung von Allgemeingesundheit und Mundgesundheit sowie deren gemeinschaftliche Betrachtung sind unabdingbar den Erhalt der oralen Gesundheit und der Lebensqualität des Patienten optimal zu unterstützen und auch dem Behandler eine Planungssicherheit zu geben. Für jeden Patienten ist es sinnvoll ein individuelles Präventions- und Patientenprofil mit den dazugehörigen Risiken von Seiten der Allgemeingesundheit und Mundgesundheit zu beurteilen und zu erstellen (3, 4). (Abb. 1)

Anhand der vorliegenden Fallpräsentation kommt die Systematik des individuellen Präventionskonzepts zur Erstellung eines fallorientierten Patientenprofils und sich daraus ergebende Therapiemaßnahmen zur Anwendung.





Allgemeine Anamnese
Im vorliegenden Fall handelt es sich um einen 52jährigen Patienten. Der Patient leidet an Diabetes mellitus Typ 2, welcher gut eingestellt ist. Sein HbA1c Wert liegt bei 6,7. Medikamentös nimmt der Patient täglich Metformin ein. Der Patient ist Nichtraucher. Der Patient pflegt 2x pro Tag seine Zähne mit einer Handzahnbürste und nimmt 1x täglich Interdentalbürstchen für die Zahnzwischenräume.
Der Patient befindet sich in der regelmäßigen Nachsorge mit einem Behandlungsabstand von 3-4 Monaten.
Extra- und Intraoraler Befund
Extra- und intraoral sind keine pathologischen Befunde festzustellen.
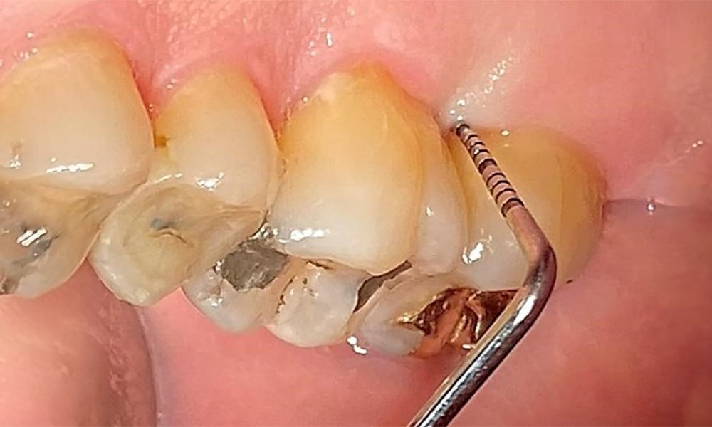
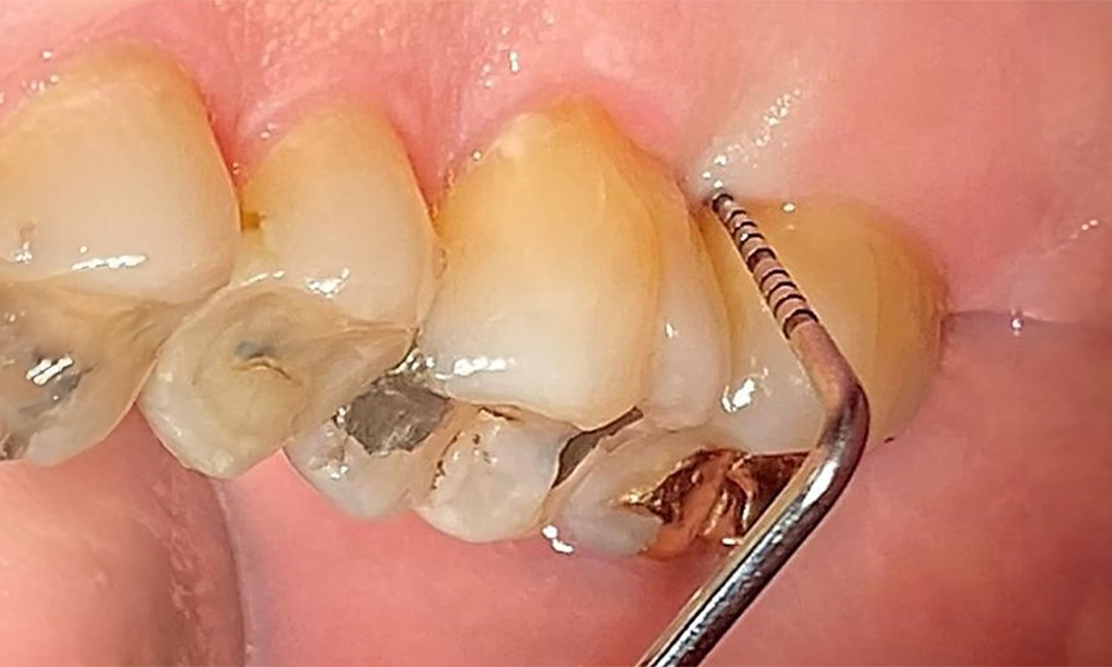
Dentaler Befund
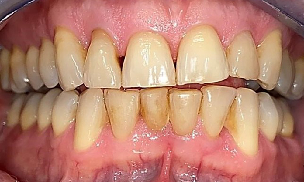
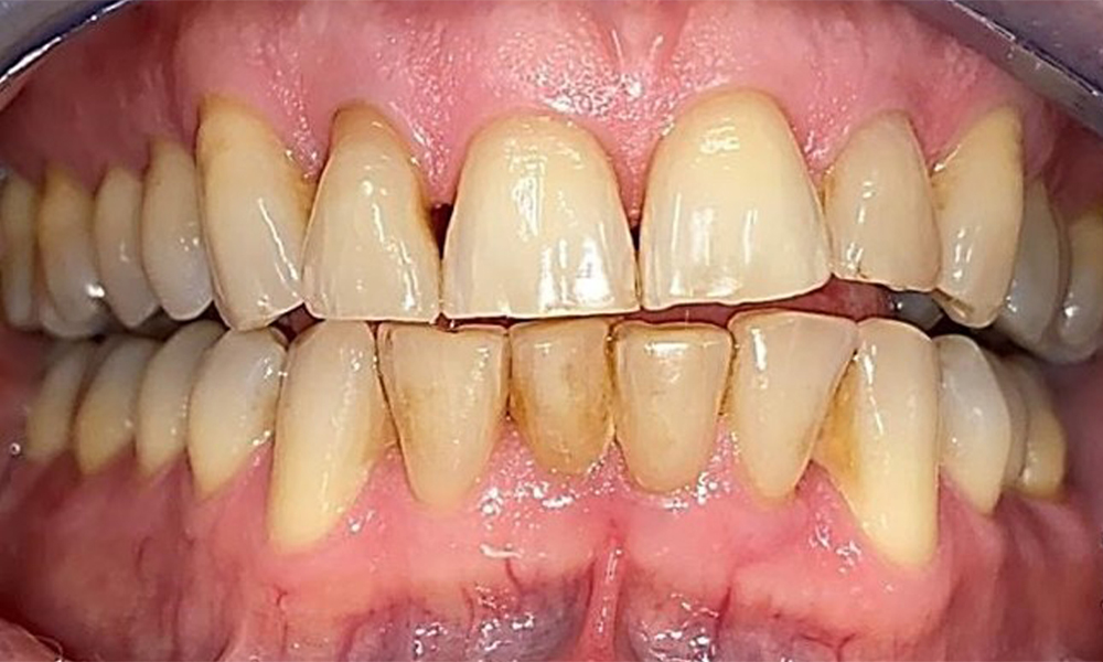
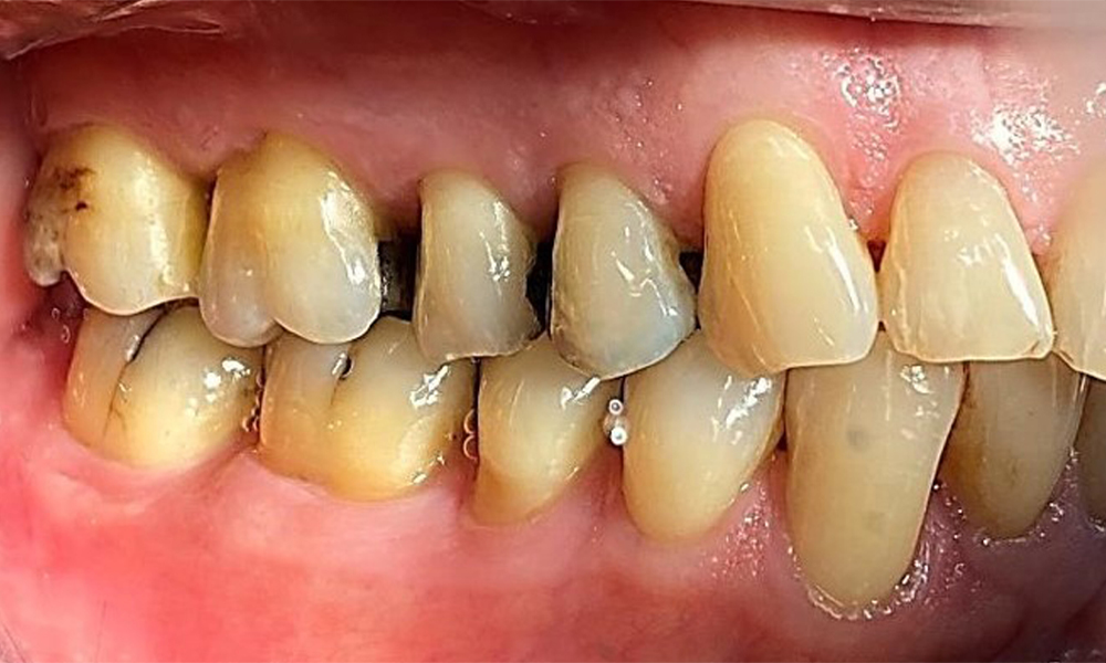
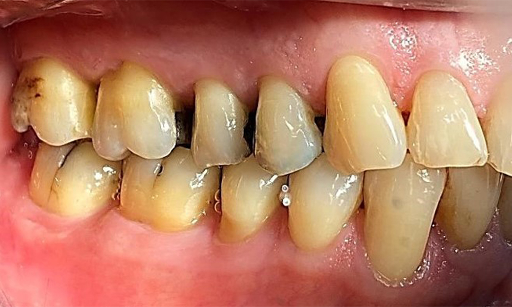
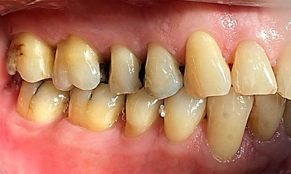
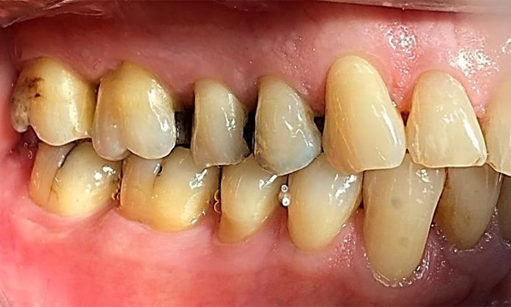
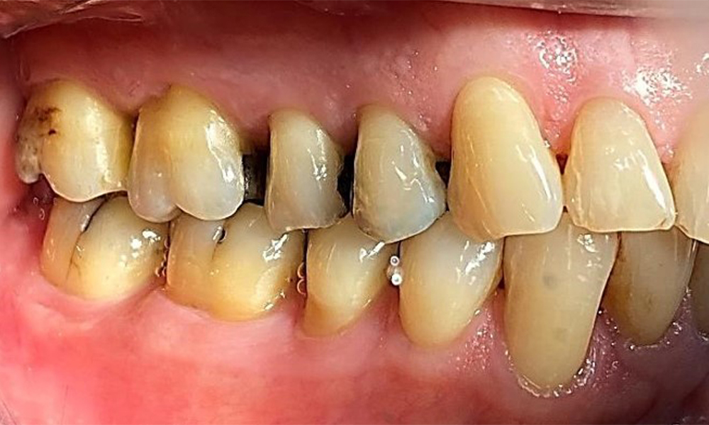
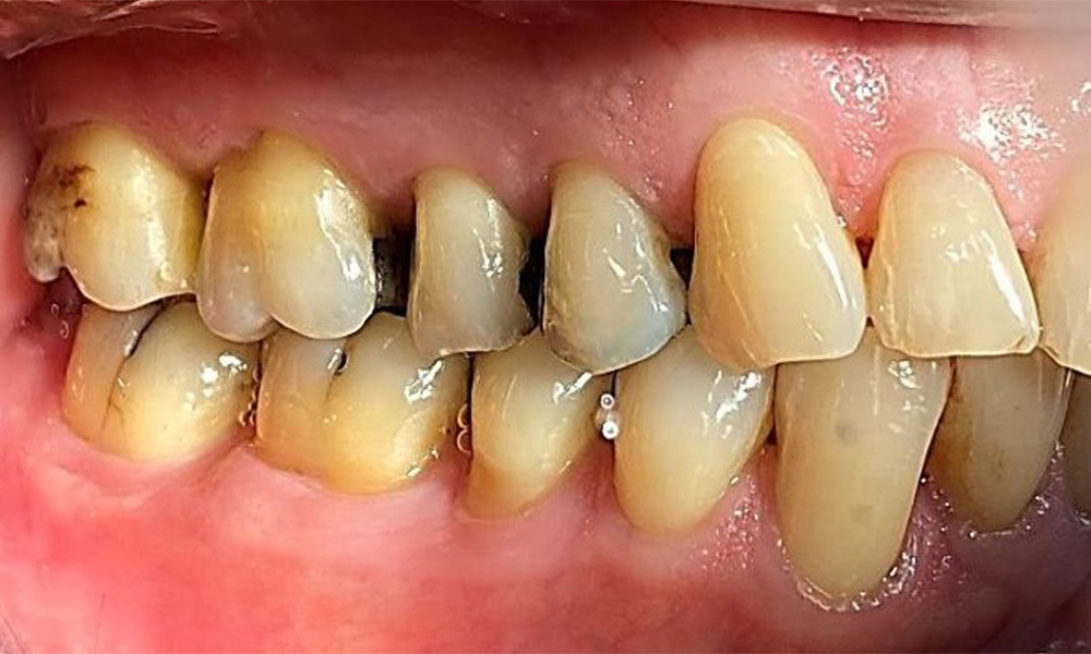
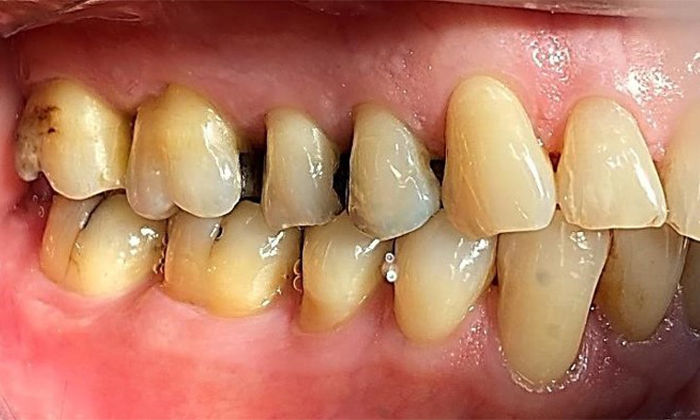
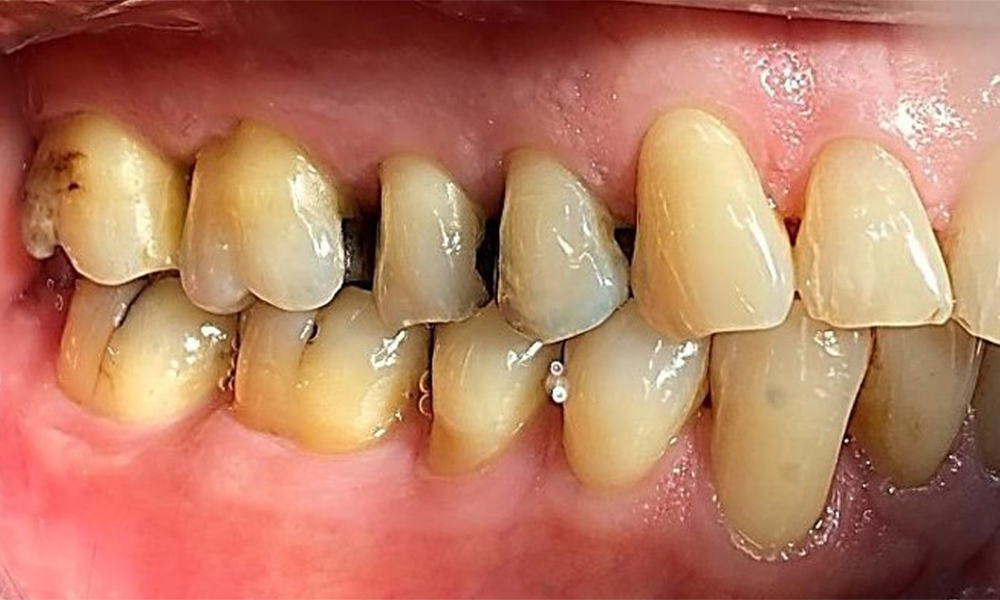
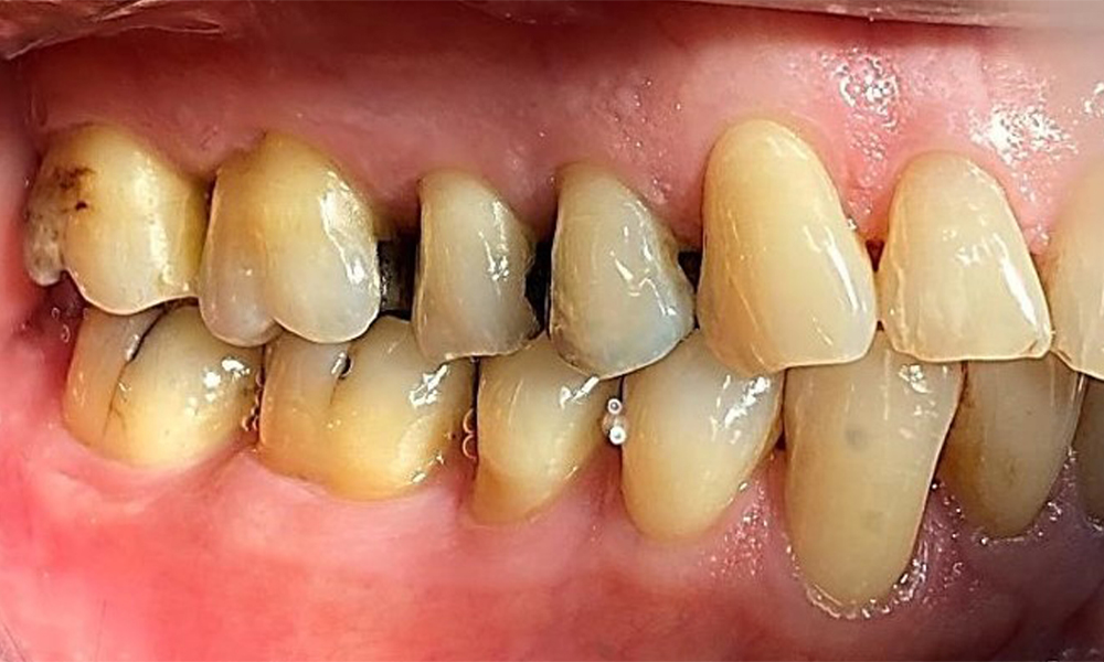
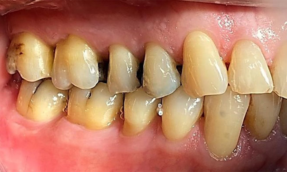
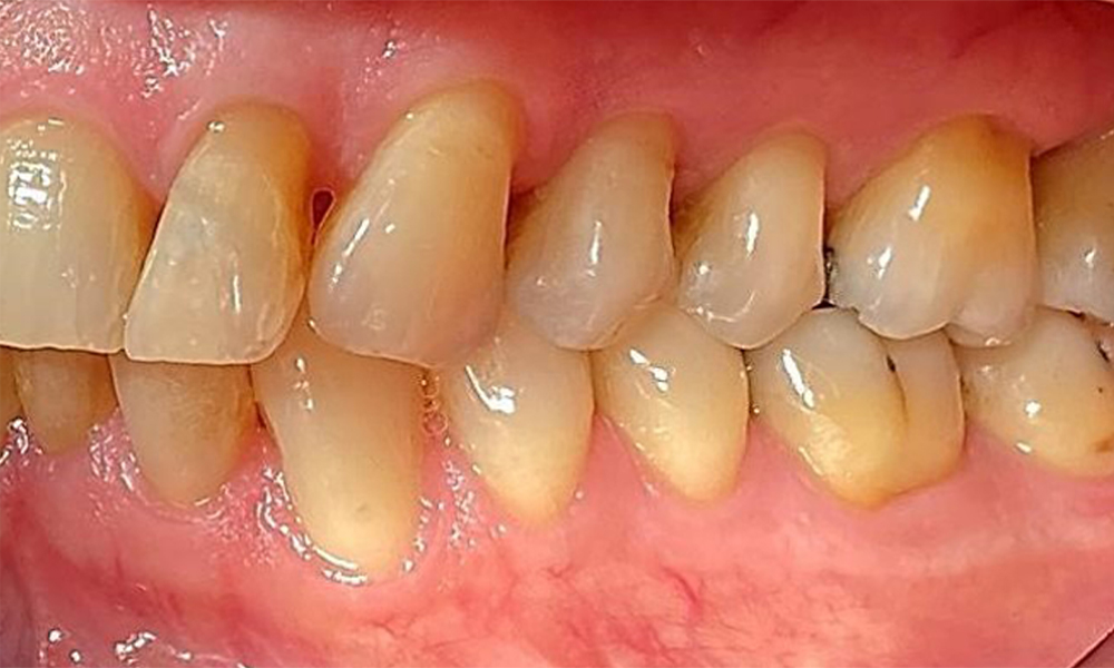
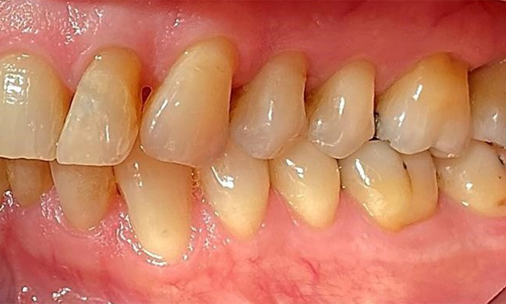
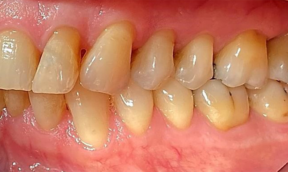
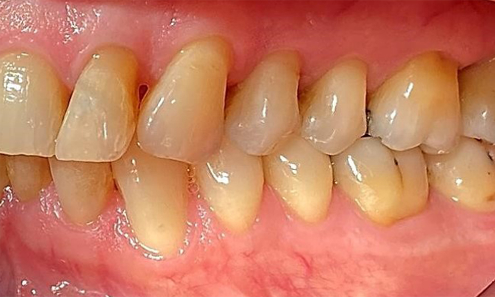
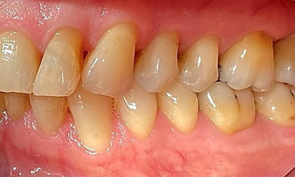
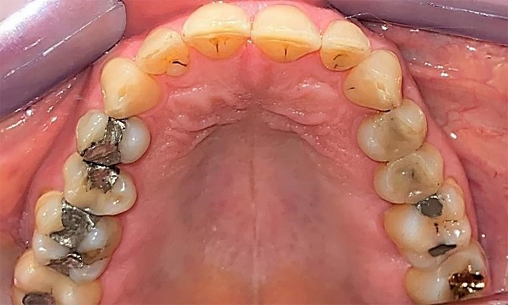
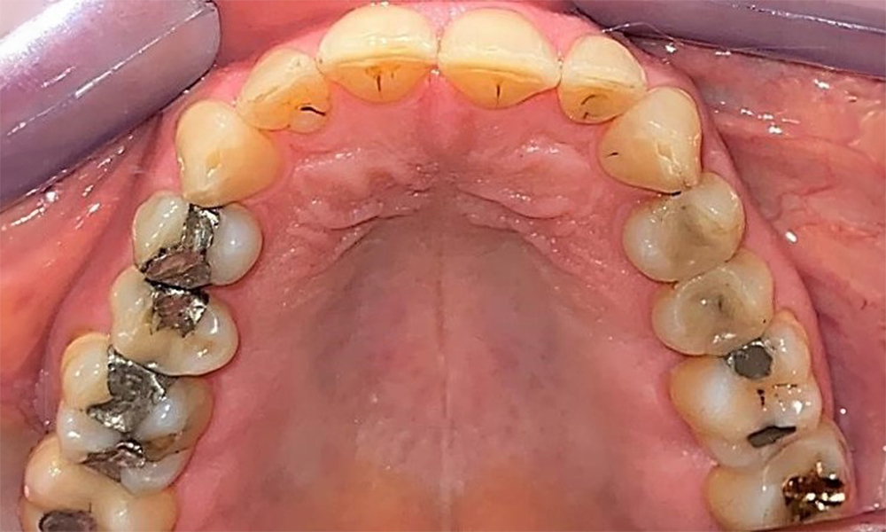
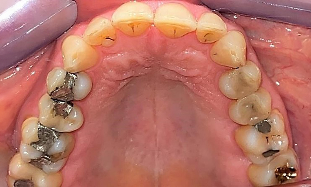
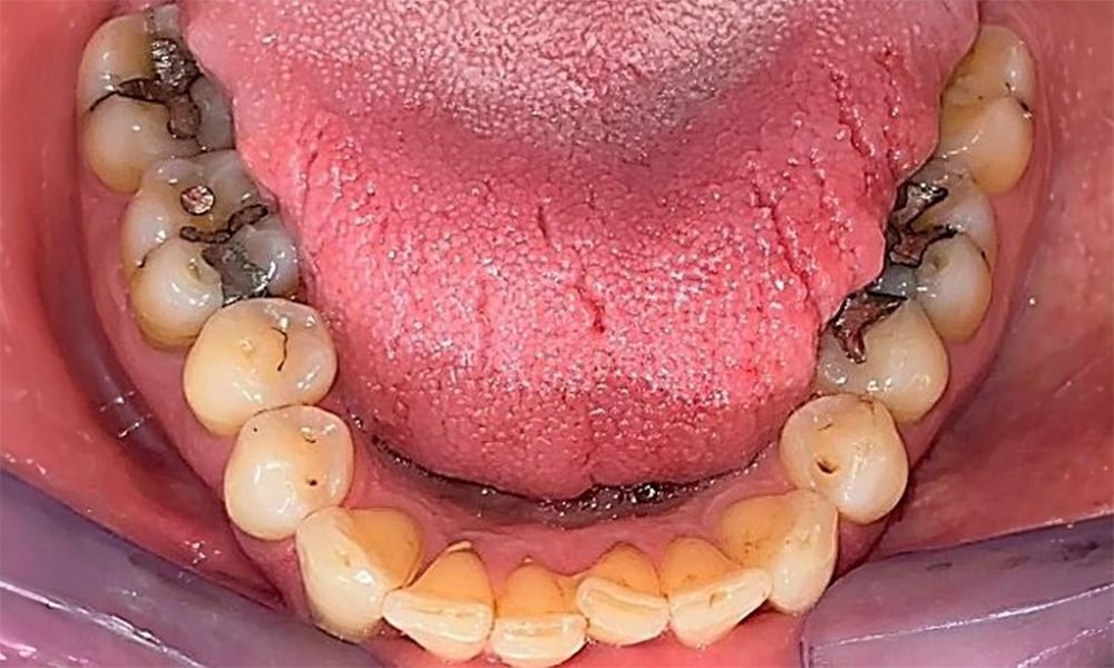
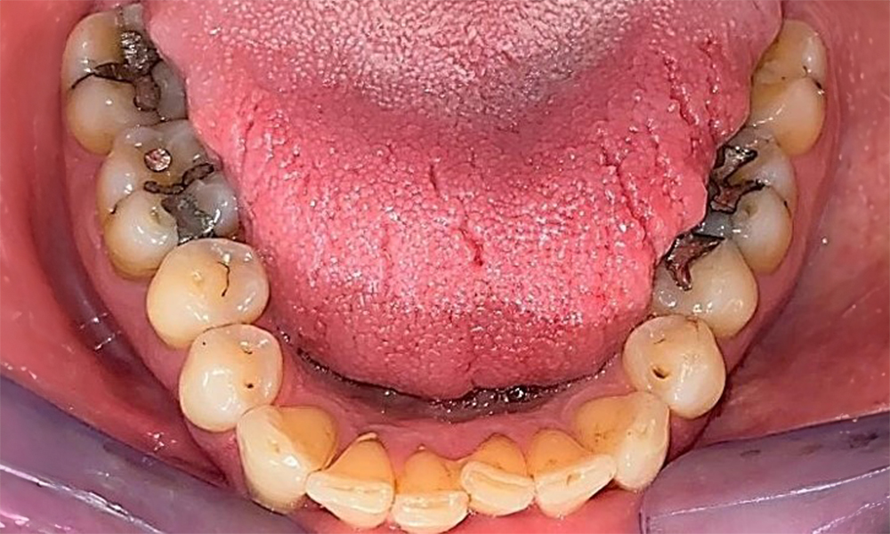
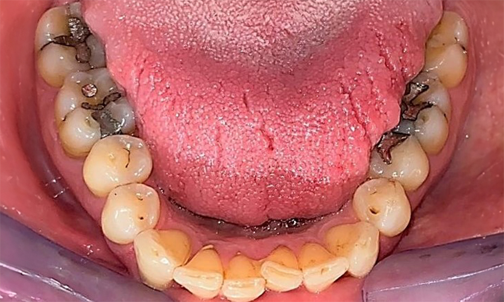
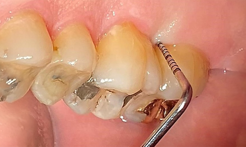
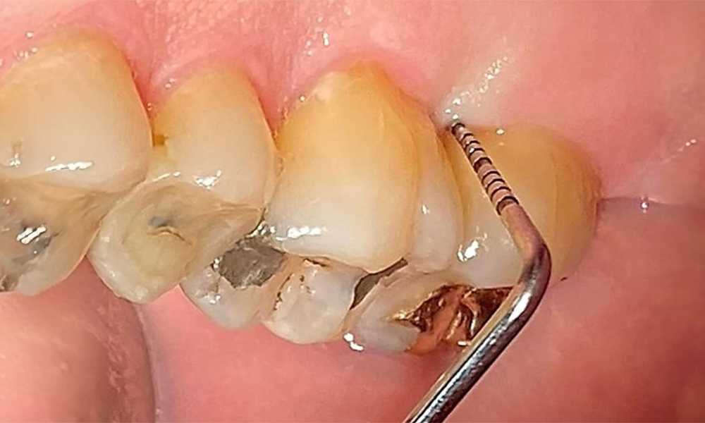
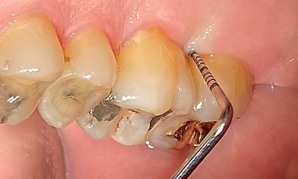
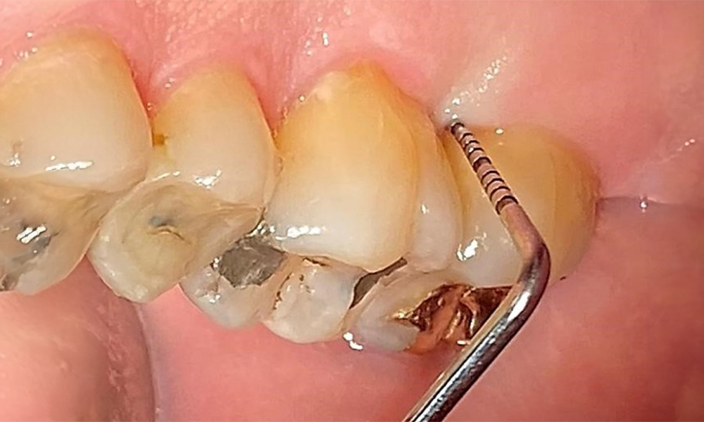
Der Patient hat ein vollbezahntes Gebiss mit 28 Zähnen, an welchen sich im Molaren- und Prämolarenbereich Amalgamfüllungen und Compositefüllungen befinden. An Zahn 14 zeigt sich ein sichtbarer klinischer Randspalt. Zahn 27 hat ein suffizientes Goldinlay. Zudem zeigen sich generalisierte Attritionen und Abrasionen. (Abb. 2, Abb. 3, Abb. 4, Abb. 5, Abb. 6)
Parodontaler Befund
Der Patient hat eine Parodontitis Stadium II, Grad B (5). Die klinischen Sondierungstiefen liegen mit 1-3mm im physiologischen Bereich. Lokalisierte Sondierungstiefen finden sich an 17 und 27 jeweils mesiopalatinal mit 5mm. Es liegen generalisierte Rezessionen von 1-3mm vor mit partiellem Verlust der Interdentalpapillen (Abb. 2, Abb. 3, Abb. 4)
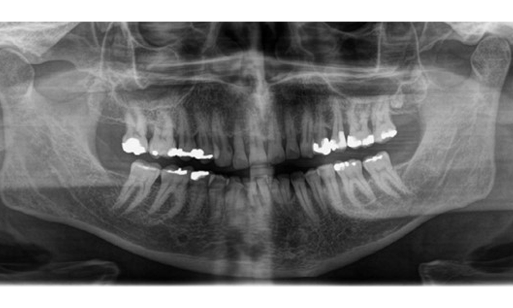
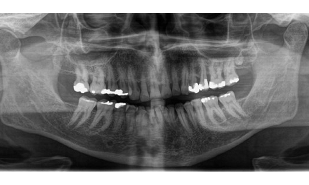
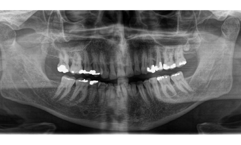
Radiologischer Befund
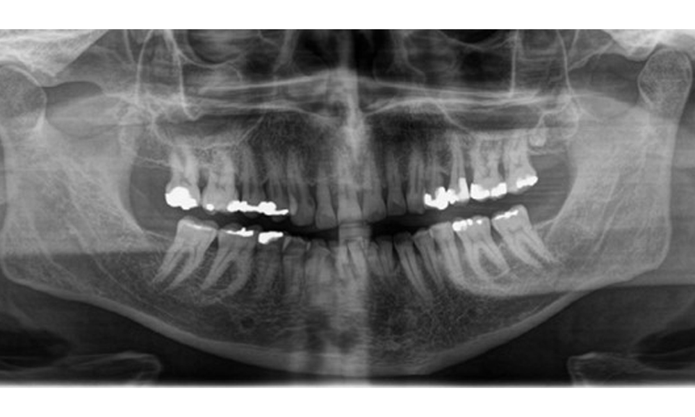
Es zeigt sich ein vollbezahntes Erwachsenengebiss mit einem generalisiertem Knochenabbau zwischen 20-50% und multiplen vertikalen Knocheneinbrüchen. Radiologisch ist keine kariöse Läsion sichtbar. (Abb. 7)

Fallbetrachtung nach dem individuellen Präventionskonzept
Im individuellen Präventionskonzept steht das fallorientierte Patientenprofil im Vordergrund (3, 4). Aus Allgemeingesundheit und Mundgesundheit wird ein Patientenprofil erstellt (Abb. 1). Dies ist maßgeblich entscheidend für den Behandlungs- und Therapiebedarf.
Aus der Anamnese können im vorliegenden Fall keine besonderen Risikofaktoren identifiziert werden, die ein erhöhtes Komplikationsrisiko während der Behandlung erkennen lassen. Der Patient leidet an Diabetes mellitus. Da dieser jedoch gut eingestellt ist, kann der Patient wie ein „gesunder“ Patient behandelt werden. Dennoch ist zu beachten, dass der Patient vor jeder Behandlung nach dem aktuellen HbA1c-Wert zu fragen ist.
Bezüglich des Erkrankungsrisikos ist zu beachten, dass eine bidirektionale Beziehung zwischen Parodontitis und Diabetes mellitus besteht (6). Bei einem gut eingestellten Diabetiker, ist das Erkrankungsrisiko als moderat einzustufen.
Von Seite der Mundgesundheit steht beim Patienten die Parodontitis im Vordergrund. Der Patient hat eine derzeit stabile Parodontitis (Stadium II, Grad B). Basierend auf den aktuellen Befunden sind sowohl das Progressions-, als auch Entstehungsrisiko derzeit als moderat einzustufen.
Behandlungsempfehlung nach dem individuellen Präventionskonzept

Der Patient ist ein gut eingestellter Diabetiker. Somit ergibt sich aus der Anamnese kein erhöhtes Komplikationsrisiko für die Behandlung. Grundsätzlich ist vor jeder Behandlung der HbA1c-Wert abzufragen. Die Befundaufnahme intraoral ist entscheidend für den Bedarf an dentaler und parodontaler Therapie. Aufgrund der Parodontitis ist ein parodontaler Befund mit Taschentiefensondierung und Blutungsstatus in jeder Sitzung unerlässlich (Abb. 8). Dieser gibt den individuellen Therapiebedarf vor und es kann auf eine mögliche Progression der parodontalen Vorerkrankung reagiert werden.

Ein ausführlicher Parodontalstatus mit Dokumentation der Taschentiefen, Blutung auf Sondierung, Rezessionen, Furkationsbefall, Lockerungsgrad ist 1x jährlich durchzuführen. So kann rechtzeitig auf eine mögliche Progression der parodontalen Vorerkrankung reagiert werden. Die Befundung der Zahnhartsubstanz und der Wurzeloberflächen ist ebenso notwendig, da das Risiko für Wurzelkaries durch die exponierten Wurzeloberflächen steigt.

Der Patient pflegt mit Interdentalbürstchen und mit einer elektrischen Zahnbürste. Er zeigt eine gute Compliance und ein gutes häusliches Mundhygieneverhalten bzw. - verständnis. Eine regelmäßige Motivation und Reinstruktion sind aufgrund des Progressionsrisikos unerlässlich insbesondere der Interdentalraumpflege aufgrund der erhöhten Sondierungstiefen in diesen Bereichen. Es zeigen sich lokalisiert Zahnstein in der Unterkieferfront lingual und weiche Beläge, die dem Patienten aufzuzeigen sind. Ggf. müssen Interdentalbürstchen auf die Größe geprüft und angepasst werden. Ein weicher Bürstenaufsatz ist aufgrund der freiliegenden Wurzeloberfläche zu empfehlen, um keilförmigen Defekten vorzubeugen. Eine Zahnpasta mit einem niedrig abrasiven Wert sollte angewendet werden.
Weiter Empfehlungen für den Patienten ist das Beibehalten einer fluoridhaltigen Zahnpasta zur häuslichen Mundhygiene, sowie der Einsatz eines Fluorid-Gels, um das Risiko von Wurzelkaries aufgrund der exponierten Wurzeloberflächen zu vermindern. Bei Sensibilitätsstörungen ist die Empfehlung einer Zahnpasta mit desensibilisierenden Inhaltsstoffen ratsam. Der Patient ist gleichermaßen zu informieren, dass ggf. nach der Präventionssitzung eine vorübergehende verstärke Sensibilität durch die freiliegenden Wurzeloberflächen und Dentintubuli vorliegen kann (7).

In der Instrumentierung sind bezüglich der Methodenwahl keine Einschränkungen gegeben. Aufgrund der parodontalen Vorerkrankung und dem hohen Rezidivrisikos ist die Vorbeugung einer Erkrankungsprogression durch die regelmäßige supra- und subgingivale Instrumentierung unerlässlich. Die Wahl der Instrumente zur mechanischen Biofilmentfernung ist aus allgemeingesundheitlicher Sicht nicht eingeschränkt und erfolgt bedarfsgerecht. Harte und mineralisierte Beläge wie Zahnstein und Konkremente sind mittels Handinstrumenten oder Schall/ Ultraschallscalern zu entfernen (Abb. 9) (8, 9).

Die Biofilmentfernung supra- und subgingival ist für die Stabilität des parodontalen Zustandes unerlässlich. Hier bietet sich die Methode des Air Polishing mit einem niedrig abrasiven Pulver an. Parodontale Taschen sowie freiliegende Wurzeloberflächen müssen mit niedrig-abrasiven Pulvern gereinigt werden. Für erhöhte Sondierungstiefen (tiefer als 5mm) ist eine flexible Parospitze empfehlenswert (Abb. 10). (9)

Taschentiefen bis 5mm sind auch mit einem konventionellen Aufsatz möglich (9). Die Anwendung des Pulverstrahl eines niedrig abrasiven Pulvers empfiehlt sich gleichermaßen für Restaurationsränder, Zahnzwischenräume und Fissuren. Eine rotierende Politur (Abb. 11) unterstützt durch die schonende Glättung der Oberflächen das optimale Finish der Prophylaxe und reduziert die bakterielle Wiederanhaftung (10).


Eine Fluoridierung der freiliegenden Wurzeloberflächen zur Kariesprävention ist nach der Reinigung der Zahnoberflächen notwendig (11). Bei Sensibilitätsstörungen bietet sich ein Desensibilisierungslack an. Fluorid unterstützt ebenfalls die Linderung leichter Sensibilitäten (12).

Für die Festlegung der Nachsorge-Intervalle ist die parodontale Vorerkrankung (Stadium II, Grad B) im Besonderen aber das Progressionsrisiko und das damit verbundene Risiko einer Wurzelkaries, ausschlaggebend (13). Es empfiehlt sich daher eine 3 bis 4mal jährliche unterstützende Erhaltungstherapie. Dieses Intervall wird bei Veränderungen dem Bedarf entsprechend angepasst, um einerseits eine Übertherapie und andererseits eine Unterversorgung zu vermeiden (14). Da der nachhaltige Erfolg, neben der professionellen Betreuung auch stark von der Compliance des Betroffenen abhängt, ist es wichtig noch einmal die Relevanz der Maßnahmen anzusprechen und Fragen des Patienten zu beantworten. Eine gute Patientenführung ist notwendig, um die parodontale und dentale Situation zu erhalten. Eine unmittelbare Terminvereinbarung für die nächste Nachsorgesitzung ist sinnvoll. Dies hat zum einen den Vorteil einer effizienten Verwaltung eines Recallsystems für die Praxis und gewährleistet zum anderen, dass der Patient seinen passenden Termin zum richtigen Zeitpunkt terminiert bekommt.
Fazit zum Fall
Nach der ausführlichen Betrachtung lassen sich folgende Konsequenzen für den vorliegenden Patientenfall zusammenfassen.
- Aus der Anamnese ergibt sich, dass der Patient einen gut eingestellten Diabetes mellitus hat. Der aktuelle HbA1c-Wert sowie der Lebensstil des Patienten machen eine besondere Adaptation des Prophylaxeablaufs innerhalb des IPC zum jetzigen Zeitpunkt nicht notwendig. Das Komplikationsrisiko während der Behandlung ist als gering einzustufen.
- Bezüglich des Erkrankungsrisikos ist zu beachten, dass eine bidirektionale Beziehung zwischen Parodontitis und Diabetes mellitus besteht. Bei einem gut eingestellten Diabetiker, ist das Erkrankungsrisiko als moderat einzustufen.
- Sondierungs- und Blutungsbefunde sind in jeder Sitzung unerlässlich. Diese geben die individuellen notwendigen therapeutische Maßnahmen vor. Einmal jährlich ist ein ausführlicher Parodontalstatus (Sondierungstiefen und BOP, Attachmentverlust und Furkationsbefund) ratsam. Ggf. müssen Therapiekonzepte angepasst oder abgeändert werden.
- Das häusliche Hygieneverhalten des Patienten ist gut. Schwachstellen bei der Mundhygiene müssen dem Patienten erläutert und gezeigt werden. Zusätzliche Instruktionen und Anpassungen sind erforderlich.
- Aufgrund der parodontalen Grunderkrankung (Stadium II, Grad B) benötigt der Patient eine regelmäßige professionelle bedarfsgerechte Nachsorgetherapie zum Erhalt der parodontalen Situation. Besonderes Augenmerk sollte auf die gründliche Reinigung der tieferen (Rest-) Taschen und der Zahnzwischenräume gelegt werden.
- Zusätzliche therapeutische Maßnahmen wie die Fluoridapplikation sind aufgrund der freiliegenden Wurzeloberflächen notwendig und ratsam.
- Durch das Progressions- und Neuerkrankungsrisiko empfiehlt sich ein engmaschiges 3 bis 4-monatiges Nachsorgeintervall zur bestmöglichen Erhaltung des Status quo.
Literaturverzeichnis
- Bansal M, Rastogi S, Vineeth NS. Influence of periodontal disease on systemic disease: inversion of a paradigm: a review. Journal of medicine and life. 2013;6(2):126-30
- WHO. Oral Health [Fact sheet]. WHO International Newsroom2020 [cited 2020 25.03.2020]. Available from: https://www.who.int/news-room/factsheets/detail/oral-health.
- Schmalz G., Ziebolz D., Individualisierte Prävention-ein patientenorientiertes Präventionskonzept für die zahnärztliche Praxis, ZWR- Das deutsche Zahnärzteblatt 2020;129;147-156
- Schmalz G., Ziebolz D., Individualisierte Prävention-fallorientierte Bedarfsprävention, ZWR- Das deutsche Zahnärzteblatt 2020;129;33-41
- Papapanou PN, Sanz M, Buduneli N, Dietrich T, Feres M, Fine DH, et al. Periodontitis: Consensus report of workgroup 2 of the 2017 World Workshop on the Classification of Periodontal and Peri-Implant Diseases and Conditions. J Periodontol. 2018;89 Suppl 1:S173-S82.
- Preshaw, P. M.; Alba, A. L.; Herrera, D.; Jepsen, S.; Konstantinidis, A.; Makrilakis, K.; Taylor, R. Periodontitis and diabetes: a two-way relationship: Diabetologia. 2012; 55 (1): 21-31
- Bordoloi P, Ramesh A, Thomas B, Bhandary R. Epidemiological survey of dentinal hypersensitivity after oral prophylaxis. J Cont Med A Dent. 2018;6(1).
- Graetz C, Seidel M. Mechanische Biofilmentfernung: Was, womit und wie funktioniert´s? Plaque N Care [Internet]. 2020. Available from: https://www.pncaktuell.de/prophylaxe/story/mechanische-biofilmentfernung-was-womit-undwie-funktionierts__8637.html
- Cobb CM, Daubert DM, Davis K, Deming J, Flemmig TF, Pattison A, Roulet JF, Stambaugh RV. Consensus Conference Findings on Supragingival and Subgingival Air Polishing. Compend Contin Educ Dent. 2017 Feb;38(2):e1-e4.
- Wang C, Zhao Y, Zheng S, Xue J, Zhou J, Tang Y, et al. Effect of enamel morphology on nanoscale adhesion forces of streptococcal bacteria: An AFM study. Scanning. 2015;37(5):313-21
- Macri D. Implementing a multifaceted approach to caries prevention. Dimensions of Dental Hygiene. 2018;16(5):21-2, 4-5.
- Schmalz G, Ziebolz D. Individualisierte Prävention – fallorientierte Bedarfsadaptation. ZWR. 2020;129(01/02):33-41.
- Prabhu A, Nalawade KP, Balasubamanian K, Sampat P, Rohra S, Sheth D. Dentine Hypersensitivity: A review. International Journal of Scientific Research. 2017;6(7).
- Sanz M, Baumer A, Buduneli N, Dommisch H, Farina R, Kononen E, et al. Effect of professional mechanical plaque removal on secondary prevention of periodontitis and the complications of gingival and periodontal preventive measures: consensus report of group 4 of the 11th European Workshop on Periodontology on effective prevention of periodontal and peri-implant diseases. J Clin Periodontol. 2015;42 Suppl 16:S214-20.
Kommentare