The Diabetic Patient with Pre-Existing Periodontitis
Introduction
The close relationship between general medical health and intraoral health is well-known (1,2). It is no longer adequate to consider intraoral conditions in isolation. Accurate medical and intraoral history taking and examination of findings, as well as their joint consideration, are essential for maintaining intraoral health and patient quality of life and offering dentists a sense of assurance during therapeutic planning. This is why an individualized prevention and patient profile, including any associated general medical and intraoral health risks, must be created for each patient (3, 4). (Fig. 1)

This case presentation highlights the usefulness of a systematic, individual prevention concept when creating a case-specific patient profile and implementing the resulting treatment measures.





General medical history
This case report concerns a 52-year-old man. He suffers from type 2 diabetes mellitus, and it is well controlled. His HbA1c value is 6.7. In terms of medication, the patient takes metformin daily. He is also a non-smoker. The patient cleans his teeth twice a day with a manual toothbrush and uses interdental brushes once a day.
He regularly attends follow-up at a treatment interval of 3 to 4 months.
Extraoral and intraoral findings
There are no pathological extraoral or intraoral findings.
Dental findings
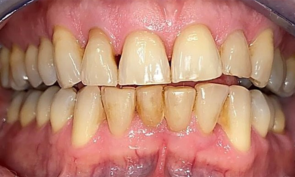
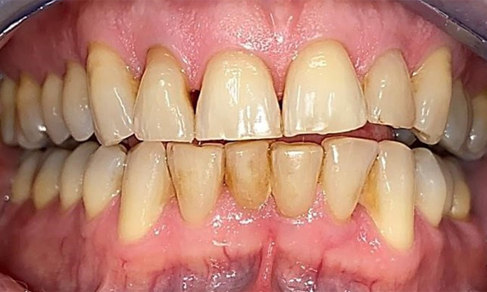
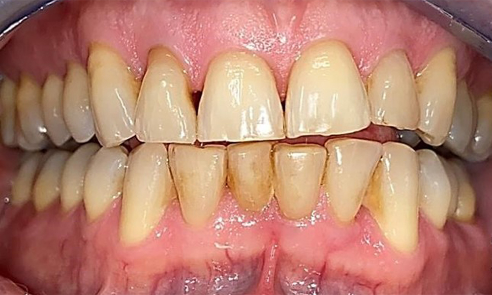
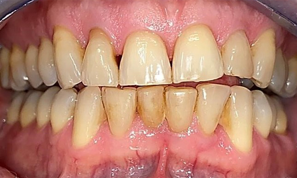
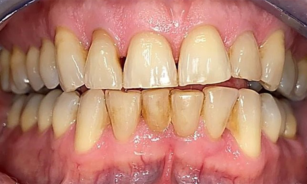
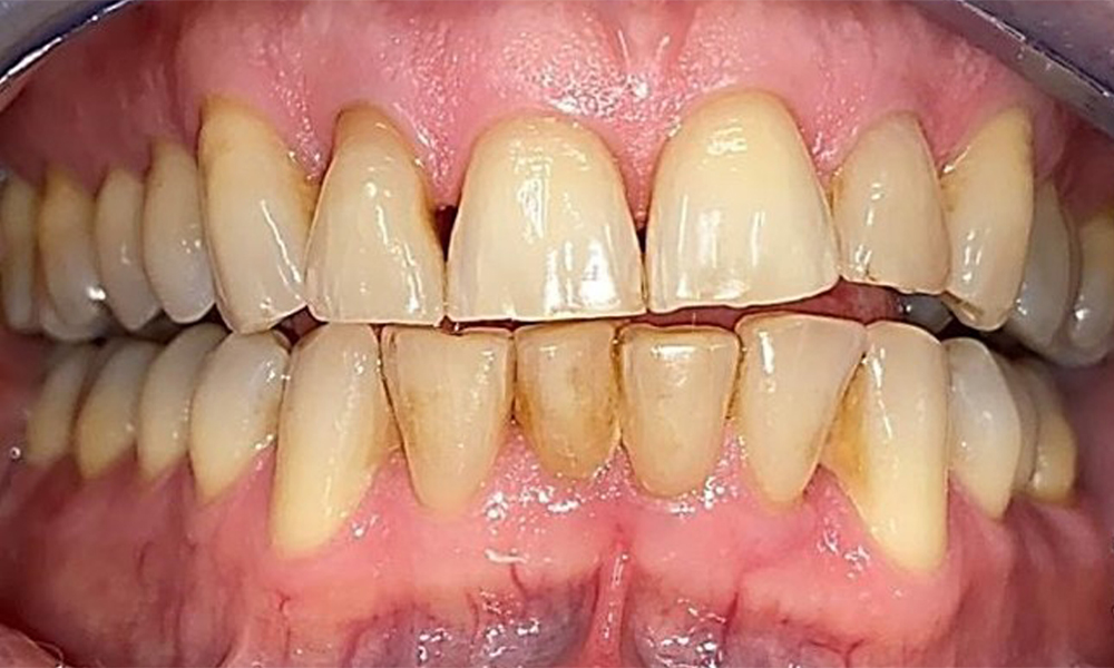
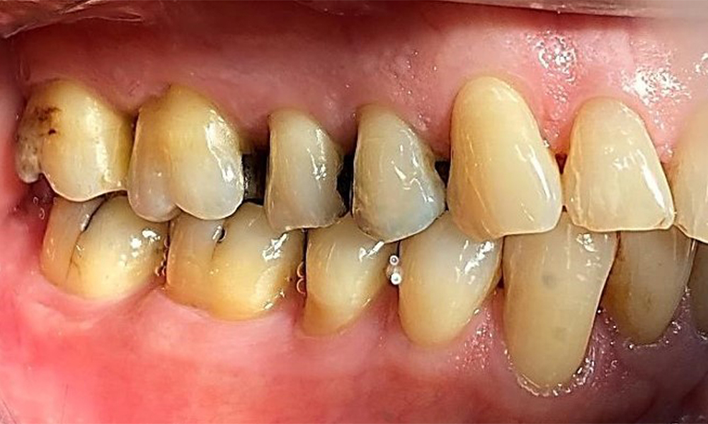
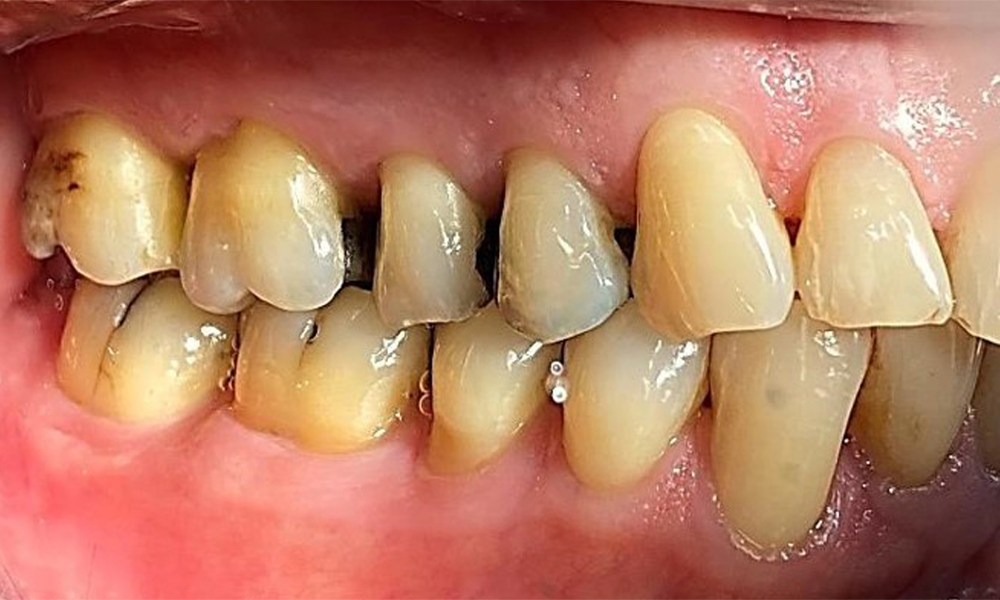
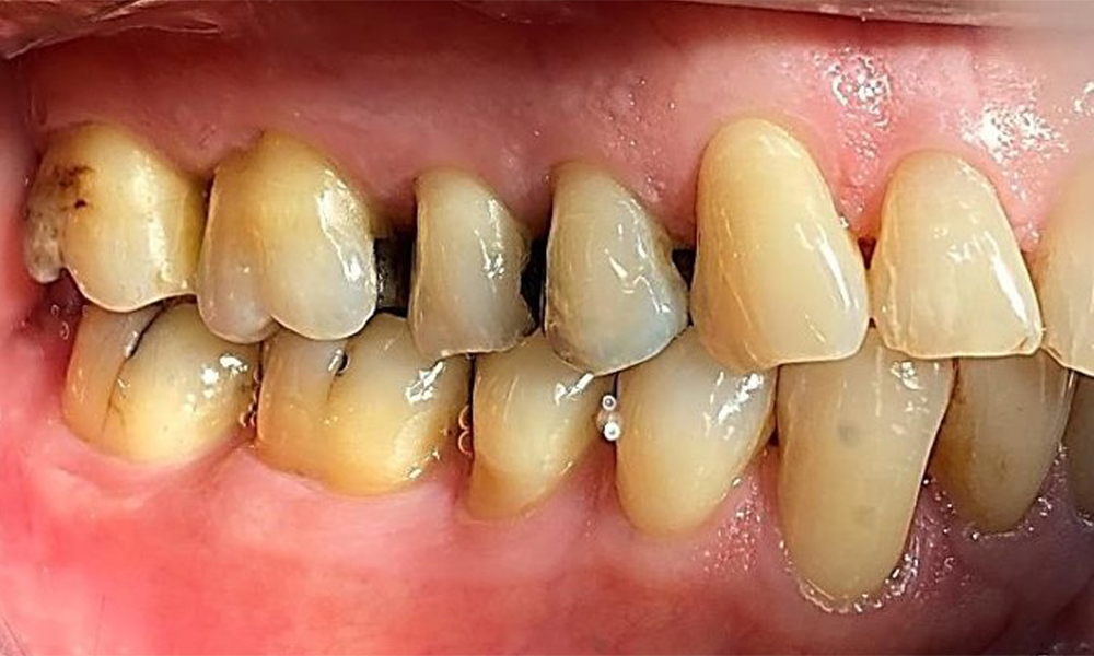
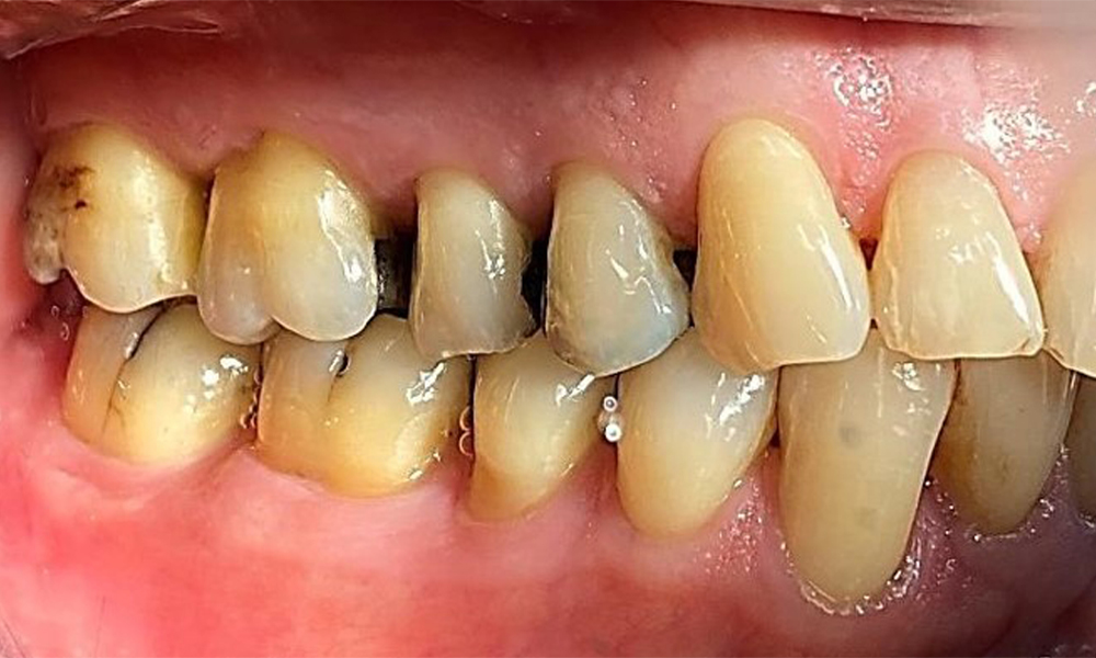
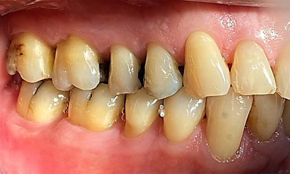
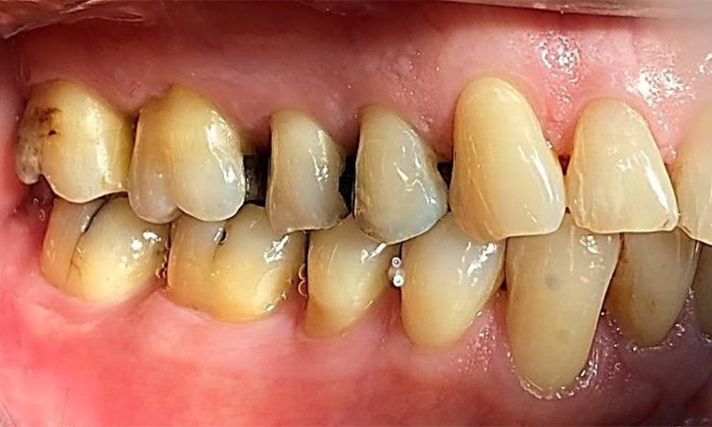
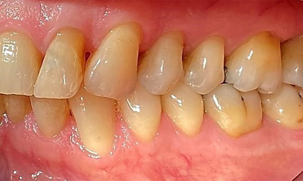
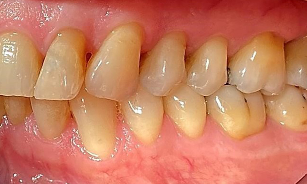
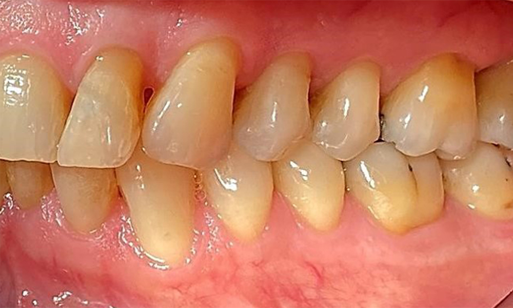
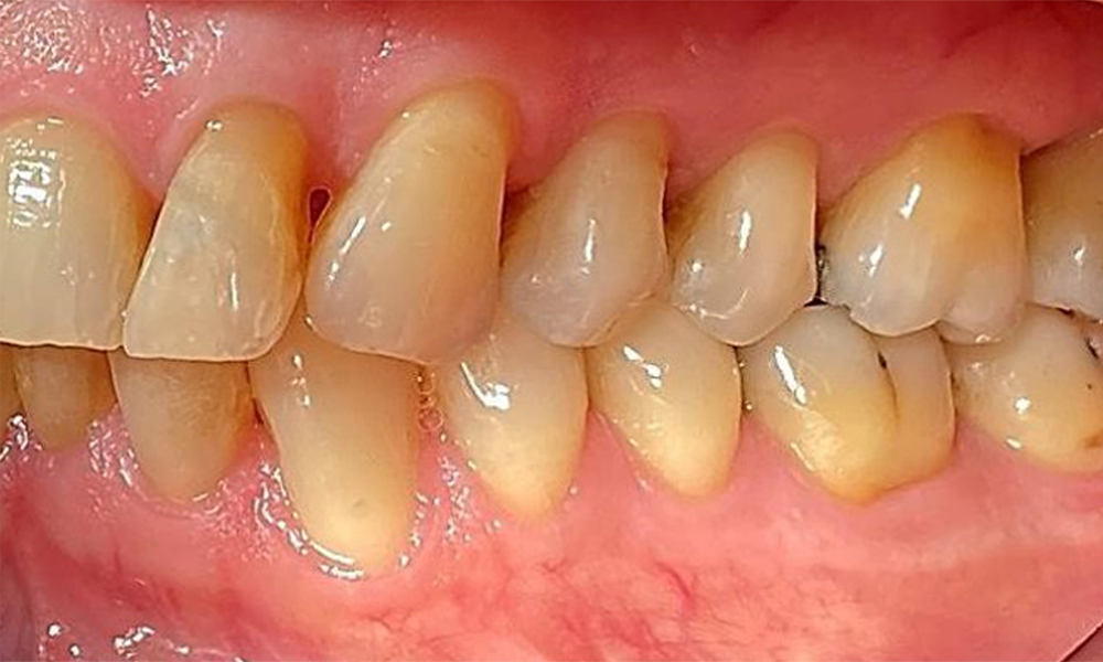
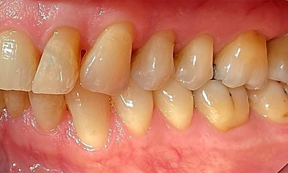
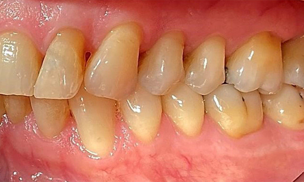
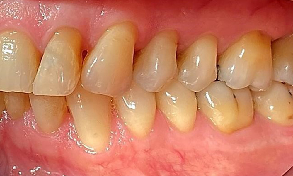
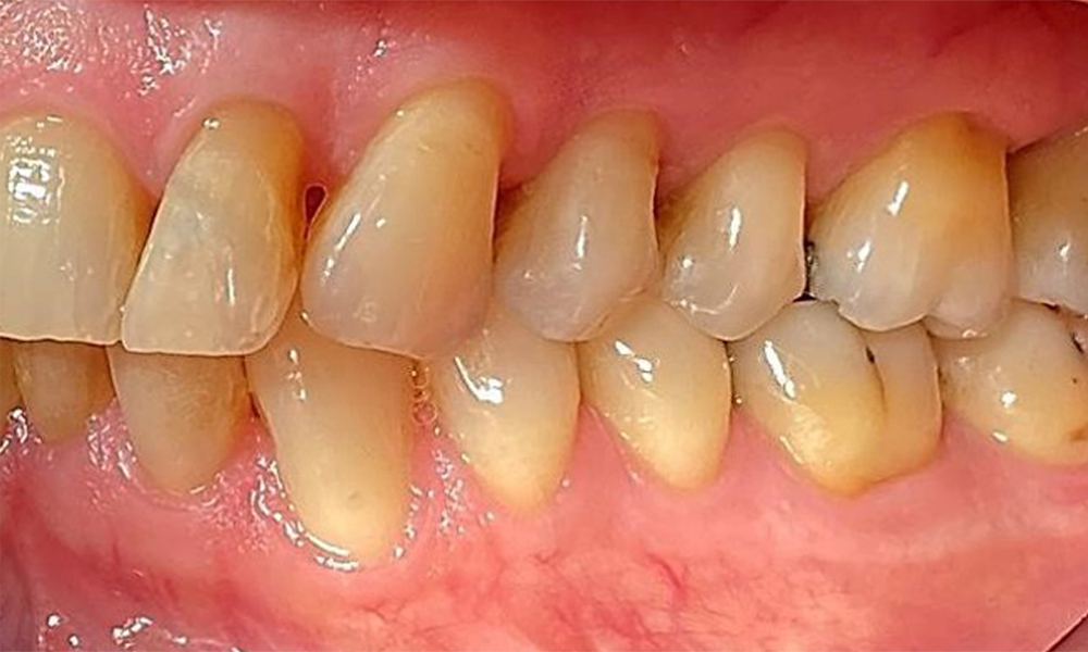
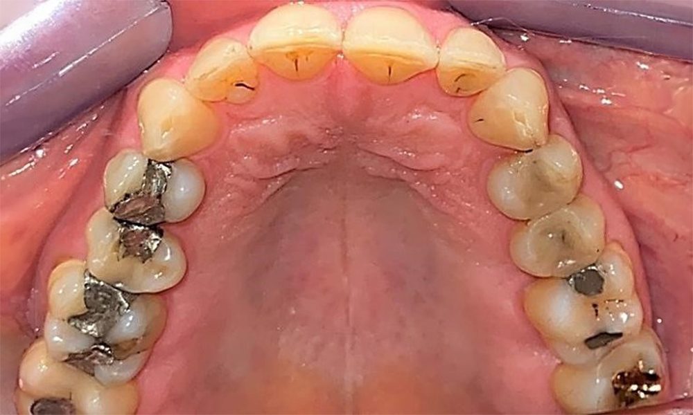
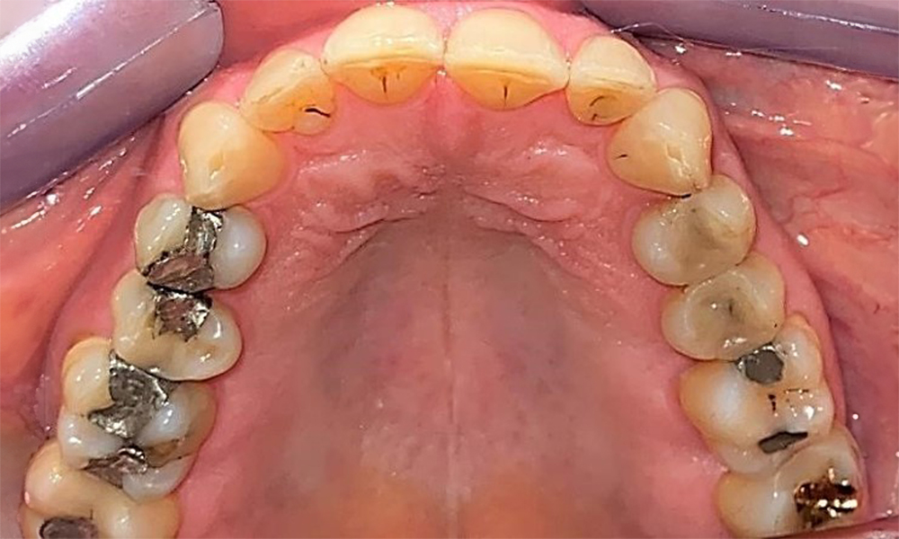
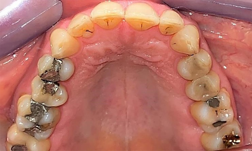
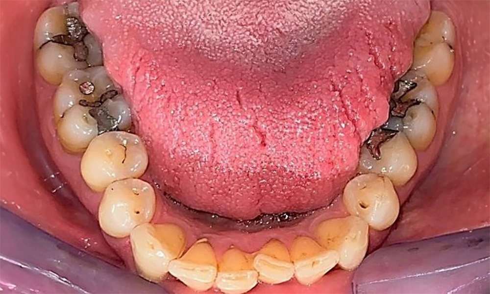
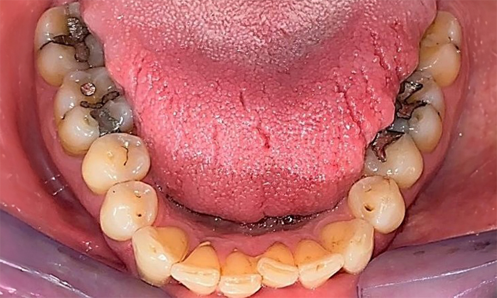
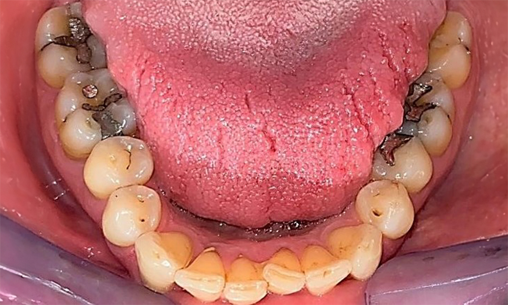
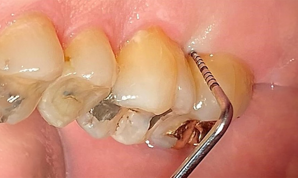
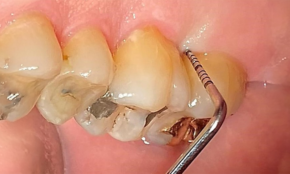
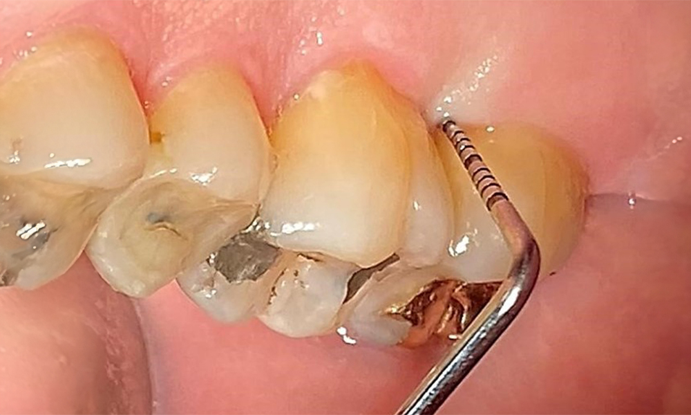
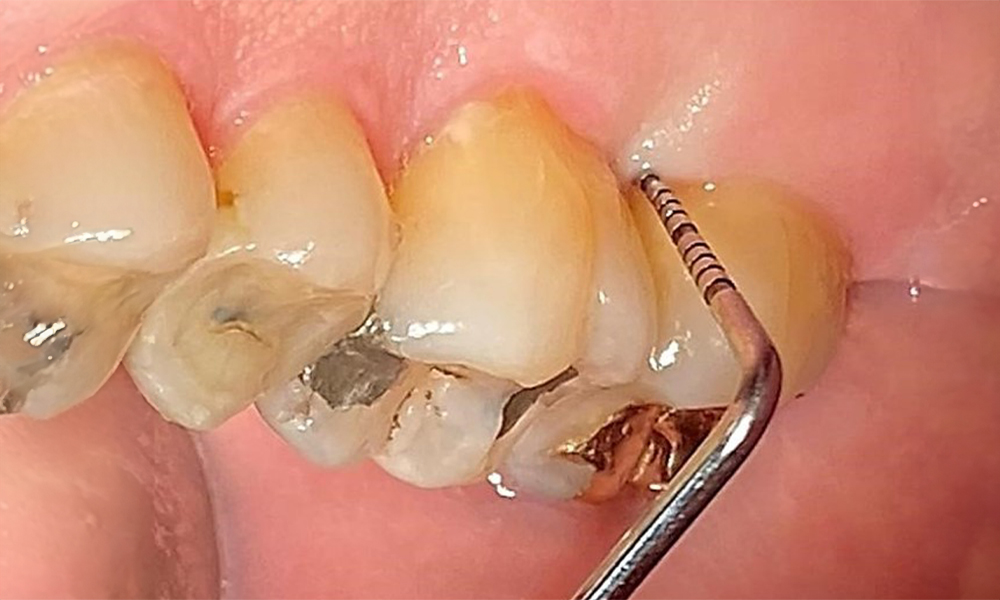
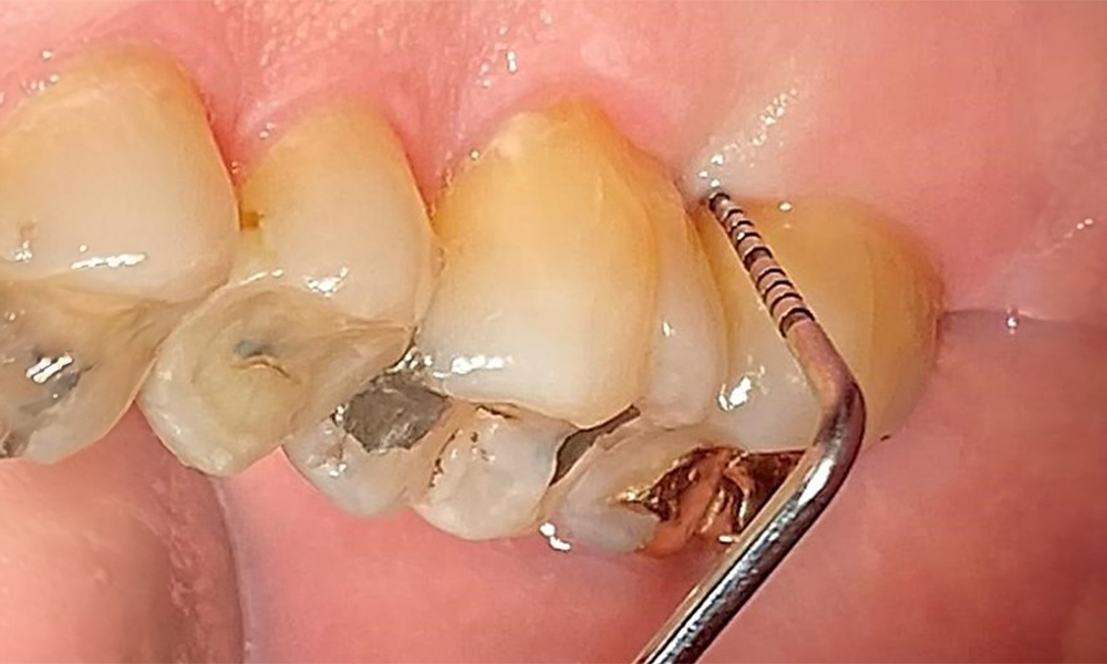
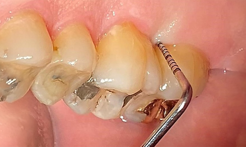
The patient has a full dentition with 28 teeth, which includes amalgam and composite fillings in the molar and premolar regions. There is a visible clinical marginal gap present on tooth 14. Tooth 27 has an adequate gold inlay. There are also generalized attritions and abrasions. (Fig. 2, Fig. 3, Fig. 4, Fig. 5, Fig. 6)
Periodontal findings
The patient has stage II, grade B periodontitis (5). At 1 to 3 mm, the clinical probing depths were within the physiological range. Localized probing depths of 5 mm were observed on the mesiopalatal aspects on both 17 and 27. There are generalized recessions of 1–3 mm with partial loss of the interdental papillae (Fig. 2, Fig. 3, Fig. 4)
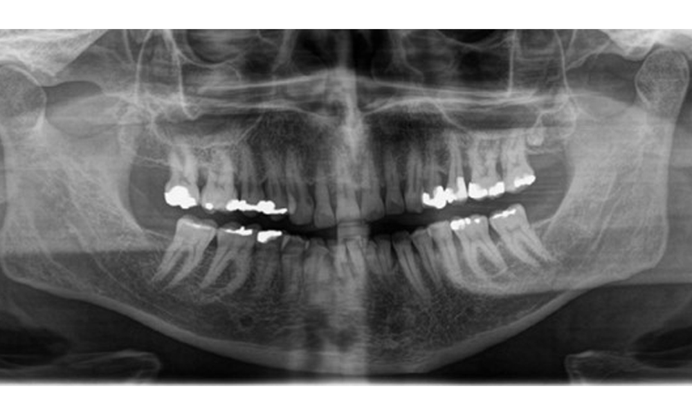
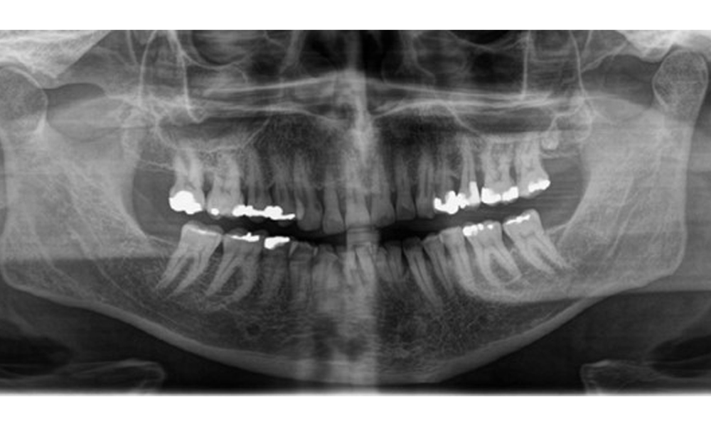
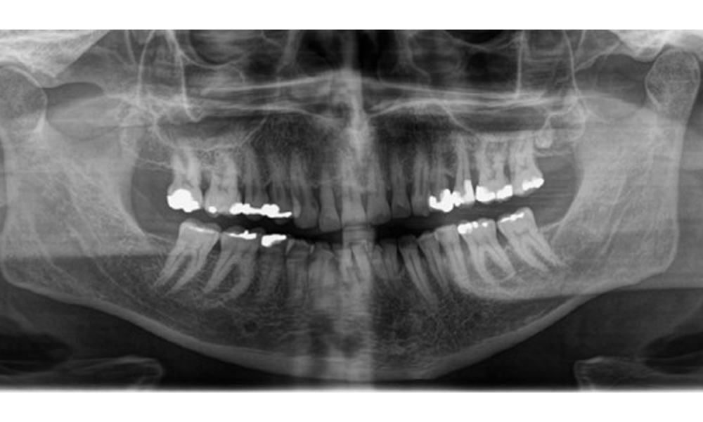
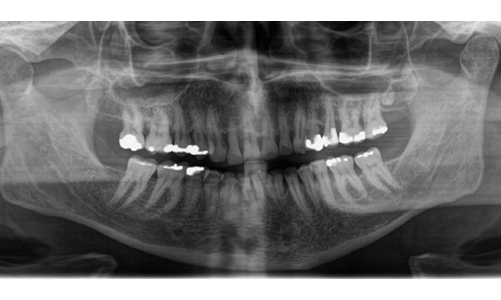
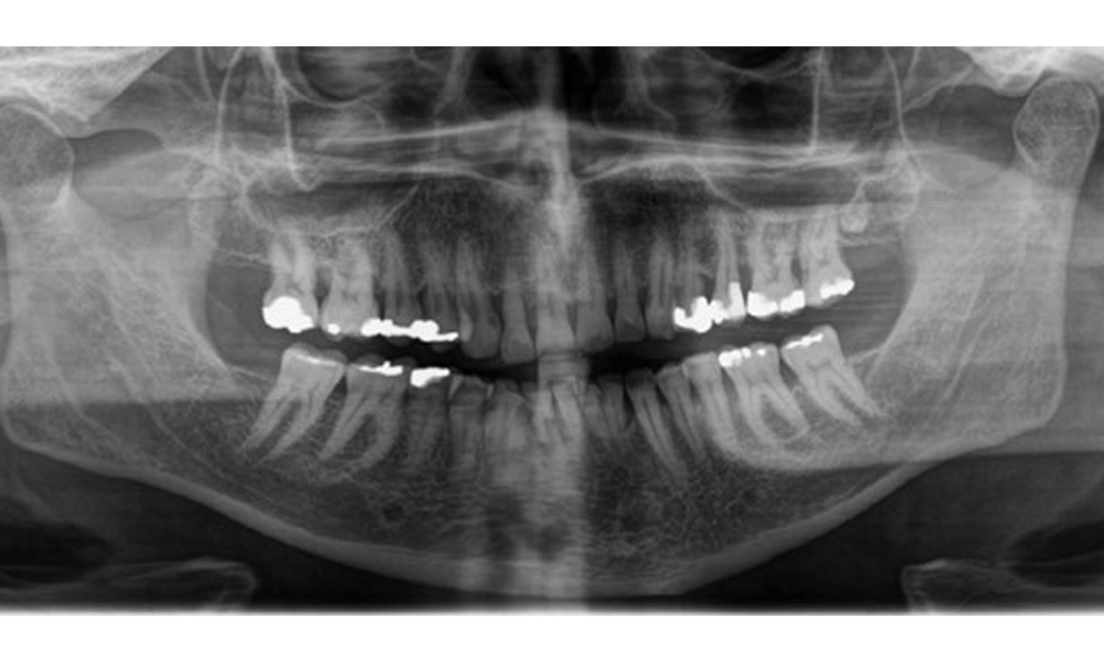
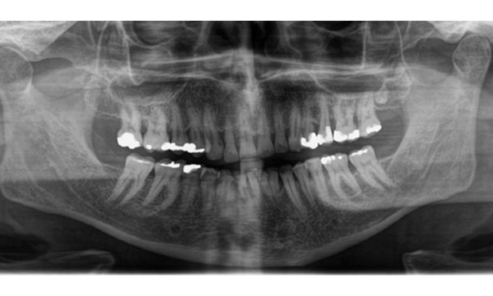
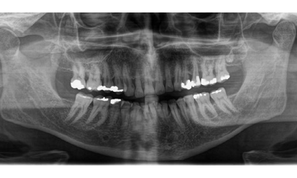
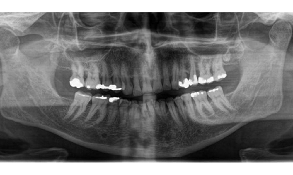
Radiological findings
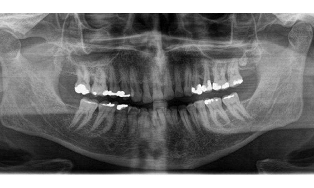
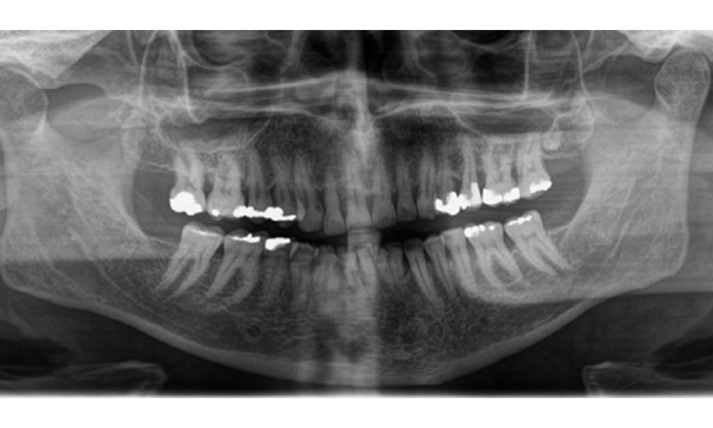
There is fully dentulous adult dentition with generalized bone loss of between 20-50% and multiple areas of vertical bone loss. Radiological examination revealed no visible caries. (Fig. 7)

Analysis of the case based on the individual prevention concept
The individualized prevention concept prioritizes the case-specific patient profile (3, 4). A patient profile is created using both general medical and intraoral health data (Fig. 1). These factors are of critical relevance for determining the need for treatment. The medical history in the present case did not uncover any specific risk factors that would increase the risk of complications during treatment. The patient suffers from diabetes mellitus. However, it is well controlled, so the patient can be treated in the same way as a "healthy" patient. In spite of this, the patient should always be asked for their current HbA1c value before any treatment. In terms of disease risk, it should be noted that there is a bidirectional relationship between periodontitis and diabetes mellitus (6). The disease risk in a well-controlled diabetic patient is classified as moderate. The intraoral health priority in this patient is the periodontitis. The patient currently has stable, stage II, grade B periodontitis. Based on the current findings, the risk of both progression and disease can currently be classified as moderate.
Treatment recommendation based on the individual prevention concept

This is a well-controlled diabetic patient. Therefore, based on the medical history, there is no increased risk of treatment-related complications. The HbA1c value should always be reviewed before any treatment.
The documentation of intraoral findings will determine the need for dental and periodontal treatment.
The documentation of periodontal findings, including pocket depth probing and bleeding status, is mandatory during each dental appointment due to the presence of periodontitis (Fig. 8). This will record the individual therapeutic needs and facilitate a rapid response to any progression of the pre-existing periodontitis.

Detailed periodontal findings, including the documentation of pocket depths, bleeding on probing, recessions, furcation involvement and degree of loosening, must be examined annually.
This will ensure a rapid response to any potential progression of the pre-existing periodontitis. Examination of the hard tooth structure and root surfaces is also mandatory, since the presence of exposed root surfaces increases the risk of root caries.

The patient uses interdental brushes and an electric toothbrush. This demonstrates good compliance and good intraoral hygiene behaviour and understanding at home. Regular motivation and re-instruction are indispensable due to the risk of progression, particularly with regard to the cleaning of interdental areas, since increased probing depths were detected in these areas. Localized calculus and soft plaque was present in the lingual anterior mandibular region, and these must be shown to the patient. The interdental brush size may need to be checked and adjusted. A soft brush attachment is recommended based on the presence of exposed root surfaces to prevent wedge-shaped defects. Toothpaste with a low abrasive value should be used.
Additional recommendations for the patient include the continued use of fluoridated toothpaste for home-based intraoral hygiene and use of a fluoride gel to reduce the risk of root caries due to the exposed root surfaces.
The use of desensitizing toothpaste is advisable if the patient experiences sensitivity disorders. At the same time, the patient should also be informed that sensitivity may temporarily increase after the preventive appointment due to the exposed root surfaces and dentinal tubules (7).

There are no limitations regarding the choice of instrumentation methods. Regular supragingival and subgingival instrumentation is essential to prevent disease progression due to the pre-existing periodontitis and high risk of recurrence. There are no limitations placed on the selection of instruments for mechanical biofilm removal from a general medical perspective, and removal should be performed as needed. Hard and mineralized plaque, such as calculus and concretions, should be removed using manual instruments or sonic/ultrasonic scalers (Fig. 9) (8, 9).

Supragingival and subgingival biofilm removal is indispensable for maintaining the stability of the periodontal condition. Air polishing using low-abrasive powder is suitable for this purpose. Periodontal pockets and exposed root surfaces must be cleaned with low-abrasion powders. The use of a flexible parotip is recommended for patients with increased probing depths (deeper than 5 mm) (Fig. 10). (9)

Pocket depths of up to 5 mm can also be managed using a conventional attachment (9). The use of an air polisher with a low-abrasive powder is also recommended for restoration margins, interdental areas and fissures. Rotary polishing (Fig. 11) gently smooths the tooth surfaces, which in turn supports the optimal end to prophylactic dental appointments and reduces bacterial re-adhesion (10).


Fluoridation of the exposed root surfaces to prevent caries is required after cleaning the tooth surfaces (11). Desensitizing varnish can be used in patients with sensitivity disorders. Fluoride also supports the alleviation of mildly increased sensitivity (12).

The critical factors for determining the follow-up interval are the pre-existing periodontitis (stage II, grade B), as well as the risk of progression, which is associated with the risk of root caries (13). Supportive maintenance therapy is therefore recommended 3 to 4 times a year. As patient needs change, this interval will be adjusted to prevent either excessive or inadequate treatment (14). Sustained treatment success is heavily influenced by both professional management and the compliance on the part of the affected patient, so it is important to once again discuss the relevance of the treatment measures and answer any questions the patient may have. Good patient guidance is required to maintain the periodontal and dental condition.It is recommended to arrange the next follow-up appointment immediately. This is beneficial for two reasons: it allows efficient management of a recall system for the dental practice, and ensures that the patient receives a suitable appointment at the right time.
Conclusion to the case
After a thorough consideration of the present case, the following consequences can be summarized.
- Based on the medical history, the patient has well-controlled diabetes mellitus. At present, it is not necessary to make special adjustments to the course of prophylaxis as part of IPC, based on the current HbA1c value and patient lifestyle. The risk of complications during treatment is classified as low.
- In terms of disease risk, it should be noted that there is a bidirectional relationship between periodontitis and diabetes mellitus. The disease risk in a well-controlled diabetic patient is classified as moderate.
- Examination of the probing depths and bleeding findings are mandatory during each appointment. These findings will indicate the individual therapeutic measures that are required. Detailed annual examination of the periodontal status (probing depths and BOP, attachment loss and furcation findings) is recommended. The treatment concept must be adjusted or changed if needed.
- The patient exhibits favourable home-based hygiene behaviour. Any deficits in terms of intraoral hygiene must be explained and demonstrated to the patient. Additional instructions and adjustments are required.
- The patient requires periodic, professional, need-driven follow-up treatment to maintain the current periodontal state due to their pre-existing periodontitis (stage II, grade B). Particular attention should be paid to thorough cleaning of the deeper (residual) pockets and interdental areas.
- Additional therapeutic measures, such as fluoride application, are necessary and recommended due to the exposed root surfaces.
- A strict follow-up interval of 3 to 4 months is recommended to maintain the current intraoral condition due to the risk of progression and new disease.
Bibliography
- Bansal M, Rastogi S, Vineeth NS. Influence of periodontal disease on systemic disease: inversion of a paradigm: a review. Journal of medicine and life. 2013;6(2):126-30
- WHO. Oral Health [Fact sheet]. WHO International Newsroom2020 [cited 2020 25.03.2020]. Available from: https://www.who.int/news-room/factsheets/detail/oral-health.
- Schmalz G., Ziebolz D., Individualisierte Prävention-ein patientenorientiertes Präventionskonzept für die zahnärztliche Praxis, ZWR- Das deutsche Zahnärzteblatt 2020;129;147-156
- Schmalz G., Ziebolz D., Individualisierte Prävention-fallorientierte Bedarfsprävention, ZWR- Das deutsche Zahnärzteblatt 2020;129;33-41
- Papapanou PN, Sanz M, Buduneli N, Dietrich T, Feres M, Fine DH, et al. Periodontitis: Consensus report of workgroup 2 of the 2017 World Workshop on the Classification of Periodontal and Peri-Implant Diseases and Conditions. J Periodontol. 2018;89 Suppl 1:S173-S82.
- Preshaw, P. M.; Alba, A. L.; Herrera, D.; Jepsen, S.; Konstantinidis, A.; Makrilakis, K.; Taylor, R. Periodontitis and diabetes: a two-way relationship: Diabetologia. 2012; 55 (1): 21-31
- Bordoloi P, Ramesh A, Thomas B, Bhandary R. Epidemiological survey of dentinal hypersensitivity after oral prophylaxis. J Cont Med A Dent. 2018;6(1).
- Graetz C, Seidel M. Mechanische Biofilmentfernung: Was, womit und wie funktioniert´s? Plaque N Care [Internet]. 2020. Available from: https://www.pncaktuell.de/prophylaxe/story/mechanische-biofilmentfernung-was-womit-undwie-funktionierts__8637.html
- Cobb CM, Daubert DM, Davis K, Deming J, Flemmig TF, Pattison A, Roulet JF, Stambaugh RV. Consensus Conference Findings on Supragingival and Subgingival Air Polishing. Compend Contin Educ Dent. 2017 Feb;38(2):e1-e4.
- Wang C, Zhao Y, Zheng S, Xue J, Zhou J, Tang Y, et al. Effect of enamel morphology on nanoscale adhesion forces of streptococcal bacteria: An AFM study. Scanning. 2015;37(5):313-21
- Macri D. Implementing a multifaceted approach to caries prevention. Dimensions of Dental Hygiene. 2018;16(5):21-2, 4-5.
- Schmalz G, Ziebolz D. Individualisierte Prävention – fallorientierte Bedarfsadaptation. ZWR. 2020;129(01/02):33-41.
- Prabhu A, Nalawade KP, Balasubamanian K, Sampat P, Rohra S, Sheth D. Dentine Hypersensitivity: A review. International Journal of Scientific Research. 2017;6(7).
- Sanz M, Baumer A, Buduneli N, Dommisch H, Farina R, Kononen E, et al. Effect of professional mechanical plaque removal on secondary prevention of periodontitis and the complications of gingival and periodontal preventive measures: consensus report of group 4 of the 11th European Workshop on Periodontology on effective prevention of periodontal and peri-implant diseases. J Clin Periodontol. 2015;42 Suppl 16:S214-20.
comments