Delayed implantation and augmentation – measurement of implant stability
A first mandibular molar in a young patient had to be extracted due to extensive damage by caries with endodontic complications. Crowning the generally healthy neighbouring teeth could only be avoided with an implant. Six weeks after extraction, the alveolus proved to have insufficient bone. The implantation had to be combined with surrounding augmentation.
Implants must have adequate primary stability to ensure secure osseointegration. The required mechanical torque can be measured during insertion. If the primary micromovement of the implant is excessive, connective tissue may grow into the resulting gap and osseointegration will not take place 1. However, the resistance to screwing in the implant depends, among other factors, on the implant body and thread geometry. Therefore, the standard recommendation of at least 20 to 40 Ncm cannot be applied to every system (2).
It is also not possible to repeat a torque measurement without endangering the success of osseointegration. For this reason, non-invasive devices such as resonance-frequency analysis (RFA) should be used. Electromagnetic waves are used to start the implant vibrating. The resulting implant-stability quotient (ISQ) is related to the micromovement and thus to the prosthetic resilience (3, 4). A high bone density tends to be linked to increased primary stability (5). If the bone volume is reduced, good primary stability is more difficult to assess, which means that measurement of the ISQ may be particularly important (2).
Case history

A 28-year-old patient with a history of heavy smoking had to have tooth 36 extracted as a result of recurring apical periodontitis.
Due to the generally intact neighbouring teeth the only way to fill the gap was an implant.

However, six weeks after the extraction incomplete ossification was found after preparation of the mucoperiosteal flap in the region of the former mesial alveolus.

The implant was placed as planned after thorough removal of the granulation tissue (blueSky, bredent).

The torque used for the machine-driven placement was 43 Ncm. In addition, after screwing a measuring post (SmartPeg) specially matched to the implant, the ISQ value was measured with the probe of the W&H Osstell ISQ module.

This module is an optional extra for the W&H Implantmed and is docked to the implantology motor (see Fig. 11). The dimensionless ISQ value immediately after insertion was 64 orovestibular and 68 mesiodistal (maximum value = 100).
These values could have indicated open healing or even immediate restoration. Due to the insufficient crestal bone volume at the implant, the region was augmented with the bone chips collected during preparation of the implant bed and sutured to exclude saliva.
The implant was uncovered two months later and a gingiva former was screwed in (no picture).
After healing of the soft tissue, the implant stability was measured again before delivery of the prosthetic restoration.
Both values were virtually unchanged and were between the medium and the high range – where the lower value is always used as the reference value that determines the treatment.

Therefore, successful osseointegration and adequate biological stability could be recorded, which enabled an impression to be taken in the same session.
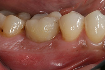
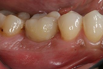
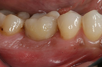
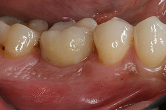
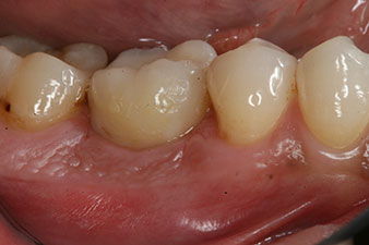
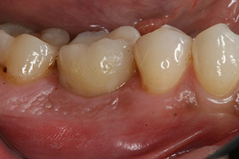
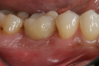
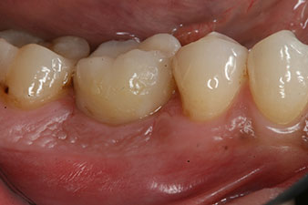
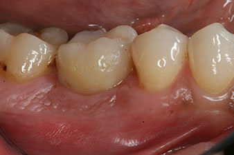
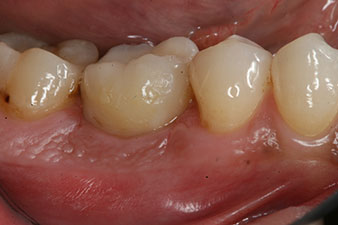
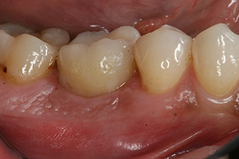
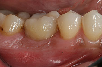
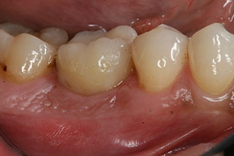
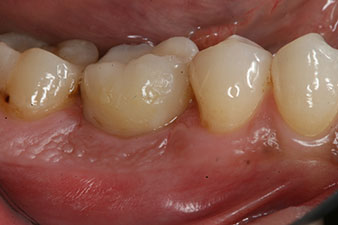
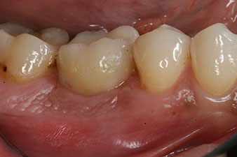
The final pictures show the screw-retained monolithic composite crown in place and the x-ray check (Fig. 9 and 10) (6).


Discussion and conclusion
Patients today expect quick treatment and thus determining the right time of restoration is becoming more and more important. To be able to estimate the micromovement for immediate restorations, the primary mechanically determined stability must be measured on the day of implantation. In contrast, to check that osseointegration was successful, the biologically determined secondary stability is measured. If implants are placed in soft bone, on average they tend to be more stable after uncovery than after placement (2). But if the implant is placed in hard or solid bone, as in the case study described here, the ISQ value remains constant or may even decrease if the initial values were high. The high mechanical stability is reduced by the osseointegration process and it is replaced by a biological anchorage.
The implant stability is better described as micromobility and is best measured by resonance-frequency analysis (RFA) (7, 8). Measurements are best made in two directions, as in the case study (9). The technology is optionally available as a module that can be docked to the Implantmed implantology motor. A separate device is not required. The lower value is always applicable for the therapy. Measured values are displayed on the touch screen of the implantology motor as the implant-stability quotient (ISQ). Along with the torque curve for insertion and data on preparation of the implant bed, they can be recorded on a USB stick and used for documentation for the patient and the implant. Overall, it is a very user-friendly and reliable technology for everyday work in implantology, particularly in combination with the W&H Implantmed.
Literatur
- Brunski JB. In vivo bone response to biomechanical loading at the bone/dental-implant interface. Adv Dent Res 1999;13:99-119.
- Neugebauer J, Kistler F, Duddeck D, Scheer M, Kistler S, Bayer G, et al. Risikomanagement - objektive Beurteilung der Implantatstabilität. Implantologie Journal 2013.
- Pagliani L, Sennerby L, Petersson A, Verrocchi D, Volpe S, Andersson P. The relationship between resonance frequency analysis (RFA) and lateral displacement of dental implants: an in vitro study. Journal of oral rehabilitation 2013;40:221-227.
- Suer BT, Yaman Z, Buyuksarac B. Correlation of Fractal Dimension Values with Implant Insertion Torque and Resonance Frequency Values at Implant Recipient Sites. Int J Oral Maxillofac Implants 2016;31:55-62.
- Filho LC, Cirano FR, Hayashi F, Feng HS, Conte A, Dib LL, et al. Assessment of the correlation between insertion torque and resonance frequency analysis of implants placed in bone tissue of different densities. J Oral Implantol 2014;40:259-262.
- Neugebauer J, Adler S, Kistler F, Kistler S, Bayer G. Der Einsatz von Kunststoffen bei der festsitzenden prothetischen Implantatversorgung. ZWR Das Deutsche Zahnärzteblatt 2013;122:242-245.
- Andreotti AM, Goiato MC, Nobrega AS, Freitas da Silva EV, Filho HG, Pellizzer EP et al. Relationship Between Implant Stability Measurements Obtained by Two Different Devices: A Systematic Review. J Periodontol 2017; 88: 281-288.
- Herrero-Climent M, Santos-Garcia R, Jaramillo-Santos R, Romero-Ruiz MM, Fernandez-Palacin A, Lazaro-Calvo P, et al. Assessment of Osstell ISQ's reliability for implant stability measurement: a cross-sectional clinical study. Medicina oral, patologia oral y cirugia bucal 2013;18:e877-882.
- Park JC, Kim HD, Kim SM, Kim MJ, Lee JH. A comparison of implant stability quotients measured using magnetic resonance frequency analysis from two directions: a prospective clinical study during the initial healing period. Clinical oral implants research 2010;21:591-597.
comments