Verzögerte Implantation und Augmentation – Messung der Implantatstabilität
Bei einem jungen Patienten musste ein erster Unterkiefermolar wegen kariöser Zerstörung mit endodontischer Komplikation extrahiert werden. Eine Überkronung der weitgehend gesunden Nachbarzähne konnte nur durch ein Implantat vermieden werden. Sechs Wochen nach der Extraktion zeigte sich eine unvollständig verknöcherte Alveole. Die Implantation musste daher in mit einer umschriebenen Augmentation kombiniert werden.
Für eine sichere Osseointegration müssen Implantate ausreichend primärstabil sein. Das mechanisch bedingte Drehmoment kann beim Inserieren ermittelt werden. Ist die primäre Mikrobeweglichkeit des Implantats zu hoch, kann Bindegewebe in den entstehenden Spalt wachsen und die Osseointegration ausbleiben (1). Der Eindrehwiderstand ist jedoch unter anderem von der Implantatkörper- und Gewindegeometrie abhängig. Daher lässt sich die gängige Empfehlung von mindestens 20 bis 40 Ncm nicht auf jedes System übertragen (2).
Eine Drehmomentmessung ist zudem nicht wiederholbar, ohne den Osseointegrationserfolg zu gefährden. Empfehlenswert sind daher nicht-invasive Messgeräte, die zum Beispiel die Resonanz-Frequenz-Analyse (RFA) nutzen. Dabei versetzen elektromagnetische Wellen das untersuchte Implantat in Schwingungen. Der dabei ermittelte Implantat-Stabilitäts-Quotient (ISQ) steht in Beziehung zur Mikrobeweglichkeit und damit zur prothetischen Belastbarkeit (3, 4). Eine hohe Knochendichte ist tendenziell mit erhöhter Primärstabilität verknüpft (5). Bei reduziertem Knochenangebot ist jedoch eine gute Primärstabilität schwieriger zu beurteilen, so dass eine ISQ-Bestimmung besonders wichtig sein kann (2).
Patientenbeispiel

Bei einem 28-jährigen Patienten mit ausgeprägter Raucheranamnese musste Zahn 36 als Folge einer rezidivierenden apikalen Parodontitis extrahiert werden.
Wegen der weitgehend intakten Nachbarzähne kam als Lückenversorgung nur ein Implantat in Frage.

Sechs Wochen nach Extraktion zeigte sich jedoch nach Präparation des Mukoperiostlappens im Bereich der ehemaligen mesialen Alveole eine unvollständige Ossifikation.

Nach gründlicher Entfernung des Granulationsgewebes wurde das Implantat wie geplant eingebracht (blueSky, bredent).

Das Drehmoment beim maschinellen Einbringen war 43 Ncm. Zusätzlich wurde, nach Einschrauben eines speziellen, auf das Implantatsystem abgestimmten Mess-Pfostens (SmartPeg), der ISQ-Wert mit der Sonde des W&H Osstell ISQ Modul bestimmt.

Dieses Modul ist für das Implantmed von W&H optional erhältlich und wird an den Implantologiemotor gedockt (vgl. Abb. 11). Der dimensionslose ISQ-Wert war direkt bei der Insertion 64 in oro-vestibulärer und 68 in mesio-distaler Richtung (Maximalwert = 100). Dies hätte eine offene Einheilung oder sogar Sofortversorgung erlaubt.
Wegen des unzureichenden Knochens krestal am Implantat wurde der Bereich mit den bei der Präparation des Implantatlagers gesammelten Knochenspänen augmentiert und speicheldicht vernäht.
Zwei Monate später wurde das Implantat freigelegt und ein Gingivaformer eingeschraubt (ohne Abbildung).
Nach Abheilung der Weichgewebe wurde vor der weiteren prothetischen Versorgung die Implantatstabilität erneut bestimmt.
Beide Werte waren praktisch unverändert und lagen im Übergang vom mittleren in den hohen Bereich – wobei der niedrigere Wert immer als therapiebestimmende Referenz dient.

Damit konnten eine erfolgreiche Osseointegration und ausreichende biologische Stabilität dokumentiert werden, die eine Abformung in derselben Sitzung erlaubte.
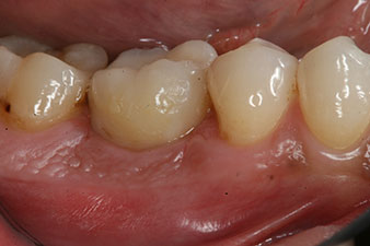
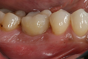
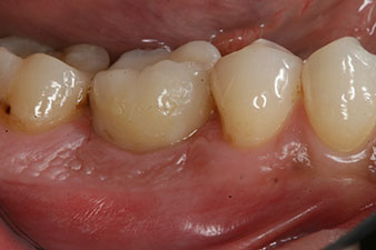
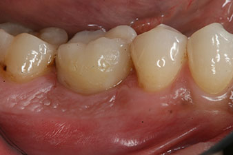
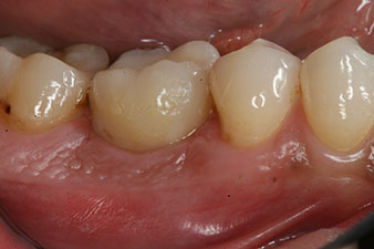
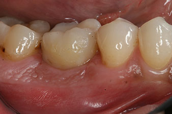
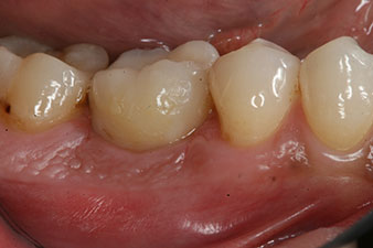
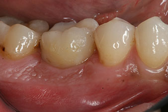
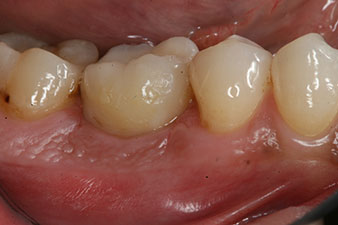
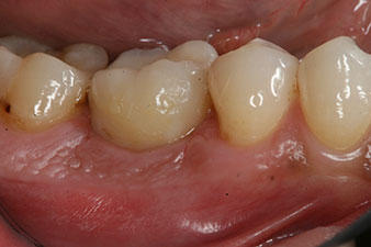
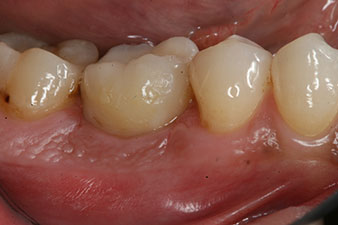
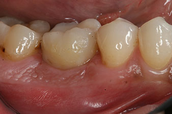
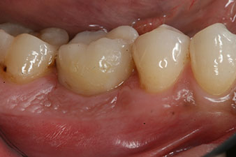
Die Abschlussbilder zeigen die verschraubte monolithische Kompositkrone in situ und die Röntgenkontrolle (Abb. 9 und 10) (6).


Diskussion und Fazit
Patienten erwarten heute eine kurzfristig erbrachte Therapie und somit wird die Bestimmung des richtigen Versorgungszeitpunkts immer wichtiger. Um bei Sofortversorgungen die Mikrobeweglichkeit des einzelnen Implantates einschätzen zu können, muss die primäre, mechanisch bedingte Stabilität am Tag der Implantation gemessen werden. Um die erfolgreiche Osseointegration zu prüfen, wird dagegen die biologisch bedingte sekundäre Stabilität bestimmt. Werden Implantate im weichen Knochen eingesetzt, zeigen sich diese bei der Freilegung im Durchschnitt stabiler als nach der Insertion (2). Erfolgt die Implantation dagegen, wie im Fallbeispiel, in hartem oder festem Knochen, bleibt der ISQ-Wert konstant oder kann bei hohen Ausgangswerten sogar abnehmen. Die hohe mechanische Stabilität reduziert sich dann durch den Osseointegrationsprozess und es erfolgt stattdessen eine biologische Verankerung.
Die Implantatstabilität wird besser als Mikromobilität beschrieben und am sichersten mit der Resonanz-Frequenz-Analyse (RFA) bestimmt (7, 8). Die Messungen erfolgen, wie im Fallbeispiel, am besten in zwei Richtungen (9). Die entsprechende Technik ist im Implantologiemotor Implantmed optional als andockbares Modul verfügbar. Ein separates Gerät ist also nicht erforderlich. Für die Therapie zählt immer der jeweils niedrigere Wert. Messwerte werden als Implantat-Stabilitäts-Quotient (ISQ) am Touchscreen des Implantologiemotors angezeigt. Sie lassen sich, ebenso wie die Drehmomentkurve beim Einbringen und Daten zur Implantatbettaufbereitung, auf einem USB-Stick aufzeichnen und für die patienten- und implantatbezogene Dokumentation nutzen. Insgesamt handelt es sich – ganz besonders in Verbindung mit dem Implantmed von W&H – um eine sehr anwenderfreundliche und zuverlässige Technik für den implantologischen Alltag.
Literatur
- Brunski JB. In vivo bone response to biomechanical loading at the bone/dental-implant interface. Adv Dent Res 1999;13:99-119.
- Neugebauer J, Kistler F, Duddeck D, Scheer M, Kistler S, Bayer G, et al. Risikomanagement - objektive Beurteilung der Implantatstabilität. Implantologie Journal 2013.
- Pagliani L, Sennerby L, Petersson A, Verrocchi D, Volpe S, Andersson P. The relationship between resonance frequency analysis (RFA) and lateral displacement of dental implants: an in vitro study. Journal of oral rehabilitation 2013;40:221-227.
- Suer BT, Yaman Z, Buyuksarac B. Correlation of Fractal Dimension Values with Implant Insertion Torque and Resonance Frequency Values at Implant Recipient Sites. Int J Oral Maxillofac Implants 2016;31:55-62.
- Filho LC, Cirano FR, Hayashi F, Feng HS, Conte A, Dib LL, et al. Assessment of the correlation between insertion torque and resonance frequency analysis of implants placed in bone tissue of different densities. J Oral Implantol 2014;40:259-262.
- Neugebauer J, Adler S, Kistler F, Kistler S, Bayer G. Der Einsatz von Kunststoffen bei der festsitzenden prothetischen Implantatversorgung. ZWR Das Deutsche Zahnärzteblatt 2013;122:242-245.
- Andreotti AM, Goiato MC, Nobrega AS, Freitas da Silva EV, Filho HG, Pellizzer EP et al. Relationship Between Implant Stability Measurements Obtained by Two Different Devices: A Systematic Review. J Periodontol 2017; 88: 281-288.
- Herrero-Climent M, Santos-Garcia R, Jaramillo-Santos R, Romero-Ruiz MM, Fernandez-Palacin A, Lazaro-Calvo P, et al. Assessment of Osstell ISQ's reliability for implant stability measurement: a cross-sectional clinical study. Medicina oral, patologia oral y cirugia bucal 2013;18:e877-882.
- Park JC, Kim HD, Kim SM, Kim MJ, Lee JH. A comparison of implant stability quotients measured using magnetic resonance frequency analysis from two directions: a prospective clinical study during the initial healing period. Clinical oral implants research 2010;21:591-597.
Kommentare