Reports & Studies

The pre-treatment phase and the importance of a stable periodontal situation

by PD Dr. Kristina Bertl, PhD MBA MSc
Department of Periodontology, Faculty of Odontology, University of Malmö, Sweden
First published: ADP Jan/Feb 2020

Peri-implant mucositis and peri-implantitis are, unfortunately, relatively frequently occurring biological complications; i.e., peri-implant mucositis and peri-implantitis occur in almost every 2nd and 4th patient, respectively (Derks & Tomasi 2015). In order to reduce the prevalence of such biological complications, the NIWOP concept (i.e., No Implantology without Periodontology) aims to remind the dental health professions of actually well-known facts. Hence, NIWOP can be seen as a clinical guideline, which starts long before actual implant installation and continues long after prosthetic restoration.

The NIWOP concept (Figure 1) is split into 3 major aspects: (1) Pre-treatment phase, (2) implant installation, and (3) recall or supportive treatment.

Figure 1. The NIWOP concept. © W&H
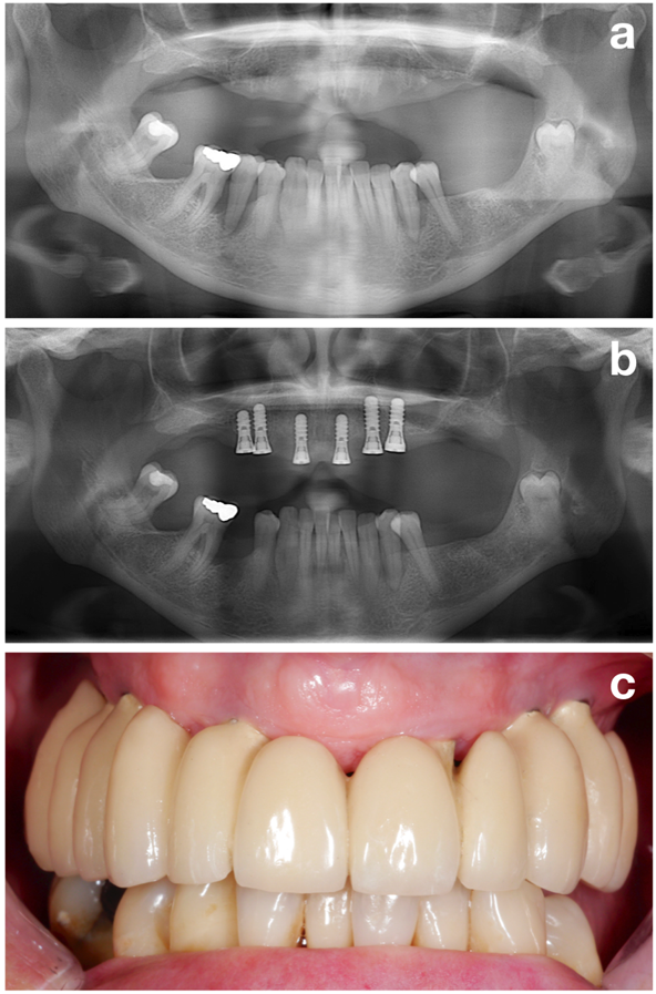
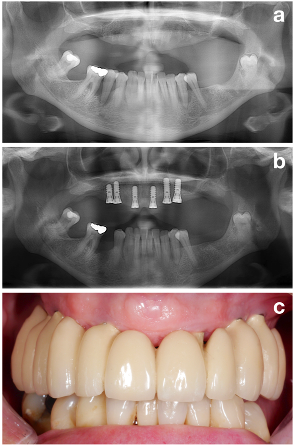
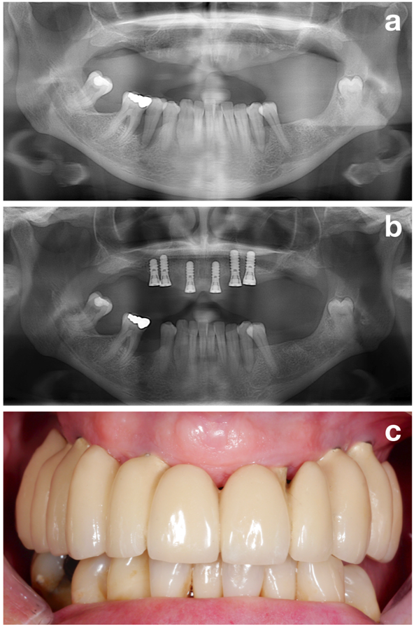
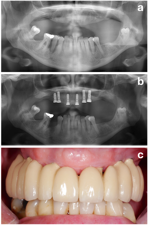
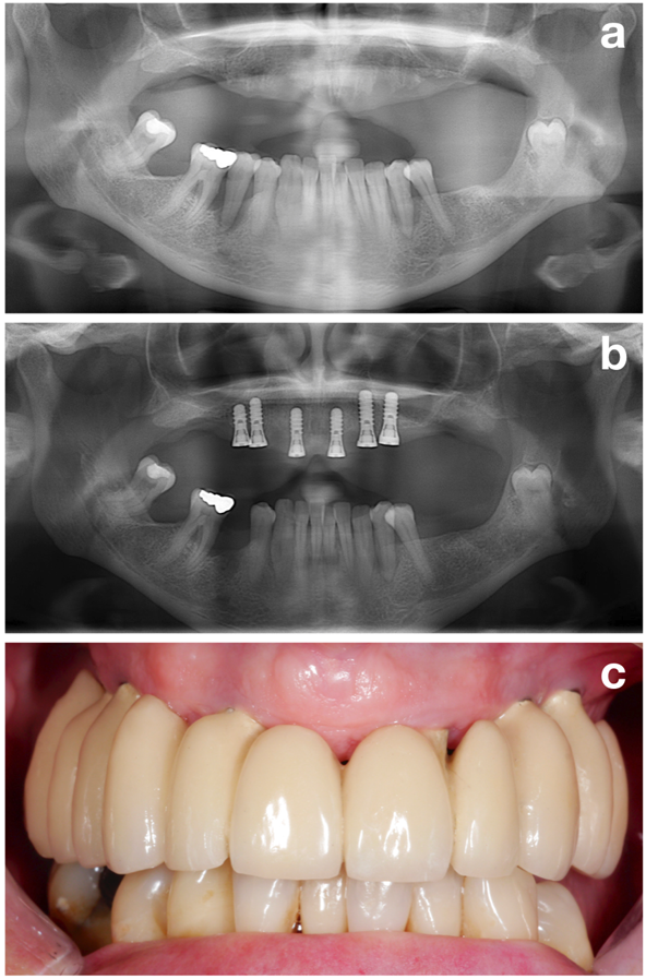
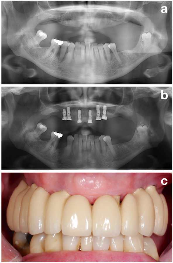
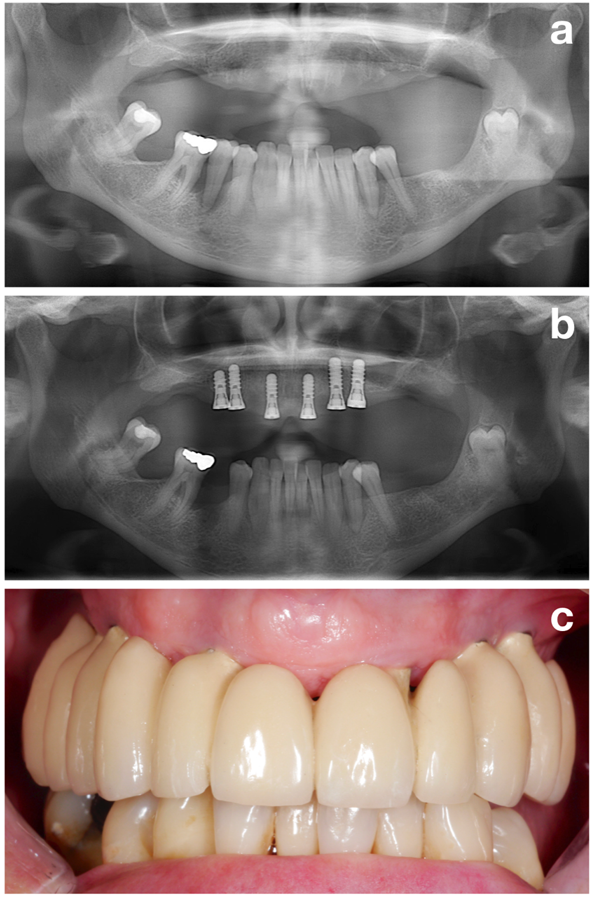
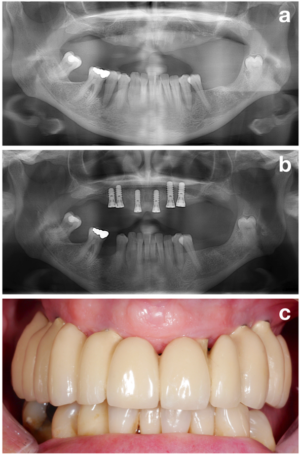
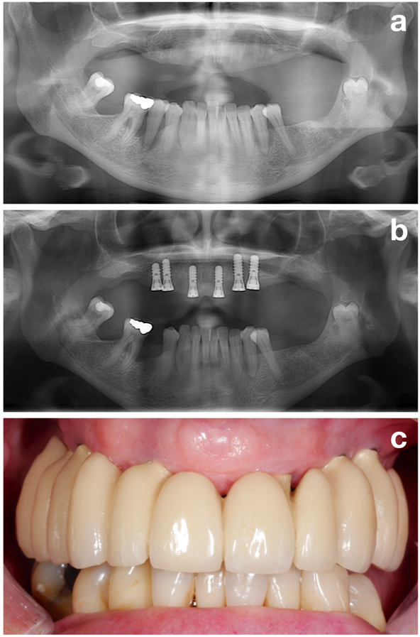
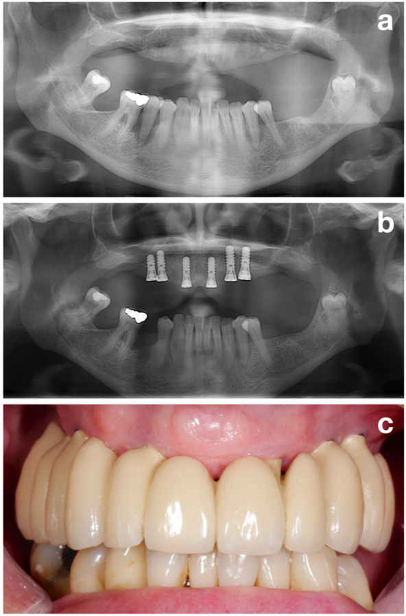
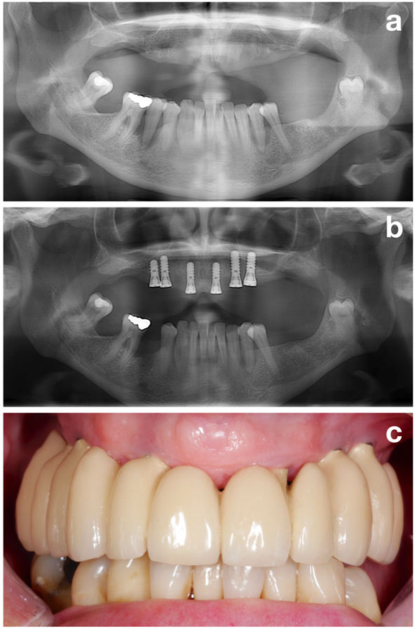
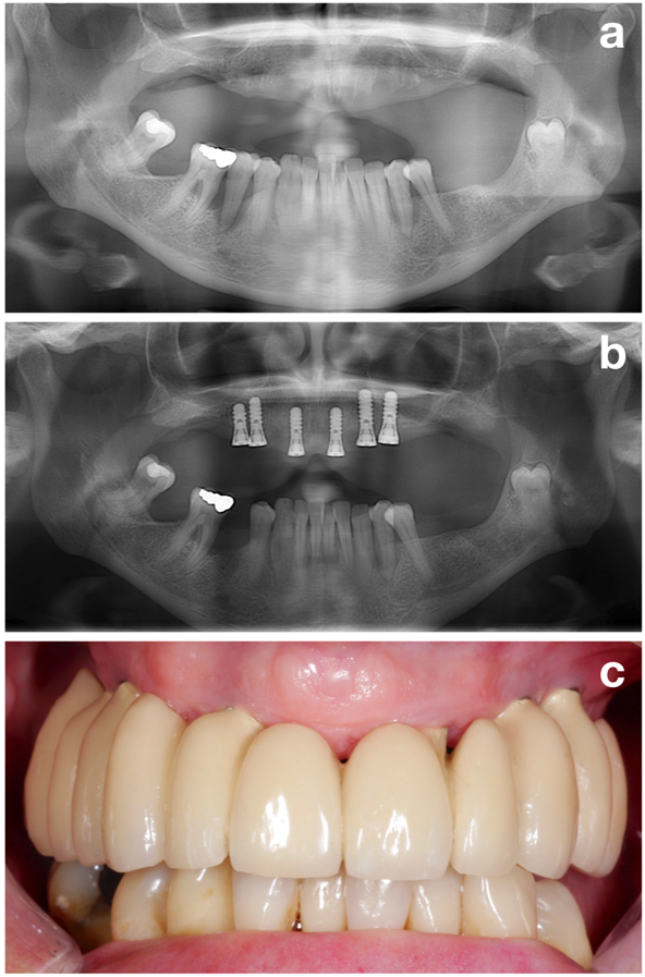
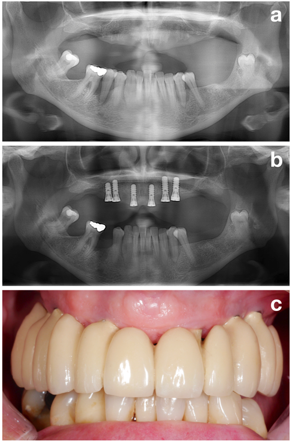
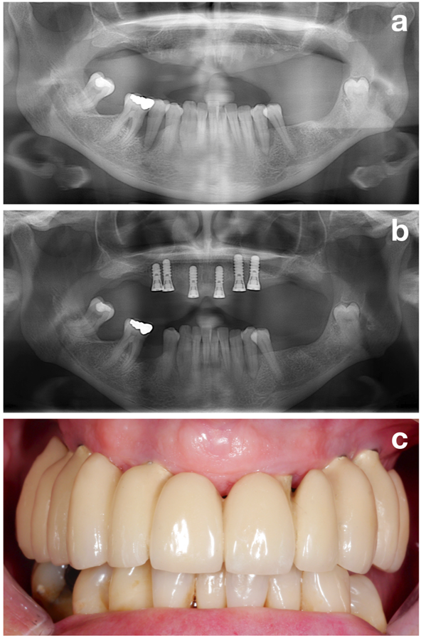
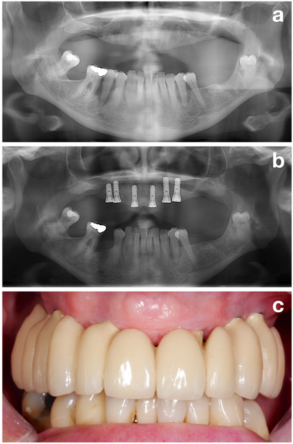
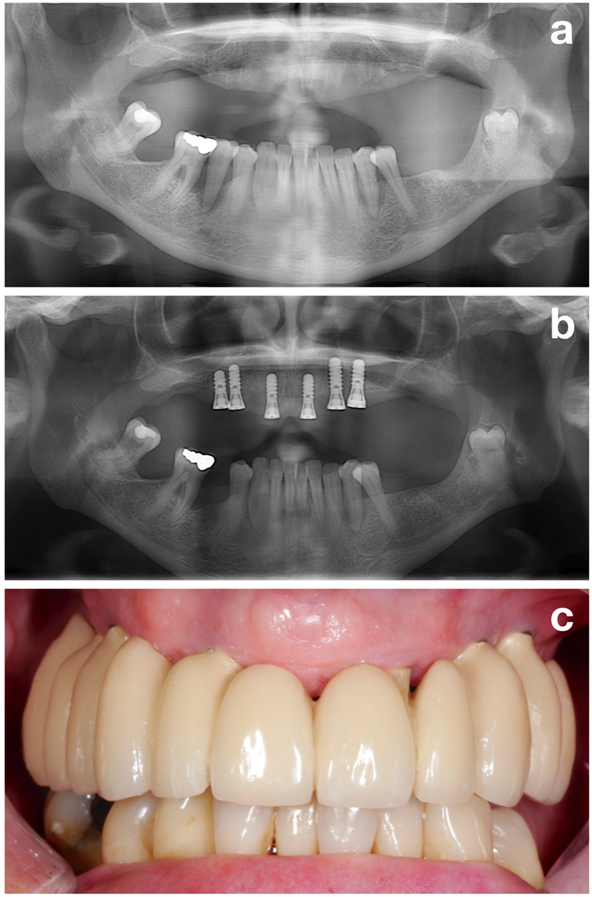
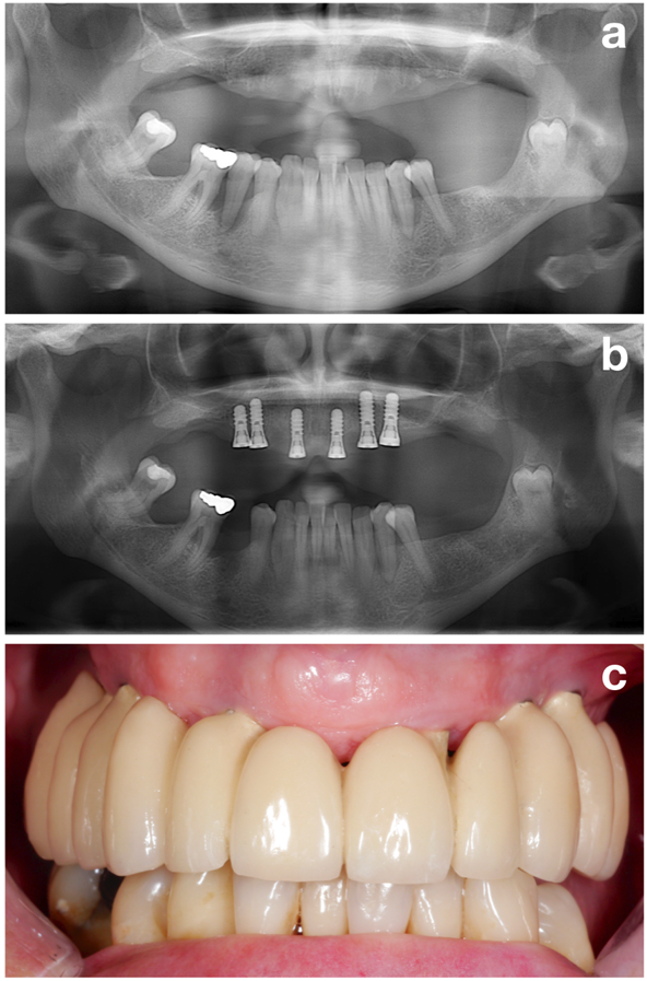
Figure 2. A stable periodontal situation should be established prior to implant installation. Patient prior to periodontal treatment (a), after periodontal treatment and implant installation (b), and after prosthetic restoration (c). © Dr. K. Bertl

The first part (i.e., the pre-treatment phase) aims to perfectly prepare the patient for the actual implant installation by evaluating all potential risk factors but focusing on one of the most important ones: establishment of a stable periodontal situation (Figure 2).

Unfortunately, the establishment of a stable periodontal situation is also one of the most time-consuming goals and requires a constant compliance of the patients. But why is it so important to establish a stable periodontal situation? And what is actually a “stable” periodontal situation and are a few residual probing pocket depths really such a problem in terms of developing peri-implant disease?

Why is the establishment of a stable periodontal situation one of the most important goals prior to implant installation?

The evidence based on clinical studies and systematic reviews clearly indicates, that a history of periodontitis increases the risk of the patients to suffer biological complications (i.e., development of peri-implant disease and/or implant loss) after implant installation. Specifically, the implant failure rate of patients with a history of periodontitis is almost doubled compared to patients without a history of periodontitis (Renvert & Quirynen 2015). And looking in detail at the results of 2 publications (Roccuzzo et al. 2010; Roccuzzo et al. 2012) the differences in the long-term outcome between patients with and without a history of periodontitis become obvious. Specifically, these 2 publications report on the data of 112 patients, who were all successfully treated for their periodontal disease prior to implant installation and followed for a time-period of 10 years after implant installation. The patients were grouped into one of the following groups: (1) periodontally healthy patients (PHP), (2) moderately and (3) severely periodontally compromised patients (PCP). During supportive treatment, less than every 10th implant in the PHP group, but every 3rd in the moderately and every 2nd in the severely PCP group presented at some time-point a probing pocket depth of at least 6 mm. Consequently, every 3rd patient in the moderately and every 2nd in the severely PCP group required treatment for peri-implant disease during the 10-year follow-up. Despite receiving appropriate treatment, significantly more implants in the PCP groups presented with probing pocket depths of at least 6 mm at the end of the study period (i.e., 10 years after implant installation). These clinical data are underlined by the radiographic data; i.e., the percentage of sites with a bone loss of at least 3 mm was in the severely PCP group about 3-times higher compared to the PHP group. Further, any problems in the PCP groups became even more obvious, if the patients additionally lacked compliance in the suggested supportive treatment schedule. Specifically, patients of the PCP groups not adhering to the supportive treatment, presented 3- to 4-times more often with increased probing pocket depths around their implants compared to the compliant PCP patients. Finally, history of periodontitis as well as non-compliance with the supportive treatment schedule were both significantly associated with implant loss; i.e., the number of implants lost increased from 2 implants in the PHP group to 9 implants in the severely PCP group with mainly non-compliant patients being affected.

What is a “stable” periodontal situation and are a few residual probing pocket depths really such a problem in terms of developing peri-implant disease?

Since introduction of the new classification of periodontal and peri-implant diseases and conditions in 2018 a definition of a successfully treated and stable periodontitis patient is available (Chapple et al. 2018). According to this definition, a successfully treated and stable periodontitis patient presents with probing attachment loss and bone loss due to previous disease activity, but at time-point of evaluation the whole dentition shows maximum 4 mm probing pocket depth and no single 4 mm probing pocket depth is bleeding after probing. However, such an ideal situation is unfortunately not achievable in every single patient. Hence, based on the data of a specific publication (Cho-Yan Lee et al. 2012) one should be aware of an increased risk for biological complications, if residual pockets are still present. Specifically, 60 patients, who were all successfully treated for their periodontal disease prior to implant installation, were grouped as being either periodontally healthy patients (PHP), or periodontally compromised patients (PCP). Latter were further subdivided into those having or not having residual periodontitis (RP). RP was defined as presenting with at least 1 site with a probing pocket depth of at least 6 mm. Independent of the definition used to diagnose peri-implantitis, the prevalence of implants with peri-implantitis did not differ between the PHP group and the PCP group without RP. However, the PCP group with RP showed an approximately 3- to 4-times higher prevalence of peri-implantitis compared to the PCP group without RP. Hence, while patients of the PCP group without deep pockets had a similar risk for peri-implantitis compared to patients of the PHP group, was the risk of patients of the PCP group with deep pockets approximately 4- to 5-times higher to develop peri-implantitis.

Figure 3. Instable periodontal status (a) and insufficient oral hygiene instructions (b-e) increases the risk of developing peri-implant disease (c-e). © Dr. K. Bertl

Conclusion

In conclusion, establishing a stable periodontal situation is next to other aims, such as smoking cessation or perfect oral hygiene (Figure 3), one of the most important goals in the pre-treatment phase, which should be achieved prior to implant installation!


References

  1. Chapple, I. L. C., Mealey, B. L., Van Dyke, T. E. et al. (2018) Periodontal health and gingival diseases and conditions on an intact and a reduced periodontium: Consensus report of workgroup 1 of the 2017 World Workshop on the Classification of Periodontal and Peri-Implant Diseases and Conditions. J Clin Periodontol 45 Suppl 20, S68-S77.
  2. Cho-Yan Lee, J., Mattheos, N., Nixon, K. C., & Ivanovski, S. (2012) Residual periodontal pockets are a risk indicator for peri-implantitis in patients treated for periodontitis. Clin Oral Implants Res 23, 325-333.
  3. Derks, J., & Tomasi, C. (2015) Peri-implant health and disease. A systematic review of current epidemiology. J Clin Periodontol 42 Suppl 16, S158-71.
  4. Renvert, S., & Quirynen, M. (2015) Risk indicators for peri-implantitis. A narrative review. Clin Oral Implants Res 26 Suppl 11, 15-44.
  5. Roccuzzo, M., Bonino, F., Aglietta, M., & Dalmasso, P. (2012) Ten-year results of a three arms prospective cohort study on implants in periodontally compromised patients. Part 2: clinical results. Clin Oral Implants Res 23, 389-395.
  6. Roccuzzo, M., De Angelis, N., Bonino, L., & Aglietta, M. (2010) Ten-year results of a three-arm prospective cohort study on implants in periodontally compromised patients. Part 1: implant loss and radiographic bone loss. Clin Oral Implants Res 21, 490-496.

comments