Cirugía Piezoeléctrica: un principio universal para numerosas aplicaciones
En la época de los tratamientos mínimamente invasivos, el uso de equipos piezoeléctricos para la preparación del tejido óseo está cada vez más extendido entre los odontólogos y los cirujanos orales y maxilofaciales que realizan tratamientos quirúrgicos, pues permiten preparar los tejidos duros de forma especialmente delicada gracias a la aplicación de la cirugía por ultrasonidos.
El principio físico según el cual los cristales de cuarzo vibran cuando se aplican corrientes eléctricas recibe el nombre de efecto piezoeléctrico. Gracias a unos mecanismos de transferencia especiales, la vibración generada en el cuarzo se transforma en movimientos oscilantes del inserto, lo que posibilita una retirada selectiva del tejido. Este procedimiento lleva demostrando su eficacia desde hace décadas en diferentes ámbitos de la cirugía.

La ventaja especial que presenta la piezocirugía en la odontología se encuentra en su eficacia selectiva para materiales calcificados, como los huesos y las piezas dentales, mientras que el tejido blando circundante absorbe la vibración de las piezas de trabajo, en su mayoría metálicas, y "vibra" junto con el inserto, los tejidos calcificados se retiran de forma selectiva y, de este modo, es posible realizar una preparación adaptada al hueso. En consecuencia, surgen ventajas importantes en diferentes indicaciones en las que es imprescindible realizar una cuidadosa preparación del hueso para no dañar las importantes estructuras de tejido blando que se encuentran en la inmediación directa, como son los nervios, las encías e incluso la mucosa del seno maxilar.
Si se compara la aplicación de los equipos piezoeléctricos con la de las sierras oscilantes o las fresas rotativas, se observan también otras ventajas clínicas. Así, gracias a la desviación mínima del inserto, se consigue una preparación extremadamente precisa de las osteotomías. Cuando se usan, tanto fresas rotativas como fresas oscilantes, la definición inicial de la línea de osteotomía a menudo resulta muy difícil y no es raro que se produzcan divergencias entre el proceso de osteotomía planificado y el real. Asimismo, los instrumentos rotativos precisan una cierta estabilidad para poder soportar las fuerzas de cizallamiento que aparecen durante la ablación por rotación, lo que, a diferencia de la piezocirugía, genera defectos de preparación claramente más visibles, con la pérdida consecuente del tejido óseo que tiene que aumentarse (Lakshmiganthan, Gokulanathan et al. 2012).
Otro problema de la aplicación de los instrumentos rotativos es su posible desviación accidental como resultado de la inclinación o incluso simplemente la deriva en la superficie que debe prepararse. Precisamente cuando hay poco espacio respecto a las piezas dentales y los nervios vecinos, el uso de un instrumento piezoeléctrico puede resultar útil para aumentar la seguridad de la operación y reducir el riesgo de que se produzcan lesiones en las estructuras adyacentes (Pereira, Gealh et al. 2014).
Una propiedad importante que corrobora aún más las ventajas de utilizar equipos piezoeléctricos es la posibilidad de desviar la vibración de la preparación a través del instrumento. Así, por ejemplo, la preparación retrógrada de un ápice radicular reseccionado con microángulos supone un procedimiento muy complicado que exige la formación de colgajos extendidos y cavidades de acceso óseas. Sin embargo, utilizando la técnica piezoeléctrica, esto puede realizarse de forma sencilla desviando la energía vibratoria dentro de la punta de aplicación. La menor preparación de los tejidos duros y blandos que se consigue con ello permite utilizar accesos más pequeños y, de este modo, reduce la morbilidad de pacientes a los que se les ha practicado una apicectomía.
Mientras que en el pasado se consideraba que la cirugía piezoeléctrica era aún una técnica que requería mucho tiempo, la última generación de motores ofrece una clara mejora de la potencia de corte y eliminación. Así, en el desarrollo del nuevo motor Piezomed de la empresa W&H no solo se han conseguido avances significativos respecto a los parámetros de potencia originales en los insertos, sino también en la energía de transferencia general. Además, si es preciso optimizar la potencia durante un breve espacio de tiempo, puede utilizarse la función "Boost" de 15 segundos, que activa reservas adicionales en determinadas indicaciones y aumenta aún más la potencia de eliminación. Por otro lado, con el fin de facilitar su uso, el sistema se ha ampliado con un reconocimiento automático de insertos, situado en la parte frontal del cabezal, que define la configuración óptima para el inserto que se vaya a utilizar. A su vez, la iluminación óptima del campo quirúrgico se consigue en el Piezomed gracias a las múltiples luces LED integradas en la pieza de mano, lo que permite tener una excelente visión global incluso en el área maxilar posterior.
Aplicación: Elevación del seno maxilar
La preparación de la ventana lateral en la elevación del suelo del seno maxilar representa un enorme reto, sobre todo para profesionales de la implantalogía que tienen poca experiencia en técnicas quirúrgicas. Retirar la cobertura ósea del seno maxilar sin provocar daños en la membrana de Schneider es tan solo una parte de la operación; tras crear un acceso suficiente, es preciso movilizar con cuidado la mucosa del seno maxilar a fin de dejar espacio para el material o los implantes que vayan a incorporarse. En esta aplicación la cirugía piezoeléctrica resulta útil en dos sentidos: por un lado, el uso de insertos diamantados permite realizar una retirada selectiva del hueso y, si se actúa con cuidado, la membrana permanece intacta, y por otro lado, las frecuencias de ultrasonidos favorecen también un desprendimiento sin problemas de la membrana, pues se transfieren al espacio comprendido entre la mucosa y el suelo del seno maxilar gracias al uso de piezas romas especiales (Cassetta, Ricci et al. 2012, Pereira, Gealh et al. 2014) (Rickert, Vissink et al. 2013). De este modo, no es de extrañar los trabajos publicados en la actualidad sobre la técnica de elevación del suelo del seno maxilar mediante la técnica de Caldwell-Luc con instrumentos piezoeléctricos (Wallace, Tarnow et al. 2012).
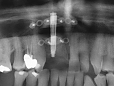
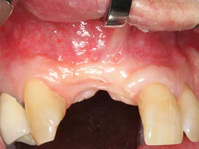
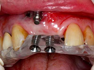
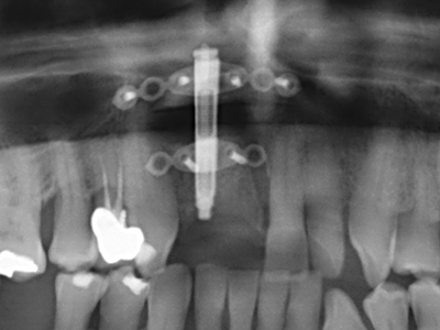
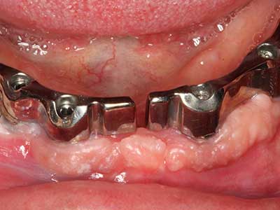
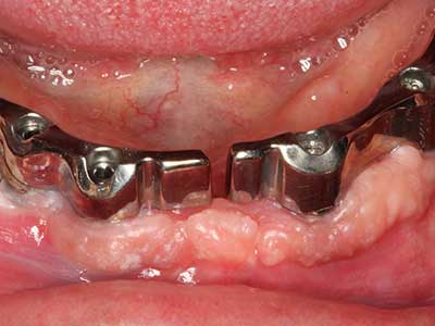
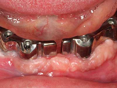
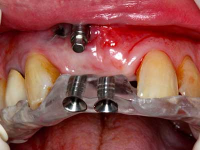
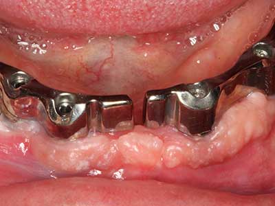
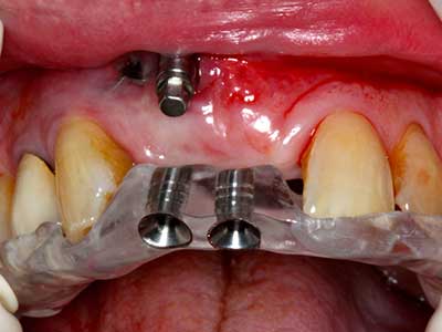
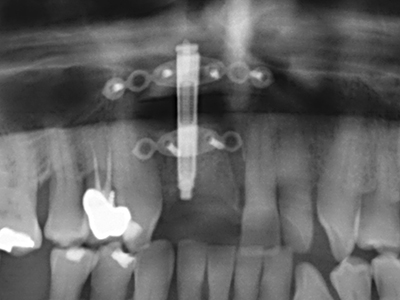
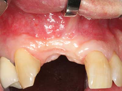
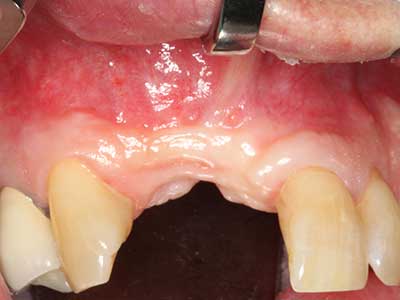
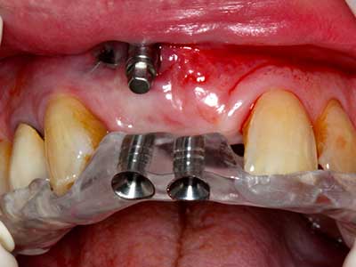
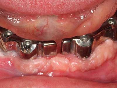
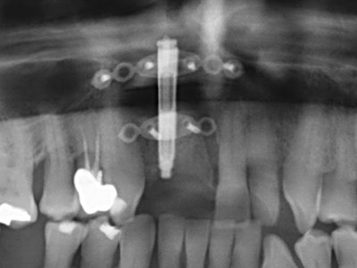
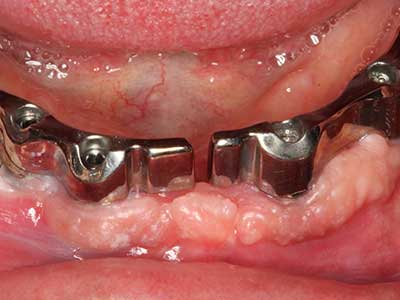
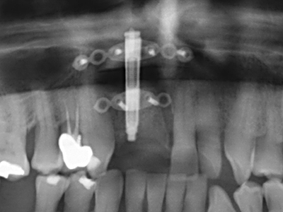
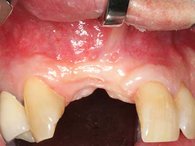
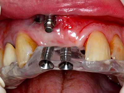
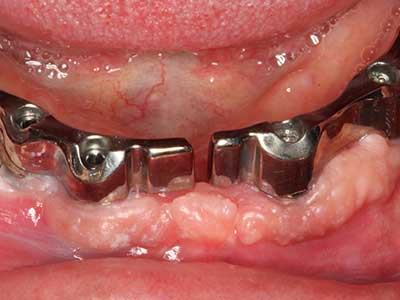
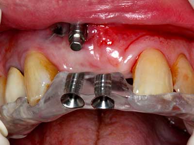
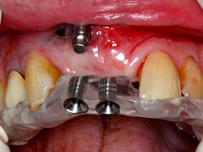
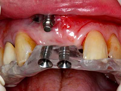
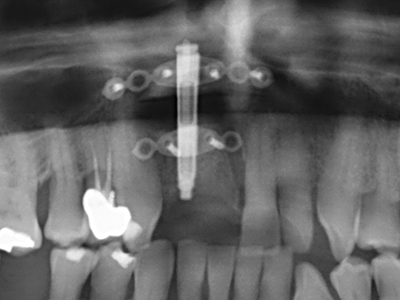
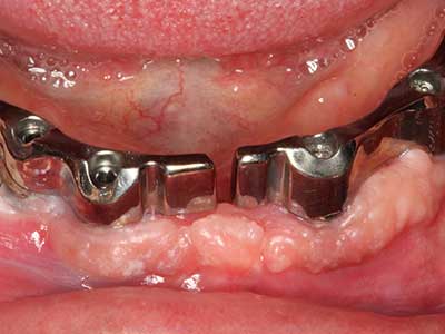
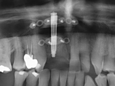
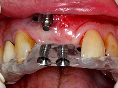
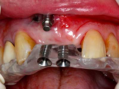
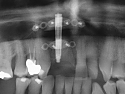
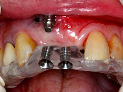
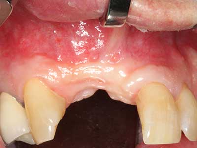
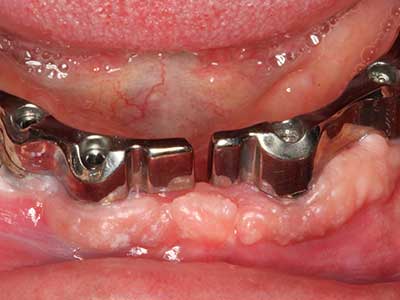
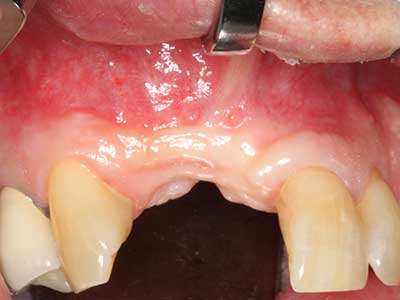
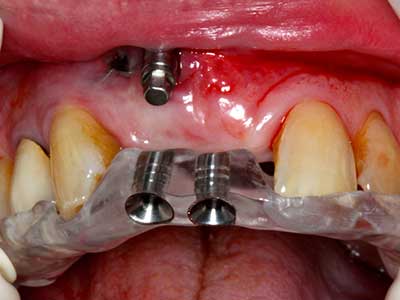
Imágenes casos de aplicación clínicos
Aplicación: Obtención de hueso autógeno
Los injertos de hueso autógeno se utilizan en forma de bloques, escudillas, anillos y también se combinan con materiales de reemplazo óseo como virutas. Si el sitio del implante se prepara al mismo tiempo que el aumento, hay diversos sistemas de filtrado óseo que han demostrado su eficacia para la recopilación de las virutas óseas que se producen. Como alternativa, el sitio del implante se puede preparar usando un dispositivo de baja velocidad sin irrigación y si no se inserta ningún implante, es posible obtener virutas óseas de la periferia utilizando las rasquetas adecuadas. Esto también es posible aplicando cirugía piezoeléctrica con piezas especiales, y así se demostró en un estudio específico en el que se realizó una comparación directa con las virutas obtenidas con fresas redondas, ya que las virutas obtenidas con el método piezoeléctrico presentaron una mejor calidad (Chiriac, Herten et al. 2005).
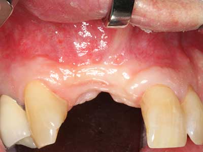
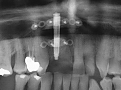
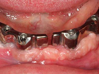
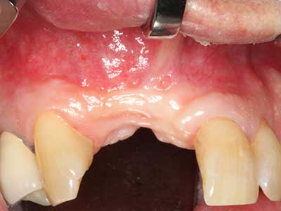
En la extracción de bloques óseos la piezocirugía también presenta ventajas adicionales: Además de la alta precisión en la osteotomía que ya se ha descrito antes, se ha comprobado que el uso de los delgados insertos de sierra resulta especialmente cuidadosas con el hueso. Frente a esto, sobre todo cuando se usan las fresas de Lindemann, cabe esperar pérdidas en la extracción significativamente más altas debido al mayor grosor de la parte frontal del cabezal (Lakshmiganthan, Gokulanathan et al. 2012). La separación basal que se necesita en particular en los injertos de bloque extraídos de forma retromolar se ve facilitada mediante sierras perpendiculares especialmente previstas a tal fin, lo que permite considerar que la cirugía piezoeléctrica es un procedimiento preciso y seguro para la obtención de bloques de hueso en el área retromolar (Happe 2007) (fig. 1-12).
Aplicación: Partición ósea / Cortical Split
El tejido óseo no solo tiene un contenido puramente mineral, sino que también presenta una importante proporción de fibras de colágeno. Esto no solo garantiza una buena resistencia a la presión, sino también una cierta flexibilidad, que puede aprovecharse para la realización de aumentos. En la plastia de expansión clásica a efectos de una partición ósea, la cresta maxilar atrofiada se divide en su eje longitudinal y, tras alcanzar una profundidad de osteotomía suficiente, se extiende con cuidado (fig. 13-16), en un caso ideal sin desperiostizar de forma visible el maxilar (Brugnami, Caiazzo et al. 2014, Stricker, Fleiner et al. 2014). Los sistemas de tornillos y placas con distancia de expansión creciente han demostrado su eficacia para distanciar entre sí las dos tablas óseas por debajo del umbral de rotura. Por regla general, se requieren anchuras de hueso residual de al menos 3 a 4 mm (Chiapasco, Zaniboni et al. 2006) para garantizar una flexibilidad y una cobertura ósea suficientes de los implantes que van a incorporarse. En caso necesario, una osteotomía de descarga vertical unilateral o bilateral puede mejorar la flexibilidad. Como alternativa a la técnica clásica se ha descrito una combinación con otras técnicas de aumento, sobre todo en la parte bucal.
Con el uso de sierras piezoeléctricas la división se efectúa de forma especialmente cuidadosa y sin pérdidas importantes de las dimensiones, por lo que no se han encontrado diferencias significativas entre los implantes realizados en el maxilar dividido y en la cresta alveolar no deficitaria (Chiapasco, Zaniboni et al. 2006, Danza, Guidi et al. 2009). No obstante, precisamente en la partición profunda y limitada de forma local, es preciso asegurarse de que exista una adecuada irrigación por agua para evitar que se produzcan sobrecargas térmicas en las áreas de osteotomía apical.
Aplicación: Preparación cerca del nervio
Como ya se ha mencionado, en el ámbito de la odontología conservadora también existen áreas en las que está indicada la cirugía piezoeléctrica. El uso de insertos de trabajo especiales facilita la representación del ápice radicular y, sobre todo en el área de los premolares inferiores y superiores, protege mejor los nervios y las mucosas del seno maxilar. En el caso de un cierre apical no estanco, los insertos de diamante acodados preparan de forma exacta y selectiva la cavidad de resección para el material de relleno retrógrado de la raíz. Gracias a la técnica de ultrasonidos, los insertos pueden presentar un diseño muy estilizado, lo que mejora la visión global y el tamaño de la cavidad de acceso. De este modo, en esta indicación, el uso de la cirugía por ultrasonidos se encuentra entre los métodos estándar para una apicectomía (Del Fabbro, Tsesis et al. 2010, Scarano, Artese et al. 2012).
Aplicación: Apicectomía
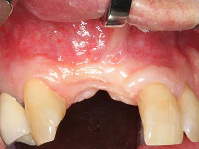
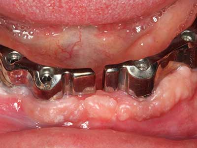
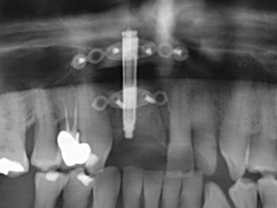
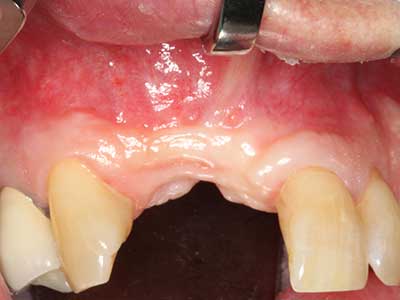
Si es preciso realizar intervenciones quirúrgicas en las que el hueso está en contacto directo con estructuras sensibles, como son los vasos sanguíneos o los nervios, los instrumentos rotativos presentan un enorme potencial de provocar lesiones iatrogénicas. Así, precisamente en la representación de nervios después de una lesión iatrogénica, o en el transcurso de la lateralización de un nervio para resecciones, reconstrucciones o incorporación de implantes, los equipos piezoeléctricos pueden resultar muy útiles para preparar la tapa ósea y retirar las partes de tejido duro cercanas al nervio (fig. 17-20). Por lo general, un ligero contacto del cordón nervioso con el inserto piezoeléctrico no tiene consecuencia alguna; ahora bien, un procedimiento poco cuidadoso con movimientos tipo sierra o piezas de trabajo sobre la base ósea aún existente puede provocar lesiones nerviosas temporales o incluso permanentes. Con todo, el riesgo de sufrir una lesión de este tipo se considera significativamente inferior que en los casos en los que se utilizan sierras y fresas (Pereira, Gealh et al. 2014).
Aplicación: Terapia periodontal
En pacientes de edad avanzada, las enfermedades periodontales marginales representan la razón principal por la que es preciso realizar una extracción. Estas enfermedades tienen principalmente su causa en una colonización bacteriana de la bolsa periodontal y en la inflamación que esta provoca, lo que da lugar a una pérdida del ligamento periodontal. La formación de biopelículas y concreciones subgingivales representa un factor etiológico decisivo para la degradación ósea marginal, por lo que su eliminación cobra una importancia especial en la terapia (Drisko 2014, Plessas 2014).
En el tratamiento de una periodontitis se hace una diferenciación entre la fase inicial y la fase quirúrgica. Además de la instrucción y la motivación entorno a la higiene bucal, en ambas fases debe realizarse una limpieza apropiada de la superficie radicular; a este respecto, en el tratamiento regenerador se elige casi siempre un acceso abierto. La superficie radicular también puede limpiarse mediante piezocirugía utilizando piezas especiales, pues el uso de insertos de diferentes curvaturas permite llegar a zonas de difícil acceso, como son las furcaciones. En esta técnica, la refrigeración interna de agua del sistema ayuda a retirar las concreciones y las bacterias disueltas de la bolsa periodontal. Por otro lado, para reducir a un mínimo la eliminación de la sustancia dental dura, en los sistemas especiales como el Piezomed se ha incorporado una aplicación con retroalimentación. En este caso, según se ejerza más presión sobre la pieza periodontal, la potencia de eliminación se reduce.
Otras indicaciones
Como ya se ha demostrado en el pasado, básicamente cualquier procedimiento de cirugía de hueso representa una posible indicación para la cirugía piezoeléctrica. Así, la preparación del segmento móvil en la osteogénesis de distracción (fig. 23-25) y en la osteotomía de sándwich puede realizarse con piezas especiales, sin poner en peligro el suministro sanguíneo de la parte crestal, que resulta esencial para el éxito de ambas técnicas (González-García, Diniz-Freitas et al. 2008).
Para la extracción de implantes es posible realizar la preparación de una tapa ósea vestibular que, tras retirar el tornillo del implante, vuelve a fijarse y, de este modo, mantiene el contorno de la apófisis alveolar.
En la cirugía del seno maxilar surgen otros campos de aplicación: En este punto, tras la preparación concéntrica de una tapa ósea de la pared del seno maxilar (que suele tener forma trapezoidal), es posible eliminar patologías y cuerpos extraños del seno maxilar. La tapa ósea se repone después de finalizar la parte intra-antral de la operación y se asegura frente a una posible dislocación mediante cuñas o suturas adaptables.
Las indicaciones específicas para la cirugía maxilar surgen, entre otros, en cirugía ortognática, en genioplastia (fig. 27-30) y en descompresión orbitaria en pacientes con orbitopatía endocrina avanzada en la enfermedad de Basedow (Ponto, Zwiener et al. 2014). Asimismo, en función de la clínica, los equipos piezoeléctricos también se utilizan en cirugía craneofacial, así como en la extirpación de tumores de la base del cráneo.
Insertos blandos especiales para el tratamiento de la periimplantitis están abriendo nuevas perspectivas en odontología. En la actualidad están siendo objeto de investigación y los resultados iniciales son muy prometedores.
Resumen
En conclusión, cabe afirmar que la aplicación de cirugía piezoeléctrica resulta adecuada para una gran cantidad de indicaciones odontológicas. Su uso creciente se debe ante todo a su manejo sencillo y a la selectividad en la eliminación de tejido óseo, que garantiza una mayor seguridad a la hora de realizar intervenciones quirúrgicas de los huesos. Además, es posible conseguir una alta precisión, lo que representa una ventaja esencial sobre todo en espacios limitados. Con el uso de múltiples insertos y configuraciones específicamente adaptadas a la indicación que se trate, es posible cubrir una gran cantidad de áreas, por lo que estos motores se han convertido en una herramienta rutinaria en muchas consultas y clínicas.
Daniel Rothamel, Arndt Happe, Tim Fienitz, Matthias Kreppel, Jörg Neugebauer, Joachim E Zöller

www.uk-koeln.de
Docente privado Dr. Dr. Daniel Rothamel
- 1996-2001: Estudios de Odontología, Universidad Heinrich-Heine de Düsseldorf
- 2003 Asistencia para el Desarrollo de Relaciones Exteriores en el SKM Hospital, Sankhu, Katmandú, Nepal
- 2004 Doctorado en Odontología
- 2001-2007 Estudios de medicina humana en la Universidad Heinrich-Heine de Düsseldorf
- 2002-2008 Formación en cirugía oral en la Universidad de Düsseldorf (Prof. Dr. J. Becker)
- 2007 Examen estatal en Medicina
- 2007 Beca de doctorado del DAAD, Universidad de Sídney, Australia
- 2008 Doctorado en Odontología
- 2008-2013 Formación como cirujano oral y maxilofacial en el hospital universitario de Colonia (Prof. Dr. Dr. J. Zöller)
- 2009 Habilitación y concesión de la "venia legendi" (tema: reconstrucción de los defectos maxilares)
- Desde 2013 médico jefe en una clínica de cirugía oral y maxilofacial
comentarios