Piezochirurgie – ein universelles Prinzip für vielfältige Indikationen
Im Zeitalter der minimalinvasiven Therapie finden bei chirurgisch tätigen Zahnärzten, Oral- und Kieferchirurgen zur Präparation von Knochengewebe zunehmend piezoelektrische Geräte Verwendung. Sie ermöglichen eine besonders schonende Art der Hartgewebspräparation, basierend auf der Technik der Ultraschallchirurgie.
Das physikalische Prinzip, dass Quarze bei der Applikation von elektrischen Strömen in Schwingungen geraten, wird als piezoelektrischer Effekt bezeichnet. Durch spezielle Übertragungsmechanismen wird die am Quarz erzeugte Schwingung für die Ultraschallchirurgie in oszillierende Bewegungen der Arbeitsspitze umgesetzt und ermöglicht hier eine selektive Abtragung von Gewebe. Das Verfahren ist bereits seit Jahrzehnten in unterschiedlichen Bereichen der operativen Medizin etabliert.
 
        
    
    Der besondere Vorteil der Piezochirurgie in der Zahnmedizin ist eine selektive Wirksamkeit für kalzifizierte Materialien wie Knochen und Zähne: Während das umliegende Weichgewebe die Schwingung der zumeist metallischen Arbeitsaufsätze aufnimmt und mit der Arbeitsspitze „mitschwingt“, werden kalzifizierte Gewebe selektiv abgetragen und auf diesem Wege eine knochensensitive Präparation ermöglicht. Hierdurch ergeben sich deutliche Vorteile in unterschiedlichen Indikationen, bei denen eine schonende Knochenpräparation in unmittelbarer Nachbarschaft zu wichtigen weichgeweblichen Strukturen wie beispielsweise Nerven, Zahnfleisch oder aber auch der Kieferhöhlenschleimhaut erfolgen soll.
Vergleicht man die Anwendung von Piezogeräten mit oszillierenden Sägen oder auch rotierenden Fräsen, so zeigen sich weitere klinische Vorteile. So wird aufgrund der nur minimalen Auslenkung der Spitze eine sehr präzise Präparation von Osteotomiespalten ermöglicht. Mit rotierenden Fräsen, aber auch mit oszillierenden Sägen erscheint häufig gerade die initiale Definition der Osteotomielinie erschwert, und es kommt regelhaft zu Abweichungen zwischen dem geplanten und tatsächlichen Osteotomieverlauf. Zudem bedürfen rotierende Instrumente einer gewissen Stabilität, um den bei der Rotationsablation auftretenden Scherkräften standhalten zu können. Dies führt zu im Vergleich zur Piezochirurgie deutlich breiteren Präparationsdefekten mit konsekutivem Verlust von ggf. zu augmentierendem Knochengewebe (Lakshmiganthan, Gokulanathan et al. 2012).
Ein weiteres Problem bei der Anwendung rotierender Instrumente stellt ihre mögliche akzidentielle Auslenkung durch Verkanten oder aber auch eine einfache Abdrift an der zu präparierenden Oberfläche dar. Gerade bei engen Lagebeziehungen zu Nachbarzähnen und Nerven kann ein piezoelektrischer Ansatz hilfreich sein, die operative Sicherheit zu verbessern und das Risiko einer Schädigung von Nachbarstrukturen zu verringern (Pereira, Gealh et al. 2014).
Eine wichtige Eigenschaft, welcher der Anwendung von Piezogeräten weiterhin zugutekommt, ist die Möglichkeit einer instrumentengeführten Umlenkung der Präparationsschwingung. So stellt beispielsweise die retrograde Präparation einer resezierten Wurzelspitze mit Mikrowinkelstücken ein aufwändiges Verfahren dar, welches die Bildung ausgedehnter Lappen und knöcherner Zugangskavitäten erfordert. Piezoelektrisch kann dies sehr grazil durch eine Umlenkung der Schwingungsenergie innerhalb der Applikationsspitze erfolgen. Die hierdurch verringerte hart- und weichgewebliche Präparation ermöglicht die Verwendung kleinerer Zugänge und reduziert auf diesem Wege die perioperative Morbidität wurzelspitzenresezierter Patienten.
Galt in der Vergangenheit die Anwendung der Piezochirugie noch als zeitaufwändiges Verfahren, so lässt die neueste Generation von Geräten eine deutliche Verbesserung der Schneid- bzw. Abtragungsleistung erwarten. Bei der Entwicklung des neuartigen Piezomed-Gerätes aus dem Hause W&H wurden hinsichtlich den Arbeitsspitzen, aber auch der generellen Übertragungsenergie wesentliche Fortschritte zu herkömmlichen Leistungsparametern erzielt. Für kurzfristige Leistungsoptimierung steht zudem ein 15-sekündiger Boost zur Verfügung, der in bestimmten Indikationen zusätzliche Reserven aktivieren und die Abtragungsleistung nochmals erhöhen kann. Zur besseren Handhabbarkeit wurde das System um eine automatische Erkennung der Instrumentenspitzen erweitert, welche die für das jeweilige Instrument optimalen Einstellungen definiert. Eine optimale Ausleuchtung des OP-Gebietes wird bei Piezomed durch multiple in das Handstück integrierte LED-Leuchten unterstützt – hierdurch wird eine gute Übersicht auch im posterioren Kieferbereich erleichtert.
Indikation: Sinuslift
Die Präparation des lateralen Fensters bei der externen Sinusbodenelevation stellt gerade für chirurgisch unerfahrene Implantologen eine große Herausforderung dar. Die knöcherne Bedeckung der Kieferhöhle ohne eine Verletzung der darunterliegenden Schneider’schen Membran abzutragen ist dabei nur ein Teil der Operation – nach Schaffung eines ausreichenden Zugangs muss die Kieferhöhlenschleimhaut vorsichtig mobilisiert werden, um Raum für das einzubringende Material bzw. die Implantate zu schaffen. In dieser Indikation ist die Piezochirurgie zweierlei hilfreich: zum einen kann durch Verwendung diamantierter Instrumente eine selektive Knochenabtragung erfolgen und die darunter liegende Schleimhaut bleibt bei vorsichtiger Vorgehensweise intakt. Zum anderen unterstützen die Ultraschallfrequenzen zusätzlich eine komplikationslose Ablösung der Schleimhaut – sie werden durch spezielle stumpfe Ansätze in den Spaltraum zwischen Schleimhaut und Kieferhöhlenboden übertragen (Cassetta, Ricci et al. 2012, Pereira, Gealh et al. 2014) (Rickert, Vissink et al. 2013). So erscheint es nicht verwunderlich, dass in aktuellen Übersichtsarbeiten über die externe Sinusbodenelevation neben der Verwendung von rauen Implantatoberflächen und dem Einsatz von Knochenersatzmaterialien auch der Einsatz von piezoelektronischen Geräten als positiv bewertet wird (Wallace, Tarnow et al. 2012).
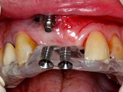
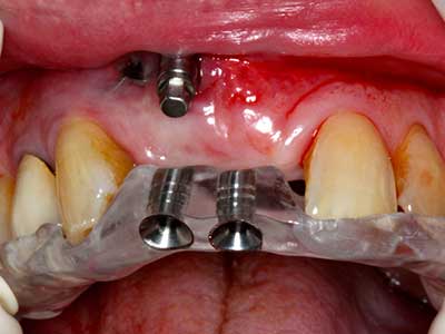
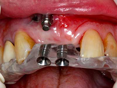
Bilder klinischer Anwendungsfälle
Indikation: Eigenknochengewinnung
Autogene Knochentransplantate finden als Blöcke, Schalen, Ringe und gerade in der Kombination mit Knochenersatzmaterialien als Späne Anwendung. Wird gleichzeitig mit der Augmentation ein Implantatbett aufbereitet, so haben sich zur Sammlung der anfallenden Knochenspäne verschiedene Knochenfiltersysteme bewährt. Alternativ kann eine niedrigtourige Implantatbettpräparation ohne Wasserkühlung erfolgen. Wird kein Implantat inseriert, so lassen sich mit Bone Scrapern Knochenspäne aus der Peripherie gewinnen. Ebensolches ist auch mit speziellen Ansätzen mittels Piezochirurgie möglich, wobei sich in einer eigenen Studie im direkten Vergleich zu mit Rosenbohrern gewonnenen Spänen eine bessere Qualität für die Piezospäne nachweisen ließ (Chiriac, Herten et al. 2005). 
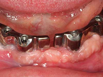
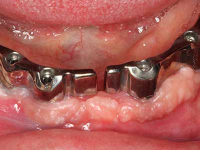
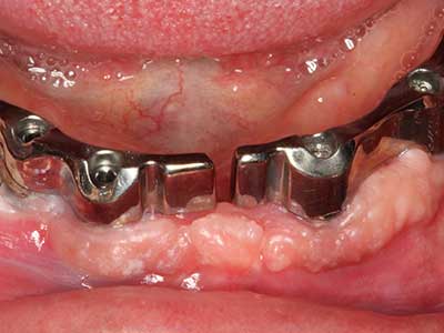
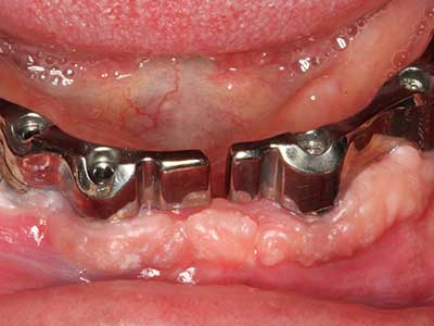
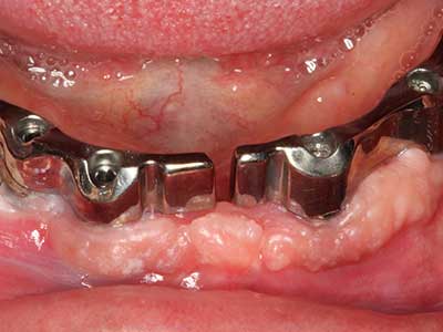
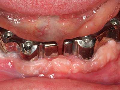
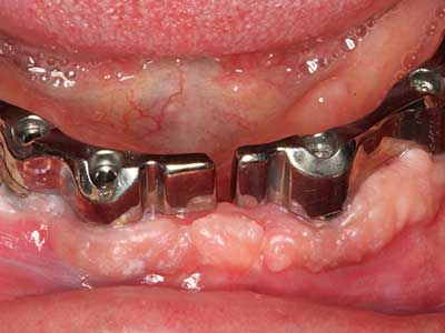
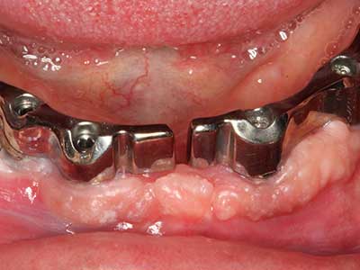
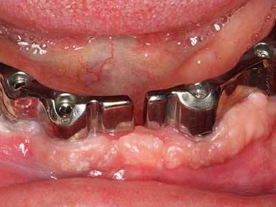
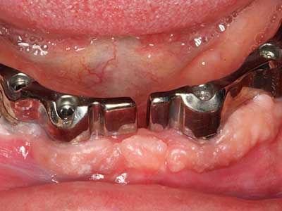
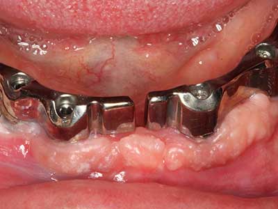
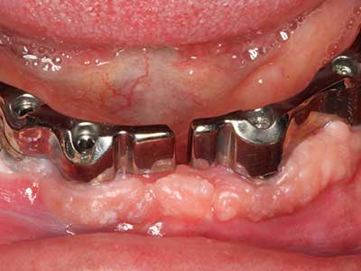
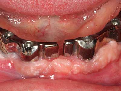
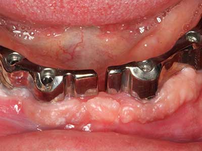
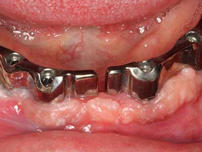
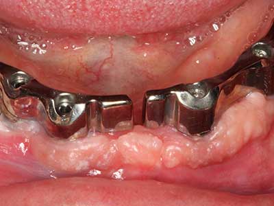
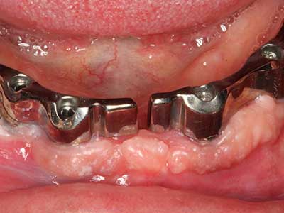
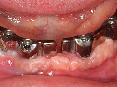
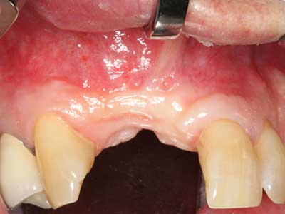
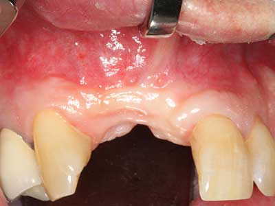
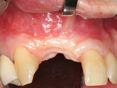
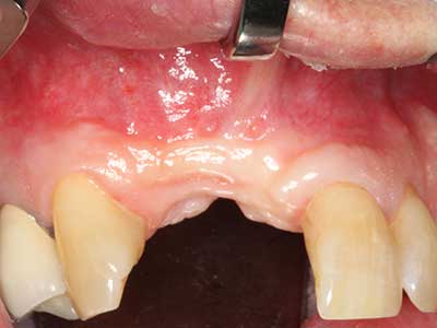
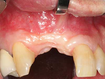
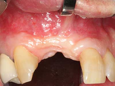
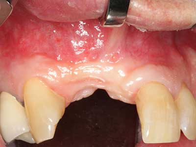
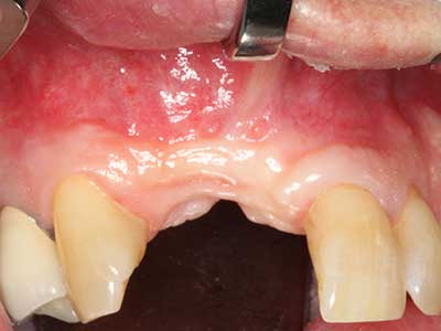
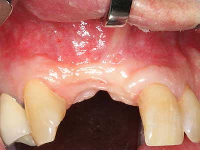
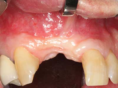
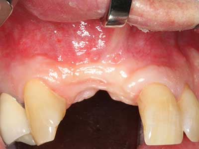
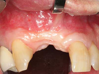
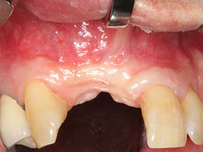
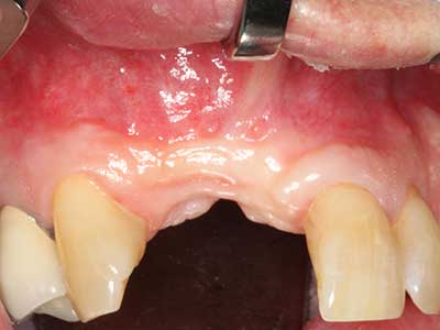
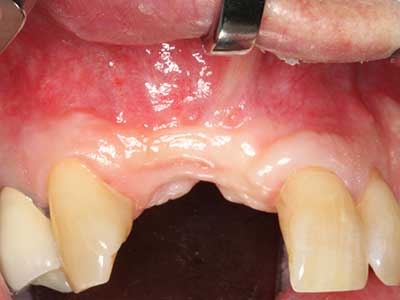
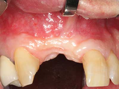
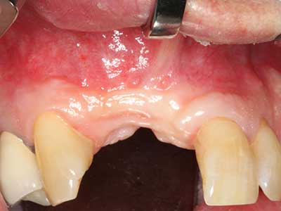
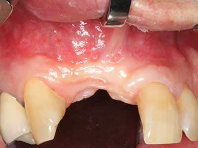
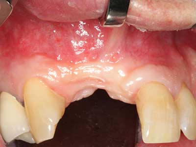
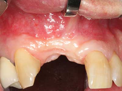
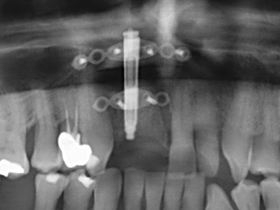
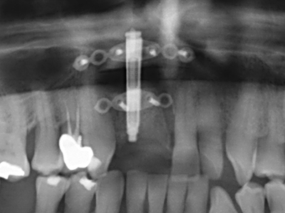
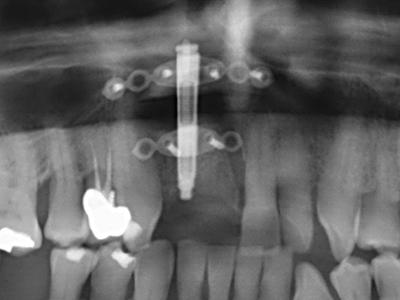
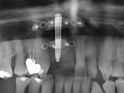
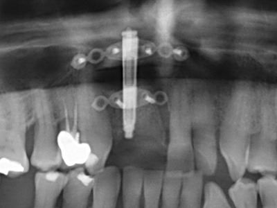
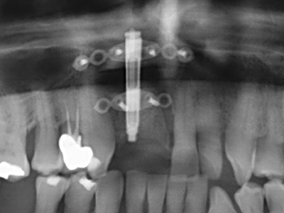
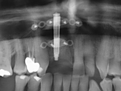
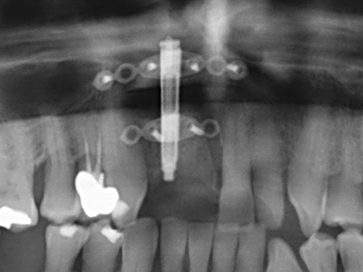
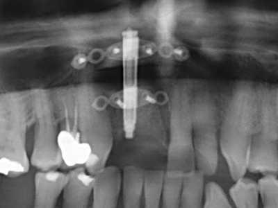
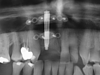
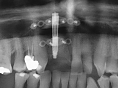
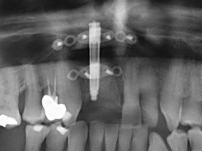
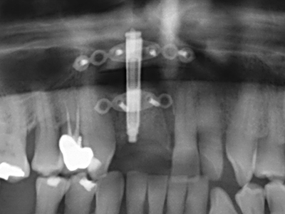
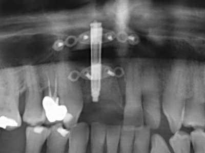
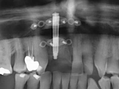
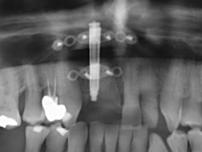
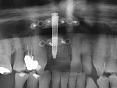
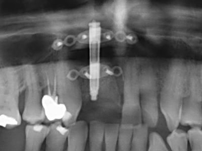
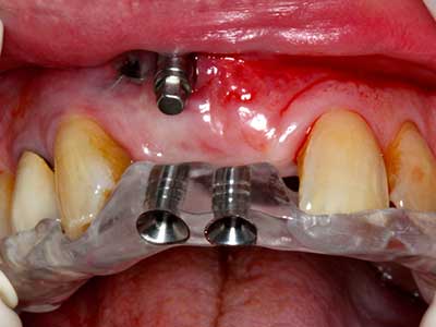
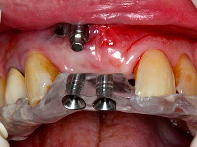
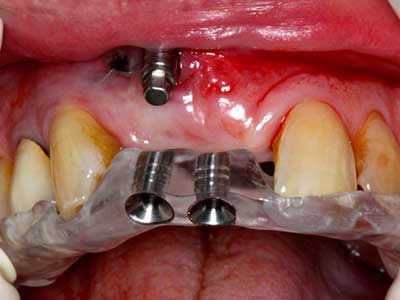
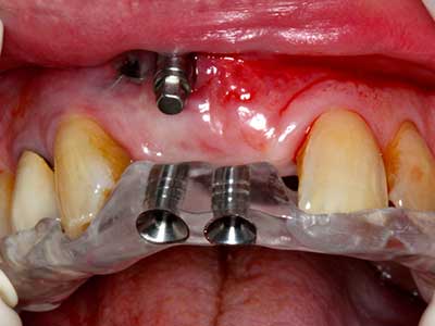
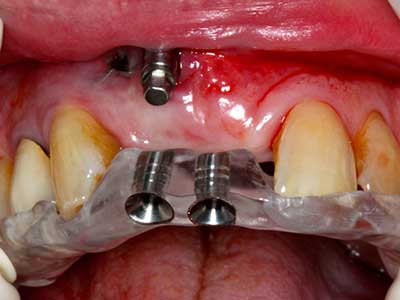
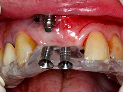
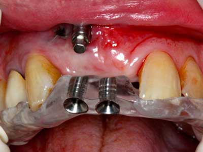
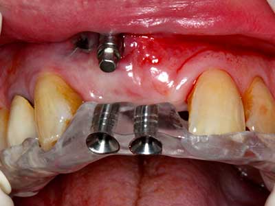
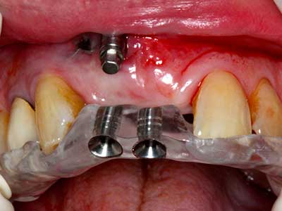
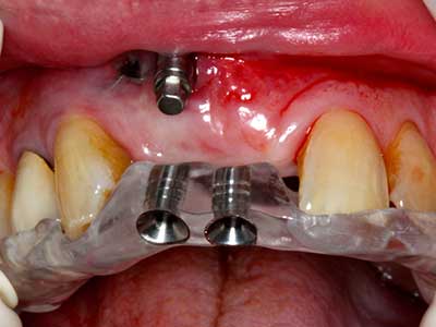
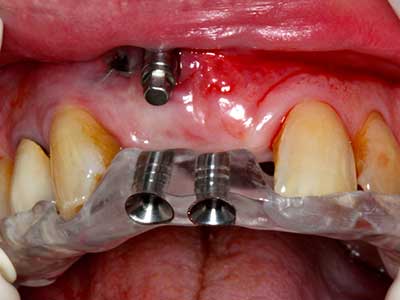
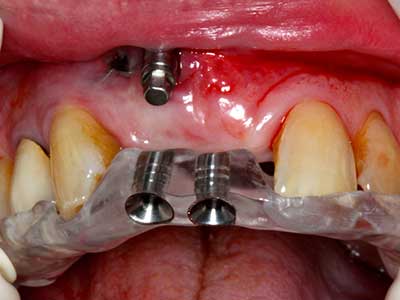
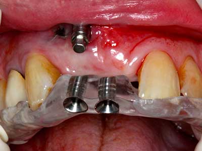
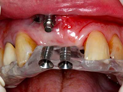
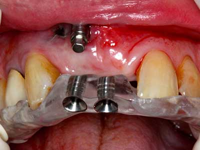
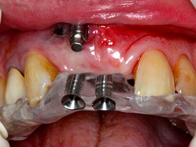
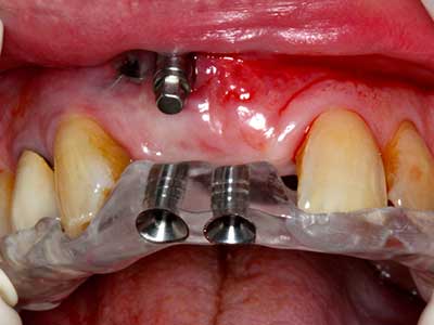
Bei der Knochenblockentnahme zeigen sich weitere Vorteile für die Piezochirurgie: Neben der bereits beschriebenen hohen Präzision bei der Osteotomie stellt sich gerade die Verwendung der dünnen Sägespitzen als besonders materialschonend heraus. Bei der Verwendung insbesondere von Lindemannfräsen sind mit deutlich höheren Entnahmeverlusten durch die dickere Instrumentenspitze zu rechnen (Lakshmiganthan, Gokulanathan et al. 2012). Die insbesondere bei retromolar entnommenen Blocktransplantaten notwendige basale Abtrennung wird durch speziell hierfür vorgesehene rechtwinklige Sägen erleichtert, so dass die Piezochirurgie als präzises, übersichtliches und sicheres Verfahren zur retromolaren Knochenblockgewinnung angesehen wird (Happe 2007) (Abb. 1-12).
Indikation: Bone Splitting
Knochengewebe ist nicht nur rein mineralisch, sondern auch in wesentlichen Anteilen aus Kollagenfasern aufgebaut. Dies gewährleistet neben einer guten Druckfestigkeit eine gewisse Flexibilität, welche für die Durchführung von Augmentationen genutzt werden kann. Bei der klassischen Expansionsplastik im Sinne eines Bone Splittings wird der atrophierte Kieferkamm in seiner Längsachse gespalten und nach Erreichen einer ausreichenden Osteotomietiefe vorsichtig aufgedehnt (Abb. 13-16), idealerweise ohne den Kiefer wesentlich zu deperiostieren (Brugnami, Caiazzo et al. 2014, Stricker, Fleiner et al. 2014). Bewährt haben sich Schrauben- und Plattensysteme mit zunehmender Expansionsdistanz, um die beiden Knochenlamellen unterhalb der Bruchschwelle voneinander zu distanzieren. In der Regel werden Restknochenbreiten von mindestens 3-4 mm gefordert (Chiapasco, Zaniboni et al. 2006), um eine ausreichende Flexibilität und knöcherne Bedeckung der einzubringenden Implantate zu gewährleisten. Ggf. kann eine ein- oder beidseitige vertikale Entlastungsosteotomie die Flexibilität verbessern. Als Alternative zur klassischen Technik wurde eine Kombination mit weiteren augmentativen Techniken vor allem auf der bukkalen Seite beschrieben.
Mittels Piezosägen erfolgt die Anlage des Splittings besonders schonend und ohne wesentliche Dimensionsverluste, so dass sich keine signifikanten Unterschiede von Implantaten im gesplitteten Kiefer im Vergleich zum nicht defizitären Alveolarkamm gezeigt haben (Chiapasco, Zaniboni et al. 2006, Danza, Guidi et al. 2009). Gerade beim lokal begrenzten und tiefen Splitting ist jedoch stets auf eine ausreichende Wasserkühlung zu achten, um thermische Belastungen in den apikalen Osteotomiebereichen zu vermeiden.
Indikation: Nervnahe Präparation
Wie bereits erwähnt lassen sich auch im Bereich der chirurgischen Zahnerhaltung Indikationsgebiete für die Piezochirurgie finden. Durch die Verwendung von speziellen Arbeitsspitzen wird die Darstellung der Wurzelspitze erleichtert, und gerade im unteren Prämolaren- und oberen Seitenzahnbereich lassen sich Nerven und Kieferhöhlenschleimhäute einfacher schützen. Bei undichtem apikalen Abschluss präparieren abgewinkelte Diamantspitzen zielgenau die Resektionskavität für das retrograde Wurzelfüllmaterial. Die Spitzen können durch die Ultraschalltechnik sehr grazil gestaltet sein, was Übersicht und Größe der Zugangskavität verbessert. So gehört in dieser Indikation die Anwendung der Ultraschallchirurgie zu den Standardverfahren der Wurzelspitzensresektion (Del Fabbro, Tsesis et al. 2010, Scarano, Artese et al. 2012).
Indikation: Wurzelspitzenresektion
Sollen chirurgische Eingriffe mit unmittelbarer Knochenbeziehung an empfindlichen Strukturen wie Blutgefäßen oder Nerven erfolgen, so bergen rotierende Instrumente ein erhebliches Potential an iatrogener Schädigung. Gerade bei Nervdarstellungen nach iatrogener Schädigung, oder aber im Zuge einer Nervlateralisation für resektive und rekonstruktive Eingriffe oder Implantatinsertionen können piezoelektronische Geräte hilfreich sein Knochendeckel zu präparieren und nervnahe Hartgewebsanteile zu entfernen (Abb. 17-20). Ein leichter Kontakt des Nervstrangs zur Piezospitze bleibt dabei in der Regel folgenlos – allerdings kann eine unvorsichtige Vorgehensweise mit sägeartigen Bewegungen bzw. Ansätzen bei noch vorhandener knöcherner Unterlage durchaus temporäre oder aber auch permanente Nervschädigungen verursachen. Das Risiko einer solchen Schädigung wird jedoch als wesentliche geringer eingeschätzt als unter Anwendung von Säge- oder Fräsinstrumenten (Pereira, Gealh et al. 2014).
Indikation: Parodontaltherapie
Marginale Parondontalerkrankungen stellen im fortgeschrittenen Alter den Hauptgrund für Extraktionen dar. Sie basieren im Wesentlichen auf einer bakteriellen Besiedlung der Zahnfleischtasche und hierdurch bedingten Entzündung mit konsekutivem Verlust des Zahnhalteapparates. Die Ausbildung subgingivaler Biofilme und Konkremente stellt einen wesentlichen ätiologischen Faktor für den marginalen Knochenabbau dar, so dass ihrer Entfernung eine wesentliche Bedeutung in der Therapie zukommt (Drisko 2014, Plessas 2014).
Zur Behandlung einer marginalen Parodontitis lassen sich eine initiale und chirurgische Therapiephase unterscheiden. Neben der Mundhygieneinstruktion und -motivation sollte in beiden Phasen eine suffiziente Reinigung der Wurzeloberfläche erfolgen, wobei im regenerativen Setting zumeist ein offener Zugang gewählt wird. Die Reinigung der Wurzeloberfläche kann durch die Verwendung spezieller Ansätze auch piezochirurgisch erfolgen, wobei unterschiedlich gebogene Instrumente auch schlecht zugängliche Bereiche wie Furkationen erreichen. Die systemimmanente Wasserkühlung spült dabei die gelösten Konkremente und Bakterien aus der Tasche. Um zusätzlich die Abtragung von Zahnhartsubstanz zu minimieren, wurde bei speziellen Systemen wie dem Piezomed ein Applikations-Feedback eingebaut. Hierbei wird die Abtragungsleistung konsequent reduziert, je mehr Druck auf den Parodontalansatz ausgeübt wird.
Weitere Indikationen
Wie sich in der Vergangenheit gezeigt hat stellt prinzipiell jeder knochenchirurgische Eingriff eine mögliche Indikation für die Piezochirurgie dar. So lässt sich die Präparation des mobilen Segmentes bei der Distraktionsosteogenese (Abb. 23-25) und der Sandwichosteotomie mit speziellen Ansätzen bewerkstelligen, ohne die für den Erfolg beider Techniken essenzielle Blutversorgung des krestalen Anteils zu gefährden (Gonzalez-Garcia, Diniz-Freitas et al. 2008).
Für die Entnahme von Implantaten ist die Präparation eines vestibulären Knochendeckels möglich, der nach Entfernung der Implantatschraube refixiert wird und auf diesem Wege die Kontur des Alveolarfortsatzes erhält.
Weitere Einsatzgebiete ergeben sich in der Kieferhöhlenchirurgie: Hier können nach konzentrischer Präparation eines in der Regel trapezförmigen Knochendeckels der fazialen Kieferhöhlenwand Pathologien und Fremdkörper aus der Kieferhöhle entfernt werden. Der Knochendeckel wird nach Abschluss des intra-antralen Operationsanteils reponiert und durch Verkeilen oder adaptierende Nähte gegen Dislokation gesichert.
Rein kieferchirurgische Indikationen ergeben sich unter anderem in der orthognathen Chirurgie, bei der Genioplastik (Abb. 27-30) sowie der Orbitadekompression bei Patienten mit fortgeschrittener endokriner Orbitopathie bei Morbus Basedow (Ponto, Zwiener et al. 2014). Zudem finden Piezogeräte je nach Klinik Anwendung in der kraniofazialen Chirurgie sowie bei der Entfernung von Schädelbasistumoren.
Neue zahnärztliche Aspekte ergeben sich durch die Verwendung spezieller, weicher Spitzen für die Periimplantitistherapie. Sie sind Gegenstand aktueller Forschung und zeigen erste vielversprechende Ergebnisse.
Zusammenfassung
Zusammenfassend lässt sich feststellen, dass sich die Anwendung der Piezochirurgie für eine Vielzahl von zahnärztlichen Indikationen eignet. Ihre zunehmende Verwendung verdankt sie vor allen Dingen ihrer einfachen Handhabung und Selektivität für die Abtragung von Knochengewebe, was eine erhöhte Sicherheit bei der Durchführung knochenchirurgischer Eingriffe beinhaltet. Zudem lässt sich eine hohe Präzision erzielen, was gerade bei beschränkten Platzverhältnissen von Vorteil ist. Durch die Verwendung von multiplen auf die jeweilige Indikation abgestimmten Spitzen und Einstellungen lassen sich ganz unterschiedliche Bereiche abdecken, so dass die Geräte in vielen Praxen und Kliniken mittlerweile zum alltäglichen Handwerkszeug gehören.
Daniel Rothamel, Arndt Happe, Tim Fienitz, Matthias Kreppel, Jörg Neugebauer, Joachim E Zöller
 
        
    
        www.uk-koeln.de
Priv.-Doz. Dr. Dr. Daniel Rothamel
- 1996-2001 Studium der Zahnmedizin, Heinrich-Heine-Universität, Düsseldorf
- 2003 Entwicklungshilfeaufenthalt, SKM Hospital,Sankhu, Kathmandu, Nepal
- 2004 Promotion zum Dr. med. dent.
- 2001-2007 Studium der Humanmedizin, Heinrich-Heine-Universität, Düsseldorf
- 2002-2008 Oralchirurgische Ausbildung Uni Düsseldorf (Prof.Dr. J. Becker)
- 2007 Medizinisches Staatsexamen
- 2007 Promotionsstipendiat des DAAD, Universität Sydney, Australien
- 2008 Promotion zum Dr. med.
- 2008-2013 Ausbildung zum MKG-Chirurgen, Universitätsklinikum Köln (Prof.Dr.Dr.J. Zöller)
- 2009 Habilitation und Erteilung der venia legendi (Thema: Kieferdefektrekonstruktion)
- Seit 2013 Leitender Oberarzt der Klinik für MKG-Chirurgien
 W&H Headquarters - DE
                            W&H Headquarters - DE                            
                         
                 
                 
                 
                 
                 
                 
                 
                 
                 
                 
                 
                 
                 
                 
                 
                 
                 
                 
             
                 
                 
                 
                 
                 
                 
                 
                 
                 
                 
                 
                 
                 
     
	
Kommentare