O sucesso da cirurgia apical em endodontia
Quinto de uma série de 11 artigos
*Publicado originalmente na Dental Tribune Latin America
**No momento, os artigos estão disponíveis apenas na versão original em espanhol.
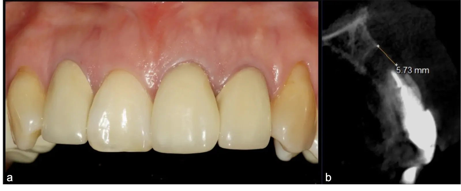
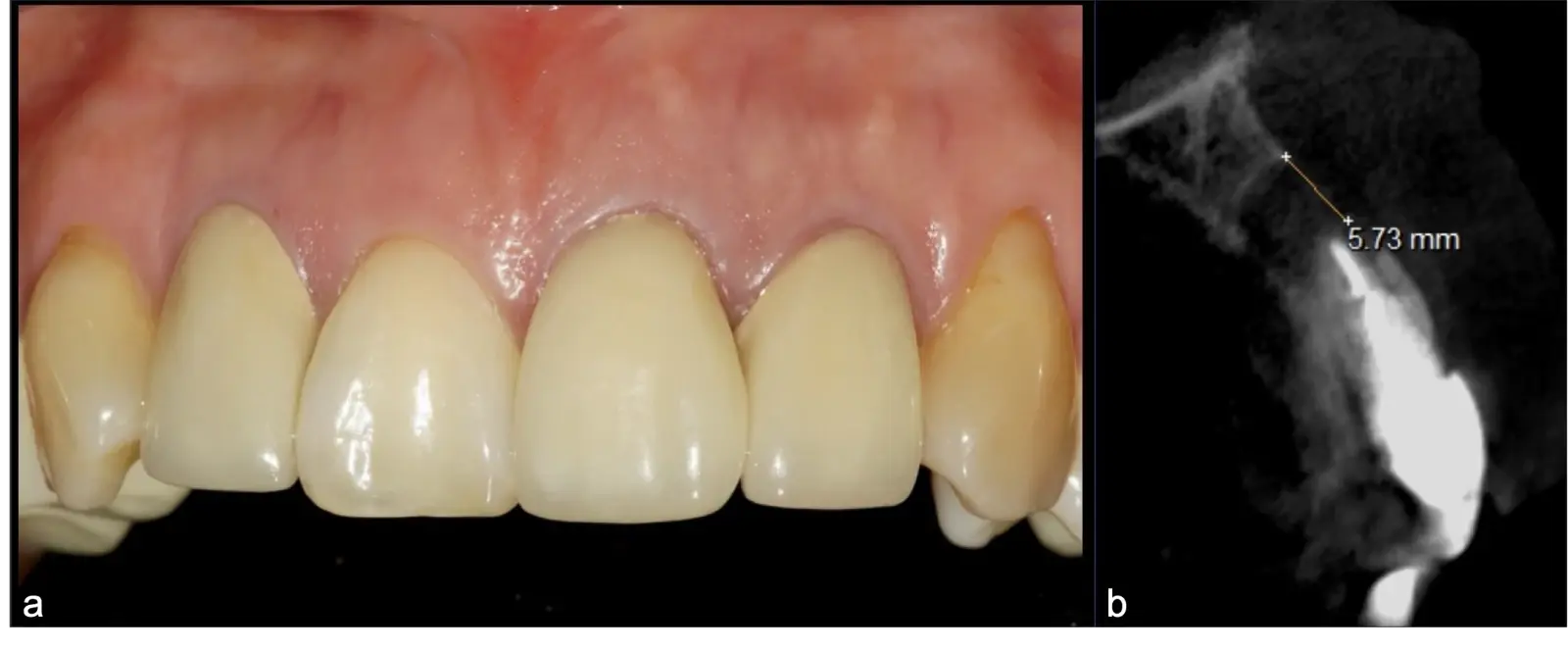
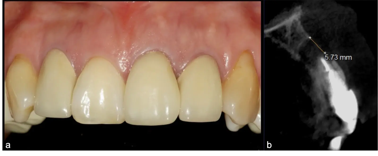
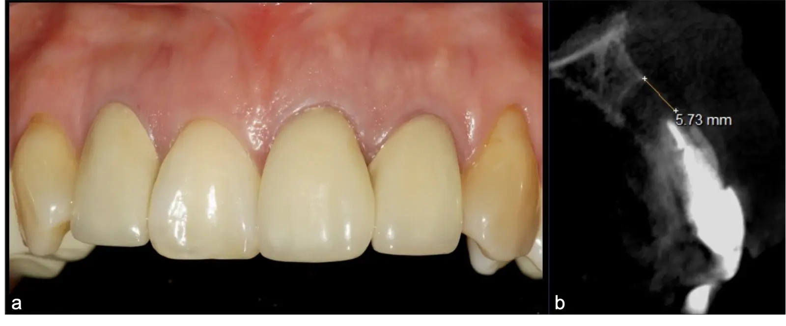
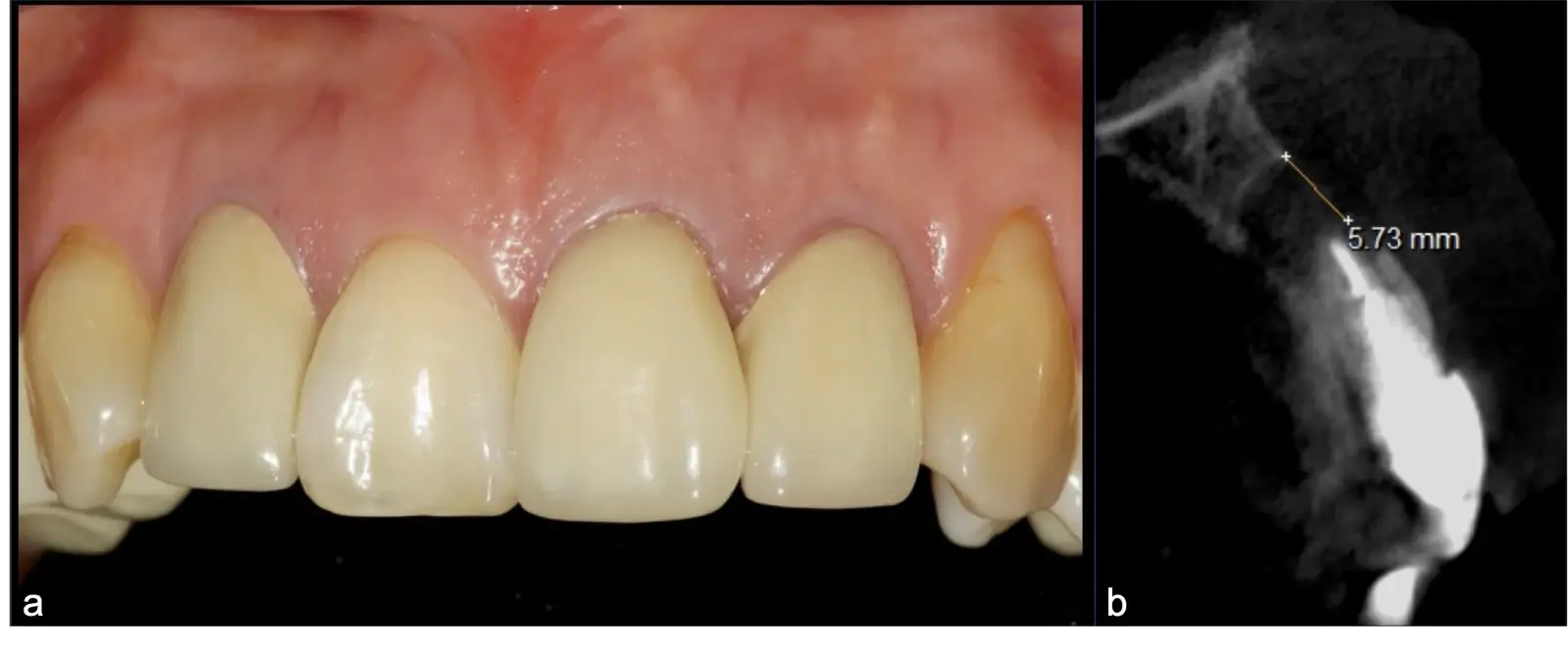
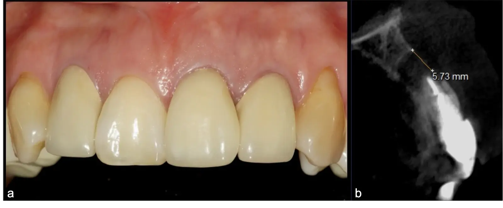
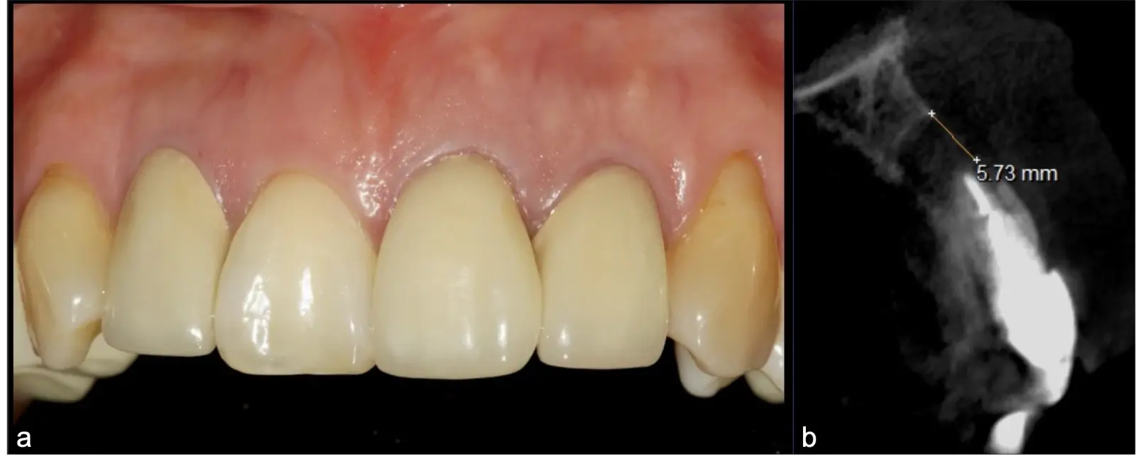
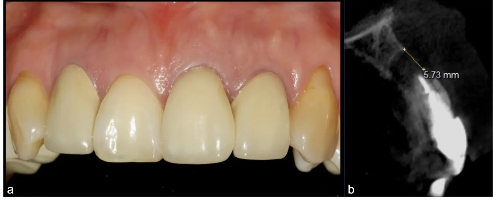
La microcirugía endodóntica apical busca conservar la mayor cantidad de longitud de raíz y de hueso circundante sano para no afectar la estabilidad de la pieza. Tiene un nivel alto de éxito y evidencia una cicatrización ósea completa en el 74% de los casos al año de tratamiento. Este resultado está asociado a predictores de cada paciente, como la edad, tipo de pieza, profundidad de sondaje y extensión de la lesión.

Los tratamientos endodónticos tienen una predictibilidad de éxito variable (20-90%).1 Sin embargo y con cierta frecuencia (15%), pueden aparecer complicaciones a nivel apical2 posterior al tratamiento, o incluso cuando la pieza ya posee la restauración protésica definitiva.3 Estos escenarios no deseados pueden presentarse con sintomatología persistente o esporádica y estar acompañados de imágenes radiolúcidas/hipodensas apicales.
El origen puede ser bacteriano (colonias bacterianas persistentes4, patología periodontal asociada5, reinfecciones por falta de sellado coronal), mecánico (preparación deficiente, fractura de instrumentos, fracturas radiculares6, extravasación de material de obturación7 con ó sin compromiso de estructuras vecinas) y anatómico (conductos accesorios poco permeables o calcificados)8 (Figuras 1 - 4).

Frente a ello, se debe decidir entre un retratamiento de conductos, que involucra un probable retiro del espigo y de la prótesis cementada, o un abordaje microquirúrgico apical. El primero estima un éxito promedio del 80% y mayor riesgo de fracturas radiculares con posterior pérdida del diente; mientras que el segundo, tiene un éxito del 92%9 y brinda como principal ventaja una visualización y manipulación directa de la lesión problema.10
El procedimiento se inicia colocando anestesia y elevando un colgajo mucoperióstico a espesor completo y exponiendo la zona. En seguida se realiza la enucleación de la lesión, eliminando o creando una ventana en la lámina cortical que contiene el área del ápice.
La microcirugía endodóntica apical busca conservar la mayor cantidad de longitud de raíz y de hueso circundante sano para no afectar la estabilidad de la pieza.11 Por ello, es ideal el uso de microscopios, elementos de magnificación, instrumental específico (insertos de ultrasonido endodónticos) y materiales de sellado eficientes para el tratamiento retrogrado. Su éxito es alto y evidencia una cicatrización ósea completa en el 74% de los casos al año de tratamiento.12 Cabe destacar que este logro está asociado también, a predictores propios de cada paciente, como la edad, tipo de pieza, profundidad de sondaje y extensión de la lesión.1 El uso complementario de la tomografía computarizada es resaltante como el instrumento imagenológico de elección para la etapa de planificación microquirúrgica,13 ya sea para una ejecución a mano alzada o con guías prefabricadas.14,15
Aplicaciones clínicas
El procedimiento se inicia colocando anestesia y elevando un colgajo mucoperióstico a espesor completo3 (incisión semilunar o intrasurcular con/sin protección papilar) y exponiendo la zona. En seguida se realiza la enucleación de la lesión, eliminando16 o creando una ventana17 en la lámina cortical que contiene el área del ápice; este retiro óseo se realiza con los insertos de forma aplanada dentada o inserto con cobertura diamantada plano o redondo, recordando ser lo más conservador posible (Figura 5).

Después de realizado el acceso e identificado el ápice, se procede a la limpieza de la zona con instrumentos manuales y/o con insertos diamantados de parte activa angulada para poder eliminar todo el tejido patológico del perímetro radicular apical y del tejido óseo circundante (Figura 6).


Una vez limpia la zona apical, se corrobora la integridad de la raíz y se evalúa el grado de extensión de la lesión. Si el defecto óseo es pequeño, se procede a realizar la preparación del conducto y obturación retrógrada de ser el caso. Si el defecto óseo es de gran tamaño e inaccesible a los insertos, se procede a realizar un corte de por lo menos 3 mm de ápice radicular conteniendo los posibles conductos aún infectados11 empleando habitualmente insertos de borde aserrado con/sin marcas de medición para un trabajo seguro7 (Figura 7).
Aunque algunos autores recomiendan evitar los ángulos en bisel para no exponer excesivamente túbulos dentinarios por riesgo de una posterior microfiltración18, en la cirugía apical piezoeléctrica recomendamos realizar un bisel externo para tener un mejor acceso al ápice. La configuración de los insertos de piezoeléctrico permiten realizar un corte lo más cercano a los 0°-10° de bisel11 con acceso adecuado a la zona de posterior obturación (Figura 8).

Si el tratamiento de conducto previo es reciente y no está contaminado, se procede al cierre de la herida, previa evaluación de la necesidad de material de regeneración ósea en la zona. Si el tratamiento de conducto previo es de larga data y se encuentra contaminado, se procede a la preparación apical de la zona con los kits de insertos endodónticos, a una profundidad de 3 a 4 mm19 y mediante un movimiento vertical vibratorio constante sin pulsaciones que puedan causar microgrietas en la superficie.20 Los insertos especializados poseen diferentes angulaciones y configuraciones, lo que aporta versatilidad al proceso. La conformación más usada es la del inserto angulado de extremo troncocónico sin o con superficie diamantada con grano de 30 um en los milímetros finales. Tiene como función principal la limpieza y conformación del canal (Figura 9).

Para la obturación retrograda, el sellador más usado es el agregado de trióxido mineral (MTA)21 por sus propiedades hidrofílicas y de biocompatibilidad que favorece la neoformación ósea.3 Luego de la desinfección y secado, se realiza la obturación-compactación de rutina y se culmina con la reposición de los tejidos gingivales a través de puntos de sutura (Figura 10).
comentários