Exodontia de terceiros molares simplificada
Sexto de uma série de 11 artigos
*Publicado originalmente na Dental Tribune Latin America
**No momento, os artigos estão disponíveis apenas na versão original em espanhol.
La exodoncia de los terceros molares es uno de los procedimientos quirúrgicos más comunes en odontología y, al igual que con la mayoría de procedimientos orales, debe darse bajo rigurosas evaluaciones clínicas y radiográficas que establezcan previamente un plan de tratamiento apropiado, para reducir y/o evitar la incidencia de cualquier complicación o daño.1

El procedimiento puede variar en su complejidad dependiendo de su ubicación, profundidad, angulación, y la densidad ósea circundante.2 Uno de los pasos más críticos y cruciales en la extracción es la osteotomía previa y concomitante al acceso quirúrgico del diente, para lo cual se utilizan diversos instrumentos como cinceles y martillos, instrumental rotatorio o de corte por ultrasonido.3
Estos pueden ser de carácter altamente invasivo, lo que implica riesgo de lesión en tejidos blandos y óseos, y con una consecuente reacción inflamatoria significativa. Suelen estar acompañadas de síntomas postoperatorios como dolor, edema y apertura bucal limitada en casos de espasmo muscular a causa de la manipulación de los maxilares.4
Para proceder a la eliminación de terceros molares debe realizarse una valoración general, que incluye un adecuado diagnóstico, indicaciones, contraindicaciones y riesgos de la técnica elegida en el paciente.5,6
La principal indicación para la extracción de terceras molares es la presencia de patología asociada a la misma pieza, como caries no restaurables, fracturas, quistes, tumores y en algunos casos, pericoronaritis no tratables. También de lesiones asociadas a piezas adyacentes como zonas cariosas proximales, resorciones radiculares o enfermedad periodontal activa. Adicionalmente, se puede indicar su extracción cuando representa un obstáculo en planes de tratamiento ortodónticos, protésicos o quirúrgicos complejos.7
El instrumento piezoeléctrico utiliza un corte micrométrico que retira un área de superficie mínima de hueso, y reduce el riesgo de termonecrosis marginal en comparación con las fresas rotatorias convencionales.
Para realizar la técnica de extracción de una tercera molar, una vez que se ha confirmado su diagnóstico, se debe considerar la posición del diente (vertical, mesioangular, distoangular, horizontal u otras), profundidad y grado de impacto, obstrucción a la erupción asociada a la segunda molar, morfología de la raíz (la curvatura de las raíces controla el camino de la exodoncia), relación con el canal del conducto dentario inferior, la patología asociada, la densidad ósea y la Integridad de la segunda molar.
Las piezas de mano de alta velocidad suelen emplearse para la eliminación de tejidos duros alrededor de cordales parcial o totalmente impactados. Según análisis morfológicos, el accionar de la fresa produce superficies irregulares y osteonecrosis marginal como resultado de la alta temperatura generada durante la extirpación del hueso.8
En contraste, el instrumento piezoeléctrico utiliza un corte micrométrico que retira un área de superficie mínima de hueso, y reduce el riesgo de termonecrosis marginal en comparación con las fresas rotatorias convencionales.9 Los micromovimientos mejoran la precisión en el corte y el control táctil, y eliminan las macrovibraciones que se producen con los instrumentos rotatorios.10 Su frecuencia de oscilación es la amplitud de 60-200 μm horizontalmente y de 20-60 μm en sentido vertical, lo que es muy inferior en comparación con las micro sierras oscilantes; por lo tanto, proporciona cortes de osteotomía precisos y seguros. Adicionalmente, posee vibraciones ultrasónicas que descomponen el líquido de irrigación en partículas muy pequeñas (fenómeno de cavitación, que produce un efecto hemostático y así reduce la pérdida de sangre), lo que proporciona una visión clara y sin obstáculos del campo quirúrgico11,12.
Jian Q. et al13 indicaron que, aunque los pacientes sometidos a piezocirugía experimentaron un tiempo de cirugía más prolongado, tuvieron menos inflamación postoperatoria, lo que indica que la piezocirugía es una técnica alternativa prometedora para la exodoncia de terceros molares impactados. Mientras que Rullo et al14 asocian las intervenciones más largas con más dolor, especialmente con la acción de corte micrométrico más lenta del dispositivo piezoeléctrico. Debe considerarse que el dolor después de la extracción del tercer molar también depende de otros factores asociados, como la extensión del levantamiento del colgajo, el tabaquismo, la higiene bucal, la edad, la ansiedad y la historia de pericoronitis.
Aplicaciones clínicas
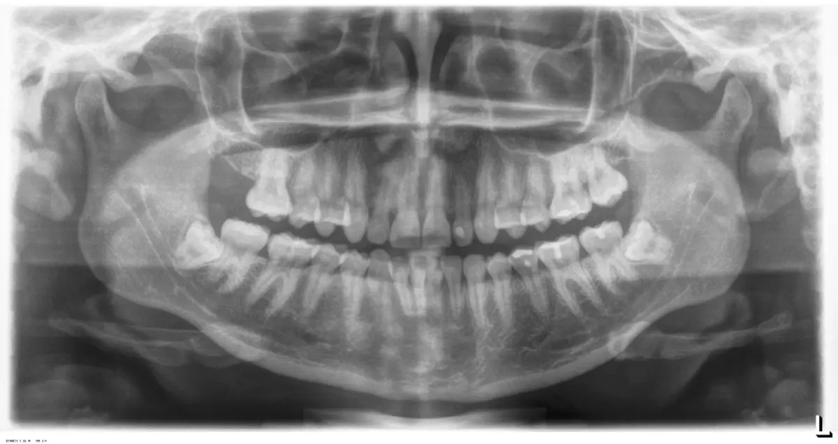
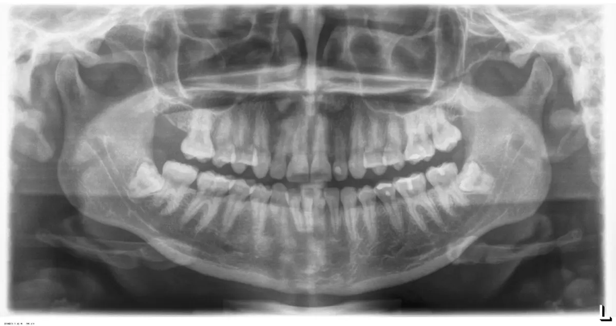
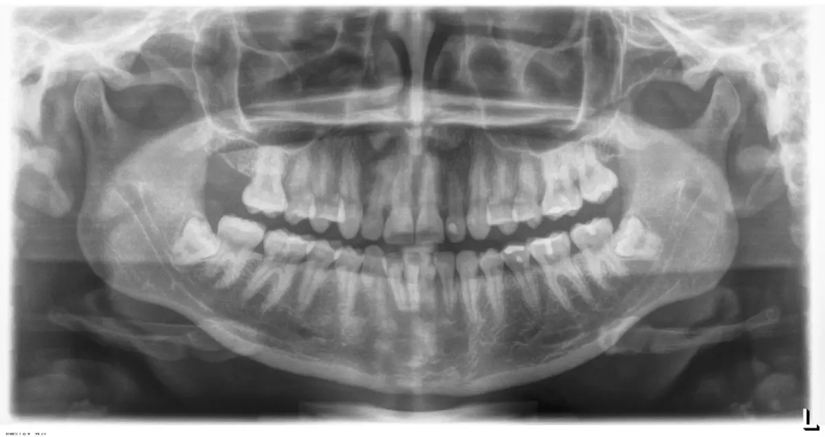
Es imprescindible conocer la ubicación de la tercera molar. Se puede emplear, adicionalmente a la evaluación clínica, herramientas radiográficas (panorámica y periapical) y tomográficas (Cone beam) para determinar la posición, grado de retención y proximidad a estructuras vecinas de riesgo como el nervio dentario inferior y así evitar lesiones (Figura 1).

El procedimiento se inicia colocando anestesia troncular para bloqueo del nervio dentario inferior y sus ramas. Luego, se establecerá el diseño de acceso según la disposición de la molar a extraer. Para fines didácticos, se explicará cómo se realizaría la extracción de la molar de la Figura 1: se realiza una incisión horizontal a nivel de la zona retromolar hasta llegar a distal de la segunda molar, continuándose con una incisión intrasurcular hasta mesial de la segunda molar, finalizando con una incisión vertical a espesor total hasta llegar a la línea mucogingival (Figura 2).




comentários