Reports & Studies

Endo-perio treatment of an abutment tooth

Selective use of a piezoelectric unit and an implant motor

Report of Ramon Boninsegna, DDS, PhD and Luca Bovolato, DDS

First published in EDI Journal 01/2017

Natural teeth are a valuable resource. This case report describes the complex attempt to preserve an endodontically and periodontally involved premolar as an abutment – at least for the near future, involving the placement of two adjacent implants in combination with internal sinus floor augmentation. A piezoelectric unit and an implant motor device were selectively used for this multidisciplinary surgery.

Combined endo-perio lesions involve both endodontic (pulp-related) and periodontal (attachment-related) tissues (Foce, 2009). Their pathogenesis is highly variable and can only be identified with sophisticated diagnostics. These include non-invasive and invasive vitality testing and thorough periodontal probing, not least to exclude a monocausal etiology.

When the absence of vital pulp signs and the presence of biofilm-induced periodontal pockets point to a combined lesion, the treatment will, in many cases, start with orthograde endodontics. If symptoms persist, the periodontal evaluation has to be repeated and topical or systematic therapy initiated as needed. The success of endodontic and periodontal measures depends very much on procedures focusing on pathogenic biofilms as the principal etiologic factor (Nair, 1997, Hajishengallis and Lamont, 2012).

When guided tissue regeneration is indicated in periodontal defects with a missing buccal wall, a combination of a grafting material and a membrane has shown the best results (Sculean et al., 2008). However, in clinical experience and due to biological reasons, success is questionable when there is extensive bone loss that extends to the apex of the tooth.

Horizontal management of the implant site

When a tooth is lost, the tooth-related periodontal structures, including parts of the alveolar bone, will invariably be resorbed and the ridge will need to be remodelled (Tan et al., 2012). To minimize this need, ridge preservation can be performed and, if possible, a tooth-retained bridge can be placed (Schlee and Esposito, 2009). An alternative option is to insert an implant, which potentially preserves the bone due to functional strain transmission (Wolff, 1986, Wolff and Wessinghage, 1892).

If the future implant site has insufficient bone dimensions, simultaneous or staged augmentation can be indicated. According to a recent review, bone-block grafting is the most frequent procedure for the staged approach, while GBR was used more often in the simultaneous approach (Sanz-Sanchez et al., 2015). If the defect is limited in size, GBR may therefore be preferable, as no additional surgical site is required for autologous grafting.

Many clinicians prefer a GBR product system consisting of a bovine bone substitute material with a porcine absorbable collagen membrane. The resorption rate of the substitute material is slow, the membrane is biocompatible, and extensive documentation of both products used alone and in combination is available (Jensen et al., 2014, Retzepi and Donos, 2010).

Sinus augmentation

In the posterior maxilla, vertical bone deficiencies can be managed by sinus floor augmentation. More specifically, if at least 4 mm of residual bone height is present caudally to the sinus floor, the internal approach has proven successful (Calin et al., 2014). According to clinical reports, the risk of perforation can be reduced by using piezoelectric systems near the Schneiderian membrane (Zhen et al., 2012). Moreover, based on a comparative study, piezo devices cause less patient discomfort during surgery and tend to increase operator convenience in comparison with osteotomes (Baldi et al., 2011).

In principle, these benefits also apply to external sinus procedures (Wallace et al., 2012). In the present case report, endo-periodontal preservation of a first maxillary premolar was combined with submerged implant placement and simultaneous augmentation to restore the posterior left maxillary quadrant. Due to the questionable prognosis of the abutment teeth, final restorative planning had to be postponed until after the osseointegration of the implants. The different surgical procedures were performed with either a piezoelectric unit or a rotary implant motor.


Case report

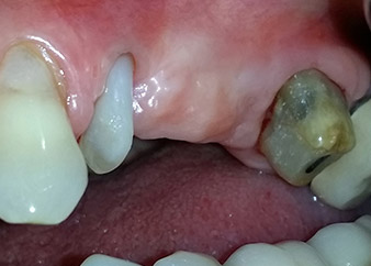
apical periodontal lesion at tooth 24
Fig. 1: 58-year-old patient. Preoperative radiograph showing an apical periodontal lesion at tooth 24 and horizontal loss of alveolar bone in the second quadrant.

1. Dr Luca Bovolato:

A 58-year-old female patient complained of pain and increased mobility of her bridge abutment tooth 24. Periodontal inflammation was present with pocket depths of 7 mm mesiobuccally and more than 12 mm distally, as well as third-degree furcation involvement. Moreover, the radiograph revealed an extensive periodontal lesion around the apical region of the (alio loco) endodontically pretreated tooth 24 (Fig. 1).

One year earlier, teeth 25 and 26 had been extracted due to trauma and for endo-perio reasons, prior to the placement of the bridge. A combined endo-perio lesion was diagnosed for tooth 24, of unclear aetiology. The patient wanted to keep her bridge abutment teeth 24 and 27 and would not accept a final, or even temporary, removable prosthesis. Therefore, it was agreed to make all efforts to retain both teeth, in spite of their poor prognosis as based on radiological and clinical findings.

Placement of two submerged implants was planned at sites 25 and 26, in a surgical session with open periodontal debridement and apicoectomy of tooth 24. Due to the vertical bone deficiency at the future implant site, an internal sinus augmentation was also planned.

Following topical medication with 25 % metronidazole gel (Elyzol) in the pockets of tooth 24, causal treatment with full-mouth periodontal disinfection therapy was initiated. The orthograde root-canal treatment was revised by means of thermoplastic gutta-percha obturation, a fiberglass post and a composite core. The bridge was recemented out of occlusion to allow undisturbed healing of the GTR and GBR sites.

Surgical debridement and apicoectomy

1. Dr Ramon Boninsegna:

One month later, on the day of surgery, pain and inflammation at tooth 24 were minimal, but mobility of Miller class 2 was still present. After opening the flaps and cleaning the periapical and peri radicular infected tissue, the extent of the bone defect became obvious (Figs. 2 and 3).

At the buccal root, all vestibular and distal bone was missing. Attachment was essentially restricted to the palatal root, underlining the preliminary poor prognosis. Tooth 27 also showed a reduced horizontal attachment and a minimal apical rarefaction (cf. Fig. 1) without clinical symptoms.

total loss of bone and attachment
Fig. 2 and 3: After raising flaps, one month after endodontic revision and initiation of full-mouth periodontal therapy, the buccal root of tooth 24 showed a total loss of bone and attachment.

However, we maintained our initial plan to retain both teeth as temporary bridge abutments during the six-months osseointegration period of the implants. At reentry, the situation would have to be reassessed. First, in an attempt to manage the endo-perio problem, the remaining root surface was carefully debrided with piezoelectric equipment (Piezomed, W&H, used with the spatula-shaped insert S1, originally designed for erosion of the lateral sinus wall) (Fig. 4).

Then the apex was abraded with the same instrument to remove residual infected apical tissue and to reduce possible accessory root-canal ramifications (apicoectomy) (Fig. 5). A retrograde filling was not necessary because the orthograde filling had just been revised.

periodontium
Fig. 4: To preserve the tooth as a temporary abutment, the periodontium was debrided with piezoelectric equipment …
buccal apex of tooth 24
Fig 5: ... and the buccal apex of tooth 24 was abraded with the same instrument (apicoectomy).

Sinus lift and implant placement

Prior to implant placement, infected tissue was removed from the alveolar bone in the implant site and around the abutment teeth with an insert originally designed for bone shaping and collecting bone chips (Piezomed, insert B5) (Figs. 6 and 7).

piezo-electric scraping instrument
Fig. 6: The surgical site was debrided with a piezo-electric scraping instrument designed for collecting bone particles and modeling bone.
osseous defects
Fig. 7: After cleaning the osseous defects mesial to tooth 27 and around the root of tooth 24 were clearly visible.
implant motor
Fig. 8: Rotary preparation of the implant bed short of the floor of the maxillary sinus at position 25, carried out with an updated implant motor.

Implant beds were prepared at sites 25 and 26 with rotary instruments, used in a contra-angle handpiece with a 20 : 1 transmission ratio with an updated powerful implant motor (Implantmed, W&H) (Fig. 8).

The final preparation next to the sinus was again carried out with a piezoelectric instrument (Piezomed, insert S2).

Prior to implant placement, and following verification of an intact Schneiderian membrane (Fig. 9), the internal sinus floor was augmented at both implant sites by means of xenogeneic bone substitute material (Bio-Oss, Geistlich Biomaterials) (Fig. 10).

integrity of the sinus membrane
Fig. 9: After implant bed preparation at site 26, the integrity of the sinus membrane was checked with a ball-ended CPITN periodontal probe.
CPITN-probe
Fig. 10: Introduction of xenogeneic bone substitute material into the implant osteotomy for internal sinus augmentation. The material was carefully condensed in an apical direction with the ball-ended CPITN probe (not shown).

The implants (Restore, Keystone Dental, diameter 3,75 mm, length 8.0 mm) were placed with the implant motor
(Figs. 11 and 12).

Low speed insertion of implant 26
Fig. 11: Low speed insertion of implant 26 with a torque limitation of 35 Ncm.
ready for the cover screws
Fig. 12: Both implants in place and ready for the cover screws.

Bone deficiencies around the implants, at the mesial aspect of tooth 27 and around the buccal root of tooth 24, were filled with xenogeneic bone substitute particles and covered with an absorbable collagen membrane (Bio-Gide, Geistlich Biomaterials) for GBR augmentation (Figs. 13 and 14).

Xenogeneic bone substitute material
Fig. 13: Xenogeneic bone substitute material was used to fill the remaining osseous defects …
absorbable collagen membrane
Fig. 14: ... which was then covered with an absorbable collagen membrane. The grayish-pink structure between the elevators at the top margin of the picture represents interproximal papillary tissue.

Finally, after periosteal incision, the site was passively sutured with a coronally advanced flap, using 5-0 absorbable suture material (Fig. 15). The postoperative radiograph showed both implants in their correct vertical position (Fig. 16).

Surgical site after tension-free suturing
Fig. 15: Surgical site after tension-free suturing with absorbable material. The implants will be exposed for impressions after six months.
Postoperative radiograph
Fig. 16: Postoperative radiograph showing the implants in place, with bone substitute material from the internal sinus lift around the apices. There is some material from the GTR procedure visible around the roots of tooth 24.

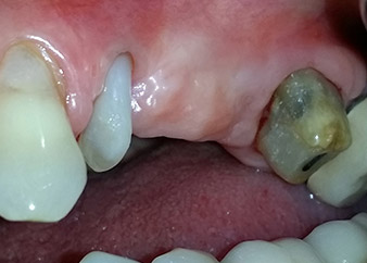
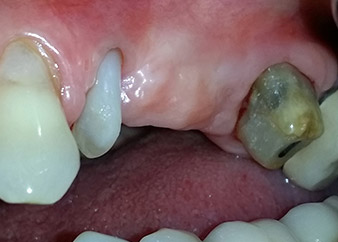
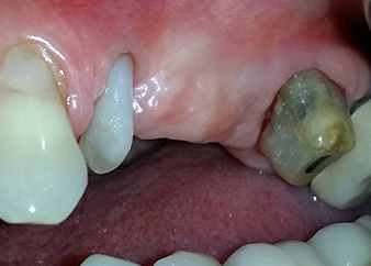
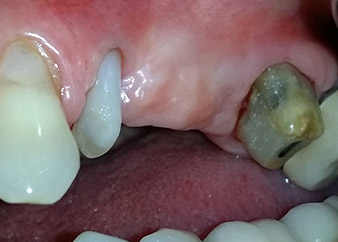
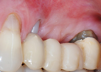
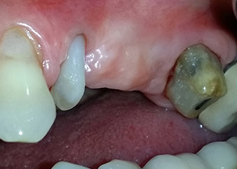
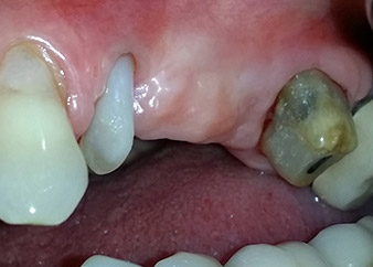
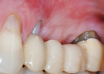
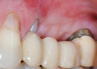
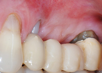
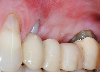
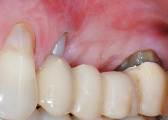
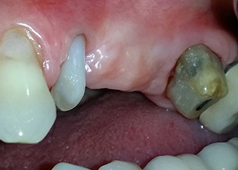
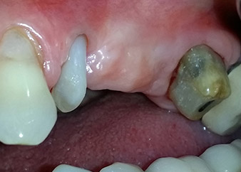
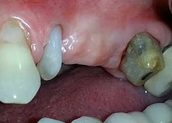
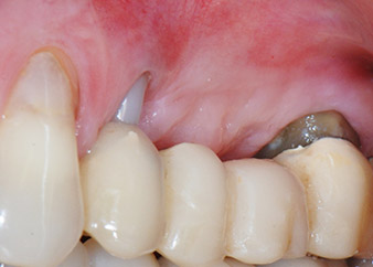
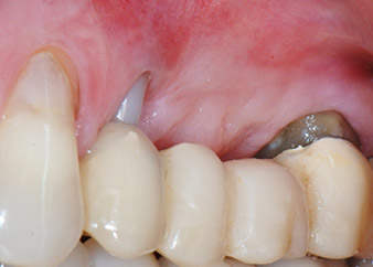
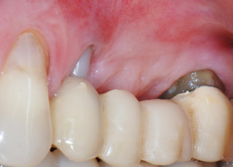
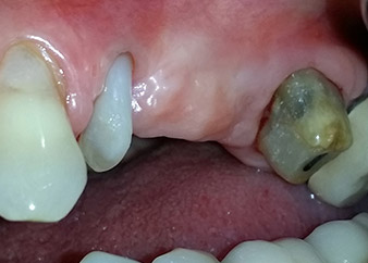
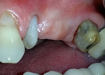
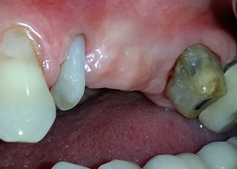
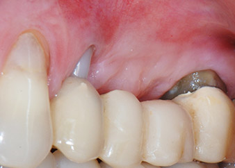
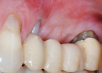
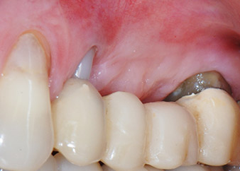
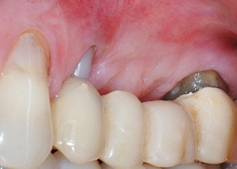
Two-months interim result

Figures 17 and 18 show the clinical result two months after the surgery. Tooth 24 exhibited reduced mobility of Miller class 1, and the soft tissues were free of inflammation. Probing was avoided at this point of time to prevent reinfection and to avoid violating the epithelial attachment. A control visit was scheduled for reentry and placement of healing abutments, six months after the insertion of the implants.

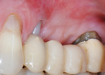
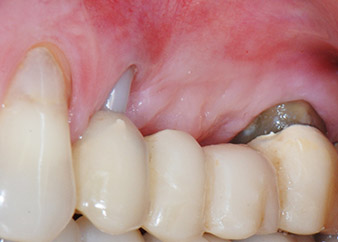
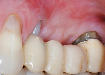
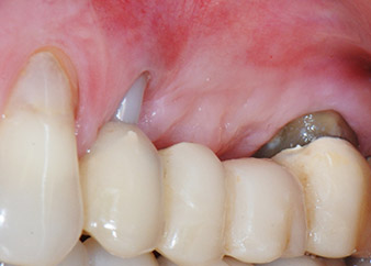
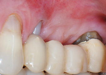
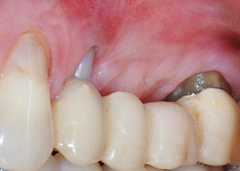
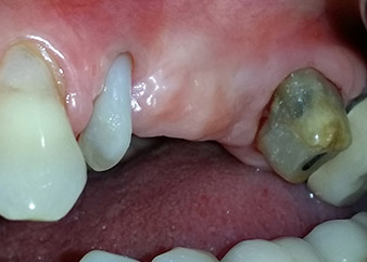
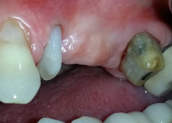
Two months after the surgery, the patient was pain-free.
Fig. 17: Two months after the surgery, the patient was pain-free and the area was free of inflammation.
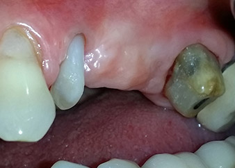
after the surgery
Fig. 18: Tooth 24 now showed less mobility.

Discussion

In the present case we combined the management of an endo-perio lesion with implant placement and simultaneous sinus lift, GBR and GTR procedures in the left posterior maxilla. As both abutment teeth for the bridge 24 – 27 had a poor prognosis, the tooth-related measures were performed only to meet the patient’s wish to maintain her teeth. Moreover, as she did not accept a removable provisional prosthesis, the bridge was recemented for the osseointegration period of the submerged implants 25 and 26.

Prognosis and restorative options

At the two-months recall, the mobility of the remaining “dental element” 24 was already reduced from Miller 2 to Miller 1. The soft tissue attachment was on the level of the neighbouring tooth 23. Moreover, there were no endodontic or periodontal symptoms, so its prognosis may have to be readjusted.

However, as most of the buccal and proximal bone is missing and the composite build-up extends to the apical section of the root, a higher reattachment level is not to be expected due to biologic reasons (Sculean et al., 2008).

The sinus floor and GBR procedures will likely result in an alveolar site able to support the implants and a good prognosis (Retzepi and Donus, 2010, Calin et al., 2014). After osseointegration, the implants at positions 25 and 26 will be restored with splinted crowns. If either of the teeth has to be extracted, it will be replaced with an implant-supported single crown.

Selection of surgical device

Due to its precise and gentle action, both the periodontal debridement and the apicoectomy at site 24 were carried out with a piezoelectric unit (Fig. 19). To avoid the risk of losing the tooth, thorough cleaning was necessary, but without exerting too much pressure. The device was also useful for debriding the bone at the surgical site, which works very well given the specific cavitation effect and cutting characteristics of the technology.

implant motor Implantmed
Fig. 19: The updated implant motor used in the case example, with a glass touchscreen and software with group-practice customization features.

The implant bed was prepared with a new implant motor (Fig. 20), in combination with a contra-angle handpiece specifically designed for oral surgery and implantology.

The transmission rate of 20:1 together with the implant motor’s high torque of up to 6.2 Ncm allowed for slow speed preparation, implant insertion and thread cutting. Final preparation up to the sinus membrane was again performed with the piezoelectric unit and a round diamond instrument.

From a practical point of view, the use of both a piezoelectric and an implant motor unit in the same intervention may appear complicated. However, the programming and operation of both devices have flat learning curves.

In this case, the implant motor was used in combination with a piezoelectric system.
Fig. 20: In this case, the implant motor was used in combination with a piezoelectric system.

Moreover, the new wireless foot control (Fig. 21) drives both devices selectively by simple pedal activation.

The foot control can be conveniently moved with the handle. All features taken together allow the surgeon to concentrate on the site and – first of all – on the patient.

wireless foot control
Fig. 21: To make the procedure more convenient, both devices can be operated with one wireless foot control.

Contact

Ramon Boninsegna, DDS, PhD

Ramon Boninsegna, DDS, PhD

Oral surgeon (specialist), private practice in Brescia, Italy; Section of Anatomy and Physiopathology, Department of Clinical and Experimental Sciences, University of Brescia


Centro Medico Duca d’Aosta
Via Duca D’Aosta, 28
25121 Brescia

Luca Bovolato, DDS

Luca Bovolato, DDS


General practitioner, focused on endodontics and restorative dentistry;

private practice in Brescia, Italy


References

  • Baldi, D., Menini, M., Pera, F., Ravera, G. & Pera, P. (2011) Sinus floor elevation using osteotomes or piezoelectric surgery. Int J Oral Maxillofac Surg 40, 497-503.
  • Calin, C., Petre, A. & Drafta, S. (2014) Osteotome-mediated sinus floor elevation: a systematic review and meta-analysis. Int J Oral Maxillofac Implants 29, 558-576.
  • Foce, E. (2009) Lesioni endo-paradontali. Milano: Quintessenza Edizioni.
  • Hajishengallis, G. & Lamont, R. J. (2012) Beyond the red complex and into more complexity: the polymicrobial synergy and dysbiosis (PSD) model of periodontal disease etiology. Mol Oral Microbiol 27, 409-419.
  • Jensen, S. S., Bosshardt, D. D., Gruber, R. & Buser, D. (2014) Long-term stability of contour augmentation in the esthetic zone: histologic and histomorphometric evaluation of 12 human biopsies 14 to 80 months after augmentation. J Periodontol 85, 1549-1556.
  • Nair, P. N. (1997) Apical periodontitis: a dynamic encounter between root canal infection and host response. Periodontol 2000 13, 121-148.
  • Retzepi, M. & Donos, N. (2010) Guided Bone Regeneration: biological principle and therapeutic applications. Clin Oral Implants Res 21, 567-576.
  • Sanz-Sanchez, I., Ortiz-Vigon, A., Sanz-Martin, I., Figuero, E. & Sanz, M. (2015) Effectiveness of Lateral Bone Augmentation on the Alveolar Crest Dimension: A Systematic Review and Meta-analysis. J Dent Res 94, 128s-142s.
  • Schlee, M. & Esposito, M. (2009) Aesthetic and patient preference using a bone substitute to preserve extraction sockets under pontics. A cross-sectional survey. Eur J Oral Implantat 2, 209-217.
  • Sculean, A., Nikolidakis, D. & Schwarz, F. (2008) Regeneration of periodontal tissues: combinations of barrier membranes and grafting materials - biological foundation and preclinical evidence: a systematic review. J Clin Periodontol 35, 106-116.
  • Tan, W. L., Wong, T. L. T., Wong, M. C. M. & Lang, N. P. (2012) A systematic review of post-extractional alveolar hard and soft tissue dimensional changes in humans. Clin Oral Implants Res 23, 1-21.
  • Wallace, S. S., Tarnow, D. P., Froum, S. J., Cho, S. C., Zadeh, H. H., Stoupel, J., Del Fabbro, M. & Testori, T. (2012) Maxillary sinus elevation by lateral window approach: evolution of technology and technique. J Evid Based Dent Pract 12, 161-171.
  • Wolff, J. (1986) The Laws of Bone Remodeling (translated by Maquet, P., Furlang, R.). Berlin: Springer.
  • Wolff, J. & Wessinghage, D. H. (1892) Das Gesetz der Transformation der Knochen. Berlin: Hirschwald.
  • Zhen, F., Fang, W., Jing, S. & Zuolin, W. (2012) The use of a piezoelectric ultrasonic osteotome for internal sinus elevation: a retrospective analysis of clinical results. Int J Oral Maxillofac Implants 27, 920-926.

comments