Tratamiento endo-periodontal del pilar de un puente
Uso selectivo de una unidad piezoeléctrica y un motor de implantes
Informe de Ramon Boninsegna, DDS, PhD y Luca Bovolato, DDS
Publicado por primera vez en EDI Journal en Enero 2017
Los dientes naturales son una posesión muy valiosa, y los odontólogos son muy conscientes de ello. Este caso clínico describe un complejo intento de utilizar un tratamiento endo-periodontal para conservar un premolar inflamado como pilar de un puente, al menos en un futuro inmediato. El procedimiento incluye la colocación de dos implantes adyacentes en combinación con un aumento de la base interna del seno, que utiliza de forma selectiva una unidad piezoeléctrica y un motor de implantes para la cirugía multidisciplinar.
Las lesiones endo-periodontales combinadas implican tanto a los tejidos endodónticos (relacionados con la pulpa) como a los periodontales (relacionados con la fijación (Foce, 2009). La patogenia es altamente variable y solo puede identificarse con un método de diagnóstico sofisticado, que incluye una prueba de vitalidad no invasiva e invasiva y un sondaje periodontal profundo, también para excluir una etiología de una sola causa.
Cuando la ausencia de signos vitales en la pulpa y la presencia de bolsas periodontales provocadas por la biopelícula apuntan a que existe una lesión combinada, en muchos casos, el tratamiento comienza con una endodoncia ortógrada. Cuando los síntomas persisten, es preciso repetir la evaluación periodontal para, en caso necesario, iniciar un tratamiento tópico o sistémico. El éxito de las medidas endodónticas y periodontales depende en gran medida de los procedimientos que se centran en biopelículas patógenas como el factor etiológico principal (Nair, 1997, Hajishengallis and Lamont, 2012).
Cuando la regeneración guiada de los tejidos (GTR, por sus siglas en inglés) está indicada para solucionar los defectos periodontales, si falta la pared bucal, la combinación de un material de injerto y una membrana ha demostrado lograr los mejores resultados (Sculean et al., 2008). Sin embargo, teniendo en cuenta la experiencia clínica y diversas razones biológicas, las probabilidades de éxito no son demasiado altas cuando existe una pérdida ósea extensa que llega hasta el ápice del diente.
Tratamiento horizontal en el lugar del implante
Cuando se pierde una pieza dental, se produce inevitablemente una reabsorción de las estructuras periodontales relacionadas con el diente, incluidas ciertas partes del hueso alveolar, por lo que el borde tiene que remodelarse (Tan et al., 2012). Con el fin de reducir al mínimo los acontecimientos fisiológicos, se puede realizar un procedimiento de conservación del borde y, si es posible, colocar un puente sostenido por los dientes (Schlee and Esposito, 2009). Una opción alternativa consiste en insertar un implante, que potencialmente conserva el hueso gracias a la transmisión de la tensión funcional (Wolff, 1986, Wolff and Wessinghage, 1892).
Si el lugar del implante futuro presenta unas dimensiones óseas insuficientes, puede estar indicado un aumento simultáneo o escalonado. Según una revisión reciente, el injerto de bloques óseos es el procedimiento más utilizado para el enfoque escalonado, mientras que la regeneración ósea guiada (GBR, por sus siglas en inglés) se ha utilizado con más frecuencia en el enfoque simultáneo (Sanz-Sánchez et al., 2015). Así pues, cuando las dimensiones del defecto son limitadas, puede resultar preferible recurrir a la GBR, puesto que no existe ningún sitio quirúrgico adicional implicado para el injerto autógeno.
Muchos médicos prefieren un sistema de productos para GBR formado por un material sustituto de hueso bovino con una membrana absorbible de colágeno porcino. Esto se debe a la baja tasa de reabsorción del material sustituto, a la biocompatibilidad de la membrana y, por último, pero no menos importante, a la amplia documentación de ambos productos, también usados en combinación (Jensen et al., 2014, Retzepi and Donos, 2010).
Aumento del seno
En el maxilar posterior, las deficiencias óseas verticales pueden tratarse con un aumento de la base del seno. Más concretamente, si hay al menos 4 mm de altura de hueso residual en sentido caudal a la base del seno, el aumento interno ha demostrado lograr resultados satisfactorios (Calin et al., 2014). Según los informes clínicos, el riesgo de perforación puede reducirse utilizando sistemas piezoeléctricos cerca de la membrana de Schneider (Zhen et al., 2012). Además, según los datos de un estudio comparativo, los dispositivos piezoeléctricos provocan menos molestias al paciente durante la intervención quirúrgica y suelen ser más cómodos de utilizar que los osteotomos (Baldi et al., 2011). En principio, estas ventajas también se aplican a las intervenciones en el seno externo (Wallace et al., 2012).
En el presente caso clínico, la conservación endo-periodontal de un primer premolar maxilar se combinó con la colocación de implantes sumergidos y con un aumento simultáneo para restaurar el cuadrante maxilar posterior izquierdo. Debido al pronóstico dudoso del diente pilar, la planificación de la restauración final tuvo que posponerse hasta que se hubiera producido la osteointegración de los implantes. Las diferentes intervenciones quirúrgicas se realizaron con una unidad piezoeléctrica o con un motor de implantes rotativo.
Caso clínico:

1. Dott. Luca Bovolato:
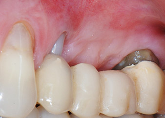
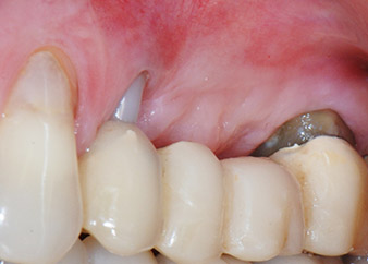
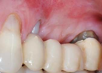
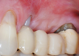
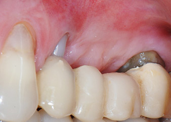
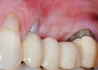
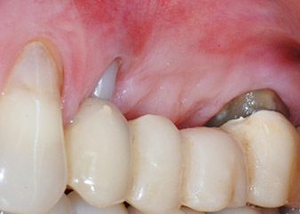
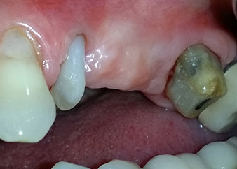
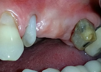
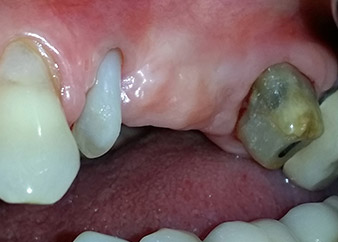
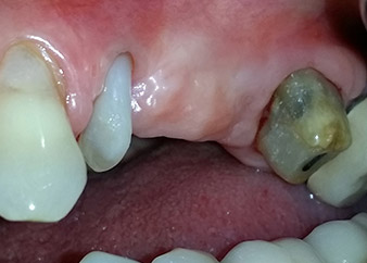
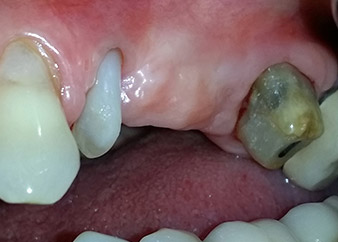
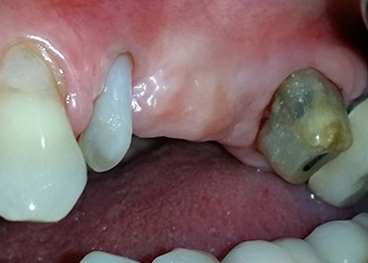
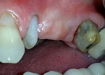
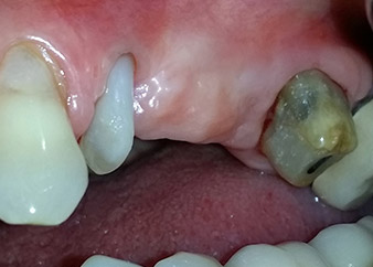
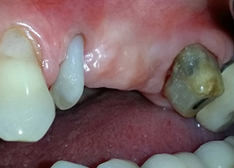
Mujer de 58 años de edad, que además es una apreciada colega y amiga, y se quejaba de dolor y de un aumento en la movilidad del pilar del puente de la pieza dental 24. También había inflamación periodontal, con bolsas de una profundidad de 7 mm en sentido mesiobucal y más de 12 mm en sentido distal, así como furcación de tercer grado. Asimismo, la radiografía reveló una lesión periodontal extensa alrededor de la región apical de la pieza dental 24 (figura 1) tratada previamente con endodoncia (alio loco).
Un año antes, las piezas dentales 25 y 26 se habían extraído por razones traumáticas y endo-periodontales antes de la colocación del puente. Se diagnosticó una lesión endo-periodontal combinada en la pieza dental 24, pero su componente etiológico principal no estaba claro. La paciente declaró su voluntad de mantener el pilar del puente de las piezas 24 y 27 y afirmó que no aceptaría una prótesis extraíble final, ni siquiera provisional. Por lo tanto, se acordó intentar por todos los medios conservar ambos dientes, a pesar del mal pronóstico que mostraban las pruebas radiológicas y clínicas.
Por otro lado, se planificó la colocación de dos implantes sumergidos en las posiciones 25 y 26, en una sesión quirúrgica con desbridamiento periodontal abierto y apicectomía de la pieza dental 24. Debido a la deficiencia ósea vertical del lugar del implante futuro, también se planificó un aumento interno del seno.
Después de la medicación tópica con un 25 % de gel de metronidazol (Elyzol) en las bolsas de la pieza 24, se inició un tratamiento causal de terapia periodontal con desinfección de toda la boca. El tratamiento ortógrado del canal radicular se revisó mediante una obturación con gutapercha termoplástica, un poste de fibra de vidrio y una acumulación de núcleo de composite (figura 2). El puente se recementó fuera de la oclusión para permitir la cicatrización sin problemas de los lugares de la GTR y la GBR.
Desbridamiento quirúrgico y apicectomía
1. Dott. Ramon Boninsegna:
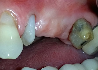
Un mes después, en el día de la intervención, el dolor y la inflamación se habían reducido al mínimo en la pieza 24, pero seguía habiendo una movilidad de clase II de Miller. Después de la apertura de los colgajos y de la limpieza del tejido infectado periapical y perirradicular, la extensión del defecto óseo quedó evidente (figuras 2 y 3).
En la raíz bucal, faltaba todo el hueso vestibular y distal. Básicamente, la fijación se limitó a la raíz palatal, lo que corroboró el mal pronóstico preliminar. La pieza 27 también mostró una fijación horizontal reducida (figura 12) y una rarefacción apical mínima (figura 1), si bien sin síntomas clínicos.

A pesar de todo, confirmamos nuestro plan inicial de conservar ambas piezas dentales como pilares de puente provisionales durante el período de osteointegración de los implantes, que duraría 6 meses. En el momento de la reanudación del tratamiento, la situación tendría que volver a evaluarse.
En primer lugar, en un intento por gestionar el problema endo-periodontal, el resto de la superficie radicular se desbridó con cuidado con un equipo piezoeléctrico (Piezomed de W&H, utilizado con el inserto S1 con forma de espátula, concebido en un principio para la erosión de la pared lateral del seno) (figura 4). A continuación, el ápice se erosionó con el mismo instrumento para eliminar el tejido apical infectado residual y reducir las posibles ramificaciones accesorias del canal radicular (apicectomía) (figura 5). No fue necesario realizar un retrorellleno, puesto que la obturación ortógrada se acababa de revisar.


Elevación del seno maxilar y colocación del implante
Antes de colocar el implante, el tejido infectado del hueso alveolar ubicado en el lugar del implante y alrededor de los dientes del pilar se retiró con un inserto concebido en un principio para modelar huesos y recoger virutas óseas: Piezomed y el inserto B5 (figuras 6 y 7).



En el siguiente paso, los lechos del implante se prepararon en las posiciones 25 y 26 con instrumentos rotatorios, utilizando un contra-ángulo con un coeficiente de transmisión de 20:1 (WS-75 L, W&H), junto con el nuevo potente motor de implantes Implantmed de W&H (figuras 8 y 19).
La preparación final junto al seno se realizó de nuevo con un inserto piezoeléctrico (Piezomed S2).
Antes de la colocación del implante y tras la verificación de que la membrana de Schneider estaba intacta (figura 9), la base interna del seno se aumentó en las dos posiciones del implante con un material sustituto de hueso xenógeno (Bio-Oss, Geistlich Biomaterials) (figura 10).

posición 26, la integridad de la membrana del seno se comprobó con una sonda periodontal CPITN con punta esférica.

A continuación, los implantes (Restore, Keystone Dental, 3,75 mm de diámetro, 8,0 mm de longitud) se colocaron con el motor de implantes (figuras 11 y 12).


Las deficiencias óseas alrededor de los implantes, en el área mesial de la pieza 27 y alrededor de la raíz bucal de la pieza 24, se obturaron con partículas sustitutas de hueso xenógeno (Geistlich Bio-Oss) y se cubrieron con una membrana de colágeno absorbible (Geistlich Bio-Gide) a efectos de realizar un aumento mediante GBR
(figuras 13 y 14).


Por último, después de una incisión perióstica, el sitio se suturó de forma pasiva con un colgajo avanzado frontal, utilizando material de sutura absorbible 5-0 (figura 15). La radiografía posoperatoria muestra ambos implantes en sus posiciones verticales correctas (figura 16).


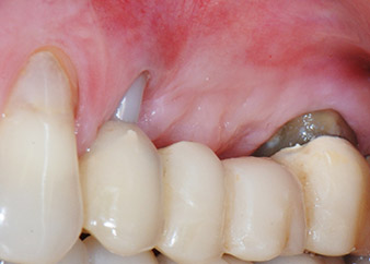
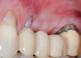
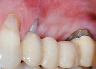
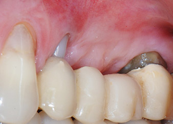
Resultado provisional a los 2 meses
Las figuras 17 y 18 muestran el resultado clínico 2 meses después de la intervención quirúrgica. La pieza 24 tenía una movilidad reducida clase I de Miller y los tejidos blandos no presentaban inflamación. Se evitó el uso de una sonda en este momento para evitar una nueva infección y para no romper la fijación epitelial. El siguiente control se planificó para el momento en el que se reanudara el tratamiento y se colocaran los pilares de cicatrización, 6 meses después de la inserción de los implantes.


Debate
En el caso que nos ocupa, los autores combinaron el tratamiento de una lesión endo-periodontal con la colocación de implantes y la elevación simultánea del seno e intervenciones de GBR y GTR en el maxilar posterior izquierdo. Como los dos dientes del pilar correspondientes al puente 24-27 presentaban un mal pronóstico, las medidas relacionadas con los dientes se realizaron únicamente para cumplir el deseo de la paciente de conservar sus dientes. Además, como tampoco aceptaba una prótesis provisional extraíble, el puente se recementó durante el período de osteointegración de los implantes sumergidos en las posiciones 25 y 26.
Pronóstico y opciones de restauración
Normalmente, habríamos extraído al menos la pieza 24 y proporcionado a la paciente, por ejemplo, una prótesis de nailon provisional extraíble. No obstante, para responder a sus deseos, acordamos con la paciente volver a evaluar los dientes del pilar en el momento de reanudar el tratamiento, seis meses después de la colocación de los implantes. La paciente está bien informada y es consciente de su situación. Después de abrir los colgajos para colocar los pilares de cicatrización, podrá apreciarse el resultado de la intervención perio-endodóntica.
Ya en la visita de los dos meses, la movilidad del “elemento dental” residual 24 se había reducido de clase II a clase I de Miller. La fijación del tejido blando se encontraba en el nivel de la pieza dental adyacente 23. Además, no se desarrollaron síntomas endodónticos ni periodontales, por lo que es posible que sea preciso reajustar el pronóstico. Sin embargo, como falta la mayor parte del hueso bucal y proximal y la acumulación de composite se extiende hasta la sección apical de la raíz, por razones biológicas, no cabe esperar un nivel de refijación más alto (Sculean et al., 2008).
Con toda probabilidad, las intervenciones en la base del seno y las de GBR darán lugar a un lugar alveolar capaz de soportar los implantes con un buen pronóstico (Retzepi and Donos, 2010, Calin et al., 2014). Después de la osteointegración, los implantes de las posiciones 25 y 26 se restaurarán con coronas ferulizadas. Si cualquiera de las piezas dentales debe extraerse, se reemplazará por una corona simple retenida mediante implante.
Selección del equipo quirúrgico
Gracias a su acción precisa y suave, tanto el desbridamiento periodontal como la apicectomía de la pieza dental 24 se realizaron utilizando una unidad piezoeléctrica (Piezomed - W&H). Con el fin de evitar el riesgo de perder el diente, se necesitó una limpieza minuciosa, pero sin ejercer demasiada presión. El equipo también resultó útil para el desbridamiento del sitio quirúrgico, que funciona muy bien con el efecto de cavitación específico y las características de corte de la tecnología.
El lecho del implante se preparó con el nuevo motor de implantes Implantmed de W&H, en combinación con un contra-ángulo específicamente diseñado para cirugía oral e implantología.
El coeficiente de transmisión de 20:1, junto con el alto torque de hasta 6,2 Ncm del motor de implantes, permite una preparación a baja velocidad, así como la inserción del implante y el corte de roscas. La preparación final hasta la membrana del seno se realizó de nuevo con la unidad piezoeléctrica y un inserto de diamante redondo (Piezomed S2 de W&H).
Desde un punto de vista práctico, el uso de una unidad piezoeléctrica y un motor de implantes en la misma intervención puede parecer complicado.

Sin embargo, la programación y el uso de los dos dispositivos tienen curvas de aprendizaje planas. Además, el nuevo pedal de control inalámbrico permite poner en marcha ambos dispositivos de forma selectiva con solo pisar el pedal.
El pedal de control puede moverse cómodamente con el mango y todas las funciones juntas permiten que el cirujano pueda concentrarse en el procedimiento y, sobre todo, en el paciente.

Contacto:

Ramon Boninsegna, DDS, PhD
Cirujano oral (especialista)
consulta privada en Brescia, Italia;
Sección de Anatomía y Fisiopatología, Departamento de Ciencias Clínicas y Experimentales, Universidad de Brescia.

Luca Bovolato, DDS
Médico de familia, centrado en endodoncia y odontología restauradora consulta privada en Brescia, Italia
Referencias
- Baldi, D., Menini, M., Pera, F., Ravera, G. & Pera, P. (2011) Sinus floor elevation using osteotomes or piezoelectric surgery. Int J Oral Maxillofac Surg 40, 497-503.
- Calin, C., Petre, A. & Drafta, S. (2014) Osteotome-mediated sinus floor elevation: a systematic review and meta-analysis. Int J Oral Maxillofac Implants 29, 558-576.
- Foce, E. (2009) Lesioni endo-paradontali. Milano: Quintessenza Edizioni.
- Hajishengallis, G. & Lamont, R. J. (2012) Beyond the red complex and into more complexity: the polymicrobial synergy and dysbiosis (PSD) model of periodontal disease etiology. Mol Oral Microbiol 27, 409-419.
- Jensen, S. S., Bosshardt, D. D., Gruber, R. & Buser, D. (2014) Long-term stability of contour augmentation in the esthetic zone: histologic and histomorphometric evaluation of 12 human biopsies 14 to 80 months after augmentation. J Periodontol 85, 1549-1556.
- Nair, P. N. (1997) Apical periodontitis: a dynamic encounter between root canal infection and host response. Periodontol 2000 13, 121-148.
- Retzepi, M. & Donos, N. (2010) Guided Bone Regeneration: biological principle and therapeutic applications. Clin Oral Implants Res 21, 567-576.
- Sanz-Sanchez, I., Ortiz-Vigon, A., Sanz-Martin, I., Figuero, E. & Sanz, M. (2015) Effectiveness of Lateral Bone Augmentation on the Alveolar Crest Dimension: A Systematic Review and Meta-analysis. J Dent Res 94, 128s-142s.
- Schlee, M. & Esposito, M. (2009) Aesthetic and patient preference using a bone substitute to preserve extraction sockets under pontics. A cross-sectional survey. Eur J Oral Implantat 2, 209-217.
- Sculean, A., Nikolidakis, D. & Schwarz, F. (2008) Regeneration of periodontal tissues: combinations of barrier membranes and grafting materials - biological foundation and preclinical evidence: a systematic review. J Clin Periodontol 35, 106-116.
- Tan, W. L., Wong, T. L. T., Wong, M. C. M. & Lang, N. P. (2012) A systematic review of post-extractional alveolar hard and soft tissue dimensional changes in humans. Clin Oral Implants Res 23, 1-21.
- Wallace, S. S., Tarnow, D. P., Froum, S. J., Cho, S. C., Zadeh, H. H., Stoupel, J., Del Fabbro, M. & Testori, T. (2012) Maxillary sinus elevation by lateral window approach: evolution of technology and technique. J Evid Based Dent Pract 12, 161-171.
- Wolff, J. (1986) The Laws of Bone Remodeling (translated by Maquet, P., Furlang, R.). Berlin: Springer.
- Wolff, J. & Wessinghage, D. H. (1892) Das Gesetz der Transformation der Knochen. Berlin: Hirschwald.
- Zhen, F., Fang, W., Jing, S. & Zuolin, W. (2012) The use of a piezoelectric ultrasonic osteotome for internal sinus elevation: a retrospective analysis of clinical results. Int J Oral Maxillofac Implants 27, 920-926.
comentarios