Internal sinus lift – patient-friendly with piezo surgery
by Dr Mario Kirste (Frankfurt / Oder)
First published in EDI 1/2019, page 108-110
Photos: © Dr Kirste
Compared with the lateral access, transalveolar sinus floor augmentations produce fewer postoperative complaints. In addition, the piezosurgical procedure also negates the need for the unpleasant use of an osteotome. This patient example demonstrates a newly introduced instrument set for piezosurgical preparation of the implant bed and lifting of the Schneiderian membrane.
Short implants can be used successfully to avoid a sinus floor augmentation [1]. However, the available bone volume is often insufficient for this, too. In addition, implants of up to 8 mm in length have a less favourable prognosis after five years compared with longer implants [2]. In a comparison of methods, the transalveolar (internal) approach demonstrates comparable implant prognoses to those obtained via the lateral window [3]. In the internal sinus lift, the anatomy of the maxillary sinus determines the attainable augmentation volume. Long, narrow maxillary sinuses should be considered more favourable than those with flat floors [4].
Postoperative complaints tend to be fewer with the transalveolar procedure than with the lateral [5]. Piezosurgical systems offer additional advantages compared to rotary and manual instruments, for example, particularly atraumatic opening of the maxillary sinus with a suitable operating technique [6]. A residual bone height of approximately 4 mm is required for an adequate cavitation effect.
When the conventional transalveolar approach with manual instruments is used, patients perceive the procedure itself as more invasive than the lateral procedure [7]. However, this is likely primarily due to the hammering action associated with the osteotomes. When suitable piezosurgical technology is employed, the result is an approach, which is particularly patient-friendly. The Schneiderian membrane can also be lifted atraumatically and hydrodynamically with the help of the cavitation effect [8].
Case history
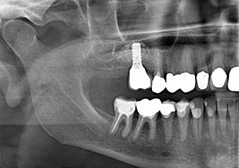
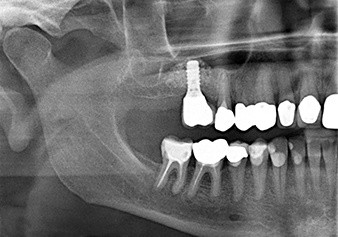
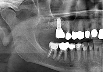
A 49-year-old female patient, a non-smoker and with nothing remarkable in her general medical history, was referred to our oral surgery practice for surgical extraction of tooth 16 and subsequent implantation. After the extraction, the patient experienced mild sinusitis trouble with the resultthat we initially waited six months before carrying out the measure. The residual bone height at the planned implant position measured 3-4 mm (Fig. 1 and 2).
Instruments take over the work
Following atraumatic preparation of the mucoperiosteal flap, the implant position was marked with the I1 instrument and the site prepared – until initial resistance was felt. Piezosurgical instruments were used in an up and down movement without any pressure being exerted. The piezoelectric vibration produced the desired and efficient cavitation.
The I2A instrument (diameter 2.0 mm) was then used to perforate the sinus floor intermittently and on the smallest scale possible. This special piezosurgical method ensures that the Schneiderian membrane is not damaged. When the Z25P was used, the membrane was already lifted slightly by the coolant supplied via the instrument tip (Fig. 3). The coolant quantity was just 50% in order to avoid high pressure in the implant bed.
Implant bed preparation and augmentation
Following an intermediate check (Fig. 4) a further preparation step was performed (Fig. 5). Afterwards, the hydraulic Z35P instrument was used to lift the membrane to the desired position (Fig. 6 and 7). This was followed by further piezosurgical preparation of the implant bed, concluded with a rotary bur and shoulder milling cutter up to the implant diameter of 4.8 mm. Before the implant was inserted, the augmentation material (particle size approx. 0.8-1.6 mm) was introduced underneath the Schneiderian membrane (Fig. 8).
Implantation and prosthetic restoration
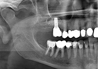
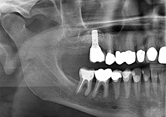
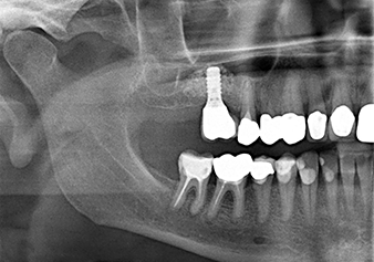
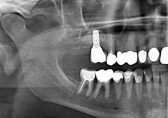
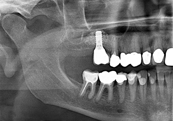
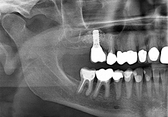
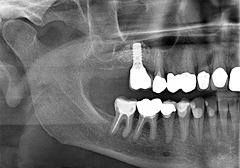
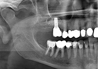
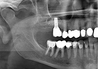
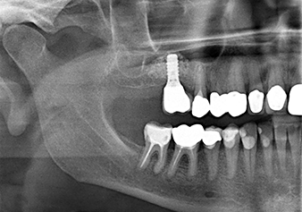
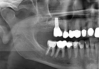
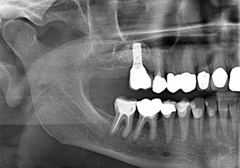
To move the augmentation material in the direction of the maxillary sinus atraumatically, the implant was inserted very slowly by hand (Fig. 9). In the process, the membrane was pushed in the cranial direction once again. After two months, the surgical site healed without irritation. Six months later, the x-ray check showed a significant increase in opacity as an indication of ossification (Fig. 10). The prosthetic restoration was carried out with a metal-ceramic crown.








Discussion
Internal sinus floor augmentations are traditionally performed with manual instruments employing a hammering motion in combination with rotary implant bed preparation. In the author’s experience, modern piezosurgical systems make this procedure considerably less traumatic; the cavitation effect permits practically pressure-free use. The instruments are used for preparation of the implant bed on the one hand and for minimally invasive opening of the maxillary sinus floor and hydrodynamic elevation of the Schneiderian membrane on the other [8].
In the author’s practice, the membrane is routinely lifted in two phases. Alternatively, the method specified by the manufacturer is also suitable. In this case, the implant bed is first prepared and only then is the bony sinus floor opened on a small scale with the Z35P instrument. As a result of the very atraumatic method, the patient experienced no postoperative pain and was able to return to work the following day. In the author’s practice, this is true of 90% of patients.
The way of working is decisive
The system makes it possible to save time when carrying out preparation of the implant bed and hydrodynamic augmentation of the sinus floor. Due to very effective operation of the new instruments in conjunction with the Piezomed, a correct way of working is crucial for avoiding the removal of too much bone. This is very easy in the scope of a quality check, as the device automatically recognises the instrument used in each case.
more info
Bibliography
- Zadeh HH, Gulje F, Palmer PJ, Abrahamsson I, Chen S, Mahallati R, et al. Marginal bone level and survival of short and standard-length implants after 3 years: An Open Multi-Center Randomized Controlled Clinical Trial. Clinical oral implants research 2018.
- Lemos CA, Ferro-Alves ML, Okamoto R, Mendonca MR, Pellizzer EP. Short dental implants versus standard dental implants placed in the posterior jaws: A systematic review and meta-analysis. J Dent 2016;47:8-17.
- Starch-Jensen T, Aludden H, Hallman M, Dahlin C, Christensen AE, Mordenfeld A. A systematic review and meta-analysis of long-term studies (five or more years) assessing maxillary sinus floor augmentation. International journal of oral and maxillofacial surgery 2018;47:103-116.
- Stacchi C, Lombardi T, Ottonelli R, Berton F, Perinetti G, Traini T. New bone formation after transcrestal sinus floor elevation was influenced by sinus cavity dimensions: A prospective histologic and histomorphometric study. Clinical oral implants research 2018;29:465-479.
- Farina R, Franceschetti G, Travaglini D, Consolo U, Minenna L, Schincaglia GP, et al. Morbidity following transcrestal and lateral sinus floor elevation: a randomized trial. J Clin Periodontol 2018.
- Rickert D, Vissink A, Slater JJ, Meijer HJ, Raghoebar GM. Comparison between conventional and piezoelectric surgical tools for maxillary sinus floor elevation. A randomized controlled clinical trial. Clinical implant dentistry and related research 2013;15:297-302.
- Al-Dajani M. Recent Trends in Sinus Lift Surgery and Their Clinical Implications. Clinical implant dentistry and related research 2014.
- Kuhl S, Kirmeier R, Platzer S, Bianco N, Jakse N, Payer M. Transcrestal maxillary sinus augmentation: Summers' versus a piezoelectric technique--an experimental cadaver study. Clinical oral implants research 2016;27:126-129.
comments