A chegada da exodontia atraumática
Oitavo de uma série de 11 artigos
*Publicado originalmente na Dental Tribune Latin America
**No momento, os artigos estão disponíveis apenas na versão original em espanhol.
El octavo capítulo del libro “Cirugía piezoeléctrica. Generalidades y aplicaciones clínicas” describe la importancia que ha adquirido la exodoncia atraumática a raíz de la irrupción de la terapia con implantes dentales como alternativa para el reemplazo de dientes perdidos.

La exodoncia es un procedimiento quirúrgico realizado por la mayoría de los odontólogos en la práctica clínica. Sin embargo, frente al surgimiento de los implantes dentales como alternativa de reemplazo de piezas perdidas, se ha hecho más evidente la necesidad del máximo cuidado en el manejo de los tejidos duros y blandos durante la extracción dentaria propiamente dicha.1,2
Luego del retiro de la pieza dañada, se inician muchos cambios dimensionales en las estructuras remanentes, causados por la reabsorción ósea crestal vertical y horizontal. Lo cual se produce de forma paralela al reemplazo progresivo del alveolo vacío por tejido de granulación, conectivo, tejido óseo provisional y nuevo tejido óseo maduro.2,3
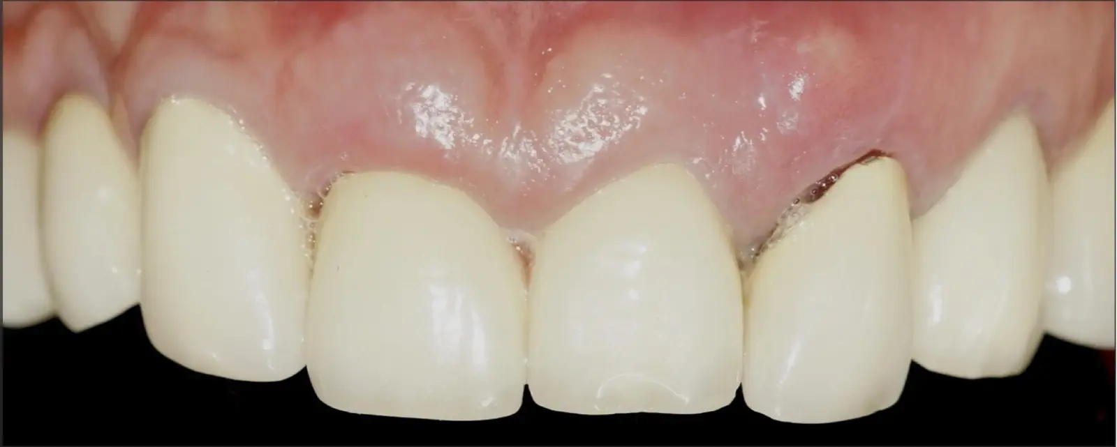
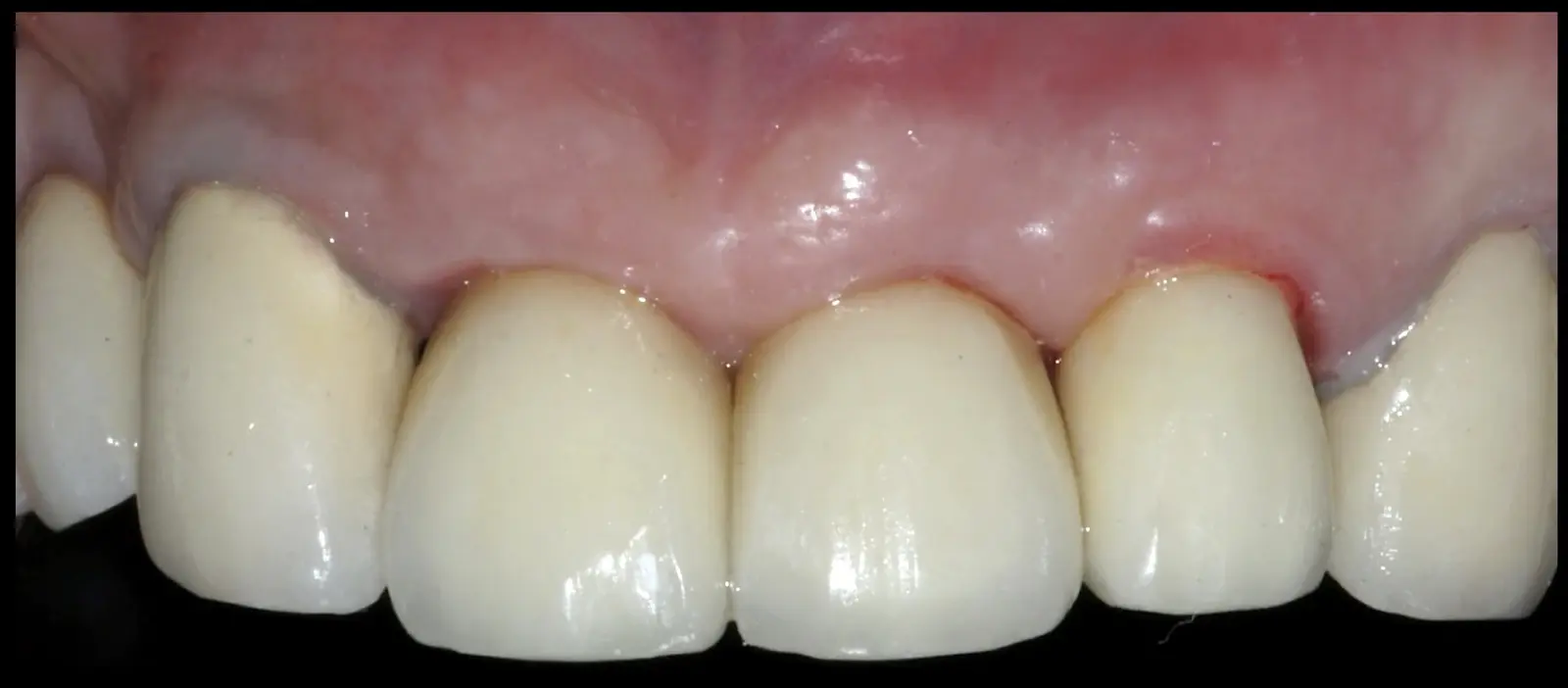
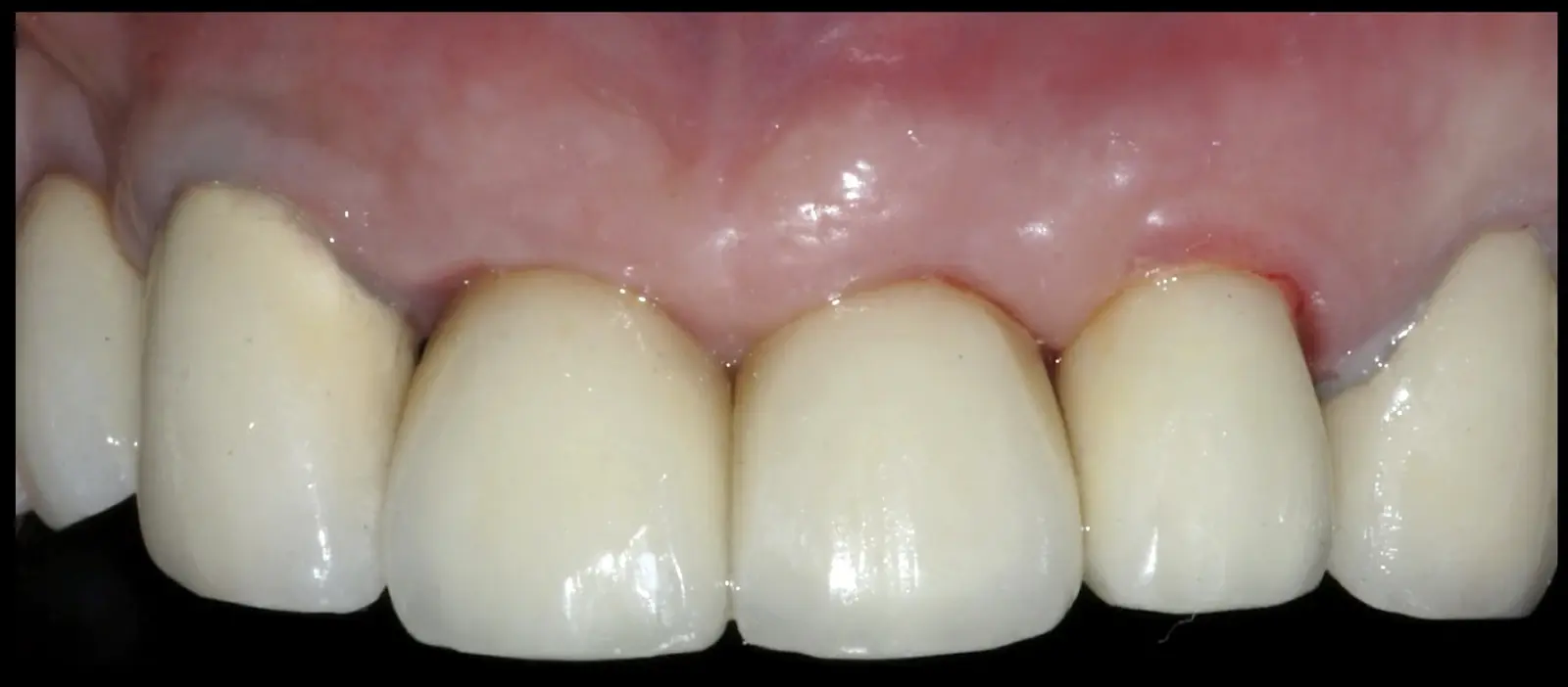
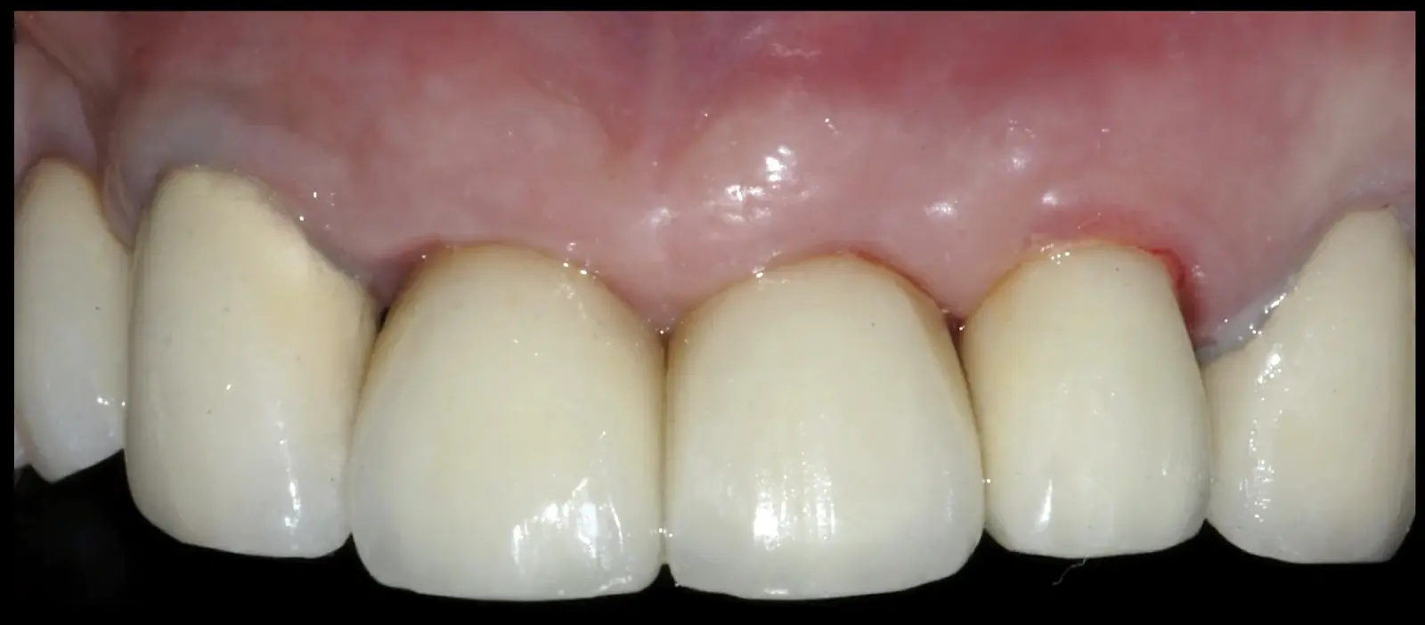
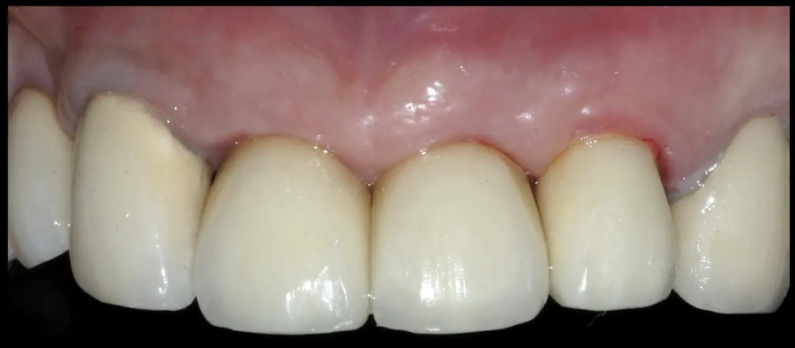
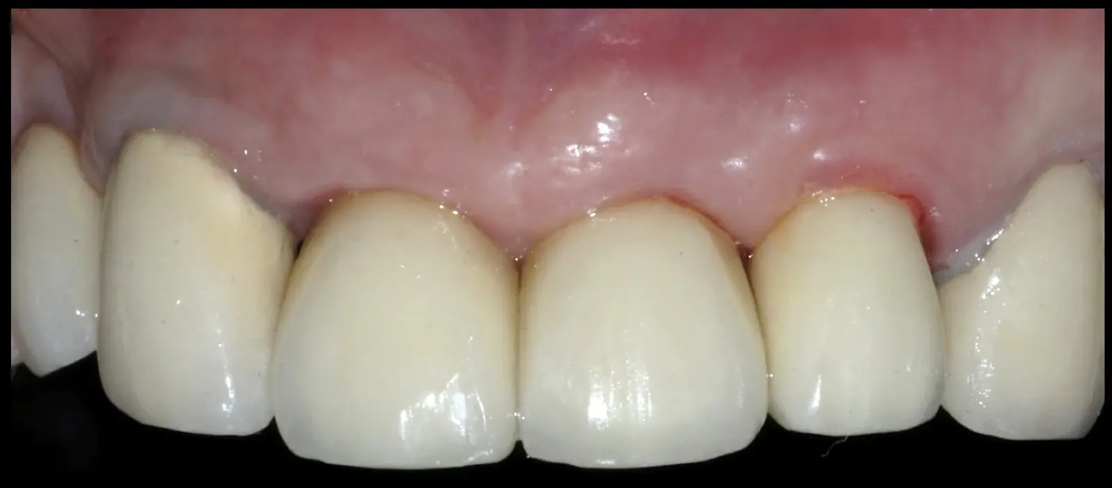
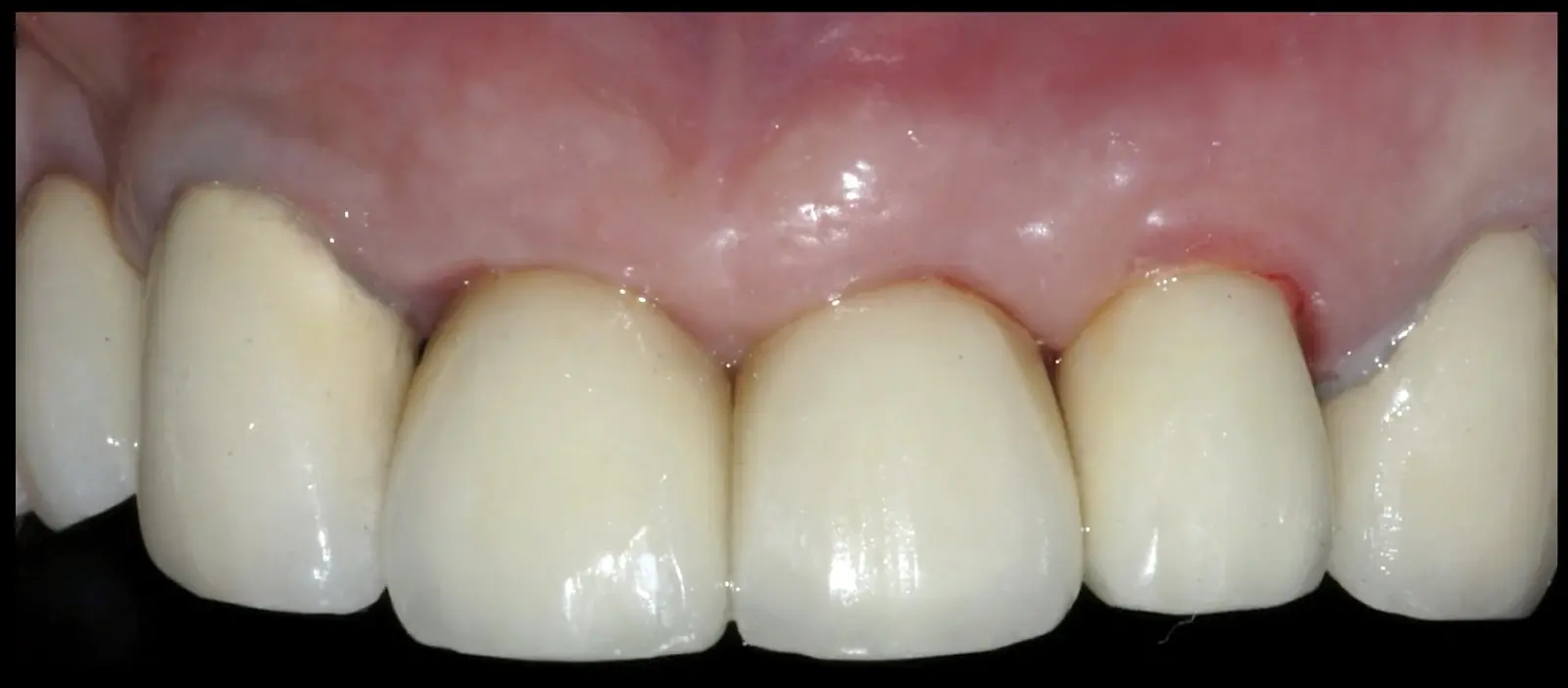
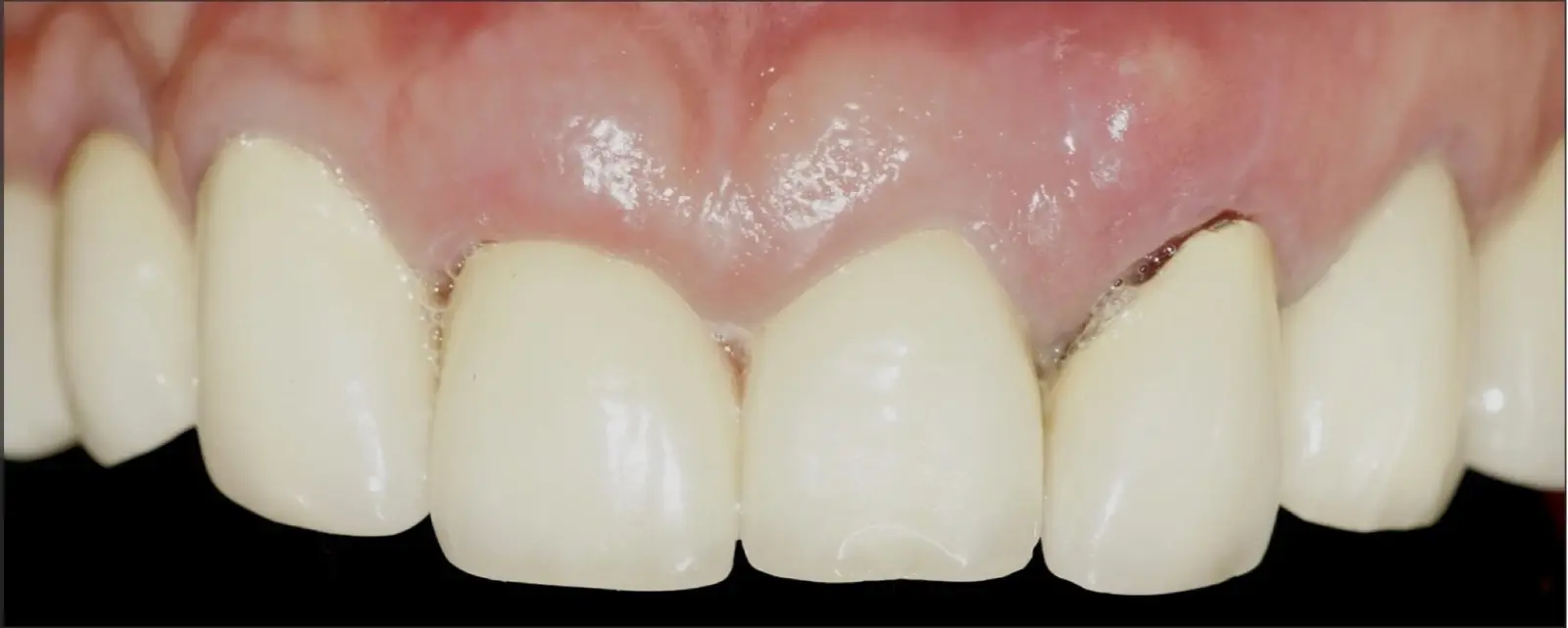
La exodoncia “atraumática” permite mantener los tejidos blandos y duros, mejorar la respuesta del organismo para la neoformación ósea y ofrecer un mejor medio para la colocación de implantes inmediatos o preservación alveolar.
La pérdida ósea horizontal post extractiva se da en un 30% a nivel de la tabla vestibular y en un 10% de la lingual3. Estudios refieren que incluso durante el primer año se puede perder hasta el 50% de la tabla vestibular.4 Estas variaciones representan reducciones que varían entre 2.6mm a 4.5mm de ancho y de 0.4mm a 3.9mm de alto, a nivel crestal de la misma.5 Existen condiciones previas en el grosor de la tabla vestibular que pueden agravar el escenario. Las paredes delgadas con espesores menores a 1mm presentarán pérdidas óseas post extractivas de hasta 1.17mm de altura y 2.67mm de ancho. Por otra parte, paredes gruesas con más de 1mm de espesor muestran pérdidas de 0.5mm de altura y 1.17 mm de ancho.6 Adicionalmente, se reporta una mayor reabsorción crestal en técnicas de exodoncia múltiple comparadas con las de abordaje único.5
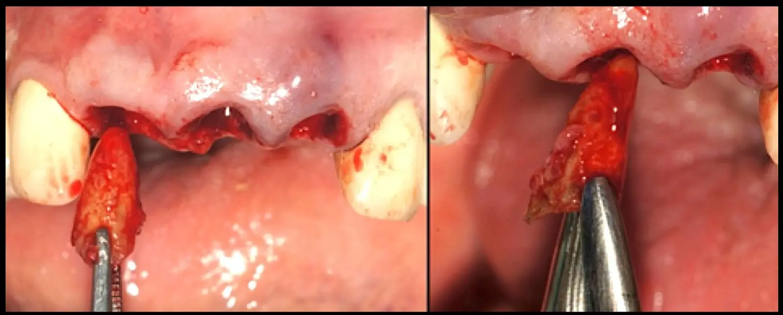
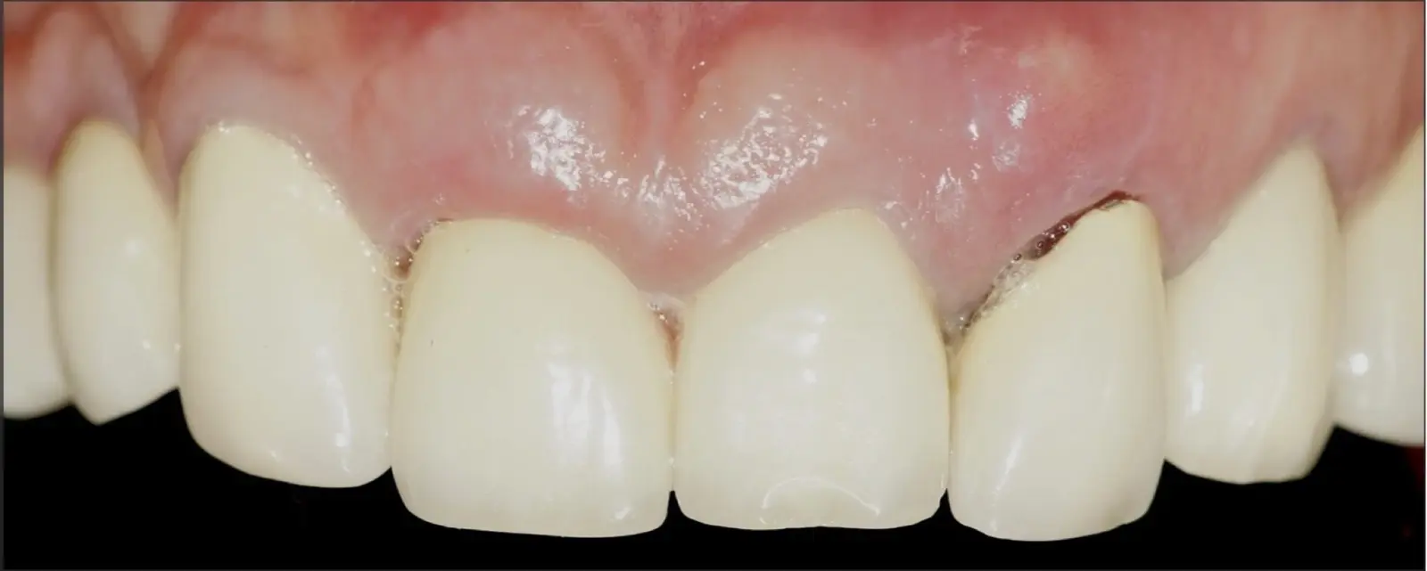
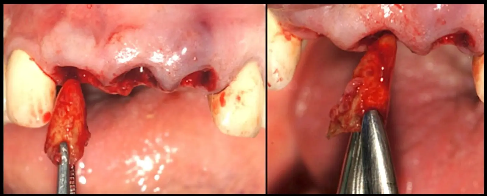
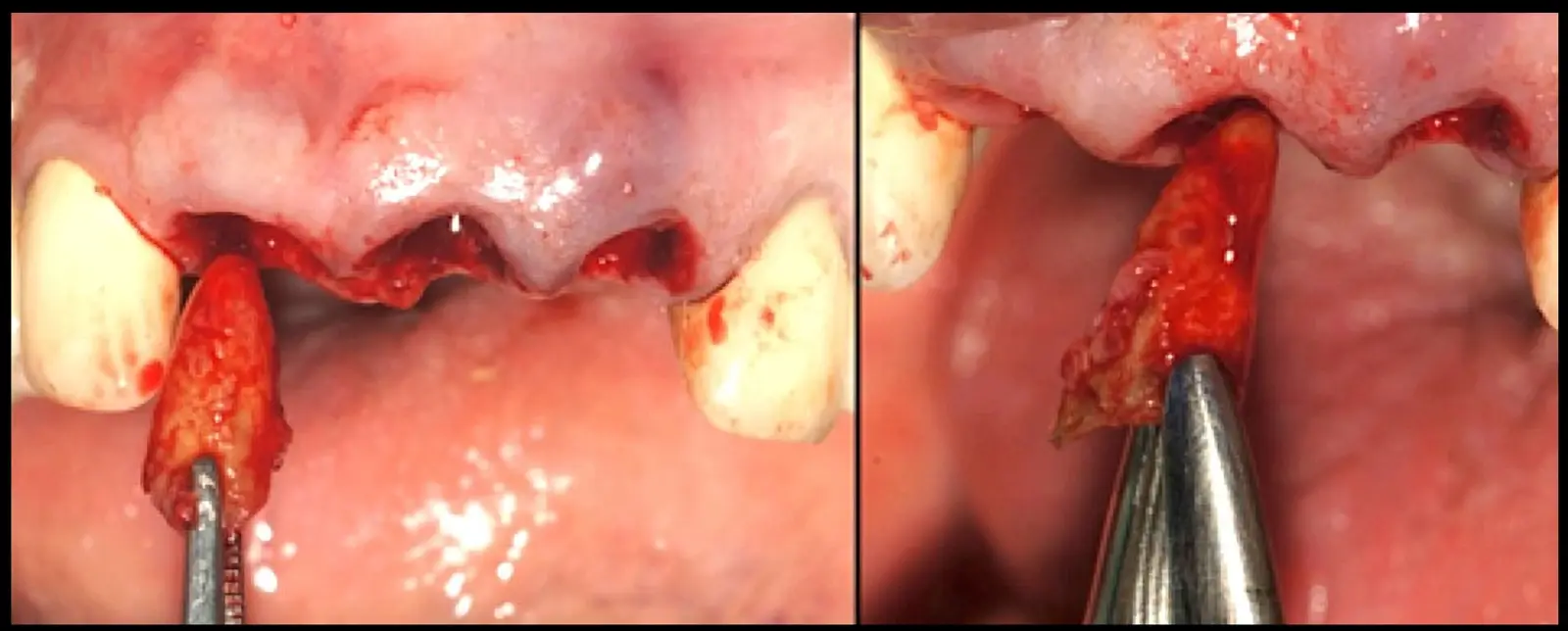
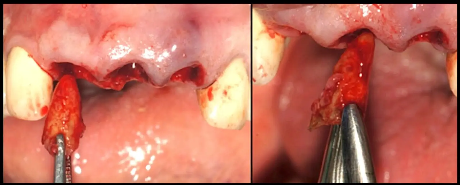
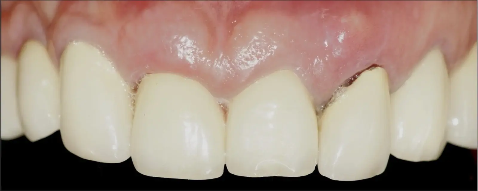
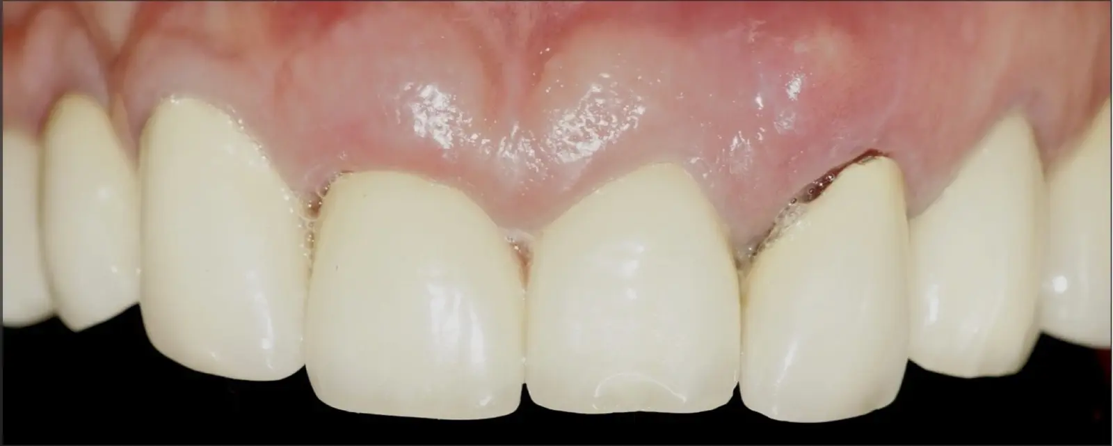
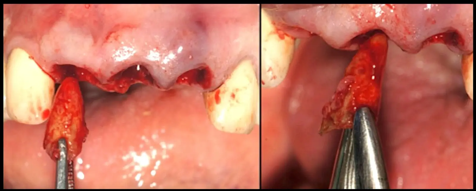
La exodoncia “atraumática” es la remoción extremadamente cuidadosa de la pieza dental, eliminando y/o reduciendo al mínimo el trauma propio de la cirugía. Permite mantener los tejidos blandos y duros, mejorar la respuesta del organismo para la neoformación ósea y llenado del alveolo, reducir el riesgo de infección, preservar el contorno natural del tejido gingival, mejorar el pronóstico estético de la restauración final y ofrecer un mejor medio para la colocación de implantes inmediatos o preservación alveolar.7
La exodoncia atraumática, siempre que se pueda, suele realizarse sin elevación de colgajo, promoviendo un llenado óseo libre de tejidos invaginados y posibles recesiones. Las cirugías sin elevación empezaron a ser efectuadas debido a sus potenciales ventajas biológicas, como la cicatrización acelerada y, sobre todo, la disminución de la reabsorción ósea que se produce cuando, por falta de nutrición de la gingiva, se desprenden los tejidos gingivales del hueso8. Es la elección ideal en biotipos gingivales delgados para evitar complicaciones estéticas.9
Diversos consensos coinciden en que la integridad de la tabla ósea vestibular es el punto clave para un pronóstico estético favorable, sobre todo en el sector anterior.7,10-12
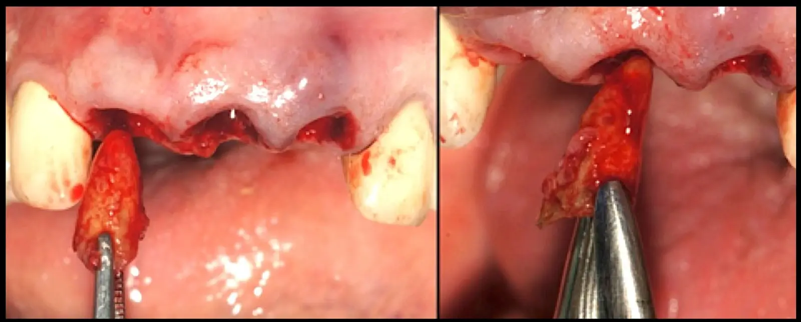
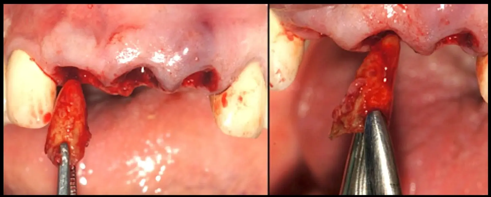
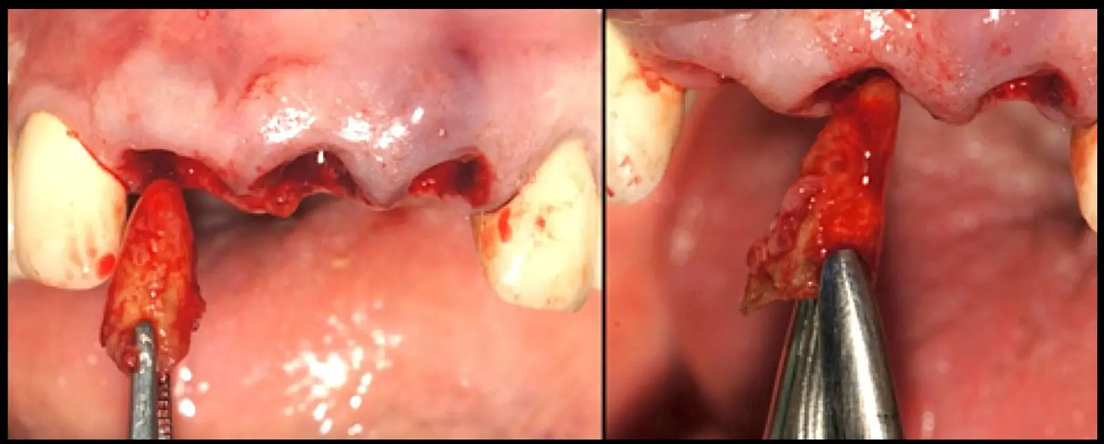
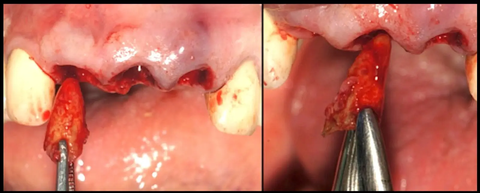
Las técnicas de exodoncia tradicionales retiran el diente utilizando movimientos circulares y una fuerte tracción, arrancando las fibras de Sharpey del “bundle” bone. Esta ruptura vigorosa del ligamento periodontal y de las fibras lesionan de manera no controlada el alveolo, llevando a un colapso mayor de vasos sanguíneos y la consecuente reabsorción en la zona.13 Por otro lado, la técnica atraumática con piezoeléctrico hace que los insertos ingresen a nivel del surco gingival de los dientes y remanentes radiculares, ubicándose entre éstos y las paredes del alveolo hasta en una profundidad de 10 mm. De esta manera, se realiza un corte final sólo de las fibras más apicales, permitiendo una suave tracción dental y la conservación de la zona crestal con menor riesgo de reabsorción.14
Además de las ventajas ampliamente descritas en cuanto al corte limpio y preciso del piezoeléctrico, que mejora la visión del operador sobre todo en proximidad a estructuras (vascular, nervioso) y/o piezas dentales cercanas o con deficiente hueso proximal15 , ayudando a evitar accidentes.16,17 Necesita de menor presión de oposición al instrumento disminuyendo también el calentamiento de la zona.18 La remoción del hueso que rodea al diente es mínimo y multidireccionado, comparado con las técnicas tradicionales que ejercen una presión variable y unidireccional.11
Cuando se desea realizar una exodoncia atraumática se deben recordar los criterios a evaluar con respecto a la longitud, número y morfología compleja de la raíz; asimismo la presencia de remanente coronario y/o antecedentes de endodoncias y anquilosis. En dichas situaciones, es importante resaltar que el piezoeléctrico posee una variedad de formas de sus insertos que se adaptan la morfología y disposición radicular.14
Aplicaciones clínicas




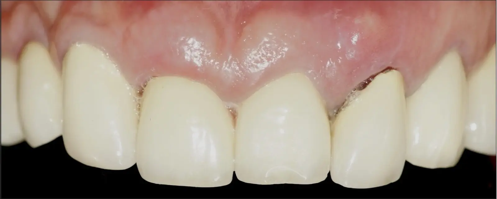
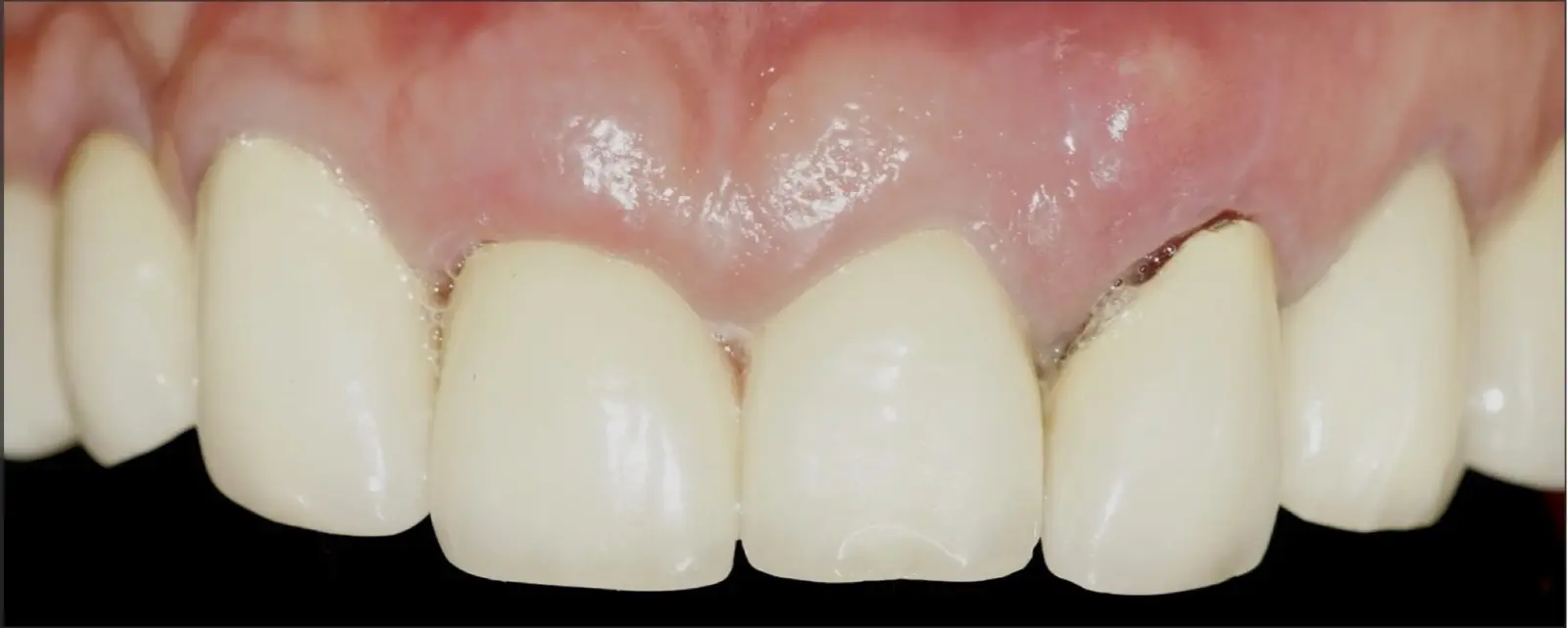
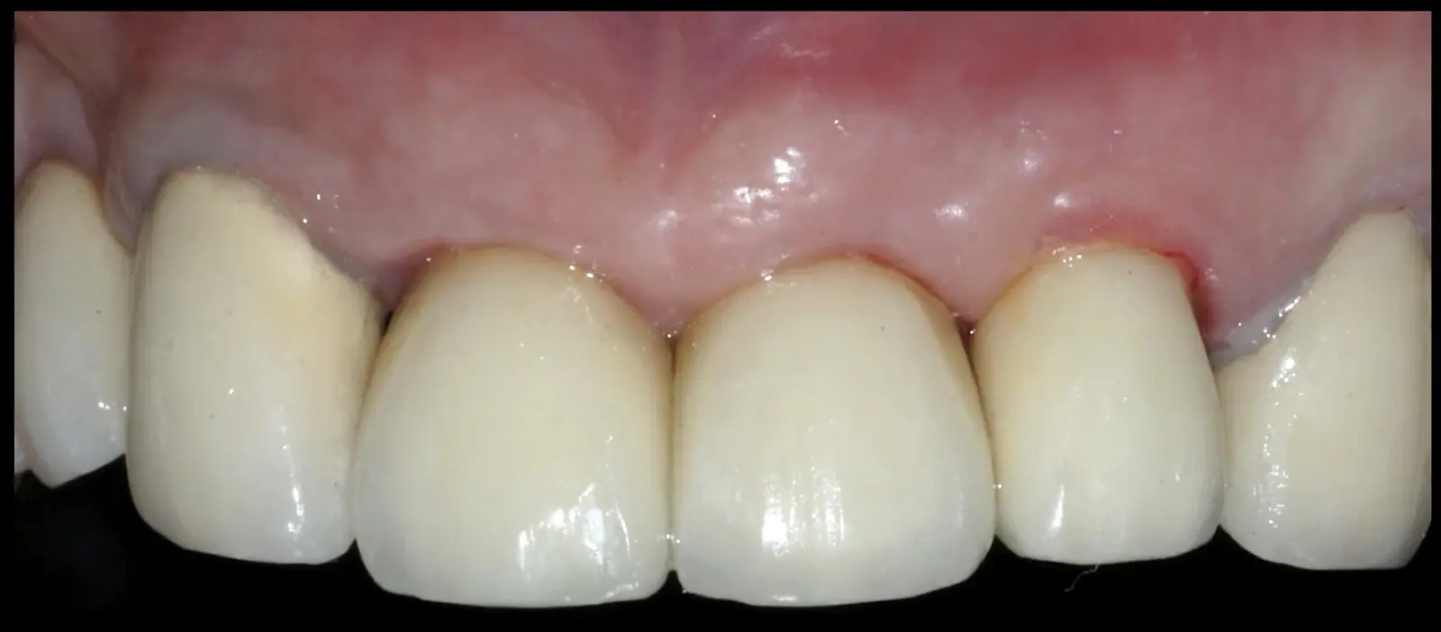
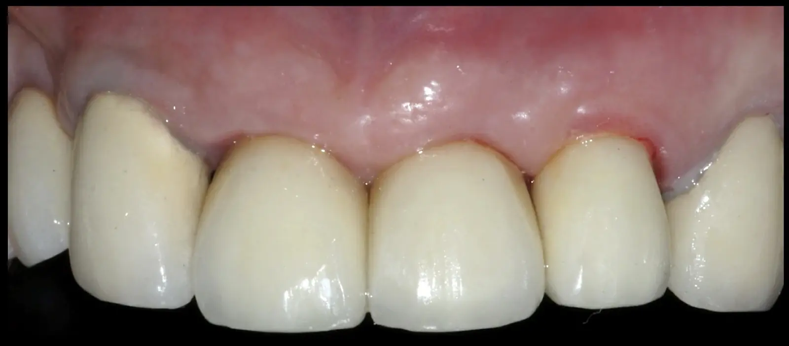
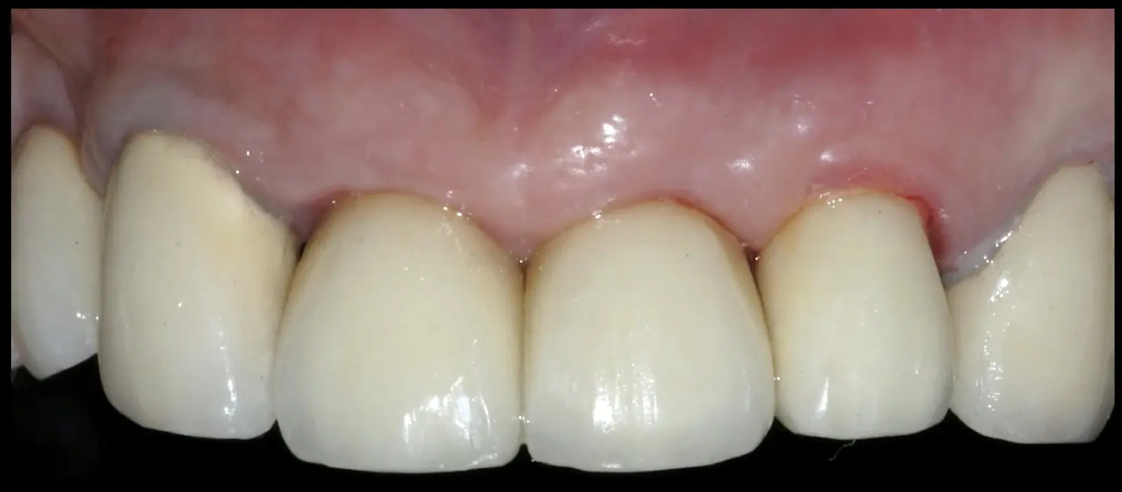
Una vez realizada la exodoncia atraumática, dependiendo del diagnóstico y plan de tratamiento programado se procederá a realizar la preservación del contorno alveolar o implante inmediato con regeneración simultánea, según el caso.
comentários