Informes & Estudios

La llegada de la exodoncia atraumática

*Publicado originalmente en Dental Tribune Latin America

El octavo capítulo del libro “Cirugía piezoeléctrica. Generalidades y aplicaciones clínicas” describe la importancia que ha adquirido la exodoncia atraumática a raíz de la irrupción de la terapia con implantes dentales como alternativa para el reemplazo de dientes perdidos.

Los autores del libro explican los pasos clínicos que se deben seguir para la exodoncia atraumática mediante cirugía piezoeléctrica, técnica que simplifica su ejecución y obtiene mejores resultados que la técnica convencional.

Octavo de una serie de 11 artículos

La exodoncia es un procedimiento quirúrgico realizado por la mayoría de los odontólogos en la práctica clínica. Sin embargo, frente al surgimiento de los implantes dentales como alternativa de reemplazo de piezas perdidas, se ha hecho más evidente la necesidad del máximo cuidado en el manejo de los tejidos duros y blandos durante la extracción dentaria propiamente dicha.1,2

Luego del retiro de la pieza dañada, se inician muchos cambios dimensionales en las estructuras remanentes, causados por la reabsorción ósea crestal vertical y horizontal. Lo cual se produce de forma paralela al reemplazo progresivo del alveolo vacío por tejido de granulación, conectivo, tejido óseo provisional y nuevo tejido óseo maduro.2,3

La exodoncia “atraumática” permite mantener los tejidos blandos y duros, mejorar la respuesta del organismo para la neoformación ósea y ofrecer un mejor medio para la colocación de implantes inmediatos o preservación alveolar.

La pérdida ósea horizontal post extractiva se da en un 30% a nivel de la tabla vestibular y en un 10% de la lingual3. Estudios refieren que incluso durante el primer año se puede perder hasta el 50% de la tabla vestibular.4 Estas variaciones representan reducciones que varían entre 2.6mm a 4.5mm de ancho y de 0.4mm a 3.9mm de alto, a nivel crestal de la misma.5 Existen condiciones previas en el grosor de la tabla vestibular que pueden agravar el escenario. Las paredes delgadas con espesores menores a 1mm presentarán pérdidas óseas post extractivas de hasta 1.17mm de altura y 2.67mm de ancho. Por otra parte, paredes gruesas con más de 1mm de espesor muestran pérdidas de 0.5mm de altura y 1.17 mm de ancho.6 Adicionalmente, se reporta una mayor reabsorción crestal en técnicas de exodoncia múltiple comparadas con las de abordaje único.5

La exodoncia “atraumática” es la remoción extremadamente cuidadosa de la pieza dental, eliminando y/o reduciendo al mínimo el trauma propio de la cirugía. Permite mantener los tejidos blandos y duros, mejorar la respuesta del organismo para la neoformación ósea y llenado del alveolo, reducir el riesgo de infección, preservar el contorno natural del tejido gingival, mejorar el pronóstico estético de la restauración final y ofrecer un mejor medio para la colocación de implantes inmediatos o preservación alveolar.7

La exodoncia atraumática, siempre que se pueda, suele realizarse sin elevación de colgajo, promoviendo un llenado óseo libre de tejidos invaginados y posibles recesiones. Las cirugías sin elevación empezaron a ser efectuadas debido a sus potenciales ventajas biológicas, como la cicatrización acelerada y, sobre todo, la disminución de la reabsorción ósea que se produce cuando, por falta de nutrición de la gingiva, se desprenden los tejidos gingivales del hueso8. Es la elección ideal en biotipos gingivales delgados para evitar complicaciones estéticas.9

Diversos consensos coinciden en que la integridad de la tabla ósea vestibular es el punto clave para un pronóstico estético favorable, sobre todo en el sector anterior.7,10-12

Las técnicas de exodoncia tradicionales retiran el diente utilizando movimientos circulares y una fuerte tracción, arrancando las fibras de Sharpey del “bundle” bone. Esta ruptura vigorosa del ligamento periodontal y de las fibras lesionan de manera no controlada el alveolo, llevando a un colapso mayor de vasos sanguíneos y la consecuente reabsorción en la zona.13 Por otro lado, la técnica atraumática con piezoeléctrico hace que los insertos ingresen a nivel del surco gingival de los dientes y remanentes radiculares, ubicándose entre éstos y las paredes del alveolo hasta en una profundidad de 10 mm. De esta manera, se realiza un corte final sólo de las fibras más apicales, permitiendo una suave tracción dental y la conservación de la zona crestal con menor riesgo de reabsorción.14

Además de las ventajas ampliamente descritas en cuanto al corte limpio y preciso del piezoeléctrico, que mejora la visión del operador sobre todo en proximidad a estructuras (vascular, nervioso) y/o piezas dentales cercanas o con deficiente hueso proximal15 , ayudando a evitar accidentes.16,17 Necesita de menor presión de oposición al instrumento disminuyendo también el calentamiento de la zona.18 La remoción del hueso que rodea al diente es mínimo y multidireccionado, comparado con las técnicas tradicionales que ejercen una presión variable y unidireccional.11

Cuando se desea realizar una exodoncia atraumática se deben recordar los criterios a evaluar con respecto a la longitud, número y morfología compleja de la raíz; asimismo la presencia de remanente coronario y/o antecedentes de endodoncias y anquilosis. En dichas situaciones, es importante resaltar que el piezoeléctrico posee una variedad de formas de sus insertos que se adaptan la morfología y disposición radicular.14


Aplicaciones clínicas

Figura 1. Remanente monoradicular con amplia destrucción coronaria, con fractura en posición subcrestal.
Figura 2. Incisión intrasulcular alrededor de toda la pieza dentaria.
Figura 3. Diseño de odontosección mesio-distal con inserto de corte o fresa de tallo largo: vista sagital y oclusal.
Figura 4. Inicio de la odontosección con instrumento rotatorio.
Figura 5. Finalización de la odontosección utilizando inserto del piezoeléctrico.
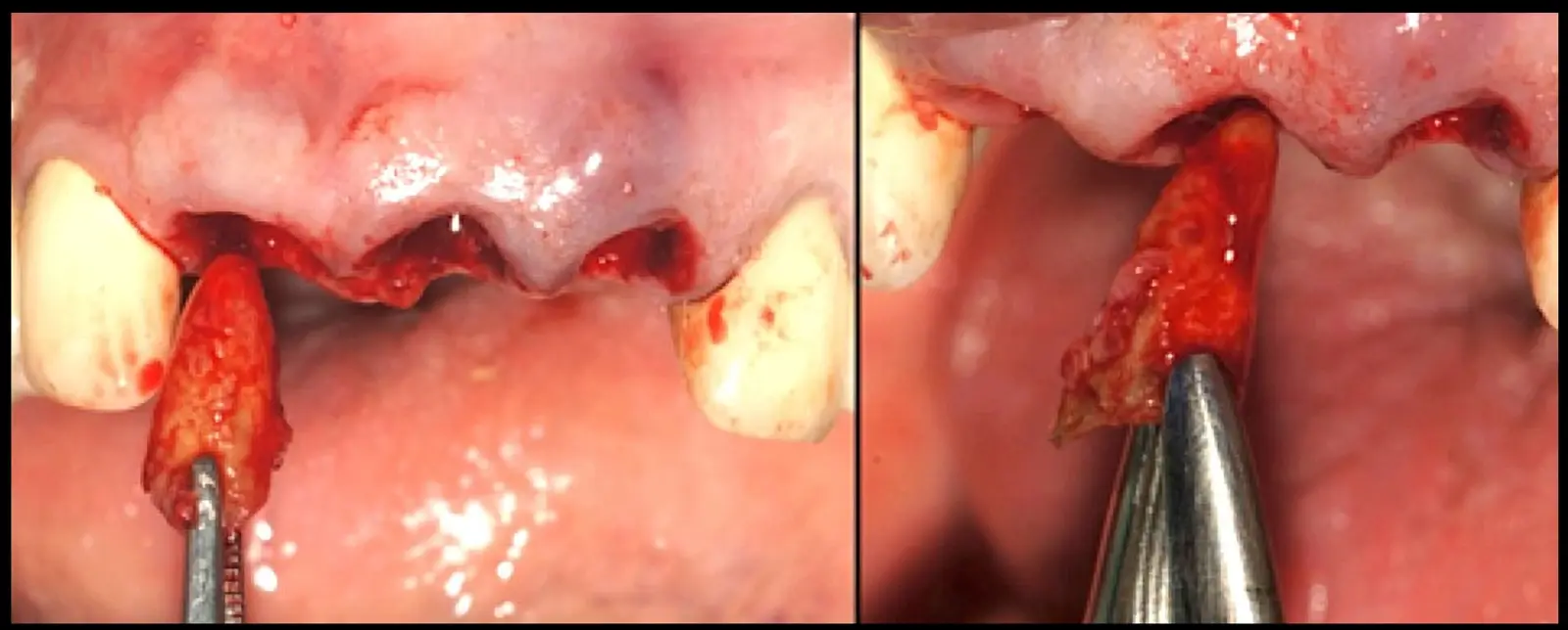
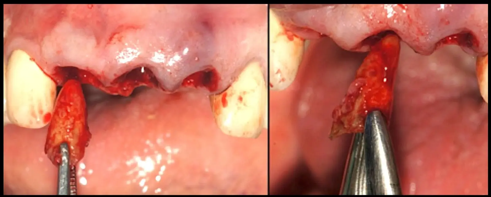
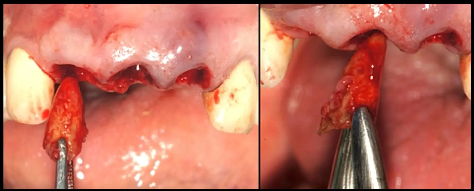
Figura 6. Fractura del remanente radicular en dos segmentos: vestibular y palatino.
Figura 7. Debridación del fragmento palatino con el periótomo de piezoeléctrico. Se elige este fragmento debido al mayor grosor que suele presentar la tabla palatina.
Figura 8. Desplazamiento del fragmento palatino.
Figura 9. Avulsión del fragmento palatino.
Figura 10. Debridación del fragmento radicular vestibular. Si tomográficamente se ve que es muy delgada, es mejor no usar periótomos ni instrumentos de corte directamente por la parte vestibular, se debe ingresar por los bordes internos de la raíz próximos a la fractura.
Figura 11. Desplazamiento del fragmento vestibular al espacio palatino del alveolo.

Una vez realizada la exodoncia atraumática, dependiendo del diagnóstico y plan de tratamiento programado se procederá a realizar la preservación del contorno alveolar o implante inmediato con regeneración simultánea, según el caso.

Figura 12. Finalización de la exodoncia atraumática con preservación de las tablas óseas y cresta alveolar.

Caso clínico

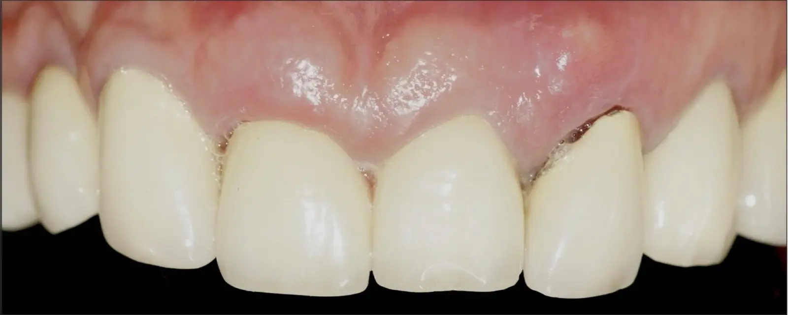
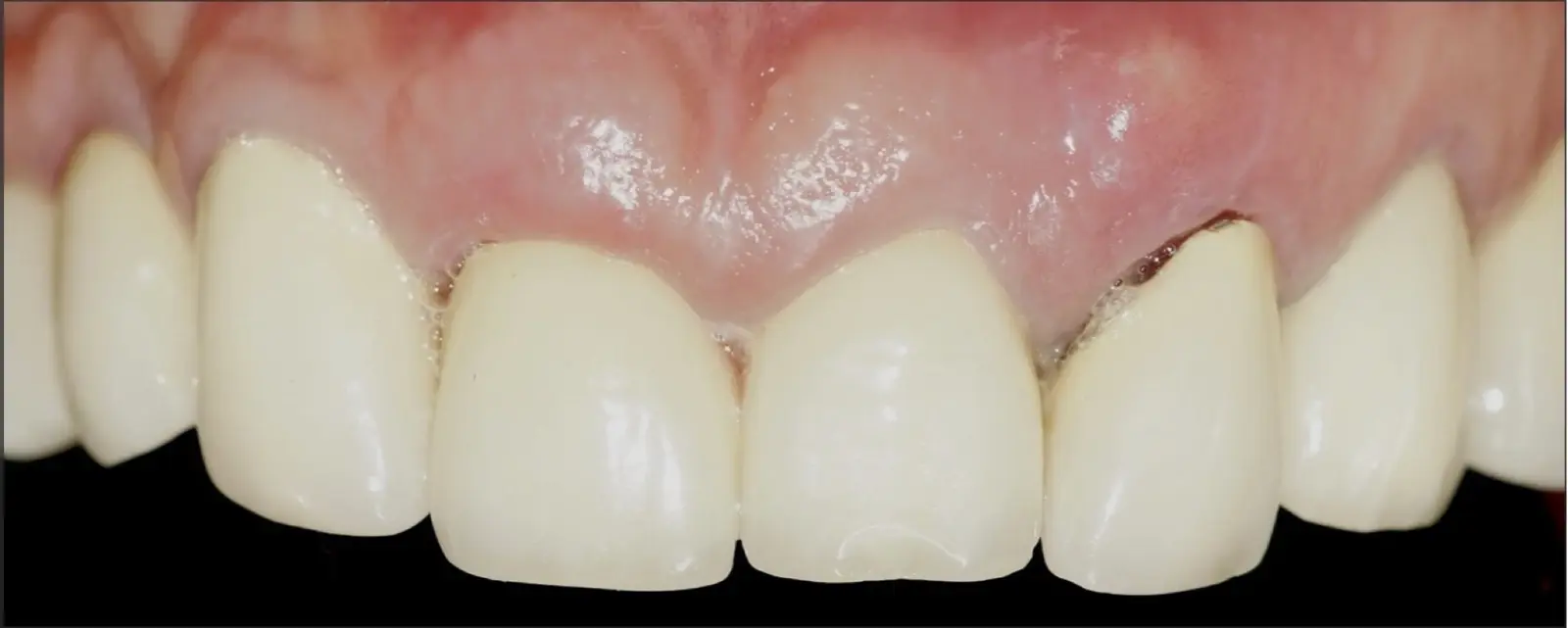
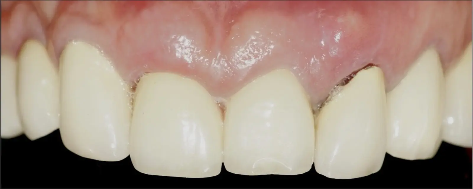
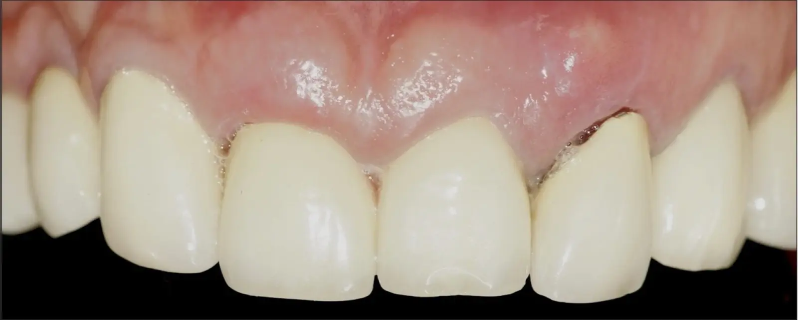
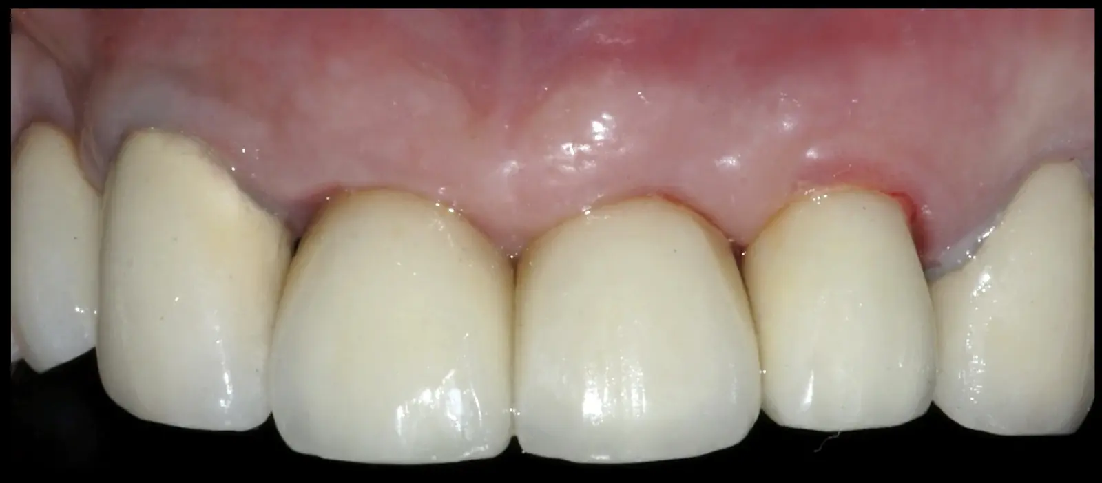
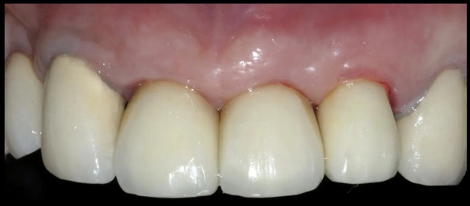
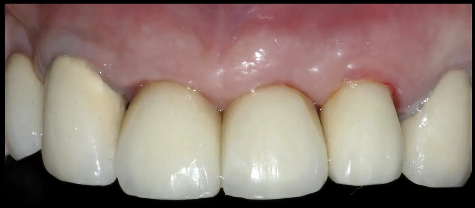
Paciente de 68 años de sexo masculino, acude a la consulta presentando movilidad en las piezas 1.1, 2.1 y 2.2, posterior a una contusión en la zona. En la evaluación clínica se observan fracturas radiculares y rehabilitación sobre implantes en dientes vecinos. Tomográficamente se confirman las características clínicas de los incisivos y se indican extracciones atraumáticas. En base a las dimensiones de las estructuras óseas apicales y palatinas remanentes, que permiten un predecible anclaje primario, se opta por colocar implantes dentales post extractivos, acompañados de una regeneración ósea simultánea.

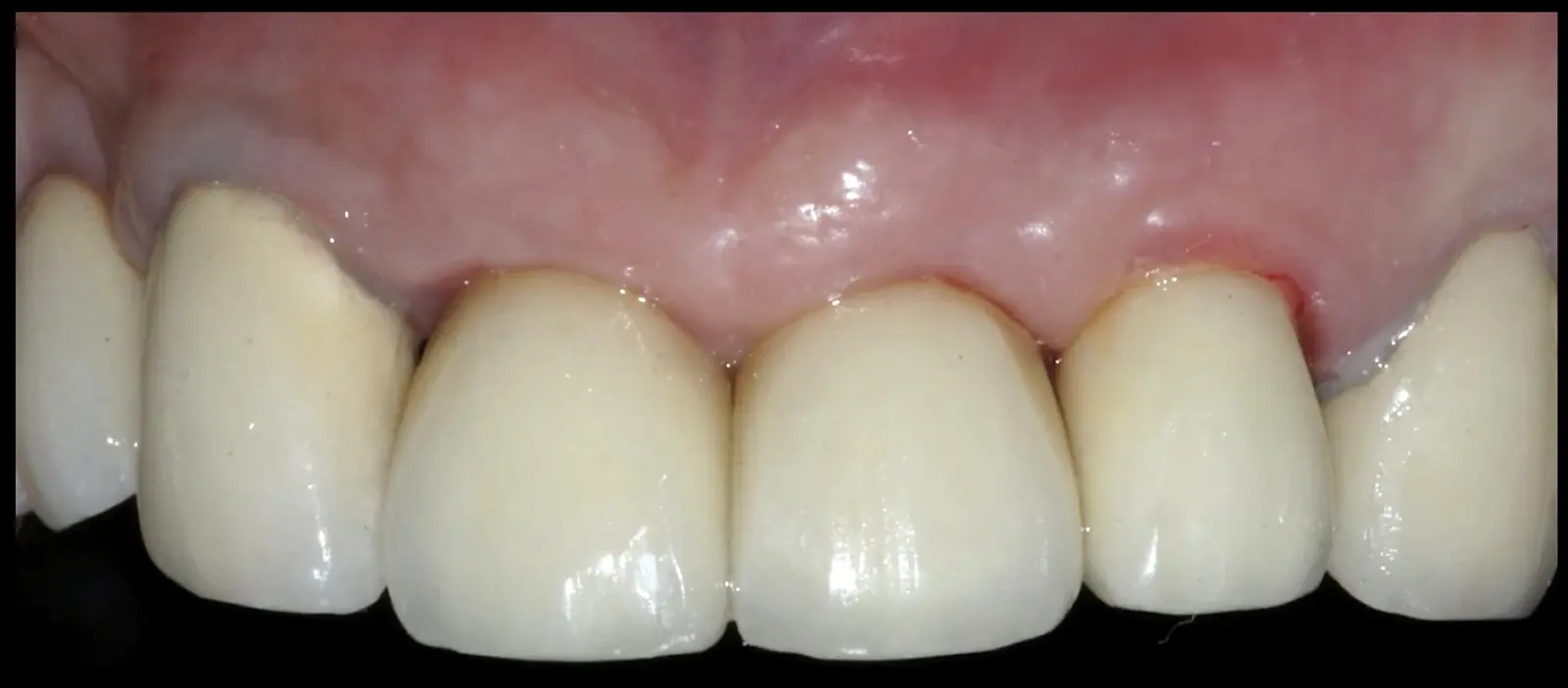
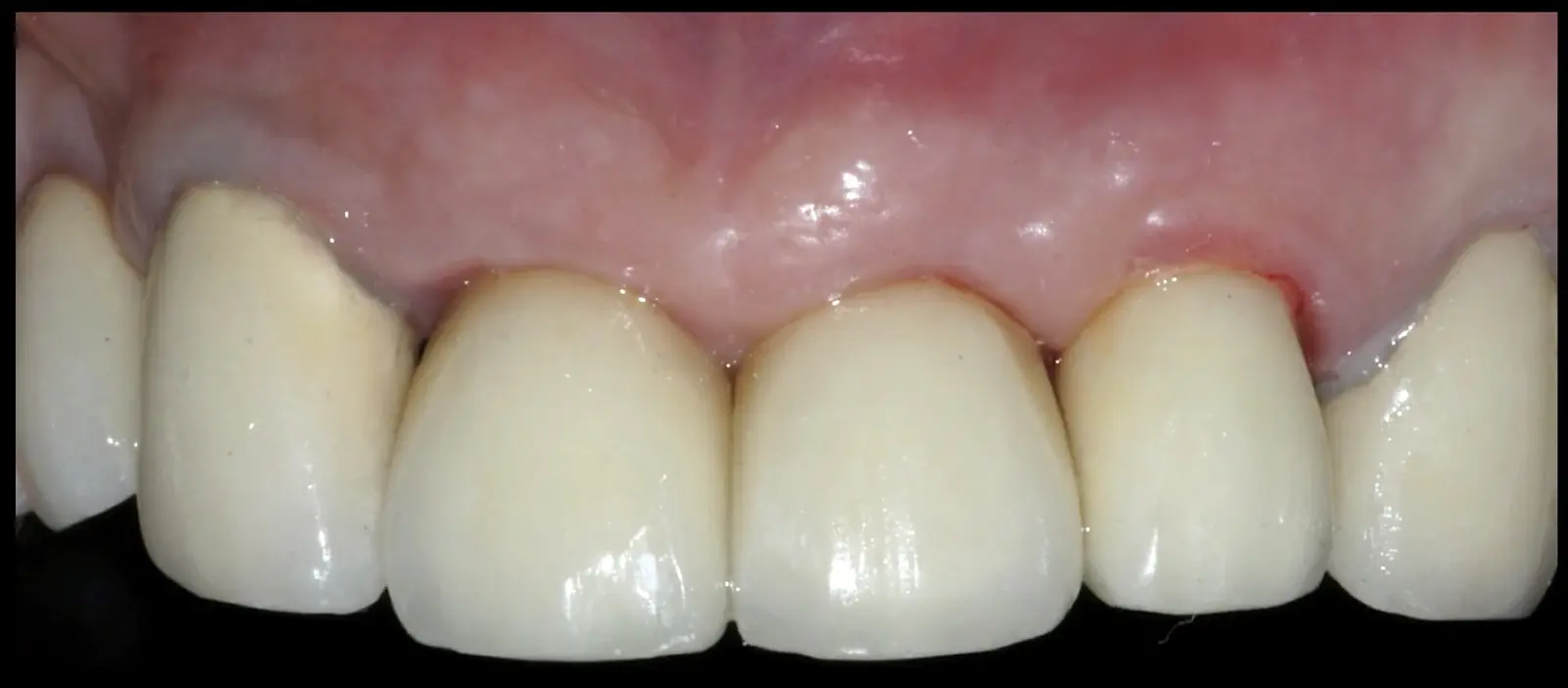
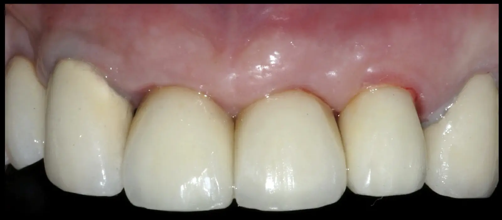
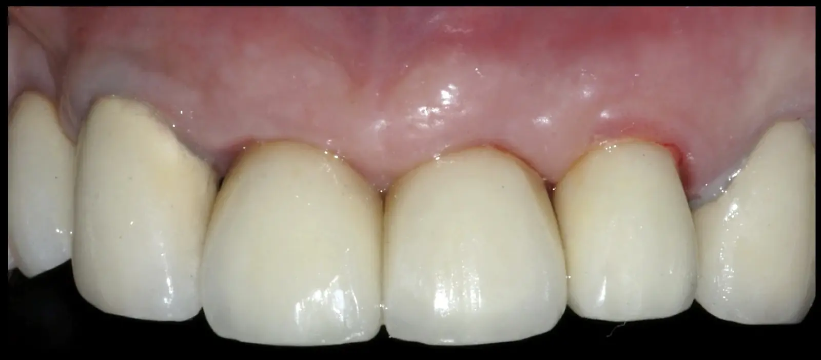
Figura 13. Vista frontal de las piezas dentarias 1.1, 2.1, 2.2 con diagnóstico de fractura radicular. Desarmonía de los contornos gingivales, plano incisal alterado, cantidad favorable de encía queratinizada y aparente biotipo grueso.
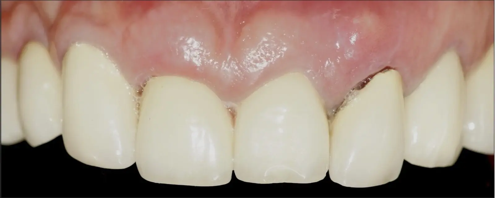
Figura 14. Vista oclusal: Contorno gingival conservado.
Figura 15. Cortes tomográficos sagitales de las piezas 1.1, 2.1, 2.2. con tablas óseas vestibulares bastante finas menores a 0.2 mm de espesor (a, b, c).
Figura 16. Hemisección radicular inicial en sentido mesiodistal de aproximadamente 10 mm de profundidad en las piezas 1.1, 2.1, 2.2 utilizando el inserto plano de punta aserrada, teniendo cuidado de no dañar las crestas óseas proximales (a, b, c).
Figura 17. Vista oclusal de los cortes mesiodistales de los remanentes radiculares.
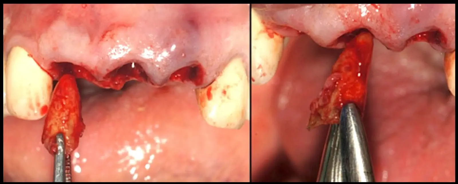
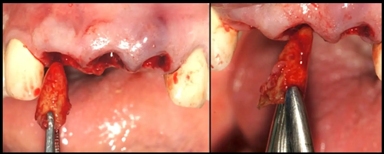
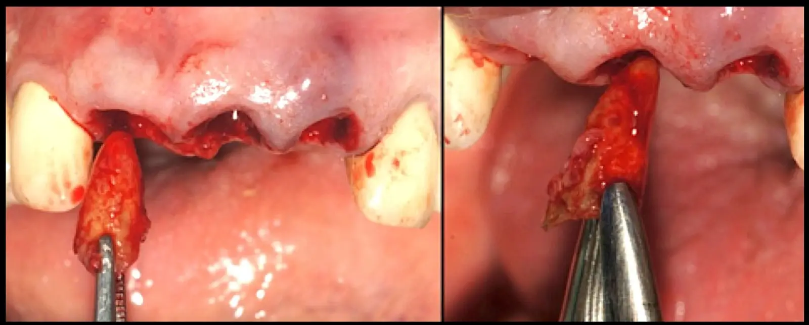
Figura 18. Sindesmotomía utilizando el periótomo del piezoeléctrico (a), posicionándolo en el espacio del ligamento periodontal a nivel de los fragmentos palatinos (b).
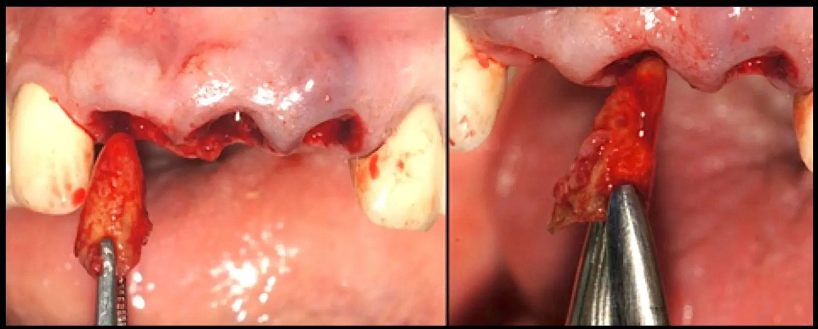
Figura 19. Extracción de los fragmentos palatinos de las piezas 1.1, 2.1, 2.2, debido al mayor espesor de la tabla ósea palatina (a, b, c).
Figura 20. Extracción de los fragmentos vestibulares desplazando los remanentes hacia los espacios generados por la extracción de los fragmentos palatinos (a, b).
Figura 21. Alveolos de las piezas 1.1, 2.1, 2.2 post extracción con ausencia de tablas óseas vestibulares.
Figura 22. Después de la preparación de los lechos implantares se colocan los pines de paralelismo para obliterar los orificios de la preparación, y así colocar el relleno óseo. Luego, se colocan las membranas reabsorvibles dentro del alveolo con la técnica de cono (a, b).
Figura 23. Colocación de biomaterial óseo bovino en del espacio generado entre el pin de paralelismo y la membrana. Se debe considerar que, a mayor espacio remanente, mayor será el grosor de la nueva tabla ósea vestibular.
Figura 24. Vista oclusal de los alveolos rellenados con el biomaterial compactado.
Figura 25. Retiro de los pines y colocación de los implantes con nanotecnología de 3.5 mm de diámetro x 11.5 mm de longitud (Unitite, S.I.N., Brasil), posicionados infracrestalmente, y con una separación de 3 mm entre sus plataformas para mantener la integridad de las crestas óseas y de las papilas.
Figura 26. Vista oclusal de los implante colocados y compactación del biomaterial óseo alrededor de los implantes.
Figura 27. Cierre por primera intención mediante colgajo pediculado rotado de palatino hacia vestibular y sutura con hilo de ácido poliglicólico 4/0, y cierre por segunda intención de la zona denudada, manteniendo dentro de lo posible la integridad de las papilas gingivales.
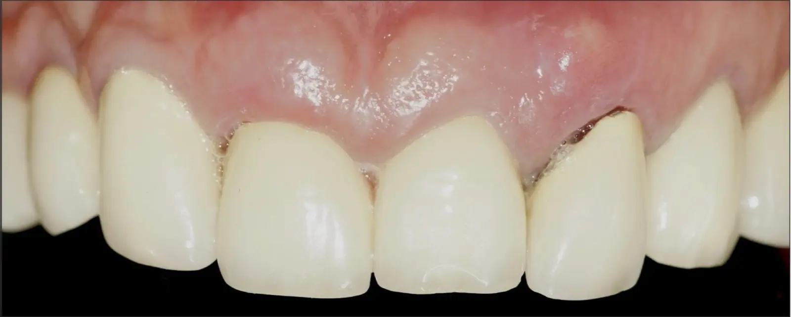
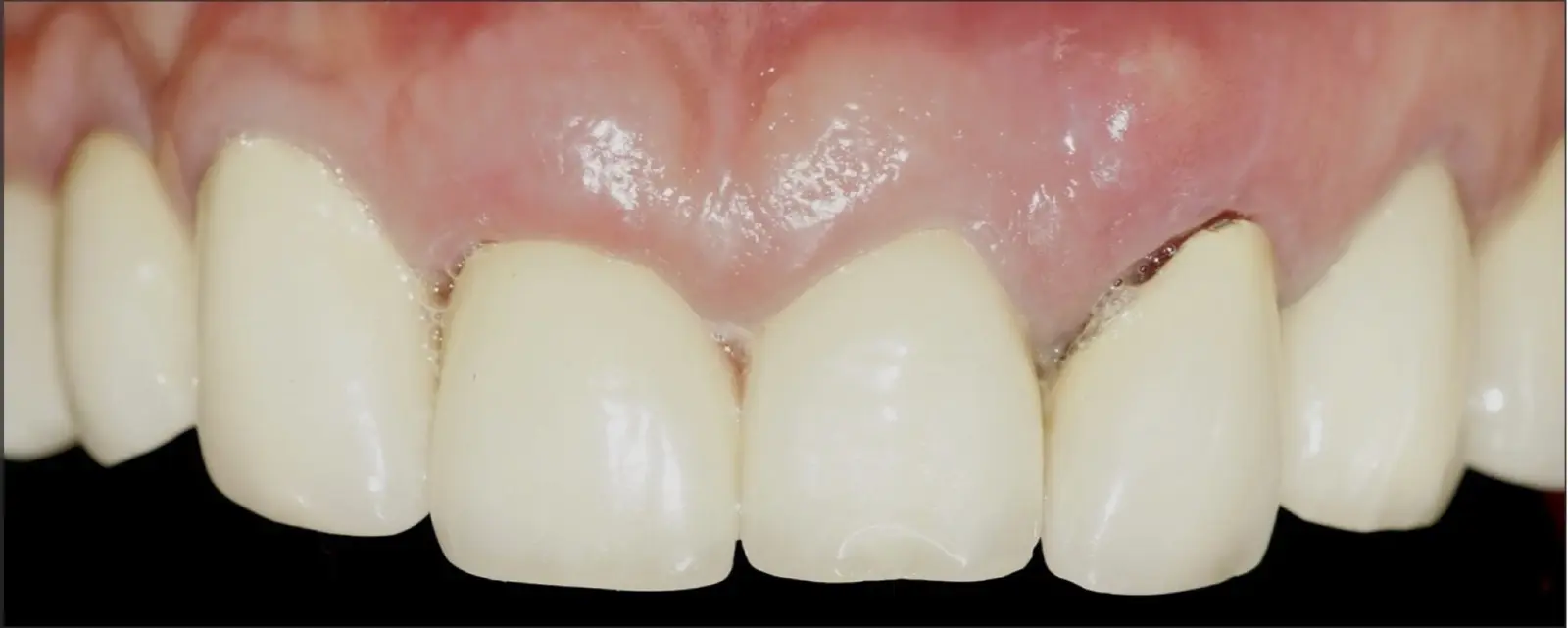
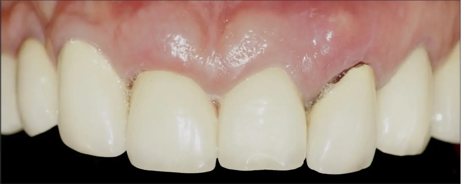
Figura 28. Vista frontal postquirúrgica con una prótesis provisional removible (a). Control al séptimo día, en el que se observa cicatrización favorable gracias a las provisionales de pónticos ováticos, preservación de los contornos de las papilas con cicatrización favorable (b)
Figura 29. Pilares universales colocados al 4to mes del periodo de osteointegración (a). También se aprecia la conservación de las alturas papilares. Vista oclusal donde se observa la salud del tejido periimplantario, con la creación de perfiles de emergencia adecuados y preservación del contorno del reborde alveolar (b).
Figura 30. Control de la estabilidad de los implantes con análisis de frecuencia de resonancia. Los valores del ISQ se encuentran entre 55 y 57, lo cual indica que debemos de esperar a una mayor mineralización de la matriz ósea periimplantar (a, b).
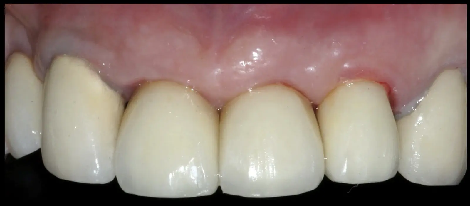
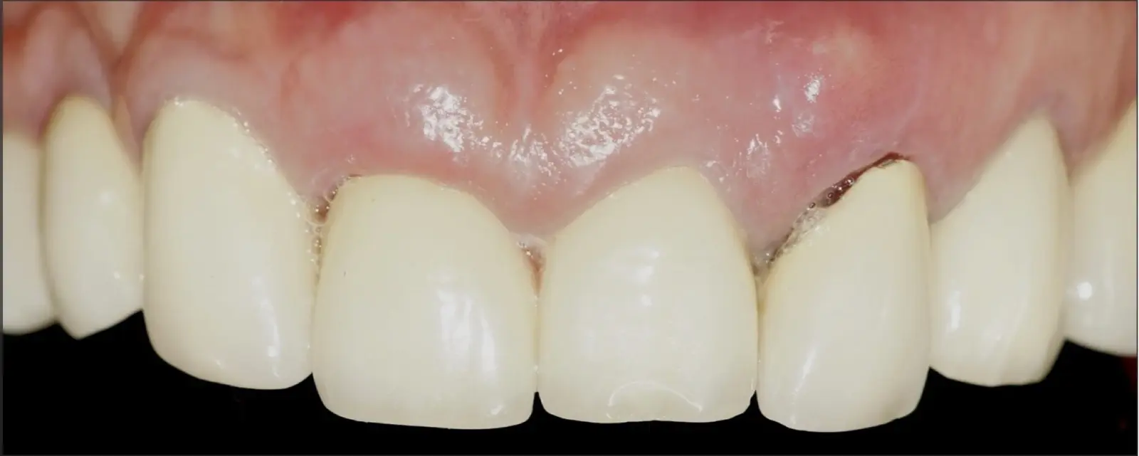
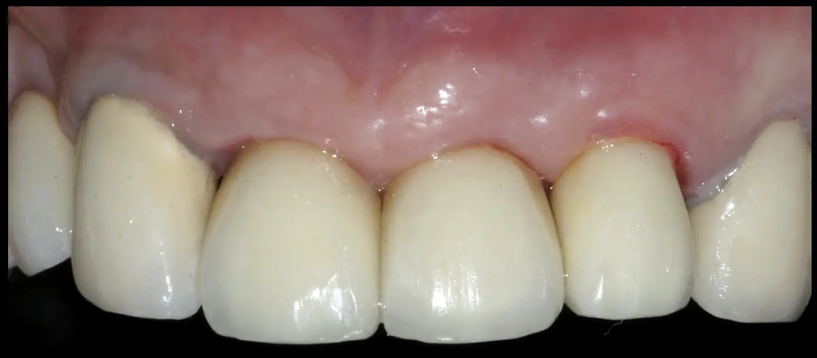
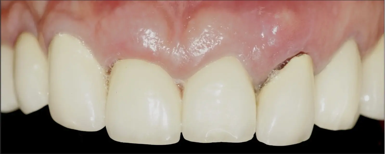
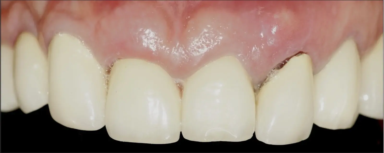
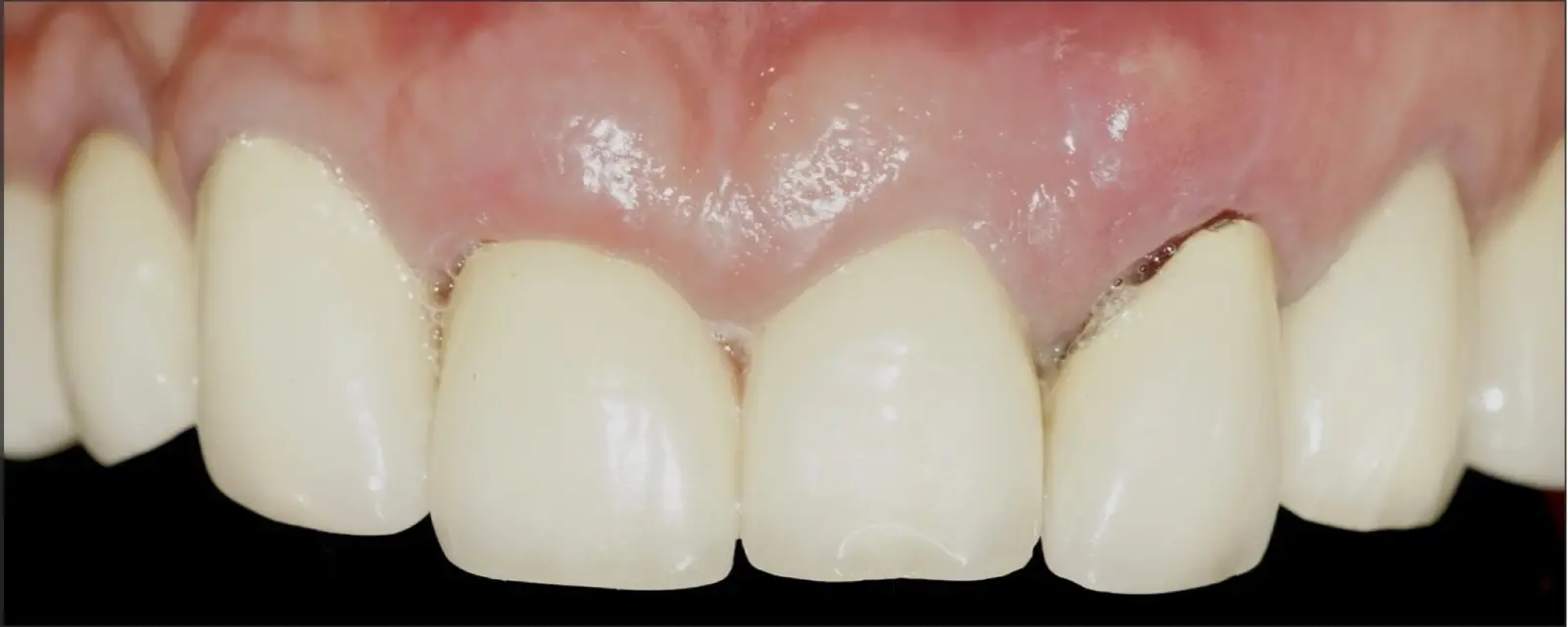
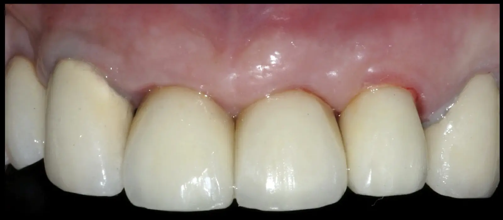
Figura 31. Caso finalizado y rehabilitado preservando el contorno del reborde alveolar, el contorno gingival y la altura de las papilas.
Figura 32. Control a los 4 meses post quirúrgicos (a), donde se evidencia la formación de una nueva tabla ósea vestibular crestal (b), mayor a 2 mm en todos los implantes colocados (c).

Conclusión

La exodoncia atraumática con piezoeléctrico tiene ventajas biológicas, como una cicatrización acelerada y la disminución de la reabsorción ósea. Este protocolo sin elevación de colgajo ha adquirido gran importancia a raíz de la irrupción de la terapia con implantes dentales.

Serie Especial: Piezocirugía
Haga clic aquí para ver el resumen de los 11 artículos.

La serie de artículos sobre Piezocirugía está basada en el libro de José Carlos Rosas y colaboradores sobre esta tecnología.

El libro, escrito con Jerson Palomino Zorrilla, Karla Díaz Cavero y María Eugenia Guerrero Acevedo, de la Universidad Privada San Juan Bautista, en Lima (Perú), ofrece la evidencia científica más actual para respaldar el valor clínico de diversos procedimientos con piezoeléctrico, cuya utilidad práctica en el consultorio demuestra mediante la publicación de numerosos casos clínicos.


El libro "Cirugía piezoeléctrica. Generalidades y aplicaciones clínicas" explica los fundamentos de esta tecnología y muestra su utilidad práctica en el consultorio mediante casos clínicos.

Referencias

  1. Lui JN, Khin MM, Krishnaswamy G, et al. Prognostic factors relating to the outcome of endodontic microsurgery. J Endod. 2014;40(8):1071-1076.
  2. Kerekes K, Tronstad L. Long-term results of endodontic treatment performed with a standardized technique. J Endod. 1979;5(3):83-90.
  3. Lieblich SE. Endodontic surgery. Dent Clin North Am. 2012;56(1):121-ix.
  4. Walton RE, Ardjmand K. Histological evaluation of the presence of bacteria in induced periapical lesions in monkeys. J Endod.1992;18(5):216-27.
  5. Tronstad L, Barnett F, Cervone F. Periapical bacterial plaque in teeth with refractory to endodontic treatment. Endod Dent Traumatol. 1990;6(2):73-7.
  6. Jepsen K, Schneider E, Dommisch H, et al. Management of a Central Incisor with Horizontal Root Fracture for Esthetic and Functional Rehabilitation. Int J Periodontics Restorative Dent. 2016;36(1):65-73.
  7. Brito-Junior M, Faria-e-Silva AL, Quintino AC, et al. Orthograde retreatment failure with extruded MTA apical plug in a large periradicular lesion followed by surgical intervention: case report. Gen Dent. 2012;60(2):96-100.
  8. Szalma J, Soós B, Krajczár K, et al. Piezosurgical management of sealer extrusion-associated mental nerve anaesthesia: A case report. Aust Endod J. 2019;45(2):274-280.
  9. Kang M, In Jung H, Song M, et al. Outcome of nonsurgical retreatment and endodontic microsurgery: a meta-analysis. Clin Oral Investig. 2015;19(3):569-582.
  10. Abella F, de Ribot J, Doria G, et al. Applications of piezoelectric surgery in endodontic surgery: a literature review. J Endod. 2014;40(3):325-332.
  11. Kim S, Kratchman S. Modern endodontic surgery concepts and practice: a review. J Endod. 2006;32(7):601-23.
  12. Song M, Nam T, Shin SJ, Kim E. Comparison of clinical outcomes of endodontic microsurgery: 1 year versus long-term follow-up. J Endod. 2014;40(4):490-494.
  13. Lofthag-Hansen S, Huumonen S, Gröndahl K, et al. Limited cone-beam CT and intraoral radiography for the diagnosis of periapical pathology. Oral Surg Oral Med Oral Pathol Oral Radiol Endod. 2007;103(1): 114-9.
  14. Strbac GD, Schnappauf A, Giannis K, et al. Guided Modern Endodontic Surgery: A Novel Approach for Guided Osteotomy and Root Resection. J Endod. 2017;43(3):496-501.
  15. Moreno-Rabié C, Torres A, Lambrechts P, et al. Clinical applications, accuracy and limitations of guided endodontics: a systematic review. Int Endod J. 2020;53(2):214-231.
  16. Kocyigit ID, Atil F, Alp YE, et al. Piezosurgery versus conventional surgery in radicular cyst enucleation. J Craniofac Surg. 2012; 23(6):1805-8.
  17. Hirsch V, Kohli MR, Kim S. Apicoectomy of maxillary anterior teeth through a piezoelectric bony-window osteotomy: two case reports introducing a new technique to preserve cortical bone. Restor Dent Endod. 2016;41(4):310-315.
  18. Gagliani M, Taschieri S, Molinari R. Ultrasonic root-end preparation: influence of cutting angle on the apical seal. J Endod. 1998;24(11):726-30.
  19. Rubinstein RA, Kim S. Short-term observation of the results of endodontic surgery with the use of surgical operation microscope and Super-EBA as root end filling material. J Endod. 1999;25(1):43-8.
  20. Del Fabbro M, Tsesis I, Rosano G, et al. Scanning electron microscopic analysis of the integrity of the root-end surface after root-end management using piezoelectric device: a cadaveric study. J Endod. 2010;36(10):1693-7.
  21. Tsesis I, Rosen E, Taschieri S, et al. Outcomes of surgical endodontic treatment performed by a modern technique: an updated meta-analysis of the literature. J Endod. 2013;39(3):332-9.
  22. Bastien AV, Adnot J, Moizan H, et al. Secondary surgical decompression of the inferior alveolar nerve after overfilling of endodontic sealer into the mandibular canal: Case report and literature review. J Stomatol Oral Maxillofac Surg. 2017;118(6):389-392.

comentarios