Informes & Estudios

Exodoncia atraumática:
Perspectivas Clínicas del Prof. José Carlos Rosas Díaz

El Prof. Dr. José Carlos Rosas Díaz es un destacado experto en rehabilitación oral, implantología y periodoncia. Basándose en su amplia experiencia tanto en investigación como en práctica clínica, se centra en los beneficios de la extracción atraumática de dientes. En esta entrevista, analiza la preservación de la pared ósea vestibular, la viabilidad de la implantación inmediata y el papel de la tecnología piezoeléctrica en la práctica clínica moderna.


Dr. José Carlos Rosas Díaz
  • Experto en rehabilitación oral, implantología y periodoncia
Dr. José Carlos Rosas Díaz

¿Qué ventajas ve en la extracción dental atraumática?

Dr. Rosas: La extracción atraumática nos permite retirar el diente manteniendo la integridad de la pared ósea vestibular que por lo general es muy fina, muchas veces menor a 0.5 de mm; por otra parte, nos permite mantener la integridad de las crestas óseas proximales que en el sector anterior son de vital importancia para mantener la estética de las papilas gingivales. En caso de una implantación inmediata, nos permitirá mantener toda la arquitectura de los tejidos duros y blandos periodontales, dando una apariencia más natural a nuestra rehabilitación con implantes dentales. Para los pacientes, esto se traduce en mayor comodidad y menor traumatismo durante la extracción, con un postoperatorio más favorable, caracterizado por menos dolor e inflamación. En caso de alveolos secos, los insertos de recolección ósea, permiten realizar un raspado dentro de las paredes del alveolo y esto genera un mayor sangrado y por lo tanto menos riesgo de padecer de una alveolitis seca haciendo que la cicatrización se lleve a cabo sin complicaciones.

Figura: La radiografía revela cortes tomográficos sagitales de las piezas 1.1, 2.1, 2.2. con tablas óseas vestibulares bastante finas menores a 0.2 mm de espesor (a, c).
Figura: La radiografía revela cortes tomográficos sagitales de las piezas 1.1, 2.1, 2.2. con tablas óseas vestibulares bastante finas menores a 0.2 mm de espesor (a, c).
Figura: La radiografía revela cortes tomográficos sagitales de las piezas 1.1, 2.1, 2.2. con tablas óseas vestibulares bastante finas menores a 0.2 mm de espesor (a, c).
Figura 1: Cortes tomográficos sagitales de las piezas 1.1, 2.1, 2.2. con tablas óseas vestibulares bastante finas menores a 0.2 mm de espesor (a, c).

¿Puede citar algún caso en el que sea posible realizar una implantación inmediata tras una extracción dental convencional?

Dr. Rosas: Existen requisitos para realizar una implantación inmediata y estos son tener mas de 5 mm de hueso apical al implante, que exista una relación favorable entre el alveolo y el hueso remanente, que no existan procesos infecciosos grandes y principalmente que exista una pared ósea vestibular mayor a 1mm y esto solo es posible mediante un procedimiento de exodoncia atraumática.

En su opinión, ¿cómo contribuye la tecnología piezoeléctrica de W&H a la extracción atraumática de dientes?

Dr. Rosas: W&H posee insertos muy finos, de 0.2 de mm (nota del editor: p. ej., EX1 y EX2) que permiten ingresar al interior del espacio del ligamento peridontal y con una destreza clínica podemos luxar al diente y realizar una extracción mucho mas sencilla. En el caso de dientes anquilosados en personas de edad avanzada o dientes con endodoncia de largo tiempo, nos permite realizar exodoncias en menor tiempo posible y la anatomía de sus insertos nos permite realizar odontosecciones que hacen que la exodoncia atraumática sea un procedimiento sencillo y predecible.

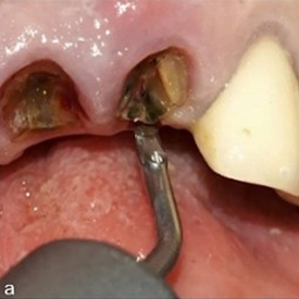
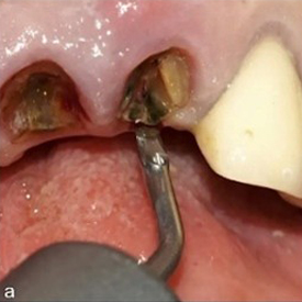
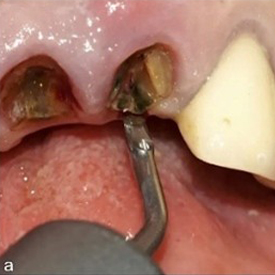
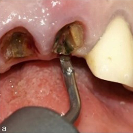
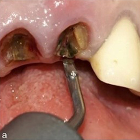
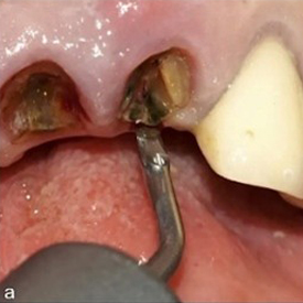
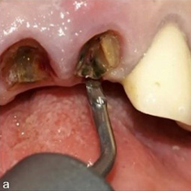
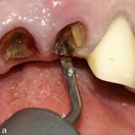
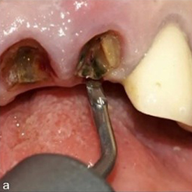
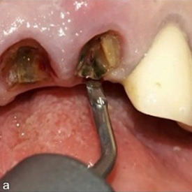
Figura 2: Sindesmotomía utilizando el periótomo del piezoeléctrico (a), posicionándolo en el espacio del ligamento periodontal a nivel de los fragmentos palatinos (b).

Biografía Dr. José Carlos Rosas Díaz

El Dr. José Carlos Rosas Díaz, Ex-Director de la Escuela de Estomatología de la Universidad Privada San Juan Bautista (UPSJB) de Lima, Perú, tiene Maestría en Estomatología y es Investigador de la UPSJB. Es Especialista en Rehabilitación Oral Integral, Especialista en Implantología Oral Integral, y Especialista en Periodoncia e Implantes


comentarios