Reports & Studies

Atraumatic Tooth Extraction:
Clinical Perspectives from Prof. José Carlos Rosas Díaz

Prof. Dr. José Carlos Rosas Díaz is a leading expert in oral rehabilitation, implantology, and periodontology. Drawing on his extensive experience in both research and clinical practice, he focuses on the benefits of atraumatic tooth extraction. In this interview, he discusses the preservation of the vestibular bone wall, the feasibility of immediate implant placement, and the role of piezo technology in modern clinical practice.


Dr José Carlos Rosas Díaz
  • Expert in oral rehabilitation, implantology, and periodontology
Dr José Carlos Rosas Díaz

What advantages do you see in atraumatic tooth extraction?

Dr. Rosas: Atraumatic extraction enables us to remove teeth without damaging the vestibular (buccal) bone wall. This structure is typically very thin – often less than 0.5 mm – and therefore particularly susceptible to damage. At the same time, the proximal bone crest is preserved, which is especially important in the anterior region, where it plays a crucial role in maintaining the aesthetics of the gingival papillae. In the context of immediate implant placement, this approach offers significant benefits: the complete architecture of both hard and soft tissues can be preserved, resulting in a much more natural appearance of the implant restoration. For patients, this translates to reduced surgical trauma, greater comfort, and less postoperative pain and swelling. Additionally, in cases of dry socket (Alveoliti sicca), specialised piezoelectric instruments can be used to gently refine the alveolar walls. This careful micro-roughening of the bone surface stimulates renewed bleeding, substantially reducing the risk of dry socket and supporting uncomplicated healing.

Figure: X-ray shows the sagittal tomographic sections of teeth 1.1, 2.1, and 2.2 revealing very thin buccal bone plates with thicknesses less than 0.2 mm (a, c).
Figure: X-ray shows the sagittal tomographic sections of teeth 1.1, 2.1, and 2.2 revealing very thin buccal bone plates with thicknesses less than 0.2 mm (a, c).
Figure: X-ray shows the sagittal tomographic sections of teeth 1.1, 2.1, and 2.2 revealing very thin buccal bone plates with thicknesses less than 0.2 mm (a, c).
Figure 1: Sagittal tomographic sections of teeth 1.1, 2.1, and 2.2 revealing very thin buccal bone plates with thicknesses less than 0.2 mm (a, c).

Can you name cases in which immediate implantation would be possible following a conventional tooth extraction?

Dr. Rosas: For successful immediate implant placement, certain clinical prerequisites must be met. There should be a minimum of 5 mm of apical bone remaining, and sufficient stable residual bone around the alveolus must be present to securely anchor the implant. Larger infectious lesions must be absent. Equally important is a vestibular (buccal) bone wall with a thickness of more than 1 mm. This stability can generally only be achieved through atraumatic extraction.

In your opinion, how does W&H piezo technology support atraumatic tooth extraction?

Dr. Rosas: W&H offers very fine instrument tips (editor’s note: e.g., EX1 & EX2) with a diameter of only 0.2 mm. These allow precise entry into the periodontal ligament space, enabling controlled luxation of the tooth. With appropriate clinical skill, this significantly simplifies the extraction procedure. In particular, piezoelectric technology facilitates rapid and efficient extractions of severely ankylosed teeth in older patients or teeth with long-standing endodontic treatment. The specialised instrument geometry also allows for precise odontosections. In this way, atraumatic extraction becomes a safe and predictable procedure.

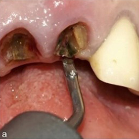
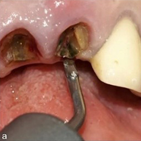
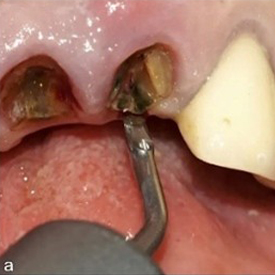
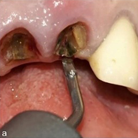
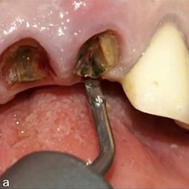
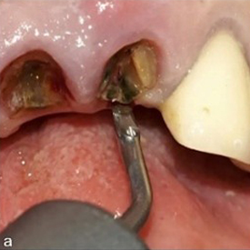
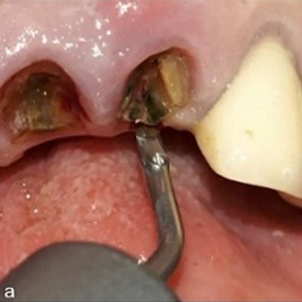
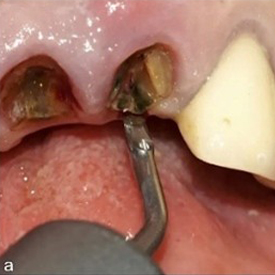
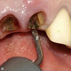
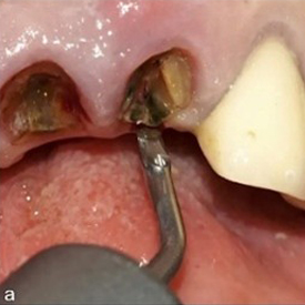
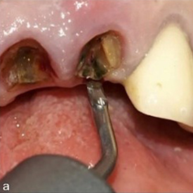
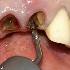
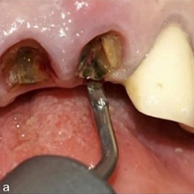
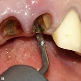
Figure 2: Syndesmotomy using the piezoelectric periotome (EX1 by W&H) (a), positioned in the periodontal ligament space at the level of the palatal fragments (b).

About Dr. José Carlos Rosas Díaz

Dr José Carlos Rosas Díaz, former Director of the School of Stomatology at the Universidad Privada San Juan Bautista (UPSJB) in Lima, Peru, holds a Master’s degree in stomatology and serves as a researcher at the UPSJB. He is a specialist in Comprehensive Oral Rehabilitation, Comprehensive Oral Implantology, and Periodontology.


comments