Berichte & Studien

Die Etablierung der atraumatischen Zahnextraktion

Ursprünglich veröffentlicht in Dental Tribune Latin America

Kapitel 8 des Werks „Cirugía piezoeléctrica. Generalidades y aplicaciones clínicas“ thematisiert die steigende Bedeutung der atraumatischen Zahnextraktion. Diese Entwicklung ist primär auf den Fortschritt der dentalen Implantattherapie zurückzuführen, welche die atraumatische Extraktion als essenzielle Methode zur Vorbereitung des Alveolarknochens für den nachfolgenden Zahnersatz mittels Implantaten etabliert hat.

Die Autor:innen erläutern die Schritte, die bei der atraumatischen Zahnextraktion mittels Piezochirurgie zu befolgen sind, ein Verfahren, das die Durchführung vereinfacht und im Vergleich zur konventionellen Methode bessere Ergebnisse liefert.

Die Zahnextraktion ist ein gängiges chirurgisches Verfahren in der zahnärztlichen Praxis.
Angesichts der zunehmenden Bedeutung dentaler Implantate als Ersatz für fehlende Zähne, hat sich der Fokus auf eine maximal gewebeschonende Extraktion verlagert, um die Integrität von Hart- und Weichgewebe zu erhalten.1,2

Nach der Entfernung eines geschädigten Zahns treten zahlreiche strukturelle und dimensionale Veränderungen in den verbleibenden Geweben ein. Diese sind primär auf die vertikale und horizontale Resorption des krestalen Alveolarknochens zurückzuführen. Parallel dazu erfolgt der schrittweise Ersatz der Extraktionsalveole durch Granulationsgewebe, gefolgt von Bindegewebe, provisorischem Knochengewebe und letztlich reifem, neu gebildetem Knochen. 2,3

Die atraumatische Zahnextraktion bewahrt Hart- und Weichgewebe, optimiert die biologische Reaktion für die Knochenregeneration und schafft optimale Voraussetzungen für die Sofortimplantation oder die Erhaltung des Alveolarkamms.

Der horizontale Knochenverlust nach Extraktion beträgt etwa 30 % an der vestibulären Knochenplatte und circa 10 % an der lingualen Seite.3 Studien zeigen, dass im ersten Jahr nach Extraktion bis zu 50 % der vestibulären Knochenplatte verloren gehen können.4 Diese Umbauvorgänge führen zu einer Reduktion der Alveolarkammbreite zwischen 2,6 mm und 4,5 mm sowie einer verringerten Kammhöhe um 0,4 mm bis 3,9 mm. Die initiale Dicke der vestibulären Knochenwand hat maßgeblichen Einfluss auf das Ausmaß des Knochendefizits: Unter 1 mm Wandstärke werden resorptive Verluste von bis zu 1,17 mm in der Höhe und 2,67 mm in der Breite berichtet, während dickere Knochenwände (> 1 mm) geringere Verluste von 0,5 mm (Höhe) bzw. 1,17 mm (Breite) zeigen.6 Ferner ist bei Multizahnextraktionen eine ausgeprägtere krestale Resorption im Vergleich zu Einzelzahnextraktionen zu beobachten.5

Die atraumatische Zahnextraktion bezeichnet die besonders schonende Entfernung des Zahns, bei der das für die Operation typische Gewebetrauma minimiert oder idealerweise vollständig vermieden wird. Diese Technik ermöglicht den Erhalt von Hart- und Weichgewebe, fördert biologische Reaktionen für die Knochenneubildung und Alveolenheilung, reduziert das Infektionsrisiko, bewahrt die natürliche Gingivakontur, verbessert die ästhetische Prognose der finalen Restauration und schafft optimale Voraussetzungen für die Sofortimplantation oder die Alveolarkammpräservation.7

Die atraumatische Zahnextraktion wird, sofern möglich, bevorzugt ohne Lappenbildung durchgeführt. Dies fördert eine ungestörte Alveolenheilung ohne das Einwachsen von Weichgewebe und minimiert das Risiko postextraktiver Rezessionen. Die lappenfreie Chirurgie hat aufgrund ihrer biologischen Vorteile an Bedeutung gewonnen, insbesondere durch beschleunigte Wundheilung und Reduktion der Knochenresorption. Letztere entsteht, wenn infolge unzureichender Gingivaversorgung das Weichgewebe vom Knochen abgelöst wird.8 Bei Patienten mit dünnem Gingivabiotyp stellt diese Technik die bevorzugte Vorgehensweise dar, um ästhetische Komplikationen zu vermeiden.9

In mehreren Konsensuspublikationen wird die Integrität der vestibulären Knochenplatte als entscheidender Faktor für eine günstige ästhetische Prognose beschrieben, insbesondere im ästhetisch anspruchsvollen Frontzahnbereich.7,10-12

Traditionelle Extraktionstechniken entfernen den Zahn durch kreisförmige, hebelnde Bewegungen und starke Zugkräfte, wodurch die Sharpey-Fasern des Periodontiums herausgerissen werden.
Diese kraftvolle Ruptur des Desmodonts verursacht eine traumatische Läsion der Alveole mit konsekutivem Kollaps der Blutgefäße und verstärkter Resorption in diesem Bereich.13
Im Gegensatz dazu dringen die Instrumente der piezoelektrischen atraumatischen Technik in den Gingivalsaum von Zähnen und Wurzelresten ein und positionieren sich zwischen diesen und den Alveolarwänden bis zu einer Tiefe von 10 mm. Dadurch werden lediglich die apikalen Fasern durchtrennt, was eine schonendere Zahnentfernung ermöglicht und die Erhaltung des krestalen Alveolarkamms bei reduziertem Resorptionsrisiko fördert.14

Neben den umfassend beschriebenen Vorteilen der Piezotechnik, wie sauberen und präzisen Schnitten, welche insbesondere die Sicht des Operateurs in der Nähe sensibler Strukturen (Gefäße, Nerven) sowie benachbarter Zähne oder bei reduziertem proximalem Knochen verbessert, trägt diese Technik wesentlich zur Vermeidung von Komplikationen bei.15-17 Zudem erfordert das Instrument einen geringeren Gegendruck, was auch die Erwärmung des Operationsgebiets reduziert.18
Die Knochenentfernung rund um den Zahn erfolgt minimalinvasiv und multidirektional, im Gegensatz zu den traditionellen Techniken, die eine variable, jedoch unidirektionale Druckausübung anwenden.11

Bei der Durchführung einer atraumatischen Zahnextraktion sind die Kriterien zur Beurteilung der Wurzellänge, -anzahl sowie der komplexen Wurzelmorphologie zu berücksichtigen. Ebenso wichtig ist die Beurteilung von koronalen Resten sowie Vorbehandlungen wie Endodontien oder das Vorliegen einer Ankylose. In solchen Fällen ist hervorzuheben, dass die piezoelektrische Technik über eine Vielzahl von Instrumententypen („Inserts“) verfügt, die sich optimal an die morphologischen und topografischen Gegebenheiten der Wurzeln anpassen.14


Klinische Anwendungen

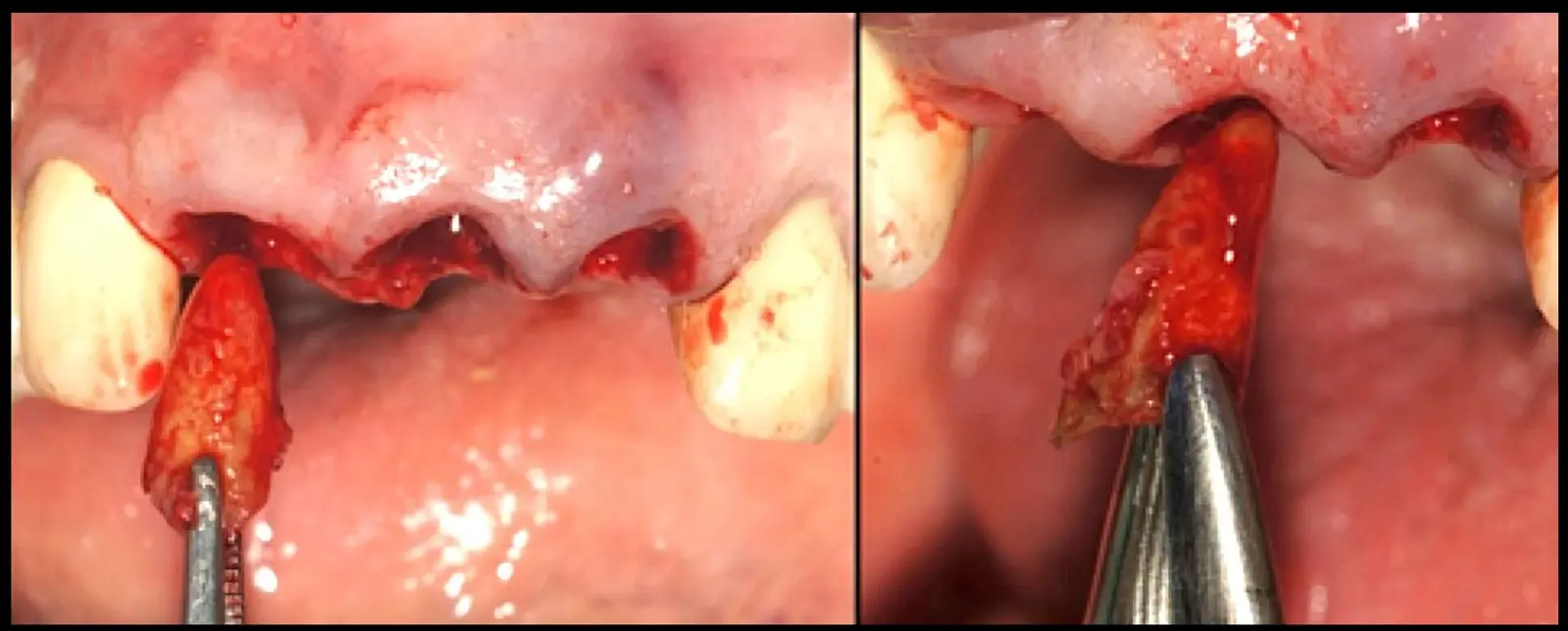
Abbildung 1: Monoradikulärer Zahnrest mit ausgeprägter koronaler Zerstörung und Fraktur in subkrestaler Position.
Abbildung 2: Intrasulkuläre Inzision um den gesamten Zahn herum.
Abbildung 3: Mesio-distales Odontosektionsdesign mit langstieligem Schneideinstrument oder Bohrer.
Abbildung 4: Beginn der Odontosektion mit rotierendem Instrument.
Abbildung 5: Abschluss der Odontosektion unter Verwendung eines piezoelektrischen Instruments (B1, W&H).
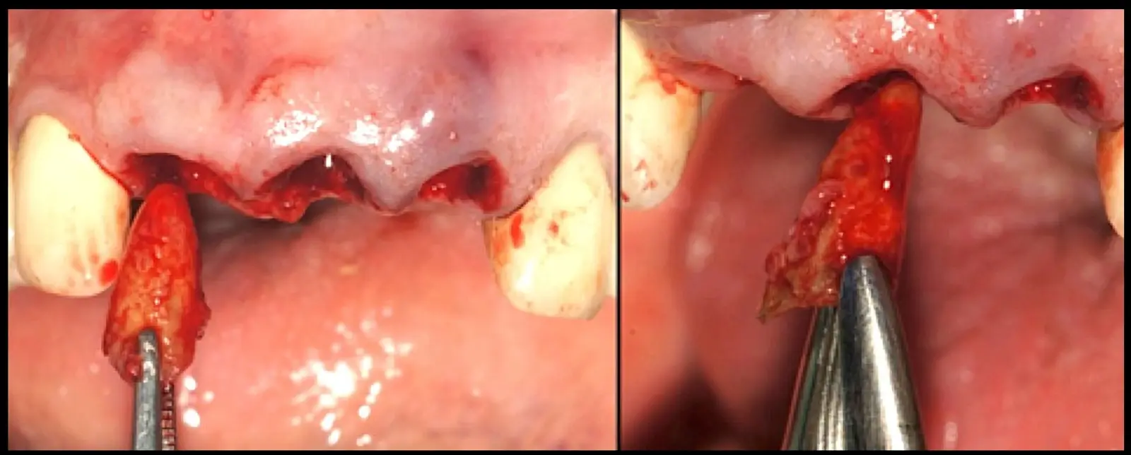
Abbildung 6: Fraktur des Wurzelrests in zwei Segmente: vestibulär und palatinal.
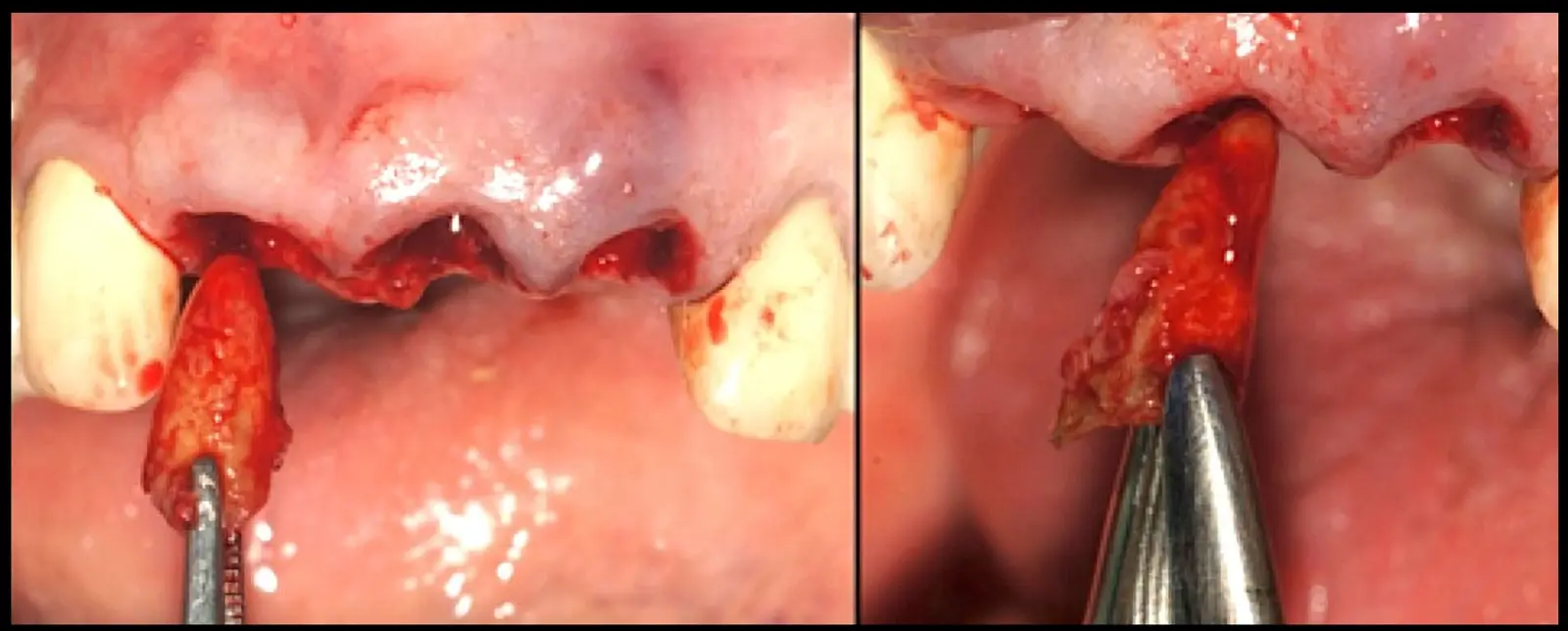
Abbildung 7: Präparation des palatinalen Wurzelfragments mit dem piezoelektrischen Periostlifter (EX1, W&H). Dieses Fragment wird aufgrund der in der Regel größeren Dicke der palatinalen Knochenlamelle gewählt.
Abbildung 8: Verlagerung des palatinalen Fragments.
Abbildung 9: Entfernung (Avulsion) des palatinalen Fragments.
Abbildung 10: Präparation“ des vestibulären Wurzelfragments mit dem piezoelektrischen Instrument (EX1, W&H) zur Periostablösung. Zeigt die Tomographie eine sehr dünne Knochenlamelle, sollte auf eine Instrumentierung direkt an dieser Seite verzichtet werden. Stattdessen erfolgt der Zugang über die inneren Ränder der benachbarten Wurzel.
Abbildung 11: Verlagerung des vestibulären Fragments in den palatinalen Raum der Alveole.

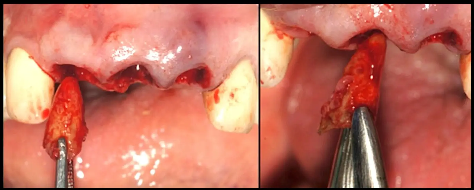
Nach erfolgreicher atraumatischer Zahnextraktion erfolgt – abhängig von Diagnose und Behandlungsplanung – entweder die Erhaltung der Alveolarkontur oder die Sofortimplantation mit gleichzeitiger regenerativer Behandlung.

Abbildung 12: Abschluss der atraumatischen Zahnextraktion unter Erhalt der Knochenlamellen und des Alveolarkamms.

Klinischer Fallbericht

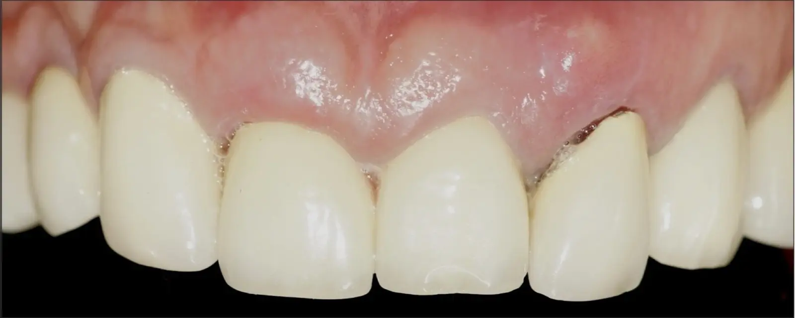
Ein 68-jähriger männlicher Patient stellt sich mit Lockerungen der Zähne 1.1, 2.1 und 2.2 nach einer Kontusion im entsprechenden Bereich vor. Die klinische Untersuchung zeigt Wurzelfrakturen sowie implantatgestützte Versorgungen an benachbarten Zähnen. Die tomografische Diagnostik bestätigt die Befunde an den Schneidezähnen und legt atraumatische Extraktionen nahe. Aufgrund der Dimensionen der verbliebenen apikalen und palatinalen Knochenstrukturen, die eine vorhersehbare primäre Stabilität ermöglichen, wird die Entscheidung getroffen, postextraktive Implantate mit gleichzeitiger Knochenregeneration zu setzen.

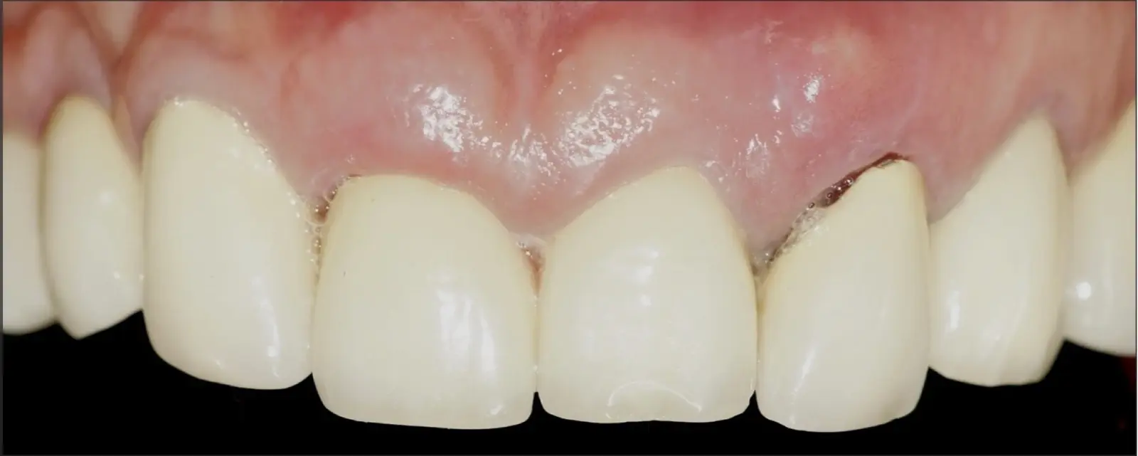
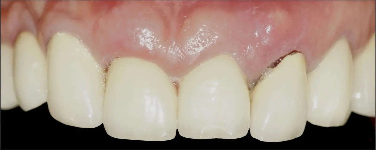
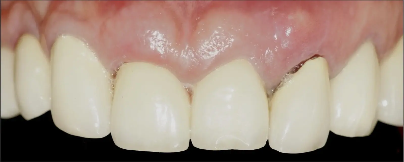
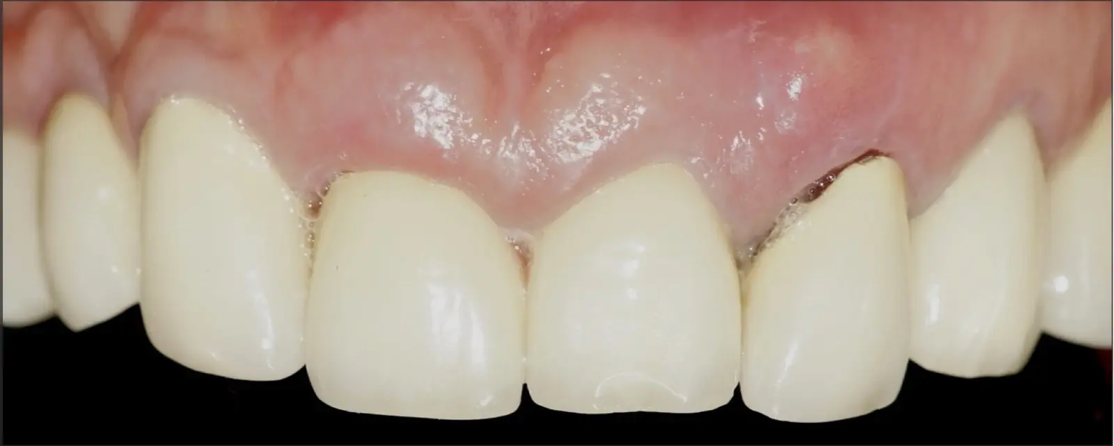
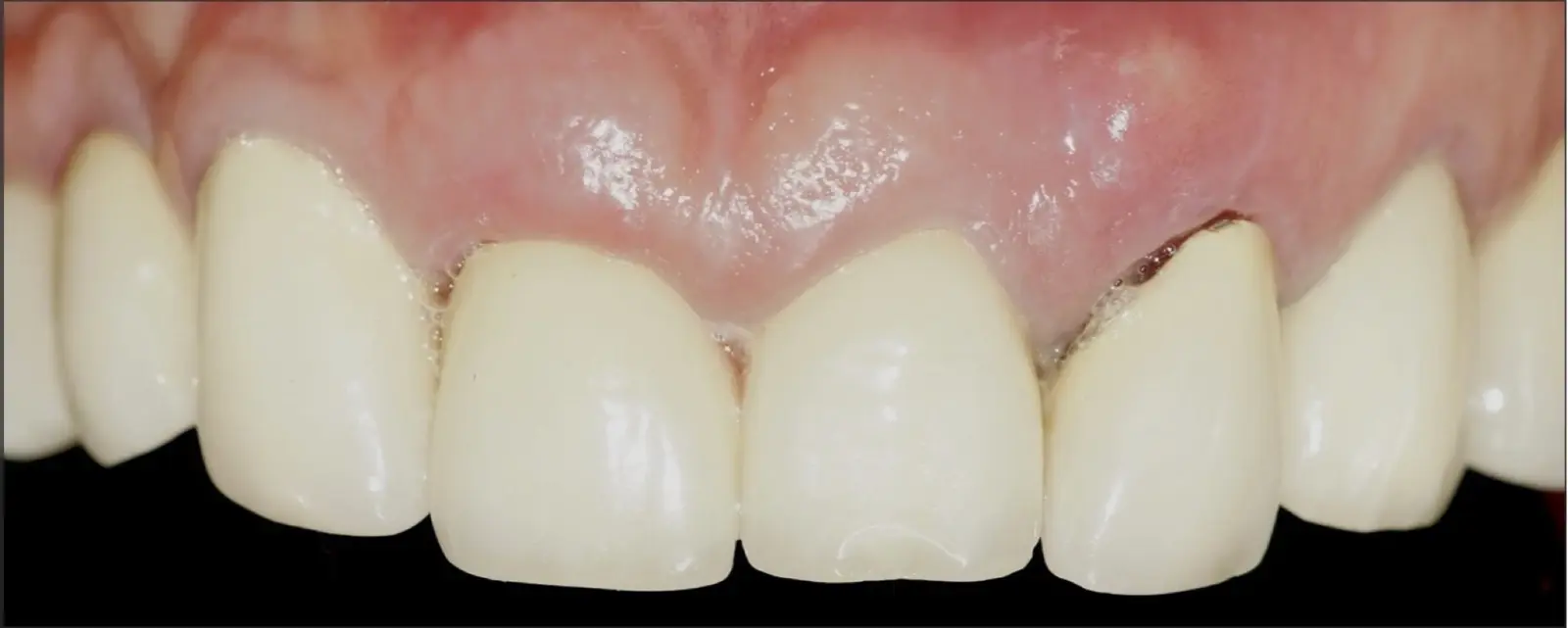
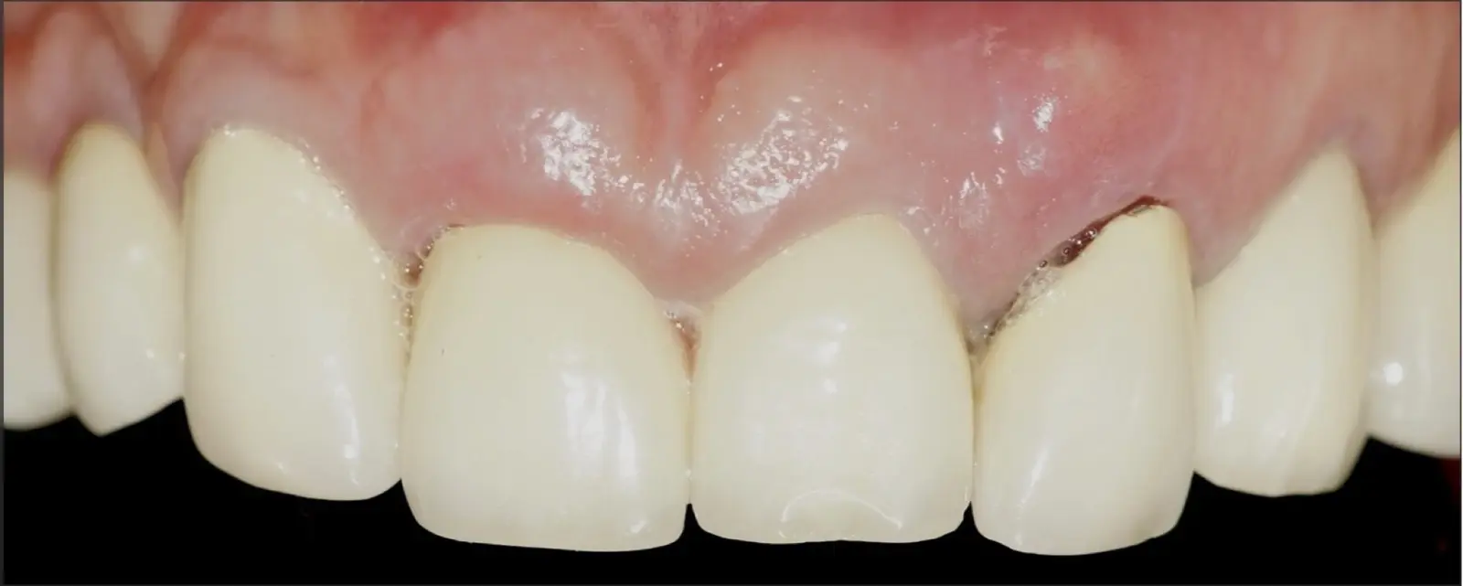
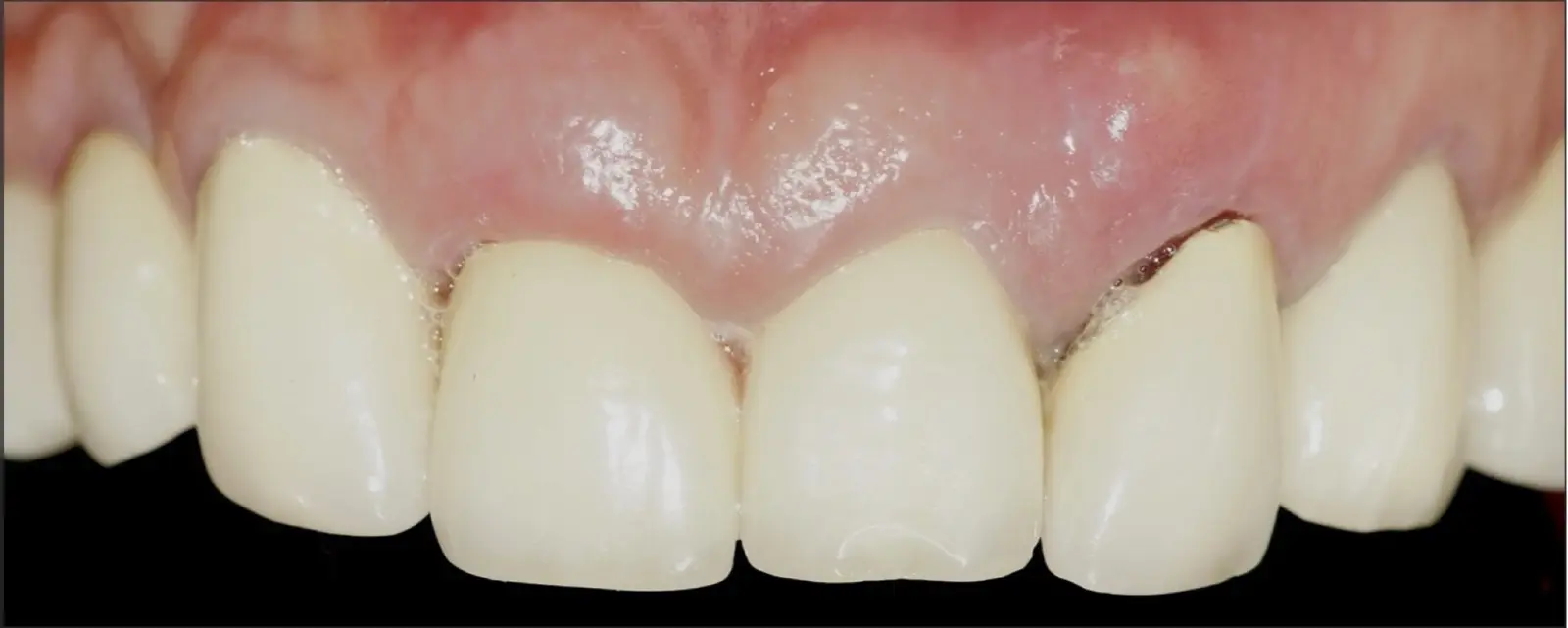
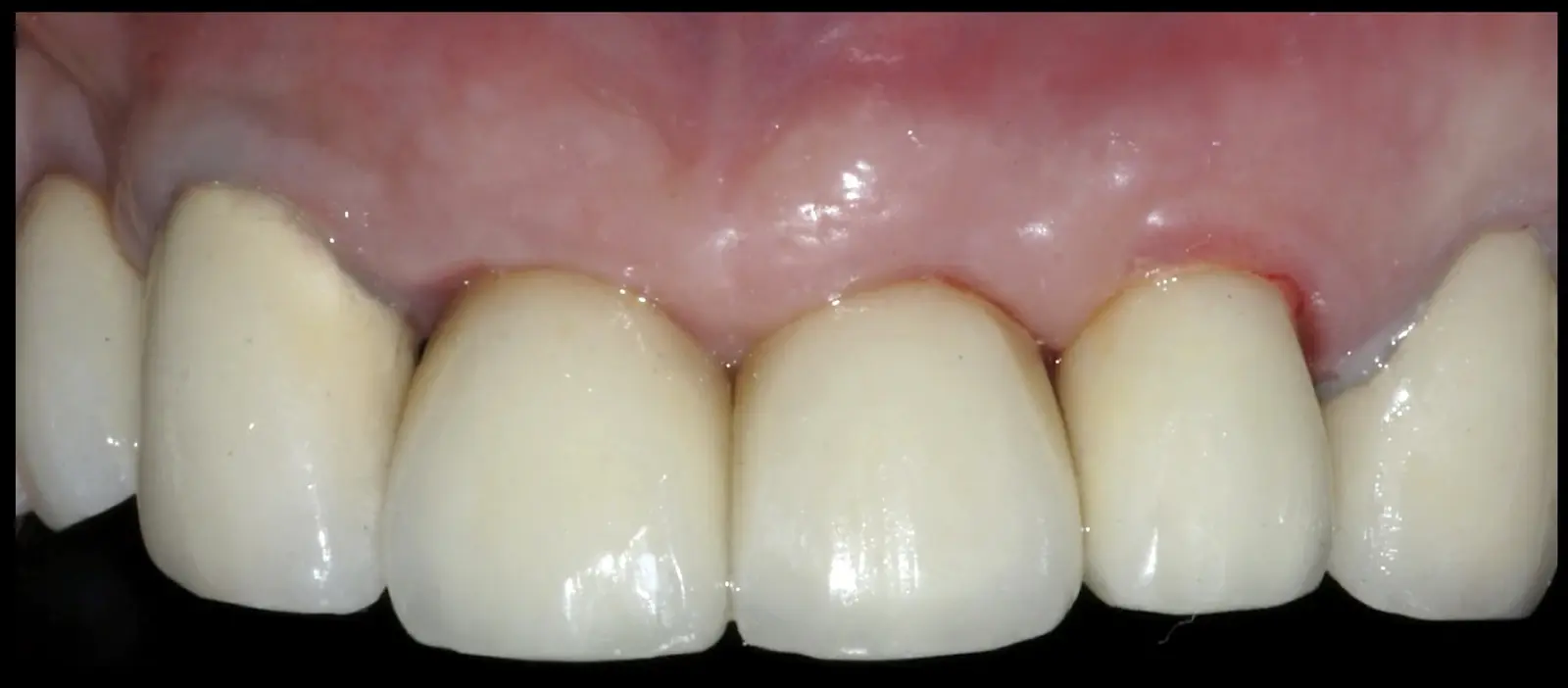
Abbildung 13: Frontale Ansicht der Zähne 1.1, 2.1 und 2.2 mit Wurzelfraktur. Sichtbar sind gingivale Konturunregelmäßigkeiten, sowie eine ausreichende Menge an keratinisierter Gingiva.
Abbildung 14: Okklusale Ansicht: Erhaltener gingivaler Konturverlauf.
Abbildung 15: Sagittale tomografische Schnitte der Zähne 1.1, 2.1 und 2.2 mit sehr dünnen vestibulären Knochenlamellen von weniger als 0,2 mm Dicke (a, c).
Abbildung 16: Initiale radikuläre Hemisektion in mesiodistaler Richtung (Tiefe ca. 10 mm) an den Zähnen 1.1, 2.1 und 2.2 unter Verwendung eines flachen, gezahnten Piezo-Instruments (B6, W&H), wobei auf den Schutz der proximalen Knochenlamellen geachtet wird (a, b, c).
Abbildung 17: Okklusale Ansicht der mesiodistalen Schnitte der Wurzelreste.
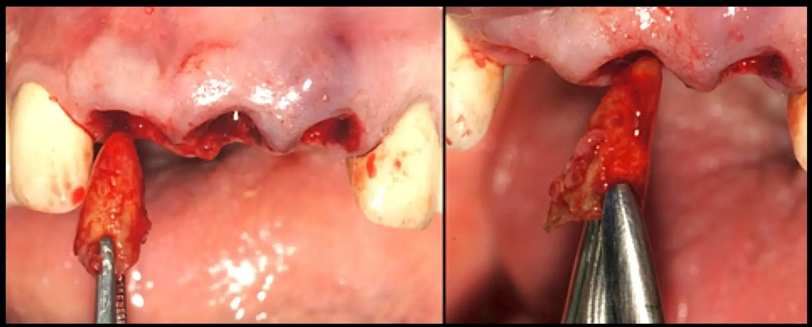
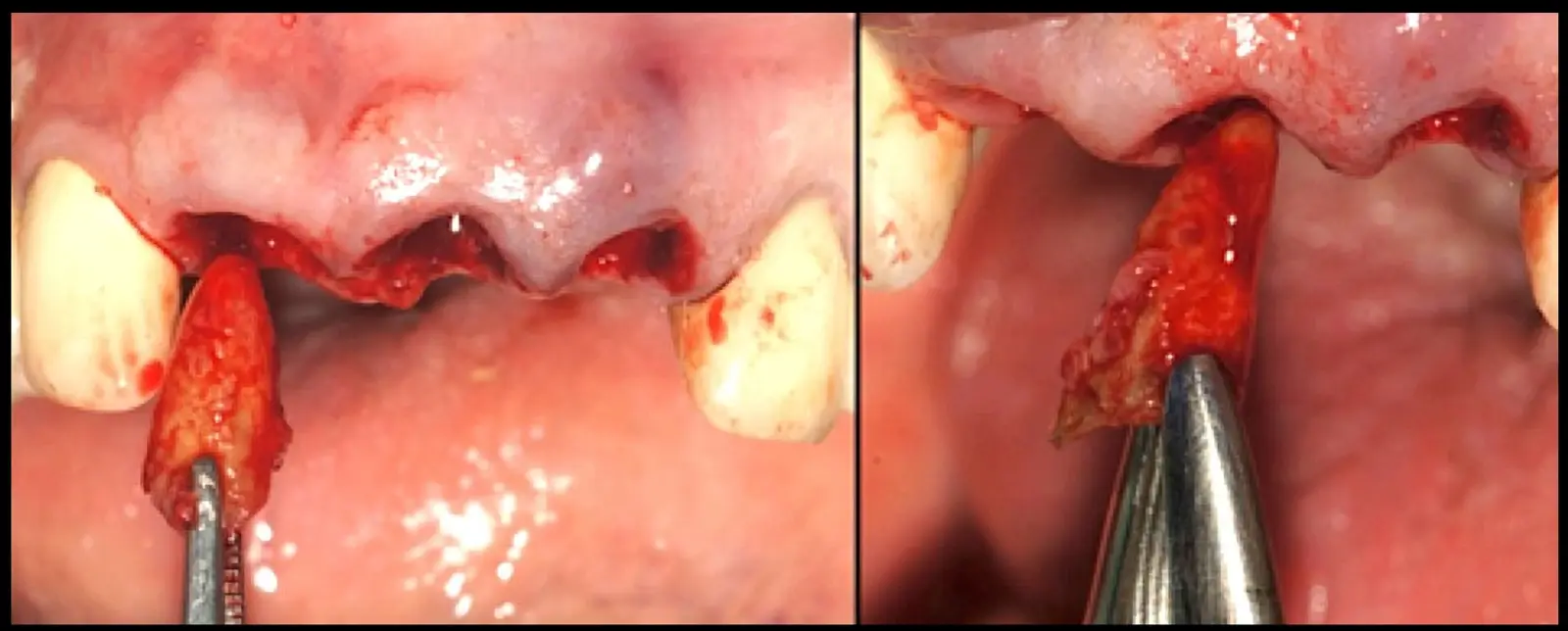
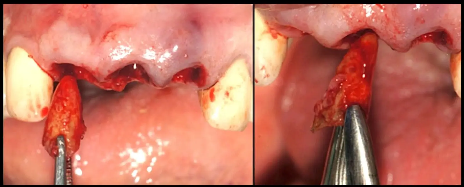
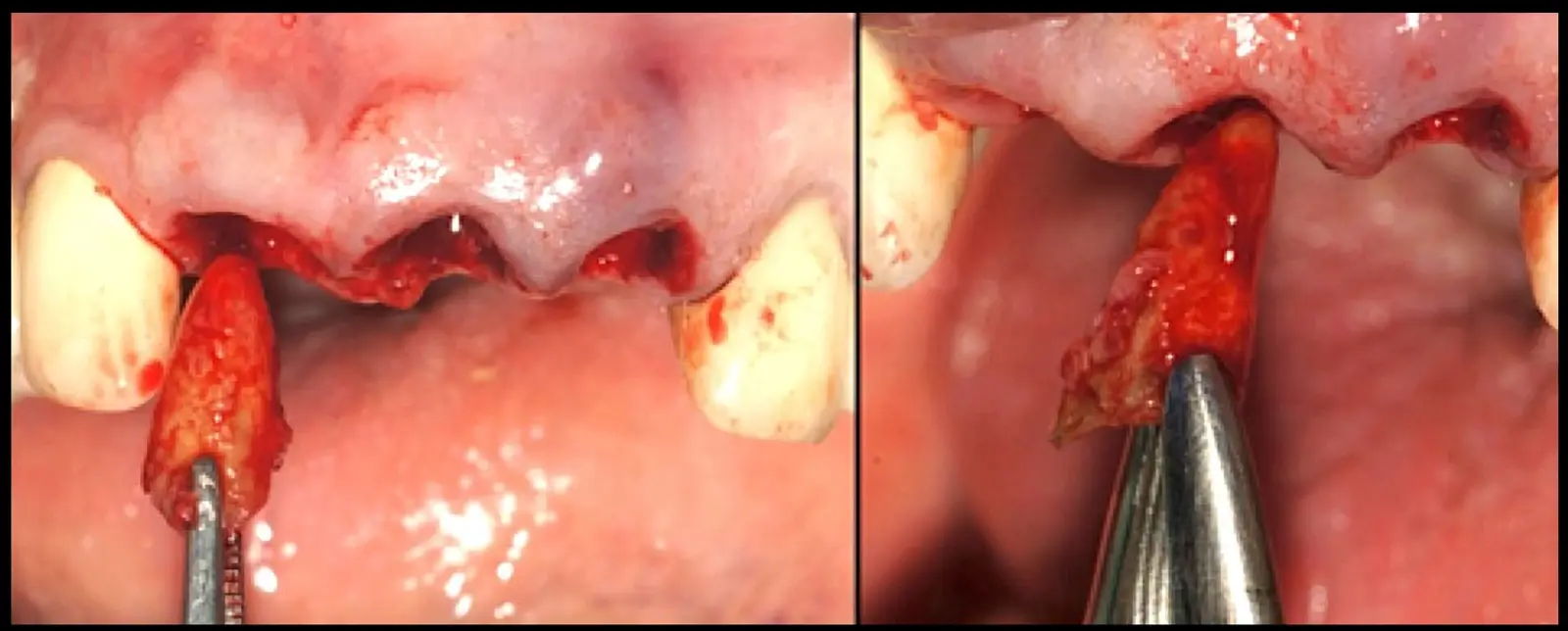
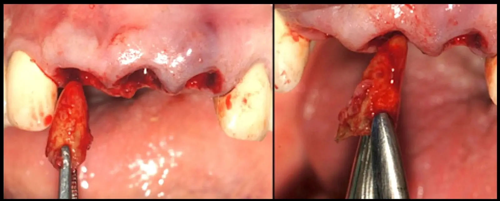
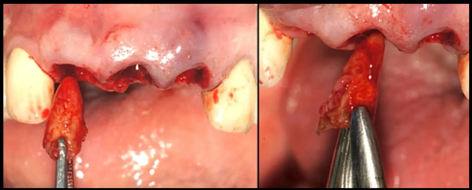
Abbildung 18: Syndesmotomie unter Verwendung des piezoelektrischen Instruments (EX1, W&H) (a), Positionierung am Desmodont der palatinalen Wurzelfragmente (b).
Abbildung 19: Entfernung der palatinalen Wurzelfragmente der Zähne 1.1, 2.1 und 2.2 (a, b, c).
Abbildung 20: Entfernung der vestibulären Fragmente durch Verlagerung der Reste in die entstandenen Extraktionsräume (a, b).
Abbildung 21. Postextraktive Alveolen der Zähne 1.1, 2.1 und 2.2.
Abbildung 22: Nach Implantatbettpräparation erfolgt die Insertion von Ausrichtungsstiften zur Kontrolle der Orientierung. Anschließend werden Knochenersatzmaterialien und resorbierbare Membranen mittels Kegeltechnik in die Alveole eingebracht (a, b).
Abbildung 23: Einbringen von bovinem Knochenersatzmaterial zwischen Ausrichtungsstiften und Membran. Dabei ist zu berücksichtigen, dass mit zunehmendem verbleibendem Raum auch die Dicke der neuen vestibulären Knochenplatte größer wird.
Abbildung 24: Okklusale Ansicht der mit Biomaterial versorgten Alveolen.
Abbildung 25: Entfernung Ausrichtungsstifte und Platzierung der Implantate (Unitite, S.I.N., Brasil). Platzierung der Implantate (3,5 mm × 11,5 mm, infrakrestal, 3 mm Abstand).
Abbildung 26: Okklusale Ansicht der Implantate und Kompaktierung des Knochenersatzmaterials.
Abbildung 27: Wundverschluss mittels palatinal pedikuliertem, vestibulär rotiertem Lappen und Naht mit 4/0 Polyglykolsäurefaden; der freiliegende Bereich wird offen (sekundär) verheilt, wobei die Integrität der gingivalen Papillen möglichst erhalten bleibt.
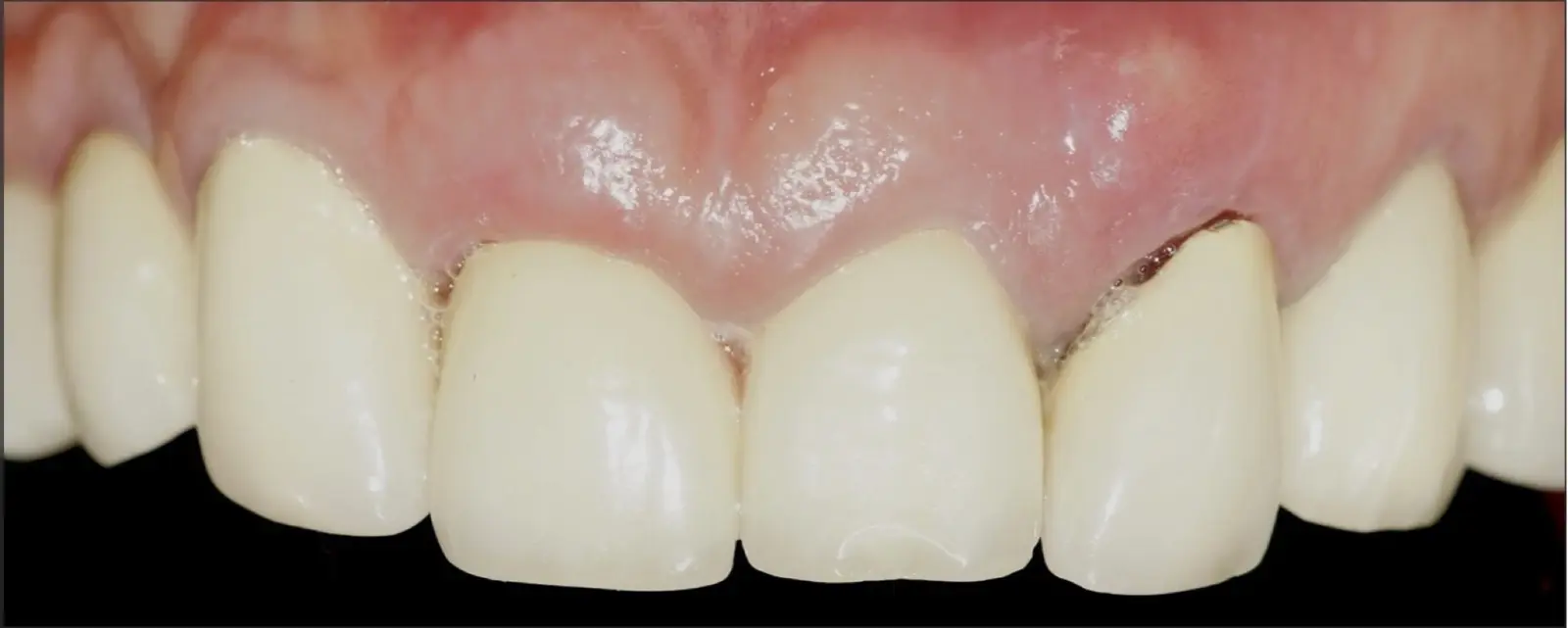
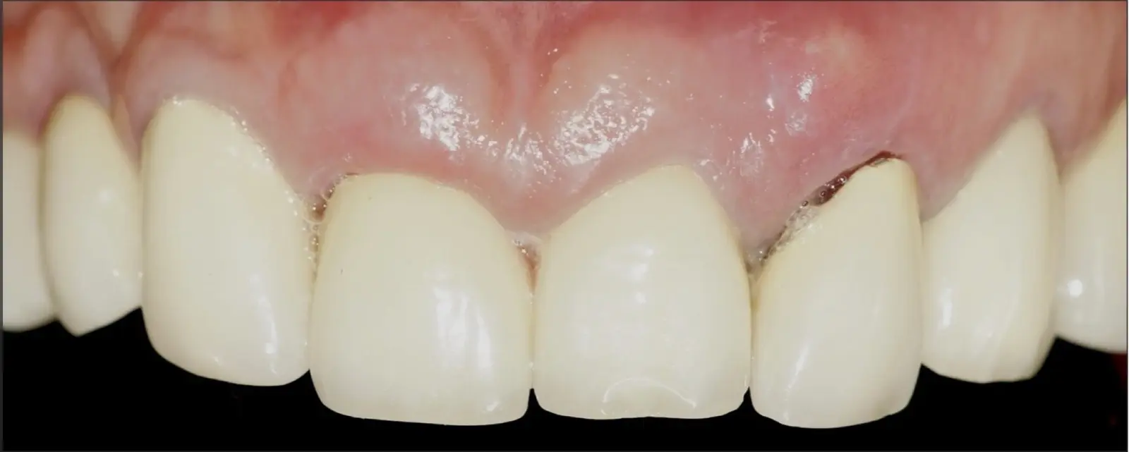
Abbildung 28: Postoperative frontale Ansicht mit herausnehmbarer provisorischer Prothese (a). Kontrolle am siebten Tag mit zufriedenstellendem Heilungsverlauf und Erhalt der Papillenkonturen (b).
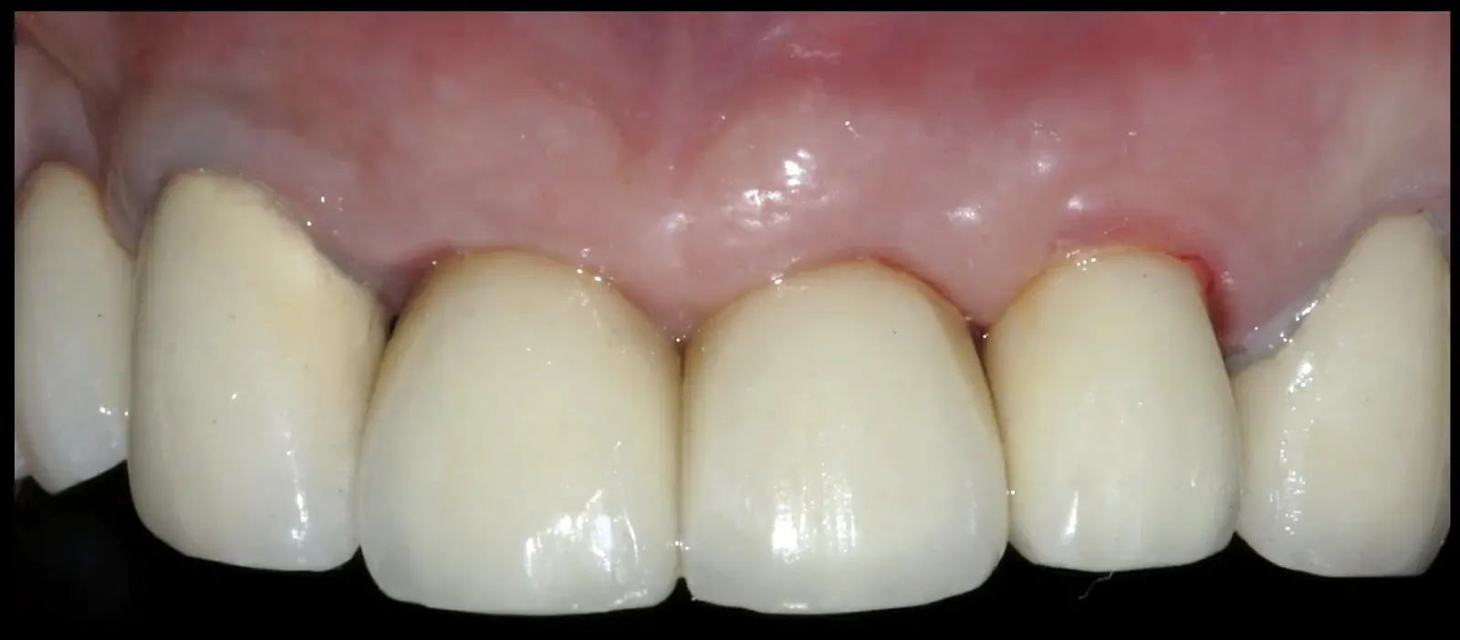
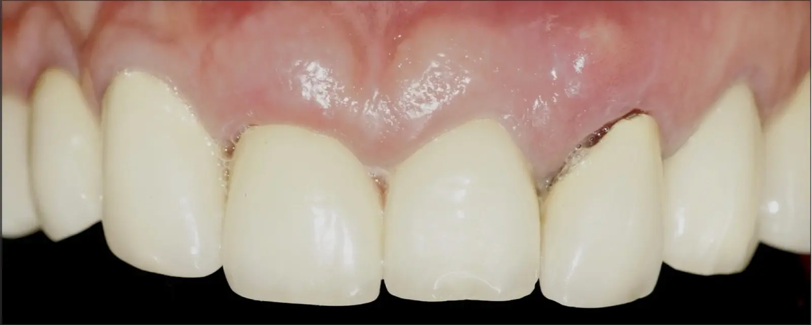
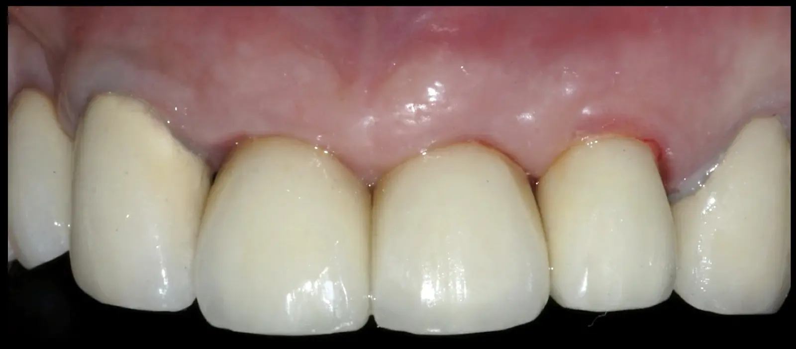
Abbildung 29: Universelle Abutments, nach 4 Monaten (a). Sichtbar ist zudem der Erhalt der Papillenhöhe. Okklusale Ansicht mit gesundem periimplantärem Gewebe, adäquater Ausbildung der Emergenzprofile und Erhalt der Alveolarkammkontur (b).
Abbildung 30: Kontrolle der Implantatstabilität mittels Resonanzfrequenzanalyse. Die ISQ-Werte liegen zwischen 55 und 57, was darauf hinweist, dass eine weitere Mineralisierung der periimplantären Knochenmatrix abzuwarten ist (a, b).
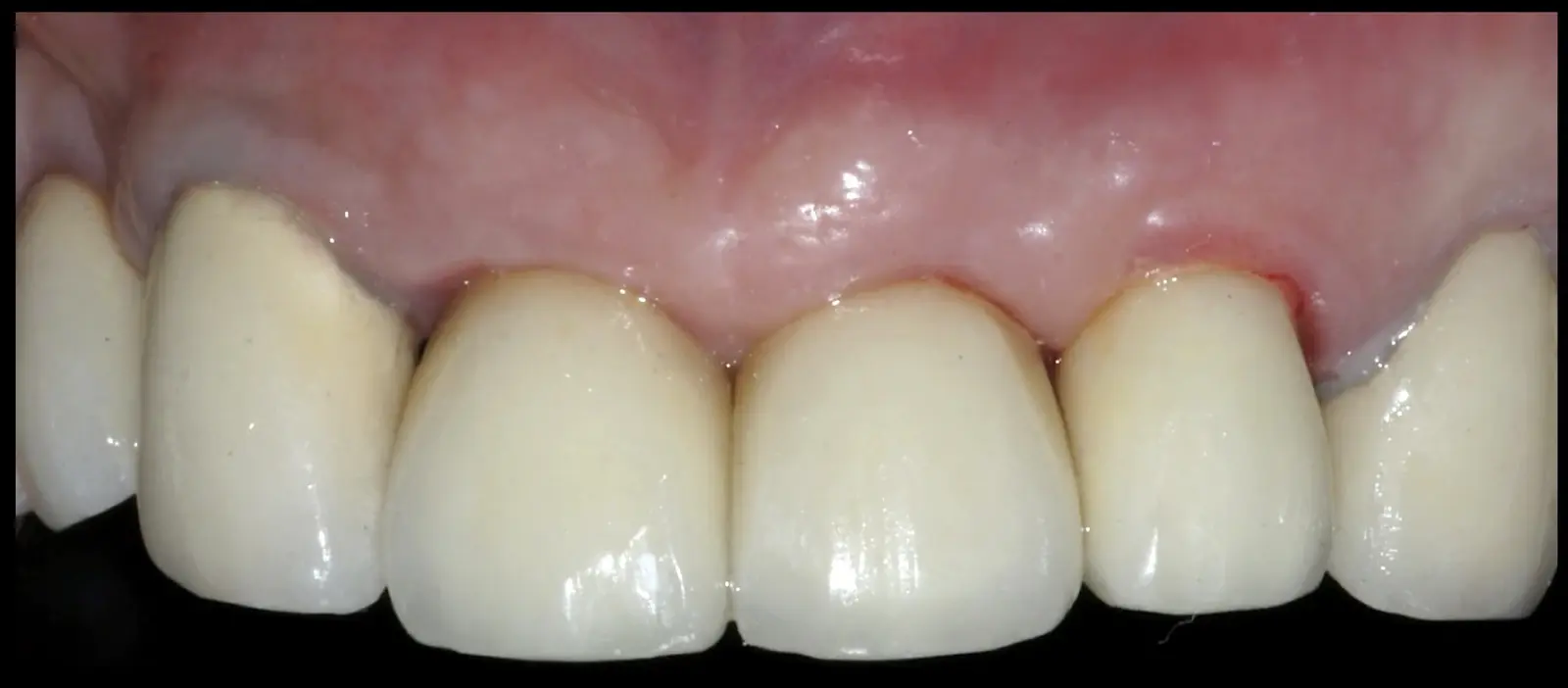
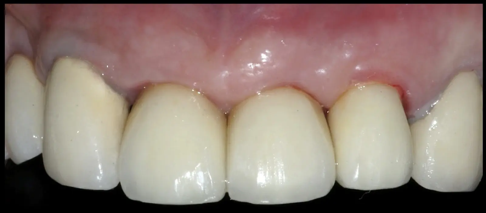
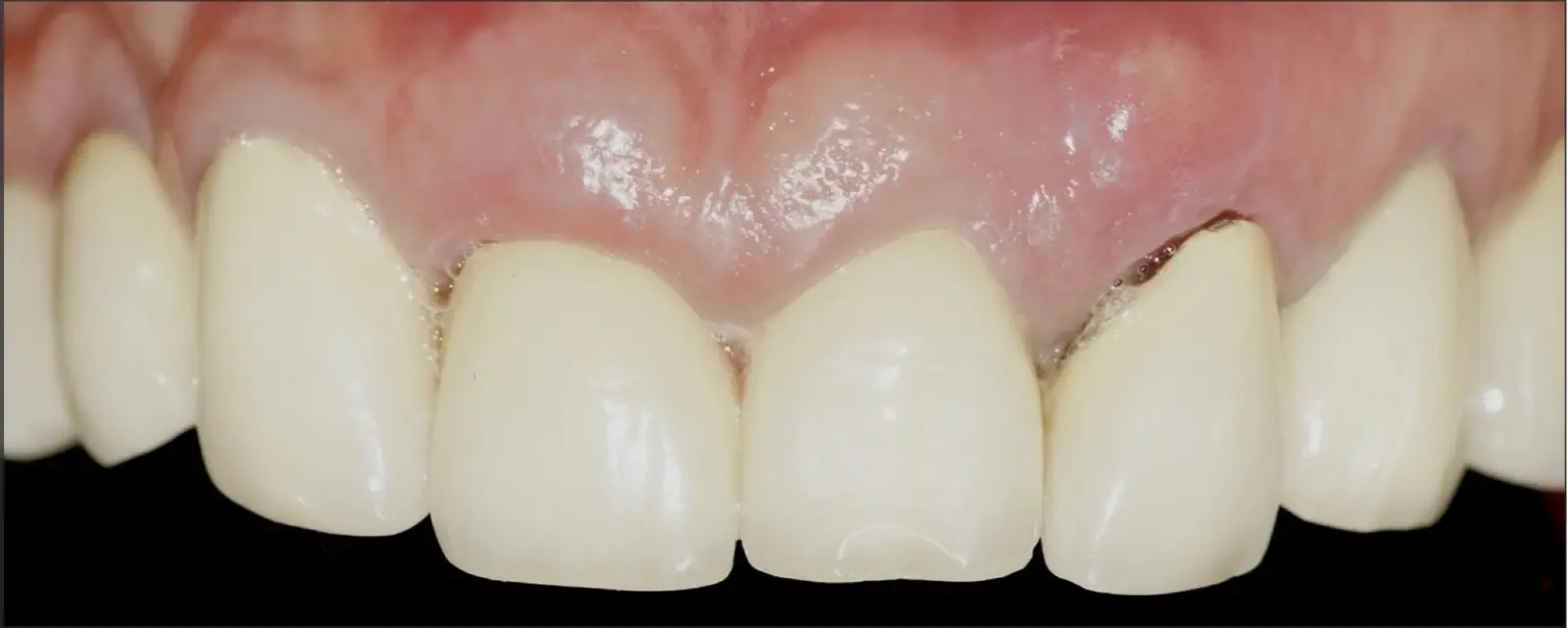
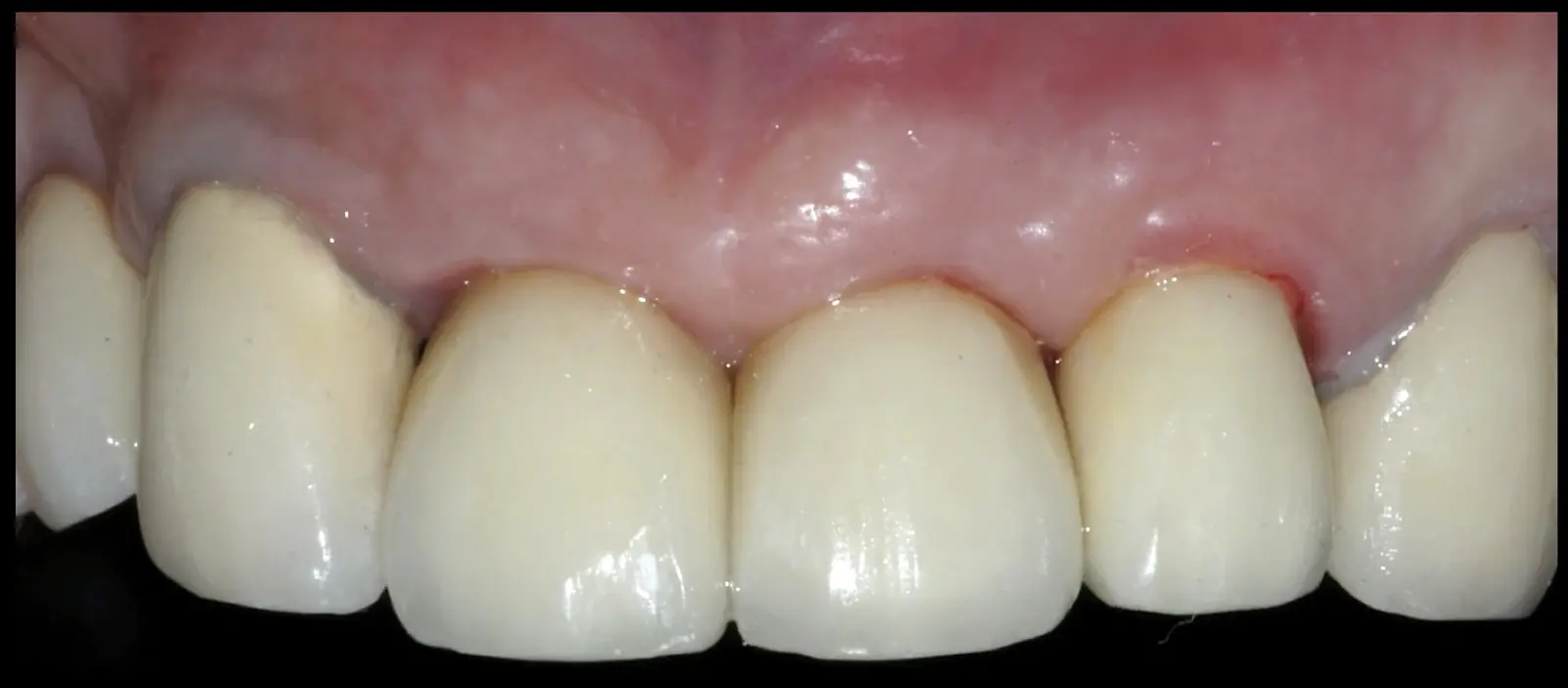
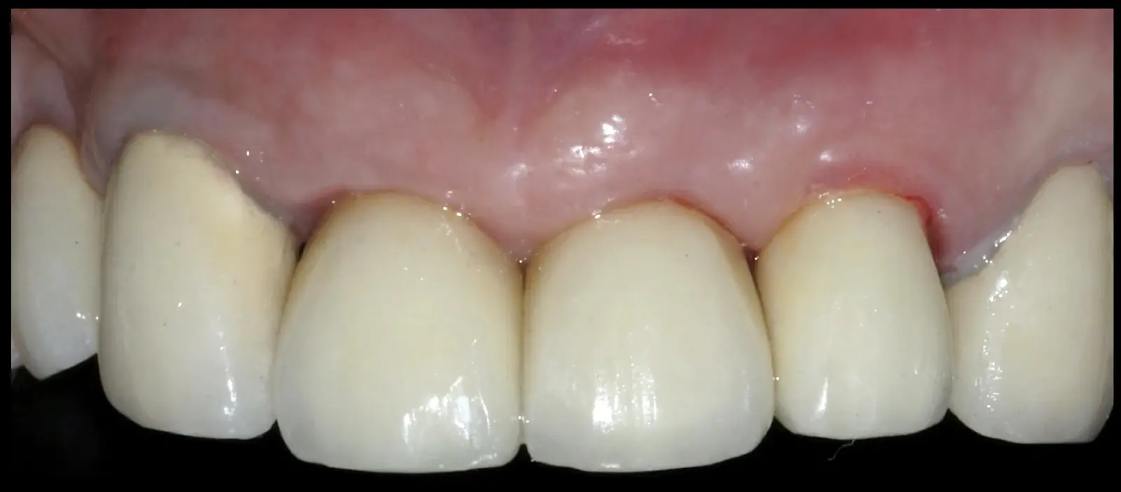
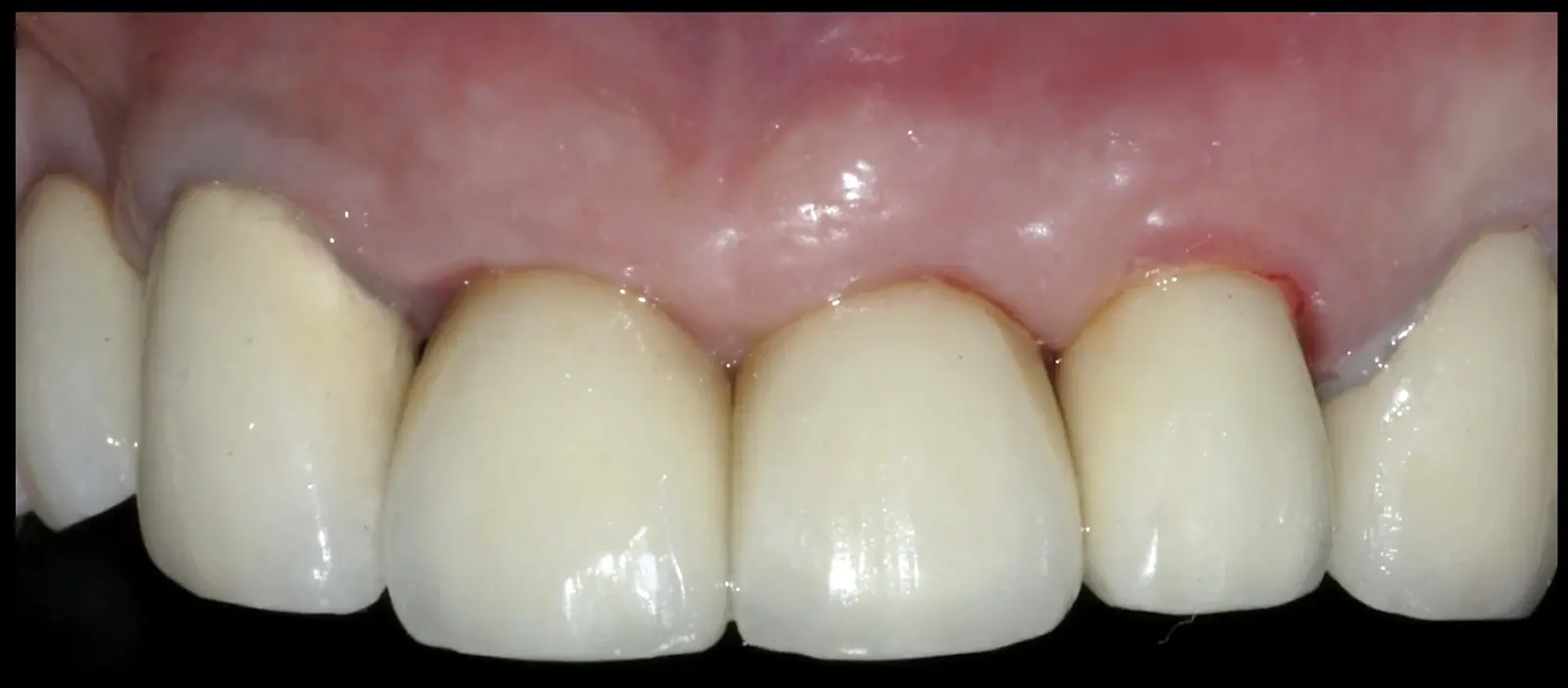
Abbildung 31: Abgeschlossener Fall unter Erhalt der Kontur des Alveolarkamms, der gingivalen Kontur und der Papillenhöhe.
Abbildung 32: Kontrolle vier Monate postoperativ (a), Bildung einer neuen vestibulären krestalen Knochenplatte(b), die bei allen gesetzten Implantaten größer als 2 mm ist (c).

Fazit

Die atraumatische Zahnextraktion mit piezoelektrischer Technologie bietet biologische Vorteile wie eine beschleunigte Wundheilung und eine Verringerung der Knochenresorption. Dieses Protokoll ohne Lappenhebung hat insbesondere durch den zunehmenden Einsatz der implantologischen Therapie an Bedeutung gewonnen.

Spezialreihe: Piezochirurgie
Hier geht's zur Zusammenfassung der 11 Artikel.

Die Artikelserie zur Piezochirurgie basiert auf dem Buch "Cirugía piezoeléctrica. Generalidades y aplicaciones clínicas" von José Carlos Rosas.

Das Buch, verfasst gemeinsam mit Jerson Palomino Zorrilla, Karla Díaz Cavero und María Eugenia Guerrero Acevedo von der Universidad Privada San Juan Bautista in Lima (Peru), präsentiert den aktuellsten wissenschaftlichen Nachweis zur klinischen Relevanz verschiedener piezoelektrischer Verfahren. Die praktische Anwendbarkeit im Praxisalltag wird durch die Veröffentlichung zahlreicher Fallstudien belegt.


Das Buch "Cirugía piezoeléctrica. Generalidades y aplicaciones clínicas" erläutert die Grundlagen dieser Technologie und demonstriert deren praktische Anwendbarkeit in der Praxis anhand klinischer Fallbeispiele.

Referenzen

  1. Lui JN, Khin MM, Krishnaswamy G, et al. Prognostic factors relating to the outcome of endodontic microsurgery. J Endod. 2014;40(8):1071-1076.
  2. Kerekes K, Tronstad L. Long-term results of endodontic treatment performed with a standardized technique. J Endod. 1979;5(3):83-90.
  3. Lieblich SE. Endodontic surgery. Dent Clin North Am. 2012;56(1):121-ix.
  4. Walton RE, Ardjmand K. Histological evaluation of the presence of bacteria in induced periapical lesions in monkeys. J Endod.1992;18(5):216-27.
  5. Tronstad L, Barnett F, Cervone F. Periapical bacterial plaque in teeth with refractory to endodontic treatment. Endod Dent Traumatol. 1990;6(2):73-7.
  6. Jepsen K, Schneider E, Dommisch H, et al. Management of a Central Incisor with Horizontal Root Fracture for Esthetic and Functional Rehabilitation. Int J Periodontics Restorative Dent. 2016;36(1):65-73.
  7. Brito-Junior M, Faria-e-Silva AL, Quintino AC, et al. Orthograde retreatment failure with extruded MTA apical plug in a large periradicular lesion followed by surgical intervention: case report. Gen Dent. 2012;60(2):96-100.
  8. Szalma J, Soós B, Krajczár K, et al. Piezosurgical management of sealer extrusion-associated mental nerve anaesthesia: A case report. Aust Endod J. 2019;45(2):274-280.
  9. Kang M, In Jung H, Song M, et al. Outcome of nonsurgical retreatment and endodontic microsurgery: a meta-analysis. Clin Oral Investig. 2015;19(3):569-582.
  10. Abella F, de Ribot J, Doria G, et al. Applications of piezoelectric surgery in endodontic surgery: a literature review. J Endod. 2014;40(3):325-332.
  11. Kim S, Kratchman S. Modern endodontic surgery concepts and practice: a review. J Endod. 2006;32(7):601-23.
  12. Song M, Nam T, Shin SJ, Kim E. Comparison of clinical outcomes of endodontic microsurgery: 1 year versus long-term follow-up. J Endod. 2014;40(4):490-494.
  13. Lofthag-Hansen S, Huumonen S, Gröndahl K, et al. Limited cone-beam CT and intraoral radiography for the diagnosis of periapical pathology. Oral Surg Oral Med Oral Pathol Oral Radiol Endod. 2007;103(1): 114-9.
  14. Strbac GD, Schnappauf A, Giannis K, et al. Guided Modern Endodontic Surgery: A Novel Approach for Guided Osteotomy and Root Resection. J Endod. 2017;43(3):496-501.
  15. Moreno-Rabié C, Torres A, Lambrechts P, et al. Clinical applications, accuracy and limitations of guided endodontics: a systematic review. Int Endod J. 2020;53(2):214-231.
  16. Kocyigit ID, Atil F, Alp YE, et al. Piezosurgery versus conventional surgery in radicular cyst enucleation. J Craniofac Surg. 2012; 23(6):1805-8.
  17. Hirsch V, Kohli MR, Kim S. Apicoectomy of maxillary anterior teeth through a piezoelectric bony-window osteotomy: two case reports introducing a new technique to preserve cortical bone. Restor Dent Endod. 2016;41(4):310-315.
  18. Gagliani M, Taschieri S, Molinari R. Ultrasonic root-end preparation: influence of cutting angle on the apical seal. J Endod. 1998;24(11):726-30.
  19. Rubinstein RA, Kim S. Short-term observation of the results of endodontic surgery with the use of surgical operation microscope and Super-EBA as root end filling material. J Endod. 1999;25(1):43-8.
  20. Del Fabbro M, Tsesis I, Rosano G, et al. Scanning electron microscopic analysis of the integrity of the root-end surface after root-end management using piezoelectric device: a cadaveric study. J Endod. 2010;36(10):1693-7.
  21. Tsesis I, Rosen E, Taschieri S, et al. Outcomes of surgical endodontic treatment performed by a modern technique: an updated meta-analysis of the literature. J Endod. 2013;39(3):332-9.
  22. Bastien AV, Adnot J, Moizan H, et al. Secondary surgical decompression of the inferior alveolar nerve after overfilling of endodontic sealer into the mandibular canal: Case report and literature review. J Stomatol Oral Maxillofac Surg. 2017;118(6):389-392.

Kommentare