Vantagens do piezoelétrico na terapia sinusal
Nono de uma série de 11 artigos
*Publicado originalmente en Dental Tribune Latin America
**No momento, os artigos estão disponíveis apenas na versão original em espanhol.
El piezoeléctrico en elevaciones sinusales ha demostrado su capacidad de corte exclusivo de tejidos duros reduciendo el daño a la membrana sinusal. Además, presenta otras ventajas como una baja emisión de ruidos, vibraciones mínimas, producción de virutas óseas pequeñas, visibilidad intraoperatoria mejorada y requiere de una incisión ósea controlada.
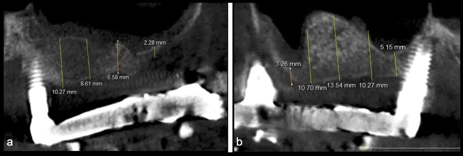
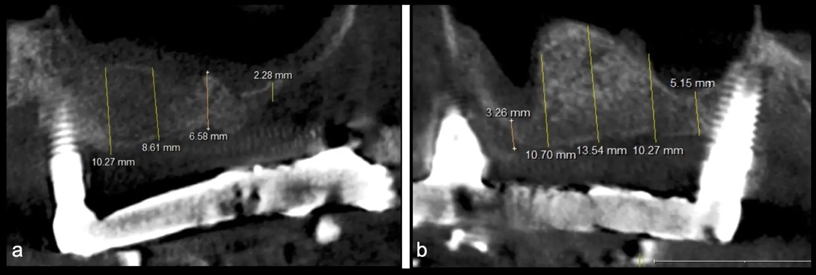
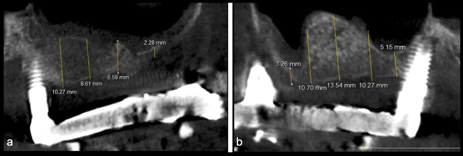
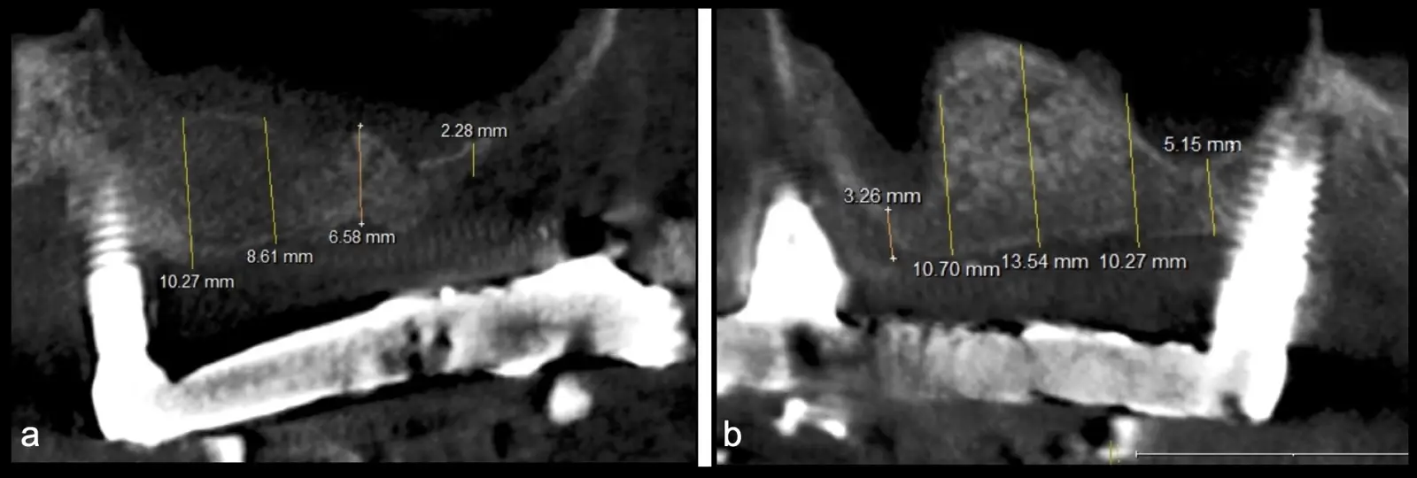
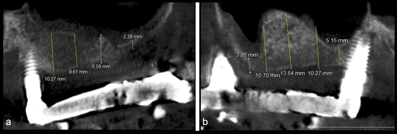
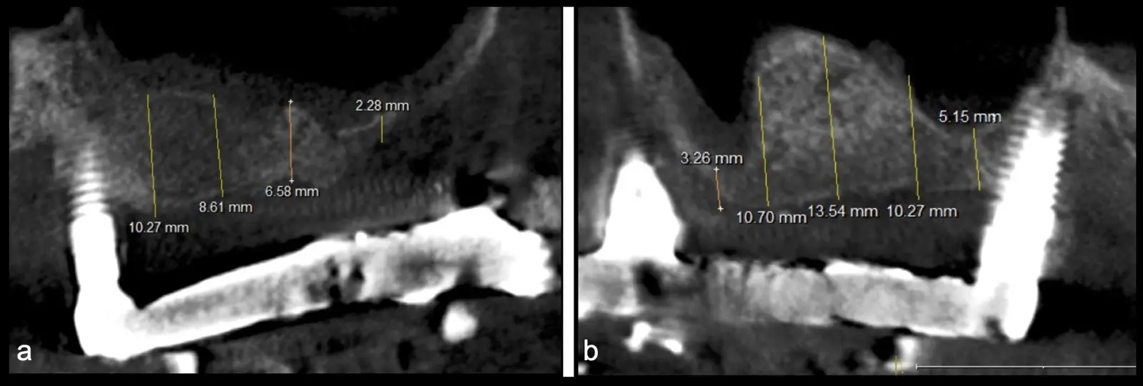
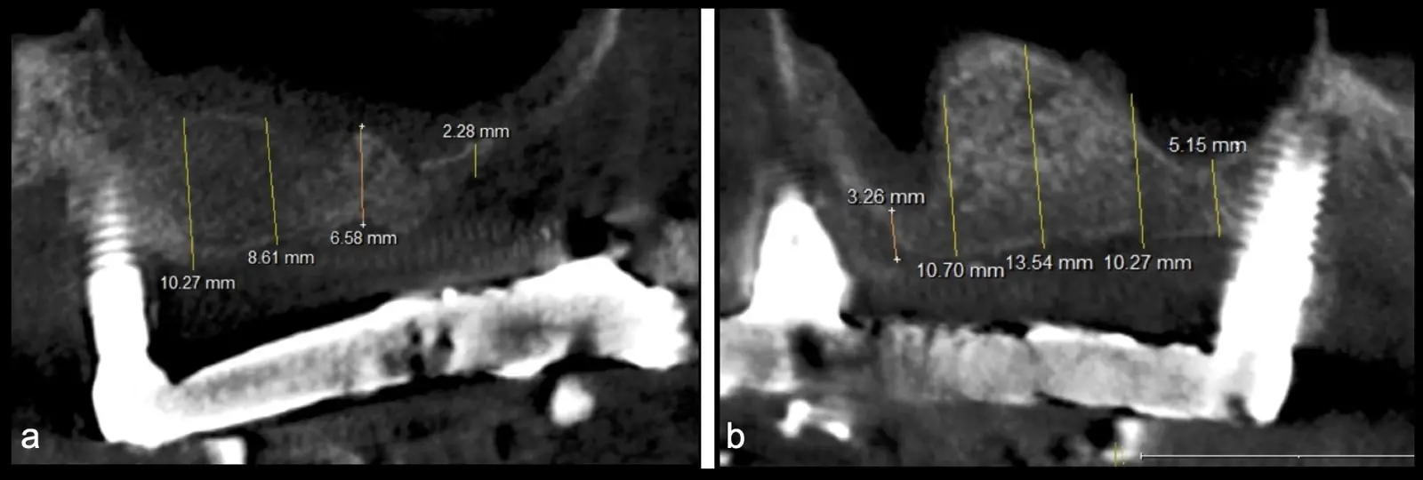
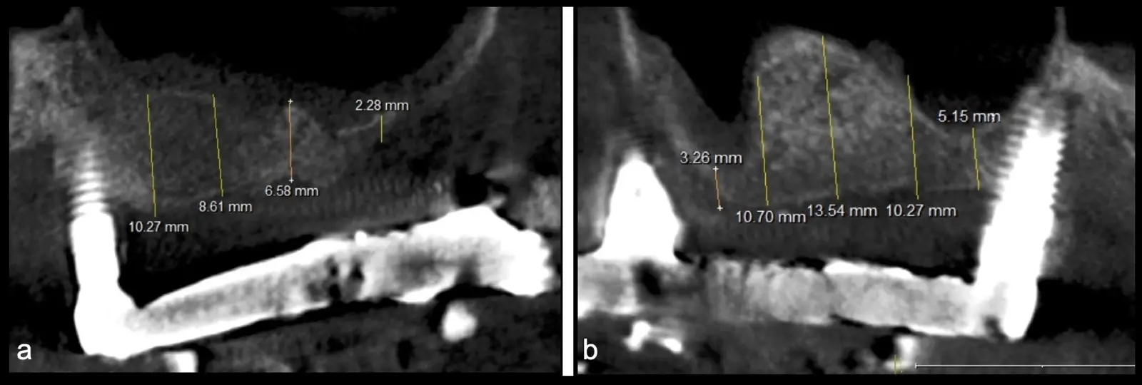
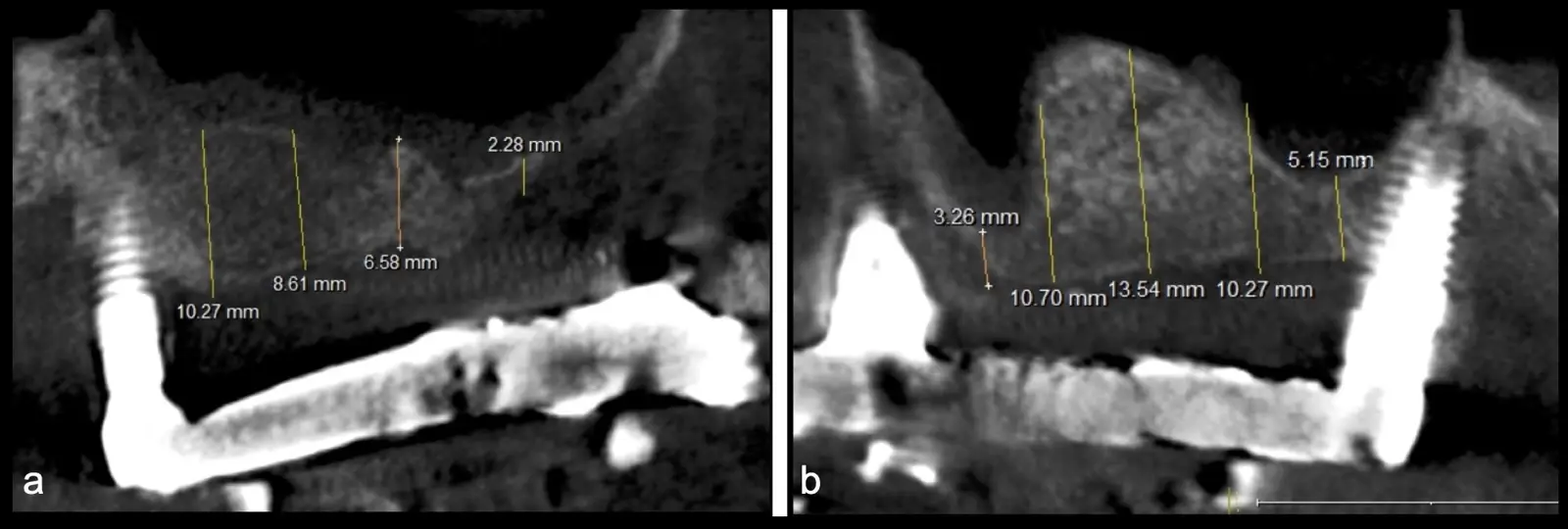
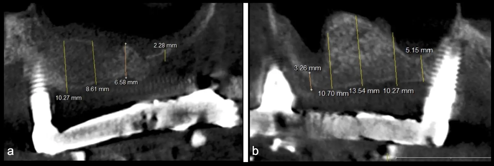
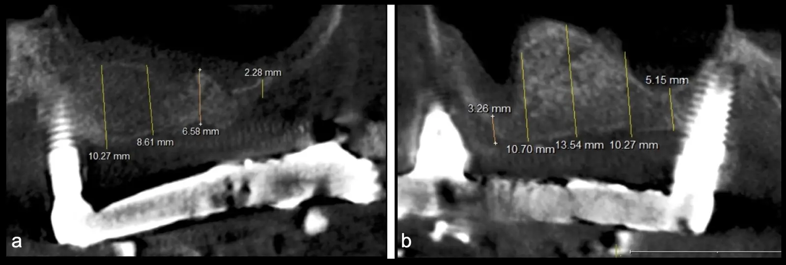
El levantamiento de piso de seno maxilar es una técnica quirúrgica aceptada previa o simultáneamente a la colocación de implantes dentales. La mayor evidencia científica refiere que si se tiene entre 0 -7 mm de altura ósea se debe realizar la elevación sinusal junto con injertos óseos; y a partir de los 8 mm, se hace más predecible la colocación simultánea de implantes dentales.1-3
Aunque esta técnica es predecible, la perforación de la membrana sinusal es la complicación intraoperatoria más común, con una prevalencia de hasta el 58.3%.4 Existen también otras complicaciones reportadas, como hemorragias asociadas a la lesión de la anastomosis arterial en el área de la pared lateral del seno maxilar.5-8
La falta de sensibilidad táctil que posee el operador al utilizar las fresas puede jugar en contra al momento de determinar la profundidad de corte y, por lo tanto, aumenta la posibilidad de generar lesiones iatrogénicas, que pueden hacer que el hueso se sobrecaliente, provocando muerte tisular.9

Frente a esta dificultad, a principios de este siglo se utilizó por primera vez un modelo comercial de piezoeléctrico en elevaciones sinusales demostrando su capacidad de corte sólo de tejidos duros y reduciendo el daño a la membrana sinusal, la cual cuenta con un espesor promedio de 1.13mm.10-12
El piezoeléctrico además presenta otras ventajas como una baja emisión de ruidos, vibraciones mínimas, producción de virutas óseas pequeñas, visibilidad intraoperatoria mejorada, y requiere de una incisión ósea controlada8. A nivel local, aumenta elementos pro-formadores de tejido óseo y disminuye algunas de las citoquinas proinflamatorias y resortivas en el hueso.13 Sus movimientos vibratorios durante el corte estimulan el metabolismo celular y aceleran la regeneración ósea. Además, las moléculas de oxígeno que se liberan tienen un efecto antiséptico.14,15 Por todo ello, se ha reportado que reduce la tasa de perforaciones de la membrana sinusal, el sangrado y el trauma en el área antral.16-18,19
Stübinger y col.20 reportaron complicaciones en la creación de la ventana de acceso con instrumentos rotatorios durante la elevación de seno, especialmente en presencia de septums intrasinusales. También Scarano y col.18
Estudios de síntesis bibliográficas con meta-análisis han descrito que el uso de instrumentos rotatorios convencionales está asociado a una tasa de perforación del 24% y con los dispositivos piezoeléctricos a un 8%, con una diferencia clínica y estadísticamente significativa entre ambas modalidades.17
Aplicaciones clínicas: Levantamiento de piso de seno maxilar
La técnica se inicia con la colocación de anestesia infiltrativa, posteriormente se realiza una incisión crestal o paracrestal con posibles liberantes verticales que deben de estar alejadas por lo menos 5 mm de los límites de la futura ventana y sobrepasar la línea mucogingival. Se realiza una elevación de colgajo, se inicia la antrostomía y antroplastía. Para ello, se emplea el inserto redondo diamantado de corte al momento de delimitar los bordes de la ventana de acceso. Luego se cambia al inserto aserrado liso de calibre fino con superficie diamantada, para profundizar y eliminar el hueso en el contorno de la ventana. Una vez que se traslucen los tejidos, se puede optar por el retiro de la tapa ósea o el levantamiento de ésta junto con la membrana.
El uso de instrumentos rotatorios convencionales está asociado a una tasa de perforación del 24% y con los dispositivos piezoeléctricos a un 8%, con una diferencia clínica y estadísticamente significativa entre ambas modalidades.
Se inicia la elevación de la membrana de Schneider con el inserto redondeado no cortante en forma de disco, empleando movimientos suaves. El levantamiento puede complementarse con elevadores convencionales, siguiendo la dirección mesiodistal. La fase de desprendimiento inicia con el piso y sigue hacia la pared mesial para terminar, y de ser necesario, hacia la pared posterior. Existen diversos insertos con angulaciones y longitudes para mayor accesibilidad16 (Figura 1).

El tipo de inserto a ser utilizado dependerá del espesor de la pared ósea. Si la pared es menor a 0.5 mm, es mejor utilizar insertos de desgaste para prevenir la ruptura de la membrana de Schneider; si el espesor es mayor a 0.5 mm, se puede utilizar insertos de corte de espesor medio (Figura 3).

El clínico puede retirar la tabla ósea o introducirla como “tienda de campaña” dentro del seno maxilar. En cualquiera de las alternativas, es importante evaluar la presencia de tabiques óseos y de la arteria postero alveolar superior.


Una vez elevado el piso sinusal según la planificación se realiza la evaluación clínica de la integridad de la membrana y de posibles desgarros a través de la maniobra de Valsalva.24 Consiste en pedir al paciente que respire profundamente y retenga el aire, cerrar la boca, apretar la nariz con los dedos y forzar la salida de aire. Al final de la prueba, es necesario mantener la presión entre 10 a 15 segundos. Se identificará la movilidad de la membrana y la ausencia de burbujas de aire para corroborar que no hay perforaciones. Dependiendo de la decisión clínica se puede optar por adicionar en la superficie de la membrana de Schneider membranas de colágeno o de plasma rico en fibrina (PRF) para dar mayor soporte durante la inserción del biomaterial de relleno óseo (Figura 10).

comentários