Informes & Estudios

Ventajas del piezoeléctrico en la terapia sinusal

*Publicado originalmente en Dental Tribune Latin America

El piezoeléctrico en elevaciones sinusales ha demostrado su capacidad de corte exclusivo de tejidos duros reduciendo el daño a la membrana sinusal. Además, presenta otras ventajas como una baja emisión de ruidos, vibraciones mínimas, producción de virutas óseas pequeñas, visibilidad intraoperatoria mejorada y requiere de una incisión ósea controlada.

Noveno de una serie de 11 artículos

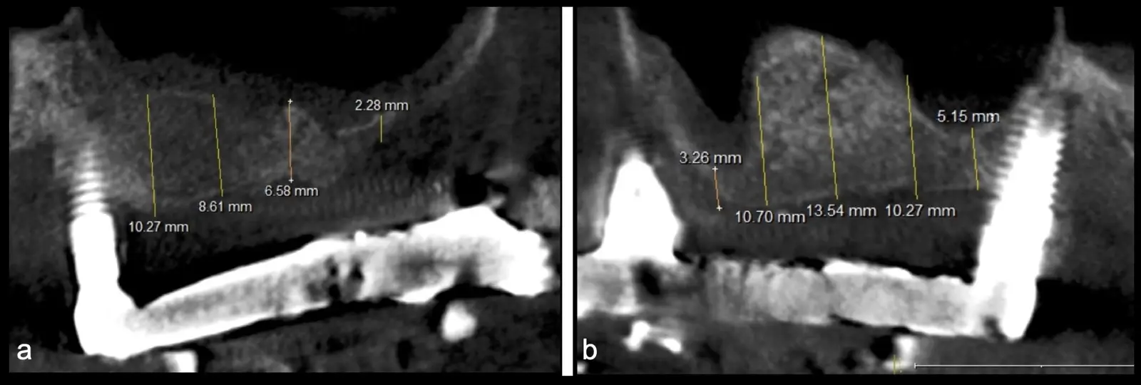
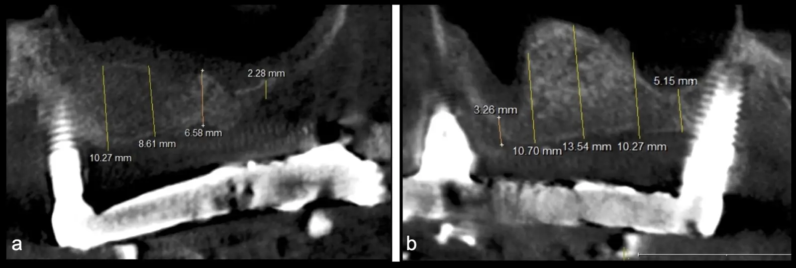
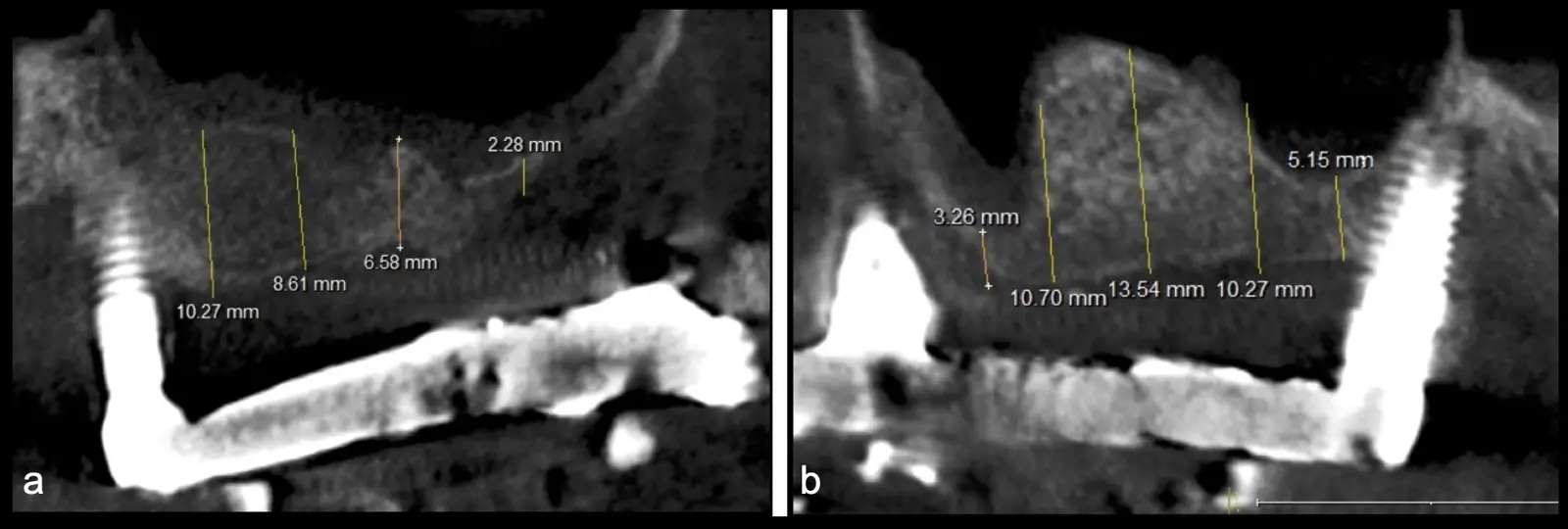
El levantamiento de piso de seno maxilar es una técnica quirúrgica aceptada previa o simultáneamente a la colocación de implantes dentales. La mayor evidencia científica refiere que si se tiene entre 0 -7 mm de altura ósea se debe realizar la elevación sinusal junto con injertos óseos; y a partir de los 8 mm, se hace más predecible la colocación simultánea de implantes dentales.1-3

Aunque esta técnica es predecible, la perforación de la membrana sinusal es la complicación intraoperatoria más común, con una prevalencia de hasta el 58.3%.4 Existen también otras complicaciones reportadas, como hemorragias asociadas a la lesión de la anastomosis arterial en el área de la pared lateral del seno maxilar.5-8

La falta de sensibilidad táctil que posee el operador al utilizar las fresas puede jugar en contra al momento de determinar la profundidad de corte y, por lo tanto, aumenta la posibilidad de generar lesiones iatrogénicas, que pueden hacer que el hueso se sobrecaliente, provocando muerte tisular.9

La tecnología piezoeléctrica está indicada para el levantamiento de piso de seno maxilar debido a su capacidad de corte exclusivo de tejidos duros, lo que minimiza el daño a la membrana sinusal.

Frente a esta dificultad, a principios de este siglo se utilizó por primera vez un modelo comercial de piezoeléctrico en elevaciones sinusales demostrando su capacidad de corte sólo de tejidos duros y reduciendo el daño a la membrana sinusal, la cual cuenta con un espesor promedio de 1.13mm.10-12

El piezoeléctrico además presenta otras ventajas como una baja emisión de ruidos, vibraciones mínimas, producción de virutas óseas pequeñas, visibilidad intraoperatoria mejorada, y requiere de una incisión ósea controlada8. A nivel local, aumenta elementos pro-formadores de tejido óseo y disminuye algunas de las citoquinas proinflamatorias y resortivas en el hueso.13 Sus movimientos vibratorios durante el corte estimulan el metabolismo celular y aceleran la regeneración ósea. Además, las moléculas de oxígeno que se liberan tienen un efecto antiséptico.14,15 Por todo ello, se ha reportado que reduce la tasa de perforaciones de la membrana sinusal, el sangrado y el trauma en el área antral.16-18,19

Stübinger y col.20 reportaron complicaciones en la creación de la ventana de acceso con instrumentos rotatorios durante la elevación de seno, especialmente en presencia de septums intrasinusales. También Scarano y col.18

Estudios de síntesis bibliográficas con meta-análisis han descrito que el uso de instrumentos rotatorios convencionales está asociado a una tasa de perforación del 24% y con los dispositivos piezoeléctricos a un 8%, con una diferencia clínica y estadísticamente significativa entre ambas modalidades.17


Aplicaciones clínicas: Levantamiento de piso de seno maxilar

La técnica se inicia con la colocación de anestesia infiltrativa, posteriormente se realiza una incisión crestal o paracrestal con posibles liberantes verticales que deben de estar alejadas por lo menos 5 mm de los límites de la futura ventana y sobrepasar la línea mucogingival. Se realiza una elevación de colgajo, se inicia la antrostomía y antroplastía. Para ello, se emplea el inserto redondo diamantado de corte al momento de delimitar los bordes de la ventana de acceso. Luego se cambia al inserto aserrado liso de calibre fino con superficie diamantada, para profundizar y eliminar el hueso en el contorno de la ventana. Una vez que se traslucen los tejidos, se puede optar por el retiro de la tapa ósea o el levantamiento de ésta junto con la membrana.

El uso de instrumentos rotatorios convencionales está asociado a una tasa de perforación del 24% y con los dispositivos piezoeléctricos a un 8%, con una diferencia clínica y estadísticamente significativa entre ambas modalidades.

Se inicia la elevación de la membrana de Schneider con el inserto redondeado no cortante en forma de disco, empleando movimientos suaves. El levantamiento puede complementarse con elevadores convencionales, siguiendo la dirección mesiodistal. La fase de desprendimiento inicia con el piso y sigue hacia la pared mesial para terminar, y de ser necesario, hacia la pared posterior. Existen diversos insertos con angulaciones y longitudes para mayor accesibilidad16 (Figura 1).

Figura 1. Incisión y levantamiento de colgajo a espesor total.
Figura 2. Espesor de la pared lateral (X), altura del reborde residual (Y), profundidad del seno maxilar (Z) y espesor de la membrana sinusal.

El tipo de inserto a ser utilizado dependerá del espesor de la pared ósea. Si la pared es menor a 0.5 mm, es mejor utilizar insertos de desgaste para prevenir la ruptura de la membrana de Schneider; si el espesor es mayor a 0.5 mm, se puede utilizar insertos de corte de espesor medio (Figura 3).

Figura 3. Osteotomía por desgaste con inserto redondo de punta diamantada (a). Osteotomía por desgaste con inserto plano de punta diamantada (b). Osteotomía por corte con inserto plano de punta aserrada (c).
Figura 4. Diseño rectangular de la ventana lateral.

El clínico puede retirar la tabla ósea o introducirla como “tienda de campaña” dentro del seno maxilar. En cualquiera de las alternativas, es importante evaluar la presencia de tabiques óseos y de la arteria postero alveolar superior.

Figura 5. Técnica por introducción de la tabla ósea dentro del seno maxilar.
Figura 6. Técnica por retiro de la tabla ósea. Una vez retirada o fracturada la tabla ósea, se introduce el inserto de presión hidráulica entre la membrana de Schneider y los bordes de la ventana, con suaves movimientos se inicia el desprendimiento gracias al chorro de agua expulsado a través del inserto (Figura 7).
Inserto de presión hidráulica iniciando el desprendimiento de la membrana de Schneider (a, b ).
Figura 7. Inserto de presión hidráulica iniciando el desprendimiento de la membrana de Schneider (a, b ).
Figura 8. Desplazamiento de la membrana con curetas de piezoeléctrico (a, b ).
Figura 9. Desplazamiento de la membrana con curetas manuales (a, b).

Una vez elevado el piso sinusal según la planificación se realiza la evaluación clínica de la integridad de la membrana y de posibles desgarros a través de la maniobra de Valsalva.24 Consiste en pedir al paciente que respire profundamente y retenga el aire, cerrar la boca, apretar la nariz con los dedos y forzar la salida de aire. Al final de la prueba, es necesario mantener la presión entre 10 a 15 segundos. Se identificará la movilidad de la membrana y la ausencia de burbujas de aire para corroborar que no hay perforaciones. Dependiendo de la decisión clínica se puede optar por adicionar en la superficie de la membrana de Schneider membranas de colágeno o de plasma rico en fibrina (PRF) para dar mayor soporte durante la inserción del biomaterial de relleno óseo (Figura 10).

Figura 10. Membrana de PRF introducida dentro del seno maxilar.
Figura 11. Introducción del sustituto óseo dentro del seno maxilar (a, b, c, d).
Figura 12. Reposicionamiento del bloque óseo (a). Cobertura de la ventana con membrana de colágeno (b).
Figura 13. Reposicionamiento del colgajo y sutura (a, b).

Caso clínico

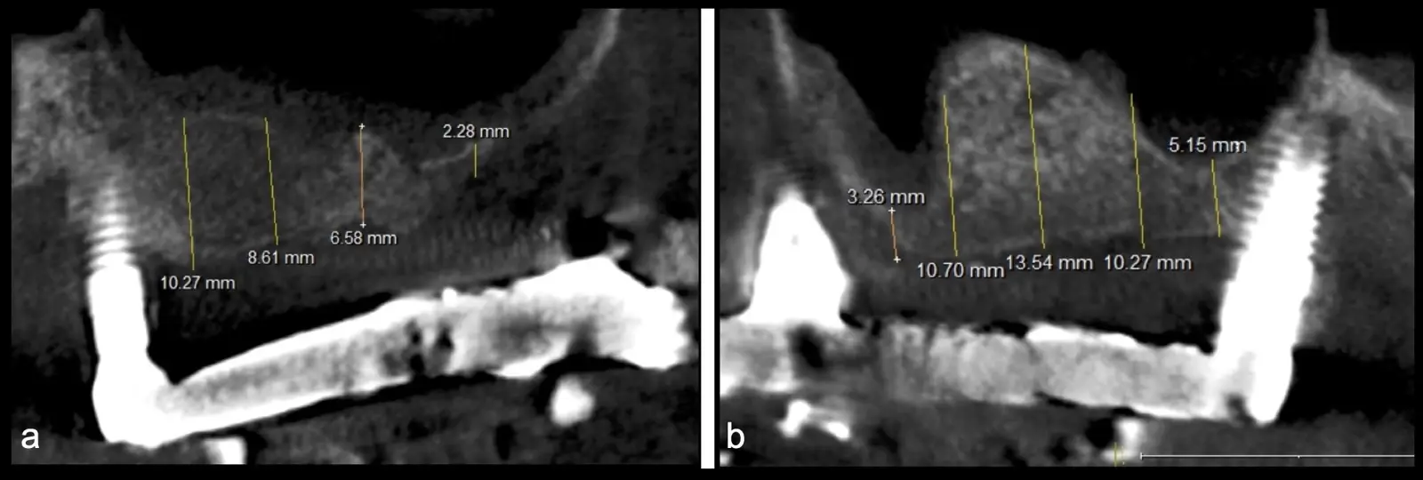
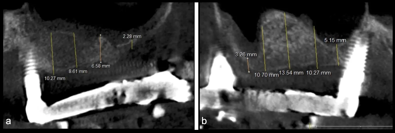
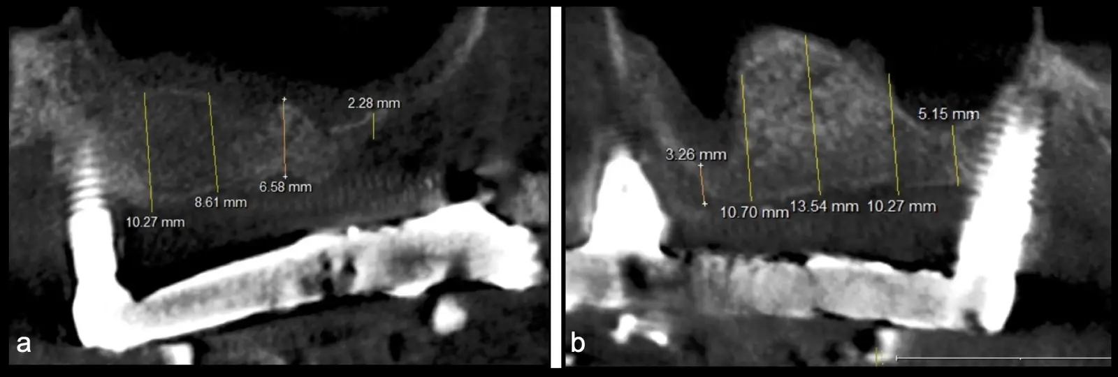
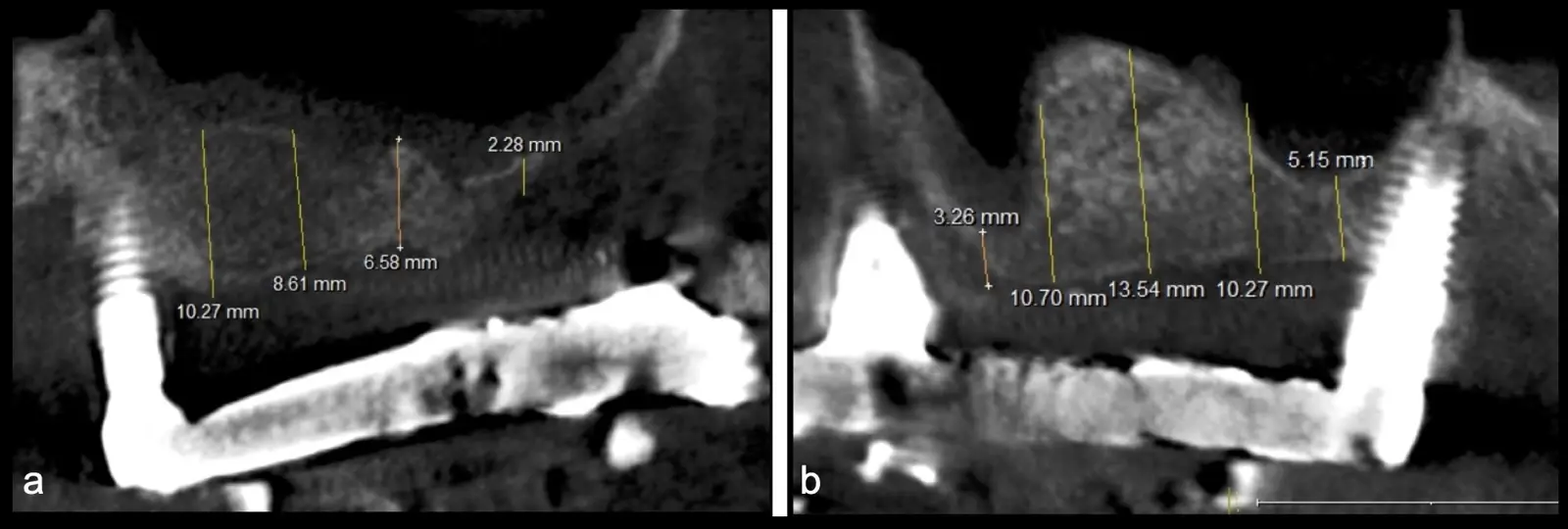
Paciente de 62 años, de sexo masculino, llega a la consulta para la colocación de implantes dentales. Refiere haber tenido tratamiento previo con implantes dentales, algunos de los cuales fueron perdidos. A la evaluación clínica se observa ausencia de piezas dentarias en el maxilar superior y 3 implantes remanentes. En la evaluación tomográfica se observa neumatización de los senos maxilares del lado derecho e izquierdo (Figura 14), para lo cual se indica el procedimiento quirúrgico de levantamiento de piso de seno maxilar en ambos cuadrantes, como paso previo a una nueva planificación implantosoportada.

Figura 14. Evaluación intraoral en donde se evidencia presencia de una prótesis híbrida soportada sobre implantes dentales, al retiro de la estructura se observó tornillo protésico fracturado (a, b, c). Evaluación tomográfica: corte sagital a nivel de los senos maxilares derecho e izquierdo, donde se observa una atrofia severa de los rebordes óseos acompañados de neumatización de los senos maxilar (d, f, g).
Figura 15. Incisión supracrestal y decolado a espesor total del lado izquierdo.
Figura 16. Delimitación y osteotomía por desgaste de la ventana lateral con el inserto plano de punta diamantada (a). Retiro del bloque óseo (b).
Figura 17. Inicio del desprendimiento de la membrana de Schneider con el inserto de presión hidráulica.
Figura 18. Elevación de la membrana de Schneider con curetas manuales (a, b).
Figura 19. Colocación de membrana de PRF dentro del seno maxilar como protección de la membrana de Schneider.
Figura 20. Colocación del material de relleno óseo dentro del seno maxilar (a, b).
Figura 21. Reposicionamiento del bloque óseo de la pared lateral del seno maxilar.

Finalizado el lado izquierdo, continuamos con el levantamiento de piso de seno maxilar del lado derecho.

Figura 22. Afrontamiento de colgajo y sutura.
Figura 23. Delimitación y osteotomía por desgaste de la ventana lateral con el inserto redondo de punta diamantada.
Figura 24. Fractura del bloque óseo con la ayuda de un martillo e instrumento romo.
Figura 25. Introducción del bloque óseo de la pared lateral dentro del seno maxilar: inicio del desprendimiento de la membrana con el inserto de presión hidráulica.
Figura 26. Decolado de la membrana de Schneider hasta la pared medial del seno maxilar (a). Desplazamiento de la pared ósea lateral al interior del seno maxilar transformándose en parte del techo de la ventana o nuevo piso del seno (b).
Figura 27. Llenado de la cavidad del seno maxilar con biomaterial de relleno óseo.
Figura 28. Membranas de A-PRF, obtenidas por centrifugado de la sangre del paciente a 1300 revoluciones/min, durante 8 minutos.
Figura 29. Membrana de A-PRF posicionada por encima del biomaterial óseo (a). Membrana de colágeno de reabsorción lenta posicionada sobre la membrana de A-PRF (b).
Figura 30. Liberación del colgajo, afrontamiento sin tensión y sutura.
Figura 31. Control tomográfico post operatorio: corte sagital de ambos senos maxilares. (derecha e izquierda).

Conclusión

La capacidad de corte exclusivo de tejidos duros del piezoeléctrico reduce el daño a la membrana sinusal en elevaciones sinusales, mejora la visibilidad intraoperatoria y hace más predecible la colocación simultánea de implantes dentales.

Serie Especial: Piezocirugía
Haga clic aquí para ver el resumen de los 11 artículos.

La serie de artículos sobre Piezocirugía está basada en el libro de José Carlos Rosas y colaboradores sobre esta tecnología.

El libro, escrito con Jerson Palomino Zorrilla, Karla Díaz Cavero y María Eugenia Guerrero Acevedo, de la Universidad Privada San Juan Bautista, en Lima (Perú), ofrece la evidencia científica más actual para respaldar el valor clínico de diversos procedimientos con piezoeléctrico, cuya utilidad práctica en el consultorio demuestra mediante la publicación de numerosos casos clínicos.

El libro "Cirugía piezoeléctrica. Generalidades y aplicaciones clínicas" explica los fundamentos de esta tecnología y muestra su utilidad práctica en el consultorio mediante casos clínicos.

Referencias

  1. Lui JN, Khin MM, Krishnaswamy G, et al. Prognostic factors relating to the outcome of endodontic microsurgery. J Endod. 2014;40(8):1071-1076.
  2. Kerekes K, Tronstad L. Long-term results of endodontic treatment performed with a standardized technique. J Endod. 1979;5(3):83-90.
  3. Lieblich SE. Endodontic surgery. Dent Clin North Am. 2012;56(1):121-ix.
  4. Walton RE, Ardjmand K. Histological evaluation of the presence of bacteria in induced periapical lesions in monkeys. J Endod.1992;18(5):216-27.
  5. Tronstad L, Barnett F, Cervone F. Periapical bacterial plaque in teeth with refractory to endodontic treatment. Endod Dent Traumatol. 1990;6(2):73-7.
  6. Jepsen K, Schneider E, Dommisch H, et al. Management of a Central Incisor with Horizontal Root Fracture for Esthetic and Functional Rehabilitation. Int J Periodontics Restorative Dent. 2016;36(1):65-73.
  7. Brito-Junior M, Faria-e-Silva AL, Quintino AC, et al. Orthograde retreatment failure with extruded MTA apical plug in a large periradicular lesion followed by surgical intervention: case report. Gen Dent. 2012;60(2):96-100.
  8. Szalma J, Soós B, Krajczár K, et al. Piezosurgical management of sealer extrusion-associated mental nerve anaesthesia: A case report. Aust Endod J. 2019;45(2):274-280.
  9. Kang M, In Jung H, Song M, et al. Outcome of nonsurgical retreatment and endodontic microsurgery: a meta-analysis. Clin Oral Investig. 2015;19(3):569-582.
  10. Abella F, de Ribot J, Doria G, et al. Applications of piezoelectric surgery in endodontic surgery: a literature review. J Endod. 2014;40(3):325-332.
  11. Kim S, Kratchman S. Modern endodontic surgery concepts and practice: a review. J Endod. 2006;32(7):601-23.
  12. Song M, Nam T, Shin SJ, Kim E. Comparison of clinical outcomes of endodontic microsurgery: 1 year versus long-term follow-up. J Endod. 2014;40(4):490-494.
  13. Lofthag-Hansen S, Huumonen S, Gröndahl K, et al. Limited cone-beam CT and intraoral radiography for the diagnosis of periapical pathology. Oral Surg Oral Med Oral Pathol Oral Radiol Endod. 2007;103(1): 114-9.
  14. Strbac GD, Schnappauf A, Giannis K, et al. Guided Modern Endodontic Surgery: A Novel Approach for Guided Osteotomy and Root Resection. J Endod. 2017;43(3):496-501.
  15. Moreno-Rabié C, Torres A, Lambrechts P, et al. Clinical applications, accuracy and limitations of guided endodontics: a systematic review. Int Endod J. 2020;53(2):214-231.
  16. Kocyigit ID, Atil F, Alp YE, et al. Piezosurgery versus conventional surgery in radicular cyst enucleation. J Craniofac Surg. 2012; 23(6):1805-8.
  17. Hirsch V, Kohli MR, Kim S. Apicoectomy of maxillary anterior teeth through a piezoelectric bony-window osteotomy: two case reports introducing a new technique to preserve cortical bone. Restor Dent Endod. 2016;41(4):310-315.
  18. Gagliani M, Taschieri S, Molinari R. Ultrasonic root-end preparation: influence of cutting angle on the apical seal. J Endod. 1998;24(11):726-30.
  19. Rubinstein RA, Kim S. Short-term observation of the results of endodontic surgery with the use of surgical operation microscope and Super-EBA as root end filling material. J Endod. 1999;25(1):43-8.
  20. Del Fabbro M, Tsesis I, Rosano G, et al. Scanning electron microscopic analysis of the integrity of the root-end surface after root-end management using piezoelectric device: a cadaveric study. J Endod. 2010;36(10):1693-7.
  21. Tsesis I, Rosen E, Taschieri S, et al. Outcomes of surgical endodontic treatment performed by a modern technique: an updated meta-analysis of the literature. J Endod. 2013;39(3):332-9.
  22. Bastien AV, Adnot J, Moizan H, et al. Secondary surgical decompression of the inferior alveolar nerve after overfilling of endodontic sealer into the mandibular canal: Case report and literature review. J Stomatol Oral Maxillofac Surg. 2017;118(6):389-392.

comentarios